Abstract
The West Nile virus (WNV) subtype Kunjin virus (WNVKUN) is endemic to Australia. Here, we characterized the classical WNVKUN strain, OR393. The original OR393 strain contained two types of viruses: small plaque-forming virus (SP) and large plaque-forming virus (LP). The amino acid residues at positions 156 and 332 in the E protein (E156 and E332) of SP were Ser and Lys (E156S/332K), respectively, whereas those in LP were Phe and Thr (E156F/332T). SP grew slightly faster than LP in vitro. The E protein of SP was N-glycosylated, whereas that of LP was not. Analysis using two recombinant single-mutant LP viruses, rKUNV-LP-EF156S and rKUNV-LP-ET332K, indicated that E156S enlarged plaques formed by LP, but E332K potently reduced them, regardless of the amino acid at E156. rKUNV-LP-EF156S showed significantly higher neuroinvasive ability than LP, SP, and rKUNV-LP-ET332K. Our results indicate that the low-pathogenic classical WNVKUN can easily change its pathogenicity through only a few amino acid substitutions in the E protein. It was also found that Phe at E156 of the rKUNV-LP-ET332K was easily changed to Ser during replication in vitro and in vivo, suggesting that E156S is advantageous for the propagation of WNVKUN in mammalian cells.
1. Introduction
The West Nile Virus (WNV) is the etiological agent of West Nile fever/West Nile encephalitis. Most (~75%) human WNV infections are asymptomatic, and 1 in 150–250 symptomatic cases develops neuroinvasive disorders [1]. Approximately 10% of patients with neuroinvasive diseases die; however, the fatality rate is age-dependent and higher in patients over 70 years of age [1]. WNV is a mosquito-borne flavivirus and a member of the Japanese encephalitis virus serocomplex, which includes other clinically important human pathogenic viruses, such as the Japanese encephalitis virus, St. Louis encephalitis virus, Usutu virus, and Murry Valley encephalitis virus [1]. The WNV was first isolated from a febrile patient in Uganda in 1937 [2]. After the 1950s, several small outbreaks of WNV infection occurred in Africa, the Middle East, parts of Europe, and India, and the virus was considered to induce a mild febrile illness (West Nile fever) [3]. However, since the 1990s, the number of severe and fatal neurological cases of WNV infection (West Nile encephalitis) has gradually increased. In 1999, a WNV circulating in the Middle East and Northern Africa was introduced into the New Continent and spread rapidly throughout the region [4,5,6].
WNV is transmitted in enzootic cycles involving Culex mosquito vectors and virus reservoir birds, and humans and domestic animals, such as horses, are considered incidental hosts. Humans are infected with WNV by being bitten, mainly by Culex mosquitoes. No specific drugs or vaccines are available for WNV infection in humans. Although several vaccine candidates against WNV are currently being developed, they have not been approved for human use [7]. WNV can be classified into nine lineages (L1-L9) [8]. L1 is the most widely distributed lineage of WNV [5]. L1 strains have been identified in many regions, including the Americas, Africa, Europe, Russia, India, the Middle East, and Australia [9]. L1 strains show highly virulent phenotypes and are involved in serious outbreaks in humans. L1 can be subdivided into three sub-lineages (L1a, L1b, and L1c). The WNV NY99 strain, a representative WNV strain isolated during the first WNV outbreak in the USA, with a highly virulent phenotype in mice, belongs to L1a. L1b is composed of a WNV subtype Kunjin virus strain (WNVKUN), which is unique to Australia and the only WNV lineage present in Australia [10]. WNVKUN has also been isolated from Malaysia [11]. WNVKUN causes only mild clinical symptoms in humans and horses, and there have been no reports of death among confirmed cases of infection [12]. These findings suggest that WNVKUN may be useful for the development of a live-attenuated vaccine against WNV infection [13,14,15]. However, an outbreak of encephalitis caused by WNVKUN occurred in horses in Southeastern Australia in 2011, indicating that a virulent WNVKUN had emerged in the area since the early 2010s [16,17]. Moreover, Prow et al. suggested that not only less virulent but also highly virulent strains of WNVKUN have circulated in Australia since the 1980s [18], suggesting that the classical WNVKUN strains are not always suitable for the development of live-attenuated WNV vaccines, and comprehensive virulence analysis is also required for the development of vaccines.
The classic WNVKUN strain OR393 was isolated from Culex mosquitoes in Australia in 1974 [19,20]. Several reports have demonstrated that the glycosylation of the potential N-glycosylation site (residues 154–156, Asn-Tyr-Ser) in the WNV E protein is partially involved in its infectivity and pathogenicity, though the modification is not required for WNV pathogenicity in birds [8,9,18,21,22,23,24,25,26]. Most WNV strains are glycosylated at position 154 of E, whereas some classical WNVKUN strains are not. Previous sequence analysis of OR393 revealed that the amino acid at position 156 of the E protein (E156) is Phe (Asn-Tyr-Phe), indicating that the E protein of OR393 is not glycosylated as well as less virulent than classic WNVKUN strains [18,19]. In this study, we focused on the OR393 strain and examined its in vitro and in vivo properties to assess its utility in the development of a live-attenuated WNV vaccine.
2. Materials and Methods
2.1. Viruses
The WNVKUN OR393 strain was isolated from Culex mosquitoes in East Kimberley, Western Australia, in 1974 (GenBank accession No. AF196503) [19]. Large plaque-forming virus (LP) and small plaque-forming virus (SP) clones of OR393 were obtained using the limiting-dilution method as described previously [27]. Complete nucleotide sequences of the LP-F and SP-B clones were determined. A working virus stock was prepared via amplification in Vero cells.
2.2. Cell Culture
African green monkey kidney Vero cells (strain 9013), human neuroblastoma IMR-32 cells, and mouse neuroblastoma Neuro-2a cells were cultured at 37 °C in 5% CO2 in Eagle’s minimal essential medium (MEM) (Sigma-Aldrich, St. Louis, MO, USA) supplemented with 10% heat-inactivated fetal bovine serum (FBS) (CORNING, Corning, NY, USA) and 100 U/mL of penicillin–streptomycin (Nacalai Tesque, Kyoto, Japan). Mosquito Aedes albopictus-derived C6/36 cells were maintained at 28 °C under 5% CO2 in MEM supplemented with 10% heat-inactivated FBS and 100 U/mL of penicillin–streptomycin.
2.3. Plaque Formation Assay for Titration of Infectious Viruses and Analysis of Growth Kinetics
Infectious viral titers for each sample were determined using plaque formation assays. Vero cells (approximately 5 × 105/well) were seeded into 12-well culture plates and inoculated with each virus for 1 h at 37 °C. Next, MEM-based overlay medium containing 1% methylcellulose (FUJIFILM Wako Pure Chemical, Osaka, Japan) and 2% FBS was added to the wells, and the cells were incubated for 5 or 6 days at 36–37 °C, after which they were fixed using a 10% formalin–PBS solution and stained with methylene blue. The diameters (width of the core of the comet-shaped plaques) of 10 plaques were measured, and the mean plaque size (mm ± SD) was calculated. Differences in mean plaque sizes were analyzed using Student’s t-test. The ability of WNVKUN strains to grow in vitro was analyzed as previously described [28]. Briefly, cells were cultured in six-well culture plates and infected with each WNVKUN strain in 3 mL of MEM supplemented with 2% FBS (2F/MEM) at a multiplicity of infection (MOI) of 0.01–0.05 plaque-forming units (PFU)/cell. Small aliquots (200 μL) of the media were collected at one-day intervals, and infectious viral titers were determined using a plaque formation assay in Vero cells, as described above. Infectious virus titers in samples from virus-inoculated mice were statistically compared using GraphPad Prism version 7 (GraphPad Software, Boston, MA, USA) and the Mann–Whitney U test. Statistical significance was set at p < 0.05.
2.4. Immunoblotting
Culture supernatants and cells were collected 24 and 48 h after virus inoculation, and the cells were lysed in RIPA Buffer (Nacalai Tesque). The supernatant and lysate samples were subjected to SDS-PAGE on a 4–12% gradient polyacrylamide gel (Thermo Fisher Scientific, Waltham, MA, USA). Immunoblotting was performed using an anti-WNV E rabbit polyclonal antibody (GTX132052; GeneTex, Irvine, CA, USA). To examine the glycosylation status of E protein, aliquots of the supernatants and cell lysates were treated with endoglycosidase H (Endo H) and peptide N-glycosidase F (PNGase F) for 90 min at 37 °C according to the manufacturer’s instructions (New England Biolabs, Ipswich, MA, USA) before Western blotting.
2.5. Establishment of a Reverse-Genetics System for the WNVKUN
A reverse-genetics system for the WNVKUN OR393 large-plaque strain (LP-F; GenBank accession no. LC802099) was established as previously described [29], with some modifications (Supplementary Figure S1). Four viral cDNA fragments (A region: 1-3072, B region: 2832-6013, C region: 5721-8913, and D region: 8595-11020) were synthesized and amplified using a PrimeScript II High Fidelity One-Step RT-PCR kit (Takara Bio, Shiga, Japan). Primers used for amplification are listed in Supplementary Table S1. Each of the four PCR products was inserted into the SmaI site of the plasmid pMW119 (Nippon Gene, Tokyo, Japan) using an In-Fusion HD cloning kit (Takara Bio) and then amplified in E. coli STBL2 (Thermo Fisher Scientific, Waltham, MA, USA). The nucleotide sequences of the plasmid clones AKUNV/pMW, BKUNV/pMW, CKUNV/pMW, and DKUNV/pMW were verified prior to the next amplification step. The four fragments were amplified from the plasmid clones via PCR using the Q5 hot-start PCR master mix (New England Biolabs, Ipswich, MA, USA) and then concatenated to form a full-length amplicon via joint PCR using a 5′-terminal primer with a T7 promoter sequence (T7-KUNV_001f) and a 3-terminal primer (KUNV_11020r). The full-length WNVKUN cDNA amplicon was transcribed using mMESSAGEmMACHINE T7 RNA transcription kit (Thermo Fisher Scientific), and after DNase I treatment and RNA purification, the synthesized RNA was transfected into Vero cells using the TransIT-mRNA Transfection kit (Mirus Bio, Madison, WI, USA), and cells were incubated for 6 days. The culture supernatant fluid was recovered, and a small aliquot was inoculated into Vero cells to amplify the recombinant WNVKUN virus rKUNV. The nucleotide sequence of the recombinant virus was determined using Sanger sequencing, and no unintentional nucleotide mutations were detected.
2.6. Production of Point Mutant WNVKUN
To produce the point mutant viruses rKUNV-LP-EF156S and rKUNV-LP-ET332K, the A-region clone AKUNV/pMW was amplified via inverse PCR using primers with point mutations U1433C (EF156S) and C1961A (ET332K), respectively (Supplementary Table S1). The PCR products were self-ligated and amplified in E. coli. The resultant clones AKUNV_U1433C/pMW and AKUNV_C1961A/pMW were used to produce recombinant WNVKUN mutants, as described above. The nucleotide sequences of the mutant viruses were determined, and no unintentional mutations were detected.
2.7. Mouse Challenge Experiment and Sample Collection
Female ddY mice (Japan SLC, Shizuoka, Japan) were used for challenge tests. For neuroinvasive analysis, groups of mice (3 weeks old, n = 6) were inoculated intraperitoneally (i.p.) with 100 μL (5 × 104 PFU and 5 × 105 PFU) of the virus solution diluted in 0.9% NaCl solution. The mice were observed, and their body weights were measured daily for 20 days after inoculation to assess survival rates. Survival curves were compared using GraphPad Prism version 7 and log-rank (Mantel–Cox) tests. Statistical significance was set at p < 0.05. To analyze neurovirulence, groups of mice (4 weeks old, n = 6) were inoculated intracerebrally (i.c.) with 30 μL (3 × 102 PFU and 3 × 103 PFU) of the virus solution, and the mice were observed to determine survival rates, as described above.
For growth analysis, groups of mice (n = 5) were inoculated i.p. with 100 μL (1 × 105 PFU) of virus solution. The serum, brain, and spleen were collected from mice at 2 and 5 days post-infection, and the infectious titer and RNA levels of the infectious virus in the samples were measured, as described above and below. Tissue weights were determined, and the tissues were homogenized in 500 μL of 2F/MEM for 30 s at 6000 rpm using Precellys Evolution Touch (Bertin Technologies, Montigny-le-Bretonneux, France). The homogenate was used to measure infectious virus titers and viral genomic copy numbers as described above and below. The nucleotide sequences at positions E156 and E332 were determined using Sanger sequencing of several brain samples.
2.8. Measurement of Viral Genome Copy Number
Total RNA was extracted from the serum samples using a High Pure Viral RNA Purification Kit (Roche Diagnostics, Indianapolis, IN, USA). To measure the total copy number of the viral genome in the cells and supernatant, we used the real-time RT-PCR (TaqMan) method with the probe WNV_3538p and primers WNVcom.3451f and WNVcom.3590r, as described in Supplemental Table S1. Partial cDNA of the WNVKUN pAKUN clone (AY274505, nt 3301-3800) [30] was synthesized in vitro and inserted into the T7 promoter site downstream of the cloning plasmid pTAC-2 (Eurofins Genomics, Tokyo, Japan). Positive control RNA was synthesized from the plasmid using the mMASSAGE mMACHINE T7 kit, as described above. Genome copy numbers were statistically compared using GraphPad Prism version 7. Statistical significance was set at p < 0.05.
3. Results
3.1. WNVKUN OR393 Contained Small-Sized Plaque and Large-Sized Plaque Viruses
A plaque assay was conducted using Vero cells to determine the infectious titer of the WNVKUN OR393 strain (Figure 1A). The original virus solution contained at least two distinct types of viruses: small plaque-forming virus (SP) and large plaque-forming virus (LP). Single-clone viruses were obtained from the original virus solution using the limiting dilution method to determine the nucleotide sequences of the SP and LP variants. Four SP and three LP clones were obtained (Figure 1B). The complete nucleotide sequences of the two clones from each group (SP-A, SP-B, LP-E, and LP-F) were determined (Table 1). There were six nucleotide variations among the clones, but two (nucleotides 1433 and 1961) of the six sites were different between the SP and LP clones; nucleotides 1433 and 1961 were C and A, respectively, in the SP clones, and U and C, respectively, in the LP clones. The two sites were in the E protein-coding region, and amino acid residues at nucleotides 1433 (amino acid 156 in E, E156) and 1961 (amino acid 332 in E, E332) were Ser (ES156) and Lys (EK332), respectively, in the SP clones, but Phe (EF156) and Thr (ET332), respectively, in the LP clones. The other two SP and one LP clones also maintained SP-specific (C1433 and A1961) and LP-specific (U1433 and C1961) sequences at these two positions, respectively (Table 1). These results raise the possibility that these two sites may be associated with the differences in plaque morphology between the SP and LP groups.
Figure 1.
Plaque phenotypes of the original virus, WNVKUN OR393 (A), and subcloned small-sized plaque-forming (SP) and large-sized plaque-forming (LP) OR393 viruses (B). Six days post-inoculation, the cells were fixed and stained.
Table 1.
Nucleotide and amino acid variations in small- and large-plaque clones isolated from the WNVKUN OR393 strain.
3.2. Growth Ability of Small- and Large-Sized Plaque WNVKUN Clones In Vitro
We selected the SP clone SP-B (GenBank accession No. LC802098) and the LP clone LP-F for further characterization in vitro. The growth rate of SP-B was slightly higher than that of LP-F in Vero, mosquito C6/36, human neuroblastoma IMR-32, and mouse neuroblastoma Neuro-2a cells (Figure 2).
Figure 2.
Growth kinetics of OR393 SP-B and LP-F clones in Vero (A), C6/36 (B), IMR-32 (C), and Neuro-2a (D). Cells were infected at MOI of 0.05 (Vero, IMR-32, and Neuro-2a) or 0.01 (C6/36). Values: means ± standard deviation from three independent inoculations. Significance was analyzed using Student’s t-test. p-values are also indicated.
3.3. Glycosylation Status of the E Protein of Small-Sized and Large-Sized Plaque WNVKUN Clones
Asn at position E154 is an N-linked glycosylation site in the WNV E protein, and the amino acid motif from E154 to E156 (Asn-Tyr-Ser) is critical for this modification. E156 was Ser in the SP clones and Phe in the LP clones (Table 1). SDS-PAGE and Immunoblot analyses showed that the E protein of SP-B migrated slower than that of LP-F, suggesting that the difference in the migration rate of the E protein between SP-B and LP-F was due to the glycosylation pattern at position E154 (Figure 3A). To confirm the effect of glycosylation of the E protein on the mobility shift, the cell lysate and supernatant samples were treated with two glycosidases, Endo H and PNGase F (Figure 3B,C). PNGase F removes almost all types of N-linked (Asn-linked) glycosylation, while Endo H removes only high-mannose and some hybrid types of N-linked carbohydrates. SP-B E protein treated with the enzymes migrated faster than the untreated SP-B E protein. In contrast, there was no change in the migration rate of the LP-F E protein after treatment with the enzymes. Furthermore, the mobility of the PNGase F-treated SP-B E protein was similar to that of the LP-F E protein. These data indicated that Ser at position E156 is involved in the glycosylation of E in the SP-B clone.
Figure 3.
Immunoblot analysis of culture supernatant and cell lysate of SP-B- and LP-F-infected Vero cells. (A) WNVKUN E protein in the samples was detected with an anti-WNV E antibody GTX132052. (B,C) Cell lysates (B) and culture supernatants (C) were treated with endoglycosidase H (Endo H) and peptide N-glycosidase F (PNGase F) before loading onto an SDS-PAGE gel. WNVKUN E protein in the samples was detected with the anti-WNV E antibody. Mock indicates mock-inoculated samples. (-) indicates non-glycosidase reaction control. Markers indicate molecular weight markers.
3.4. Mutations at E156 and E332 of the WNVKUN LP Clone Affected Plaque Formation and Growth In Vitro
To further investigate the role of the amino acid variations found in SP and LP in vitro and in vivo, a reverse-genetics system for the WNVKUN LP-F clone was established (Figure S1). The plaques formed by the recombinant LP clone (mean diameter ± SD: 1.06 ± 0.124 mm) closely resembled those of the LP-F clone (1.06 ± 0.145 mm) in Vero cells (Figure 4A). Using this system, two mutant WNVKUN LP clones, rKUNV-LP-EF156S and rKUNV-LP-ET332K, were generated (Figure 4A and Figure S1). The plaques formed by rKUNV-LP-EF156S (1.74 ± 0.226 mm) were larger than those formed by SP-B (0.71 ± 0.081 mm) and LP-F (Figure 4A). rKUNV-LP-ET332K formed plaques whose size (0.76 ± 0.087 mm) was similar to that of SP-B. The plaque size of the E156S/332T virus (rKUNV-LP-EF156S) was larger than that of the E156F/332T virus (LP virus), but the size of the E156S/332K virus (SP-B) was equivalent to that of the E156F/332K virus (rKUNV-LP-ET332K). The plaques formed by the E332K viruses (SP-B and rKUNV-LP-ET332K) were smaller than those formed by the E332T viruses (LP clones and rKUNV-LP-EF156S). These results indicate that the amino acid residue of E332 was dominant to that of E156 in regulating the plaque size formed by LP-F, and, therefore, the plaque size is mainly driven by E332 in SP and LP variants (Figure 4B). The growth rate of rKUNV-LP-EF156S and rKUNV-LP-ET332K resembled SP-B in Vero, C6/36, and Neuro-2A cells (Figure 4C). SP-B and rKUNV-LP-ET332K grew faster than rKUNV-LP and rKUNV-LP-EF156S in IMR-32 cells.
Figure 4.
Growth properties of recombinant WNVKUN rKUNV-LP, rKUNV-LP-EF156S, and rKUNV-LP-ET332K. (A) Plaque phenotypes of recombinant WNVKUN viruses in Vero cells. Five days post-inoculation, the cells were fixed and stained. (B) Summary of the relationship between plaque size and the amino acid residues E156 and E332. +, small size; ++, medium size; +++, large size. (C–F) Growth kinetics of recombinant WNVKUN strains in Vero (C), C6/36 (D), IMR-32 (E), and Neuro-2a (F). Cells were infected at MOI of 0.05 (Vero, IMR-32, and Neuro-2a) or 0.01 (C6/36). Values: means ± standard deviation from three independent inoculations. Significance was analyzed using Student’s t-test. p-values (rKUNV-LP vs. rKUNV-LP-EF156S and rKUNV-LP vs. rKUNV-LP-ET332K) are shown in Supplementary Table S2.
3.5. Virulence of the WNVKUN SP and LP Clones and Recombinant WNVKUN Mutants in Mice
We examined the neurovirulence and neuroinvasiveness of the SP, LP, and recombinant mutants in mice. Mice were infected i.c. with SP-B, rKUNV-LP, rKUNV-LP-EF156S, or rKUNV-LP-ET332K. All mice inoculated with 3 × 102 PFU of the viruses survived (Figure 5A). In the 3 × 103 PFU-inoculated groups, all mice inoculated with rKUNV-LP died at 5 days post-infection, whereas all mice inoculated with SP-B, rKUNV-LP-EF156S, or rKUNV-LP-ET332K died at 6 days post-infection (Figure 5B).
Figure 5.
Neurovirulence and neuroinvasiveness of the recombinant WNVKUN strains. (A,B) Survival curves of mice inoculated i.c. with 3 × 102 PFU (A) and 3 × 103 PFU (B) of rKUNV-LP (n = 6), rKUNV-LP-EF156S (n = 6), rKUNV-LP-ET332K (n = 6), or KUNV-SP-B (n = 6). (C,D) Survival curves of mice intraperitoneally inoculated with 5 × 104 PFU or 5 × 105 PFU of rKUNV-LP (n = 6), rKUNV-LP-EF156S (n = 6), rKUNV-LP-ET332K (n = 6), or KUNV-SP-B (n = 6). Significant P values determined by log-rank (Mantel–Cox) tests are also indicated. No deaths occurred in the saline-inoculated group.
Mice were also infected i.p. with the four viruses. In the group infected with 5 × 104 PFU, one (16.7%), three (50%), and four (66.7%) out of six mice inoculated with rKUNV-LP, rKUNV-LP-ET332K, and SP-B, respectively, died within the observation period, whereas all rKUNV-LP-EF156S-infected mice died by 10 days post-infection (Figure 5C). In the group infected with 5 × 105 PFU, at least four (66.7%) of the six mice inoculated with rKUNV-LP, rKUNV-LP-ET332K, or SP-B survived throughout the observation period, but all mice inoculated with rKUNV-LP-EF156S died within 9 days post-infection (Figure 5D).
3.6. Growth of the WNVKUN SP and LP Clones and Recombinant WNVKUN Mutants in Mice
Infectious viruses and viral RNA levels were investigated in mice inoculated i.p. with the recombinant viruses (Figure 6). Two days after inoculation, infectious viruses were detected in most serum and spleen samples, although no infectious viruses were detected in the brains of any of the four groups. High levels of viremia were observed in the sera of mice inoculated with rKUNV-LP-EF156S, rKUNV-LP-ET332K, and SP-B strains (Figure 6A). The levels of viral RNA in the serum samples were also significantly higher in rKUNV-LP-EF156S-, rKUNV-LP-ET332K-, and SP-B-inoculated mice than in rKUNV-LP-inoculated animals (Figure S2). In spleen samples, no clear differences in infectious titers were observed among the strains (Figure 6C). Five days after inoculation, the number of infectious viruses decreased and was not observed in half of the serum samples from any of the four groups (Figure 6A). In the brain samples, significantly higher levels of the infectious virus were detected in the rKUNV-LP-EF156S-inoculated group (Figure 6B). In contrast, the level of infectious viruses in SP-B-infected mice was higher than that in rKUNV-LP-EF156S-infected mice (Figure 6C). Samples from rKUNV-LP-infected mice showed lower levels of viremia and infectious viruses than those from other virus-infected groups.
Figure 6.
Levels of infectious virus at 2 and 5 days after inoculation of WNVKUN-infected mice. Mice inoculated i.p. with 1 × 104 PFU of KUNV-SP-B (n = 5), rKUNV-LP (n = 5), rKUNV-LP-EF156S (n = 5), or rKUNV-LP-ET332K (n = 5) were euthanized at 2 or 5 days after inoculation, and serum (A), brain (B), and spleen (C) samples were collected. Sera and tissue homogenates were used to quantify the infectious virus titer (PFU/mL or g). Dotted line: detection limit. Geometric mean titers and geometric standard deviations are indicated by horizontal bars. Significance was analyzed using the Mann–Whitney U test (* p < 0.05, ** p < 0.01).
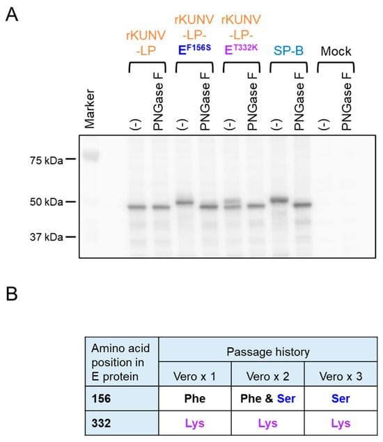
3.7. Genomic Stability of the E156 and E332 Mutations in the Recombinant WNVKUN Mutants
We confirmed the N-glycosylation of recombinant WNVKUN E proteins in Vero cells via immunoblot analysis (Figure 7A). The E protein of rKUNV-LP-EF156S, similar to SP-B, migrated more slowly than rKUNV-LP, and the mobility of the PNGase F-treated rKUNV-LP-EF156S E protein was similar to that of the rKUNV-LP E protein, indicating that the rKUNV-LP-EF156S E protein was glycosylated in Vero cells. However, two different migration signals, rKUNV-LP-like and SP-B-like (slow) patterns, were observed in rKUNV-LP-ET332K-infected cell samples, and the SP-B-like pattern disappeared after treatment with PNGase F. Nucleotide sequences at sites E156 and E332 were determined in rKUNV-LP-ET332K passaged once, twice, and three times in Vero cells (Figure 7B). No mutation at E332 was observed in the three viruses, whereas the amino acid residue at E156 was partially changed from Phe to Ser (from U to C at nucleotide position 1433) in the twice-passaged virus and completely changed in the three-times-passaged virus. We also examined the nucleotide sequences of sites E156 and E332 in day 5 mouse brain samples used for the growth analysis shown in Figure 6 (Table S3). The amino acid residue at E156 of the virus detected in the rKUNV-LP-ET332K-infected mouse brains was Ser (C at nucleotide position 1433) in all three samples examined. Partial amino acid changes from Phe to Ser were also observed in the brain samples of mice infected with rKUNV-LP.
Figure 7.
(A) Immunoblot analysis of cell lysates from recombinant WNVKUN-infected Vero cells. Cells were collected 48 h after virus inoculation and lysed. The cell lysate was treated with PNGase F before loading onto SDS-PAGE gel. WNVKUN E protein in the samples was detected using an anti-WNV E antibody. SP-B-infected cell samples were used as N-glycosylation-positive controls. Mock indicates mock-infected Vero cell lysates. (−): no PNGase F-treated lysate. (B) Amino acid residues at E156 and E332 in rKUNV-LP-ET332K viruses passaged repeatedly in Vero cells.
4. Discussion
In this study, we investigated the characteristics of the WNVKUN OR393 strain, which was isolated from Culex mosquitoes in Australia in the 1970s, to evaluate the possibility of using this virus as a candidate backbone to develop a live-attenuated WNV vaccine. However, the original stock of the virus was mixed with two substrains (LP and SP) with different plaque-formation abilities in Vero cells.
We obtained several clones of LP and SP, and their nucleotide sequences indicated that the two amino acid residues at E156 and E332 are involved in the plaque phenotype. Adams et al. showed that the amino acid residue of E156 of OR393 was phenylalanine [19], suggesting that the mutation at E156 may have occurred during the process of virus passage, although the exact passage history is unknown. As mentioned later, we proved in this study that the mutation at E156 occurs easily by passaging rKUNV-LP-ET332K in Vero cells (Figure 7). Analysis using recombinant WNVKUN mutants clearly showed that the E156S virus formed larger plaques than the E156F virus when the residue E332 was Thr. The WNV E protein is composed of three structural domains: I, II, and III (EDI, EDII, and EDIII) [31]. E156 is located on the N-glycosylation motif (Asn-Tyr-Ser) in the EDI, and this residue influences the N-glycosylation of the Asn residue at E154, suggesting that glycosylation is associated with the plaque morphology of WNVKUN. We confirmed that the E protein of SP-B is N-glycosylated, whereas that of LP-F is not. However, E332K potently decreased the plaque size, regardless of the residue at position E156. These results indicate that the residue of E332 is a dominant determinant of plaque size. The LP strains (LP-F and rKUNV-LP) grew slower than the other strains, indicating that the combination of E156F and E332T decreased virus growth in cultured cells. The threonine residue at E332 is conserved among WNVKUN, and the Lys residue at this position is unique to SP-B (Figure S3). Although the reason why E332K emerged during passaging in the mouse brain and Vero cells remains unknown, our data imply that E332K may be advantageous for growth in Vero cells or the mouse brain when the residue in E156 is phenylalanine rather than serine. Our plaque and growth analyses in Vero cells also demonstrated that the growth rate is not necessarily correlated with plaque size in Vero cells among OR393 substrains.
The survival curves of the four WNVKUN strains in the i.c. inoculation experiments were similar, and all infected mice died 6 days post-infection, suggesting that these viruses have equivalent neurovirulence in mice. However, all rKUNV-LP-inoculated mice died 5 days post-infection, whereas mice inoculated with the other strains died 6 days post-infection in the 3 × 103 PFU/mouse group. Moreover, in the 1.5 × 104 PFU/mouse inoculation, all rKUNV-LP-inoculated mice died at 5 days post-infection; however, most of the mice inoculated with the other strains died at 6 days post-infection (Figure S4). These results were unexpected because previous reports have revealed that E156S in WNV is a virulent type, but E156F is not. An analysis using chimeric viruses between the virulent WNV and non-pathogenic WNVKUN also suggested that not only E156 but also other regions of the E protein are important for the pathogenicity of WNV [25]. E332 is located in EDIII, which forms an immunoglobulin-like domain that is thought to play a crucial role in receptor binding and viral attachment to the cell surface (Figure S5) [32]. Mutations in EDIII result in altered virulence, suggesting that this domain is involved in viral pathogenesis [33,34].
In contrast, the results of i.p. inoculation indicated that rKUNV-LP-EF156S exhibited a significantly higher neuroinvasive ability than the other three strains. Furthermore, the infectious virus levels in rKUNV-LP-EF156S-infected mouse brains were higher than those in mice infected with other viruses. These results demonstrated that the E156S/332T-type virus has the potential to increase the neuroinvasiveness of WNVKUN. Previous studies have indicated the importance of N-glycosylation of E protein in the neurovirulence and neuroinvasiveness of WNV in mammalian hosts [8,9,21,22,23,25]. Glycosylation influences virus binding to cell surface attachment factors and the infectivity of WNV [24]. WNV strains containing N-glycosylation at E154 use DC-SIGN, a C-type lectin present on the surface of dendritic cells, as an attachment factor to enhance infection compared with non-glycosylated strains [35]. DC-SIGNR also promotes WNV infection more efficiently than DC-SIGN in mammalian cells, and this effect is dependent on N-glycosylation [36]. These previous findings may help understand the basis of the increased growth and pathogenicity of the E156S/332T-type WNVKUN strains. In contrast, E156S/332K-type SP-B resulted in lower viremia levels and neuroinvasiveness than E156S/332T-type rKUNV-LP-EF156S in mice. The E156F/332T-type rKUNV-LP showed the lowest neuroinvasiveness and infectious virus levels in the serum, brain, and spleen of mice, implying that, in contrast to the results of the neurovirulence analysis, the combination of E156F and E332T may be negatively associated with neuroinvasiveness in mice. Thus, our data suggest that the amino acid residues at E156 and E332 of WNVKUN play different roles in neurovirulence and neuroinvasiveness. Further comprehensive analyses are required to understand the mechanisms of action of these residues. Generally, pathogenic WNV produces large plaques, which are indicative of rapid cell proliferation. However, our data demonstrated that the plaque size formed by infection with WNV cannot be used as an indicator of its virulence [37]. Our results also showed that low-pathogenic classical strains of WNVKUN could be easily transformed into highly pathogenic viruses by only a few amino acid substitutions in the E protein. The outbreak of WNV in horses in Australia in the 2010s may have been caused by several mutations in the WNVKUN genome that made the virus more virulent [18]. It is important to continue to analyze the genome of the virus and pay attention to the genome sequences of WNVKUN.
Our data in Figure 7 and Table S3 show that the Phe residue at E156 in rKUNV-LP-ET332K was rapidly replaced with Ser in Vero cells and in mice. This implies that rKUNV-LP-ET332K is changed to the SP (E156S/332K) virus by passaging in these cells. The plaque sizes formed by SP-B and rKUNV-LP-ET332K were so close that it was difficult to discern the viruses using plaque morphology (Figure 4A). These data also raise the possibility that the amino acid residue at E156 may be partially altered in in vitro growth analysis and virulence analysis in mice. The neuroinvasiveness of rKUNV-LP-ET332K was intermediate compared to that of rKUNV-LP and SP-B (Figure 5C). However, the amino acid residue of E332 of rKUNV-LP-ET332K was changed from Lys to Thr in mouse brain samples inoculated with the virus (Table S3), suggesting that the neuroinvasive ability of rKUNV-LP-ET332K may be associated with a Phe-to-Ser substitution at E156 of the virus in mice.
This study showed that LP-F exhibited lower neuroinvasiveness than SP-B. Furthermore, the neuroinvasiveness of LP-F was lower than that of the two recombinant WNVKUN viruses produced in this study. An analysis of the attenuated JE vaccine strain SA 14-14-2 revealed that 10 amino acids in the E protein are involved in the attenuation of the parental JEV strain SA 14 [38,39]. WNV is genetically close to JEV, and 9 of the 10 mutation sites involved in JEV attenuation are conserved in WNV. Chimeri-Vax-WN02, a live chimeric WNV vaccine based on the YFV vaccine strain, also incorporates three of the nine putative attenuating mutations [40]. The LP strain of WNVKUN OR393 exhibited weak neuroinvasiveness; therefore, the LP strain could be more easily attenuated than the NY99 strain. A safer, live-attenuated WNV vaccine could be developed by introducing putative attenuating mutations into the LP strain; however, it must be kept in mind that the genomic sequence of LP may not be necessarily stable in host cells.
Supplementary Materials
The following supporting information can be downloaded at: https://www.mdpi.com/article/10.3390/v16081237/s1, Figure S1: Schematic representation of the recombinant WNVKUN production. Figure S2: Levels of genomic copy number at 2 and 5 days after inoculation of WNVKUN-infected mice. Figure S3: Comparison of the amino acid sequences of the E protein (501 residues) in the WNVKUN and L1 WNV strains NY99. Figure S4: Neurovirulence of the WNVKUN strains. Figure S5: Structure of West Nile virus E protein (PDB ID: 2I69). Table S1: List of oligonucleotides used in this study. Table S2: p values in Figure 4. Table S3: Amino acid residues at positions E156 and E332 in viruses recovered from brain samples in Figure 6.
Author Contributions
Conceptualization, S.T.; methodology, S.T.; investigation, S.T.; writing—original draft, S.T.; writing—Review and editing, S.T. and C.-K.L.; supervision, C.-K.L. and H.E.; funding acquisition, S.T. and C.-K.L. All authors have read and agreed to the published version of the manuscript.
Funding
This research was supported by the Research Program on Emerging and Re-emerging Infectious Diseases of the Japan Agency for Medical Research and Development (AMED) under grant number JP23fk0108656.
Institutional Review Board Statement
Animal experiments were performed in accordance with the Guidelines for Animal Experiments Performed at the NIID, under approvals on 6 October 2022 (No. 122139), 27 April 2023 (No. 123017), and 30 November 2023 (No. 123128) from the Animal Welfare and Animal Care Committee of NIID, Japan. All efforts were made to minimize pain and distress. Mice infected with WNVKUN were observed daily for adverse reactions and signs of the disease. For the collection of organ samples, mice were euthanized using isoflurane.
Informed Consent Statement
Not applicable.
Data Availability Statement
The data presented in this study are available upon request from the corresponding author.
Acknowledgments
The authors are deeply grateful to Roy A. Hall (University of Queensland, Australia), John S. Mackenzie (Curtin University, Australia), and Tomohiko Takasaki (BML) for providing the WNVKUN strain OR393. The authors also thank Satoshi Taniguchi (University of Tokyo), Shoko Nishiyama, Eri Nakayama, Takahiro Maeki, Naoko Katsuta, and Ken-ichi Shibasaki (NIID) for their technical assistance.
Conflicts of Interest
The authors declare no conflicts of interest. The authors had no role in the design of the study; collection, analysis, or interpretation of data; writing of the manuscript; or decision to publish the results.
References
- Petersen, L.R.; Carson, P.J.; Biggerstaff, B.J.; Custer, B.; Borchardt, S.M.; Busch, M.P. Estimated cumulative incidence of West Nile virus infection in US adults, 1999–2010. Epidemiol. Infect. 2013, 141, 591–595. [Google Scholar] [CrossRef] [PubMed]
- Smithburn, K.C.; Hugues, T.P.; Burke, A.W.; Paul, J.H. A neurotropic virus isolated from the blood of a native of Uganda. Am. J. Trop. Med. Hyg. 1940, 20, 471–492. [Google Scholar] [CrossRef]
- Petersen, L.R.; Marfin, A.A.; Gubler, D.J. West Nile virus. JAMA 2003, 290, 524–528. [Google Scholar] [CrossRef] [PubMed]
- Lanciotti, R.S.; Roehrig, J.T.; Deubel, V.; Smith, J.; Parker, M.; Steele, K.; Crise, B.; Volpe, K.E.; Crabtree, M.B.; Scherret, J.H.; et al. Origin of the West Nile virus responsible for an outbreak of encephalitis in the northeastern United States. Science 1999, 286, 2333–2337. [Google Scholar] [CrossRef] [PubMed]
- Lanciotti, R.S.; Ebel, G.D.; Deubel, V.; Kerst, A.J.; Murri, S.; Meyer, R.; Bowen, M.; McKinney, N.; Morrill, W.E.; Crabtree, M.B.; et al. Complete genome sequences and phylogenetic analysis of West Nile virus strains isolated from the United States, Europe, and the Middle East. Virology 2002, 298, 96–105. [Google Scholar] [CrossRef] [PubMed]
- Petersen, L.R.; Hayes, E.B. West Nile virus in the Americas. Med. Clin. N. Am. 2008, 92, 1307–1322. [Google Scholar] [CrossRef] [PubMed]
- Kaiser, J.A.; Barrett, A.D.T. Twenty Years of Progress Toward West Nile Virus Vaccine Development. Viruses 2019, 11, 823. [Google Scholar] [CrossRef] [PubMed]
- Habarugira, G.; Suen, W.W.; Hobson-Peters, J.; Hall, R.A.; Bielefeldt-Ohmann, H. West Nile Virus: An Update on Pathobiology, Epidemiology, Diagnostics, Control and “One Health” Implications. Pathogens 2020, 9, 589. [Google Scholar] [CrossRef]
- Fiacre, L.; Pages, N.; Albina, E.; Richardson, J.; Lecollinet, S.; Gonzalez, G. Molecular Determinants of West Nile Virus Virulence and Pathogenesis in Vertebrate and Invertebrate Hosts. Int. J. Mol. Sci. 2020, 21, 9117. [Google Scholar] [CrossRef]
- Hall, R.A.; Scherret, J.H.; Mackenzie, J.S. Kunjin virus: An Australian variant of West Nile? Ann. N. Y. Acad Sci. 2001, 951, 153–160. [Google Scholar] [CrossRef]
- Bowen, E.T.W.; Simpson, D.I.H.; Platt, G.S.; Way, H.J.; Smith, C.G.; Ching, C.Y.; Casals, J. Arbovirus infections in Sarawak: The isolation of Kunjin virus from mosquitoes of the Culex pseudovishnui group. Ann. Trop. Med. Parasitol. 1970, 64, 263–268. [Google Scholar] [CrossRef] [PubMed]
- Gray, T.J.; Smith, D.W.; Markey, P.G.; Whelan, P.I.; Burrow, J.N.; Currie, B.J.; Jackson, J. West nile virus (Kunjin subtype) disease in the northern territory of Australia--a case of encephalitis and review of all reported cases. Am. J. Trop. Med. Hyg. 2011, 85, 952–956. [Google Scholar] [CrossRef] [PubMed]
- Hall, R.A.; Nisbet, D.J.; Pham, K.B.; Pyke, A.T.; Smith, G.A.; Khromykh, A.A. DNA vaccine coding for the full-length infectious Kunjin virus RNA protects mice against the New York strain of West Nile virus. Proc. Natl. Acad. Sci. USA 2003, 100, 10460–10464. [Google Scholar] [CrossRef] [PubMed]
- Audsley, M.; Edmonds, J.; Liu, W.; Mokhonov, V.; Mokhonova, E.; Melian, E.B.; Prow, N.; Hall, R.A.; Khromykh, A.A. Virulence determinants between New York 99 and Kunjin strains of West Nile virus. Virology 2011, 414, 63–73. [Google Scholar] [CrossRef] [PubMed]
- Daffis, S.; Lazear, H.M.; Liu, W.J.; Audsley, M.; Engle, M.; Khromykh, A.A.; Diamond, M.S. The naturally attenuated Kunjin strain of West Nile virus shows enhanced sensitivity to the host type I interferon response. J. Virol. 2011, 85, 5664–5668. [Google Scholar] [CrossRef]
- Frost, M.J.; Zhang, J.; Edmonds, J.H.; Prow, N.A.; Gu, X.; Davis, R.; Hornitzky, C.; Arzey, K.E.; Finlaison, D.; Hick, P.; et al. Characterization of virulent West Nile virus Kunjin strain, Australia, 2011. Emerg. Infect. Dis. 2012, 18, 792–800. [Google Scholar] [CrossRef] [PubMed]
- Roche, S.; Wicks, R.; Garner, M.; East, I.; Paskin, R.; Moloney, B.; Carr, M.; Kirkland, P. Descriptive overview of the 2011 epidemic of arboviral disease in horses in Australia. Aust. Vet. J. 2013, 91, 5–13. [Google Scholar] [CrossRef] [PubMed]
- Prow, N.A.; Edmonds, J.H.; Williams, D.T.; Setoh, Y.X.; Bielefeldt-Ohmann, H.; Suen, W.W.; Hobson-Peters, J.; Hurk, A.F.v.D.; Pyke, A.T.; Hall-Mendelin, S.; et al. Virulence and Evolution of West Nile Virus, Australia, 1960–2012. Emerg. Infect. Dis. 2016, 22, 1353–1362. [Google Scholar] [CrossRef] [PubMed]
- Adams, S.; Broom, A.; Sammels, L.; Hartnett, A.; Howard, M.; Coelen, R.; Mackenzie, J.; Hall, R. Glycosylation and antigenic variation among Kunjin virus isolates. Virology 1995, 206, 49–56. [Google Scholar] [CrossRef]
- Scherret, J.H.; Mackenzie, J.S.; Khromykh, A.A.; Hall, R.A. Biological significance of glycosylation of the envelope protein of Kunjin virus. Ann. N. Y. Acad. Sci. 2001, 951, 361–363. [Google Scholar] [CrossRef]
- Chambers, T.J.; Halevy, M.; Nestorowicz, A.; Rice, C.M.; Lustig, S. West Nile virus envelope proteins: Nucleotide sequence analysis of strains differing in mouse neuroinvasiveness. J. Gen. Virol. 1998, 79 Pt 10, 2375–2380. [Google Scholar] [CrossRef]
- Shirato, K.; Miyoshi, H.; Goto, A.; Ako, Y.; Ueki, T.; Kariwa, H.; Takashima, I. Viral envelope protein glycosylation is a molecular determinant of the neuroinvasiveness of the New York strain of West Nile virus. J. Gen. Virol. 2004, 85 Pt 12, 3637–3645. [Google Scholar] [CrossRef]
- Beasley, D.W.C.; Whiteman, M.C.; Zhang, S.; Huang, C.Y.-H.; Schneider, B.S.; Smith, D.R.; Gromowski, G.D.; Higgs, S.; Kinney, R.M.; Barrett, A.D.T. Envelope protein glycosylation status influences mouse neuroinvasion phenotype of genetic lineage 1 West Nile virus strains. J. Virol. 2005, 79, 8339–8347. [Google Scholar] [CrossRef] [PubMed]
- Hanna, S.L.; Pierson, T.C.; Sanchez, M.D.; Ahmed, A.A.; Murtadha, M.M.; Doms, R.W. N-linked glycosylation of west nile virus envelope proteins influences particle assembly and infectivity. J. Virol. 2005, 79, 13262–13274. [Google Scholar] [CrossRef] [PubMed]
- Alsaleh, K.; Khou, C.; Frenkiel, M.-P.; Lecollinet, S.; Vàzquez, A.; de Arellano, E.R.; Després, P.; Pardigon, N. The E glycoprotein plays an essential role in the high pathogenicity of European-Mediterranean IS98 strain of West Nile virus. Virology 2016, 492, 53–65. [Google Scholar] [CrossRef] [PubMed]
- Maharaj, P.D.; Langevin, S.A.; Bolling, B.G.; Andrade, C.C.; Engle, X.A.; Ramey, W.N.; Bosco-Lauth, A.; Bowen, R.A.; Sanders, T.A.; Huang, C.Y.-H.; et al. N-linked glycosylation of the West Nile virus envelope protein is not a requisite for avian virulence or vector competence. PLoS Negl. Trop. Dis. 2019, 13, e0007473. [Google Scholar] [CrossRef] [PubMed]
- Tajima, S.; Taniguchi, S.; Nakayama, E.; Maeki, T.; Inagaki, T.; Lim, C.-K.; Saijo, M. Amino Acid at Position 166 of NS2A in Japanese Encephalitis Virus (JEV) is Associated with In Vitro Growth Characteristics of JEV. Viruses 2020, 12, 709. [Google Scholar] [CrossRef] [PubMed]
- Tajima, S.; Taniguchi, S.; Nakayama, E.; Maeki, T.; Inagaki, T.; Saijo, M.; Lim, C.K. Immunogenicity and Protective Ability of Genotype I-Based Recombinant Japanese Encephalitis Virus (JEV) with Attenuation Mutations in E Protein against Genotype V JEV. Vaccines 2021, 9, 1077. [Google Scholar] [CrossRef] [PubMed]
- Tajima, S.; Kataoka, M.; Takamatsu, Y.; Ebihara, H.; Lim, C.K. Mutations in the 3′ non-coding region of a no-known vector flavivirus Yokose virus increased its replication ability in mosquito C6/36 cells. Virology 2024, 589, 109928. [Google Scholar] [CrossRef]
- Liu, W.J.; Chen, H.B.; Khromykh, A.A. Molecular and functional analyses of Kunjin virus infectious cDNA clones demonstrate the essential roles for NS2A in virus assembly and for a nonconservative residue in NS3 in RNA replication. J. Virol. 2003, 77, 7804–7813. [Google Scholar] [CrossRef]
- Nybakken, G.E.; Nelson, C.A.; Chen, B.R.; Diamond, M.S.; Fremont, D.H. Crystal structure of the West Nile virus envelope glycoprotein. J. Virol. 2006, 80, 11467–11474. [Google Scholar] [CrossRef] [PubMed]
- Zhang, S.; Bovshik, E.I.; Maillard, R.; Gromowski, G.D.; Volk, D.E.; Schein, C.H.; Huang, C.Y.-H.; Gorenstein, D.G.; Lee, J.C.; Barrett, A.D.; et al. Role of BC loop residues in structure, function and antigenicity of the West Nile virus envelope protein receptor-binding domain III. Virology 2010, 403, 85–91. [Google Scholar] [CrossRef] [PubMed]
- McAuley, A.J.; Torres, M.; Plante, J.A.; Huang, C.Y.; Bente, D.A.; Beasley, D.W.C. Recovery of West Nile Virus Envelope Protein Domain III Chimeras with Altered Antigenicity and Mouse Virulence. J. Virol. 2016, 90, 4757–4770. [Google Scholar] [CrossRef] [PubMed]
- Goo, L.; VanBlargan, L.A.; Dowd, K.A.; Diamond, M.S.; Pierson, T.C. A single mutation in the envelope protein modulates flavivirus antigenicity, stability, and pathogenesis. PLoS Pathog. 2017, 13, e1006178. [Google Scholar] [CrossRef] [PubMed]
- Martina, B.E.; Koraka, P.; van den Doel, P.; Rimmelzwaan, G.F.; Haagmans, B.L.; Osterhaus, A.D. DC-SIGN enhances infection of cells with glycosylated West Nile virus in vitro and virus replication in human dendritic cells induces production of IFN-alpha and TNF-alpha. Virus Res. 2008, 135, 64–71. [Google Scholar] [CrossRef] [PubMed]
- Davis, C.W.; Nguyen, H.Y.; Hanna, S.L.; Sanchez, M.D.; Doms, R.W.; Pierson, T.C. West Nile virus discriminates between DC-SIGN and DC-SIGNR for cellular attachment and infection. J. Virol. 2006, 80, 1290–1301. [Google Scholar] [CrossRef] [PubMed]
- Kaiser, J.A.; Wang, T.; Barrett, A.D. Virulence determinants of West Nile virus: How can these be used for vaccine design? Future Virol. 2017, 12, 283–295. [Google Scholar] [CrossRef]
- Gromowski, G.D.; Firestone, C.Y.; Whitehead, S.S. Genetic Determinants of Japanese Encephalitis Virus Vaccine Strain SA14-14-2 That Govern Attenuation of Virulence in Mice. J. Virol. 2015, 89, 6328–6337. [Google Scholar] [CrossRef]
- Yang, D.; Li, X.-F.; Ye, Q.; Wang, H.-J.; Deng, Y.-Q.; Zhu, S.-Y.; Zhang, Y.; Li, S.-H.; Qin, C.-F. Characterization of live-attenuated Japanese encephalitis vaccine virus SA14-14-2. Vaccine 2014, 32, 2675–2681. [Google Scholar] [CrossRef]
- Arroyo, J.; Miller, C.; Catalan, J.; Myers, G.A.; Ratterree, M.S.; Trent, D.W.; Monath, T.P. ChimeriVax-West Nile virus live-attenuated vaccine: Preclinical evaluation of safety, immunogenicity, and efficacy. J. Virol. 2004, 78, 12497–12507. [Google Scholar] [CrossRef]
Disclaimer/Publisher’s Note: The statements, opinions and data contained in all publications are solely those of the individual author(s) and contributor(s) and not of MDPI and/or the editor(s). MDPI and/or the editor(s) disclaim responsibility for any injury to people or property resulting from any ideas, methods, instructions or products referred to in the content. |
© 2024 by the authors. Licensee MDPI, Basel, Switzerland. This article is an open access article distributed under the terms and conditions of the Creative Commons Attribution (CC BY) license (https://creativecommons.org/licenses/by/4.0/).






