HIV-MTB Co-Infection Reduces CD4+ T Cells and Affects Granuloma Integrity
Abstract
1. Introduction
2. Materials and Methods
2.1. Ethics
2.2. Study Subjects and Data Collection
2.3. Specimen Collection
2.4. Case Definition
2.5. Histopathological Study
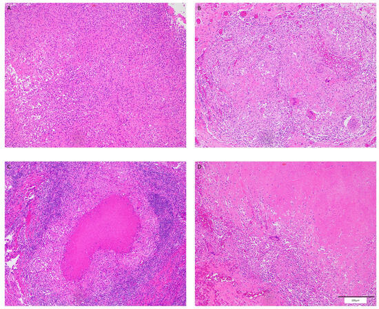
2.6. Granuloma Morphology HE Staining Microscopy
- Typical granulomas composed of epithelioid cells, multinucleated giant cells, macrophages, surrounding lymphocytes, and reactive proliferating fibroblasts forming a nodular structure with a clear boundary and no caseous necrosis at the center.
- Caseous necrotic granulomas (typical tuberculous granulomas) with complete coagulative necrosis (visually caseous necrosis) at the center of the granuloma.
- Fibrous granulomas mainly evolved from typical granulomas, predominantly composed of fibroblasts and fibrocytes, with a few epithelioid cells and macrophages [13];
2.7. Immunohistochemical Tests
2.8. Quantitative Analysis of Immunohistochemistry
2.9. Statistical Analysis
3. Results
3.1. General Information
3.2. Pathological Findings
3.2.1. HIV Infection Reduced the Integrity of Granulomas
3.2.2. The Integrity of Tuberculous Granulomas in HIV-MTB Co-Infected Individuals Was Positively Correlated with Peripheral Blood CD4+ T Cell Count
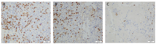
3.3. Immunohistochemistry Results
3.3.1. HIV-MTB Co-Infection Leads to a Reduction in T Lymphocytes in Granulomatous Tissues
3.3.2. The Integrity of Tuberculous Granulomas in Co-Infected Patients Was Positively Correlated with the Proportion of CD4+ T Cells and CD3+ T Cells in Granulomatous Tissues
3.3.3. The Count of Peripheral Blood CD4+ T Cells Was Positively Correlated with the Proportion of CD4+ T Cells in Granulomatous Tissues in Co-Infected Patients
4. Discussion
Supplementary Materials
Author Contributions
Funding
Institutional Review Board Statement
Informed Consent Statement
Data Availability Statement
Acknowledgments
Conflicts of Interest
References
- UNAIDS. Global HIV & AIDS Statistics—Fact Sheet. Available online: https://www.unaids.org/en/resources/fact-sheet (accessed on 26 November 2023).
- World Health Oganization. Global Tuberculousis Report 2023. Available online: https://www.who.int/teams/global-tuberculosis-programme/tb-reports/global-tuberculosis-report-2023 (accessed on 26 November 2023).
- Rodgers, M.A.; Ameel, C.; Ellis-Connell, A.L.; Balgeman, A.J.; Maiello, P.; Barry, G.L.; Friedrich, T.C.; Klein, E.; O’connor, S.L.; Scanga, C.A. Preexisting Simian Immunodeficiency Virus Infection Increases Susceptibility to Tuberculosis in Mauritian Cynomolgus Macaques. Infect. Immun. 2018, 86, e00565-18. [Google Scholar] [CrossRef]
- Toossi, Z.; Hirsch, C.S.; Wu, M.; Mayanja-Kizza, H.; Baseke, J.; Thiel, B. Distinct cytokine and regulatory T cell profile at pleural sites of dual HIV/tuberculosis infection compared to that in the systemic circulation. Clin. Exp. Immunol. 2011, 163, 333–338. [Google Scholar] [CrossRef] [PubMed]
- Bruchfeld, J.; Correia-Neves, M.; Källenius, G. Tuberculosis and HIV Coinfection. Cold Spring Harb. Perspect. Med. 2015, 5, a017871. [Google Scholar] [CrossRef]
- Coleman, C.M.; Wu, L. HIV interactions with monocytes and dendritic cells: Viral latency and reservoirs. Retrovirology 2009, 6, 51. [Google Scholar] [CrossRef]
- Sereti, I.; Bisson, G.P. The Tuberculosis-Associated Immune Reconstitution Inflammatory Syndrome (TB-IRIS). In HIV and Tuberculosis: A Formidable Alliance, 1st ed.; Sereti, I., Bisson, G.P., Eds.; Springer: Cham, Switzerland, 2019; pp. 99–125. [Google Scholar] [CrossRef]
- Kumawat, K.; Pathak, S.K.; Spetz, A.-L.; Kundu, M.; Basu, J. Exogenous Nef is an inhibitor of Mycobacterium tuberculosis-induced tumor necrosis factor-α production and macrophage apoptosis. J. Biol. Chem. 2016, 291, 665–666. [Google Scholar] [CrossRef] [PubMed]
- Diedrich, C.; O’Hern, J.; Wilkinson, R. HIV-1 and the Mycobacterium tuberculosis granuloma: A systematic review and meta-analysis. Tuberculosis 2016, 98, 62–76. [Google Scholar] [CrossRef]
- Acquired Immunodeficiency Syndrome and Hepatitis C Professional Group, Society of Infectious Diseases, Chinese Medical Association, Chinese Center for Disease Control and Prevention. Chinese Guidelines for Diagnosis and Treatment of Human Immunodeficiency Virus Infection /Acquired Immunodeficiency Syndrome (2021 edition). Med. J. Peking. Union Med. Coll. Hosp. 2022, 13, 203–226. [Google Scholar] [CrossRef]
- Tuberculosis Branch of Chinese Medical Association. Diagnosis and Treatment of Pulmonary Tuberculosis (2001). J. Crit. Care Intern. Med. 2002, 4, 225–229. [Google Scholar]
- People’s Republic of China State Health and Family Planning Commission. Tuberculosis classification (WS196—2017). Electron. J. Emerg. Infect. Dis. 2018, 3, 191–192. [Google Scholar] [CrossRef]
- Barry, C.E., III; Boshoff, H.I.; Dartois, V.; Dick, T.; Ehrt, S.; Flynn, J.; Schnappinger, D.; Wilkinson, R.; Young, D. The spectrum of latent tuberculosis: Rethinking the biology and intervention strategies. Nat. Rev. Microbiol. 2009, 7, 845–855. [Google Scholar] [CrossRef]
- Jafari, S.M.S.; Hunger, R.E. IHC Optical Density Score: A New Practical Method for Quantitative Immunohistochemistry Image Analysis. Appl. Immunohistochem. Mol. Morphol. 2017, 25, e12–e13. [Google Scholar] [CrossRef]
- Varghese, F.; Bukhari, A.B.; Malhotra, R.; De, A. IHC Profiler: An open source plugin for the quantitative evaluation and automated scoring of immunohistochemistry images of human tissue samples. PLoS ONE 2014, 9, e96801. [Google Scholar] [CrossRef]
- Ramakrishnan, L. Revisiting the role of the granuloma in tuberculosis. Nat. Rev. Immunol. 2012, 12, 352–366. [Google Scholar] [CrossRef]
- McCaffrey, E.F.; Donato, M.; Keren, L.; Chen, Z.; Delmastro, A.; Fitzpatrick, M.B.; Gupta, S.; Greenwald, N.F.; Baranski, A.; Graf, W.; et al. The immunoregulatory landscape of human tuberculosis granulomas. Nat. Immunol. 2022, 23, 318–329. [Google Scholar] [CrossRef]
- Gideon, H.P.; Phuah, J.; Myers, A.J.; Bryson, B.D.; Rodgers, M.A.; Coleman, M.T.; Maiello, P.; Rutledge, T.; Marino, S.; Fortune, S.M.; et al. Variability in tuberculosis granuloma T cell responses exists, but a balance of pro- and anti-inflammatory cytokines is associated with sterilization. PLoS Pathog. 2015, 11, e1004603. [Google Scholar] [CrossRef]
- Gazzard, B.G.; Moyle, G.J.; Weber, J.; Johnson, M.; Bingham, J.; Brettle, R.; Churchill, D.; Fisher, M.; Griffin, G.; Jefferies, D.; et al. British HIV Association guidelines for antiretroviral treatment of HIV seropositive individuals. Lancet 1997, 349, 1086–1092. [Google Scholar] [CrossRef]
- Müller, H.; Krüger, S. Immunohistochemical analysis of cell composition and in situ cytokine expression in HIV- and non-HIV-associated tuberculous lymphadenitis. Immunobiology 1994, 191, 354–368. [Google Scholar] [CrossRef] [PubMed]
- Di Perri, G.; Cazzadori, A.; Vento, S.; Bonora, S.; Malena, M.; Bontempini, L.; Lanzafame, M.; Allegranzi, B.; Concia, E. Comparative histopathological study of pulmonary tuberculosis in human immunodeficiency virus-infected and non-infected patients. Tuber. Lung Dis. 1996, 77, 244–249. [Google Scholar] [CrossRef]
- Jones, B.E.; Young, S.M.M.; Antoniskis, D.; Davidson, P.T.; Kramer, F.; Barnes, P.F. Relationship of the manifestations of tuberculosis to CD4 cell counts in patients with human immunodeficiency virus infection. Am. Rev. Respir. Dis. 1993, 148, 1292–1297. [Google Scholar] [CrossRef] [PubMed]
- Diedrich, C.R.; O’Hern, J.; Gutierrez, M.G.; Allie, N.; Papier, P.; Meintjes, G.; Coussens, A.K.; Wainwright, H.; Wilkinson, R.J. Relationship between HIV Coinfection, Interleukin 10 Production, and Mycobacterium tuberculosis in Human Lymph Node Granulomas. J. Infect. Dis. 2016, 214, 1309–1318. [Google Scholar] [CrossRef]
- Riou, C.; Stek, C. Immune Responses to Mycobacterium tuberculosis and the Impact of HIV Infection. In HIV and Tuberculosis: A Formidable Alliance, 1st ed.; Sereti, I., Bisson, G.P., Eds.; Springer: Cham, Switzerland, 2019; pp. 57–72. [Google Scholar] [CrossRef]
- Mwandumba, H.C.; Russell, D.G.; Nyirenda, M.H.; Anderson, J.; White, S.A.; Molyneux, M.E.; Squire, S.B. Mycobacterium tuberculosis resides in nonacidified vacuoles in endocytically competent alveolar macrophages from patients with tuberculosis and HIV infection. J. Immunol. 2004, 172, 4592–4598. [Google Scholar] [CrossRef] [PubMed]
- Cohen, S.B.; Gern, B.H.; Delahaye, J.L.; Adams, K.N.; Plumlee, C.R.; Winkler, J.K.; Sherman, D.R.; Gerner, M.Y.; Urdahl, K.B. Alveolar macrophages provide an early Mycobacterium tuberculosis niche and initiate dissemination. Cell Host Microbe 2018, 24, 439–446. [Google Scholar] [CrossRef]
- Kuroda, M.J.; Sugimoto, C.; Cai, Y.; Merino, K.M.; Mehra, S.; Araínga, M.; Roy, C.J.; Midkiff, C.C.; Alvarez, X.; Didier, E.S.; et al. High Turnover of Tissue Macrophages Contributes to Tuberculosis Reactivation in Simian Immunodeficiency Virus-Infected Rhesus Macaques. J. Infect. Dis. 2018, 217, 1865–1874. [Google Scholar] [CrossRef] [PubMed]
- Foreman, T.W.; Nelson, C.E.; Kauffman, K.D.; Lora, N.E.; Vinhaes, C.L.; Dorosky, D.E.; Sakai, S.; Gomez, F.; Fleegle, J.D.; Parham, M.; et al. CD4 T cells are rapidly depleted from tuberculosis granulomas following acute SIV co-infection. Cell Rep. 2022, 39, 110896. [Google Scholar] [CrossRef]
- Geldmacher, C.; Schuetz, A.; Ngwenyama, N.; Casazza, J.P.; Sanga, E.; Saathoff, E.; Boehme, C.; Geis, S.; Maboko, L.; Singh, M.; et al. Early depletion of Mycobacterium tuberculosis—Specific T helper 1 cell responses after HIV-1 infection. J. Infect. Dis. 2008, 198, 1590–1598. [Google Scholar] [CrossRef] [PubMed]
- Day, C.L.; Abrahams, D.A.; Harris, L.D.; van Rooyen, M.; Stone, L.; de Kock, M.; Hanekom, W.A. HIV-1 Infection Is Associated with Depletion and Functional Impairment of Mycobacterium tuberculosis—Specific CD4 T Cells in Individuals with Latent Tuberculosis Infection. J. Immunol. 2017, 199, 2069–2080. [Google Scholar] [CrossRef]
- Geldmacher, C.; Ngwenyama, N.; Schuetz, A.; Petrovas, C.; Reither, K.; Heeregrave, E.J.; Casazza, J.P.; Ambrozak, D.R.; Louder, M.; Ampofo, W.; et al. Preferential infection and depletion of Mycobacterium tuberculosis—Specific CD4 T cells after HIV-1 infection. J. Exp. Med. 2010, 207, 2869–2881. [Google Scholar] [CrossRef] [PubMed]
- Murray, L.W.; Satti, I.; Meyerowitz, J.; Jones, M.; Willberg, C.B.; E Ussher, J.; Goedhals, D.; Hurst, J.; E Phillips, R.; McShane, H.; et al. Human Immunodeficiency Virus Infection Impairs Th1 and Th17 Mycobacterium tuberculosis—Specific T-Cell Responses. J. Infect. Dis. 2018, 217, 1782–1792. [Google Scholar] [CrossRef]
- Rakshit, S.; Hingankar, N.; Alampalli, S.V.; Adiga, V.; Sundararaj, B.K.; Sahoo, P.N.; Finak, G.; Dhar, C.; D’Souza, G.; Virkar, R.G.; et al. HIV Skews a Balanced Mtb-Specific Th17 Response in Latent Tuberculosis Subjects to a Pro-inflammatory Profile Independent of Viral Load. Cell Rep. 2020, 33, 108451. [Google Scholar] [CrossRef]
- Foreman, T.W.; Mehra, S.; LoBato, D.N.; Malek, A.; Alvarez, X.; Golden, N.A.; Bucşan, A.N.; Didier, P.J.; Doyle-Meyers, L.A.; Russell-Lodrigue, K.E.; et al. CD4+ T-cell—Independent mechanisms suppress reactivation of latent tuberculosis in a macaque model of HIV coinfection. Proc. Natl. Acad. Sci. USA 2016, 113, E5636–E5644. [Google Scholar] [CrossRef]
- Toossi, Z.; Mayanja-Kizza, H.; Baseke, J.; Peters, P.; Wu, M.; Abraha, A.; Aung, H.; Okwera, A.; Hirsch, C.; Arts, E. Inhibition of human immunodeficiency virus-1 (HIV-1) by β-chemokine analogues in mononuclear cells from HIV-1-infected patients with active tuberculosis. Clin. Exp. Immunol. 2005, 142, 327–332. [Google Scholar] [CrossRef] [PubMed]
- Slight, S.R.; Rangel-Moreno, J.; Gopal, R.; Lin, Y.; Junecko, B.A.F.; Mehra, S.; Selman, M.; Becerril-Villanueva, E.; Baquera-Heredia, J.; Pavon, L.; et al. CXCR5+ T helper cells mediate protective immunity against tuberculosis. J. Clin. Investig. 2013, 123, 712–726. [Google Scholar] [CrossRef] [PubMed]
- Bleul, C.C.; Wu, L.; Hoxie, J.A.; Springer, T.A.; Mackay, C.R. The HIV coreceptors CXCR4 and CCR5 are differentially expressed and regulated on human T lymphocytes. Proc. Natl. Acad. Sci. USA 1997, 94, 1925–1930. [Google Scholar] [CrossRef] [PubMed]
- Juffermans, N.P.; Speelman, P.; Verbon, A.; Veenstra, J.; Jie, C.; van Deventer, S.J.H.; van der Poll, T. Patients with active tuberculosis have increased expression of HIV coreceptors CXCR4 and CCR5 on CD4+ T cells. Clin. Infect. Dis. 2001, 32, 650–652. [Google Scholar] [CrossRef]
- Hoshino, Y.; Tse, D.B.; Rochford, G.; Prabhakar, S.; Hoshino, S.; Chitkara, N.; Kuwabara, K.; Ching, E.; Raju, B.; Gold, J.A.; et al. Mycobacterium tuberculosis-induced CXCR4 and chemokine expression leads to preferential X4 HIV-1 replication in human macrophages. J. Immunol. 2004, 172, 6251–6258. [Google Scholar] [CrossRef]
- Bucşan, A.N.; Chatterjee, A.; Singh, D.K.; Foreman, T.W.; Lee, T.-H.; Threeton, B.; Kirkpatrick, M.G.; Ahmed, M.; Golden, N.; Alvarez, X.; et al. Mechanisms of reactivation of latent tuberculosis infection due to SIV coinfection. J. Clin. Investig. 2019, 129, 5254–5260. [Google Scholar] [CrossRef]
- Méndez-Samperio, P. Diagnosis of Tuberculosis in HIV Co-infected Individuals: Current Status, Challenges and Opportunities for the Future. Scand. J. Immunol. 2017, 86, 76–82. [Google Scholar] [CrossRef]
- HIV.gov, Guidelines for the Prevention and Treatment of Opportunistic Infections in Adults and Adolescents with HIV. Available online: https://clinicalinfo.hiv.gov/en/guidelines/hiv-clinical-guidelines-adult-and-adolescent-opportunistic-infections/mycobacterium-0 (accessed on 26 November 2023).
- Li, Q.; Wang, C.; Gou, J.; Kitanovski, S.; Tang, X.; Cai, Y.; Zhang, C.; Zhang, X.; Zhang, Z.; Qiu, Y.; et al. Deciphering lung granulomas in HIV & TB co-infection: Unveiling macrophages aggregation with IL6R/STAT3 activation. Emerg. Microbes Infect. 2024, 13, 2366359. [Google Scholar] [CrossRef]






| Group | Average Age (Years) | Gender | Biopsy Site | ||
|---|---|---|---|---|---|
| Male | Female | Pulmonary | Extrapulmonary | ||
| HIV-MTB co-infection (n = 53) | 41.40 (±13.74) | 42 | 11 | 5 | 48 |
| MTB mono-infection (n = 49) | 27.71 (±20.04) | 21 | 28 | 5 | 44 |
| Subject No. | ART before Biopsy | Biopsy Site | Biopsy Anti-Fast Bacilli Staining | Treatment Regimens of TB before Biopsy |
|---|---|---|---|---|
| 1 | - | Neck (mass) | (−) | - |
| 2 | - | Neck (mass) | (+) | - |
| 3 | 3TC + TDF + EFV | Neck (LN) | (+) | - |
| 4 | 3TC + TDF + EFV | Neck (LN) | (+) | HRZE |
| 5 | - | Neck (LN) | (+) | - |
| 6 | 3TC + TDF + EFV | Groin (LN) | - | |
| 7 | - | Neck (mass) | (+) | - |
| 8 | - | Neck (mass) | (+) | - |
| 9 | - | Neck (mass) | (−) | - |
| 10 | 3TC + TDF + EFV | Lung (mass) | (+) | - |
| 11 | 3TC + TDF + EFV | Neck (LN) | (+) | - |
| 12 | - | Abdominal cavity (LN) | (+) | - |
| 13 | 3TC + TDF + EFV | Abdominal cavity (LN) | (+) | HEZMfx + LZD |
| 14 | - | Mandible (LN) | (+) | HRZE |
| 15 | 3TC + TDF + EFV | Neck (LN) | (+) | HRZELfx |
| 16 | 3TC + TDF + EFV | Retroperitoneal (LN) | (+) | HRZE |
| 17 | 3TC + TDF + EFV | Mediastinum (LN) | (+) | RfbLfx |
| 18 | No detailed regimen | Neck (LN) | (+) | - |
| 19 | 3TC + TDF + LPV/r | Axilla (LN) | (+) | HREMfx |
| 20 | No detailed regimen | Adrenal gland | (−) | HRZE |
| 21 | 3TC + EFV + LPV/r | Neck (mass) | (−) | RftEMfx |
| 22 | TDF + FTC + DTG | Lung (mass) | (+) | HRZE |
| 23 | 3TC + EFV + LPV/r | Abdominal cavity (mass) | (+) | Mfx + CLI + LZD |
| 24 | FTC + DTG | Abdominal wall (mass) | (+) | HRZE |
| 25 | 3TC + TDF + RAL | Abdominal cavity (mass) | (+) | - |
| 26 | 3TC + TDF + EFV | Lung (mass) | (+) | - |
| 27 | TDF + FTC + DTG | Neck (LN) | (+) | HRZE |
| 28 | 3TC + TDF + RAL | Mandible (LN) | (+) | - |
| 29 | TDF + FTC + DTG | Neck (LN) | (+) | HRfbZ |
| 30 | No detailed regimen | Neck (LN) | (+) | HREZLfx |
| 31 | 3TC + TDF + EFV | Lung (mass) | (+) | HRZEMfx |
| 32 | - | Neck (mass) | (+) | - |
| 33 | 3TC + TDF + EFV | Neck (LN) | (+) | HRZE |
| 34 | 3TC + TDF + EFV | Neck (LN) | (+) | - |
| 35 | 3TC + TDF + EFV | Abdominal cavity (mass) | (−) | - |
| 36 | 3TC + TDF + EFV | Mandible (mass) | (+) | HRZELfx |
| 37 | 3TC + TDF + EFV | Neck (mass) | (−) | - |
| 38 | 3TC + TDF + EFV | Chest wall (mass) | (−) | RfbEPto |
| 39 | 3TC + AZT + LPV/r | Neck (LN) | (+) | - |
| 40 | 3TC + EFV + AZT | Neck (LN) | (+) | - |
| 41 | 3TC + TDF + EFV | Pelvic cavity (mass) | (+) | RE |
| 42 | - | Posterior auricular LN | (+) | - |
| 43 | 3TC + TDF + EFV | Lung (mass) | (+) | PaELfx |
| 44 | unknown | Kidney (mass) | (−) | unknown |
| 45 | unknown | Neck (mass) | (+) | unknown |
| 46 | unknown | Liver (mass) | (+) | unknown |
| 47 | - | Neck (mass) | (−) | - |
| 48 | 3TC + EFV + ABC | Neck (LN) | (+) | - |
| 49 | - | Liver (mass) | (−) | - |
| 50 | - | Groin (LN) | (−) | - |
| 51 | unknown | Chest wall (mass) | unknown | |
| 52 | TDF + FTC + DTG | Arm (mass) | (+) | - |
| 53 | unknown | Neck (LN) | (+) | unknown |
| Subject No. | Biopsy Site | Biopsy Anti-Fast Bacilli Staining | Treatment Regimens of TB before Biopsy |
|---|---|---|---|
| 1 | Axilla (LN) | (+) | unknown |
| 2 | Axilla (mass) | (+) | - |
| 3 | Neck (LN) | (+) | - |
| 4 | Paraspinal (mass) | (−) | HRftELfx |
| 5 | Neck (LN) | (−) | HRZ |
| 6 | Neck (LN) | (−) | - |
| 7 | Neck (LN) | (+) | - |
| 8 | Neck (LN) | (+) | HRZE |
| 9 | Neck (LN) | (+) | - |
| 10 | Abdominal wall (mass) | (+) | HRZE |
| 11 | Chest wall (mass) | (+) | HRZ |
| 12 | Neck (LN) | (+) | - |
| 13 | Pleura | (+) | HRZE |
| 14 | Neck (LN) | (+) | HRZE |
| 15 | Chest wall (mass) | (−) | HRZE |
| 16 | Neck (LN) | (+) | - |
| 17 | Neck (LN) | (−) | - |
| 18 | Neck (LN) | (+) | - |
| 19 | Lung (mass) | (+) | HRZE |
| 20 | Pelvic cavity (mass) | (+) | HRZE |
| 21 | Neck (LN) | (−) | - |
| 22 | Neck (LN) | (−) | PaRftLfx |
| 23 | Neck (LN) | (+) | - |
| 24 | Neck (LN) | (−) | HRZMfx |
| 25 | Paraspinal (mass) | (+) | HRZE |
| 26 | Chest wall (mass) | (+) | HRZE |
| 27 | Neck (LN) | (+) | HRZE |
| 28 | Abdominal cavity (mass) | (−) | HRE + LZD + Am |
| 29 | Neck (LN) | (+) | HRZE |
| 30 | Axilla (mass) | (+) | HRZE |
| 31 | Neck (LN) | (+) | HRZE |
| 32 | Neck (LN) | (−) | HRZE |
| 33 | Psoas major muscle (mass) | (−) | HRZE |
| 34 | Neck (LN) | (+) | - |
| 35 | Neck (LN) | (−) | HRE |
| 36 | Neck (LN) | (−) | - |
| 37 | Chest wall (mass) | (+) | PAS + HRZ |
| 38 | Neck (LN) | (+) | HRZE |
| 39 | Neck (LN) | (−) | HRZE |
| 40 | Neck (LN) | (+) | - |
| 41 | Abdominal cavity (mass) | (+) | HRZMfx |
| 42 | Neck (LN) | (+) | - |
| 43 | Neck (LN) | (−) | - |
| 44 | Knee joint (mass) | (+) | - |
| 45 | Lung (mass) | (−) | unknown |
| 46 | Hip joint (mass) | (+) | - |
| 47 | Lung (mass) | (+) | HRZE |
| 48 | Neck (LN) | (+) | - |
| 49 | Axilla (mass) | (+) | - |
| Variable | Group | Wald | p | OR | 95% CI for OR |
|---|---|---|---|---|---|
| Gender | Male | ||||
| Female | 2.125 | 0.145 | 7.848 | 0.492–125.245 | |
| Biopsy site | Pulmonary | 2.852 | 0.091 | 0.129 | 0.012–1.389 |
| Extrapulmonary | |||||
| CD4+ T cell count in peripheral blood (/mm3) | 4.493 | 0.034 | 0.995 | 0.991–1.000 | |
| Monocyte proportion in peripheral blood (%) | 2.261 | 0.133 | 1.136 | 0.962–1.342 |
Disclaimer/Publisher’s Note: The statements, opinions and data contained in all publications are solely those of the individual author(s) and contributor(s) and not of MDPI and/or the editor(s). MDPI and/or the editor(s) disclaim responsibility for any injury to people or property resulting from any ideas, methods, instructions or products referred to in the content. |
© 2024 by the authors. Licensee MDPI, Basel, Switzerland. This article is an open access article distributed under the terms and conditions of the Creative Commons Attribution (CC BY) license (https://creativecommons.org/licenses/by/4.0/).
Share and Cite
Huang, S.; Liu, M.; Zhang, H.; Song, W.; Guo, W.; Feng, Y.; Ma, X.; Shi, X.; Liu, J.; Liu, L.; et al. HIV-MTB Co-Infection Reduces CD4+ T Cells and Affects Granuloma Integrity. Viruses 2024, 16, 1335. https://doi.org/10.3390/v16081335
Huang S, Liu M, Zhang H, Song W, Guo W, Feng Y, Ma X, Shi X, Liu J, Liu L, et al. HIV-MTB Co-Infection Reduces CD4+ T Cells and Affects Granuloma Integrity. Viruses. 2024; 16(8):1335. https://doi.org/10.3390/v16081335
Chicago/Turabian StyleHuang, Suyue, Maoying Liu, Hui Zhang, Wei Song, Wenjuan Guo, Yanling Feng, Xin Ma, Xia Shi, Jianjian Liu, Li Liu, and et al. 2024. "HIV-MTB Co-Infection Reduces CD4+ T Cells and Affects Granuloma Integrity" Viruses 16, no. 8: 1335. https://doi.org/10.3390/v16081335
APA StyleHuang, S., Liu, M., Zhang, H., Song, W., Guo, W., Feng, Y., Ma, X., Shi, X., Liu, J., Liu, L., Qi, T., Wang, Z., Yan, B., & Shen, Y. (2024). HIV-MTB Co-Infection Reduces CD4+ T Cells and Affects Granuloma Integrity. Viruses, 16(8), 1335. https://doi.org/10.3390/v16081335

