Measles Virus-Based Vaccine Expressing Membrane-Anchored Spike of SARS-CoV-2 Inducing Efficacious Systemic and Mucosal Humoral Immunity in Hamsters
Abstract
1. Introduction
2. Materials and Methods
2.1. Ethical Approval
2.2. Plasmid
2.3. Recovery of MeV-hu191 Recombinants Expressing Omicron BA.2 S Antigens
2.4. Multi-Step Growth Curves
2.5. Plaque Assay
2.6. Detection of Omicron BA.2 Spike Protein Expression in Infected Cells by Indirect Immunofluorescence Assays
2.7. Analysis of Omicron BA.2 S Antigen Expression by Western Blotting
2.8. Sucrose Gradient Fractionation
2.9. Immunization and Challenge Studies in Golden Syrian Hamsters
2.10. Detection of Omicron BA.2 Spike-Specific IgG and IgA Antibodies by ELISA
2.11. Detection of SARS-CoV-2 (Omicron BA.2, Prototype Strain, and XBB.1.16) and Measles Virus Neutralizing Antibodies by Microneutralization Assays
2.12. Measurement of Omicron BA.2 Genomic RNA Burden by Quantitative Real-Time PCR (qRT-PCR)
2.13. Histopathology and Immunohistochemistry (IHC)
2.14. Statistical Analysis
3. Results
3.1. Rescue and Characterization of rMeVs Expressing Prefusion Spike Proteins of SARS-CoV-2 Omicron BA.2
3.2. Omicron BA.2 S Antigens Were Highly Expressed by rMeV Vector
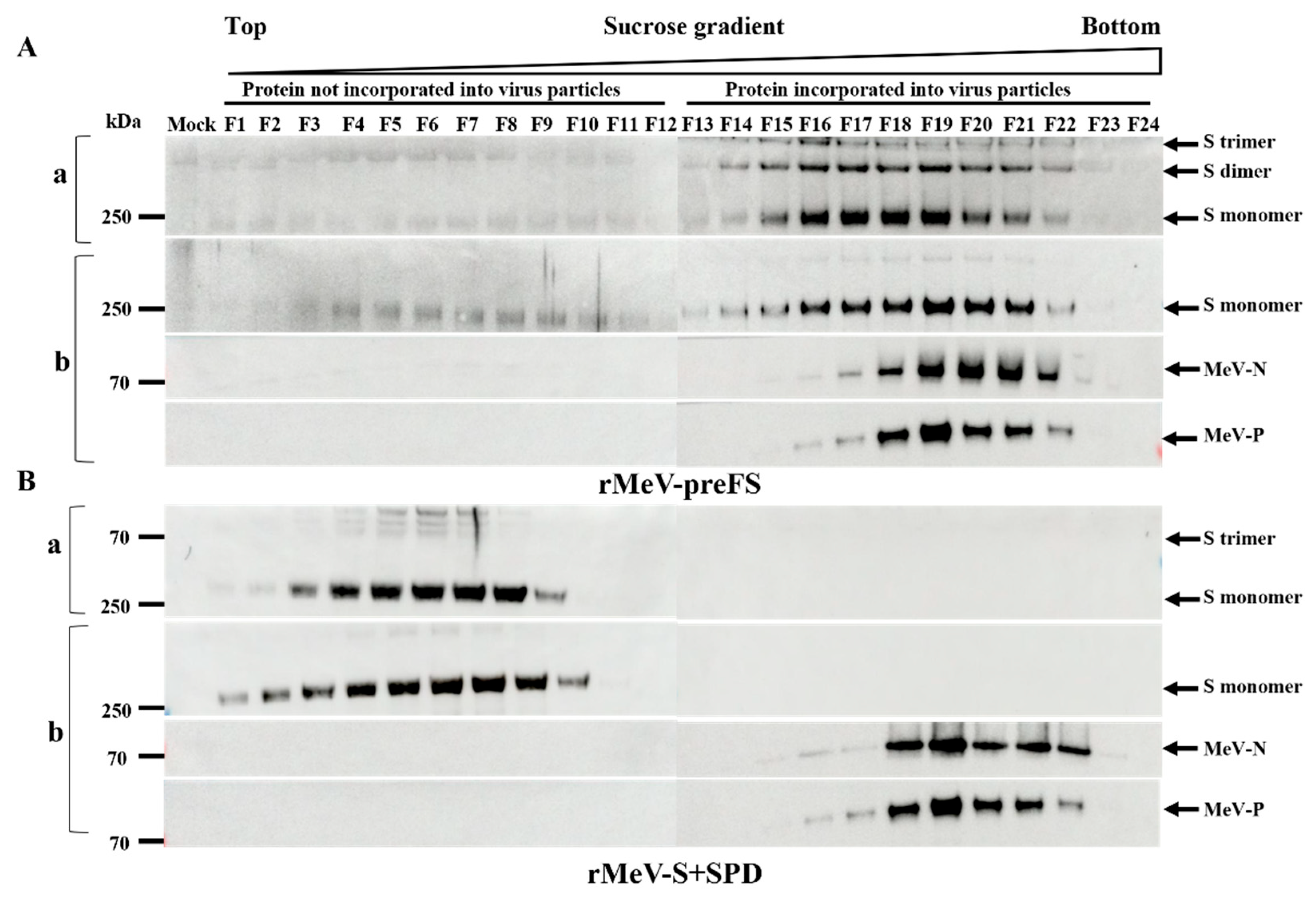
3.3. The Spike Proteins Expressed by rMeV-preFS and rMeV-S+SPD Were Successfully Incorporated into Measles Virions and Secreted
3.4. Immunization with rMeV-preFS Induced a Strong Mucosal IgA Response
3.5. rMeV-preFS Was Highly Immunogenic in Golden Syrian Hamsters via the Intranasal Route
3.6. rMeV-preFS Vaccine Reduced Virus Loads following Homogeneous Omicron BA.2 Challenge in Golden Syrian Hamsters
3.7. rMeV-preFS Vaccination Protected Hamsters from Omicron BA.2-Induced Lung Pathology
4. Discussion
Supplementary Materials
Author Contributions
Funding
Institutional Review Board Statement
Informed Consent Statement
Data Availability Statement
Conflicts of Interest
References
- Li, Q.; Guan, X.; Wu, P.; Wang, X.; Zhou, L.; Tong, Y.; Ren, R.; Leung, K.S.M.; Lau, E.H.Y.; Wong, J.Y.; et al. Early transmission dynamics in Wuhan, China, of novel coronavirus-infected pneumonia. N. Engl. J. Med. 2020, 382, 1199–1207. [Google Scholar] [CrossRef] [PubMed]
- Lucas, C.; Vogels, C.B.F.; Yildirim, I.; Rothman, J.E.; Lu, P.; Monteiro, V.; Gehlhausen, J.R.; Campbell, M.; Silva, J.; Tabachnikova, A.; et al. Impact of circulating SARS-CoV-2 variants on mRNA vaccine-induced immunity. Nature 2021, 600, 523–529. [Google Scholar] [CrossRef] [PubMed]
- Widge, A.T.; Rouphael, N.G.; Jackson, L.A.; Anderson, E.J.; Roberts, P.C.; Makhene, M.; Chappell, J.D.; Denison, M.R.; Stevens, L.J.; Pruijssers, A.J.; et al. Durability of responses after SARS-CoV-2 mRNA-1273 vaccination. N. Engl. J. Med. 2021, 384, 80–82. [Google Scholar] [CrossRef] [PubMed]
- Fenwick, C.; Turelli, P.; Pellaton, C.; Farina, A.; Campos, J.; Raclot, C.; Pojer, F.; Cagno, V.; Nusslé, S.G.; D’Acremont, V.; et al. A high-throughput cell- and virus-free assay shows reduced neutralization of SARS-CoV-2 variants by COVID-19 convalescent plasma. Sci. Transl. Med. 2021, 13, eabi8452. [Google Scholar] [CrossRef] [PubMed]
- Liu, Z.; VanBlargan, L.A.; Bloyet, L.-M.; Rothlauf, P.W.; Chen, R.E.; Stumpf, S.; Zhao, H.; Errico, J.M.; Theel, E.S.; Liebeskind, M.J.; et al. Identification of SARS-CoV-2 spike mutations that attenuate monoclonal and serum antibody neutralization. Cell Host Microbe 2021, 29, 477–488.e4. [Google Scholar] [CrossRef] [PubMed]
- Bowen, J.E.; Sprouse, K.R.; Walls, A.C.; Mazzitelli, I.G.; Logue, J.K.; Franko, N.M.; Ahmed, K.; Shariq, A.; Cameroni, E.; Gori, A.; et al. Omicron BA.1 and BA.2 neutralizing activity elicited by a comprehensive panel of human vaccines. BioRxiv 2022. [Google Scholar] [CrossRef]
- Iketani, S.; Liu, L.; Guo, Y.; Liu, L.; Chan, J.F.-W.; Huang, Y.; Wang, M.; Luo, Y.; Yu, J.; Chu, H.; et al. Antibody evasion properties of SARS-CoV-2 Omicron sublineages. Nature 2022, 604, 553–556. [Google Scholar] [CrossRef] [PubMed]
- Ai, J.; Wang, X.; He, X.; Zhao, X.; Zhang, Y.; Jiang, Y.; Li, M.; Cui, Y.; Chen, Y.; Qiao, R.; et al. Antibody evasion of SARS-CoV-2 Omicron BA.1, BA.1.1, BA.2, and BA.3 sub-lineages. Cell Host Microbe 2022, 30, 1077–1083.e4. [Google Scholar] [CrossRef]
- Song, H.C.; Seo, M.-Y.; Stadler, K.; Yoo, B.J.; Choo, Q.-L.; Coates, S.R.; Uematsu, Y.; Harada, T.; Greer, C.E.; Polo, J.M.; et al. Synthesis and characterization of a native, oligomeric form of recombinant severe acute respiratory syndrome coronavirus spike glycoprotein. J. Virol. 2004, 78, 10328–10335. [Google Scholar] [CrossRef] [PubMed]
- Li, J.; Ulitzky, L.; Silberstein, E.; Taylor, D.R.; Viscidi, R. Immunogenicity and protection efficacy of monomeric and trimeric recombinant SARS coronavirus spike protein subunit vaccine candidates. Viral Immunol. 2013, 26, 126–132. [Google Scholar] [CrossRef] [PubMed]
- Li, T.; Zheng, Q.; Yu, H.; Wu, D.; Xue, W.; Xiong, H.; Huang, X.; Nie, M.; Yue, M.; Rong, R.; et al. SARS-CoV-2 spike produced in insect cells elicits high neutralization titers in non-human primates. Emerg. Microbes Infect. 2020, 9, 2076–2090. [Google Scholar] [CrossRef] [PubMed]
- Liang, J.G.; Su, D.; Song, T.-Z.; Zeng, Y.; Huang, W.; Wu, J.; Xu, R.; Luo, P.; Yang, X.; Zhang, X.; et al. S-Trimer, a COVID-19 subunit vaccine candidate, induces protective immunity in nonhuman primates. Nat. Commun. 2021, 12, 1346. [Google Scholar] [CrossRef] [PubMed]
- McLellan, J.S.; Chen, M.; Leung, S.; Graepel, K.W.; Du, X.; Yang, Y.; Zhou, T.; Baxa, U.; Yasuda, E.; Beaumont, T.; et al. Structure of RSV fusion glycoprotein trimer bound to a prefusion-specific neutralizing antibody. Science 2013, 340, 1113–1117. [Google Scholar] [CrossRef] [PubMed]
- Kwong, P.D.; Mascola, J.R. HIV-1 vaccines based on antibody identification, B cell ontogeny, and epitope structure. Immunity 2018, 48, 855–871. [Google Scholar] [CrossRef]
- Lu, M.; Dravid, P.; Zhang, Y.; Trivedi, S.; Li, A.; Harder, O.; Kc, M.; Chaiwatpongsakorn, S.; Zani, A.; Kenney, A.; et al. A safe and highly efficacious measles virus-based vaccine expressing SARS-CoV-2 stabilized prefusion spike. Proc. Natl. Acad. Sci. USA 2021, 118, e2026153118. [Google Scholar] [CrossRef] [PubMed]
- Zhou, Z.; Post, P.; Chubet, R.; Holtz, K.; McPherson, C.; Petric, M.; Cox, M. A recombinant baculovirus-expressed S glycoprotein vaccine elicits high titers of SARS-associated coronavirus (SARS-CoV) neutralizing antibodies in mice. Vaccine 2006, 24, 3624–3631. [Google Scholar] [CrossRef] [PubMed]
- Azad, T.; Singaravelu, R.; Crupi, M.J.F.; Jamieson, T.; Dave, J.; Brown, E.E.F.; Rezaei, R.; Taha, Z.; Boulton, S.; Martin, N.T.; et al. Implications for SARS-CoV-2 vaccine design: Fusion of spike glycoprotein transmembrane domain to receptor-binding domain induces trimerization. Membranes 2020, 10, 215. [Google Scholar] [CrossRef]
- Lu, J.; Willis, A.C.; Reid, K.B. Purification, characterization and cDNA cloning of human lung surfactant protein D. Biochem. J. 1992, 284 Pt 3, 795–802. [Google Scholar] [CrossRef] [PubMed]
- Li, P.; Zhou, J.; Zhou, Y.; Qian, C.; Li, O.; Min, H.; Wu, X. The coiled-coil neck domain of human pulmonary surfactant protein D drives trimerization and stabilization of thioredoxin, a heterologous non-collagenous protein. Protein Pept. Lett. 2009, 16, 306–311. [Google Scholar] [CrossRef]
- McAlinden, A.; Crouch, E.C.; Bann, J.G.; Zhang, P.; Sandell, L.J. Trimerization of the amino propeptide of type IIα procollagen using a 14-amino acid sequence derived from the coiled-coil neck domain of surfactant protein D. J. Biol. Chem. 2002, 277, 41274–41281. [Google Scholar] [CrossRef] [PubMed]
- De, G. Measles vaccine. Viral Immunol. 2018, 31, 86–95. [Google Scholar] [CrossRef]
- Tangy, F.; Naim, H.Y. Live attenuated measles vaccine as a potential multivalent pediatric vaccination vector. Viral Immunol. 2005, 18, 317–326. [Google Scholar] [CrossRef] [PubMed]
- Mühlebach, M.D. Vaccine platform recombinant measles virus. Virus Genes 2017, 53, 733–740. [Google Scholar] [CrossRef] [PubMed]
- Yang, Z.H.; Pei, J.; Guo, J.; Shen, S. Establishment of reverse genetic system to construct recombinant MV-S191. J. Path. Biol. 2023, 637–642+649. (In Chinese) [Google Scholar] [CrossRef]
- Zuniga, A.; Wang, Z.; Liniger, M.; Hangartner, L.; Caballero, M.; Pavlovic, J.; Wild, P.; Viret, J.F.; Glueck, R.; Billeter, M.A.; et al. Attenuated measles virus as a vaccine vector. Vaccine 2007, 25, 2974–2983. [Google Scholar] [CrossRef] [PubMed]
- Kim, E.; Attia, Z.; Woodfint, R.M.; Zeng, C.; Kim, S.H.; Steiner, H.E.; Shukla, R.K.; Liyanage, N.P.M.; Ghimire, S.; Li, J.; et al. Inhibition of elastase enhances the adjuvanticity of alum and promotes anti-SARS-CoV-2 systemic and mucosal immunity. Proc. Natl. Acad. Sci. USA 2021, 118, e2102435118. [Google Scholar] [CrossRef] [PubMed]
- Sterlin, D.; Mathian, A.; Miyara, M.; Mohr, A.; Anna, F.; Claër, L.; Quentric, P.; Fadlallah, J.; Devilliers, H.; Ghillani, P.; et al. IgA dominates the early neutralizing antibody response to SARS-CoV-2. Sci. Transl. Med. 2021, 13, eabd2223. [Google Scholar] [CrossRef] [PubMed]
- Sun, L.; Kallolimath, S.; Palt, R.; Stiasny, K.; Mayrhofer, P.; Maresch, D.; Eidenberger, L.; Steinkellner, H. Increased in vitro neutralizing activity of SARS-CoV-2 IgA1 dimers compared to monomers and IgG. Proc. Natl. Acad. Sci. USA 2021, 118, e2107148118. [Google Scholar] [CrossRef] [PubMed]
- Terreri, S.; Piano Mortari, E.; Vinci, M.R.; Russo, C.; Alteri, C.; Albano, C.; Colavita, F.; Gramigna, G.; Agrati, C.; Linardos, G.; et al. Persistent B cell memory after SARS-CoV-2 vaccination is functional during breakthrough infections. Cell Host Microbe 2022, 30, 400–408.e4. [Google Scholar] [CrossRef] [PubMed]
- Mirchamsy, H.; Razavi, J.; Ahurai, P. Pathogenesis of vaccine strains of measles virus in suckling hamsters. Acta Virol. 1972, 16, 77–79. [Google Scholar] [PubMed]
- Wear, D.J.; Rapp, F. Encephalitis in newborn hamsters after intracerebral injection of attenuated human measles virus. Nature 1970, 227, 1347–1348. [Google Scholar] [CrossRef] [PubMed]
- Hoffmann, M.; Hofmann-Winkler, H.; Krüger, N.; Kempf, A.; Nehlmeier, I.; Graichen, L.; Arora, P.; Sidarovich, A.; Moldenhauer, A.-S.; Winkler, M.S.; et al. SARS-CoV-2 variant B.1.617 is resistant to bamlanivimab and evades antibodies induced by infection and vaccination. Cell Rep. 2021, 36, 109415. [Google Scholar] [CrossRef] [PubMed]
- Sun, W.; McCroskery, S.; Liu, W.-C.; Leist, S.R.; Liu, Y.; Albrecht, R.A.; Slamanig, S.; Oliva, J.; Amanat, F.; Schäfer, A.; et al. A Newcastle disease virus (NDV) expressing a membrane-anchored spike as a cost-effective inactivated SARS-CoV-2 vaccine. Vaccines 2020, 8, 771. [Google Scholar] [CrossRef] [PubMed]
- Sun, W.; Liu, Y.; Amanat, F.; González-Domínguez, I.; McCroskery, S.; Slamanig, S.; Coughlan, L.; Rosado, V.; Lemus, N.; Jangra, S.; et al. A Newcastle disease virus expressing a stabilized spike protein of SARS-CoV-2 induces protective immune responses. Nat. Commun. 2021, 12, 6197. [Google Scholar] [CrossRef]
- Willet, M.; Kurup, D.; Papaneri, A.; Wirblich, C.; Hooper, J.W.; Kwilas, S.A.; Keshwara, R.; Hudacek, A.; Beilfuss, S.; Rudolph, G.; et al. Preclinical development of inactivated rabies virus-based polyvalent vaccine against rabies and filoviruses. J. Infect. Dis. 2015, 212, 414–424. [Google Scholar] [CrossRef] [PubMed][Green Version]
- Blaney, J.E.; Marzi, A.; Willet, M.; Papaneri, A.B.; Wirblich, C.; Feldmann, F.; Holbrook, M.; Jahrling, P.; Feldmann, H.; Schnell, M.J. Antibody quality and protection from lethal Ebola virus challenge in nonhuman primates immunized with rabies virus based bivalent vaccine. PLoS Pathog. 2013, 9, e1003389. [Google Scholar] [CrossRef] [PubMed]
- Kurup, D.; Wirblich, C.; Ramage, H.; Schnell, M.J. Rabies virus-based COVID-19 vaccine CORAVAXTM induces high levels of neutralizing antibodies against SARS-CoV-2. NPJ Vaccines 2020, 5, 98. [Google Scholar] [CrossRef] [PubMed]
- Kim, G.N.; Choi, J.-A.; Wu, K.; Saeedian, N.; Yang, E.; Park, H.; Woo, S.-J.; Lim, G.; Kim, S.-G.; Eo, S.-K.; et al. A vesicular stomatitis virus-based prime-boost vaccination strategy induces potent and protective neutralizing antibodies against SARS-CoV-2. PLoS Pathog. 2021, 17, e1010092. [Google Scholar] [CrossRef] [PubMed]
- Gerke, C.; Frantz, P.N.; Ramsauer, K.; Tangy, F. Measles-vectored vaccine approaches against viral infections: A focus on Chikungunya. Expert. Rev. Vaccines 2019, 18, 393–403. [Google Scholar] [CrossRef] [PubMed]
- Vanhoutte, F.; Liu, W.; Wiedmann, R.T.; Haspeslagh, L.; Cao, X.; Boundy, K.; Aliprantis, A.; Davila, M.; Hartzel, J.; Li, J.; et al. Safety and immunogenicity of the measles vector-based SARS-CoV-2 vaccine candidate, V591, in adults: Results from a phase 1/2 randomized, double-blind, placebo-controlled, dose-ranging trial. EBioMedicine 2022, 75, 103811. [Google Scholar] [CrossRef] [PubMed]
- Zhang, Y.; Lu, M.; Thongpan, I.; Xu, J.; Kc, M.; Dravid, P.; Trivedi, S.; Sharma, H.; Liang, X.; Kapoor, A.; et al. Recombinant measles virus expressing prefusion spike protein stabilized by six rather than two prolines is more efficacious against SARS-CoV-2 infection. J. Med. Virol. 2023, 95, e28687. [Google Scholar] [CrossRef] [PubMed]
- Neutra, M.R.; Kozlowski, P.A. Mucosal vaccines: The promise and the challenge. Nat. Rev. Immunol. 2006, 6, 148–158. [Google Scholar] [CrossRef] [PubMed]
- Iwasaki, A. Exploiting mucosal immunity for antiviral vaccines. Annu. Rev. Immunol. 2016, 34, 575–608. [Google Scholar] [CrossRef] [PubMed]
- Lu, L.; Mok, B.W.; Chen, L.L.; Chan, J.M.; Tsang, O.T.; Lam, B.H.; Chuang, V.W.; Chu, A.W.; Chan, W.M.; Ip, J.D.; et al. Neutralization of severe acute respiratory syndrome coronavirus 2 Omicron variant by sera from BNT162b2 or CoronaVac vaccine recipients. Clin. Infect. Dis. 2022, 75, 822–826. [Google Scholar] [CrossRef] [PubMed]
- Carreño, J.M.; Alshammary, H.; Tcheou, J.; Singh, G.; Raskin, A.J.; Kawabata, H.; Sominsky, L.A.; Clark, J.J.; Adelsberg, D.C.; Bielak, D.A.; et al. Activity of convalescent and vaccine serum against SARS-CoV-2 Omicron. Nature 2022, 602, 682–688. [Google Scholar] [CrossRef] [PubMed]
- Tang, J.; Zeng, C.; Cox, T.M.; Li, C.; Son, Y.M.; Cheon, I.S.; Wu, Y.; Behl, S.; Taylor, J.J.; Chakaraborty, R.; et al. Respiratory mucosal immunity against SARS-CoV-2 after mRNA vaccination. Sci. Immunol. 2022, 7, eadd4853. [Google Scholar] [CrossRef] [PubMed]
- Prompetchara, E.; Ketloy, C.; Palaga, T. Immune responses in COVID-19 and potential vaccines: Lessons learned from SARS and MERS epidemic. Asian Pac. J. Allergy Immunol. 2020, 38, 1–9. [Google Scholar] [CrossRef] [PubMed]
- Orenstein, W.A.; Cairns, L.; Hinman, A.; Nkowane, B.; Olivé, J.M.; Reingold, A.L. Measles and Rubella Global Strategic Plan 2012-2020 midterm review report: Background and summary. Vaccine 2018, 36, 35–42. [Google Scholar] [CrossRef] [PubMed]
- Zhang, Y.; Lu, M.; Mahesh, K.C.; Kim, E.; Shamseldin, M.M.; Ye, C.; Dravid, P.; Chamblee, M.; Park, J.-G.; Hall, J.M.; et al. A highly efficacious live attenuated mumps virus-based SARS-CoV-2 vaccine candidate expressing a six-proline stabilized prefusion spike. Proc. Natl. Acad. Sci. USA 2022, 119, e2201616119. [Google Scholar] [CrossRef] [PubMed]
- Chen, Y.; Liu, Q.; Guo, D. Emerging coronaviruses: Genome structure, replication, and pathogenesis. J. Med. Virol. 2020, 92, e12823. [Google Scholar] [CrossRef]







Disclaimer/Publisher’s Note: The statements, opinions and data contained in all publications are solely those of the individual author(s) and contributor(s) and not of MDPI and/or the editor(s). MDPI and/or the editor(s) disclaim responsibility for any injury to people or property resulting from any ideas, methods, instructions or products referred to in the content. |
© 2024 by the authors. Licensee MDPI, Basel, Switzerland. This article is an open access article distributed under the terms and conditions of the Creative Commons Attribution (CC BY) license (https://creativecommons.org/licenses/by/4.0/).
Share and Cite
Yang, Z.-H.; Song, Y.-L.; Pei, J.; Li, S.-Z.; Liu, R.-L.; Xiong, Y.; Wu, J.; Liu, Y.-L.; Fan, H.-F.; Wu, J.-H.; et al. Measles Virus-Based Vaccine Expressing Membrane-Anchored Spike of SARS-CoV-2 Inducing Efficacious Systemic and Mucosal Humoral Immunity in Hamsters. Viruses 2024, 16, 559. https://doi.org/10.3390/v16040559
Yang Z-H, Song Y-L, Pei J, Li S-Z, Liu R-L, Xiong Y, Wu J, Liu Y-L, Fan H-F, Wu J-H, et al. Measles Virus-Based Vaccine Expressing Membrane-Anchored Spike of SARS-CoV-2 Inducing Efficacious Systemic and Mucosal Humoral Immunity in Hamsters. Viruses. 2024; 16(4):559. https://doi.org/10.3390/v16040559
Chicago/Turabian StyleYang, Zhi-Hui, Yan-Li Song, Jie Pei, Song-Zhuang Li, Rui-Lun Liu, Yu Xiong, Jie Wu, Yuan-Lang Liu, Hui-Fen Fan, Jia-Hui Wu, and et al. 2024. "Measles Virus-Based Vaccine Expressing Membrane-Anchored Spike of SARS-CoV-2 Inducing Efficacious Systemic and Mucosal Humoral Immunity in Hamsters" Viruses 16, no. 4: 559. https://doi.org/10.3390/v16040559
APA StyleYang, Z.-H., Song, Y.-L., Pei, J., Li, S.-Z., Liu, R.-L., Xiong, Y., Wu, J., Liu, Y.-L., Fan, H.-F., Wu, J.-H., Wang, Z.-J., Guo, J., Meng, S.-L., Chen, X.-Q., Lu, J., & Shen, S. (2024). Measles Virus-Based Vaccine Expressing Membrane-Anchored Spike of SARS-CoV-2 Inducing Efficacious Systemic and Mucosal Humoral Immunity in Hamsters. Viruses, 16(4), 559. https://doi.org/10.3390/v16040559

