A Small-Particle Aerosol Model of Ebolavirus Zaire Infection in Ferrets
Abstract
1. Introduction
2. Methods
3. Results
3.1. Clinical Observations
3.2. Serological and Hematological Analysis
3.3. Tissue Titers
3.4. Gross Pathology
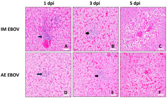
3.5. Microscopic Pathology Findings
3.6. Immunohistochemical Findings
3.7. Transcriptomics
4. Discussion
Supplementary Materials
Author Contributions
Funding
Institutional Review Board Statement
Data Availability Statement
Acknowledgments
Conflicts of Interest
References
- Malvy, D.; McElroy, A.K.; de Clerck, H.; Gunther, S.; van Griensven, J. Ebola virus disease. Lancet 2019, 393, 936–948. [Google Scholar] [CrossRef] [PubMed]
- WHO Ebola Response Team; Agua-Agum, J.; Allegranzi, B.; Ariyarajah, A.; Aylward, R.; Blake, I.M.; Barboza, P.; Bausch, D.; Brennan, R.J.; Clement, P.; et al. After Ebola in West Africa—Unpredictable Risks, Preventable Epidemics. N. Engl. J. Med. 2016, 375, 587–596. [Google Scholar] [CrossRef] [PubMed]
- Schiffman, Z.; Liu, G.; Cao, W.; Zhu, W.; Emeterio, K.; Qiu, X.; Banadyga, L. The Ferret as a Model for Filovirus Pathogenesis and Countermeasure Evaluation. ILAR J. 2022, 61, 62–71. [Google Scholar] [CrossRef] [PubMed]
- Enkirch, T.; von Messling, V. Ferret models of viral pathogenesis. Virology 2015, 479–480, 259–270. [Google Scholar] [CrossRef]
- Cross, R.W.; Mire, C.E.; Borisevich, V.; Geisbert, J.B.; Fenton, K.A.; Geisbert, T.W. The Domestic Ferret (Mustela putorius furo) as a Lethal Infection Model for 3 Species of Ebolavirus. J. Infect. Dis. 2016, 214, 565–569. [Google Scholar] [CrossRef]
- de La Vega, M.A.; Soule, G.; Tran, K.N.; Tierney, K.; He, S.; Wong, G.; Qiu, X.; Kobinger, G.P. Modeling Ebola Virus Transmission Using Ferrets. mSphere 2018, 3, 10–1128. [Google Scholar] [CrossRef]
- Kozak, R.; He, S.; Kroeker, A.; de La Vega, M.A.; Audet, J.; Wong, G.; Urfano, C.; Antonation, K.; Embury-Hyatt, C.; Kobinger, G.P.; et al. Ferrets Infected with Bundibugyo Virus or Ebola Virus Recapitulate Important Aspects of Human Filovirus Disease. J. Virol. 2016, 90, 9209–9223. [Google Scholar] [CrossRef]
- Kroeker, A.; He, S.; de La Vega, M.A.; Wong, G.; Embury-Hyatt, C.; Qiu, X. Characterization of Sudan Ebolavirus infection in ferrets. Oncotarget 2017, 8, 46262–46272. [Google Scholar] [CrossRef]
- Watson, R.J.; Tree, J.; Fotheringham, S.A.; Hall, Y.; Dong, X.; Steeds, K.; Gouriet, J.; Salguero, F.J.; Burton, C.; Pitman, J.; et al. Dose-Dependent Response to Infection with Ebola Virus in the Ferret Model and Evidence of Viral Evolution in the Eye. J. Virol. 2021, 95, e0083321. [Google Scholar] [CrossRef]
- Yan, F.; He, S.; Banadyga, L.; Zhu, W.; Zhang, H.; Rahim, M.N.; Collignon, B.; Senthilkumaran, C.; Embury-Hyatt, C.; Qiu, X. Characterization of Reston virus infection in ferrets. Antiviral Res. 2019, 165, 1–10. [Google Scholar] [CrossRef]
- Clayton, B.A.; Middleton, D.; Arkinstall, R.; Frazer, L.; Wang, L.F.; Marsh, G.A. The Nature of Exposure Drives Transmission of Nipah Viruses from Malaysia and Bangladesh in Ferrets. PLoS Negl. Trop. Dis. 2016, 10, e0004775. [Google Scholar] [CrossRef] [PubMed]
- Au, G.G.; Marsh, G.A.; McAuley, A.J.; Lowther, S.; Trinidad, L.; Edwards, S.; Todd, S.; Barr, J.; Bruce, M.P.; Poole, T.B.; et al. Characterisation and natural progression of SARS-CoV-2 infection in ferrets. Sci. Rep. 2022, 12, 5680. [Google Scholar] [CrossRef] [PubMed]
- Brasel, T.; Comer, J.E.; Massey, S.; Smith, J.; Smith, J.; Hyde, M.; Kocsis, A.; Gainey, M.; Niemuth, N.; Triplett, C.; et al. Mucosal Challenge Ferret Models of Ebola Virus Disease. Pathogens 2021, 10, 292. [Google Scholar] [CrossRef] [PubMed]
- Cross, R.W.; Mire, C.E.; Agans, K.N.; Borisevich, V.; Fenton, K.A.; Geisbert, T.W. Marburg and Ravn Viruses Fail to Cause Disease in the Domestic Ferret (Mustela putorius furo). J. Infect. Dis. 2018, 218 (Suppl. S5), S448–S452. [Google Scholar] [CrossRef]
- Wong, G.; Zhang, Z.; He, S.; de La Vega, M.A.; Tierney, K.; Soule, G.; Tran, K.; Fernando, L.; Qiu, X. Marburg and Ravn Virus Infections Do Not Cause Observable Disease in Ferrets. J. Infect. Dis. 2018, 218 (Suppl. S5), S471–S474. [Google Scholar] [CrossRef]
- Wong, G.; Leung, A.; He, S.; Cao, W.; De La Vega, M.A.; Griffin, B.D.; Soule, G.; Kobinger, G.P.; Kobasa, D.; Qiu, X. The Makona Variant of Ebola Virus Is Highly Lethal to Immunocompromised Mice and Immunocompetent Ferrets. J. Infect. Dis. 2018, 218 (Suppl. S5), S466–S470. [Google Scholar] [CrossRef]
- Wong, G.; He, S.; Leung, A.; Cao, W.; Bi, Y.; Zhang, Z.; Zhu, W.; Wang, L.; Zhao, Y.; Cheng, K.; et al. Naturally Occurring Single Mutations in Ebola Virus Observably Impact Infectivity. J. Virol. 2019, 93, 10–1128. [Google Scholar] [CrossRef]
- Schiffman, Z.; Garnett, L.; Tran, K.N.; Cao, W.; He, S.; Emeterio, K.; Tierney, K.; Azaransky, K.; Strong, J.E.; Banadyga, L. The Inability of Marburg Virus to Cause Disease in Ferrets Is Not Solely Linked to the Virus Glycoprotein. J. Infect. Dis. 2023, 228 (Suppl. S7), S594–S603. [Google Scholar] [CrossRef]
- Osterholm, M.T.; Moore, K.A.; Kelley, N.S.; Brosseau, L.M.; Wong, G.; Murphy, F.A.; Peters, C.J.; LeDuc, J.W.; Russell, P.K.; Van Herp, M.; et al. Transmission of Ebola viruses: What we know and what we do not know. mBio 2015, 6, e00137. [Google Scholar] [CrossRef]
- McCarthy, M. Texas healthcare worker is diagnosed with Ebola. BMJ 2014, 349, g6200. [Google Scholar] [CrossRef][Green Version]
- Judson, S.D.; Munster, V.J. Nosocomial Transmission of Emerging Viruses via Aerosol-Generating Medical Procedures. Viruses 2019, 11, 940. [Google Scholar] [CrossRef] [PubMed]
- Sagripanti, J.L.; Rom, A.M.; Holland, L.E. Persistence in darkness of virulent alphaviruses, Ebola virus, and Lassa virus deposited on solid surfaces. Arch. Virol. 2010, 155, 2035–2039. [Google Scholar] [CrossRef] [PubMed]
- Harbourt, D.E.; Johnston, S.C.; Pettitt, J.; Warren, T.K.; Dorman, W.R. Detection of Ebola Virus RNA Through Aerosol Sampling of Animal Biosafety Level 4 Rooms Housing Challenged Nonhuman Primates. J. Infect. Dis. 2017, 215, 554–558. [Google Scholar] [CrossRef] [PubMed][Green Version]
- Johnson, E.; Jaax, N.; White, J.; Jahrling, P. Lethal experimental infections of rhesus monkeys by aerosolized Ebola virus. Int. J. Exp. Pathol. 1995, 76, 227–236. [Google Scholar]
- Leffel, E.K.; Reed, D.S. Marburg and Ebola viruses as aerosol threats. Biosecur. Bioterror. 2004, 2, 186–191. [Google Scholar] [CrossRef]
- Jaax, N.; Jahrling, P.; Geisbert, T.; Geisbert, J.; Steele, K.; McKee, K.; Nagley, D.; Johnson, E.; Jaax, G.; Peters, C. Transmission of Ebola virus (Zaire strain) to uninfected control monkeys in a biocontainment laboratory. Lancet 1995, 346, 1669–1671. [Google Scholar] [CrossRef]
- Weingartl, H.M.; Embury-Hyatt, C.; Nfon, C.; Leung, A.; Smith, G.; Kobinger, G. Transmission of Ebola virus from pigs to non-human primates. Sci. Rep. 2012, 2, 811. [Google Scholar] [CrossRef]
- Kobinger, G.P.; Leung, A.; Neufeld, J.; Richardson, J.S.; Falzarano, D.; Smith, G.; Tierney, K.; Patel, A.; Weingartl, H.M. Replication, pathogenicity, shedding, and transmission of Zaire ebolavirus in pigs. J. Infect. Dis. 2011, 204, 200–208. [Google Scholar] [CrossRef]
- Warren, T.K.; Kane, C.D.; Wells, J.; Stuthman, K.S.; Van Tongeren, S.A.; Garza, N.L.; Donnelly, G.; Steffens, J.; Gomba, L.; Weidner, J.M.; et al. Remdesivir is efficacious in rhesus monkeys exposed to aerosolized Ebola virus. Sci. Rep. 2021, 11, 19458. [Google Scholar] [CrossRef]
- Lever, M.S.; Piercy, T.J.; Steward, J.A.; Eastaugh, L.; Smither, S.J.; Taylor, C.; Salguero, F.J.; Phillpotts, R.J. Lethality and pathogenesis of airborne infection with filoviruses in A129 alpha/beta -/- interferon receptor-deficient mice. J. Med. Microbiol. 2012, 61 Pt 1, 8–15. [Google Scholar] [CrossRef]
- Smither, S.J.; Eastaugh, L.; Ngugi, S.; O’Brien, L.; Phelps, A.; Steward, J.; Lever, M.S. Ebola Virus Makona Shows Reduced Lethality in an Immune-deficient Mouse Model. J. Infect. Dis. 2016, 214 (Suppl. S3), S268–S274. [Google Scholar] [CrossRef] [PubMed]
- Smither, S.J.; Eastaugh, L.S.; Lever, M.S. Comparison of Aerosol Stability of Different Variants of Ebola Virus and Marburg Virus and Virulence of Aerosolised Ebola Virus in an Immune-Deficient Mouse. Viruses 2022, 14, 780. [Google Scholar] [CrossRef] [PubMed]
- Zumbrun, E.E.; Abdeltawab, N.F.; Bloomfield, H.A.; Chance, T.B.; Nichols, D.K.; Harrison, P.E.; Kotb, M.; Nalca, A. Development of a murine model for aerosolized ebolavirus infection using a panel of recombinant inbred mice. Viruses 2012, 4, 3468–3493. [Google Scholar] [CrossRef] [PubMed]
- Smither, S.J.; Eastaugh, L.S.; Steward, J.A.; Nelson, M.; Lenk, R.P.; Lever, M.S. Post-exposure efficacy of oral T-705 (Favipiravir) against inhalational Ebola virus infection in a mouse model. Antiviral Res. 2014, 104, 153–155. [Google Scholar] [CrossRef]
- Twenhafel, N.A.; Shaia, C.I.; Bunton, T.E.; Shamblin, J.D.; Wollen, S.E.; Pitt, L.M.; Sizemore, D.R.; Ogg, M.M.; Johnston, S.C. Experimental aerosolized guinea pig-adapted Zaire ebolavirus (variant: Mayinga) causes lethal pneumonia in guinea pigs. Vet. Pathol. 2015, 52, 21–25. [Google Scholar] [CrossRef]
- Prasad, A.N.; Fenton, K.A.; Agans, K.N.; Borisevich, V.; Woolsey, C.; Comer, J.E.; Dobias, N.S.; Peel, J.E.; Deer, D.J.; Geisbert, J.B.; et al. Pathogenesis of aerosolized Ebola virus variant Makona in nonhuman primates. J. Infect. Dis. 2023, 228, S604–S616. [Google Scholar] [CrossRef]
- Downs, I.; Johnson, J.C.; Rossi, F.; Dyer, D.; Saunders, D.L.; Twenhafel, N.A.; Esham, H.L.; Pratt, W.D.; Trefry, J.; Zumbrun, E.; et al. Natural History of Aerosol-Induced Ebola Virus Disease in Rhesus Macaques. Viruses 2021, 13, 2297. [Google Scholar] [CrossRef]
- Zumbrun, E.E.; Bloomfield, H.A.; Dye, J.M.; Hunter, T.C.; Dabisch, P.A.; Garza, N.L.; Bramel, N.R.; Baker, R.J.; Williams, R.D.; Nichols, D.K.; et al. A characterization of aerosolized Sudan virus infection in African green monkeys, cynomolgus macaques, and rhesus macaques. Viruses 2012, 4, 2115–2136. [Google Scholar] [CrossRef]
- Reed, D.S.; Lackemeyer, M.G.; Garza, N.L.; Sullivan, L.J.; Nichols, D.K. Aerosol exposure to Zaire ebolavirus in three nonhuman primate species: Differences in disease course and clinical pathology. Microbes Infect. 2011, 13, 930–936. [Google Scholar] [CrossRef]
- P’Iankov, O.V.; Sergeev, A.N.; P’Iankova, O.G.; Chepurnov, A.A. Experimental Ebola fever in Macaca mulatta. Vopr. Virusol. 1995, 40, 113–115. [Google Scholar]
- Lub, M.; Sergeev, A.N.; P’Iankov, O.V.; P’Iankova, O.G.; Petrishchenko, V.A.; Kotliarov, L.A. Certain pathogenetic characteristics of a disease in monkeys in infected with the Marburg virus by an airborne route. Vopr. Virusol. 1995, 40, 158–161. [Google Scholar] [PubMed]
- Alves, D.A.; Glynn, A.R.; Steele, K.E.; Lackemeyer, M.G.; Garza, N.L.; Buck, J.G.; Mech, C.; Reed, D.S. Aerosol exposure to the angola strain of marburg virus causes lethal viral hemorrhagic Fever in cynomolgus macaques. Vet. Pathol. 2010, 47, 831–851. [Google Scholar] [CrossRef] [PubMed]
- Hartings, J.M.; Roy, C.J. The automated bioaerosol exposure system: Preclinical platform development and a respiratory dosimetry application with nonhuman primates. J. Pharmacol. Toxicol. Methods 2004, 49, 39–55. [Google Scholar] [CrossRef] [PubMed]
- Guyton, A.C. Analysis of respiratory patterns in laboratory animals. Am. J. Physiol. 1947, 150, 78–83. [Google Scholar] [CrossRef] [PubMed]
- Hennig, C. Cran-Package fpc. 2024. Available online: https://cran.r-project.org/web/packages/fpc/index.html (accessed on 15 July 2024).
- Alexa, A.; Rahnenfuhrer, J. topGO: Enrichment Analysis for Gene Ontology. In R Package Version 1.38.1; The R Foundation for Statistical Computing: Vienna, Austria, 2019. [Google Scholar]
- Subramanian, A.; Tamayo, P.; Mootha, V.K.; Mukherjee, S.; Ebert, B.L.; Gillette, M.A.; Paulovich, A.; Pomeroy, S.L.; Golub, T.R.; Lander, E.S.; et al. Gene set enrichment analysis: A knowledge-based approach for interpreting genome-wide expression profiles. Proc. Natl. Acad. Sci. USA 2005, 102, 15545–15550. [Google Scholar] [CrossRef]
- Slenter, D.N.; Kutmon, M.; Hanspers, K.; Riutta, A.; Windsor, J.; Nunes, N.; Mélius, J.; Cirillo, E.; Coort, S.L.; Digles, D.; et al. WikiPathways: A multifaceted pathway database bridging metabolomics to other omics research. Nucleic Acids Res. 2018, 46, D661–D667. [Google Scholar] [CrossRef]
- Perkins, J.R.; Dawes, J.M.; McMahon, S.B.; Bennett, D.L.; Orengo, C.; Kohl, M. ReadqPCR and NormqPCR: R packages for the reading, quality checking and normalisation of RT-qPCR quantification cycle (Cq) data. BMC Genom. 2012, 13, 296. [Google Scholar] [CrossRef]
- Mitchell, A.L.; Attwood, T.K.; Babbitt, P.C.; Blum, M.; Bork, P.; Bridge, A.; Brown, S.D.; Chang, H.Y.; El-Gebali, S.; Fraser, M.I.; et al. InterPro in 2019: Improving coverage, classification and access to protein sequence annotations. Nucleic Acids Res. 2019, 47, D351–D360. [Google Scholar] [CrossRef]
- Liberzon, A.; Subramanian, A.; Pinchback, R.; Thorvaldsdóttir, H.; Tamayo, P.; Mesirov, J.P. Molecular signatures database (MSigDB) 3.0. Bioinformatics 2011, 27, 1739–1740. [Google Scholar] [CrossRef]
- Geer, L.Y.; Marchler-Bauer, A.; Geer, R.C.; Han, L.; He, J.; He, S.; Liu, C.; Shi, W.; Bryant, S.H. The NCBI BioSystems database. Nucleic Acids Res. 2010, 38, D492–D496. [Google Scholar] [CrossRef]
- Fabregat, A.; Sidiropoulos, K.; Garapati, P.; Gillespie, M.; Hausmann, K.; Haw, R.; Jassal, B.; Jupe, S.; Korninger, F.; McKay, S.; et al. The Reactome pathway Knowledgebase. Nucleic Acids Res. 2016, 44, D481–D487. [Google Scholar] [CrossRef] [PubMed]
- Ge, S.X.; Jung, D.; Yao, R. ShinyGO: A graphical gene-set enrichment tool for animals and plants. Bioinformatics 2020, 36, 2628–2629. [Google Scholar] [CrossRef] [PubMed]
- Oliveros, J.C. (2007–2015) Venny. An Interactive Tool for Comparing Lists with Venn’s Diagrams. 2015. Available online: https://bioinfogp.cnb.csic.es/tools/venny/index.html (accessed on 18 July 2024).
- Kanehisa, M.; Furumichi, M.; Sato, Y.; Ishiguro-Watanabe, M.; Tanabe, M. KEGG: Integrating viruses and cellular organisms. Nucleic Acids Res. 2021, 49, D545–D551. [Google Scholar] [CrossRef] [PubMed]
- Bornholdt, Z.A.; Herbert, A.S.; Mire, C.E.; He, S.; Cross, R.W.; Wec, A.Z.; Abelson, D.M.; Geisbert, J.B.; James, R.M.; Rahim, M.N.; et al. A Two-Antibody Pan-Ebolavirus Cocktail Confers Broad Therapeutic Protection in Ferrets and Nonhuman Primates. Cell Host Microbe 2019, 25, 49–58.e45. [Google Scholar] [CrossRef] [PubMed]
- Twenhafel, N.A.; Mattix, M.E.; Johnson, J.C.; Robinson, C.G.; Pratt, W.D.; Cashman, K.A.; Wahl-Jensen, V.; Terry, C.; Olinger, G.G.; Hensley, L.E.; et al. Pathology of experimental aerosol Zaire ebolavirus infection in rhesus macaques. Vet. Pathol. 2013, 50, 514–529. [Google Scholar] [CrossRef]
- Cambier, S.; Gouwy, M.; Proost, P. The chemokines CXCL8 and CXCL12: Molecular and functional properties, role in disease and efforts towards pharmacological intervention. Cell Mol. Immunol. 2023, 20, 217–251. [Google Scholar] [CrossRef]
- Parekh, N.J.; Krouse, T.E.; Reider, I.E.; Hobbs, R.P.; Ward, B.M.; Norbury, C.C. Type I interferon-dependent CCL4 is induced by a cGAS/STING pathway that bypasses viral inhibition and protects infected tissue, independent of viral burden. PLoS Pathog. 2019, 15, e1007778. [Google Scholar] [CrossRef]
- Bosworth, A.; Rickett, N.Y.; Dong, X.; Ng, L.F.P.; García-Dorival, I.; Matthews, D.A.; Fletcher, T.; Jacobs, M.; Thomson, E.C.; Carroll, M.W.; et al. Analysis of an Ebola virus disease survivor whose host and viral markers were predictive of death indicates the effectiveness of medical countermeasures and supportive care. Genome Med. 2021, 13, 5. [Google Scholar] [CrossRef]
- Cross, R.W.; Speranza, E.; Borisevich, V.; Widen, S.G.; Wood, T.G.; Shim, R.S.; Adams, R.D.; Gerhardt, D.M.; Bennett, R.S.; Honko, A.N.; et al. Comparative Transcriptomics in Ebola Makona-Infected Ferrets, Nonhuman Primates, and Humans. J. Infect. Dis. 2018, 218 (Suppl. S5), S486–S495. [Google Scholar] [CrossRef]














| Survival: 3–7 dpi |
Clinical Signs
|
| Viremia |
| Viral shedding |
Hepatic & renal dysfunction:
|
Hematological changes:
|
| STUDY ID | # IM EBOV Ferrets | # AE EBOV Ferrets | Total Ferrets (per Exp) | Study Endpoint | Bleed Schedule (per Ferret) | Samples Evaluated for (Y/N): | ||||
|---|---|---|---|---|---|---|---|---|---|---|
| Viremia? | Clin Chems? | Hematology? | Tissue Titers? | Path? | ||||||
| Leth Exp 1 | 4 | 4 | 8 | Terminal | N/A | N | N | N | N | N |
| MCM Exp 1 | 4 | 4 | 8 | Terminal | 0, 4, 6 dpi | Y | Y | Y | Y | Y |
| MCM Exp 2.1/2.2 * | 12 | 12 | 24 | Serial (1, 3, & 5 dpi) | 0 dpi & terminal | Y | Y | Y | Y | Y |
| MCM Exp 4 ** | 3 | 0 | 3 | Terminal | 0, 3, 5 dpi | N | Y | Y | N | N |
| MCM Exp 6 ** | 3 | 0 | 3 | Terminal | 0, 3, 5 dpi | N | Y | Y | N | N |
| Compiled Totals: | 26 | 20 | 46 | Total IM ferrets represented: | 16 | 22 | 22 | 16 | 16 | |
| Total AE ferrets represented: | 16 | 16 | 16 | 16 | 16 | |||||
| IM Exposure | AE Exposure | ||||||||
|---|---|---|---|---|---|---|---|---|---|
| p Value | p Value | ||||||||
| System | Analyte | 3 dpi | 4 dpi | 5 dpi | 6 dpi | 3 dpi | 4 dpi | 5 dpi | 6 dpi |
| Multi-System/Other | ALB (g/dL) | 0.003 | 0.0001 | 0.036 | <0.0001 | NS | 0.024 | N/A | N/A |
| AMY (U/L) | NS | NS | <0.0001 | 0.0229 | NS | NS | NS | N/A | |
| CA (mg/dL) | NS | 0.001 | <0.001 | 0.0001 | NS | NS | N/A | N/A | |
| GLU (mg/dL) | NS | 0.0005 | NS | NS | NS | 0.016 | NS | N/A | |
| TP (g/dL) | NS | NS | NS | NS | NS | NS | N/A | N/A | |
| WBSs | # BA (×103/uL) | NS | NS | <0.0001 | N/A | NS | NS | 0.048 | N/A |
| % BA (of WBCs) | NS | 0.0085 | <0.0001 | N/A | NS | NS | <0.0001 | N/A | |
| # LYM (×103/uL) | 0.0381 | 0.007 | NS | NS | NS | NS | 0.03 | N/A | |
| % Lym (of WBCs) | NS | NS | <0.0001 | 0.0008 | NS | NS | <0.0001 | N/A | |
| # MON (×103/uL) | NS | NS | <0.0001 | N/A | NS | NS | NS | N/A | |
| % MON (of WBCs) | NS | 0.0182 | <0.0001 | <0.0001 | NS | NS | 0.0007 | N/A | |
| # NEU (×103/uL) | NS | NS | 0.0008 | NS | NS | NS | 0.004 | N/A | |
| % NEU (of WBCs) | NS | NS | <0.0001 | 0.0106 | NS | NS | 0.0004 | N/A | |
| # WBC (×103/uL) | NS | 0.0032 | NS | NS | NS | NS | NS | N/A | |
| Liver | ALP (U/L) | NS | NS | <0.0001 | 0.0166 | NS | NS | NS | N/A |
| ALT (U/L) | NS | NS | <0.0001 | 0.0125 | NS | NS | <0.0001 | N/A | |
| AST (U/L) | NS | NS | <0.0001 | <0.0001 | NS | NS | <0.0001 | N/A | |
| GGT (U/L) | NS | NS | <0.0001 | <0.0001 | NS | NS | <0.001 | N/A | |
| TBIL (mg/dL) | NS | NS | <0.0001 | <0.0001 | NS | NS | 0.0001 | N/A | |
| Kidney | BUN (mg/dL) | NS | NS | <0.0001 | <0.0001 | NS | NS | NS | N/A |
| CRE (mg/dL) | NS | NS | <0.0001 | <0.0001 | NS | NS | NS | N/A | |
| UA (mg/dL) | NS | NS | NS | NS | N/A | 0.018 | N/A | N/A | |
| Coag | # PLA | NS | NS | NS | 0.0248 | NS | NS | 0.049 | N/A |
| Route of Exposure | Timepoint | Liver | Spleen | Lung | Other * |
|---|---|---|---|---|---|
| IM | 1 dpi | 0/4 | 0/4 | 0/4 | 0/4 |
| AE | 1 dpi | 0/4 | 0/4 | 1/4 | 1/4 |
| IM | 3 dpi | 0/4 | 0/4 | 3/4 | 0/4 |
| AE | 3 dpi | 0/4 | 3/4 | 4/4 | 0/4 |
| IM | 5 dpi | 4/4 | 3/4 | 1/4 | 0/4 |
| AE | 5 dpi | 2/4 | 2/4 | 4/4 | 1/4 |
| IM | Terminal | 4/4 | 2/4 | 0/4 | 0/4 |
| AE | Terminal | 4/4 | 4/4 | 4/4 | 3/4 |
| IM | AE | |||
|---|---|---|---|---|
| Gene | Log2 Diff (p Value) | Gene | Log2 Diff (p Value) | |
| Upregulated | AOC3 | 7.85 (0.045) | NOD2 | 5.76 (0.028) |
| C3 | 7.51 (0.020) | DDR2 | 5.356 (0.042) | |
| CCL4 | 7.47 (0.020) | CBL | 5.345 (0.0082) | |
| MBL2 | 7.43 (0.016) | TREM2 | 5.13 (0.035) | |
| DLL1 | 7.28 (0.024) | IL1RAP | 4.82 (0.037) | |
| CXCL12 | 7.24 (0.021) | ABCB1 | 4.67 (0.045) | |
| IDO1 | 7.21 (0.025) | TRAF4 | 4.49 (0.044) | |
| PLG | 7.20 (0.021) | IL17RC | 4.28 (0.028) | |
| CXCR6 | 7.13 (0.024) | VEGFA | 2.82 (0.020) | |
| MC2R | 7.09 (0.022) | TGM2 | 1.778 (0.020) | |
| Downregulated | HGF | −3.83 (0.006) | IL32 | -4.88 (0.027) |
| NFATC2 | −4.08 (0.038) | PDK1 | −5.044 (0.00907) | |
| PLCG1 | −4.13 (0.031) | CD3D | −5.15 (0.0307) | |
| IL17B | −4.27 (0.026) | FOS | −5.25 (0.022) | |
| STIM1 | −4.33 (0.034) | CD27 | −5.32 (0.017) | |
| LAMP3 | −4.38 (0.0061) | CD74 | −5.57 (0.033) | |
| CXCL14 | −4.78 (0.040) | RASGRP1 | −5.67 (0.031) | |
| POMC | −4.78 (0.034) | CD3G | −6.36 (0.019) | |
| FOS | −4.82 (0.037) | CD40LG | −6.45 (0.047) | |
| IL5RA | −5.49 (0.021) | CCL14 | −7.73 (0.0039) | |
| IM | AE | |||
|---|---|---|---|---|
| Gene | Log2 Diff (p Value) | Gene | Log2 Diff (p Value) | |
| Upregulated | IL17B | 4.88 (0.0031) | IL1R2 | 5.95 (0.031) |
| GAST | 4.69 (0.0082) | LEF1 | 5.52 (0.0078) | |
| IFNL1 | 4.32 (0.0068) | HAVCR2 | 5.52 (0.0037) | |
| TCF3 | 4.08 (0.00074) | CD28 | 5.48 (0.00049) | |
| IGF2 | 3.98 (0.0024) | CXCL11 | 5.35 (0.0057) | |
| PTX3 | 3.33 (0.0043) | CD8A | 5.22 (0.0035) | |
| PTK2B | 3.07 (0.00036) | CXCL10 | 4.54 (0.020) | |
| CD19 | 3.06 (0.011) | CD247 | 4.45 (0.011) | |
| UNG | 2.84 (0.00897) | CD3G | 4.12 (0.041) | |
| CEBPB | 2.35 (0.0097) | CD3E | 3.84 (4.23 × 10−5) | |
| Downregulated | TGFBR1 | −7.36 (0.00064) | IFNLR1 | −3.95 (0.013) |
| MFGE8 | −7.57 (0.0013) | ESR1 | −3.97 (0.039) | |
| SMAD7 | −7.66 (1.68 × 10−5) | NT5E | −4.012 (0.024) | |
| AHR | −7.68 (0.00032) | CCL14 | −4.19 (0.0011) | |
| NR3C1 | −7.79 (0.00037) | PTGS2 | −4.43 (0.0012) | |
| NT5E | −7.92 (0.00015) | GNLY | −4.45 (0.038) | |
| PLD1 | −8.05 (0.00069) | IL17RD | −4.49 (0.020) | |
| MMP2 | −8.18 (0.00067) | CAV1 | −4.59 (0.00036) | |
| ITPR1 | −8.34 (0.00018) | ETS1 | −5.13 (0.012) | |
| PDGFRA | −8.51 (0.0072) | BDNF | −5.69 (0.008) | |
Disclaimer/Publisher’s Note: The statements, opinions and data contained in all publications are solely those of the individual author(s) and contributor(s) and not of MDPI and/or the editor(s). MDPI and/or the editor(s) disclaim responsibility for any injury to people or property resulting from any ideas, methods, instructions or products referred to in the content. |
© 2024 by the authors. Licensee MDPI, Basel, Switzerland. This article is an open access article distributed under the terms and conditions of the Creative Commons Attribution (CC BY) license (https://creativecommons.org/licenses/by/4.0/).
Share and Cite
Cohen, C.A.; Zumbrun, E.E.; Writer, J.V.; Bonagofski, L.G.; Shoemaker, C.J.; Zeng, X.; Blancett, C.D.; Douglas, C.E.; Delp, K.L.; Taylor-Howell, C.L.; et al. A Small-Particle Aerosol Model of Ebolavirus Zaire Infection in Ferrets. Viruses 2024, 16, 1806. https://doi.org/10.3390/v16121806
Cohen CA, Zumbrun EE, Writer JV, Bonagofski LG, Shoemaker CJ, Zeng X, Blancett CD, Douglas CE, Delp KL, Taylor-Howell CL, et al. A Small-Particle Aerosol Model of Ebolavirus Zaire Infection in Ferrets. Viruses. 2024; 16(12):1806. https://doi.org/10.3390/v16121806
Chicago/Turabian StyleCohen, Courtney A., Elizabeth E. Zumbrun, James V. Writer, Luke G. Bonagofski, Charles J. Shoemaker, Xiankun Zeng, Candace D. Blancett, Christina E. Douglas, Korey L. Delp, Cheryl L. Taylor-Howell, and et al. 2024. "A Small-Particle Aerosol Model of Ebolavirus Zaire Infection in Ferrets" Viruses 16, no. 12: 1806. https://doi.org/10.3390/v16121806
APA StyleCohen, C. A., Zumbrun, E. E., Writer, J. V., Bonagofski, L. G., Shoemaker, C. J., Zeng, X., Blancett, C. D., Douglas, C. E., Delp, K. L., Taylor-Howell, C. L., Carey, B. D., Ravulapalli, S., Raymond, J. L., Dye, J. M., & Herbert, A. S. (2024). A Small-Particle Aerosol Model of Ebolavirus Zaire Infection in Ferrets. Viruses, 16(12), 1806. https://doi.org/10.3390/v16121806

