Feline Infectious Peritonitis: European Advisory Board on Cat Diseases Guidelines
Abstract
1. Introduction
| Summary of Section 1: Introduction: This extensive review is written by the European Advisory Board on Cat Diseases (ABCD), giving a comprehensive update on feline infectious peritonitis (FIP) and feline coronavirus (FCoV) infection. The guidelines have been written so that the different sections are readable in isolation, and these non-referenced boxed summaries are included to provide an easy-to-read overview of essential facts in that section. |
2. Agent Properties
2.1. Virus Classification
2.2. Virus Genome and Structure
2.3. FCoV Types I and II and Replication
2.4. FCoV Pathotypes and Genome Mutations
| Summary of Section 2: Agent Properties: Feline coronavirus (FCoV) is the causative agent of the serious disease of feline infectious peritonitis (FIP). FCoV is a large, pleomorphic spherical, enveloped virus particle with a single-stranded RNA genome. It is readily inactivated by most disinfectants. Being an RNA virus, FCoV has a high level of genetic variation due to frequent errors (mutations) during RNA replication. The hypothesis is that genetic variation and subsequent selection facilitate the switching of cell tropism from a mostly mild enteric (less-virulent) FCoV pathotype to an FIP-associated FCoV pathotype. This switch occurs in an infected cat and FIP-associated FCoV systemically replicates efficiently within monocytes/macrophages and can lead to the serious disease of FIP. However, systemic (non-enteric) FCoV infection can also occur in cats without FIP. The FCoV genome comprises many genes, including those encoding the spike [S], matrix, nucleocapsid, envelope proteins and non-structural accessory proteins 3a, 3b, 3c, 7a and 7b. Mutations in different genes, including the S gene, have been postulated to be associated with the switch to a more virulent FCoV pathotype. The S protein is a particular focus of attention as it mediates entry into feline host cells and has both receptor-binding and fusion functions. Specific mutations in the S gene have been postulated to be associated with FIP-associated FCoV but the definitive genes and mutations involved in the FCoV virulence genetic shift are still unknown. Type I and type II FCoV are recognised to differ based on antigenic and genomic properties, with type I FCoV being more prevalent. However, type I FCoVs, unlike type II FCoVs, are difficult to grow in cell cultures and thus many in vitro studies are based on the less-common type II FCoV. Type I and II FCoV can both exist as less-virulent FCoV and FIP-associated FCoV. |
3. Epidemiology
3.1. Transmission of FCoV
- Cycles of re-infection.
- Faecal FCoV RNA levels around the limit of detection of the RT-PCR assay being used such that positive and negative results occur interchangeably.
- The presence of faecal or cat litter RT-PCR inhibitors affecting RT-PCR sensitivity, giving false-negative results.
3.2. Prevalence of FCoV
3.3. Prevalence and Risk Factors for FIP
| Summary of Section 3: Epidemiology: FCoV is a contagious virus. Faeces are the main source of FCoV infection and most transmission is faecal-oral in nature. Kittens are often infected at a young age and shed FCoV in faeces as early as two days post-infection. After infection, shedding continues for days, weeks or months, and a few may be persistently infected. Shedding then stops, or is detected intermittently, and can recur due to re-infection in an endemic environment. Immunity is short-lived, which is why cats, in the face of infection, can undergo multiple cycles of infections. FCoV infection occurs worldwide (see Table 1) and is very common, particularly in multi-cat households, but FIP arises in only a small percentage of FCoV-infected cats. Cats of any breed or age can develop FIP. It is particularly seen in pedigree cats (especially in certain breeds in some studies) and those under 2 years of age. In some studies, males were more likely to develop FIP than females. |
4. Pathogenesis
- Whether or not the cat will go on to mount a successful immune response and eliminate the virus.
- Whether the cat will mount a semi-successful immune response, remaining clinically well, but shedding FCoV in the faeces for months to years.
- Whether the cat will mount a deleterious immune response (sometimes the pathology is described as being immune-mediated in nature [59]), resulting in a widespread pyogranulomatous vasculitis and ultimately premature death without effective antiviral treatment.
| Summary of Section 4: Pathogenesis: FCoV infection occurs following the ingestion of the virus, which then replicates in the epithelial cells of the small intestinal villi, resulting in faecal shedding. This enteric FCoV infection is often subclinical but can result in enteritis. FCoV is then found in the colon, which is the main site of viral replication alongside the ileum. Thereafter, FCoV infection is thought to spread to the mesenteric lymph nodes before sometimes resulting in viraemia. Whilst low-level FCoV viraemia in monocytes can occur in cats that do not go on to develop FIP, efficient and high-level FCoV replication in activated monocytes and macrophages (which may well be mediated by viral mutations) is believed to be a key event in FIP pathogenesis, alongside the nature of the immune response mounted by the cat in response to FCoV infection. When FIP develops, there is a reaction between replicating FCoV in monocytes and blood vessel walls, allowing the extravasation of the monocytes, where they differentiate into macrophages. The breakdown of the endothelial tight junctions allows plasma to leak out of the vessels; this can appear clinically as an effusion in the abdominal, thoracic and/or pericardial cavities. In more chronic forms of FIP, fewer blood vessels are affected, but larger perivascular pyogranulomata result on affected organs. The horizontal transmission of FIP, via an FIP-associated FCoV strain, is believed to be a very unlikely occurrence. |
5. Immunity
| Summary of Section 5: Immunity Cats resistant to FIP are known to have strong cell-mediated immunity (CMI), which can be measured by high levels of the cytokine interferon gamma (IFN-γ) in the serum. However, CMI is also likely to be involved in the pathogenesis of FIP, albeit at a tissue level, as evidenced by high IFN-γ concentration in FIP effusions. Single-nucleotide polymorphisms (SNPs) in the feline IFN-γ gene have been found to be associated with the outcome of FCoV infection, but these associations are not discriminatory enough to be beneficial to deduce susceptibility in individual cats, nor to guide breeding. The role of humoral immunity in protecting against FIP is ambiguous. Maternally derived antibodies are thought to provide protection until kittens are about five to six weeks old, until they decline by six to eight weeks of age. Antibody development to FCoV takes 7 to 28 days post-infection. Following natural infection, antibody titres can decline to zero over a period of several months to years. In cats with pre-existing antibodies, ‘antibody-dependent enhancement’ (ADE) has been observed experimentally, resulting in a more rapid FIP progression and earlier death. However, in field studies, cats developed FIP on first exposure to FCoV (and thus did not have pre-existing antibodies), and some cats experienced repeated infections by FCoV and did not develop FIP, leading to the conclusion that ADE is likely to be an experimental phenomenon, but it still remains a concern for vaccine development. |
6. Clinical Signs
6.1. Clinical Signs Associated with FCoV Infection
6.2. Clinical Signs Associated with FIP
6.2.1. General Clinical Signs of FIP
6.2.2. Clinical Signs of FIP Associated with the Intestinal Tract
6.2.3. Clinical Signs of FIP Associated with the Skin
6.2.4. Clinical Signs of FIP Associated with the Nervous System
6.2.5. Clinical Signs of FIP Associated with the Eye
6.2.6. Miscellaneous Clinical Signs of FIP
| Summary of Section 6: Clinical Signs FCoV Infection Cats with FCoV infection are usually subclinical, although occasionally diarrhoea and/or vomiting and poor growth (in kittens) can occur. FIP Cats that go on to develop FIP after FCoV infection present with varied clinical signs depending on the distribution of vasculitis (which can lead to effusions) and/or (pyo)granulomatous lesions (which can lead to mass lesions) in the body. Although effusive and non-effusive forms of FIP are often described, there is much overlap between these forms. Clinical signs of FIP can change over time, and therefore repeated physical examinations are important to detect newly apparent clinical signs; for example, an effusion can develop, or ocular changes can become visible on ophthalmoscopic examination. ABCD FIP Diagnostic Approach Tools [211] are available to help the vet assess clinical signs for FIP. Non-specific clinical signs include lethargy, anorexia, and weight loss (or failure to gain weight/stunted growth in kittens). A fever that is refractory to treatment is common. Effusions are common, especially in the abdomen, but pleural effusions and pericardial effusions are also seen, sometimes concurrently. When effusions are present, the disease progression is often quite fast, within a few days or weeks. When effusions are not present, FIP is often more difficult to diagnose and it also tends to be more chronic, progressing over a few weeks to months. Additional signs of non-effusive FIP depend on the organs affected but can include the central nervous system, eyes and/or abdominal organs (such as the liver, abdominal lymph nodes [especially mesenteric lymph nodes], kidney [including renomegaly], pancreas, spleen and/or gastrointestinal tract). These signs can also be present in cats with effusions. Abdominal lymphadenomegaly or intestinal masses (sometimes palpable), can occur. Jaundice can occur, more commonly in cats with effusions, but the degree of hyperbilirubinaemia is often not high enough to result in clinical jaundice. Occasionally, cats with FIP show skin signs. Neurological signs seen with FIP include ataxia (with varying degrees of tetra- or paraparesis), hyperaesthesia, nystagmus, seizures, behavioural and mental state changes, and cranial nerve deficits. Central vestibular clinical signs can include head tilt, vestibular ataxia, nystagmus, obtunded appearance, and postural reaction deficits. Fever was shown to be less common in cats with neurological FIP compared to those without neurological signs. FIP can also cause unilateral or bilateral uveitis. Clinical signs include changes in iris colour, dyscoria or anisocoria secondary to iritis, sudden loss of vision and hyphaema. Keratic precipitates can appear as ‘mutton fat’ deposits on the ventral corneal endothelium, and aqueous flare can occur. On ophthalmoscopic examination, chorioretinitis, fluffy perivascular cuffing (representing retinal vasculitis), dull perivascular puffy areas of pyogranulomatous chorioretinitis, linear retinal detachment, vitreous flare and fluid blistering under the retina can all be seen. Other less-common signs associated with FIP have included rhinitis and clinical signs associated with myocarditis. |
7. Diagnosis of FIP
7.1. Signalment and History for FIP
| Summary of Section 7: Diagnosis of FIP; Section 7.1: Signalment and History for FIP FIP is more common in young cats (especially under two years old) and some pedigree breeds, and male cats are at slightly higher risk of disease. Additionally, most cats that develop FIP come from multi-cat households or have a history of having been housed in multi-cat households. A recent history of stress (e.g., adoption, being in a shelter, neutering, upper respiratory tract disease, vaccination) is common. |
7.2. Approach to the Diagnosis of FIP
| Summary of Section 7: Diagnosis of FIP; Section 7.2: Approach to the Diagnosis of FIP: If an effusion is present, sampling it is the single most useful diagnostic step because tests on effusions have a higher diagnostic value compared to those on blood samples. Samples of effusion can be easy to obtain; imaging (especially ultrasonography) is used to confirm, identify, localise, and sample smaller volumes. FIP effusions are usually clear, viscous/sticky and straw-yellow in colour. Diagnosing FIP if there is no effusion present is more challenging due to the large number of possible clinical signs and their non-specific nature (e.g., anorexia, lethargy, weight loss, fever) and because biopsy collection ante-mortem can be very difficult due to, for example, problems accessing affected tissues, contra-indications for general anaesthesia or invasive biopsy collection in a sick cat, and/or costs involved in tissue collection. Cases with neurological or ocular signs can be approached via the sampling of cerebrospinal fluid or aqueous humour, but these techniques are not performed commonly outside of referral clinics. There is no non-invasive, confirmatory test available for cats with FIP that do not have effusions, although in some cases valuable supportive information can be gained through the analysis of fine-needle aspirate (FNA) samples collected from affected organs, if accessible. Tissue FNAs are usually easier to collect than tissue biopsies. The integration of multiple test results is most useful to help direct the clinician to a diagnosis of FIP being very likely, in the absence of confirmatory testing. |
7.3. Laboratory Changes in FIP
7.3.1. Routine Haematology
7.3.2. Serum Biochemistry
7.3.3. Cytology and Biochemistry on Effusions
7.3.4. Rivalta’s Point-of-Care Test on Effusions
7.3.5. FNA Cytology
7.3.6. CSF Analysis
7.3.7. Aqueous Humour Analysis
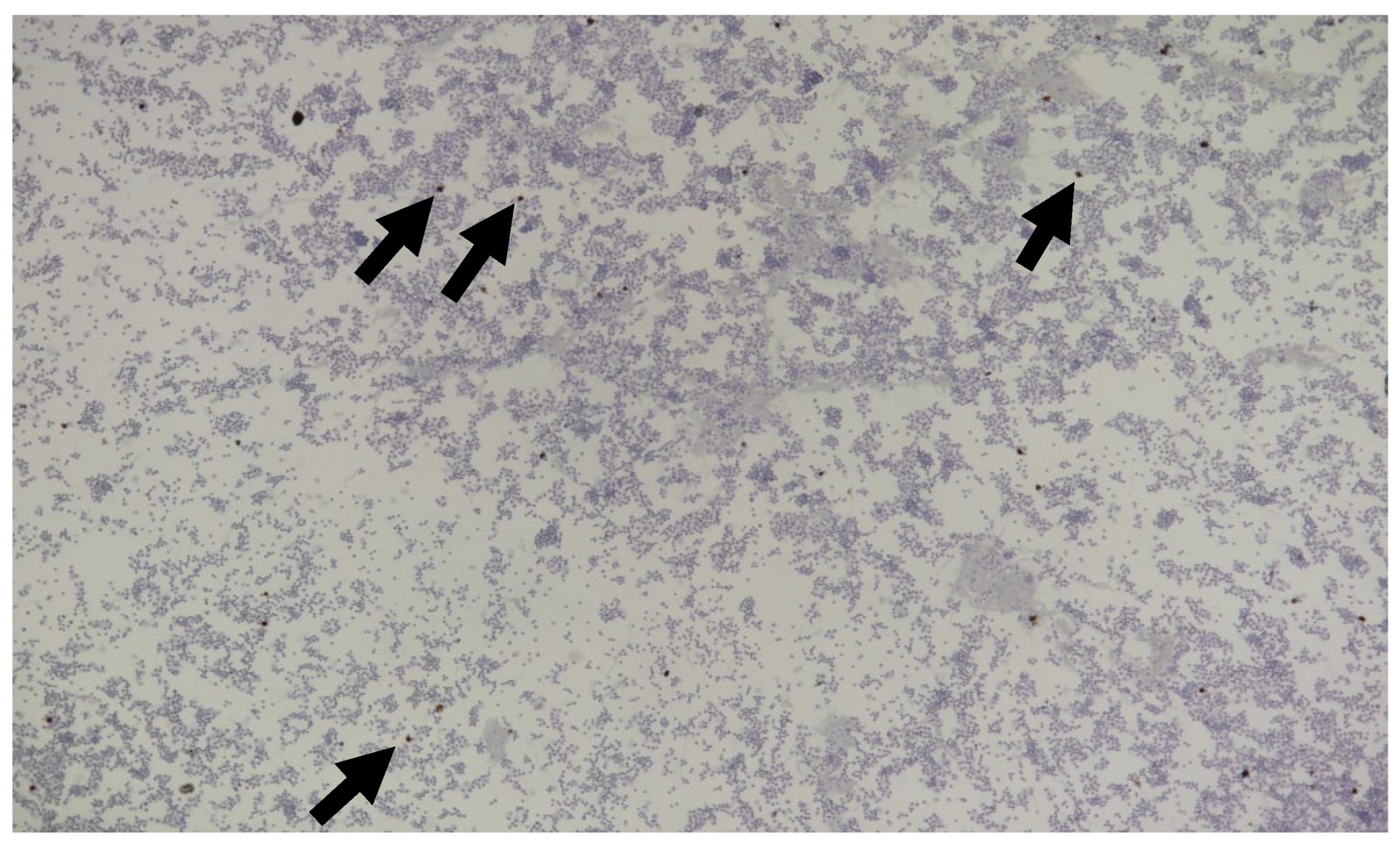
| Summary of Section 7: Diagnosis of FIP; Section 7.3: Laboratory Changes in FIP: Routine haematology and serum biochemistry Routine haematological changes are not specific for FIP, but common abnormalities include lymphopenia, neutrophilia, sometimes with a left shift, and a mild-to-moderate normocytic, normochromic anaemia. Serum biochemistry changes are more helpful and include hyperglobulinaemia, accompanied by hypoalbuminaemia or low-to-normal serum albumin and a low albumin to globulin (A:G) ratio of less than 0.4 (an A:G ratio of greater than 0.8 makes FIP very unlikely). Increased bilirubin levels in the absence of haemolysis or elevations of liver enzyme activity raise the suspicion of FIP. Acute phase proteins (APPs) are produced in the liver in many inflammatory and non-inflammatory diseases; the major APP in cats is α1-acid glycoprotein (AGP), and moderately elevated serum AGP concentrations of greater than 1.5 mg/mL often occur with FIP. Another important APP in cats is serum amyloid A, more readily available in some countries, which is also markedly increased in cats with FIP. Cytology and biochemistry of effusions FIP effusions are highly proteinaceous, with a total protein concentration greater than 35 g/L, consistent with an exudate, but with relatively low cell counts of less than 5 × 109/L cells, more consistent with a modified transudate; however, sometimes, cell counts rise to 20 × 109/L. Cytology is pyogranulomatous, with macrophages, non-degenerate neutrophils and few lymphocytes. Thick eosinophilic (pink-red) proteinaceous backgrounds on cytology slides are often described. If cytology reveals a septic neutrophilia (typically with degenerate neutrophils containing bacteria), neoplastic cells or a marked lymphocyte population, other diseases are more likely. The Rivalta’s test is a crude point-of-care assay to identify proteinaceous inflammatory exudates, which occur with FIP, but also septic peritonitis and lymphoma. If positive, effusion cytology can be helpful to discriminate between these causes. A negative Rivalta’s test, however, is more helpful to rule out FIP. To perform the Rivalta’s test, 8 mL of distilled water at room temperature and one drop of 98% acetic acid (or white vinegar) are mixed in a test tube, and then one drop of effusion is carefully placed or layered onto the surface of the solution. A positive result is indicated by the drop staying attached to the surface of the solution, retaining its shape with a connection to the surface, or floating slowly to the bottom of the tube as a drop or like a jellyfish. A negative test is indicated by the drop disappearing and the solution remaining clear. However, the interpretation of results can be subjective, and it can be hard to decide whether a result is positive or negative. Cytology of fine-needle aspirates (FNAs), cerebrospinal fluid (CSF) or aqueous humour samples, and biochemistry, if applicable Typical FNA features of FIP are highly cellular samples containing the normal cell population of the sampled tissues with the additional presence of neutrophils, macrophages, plasma cells, and lymphocytes, consistent with pyogranulomatous inflammation. An examination of the CSF can show a pleocytosis, predominantly neutrophilic, mononuclear, mixed or pyogranulomatous in nature, with elevated protein concentrations. The cytology of aqueous humour can show pyogranulomatous or mixed inflammation with neutrophils with or without macrophages. |
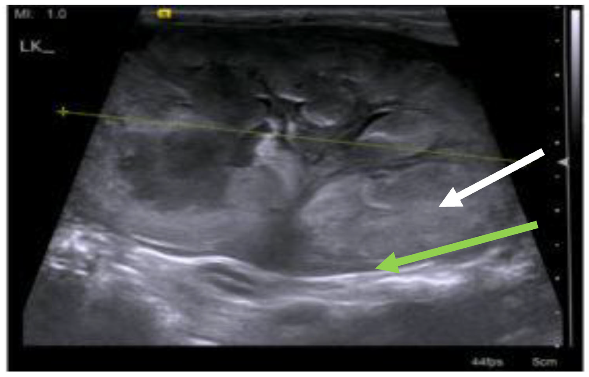
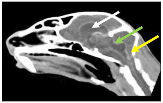
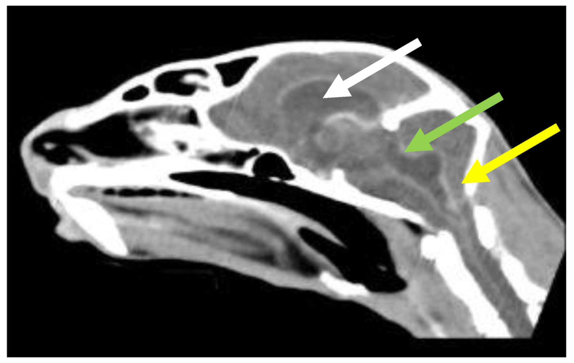
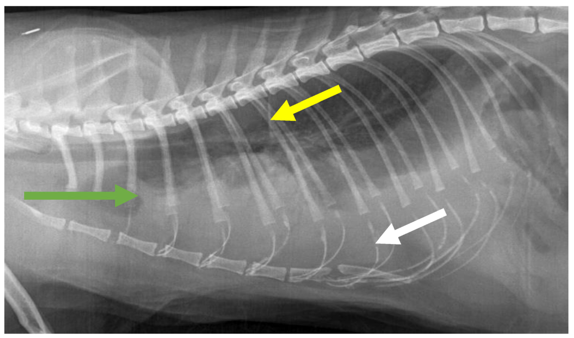
7.4. Diagnostic Imaging in FIP
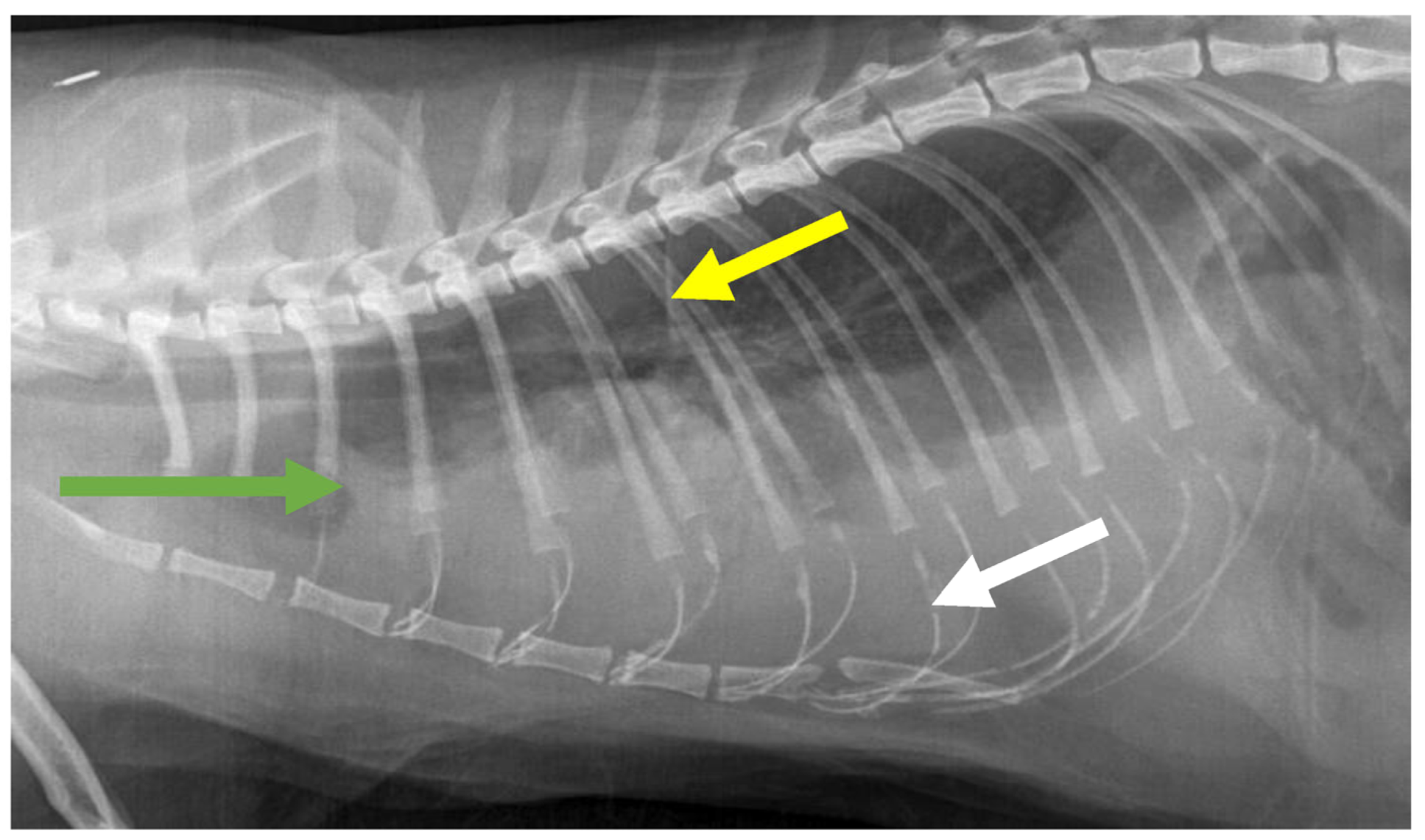
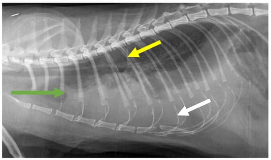
7.4.1. Routine Imaging: Ultrasonographic and Radiographic Findings
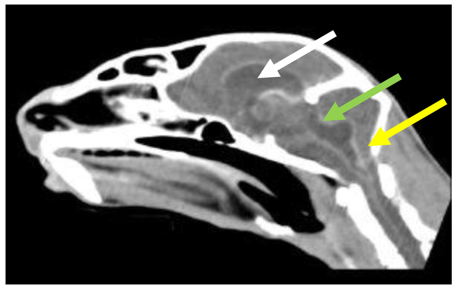
7.4.2. Advanced Imaging of the CNS: MRI and CT
| Summary of Section 7: Diagnosis of FIP; Section 7.4: Diagnostic imaging in FIP: No specific ultrasonographic or radiographic findings exist for FIP. Ultrasonography (in particular) and radiography can show the presence of effusions. Pneumonia due to FIP that is occasionally reported can be associated with radiographic changes. Ultrasonography can reveal abdominal lymphadenomegaly or lymphadenopathy and/or abnormalities of the liver, spleen, intestines and/or kidneys (which can include a medullary rim sign), depending on which organs are affected. Imaging can also be of use to the direct sampling of abnormal tissues, e.g., fine-needle aspirate for cytology examination to reveal non-septic pyogranulomatous inflammation, or ultrasound-guided needle core (e.g., tru-cut) biopsies can be collected and submitted for histopathology. When a cat is showing neurological signs, the imaging of the brain by magnetic resonance imaging, if available, with contrast, can be useful to demonstrate neurological abnormalities (such as obstructive hydrocephalus, syringomyelia, foramen magnum herniation and marked contrast enhancement of the meninges, third ventricle, mesencephalic aqueduct, and brainstem). A description of computerised tomography findings in cats with neurological FIP has not been published, but MRI is likely to be more sensitive in the detection of subtle intraparenchymal lesions. Advanced imaging of the central nervous system is indicated before performing cerebrospinal fluid sampling to assess the potential risk of herniation. |
7.5. Direct Detection of FCoV
7.5.1. Detection of FCoV Antigen
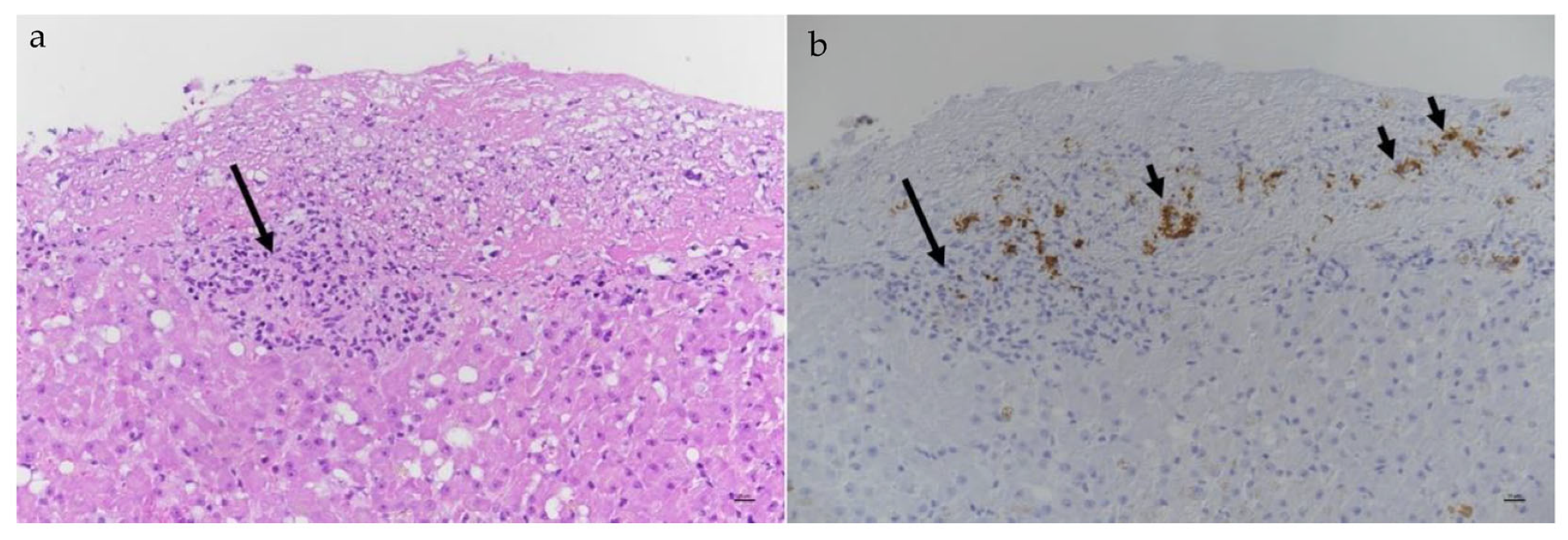
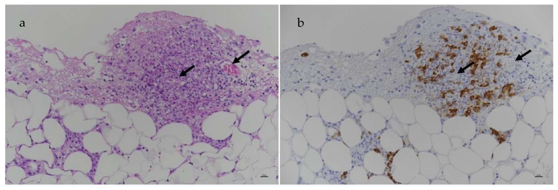
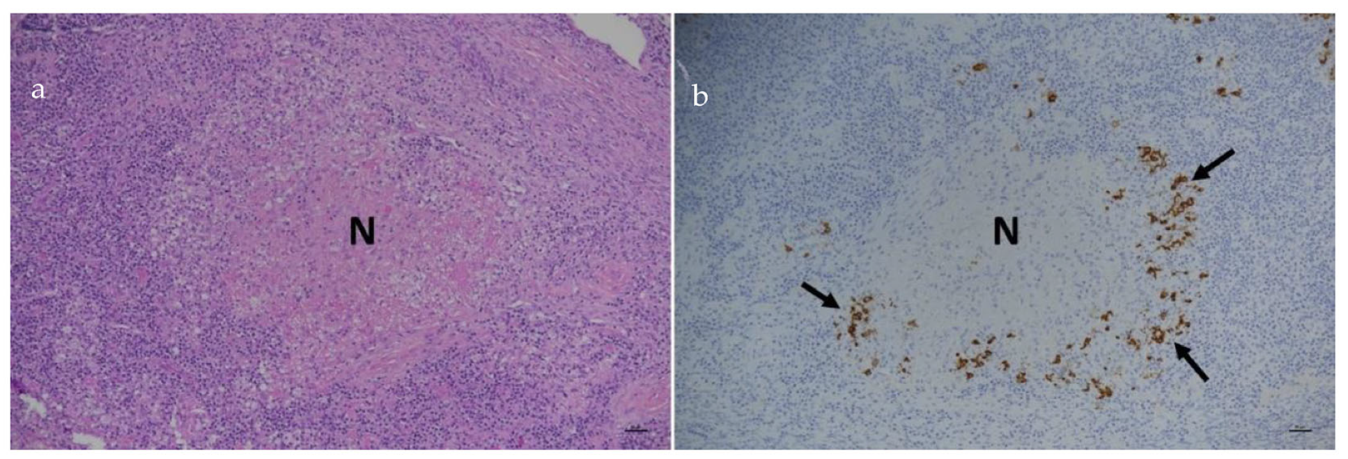
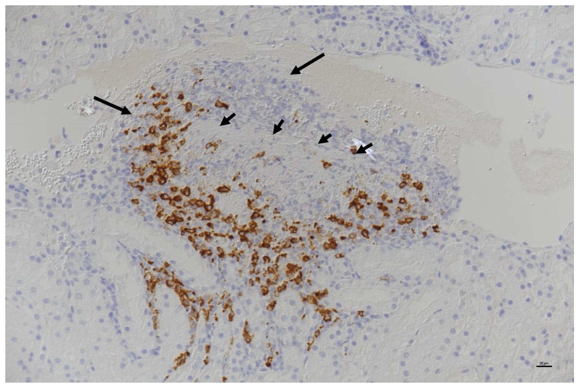
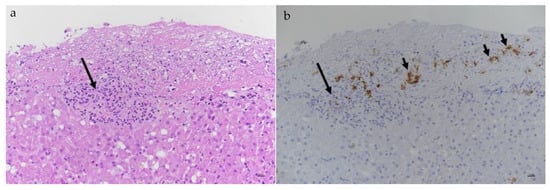
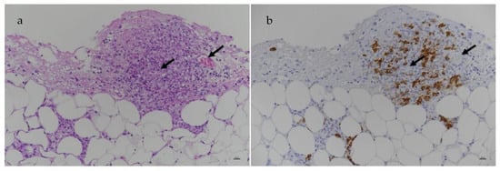
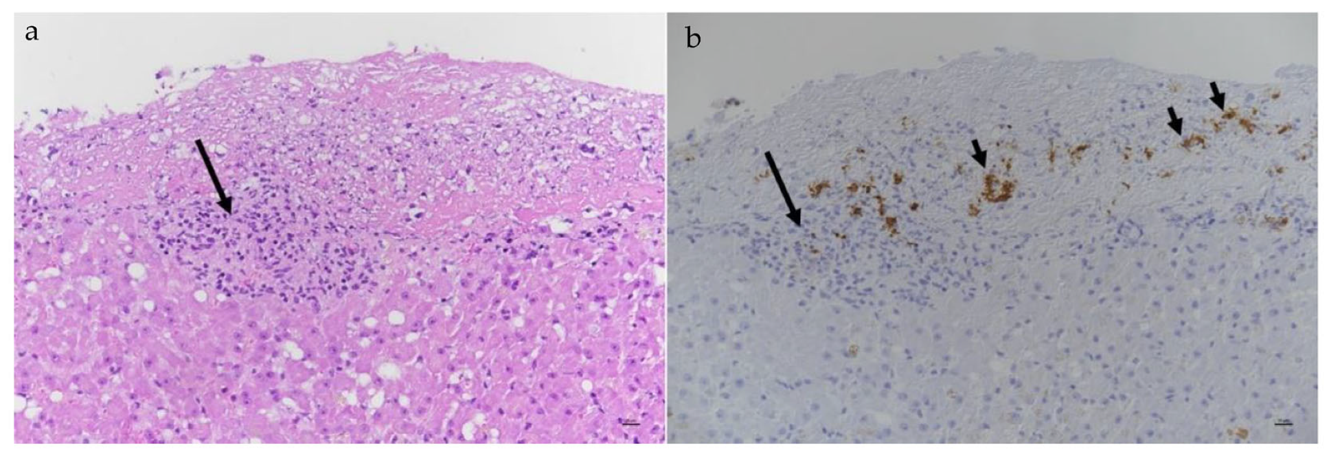
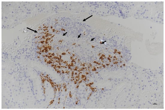
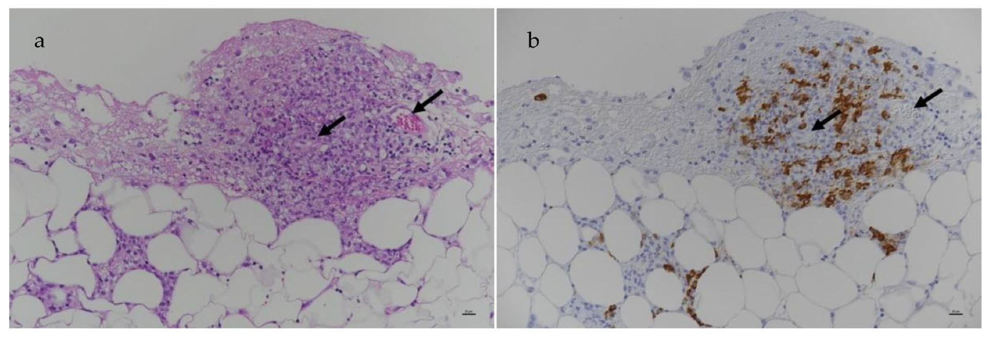
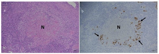
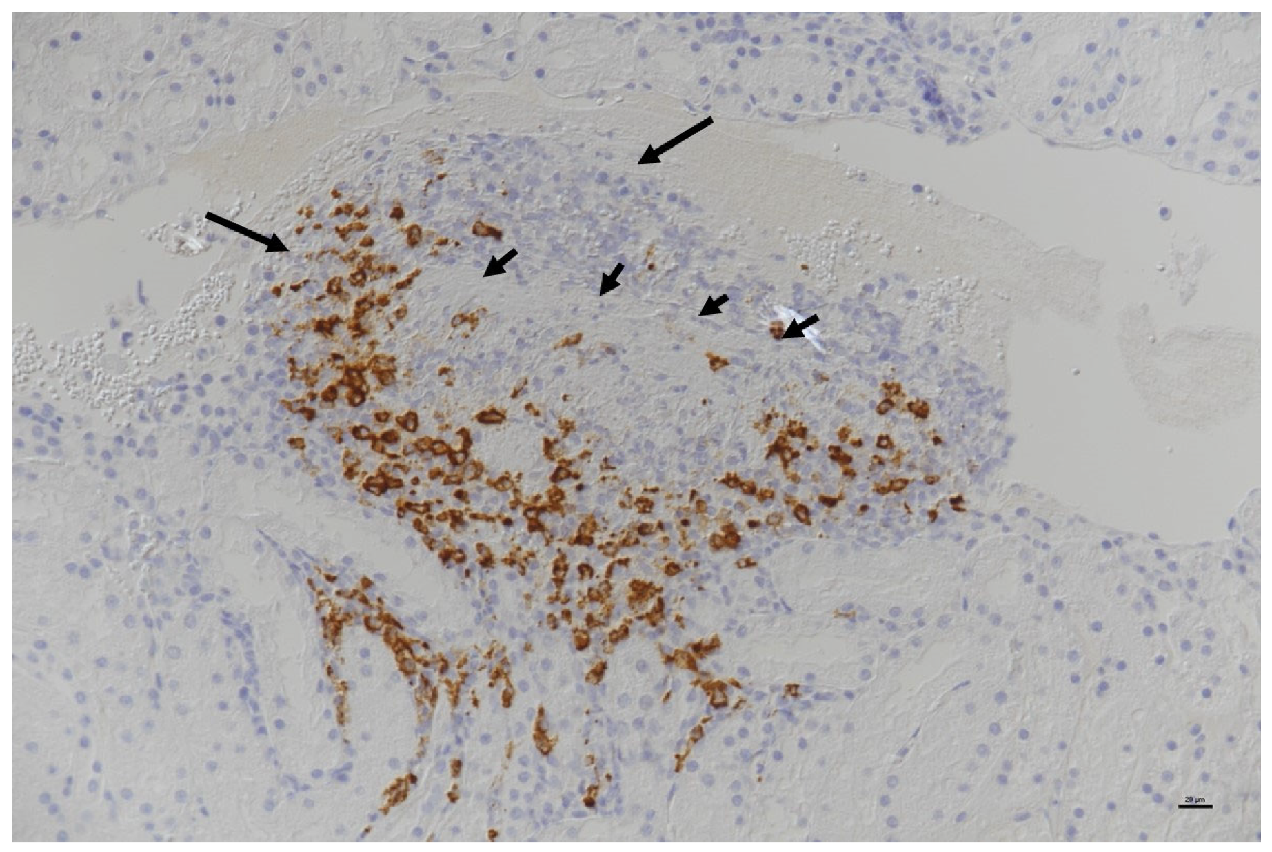
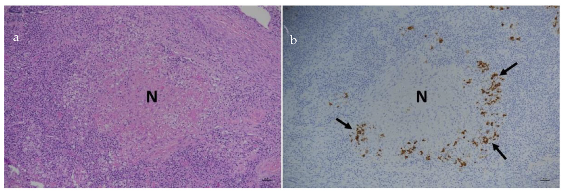
Histopathological Examination of Tissues with FCoV antigen Immunostaining
- Pyogranulomas on one or more serosal surfaces;
- Granulomas with or without necrotic areas;
- Lymphocytic and plasmacytic infiltrates in specific sites (e.g., band-like infiltrate in serosal surfaces, perivascular infiltrate in meninges and CNS);
- Granulomatous to necrotising vasculitis and fibrinous serositis.
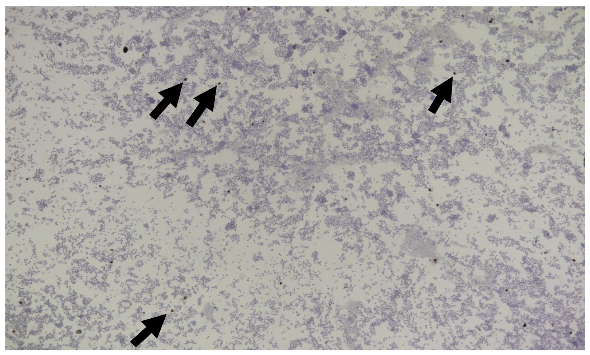
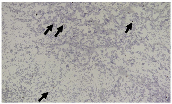
Cytology with FCoV antigen Immunostaining on Effusions, FNAs, CSF and Aqueous Humour
Detection of FCoV Antigen in Faeces by Rapid Immunomigration Tests
7.5.2. Detection of FCoV RNA by RT-PCR
FCoV RT-PCR on Blood Samples
FCoV RT-PCR on Effusions
FCoV RT-PCR on Tissue and FNA Samples
FCoV RT-PCR on CSF Samples
FCoV RT-PCR on Aqueous Humour Samples
FCoV RT-PCR on Faecal Samples
7.5.3. Molecular Techniques Characterising FCoV Spike (S) Gene Mutations following Positive RT-PCR for FCoV RNA
- Sanger sequencing: a DNA sequencing approach that uses the dideoxy chain termination method to sequence a segment of the S gene of FCoV [301].
- Pyrosequencing: a DNA sequencing approach to the S gene that is based on the sequencing-by-synthesis principle [316].
- Allelic discrimination: an approach available commercially that uses probes in a qPCR to determine if two specific mutation SNPs (M1058L and S1060A; Figure 1) are present in the FCoV S2 fusion domain.
Diagnostic Use of S-Gene-Mutation Analysis on Tissue Samples
Diagnostic Use of S-Gene-Mutation Analysis on Effusion and Other Fluid (e.g., CSF, Aqueous Humour) Samples
7.5.4. Detection of FCoV RNA by In-Situ Hybridisation (ISH)
| Summary of Section 7: Diagnosis of FIP; Section 7.5: Direct Detection of FCoV FCoV antigen detection by immunostaining Immunostaining exploits the binding of antibodies to host-cell-associated FCoV antigens, which are subsequently visualised by enzymatic or immunofluorescent reactions producing a colour change in a process called immunohistochemistry (IHC) on biopsies or immunocytochemistry (ICC) or immunofluorescence (IF) on cytology samples (such as effusion and fine-needle aspirate [FNA] sample smears). The histopathological and cytological changes associated with FIP are typically pyogranulomatous. Definitive diagnosis of FIP relies on consistent histopathological changes in affected tissues in addition to FCoV antigen immunostaining by IHC. Consistent cytological changes in affected tissues in addition to FCoV antigen immunostaining by ICC or IF is also highly supportive of a diagnosis. Although positive FCoV antigen immunostaining can usually be used to confirm the diagnosis, a negative result does not exclude FIP as FCoV antigens can be variably distributed within lesions and might not be detected in all samples prepared from FIP-affected tissues or samples (e.g., if an effusion is cell-poor and/or the FCoV antigen is masked by FCoV antibodies in the effusion). It is important for clinicians to be aware of variations in immunostaining techniques and to be familiar with the specificity of the methodology employed by their local laboratory, as well as confirmation of the inclusion of negative controls in testing, when interpreting positive results. Differential diagnoses for pyogranulomatous inflammation include other infections (mycobacteria, toxoplasmosis, actinomyces, nocardia, rhodococcus, bartonella, pseudomonas and fungi) as well as idiopathic sterile pyogranulomatous disease. The sample sites most likely to be useful are those that are affected by the FIP disease, and inference of this can be gained from the clinical signs as well as results of diagnostic testing (e.g., ascites, neurological signs, imaging results, pyogranulomatous inflammation on FNA cytology). Biopsy samples of affected tissues (e.g., liver, kidney, spleen, mesenteric lymph nodes) can be collected by laparotomy, laparoscopy or ultrasound-guided tru-cut for histopathology and immunostaining, whereas effusions, FNAs (e.g., of mesenteric lymph nodes), cerebrospinal fluid (CSF) and aqueous humour samples can be collected for cytology and immunostaining. It is wise to consult the diagnostic laboratory before submitting samples for ICC or IF as their preferences for how samples should be prepared before sending vary. FCoV RNA detection by reverse-transcriptase polymerase chain reaction (RT-PCR) FCoV RT-PCR assays can be used to detect FCoV RNA in blood, effusion, tissue (including samples obtained by FNAs), CSF, or aqueous humour samples. The RT-PCR assays used should be quantitative and report the FCoV load (amount) present in the analysed sample. The load is helpful because the systemic FCoV infection that can occur in healthy cats and cats without FIP have lower FCoV viral loads than in cats with FIP. Thus, a positive FCoV RT-PCR result on a sample is not totally specific for FIP, but positive results with a high FCoV load on samples from cats with signs consistent with FIP are very supportive of a diagnosis of FIP, and often this is adequate evidence upon which to start a cat with antiviral FIP treatment. However, a negative result cannot rule out a diagnosis of FIP since the levels of FCoV in samples can be too low or have too variable a distribution (and thus not present in the sample analysed) to be detectable by PCR. It is wise to consult the diagnostic laboratory before submitting samples for RT-PCR, as their preferences for how samples should be prepared before sending vary (e.g., centrifugation of effusions, preservation advice). Recent studies using RT-PCR on blood samples have shown more promising results than previously, with high levels of FCoV RNA detectable, suggesting that blood samples could be revisited as a diagnostic sample to support a diagnosis of FIP. RT-PCR analysis of effusion samples in cats with FIP is often positive (72–100% of samples) for FCoV RNA, and cats without FIP are usually RT-PCR-negative, and the presence of FCoV RNA, particularly in high levels, in an effusion that also has cytological and biochemical features suggestive of FIP, is highly supportive of a diagnosis of FIP. Whilst tissue biopsy samples obtained from affected tissues in cats with FIP usually show high levels of FCoV RNA in them, as determined by RT-PCR, such samples, if collected, should ideally be submitted for histopathology and IHC, as this allows for a definitive diagnosis of FIP. FNAs are a good sample type for FCoV RT-PCR, with the advantage of relatively easy collection. The sample site should be guided by where pathology is likely based on clinical signs and other diagnostic investigations, but promising results on FNAs collected from mesenteric lymph nodes from cats with FIP that did not have effusions have been obtained. CSF and aqueous humour FCoV RT-PCR in cats with neurological signs or ocular signs, respectively, can also be helpful. RT-PCR on faecal samples is only useful to identify cats shedding FCoV for the management of FCoV in multi-cat households. Faecal RT-PCR is not useful for the diagnosis of FIP as many healthy cats without FIP shed FCoV. Characterising FCoV spike (S)-gene mutations following positive RT-PCR for FCoV RNA Following the detection of FCoV RNA in a sample by RT-PCR, varied molecular techniques (e.g., pyrosequencing and Sanger sequencing often used in research, or methods that detect and quantify specific FCoV mutation sequences, such as the commercially available allelic discrimination assay) can be used to derive S-gene sequence data for the FCoV present. Such techniques are only successful at determining the FCoV sequence present when high loads of FCoV RNA are present, so successful S-gene-mutation analysis at least suggests that the sample contained high levels of FCoV RNA, which is highly supportive of a diagnosis of FIP. However, research has shown great variability in results when detecting S-gene mutations using the different methods, making it difficult to rely on S-gene-mutation analysis as being confirmative for FIP, especially when the commercially available allelic discrimination assay is used. |
7.6. Indirect Detection of FCoV
7.6.1. FCoV Antibody Testing
Antibody Testing on Blood Samples
Antibody Testing on Effusion Samples
Antibody Testing on CSF Samples
| Summary on Section 7: Diagnosis of FIP; Section 7.6: Indirect Detection of FCoV: Serum FCoV antibody tests, performed on blood, are usually enzyme-linked immunosorbent assays (ELISA), indirect immunofluorescence antibody tests or rapid immunomigration tests. A positive FCoV antibody test indicates that the cat has been infected with FCoV and has developed antibodies. Although cats with FIP tend to have higher FCoV antibody titres than cats without FIP, there is much overlap, so there is little value in an individual cat undergoing serum FCoV antibody testing. In addition, negative serum-FCoV antibody results cannot rule out FIP, as cats with confirmed FIP can be FCoV antibody-negative. There is no ‘FIP antibody test’; all that can be measured is antibody against FCoV. |
8. Epidemiological Considerations in the Management of Cats following a Diagnosis of FIP
8.1. Does a Cat with FIP Pose a Threat to Other Cats in Its Household?
8.2. Management of Cats with FIP in the Veterinary Practice
| Summary on Section 8: Epidemiological Considerations in the Management of Cats Following a Diagnosis of FIP It is likely safe to take a cat that has been diagnosed with FIP back into a household with cats that have already been in contact with it, as these cats are likely to be already FCoV-infected following exposure to the same FCoV isolate that originally infected the FIP cat. In the cat that has developed FIP, the infecting FCoV has likely undergone mutations to result in FIP-associated FCoV infection, and the understanding is that the horizontal transmission of FIP, via an FIP-associated FCoV strain, is a very unlikely occurrence. In households where a cat with FIP has been euthanised, with no remaining cats in the household, it is recommended that the owner waits for two months before obtaining new cats, as it has been suggested that FCoV might preserve its infectivity for days to a few weeks. Cats with FIP in a veterinary practice should be handled and housed like other cats, with routine infection-control measures, as any cat is a potential source of FCoV infection. There is no need to keep cats with FIP in infectious disease isolation wards. |
9. General Prognosis for FIP
| Summary on Section 9: General Prognosis for FIP Before effective antiviral treatments became available, cats with FIP usually died or were euthanised within a few weeks. Occasionally, cats with FIP did survive for several months or years after diagnosis, with variable treatments, although the influence of treatment on survival was not proven. Disease progression seems to be quicker in younger cats and cats with effusions than in older cats and cats without effusions. |
10. Treatment of FIP
10.1. Antiviral Treatments for FIP
10.1.1. GS-441524, a Nucleoside Analogue
| Drug | Comments | ABCD Recommendation in FIP |
|---|---|---|
| GS-441524 | Nucleoside analogue that terminates the RNA chain of viral RNA-dependent RNA polymerase. Given PO or by SC injection. Injections SC often sting. Very promising results in vitro, in one in vivo experimental study [331], and in several in vivo field studies, although FIP was not confirmed in all cases [20,38,40,43]. Survival rates of 81% mainly in cats with effusions [38], 82% in cats with effusions [19], 85% in cats with ‘mixed’ effusive/non-effusive FIP [31] and 94% in cats with FIP without effusions [31] have been reported. An improvement rate of 88% (many cats were still on treatment at time of writing) [23] has also been reported. More recent reports are using GS-441524 PO, which facilitates compliance. A prospective study showed 100% efficacy in 18 cats with FIP treated with PO GS-441524 [24]. Often expensive. Most studies have used 84-day treatment courses [19,31,332] but shorter courses may be effective [20,39,43]. Non-clinically significant transient adverse effects include elevations in ALT (although this may not be an adverse effect of GS-441524 [17] but due to the FIP), lymphocytosis and eosinophilia. Reports of GS-441524 urolithiasis are emerging but published reports are required (Séverine Tasker, personal communication). Optimal frequency of PO administration (i.e., q 24 h or q 24 h) has not been confirmed, although the doses needed for higher dosages (e.g., for neurological disease) are usually given divided q 12 h. | No licensed product available. Available as a compounded ‘special’ formulation for veterinary use in UK and Australia (and some other countries allowing importation). Owners often obtain illegal preparations in countries in which legal sources are not available. Excellent curative results. Standard dosages of 10–12 mg/kg q 24 h have been used. Higher dosages used for cats with ocular (15 mg/kg q 24 h) or neurological (10 mg/kg q 12 h) signs, but controlled studies are lacking. Many give 84 days of treatment [19,31,330], and treatment length can be extended and/or dosage increased (by 5 mg/kg/day) if clinical signs and serum biochemistry do not normalise [17]; some have suggested treating for 14 days beyond normalisation [17]. Courses shorter than 84 days may be effective [20,39,43]. PO route usually favoured (round up to nearest half 50 mg tablet if possible) due to painful SQ injections. PO tablets usually given on an empty stomach, at least 30 min before food. However, should the cat vomit the pills, then giving food can prevent vomiting (Diane Addie, personal communication). |
| Molnupiravir (EIDD 2801) | Nucleoside analogue given PO; promising results as a first-line and rescue (following GS-441524 treatment in cases that relapse) treatment for FIP with few adverse effects (folded ears [which may be due to the disease rather than an adverse effect], broken whiskers and severe leucopenia at very high dosages) [44]. | Licensed preparation available for use in humans in some countries. Designated as an antimicrobial reserved for human use only in European Union in 2023 [336]. Use in cats shows excellent promise. Suggested dosage is 12–15 mg/kg q 12 h for 84 days. |
| Remdesivir (GC-5734) | Nucleoside analogue and prodrug of GS-441524. Given SC or IV. No controlled studies on efficacy yet, but current descriptive studies [17,41,45,332,337] suggest favourable results. Induction remdesivir treatment (SC or IV) followed by maintenance SC remdesivir or PO GS-441524 was associated with 86% survival at six months in 28 cats with effusive or non-effusive FIP [17]. A combination of remdesivir (IV and/or SC) subsequently treated with oral GS-441524 (24 cats), or without GS-441524 (six cats), was associated with survival of 96%, and 33%, respectively of the 30 treated cats with effusive or non-effusive FIP [45]; 84-day treatment protocols were used. Non-clinically significant transient adverse effects may include elevations in ALT [45] but SC injections are often very painful. Expensive. | Licensed preparation available for use in humans in some countries. Available as a compounded ‘special’ formulation for veterinary use in UK and Australia (and some other countries allowing importation). Compliance problematic due to painful SC injections. More field and comparative studies required. Dosages of 6–20 mg/kg q 24 h SC or IV reported (induction 10–15 mg/kg, maintenance 8–15 mg/kg, with the higher dosages for ocular or neurological FIP [17,45]) with 20 mg/kg q 24 h of remdesivir administered as 10 mg/kg q 12 h. PO GS-441524 usually favoured over injectable remdesivir unless remdesivir is the only antiviral available and/or the cat is unable to tolerate oral medication. |
| GC376 | Inhibits 3C-like protease. Promising results in vitro and in one in vivo experimental study, especially in cats with effusions [136]. Six of twenty cats [338] and one of one cat [43] survived in field studies, although FIP was not confirmed in all cases. | Not commercially available yet but hopefully will be available as a licensed product for treatment of FIP in the future as one company has advised it is pursuing licensing. Further controlled field studies required. |
| Recombinant feline IFN-omega (rfIFN-ω) | Inhibits FCoV replication in vitro and reduced FCoV shedding in 9/11 cats without FIP in a shelter [339]. In one uncontrolled study, 4/12 treated cats survived over 2 years and another 4/12 experienced remission, but FIP was not confirmed in all cases [329]. However, rfIFN-ω was not effective in one placebo-controlled study; here the cats with FIP with effusion were concurrently given high dose glucocorticoids [37], which may have impacted results. In an uncontrolled study, rfIFN-ω was associated with a positive response in seven cats in which glucocorticoids were either not used (two cats), or tapered within a few weeks (five cats) [43]. Has been used following antiviral therapy for FIP to maintain remission [39,43] but controlled studies are needed to confirm efficacy of, and need for, rfIFN-ω as many studies have shown excellent survival following nucleoside analogue (including GS-441524) treatment without follow-up rfIFN-ω to prevent FIP relapse [17,19,24,31,38,40,45]. | Licensed for cats in some countries. Further studies without concurrent glucocorticoid treatment needed. Studies required to evaluate if useful to maintain remission of FIP after other antiviral treatment. Dosages in Section 10.1.6. on Interferons. |
| Mefloquine | Effectively inhibits FCoV replication in vitro as a small molecule inhibitor [340] and acts as a nucleoside analogue [341], but full mechanism of antiviral effects not known. Hepatic metabolism studied in vitro [342] and pharmacokinetics studied in healthy cats [343]. Its plasma protein binding properties have been studied in the blood of cats with and without FIP, and a simple high performance liquid chromatography assay developed to measure mefloquine [344]. Causes vomiting if not given with food but generally appears safe in healthy cats. Used in Australia as adjunct treatment for FIP and/or to maintain remission (Richard Malik, Sally Coggins and Jacqueline Norris, personal communication) but no published studies yet. Affordable. | Licensed preparation available for use in humans. Field studies required both alone and in combination with other drugs/antivirals for FIP treatment and to evaluate if useful to maintain remission. Has been used where other more effective antivirals cannot be used due to cost or availability. Suggested dosing is 62.5 mg/cat PO 2–3 times a week (three times for large cat) or 20–25 mg/cat PO q 24 h, with food. |
| Cyclosporine A and non-immunosuppressive derivatives (e.g., alosporivir) | Inhibits cyclophilins and thereby blocks replication of FCoV in vitro [345,346]. Associated with a reduction in blood FCoV viral load in three cats with suspected FIP, and reduced pleural effusion FCoV viral load and volume in one cat that survived 264 days after presentation before dying (see supplementary data in Tanaka et al. 2015 [347]). Can lead to immunosuppression, depending on the cyclosporine A derivative. | Further field studies needed. |
| Curcumin | Curcumin-encapsulated chitosan nanoparticles decreased expression of pro-inflammatory cytokines during infection of cell cultures with FIP-associated FCoV and inhibited viral replication in vitro [348]. Enhanced bioavailability as curcumin-encapsulated chitosan nanoparticles over curcumin in pharmacokinetic analysis in healthy cats [348]. Not effective as a small molecule inhibitor of FCoV replication in vitro [340]. Anti-inflammatory properties. | Further studies needed. |
| Chloroquine | Inhibits endocytosis following attachment of FCoV to host-cell membrane [341]. Has anti-inflammatory effects in vivo [349]. Can increase liver enzyme activities. Effective as a small molecule inhibitor of FCoV replication in vitro [340] but reported as being too toxic for cats [340,349] | Not recommended. |
| Hydroxychloroquine | Inhibits endocytosis following attachment of FCoV to host-cell membrane [341]. Inhibits type I and II FCoV replication in vitro, with less evidence of cytotoxicity than chloroquine [350]; addition of rfIFN-ω increased its antiviral action against type I FCoV replication in vitro. | Not recommended until further studies available. |
| Itraconazole | Inhibits cholesterol transport in type I FCoV in vitro [351] and thus, inhibits FCoV replication. Also said to inhibit endocytosis following attachment of FCoV to host-cell membrane [341]. Synergism of itraconazole with GS-441524 shown with type I FCoV in vitro [352]. Used in a very small uncontrolled study of cats with experimentally induced FIP alongside anti-human-TNF-α antibody treatment [190], in which two of three cats with FIP improved, and in one field case alongside prednisolone where the cat initially improved but relapsed and was euthanised at 38 days [353]. Reduced faecal virus load but failed to eliminate FCoV infection [132]. Associated with anorexia and vomiting in cats without FIP [354]. | Not recommended. More effective treatments now available. |
| Nelfinavir | Acts as protease inhibitor that showed synergistic effects against FCoV in vitro with Galanthus nivalis agglutinin [355]. No in vivo data available. | Not recommended until further studies available. |
| Ribavirin | Acts as a nucleoside analogue [341]. Inhibits FCoV replication in vitro, but very toxic in cats [356,357,358]. | Not recommended. |
| Vidarabine | Inhibits polymerases and reduces FCoV replication in vitro, but in vivo efficacy unknown [359]. Toxic to cats if given systemically. | Not recommended. |
| Galanthus nivalis agglutinin | Binds to FCoV-glycosylated envelope glycoproteins, thereby inhibiting viral attachment to the host cell and showed synergistic effects against FCoV with nelfinavir in vitro [355]. No in vivo data available. | Not recommended until further studies available. |
| Indomethacin | Acts as cyclopentenone cyclooxygenase metabolite with activity against several RNA viruses, including canine coronavirus [360]. No data on efficacy against FCoV in vitro or in cats with FIP available. Safety in cats is unknown. | Not recommended until further studies available. |
Initial Studies on GS-441524
Subsequent Studies on GS-441524
10.1.2. Remdesivir, a Nucleoside Analogue
10.1.3. Molnupiravir, a Nucleoside Analogue
10.1.4. GC376, a Protease Inhibitor
10.1.5. General Considerations for Use of Nucleoside Analogues and Protease Inhibitors
10.1.6. Interferons
- One million (106) units/kg SC or PO q 48 h for up to five doses, and then twice a week until rfIFN-ω treatment is stopped [43].
- 100,000 (105) units per cat SC or PO q 24 h until rfIFN-ω treatment is stopped [39,43]; 0.1 mL of previously diluted stock solution containing 1 million units of rfIFN-ω a is diluted again with 4.9 mL of saline diluent. Hence, 0.5 mL of the total 5 mL of the new stock solution now yields 100,000 units.
10.1.7. Anti-Malarial Compounds
10.1.8. Cyclosporine A
10.1.9. Curcumin
10.1.10. Miscellaneous Antiviral Treatments
10.2. Immunomodulatory Drugs for FIP
Polyprenyl Immunostimulant
10.3. Supportive Treatments for FIP, including Anti-Inflammatories and Drainage
| Summary of Section 10: Treatment of FIP The availability of effective curative antiviral treatments for FIP, particularly the nucleoside analogue GS-441524, has totally changed the landscape of this previously fatal disease. These treatments act quickly, allowing for the diagnostic trial treatment of cats in which FIP is very likely. However, treatment is often expensive, not licensed and not available legally in many countries, which complicates its use. Some countries have access to veterinary compounded GS-441524 products. In others, owners source antivirals themselves online, but the quality, purity, and concentration of active ingredients in these preparations is unknown, although they are clearly effective, based on published studies. Success rates of 81% to 100% have been reported in cats treated with different preparations of compounds believed, or known, to contain GS-441524. In initial studies, GS-441524 was administered by subcutaneous (SC) injection, which was often painful, but oral preparations are now available, which are very effective, are cheaper and better tolerated that SC injections. Most studies have used 84-day treatment courses, but shorter courses might be also effective. Non-clinically significant transient adverse effects of GS-441524 can include elevations in ALT (hepatoprotectants are sometimes given but are unlikely to be needed), lymphocytosis, and eosinophilia. Weight gain has been cited as a simple long-term measure of treatment efficacy too as it is easy to measure using paediatric weighing scales, every one to two weeks, allowing for an increased dose to be calculated to maintain the appropriate dosage despite weight gain during recovery. Hyperbilirubinaemia, hyperproteinaemia and leucocyte abnormalities typically normalise within a few weeks, but hyperglobulinaemia might take longer to normalise. Overall, a good appetite and/or activity level, a higher temperature, a lower bilirubin concentration and fast normalisation of α1-acid glycoprotein (AGP) appear to be prognostically useful to predict survival with GS-441524 treatment. FCoV antibody concentrations are not useful to track response to treatment. Abdominal lymphadenomegaly has been reported following effective GS-441524 treatment but does not signify FIP relapse. Remdesivir is a nucleoside analogue and the prodrug of GS-441524. A human-licensed preparation is available, as well as a veterinary compounded product in some countries. Remdesivir is injected, either intravenously or SC, but SC administration is painful. Most veterinarians thus favour oral GS-441524 treatment for FIP, unless remdesivir is the only antiviral available and/or the cat is unable to tolerate oral medication (e.g., due to being very sick). No comparative controlled studies currently exist on the efficacy of remdesivir and GS-441524. Molnupiravir is another oral nucleoside analogue. It has shown promising results as a first-line agent and a rescue agent for cases that relapse. A human-licensed preparation is available, but rules vary in different countries as to whether it may be used in cats. More comparative studies are required. Protocols have emerged on how nucleoside analogues are used to treat FIP; these usually include recommendations for higher dosages in cats with ocular or neurological signs. Vaccination and neutering have both been performed during, or following, successful treatment of FIP with nucleoside analogues, in cats in which these procedures have been deemed necessary. No relapse of FIP has been recorded although employment of feline-friendly methods is recommended to minimise stress. GC376 is an injectable protease inhibitor that has been used successfully for the treatment of FIP. Dentition adverse effects were reported. No legal preparations are currently available although it is hoped that a cat licensed product will be available in the future. Some veterinarians have used mefloquine, recombinant feline interferon-omega (rfIFN-ω) and/or polyprenyl immunostimulant (PI) for the treatment of FIP, although none of these are as effective as the nucleoside analogues. Oral mefloquine is an affordable human-licensed product that has been used anecdotally for FIP, but no published FIP treatment studies exist. It might be useful as adjunct treatment or in cases where other more effective antivirals cannot be used due to cost or availability. It is given with food to avoid vomiting as a side effect. rfIFN-ω is licensed for use in cats in some countries and, for FIP, it has been used most recently following antiviral therapy with GS-441524 to prevent relapse. However, controlled studies are needed to confirm efficacy of, and need for, rfIFN-ω, as many studies have shown excellent survival following nucleoside analogue (including GS-441524) treatment without follow-up rfIFN-ω. PI might be helpful in the treatment of FIP without effusions although response to treatment is slow, over several months. It has been found that concurrent systemic glucocorticoid treatment should be avoided with PI, as this worsens prognosis. Although more studies are needed, systemic glucocorticoids should probably be avoided in the treatment of FIP, although topical steroids for uveitis are permitted. Veterinary supportive care (e.g., intravenous fluids, appetite stimulants, anti-emetics, analgesia, vitamin B12, non-steroidal anti-inflammatories) is very important in the recovery of cats that are very sick due to FIP. However, veterinary support is often not sought by owners who have obtained antiviral drugs illegally for their cats as veterinarians are unable to advise, obtain or prescribe illegal drugs, leading to a disconnect between owners and veterinarians. It is possible for vets to give supportive care to cats in this situation for welfare reasons, as long as documentation is created to confirm there has been no veterinary involvement in the illegal drug procurement or administration. Further details on antiviral, immunomodulatory and supportive treatments for FIP (including dosages) are given in Table 2 and Table 5, which should be used in conjunction with this summary. |
11. Vaccination
11.1. Efficacy of FIP Vaccines
11.2. Use of FIP Vaccines
11.2.1. Primary Course
11.2.2. Booster Vaccinations
| Summary of Section 11: Vaccination: An intranasal vaccine for FIP is available in some countries for cats aged 16 weeks or over. However, it should only be given to cats that have not yet encountered FCoV infection, which is difficult as FCoV infection is widespread in cat populations. Additionally, its efficacy has been questioned. Its use is not recommended by ABCD. |
12. Control of FCoV Infection and FIP
12.1. Reducing FCoV Transmission
12.2. Managing FCoV Shedders
12.3. Elimination of FCoV Shedding
12.4. Further Considerations in Breeding Catteries
12.5. Further Considerations in Rescue Facilities, Shelters and Boarding Catteries
12.6. Management of FCoV-Infected Cats without Clinical Signs
12.7. Maintaining a FCoV-Negative Status
| Summary of Section 12: Control of FCoV and FIP As FCoV is transmitted predominantly via the faecal–oral route, hygiene is the mainstay of FCoV (and therefore FIP) control. FCoV infection is maintained in households by continual cycles of infection and re-infection and is less of a problem amongst cats with access outdoors that bury their faeces outside. A reduction of FCoV infection pressure can also be helped by not keeping more than three well-adapted (consistent) cats per room and providing outdoor access. If outside access is not possible, the number of litter trays should be one more than the number of cats present. Litter trays should be positioned in different rooms, away from food and water, have faeces removed twice a day and completely cleaned once weekly. Non-tracking clumping bentonite-based Fuller’s earth cat litter can be helpful to reduce FCoV spread. The identification and separation of FCoV shedders can be helpful for reducing transmission rates of FCoV in a household. No universally accepted protocol for identification of shedders exists, and testing results represent the situation at only that timepoint, with changes in results occurring over time. Although positive correlation exists between FCoV serum antibody titres and the likelihood and the frequency of faecal FCoV shedding, as well as the FCoV faecal viral load, this relationship is not straightforward. Serum antibody-negative cats can be positive for FCoV RNA in faeces and serum antibody-positive cats can be negative for FCoV RNA in faeces. The use of nucleoside analogues, such as GS-441524, to eliminate FCoV shedding in cats without FIP is very controversial. Some suggest there is a potential risk of development of drug-resistant escape mutant FCoVs, and are concerned that clearing a household of FCoV is difficult to achieve and maintain, due to the high prevalence of FCoV infection in cat populations. Those wishing to eradicate FCoV from their household should be reminded of the importance of both hygiene and keeping cats in small groups, as well as other measures to reduce FCoV load (e.g., non-tracking litter, avoiding stress) and the use of quarantine and testing prior to introducing cats or kittens into households. The commercially available genetic PCR tests that purport to detect cats that are resistant to FIP are currently not recommended as a basis for breeding decisions as they are not accurate in identifying resistant cats. Stress experienced by FCoV-infected cats (e.g., due to surgery, boarding, adoption) or immunosuppression caused by infections, e.g., FIV or FeLV, can predispose cats to developing FIP, so the minimisation of stress and immunosuppression are important to prevent the development of FIP in FCoV-infected cats. The FIP vaccine is not useful in FCoV-infected cats. |
13. Conclusions
| Summary of Section 13: Conclusions FIP typically occurs in young cats, and effusions, fever, anorexia, and weight loss are common presenting signs. The sampling of effusions or abnormal tissues by fine-needle aspirates for cytology and FCoV analysis (either RT-qPCR for FCoV RNA load and/or immunostaining for FCoV antigen) can aid diagnosis. Antiviral compounds, especially nucleoside analogues such as oral GS-441524, are effective curative treatments, although treatment is often costly. Trial treatment of cases might be warranted if a diagnosis is very likely, as response to effective antivirals is usually rapid. Without effective antiviral treatment, FIP has a very poor prognosis. Guidelines will continue to be updated regularly on the ABCD website FIP section (www.abcdcatsvets.org [441]) as new data become available. |
Funding
Acknowledgments
Conflicts of Interest
References
- Pedersen, N.C.; Boyle, J.F.; Floyd, K.; Fudge, A.; Barker, J. An enteric coronavirus infection of cats and its relationship to feline infectious peritonitis. Am. J. Vet. Res. 1981, 42, 368–377. [Google Scholar] [PubMed]
- Hayashi, T.; Watabe, Y.; Nakayama, H.; Fujiwara, K. Enteritis due to feline infectious peritonitis virus. Jpn. J. Vet. Res. 1982, 44, 97–106. [Google Scholar] [CrossRef] [PubMed]
- Addie, D.D.; Jarrett, O. A study of naturally occurring feline coronavirus infections in kittens. Vet. Rec. 1992, 130, 133–137. [Google Scholar] [CrossRef] [PubMed]
- Kipar, A.; Kremendahl, J.; Addie, D.D.; Leukert, W.; Grant, C.K.; Reinacher, M. Fatal enteritis associated with coronavirus infection in cats. J. Comp. Pathol. 1998, 119, 1–14. [Google Scholar] [CrossRef]
- Addie, D.D.; Jarrett, O. Use of a reverse-transcriptase polymerase chain reaction for monitoring the shedding of feline coronavirus by healthy cats. Vet. Rec. 2001, 148, 649–653. [Google Scholar] [CrossRef]
- Kipar, A.; May, H.; Menger, S.; Weber, M.; Leukert, W.; Reinacher, M. Morphologic features and development of granulomatous vasculitis in feline infectious peritonitis. Vet. Pathol. 2005, 42, 321–330. [Google Scholar] [CrossRef]
- Kipar, A.; Meli, M.L.; Baptiste, K.E.; Bowker, L.J.; Lutz, H. Sites of feline coronavirus persistence in healthy cats. J. Gen. Virol. 2010, 91, 1698–1707. [Google Scholar] [CrossRef]
- Mustaffa-Kamal, F.; Liu, H.; Pedersen, N.C.; Sparger, E.E. Characterization of antiviral T cell responses during primary and secondary challenge of laboratory cats with feline infectious peritonitis virus (FIPV). BMC Vet. Res. 2019, 15, 165. [Google Scholar] [CrossRef]
- Pedersen, N.C. An update on feline infectious peritonitis: Virology and immunopathogenesis. Vet. J. 2014, 201, 123–132. [Google Scholar] [CrossRef]
- Zehr, J.D.; Kosakovsky Pond, S.L.; Millet, J.K.; Olarte-Castillo, X.A.; Lucaci, A.G.; Shank, S.D.; Ceres, K.M.; Choi, A.; Whittaker, G.R.; Goodman, L.B.; et al. Natural selection differences detected in key protein domains between non-pathogenic and pathogenic feline coronavirus phenotypes. Virus Evol. 2023, 9, vead019. [Google Scholar] [CrossRef]
- Pesteanu-Somogyi, L.D.; Radzai, C.; Pressler, B.M. Prevalence of feline infectious peritonitis in specific cat breeds. J. Feline Med. Surg. 2006, 8, 1–5. [Google Scholar] [CrossRef] [PubMed]
- Robison, R.L.; Holzworth, J.; Gilmore, C.E. Naturally occurring feline infectious peritonitis: Signs and clinical diagnosis. J. Am. Vet. Med. Assoc. 1971, 158 (Suppl. S2), 981–986. [Google Scholar]
- Rohrbach, B.W.; Legendre, A.M.; Baldwin, C.A.; Lein, D.H.; Reed, W.M.; Wilson, R.B. Epidemiology of feline infectious peritonitis among cats examined at veterinary medical teaching hospitals. J. Am. Vet. Med. Assoc. 2001, 218, 1111–1115. [Google Scholar] [CrossRef] [PubMed]
- Worthing, K.A.; Wigney, D.I.; Dhand, N.K.; Fawcett, A.; McDonagh, P.; Malik, R.; Norris, J.M. Risk factors for feline infectious peritonitis in Australian cats. J. Feline Med. Surg. 2012, 14, 405–412. [Google Scholar] [CrossRef] [PubMed]
- Norris, J.M.; Bosward, K.L.; White, J.D.; Baral, R.M.; Catt, M.J.; Malik, R. Clinicopathological findings associated with feline infectious peritonitis in Sydney, Australia: 42 cases (1990–2002). Aust. Vet. J. 2005, 83, 666–673. [Google Scholar] [CrossRef]
- Soma, T.; Wada, M.; Taharaguchi, S.; Tajima, T. Detection of ascitic feline coronavirus RNA from cats with clinically suspected feline infectious peritonitis. J. Vet. Med. Sci. 2013, 75, 1389–1392. [Google Scholar] [CrossRef]
- Coggins, S.J.; Norris, J.M.; Malik, R.; Govendir, M.; Hall, E.J.; Kimble, B.; Thompson, M.F. Outcomes of treatment of cats with feline infectious peritonitis using parenteral remdesivir, with or without transition to oral GS-441524. J. Vet. Intern. Med. 2023. [Google Scholar] [CrossRef]
- Riemer, F.; Kuehner, K.A.; Ritz, S.; Sauter-Louis, C.; Hartmann, K. Clinical and laboratory features of cats with feline infectious peritonitis—A retrospective study of 231 confirmed cases (2000–2010). J. Feline Med. Surg. 2016, 18, 348–356. [Google Scholar] [CrossRef]
- Katayama, M.; Uemura, Y. Therapeutic Effects of Mutian(®) Xraphconn on 141 Client-Owned Cats with Feline Infectious Peritonitis Predicted by Total Bilirubin Levels. Vet. Sci. 2021, 8, 328. [Google Scholar] [CrossRef]
- Yin, Y.; Li, T.; Wang, C.; Liu, X.; Ouyang, H.; Ji, W.; Liu, J.; Liao, X.; Li, J.; Hu, C. A retrospective study of clinical and laboratory features and treatment on cats highly suspected of feline infectious peritonitis in Wuhan, China. Sci. Rep. 2021, 11, 5208. [Google Scholar] [CrossRef]
- Pedersen, N.C. A review of feline infectious peritonitis virus infection: 1963–2008. J. Feline Med. Surg. 2009, 11, 225–258. [Google Scholar] [CrossRef] [PubMed]
- Felten, S.; Hartmann, K. Diagnosis of Feline Infectious Peritonitis: A Review of the Current Literature. Viruses 2019, 11, 1068. [Google Scholar] [CrossRef] [PubMed]
- Jones, S.; Novicoff, W.; Nadeau, J.; Evans, S. Unlicensed GS-441524-Like Antiviral Therapy Can Be Effective for at-Home Treatment of Feline Infectious Peritonitis. Animals 2021, 11, 2257. [Google Scholar] [CrossRef] [PubMed]
- Krentz, D.; Zenger, K.; Alberer, M.; Felten, S.; Bergmann, M.; Dorsch, R.; Matiasek, K.; Kolberg, L.; Hofmann-Lehmann, R.; Meli, M.L.; et al. Curing Cats with Feline Infectious Peritonitis with an Oral Multi-Component Drug Containing GS-441524. Viruses 2021, 13, 2228. [Google Scholar] [CrossRef]
- Sweet, A.N.; Andre, N.M.; Stout, A.E.; Licitra, B.N.; Whittaker, G.R. Clinical and Molecular Relationships between COVID-19 and Feline Infectious Peritonitis (FIP). Viruses 2022, 14, 481. [Google Scholar] [CrossRef] [PubMed]
- Sparkes, A.H.; Gruffydd-Jones, T.J.; Harbour, D.A. Feline infectious peritonitis: A review of clinicopathological changes in 65 cases, and a critical assessment of their diagnostic value. Vet. Rec. 1991, 129, 209–212. [Google Scholar] [CrossRef]
- Tsai, H.Y.; Chueh, L.L.; Lin, C.N.; Su, B.L. Clinicopathological findings and disease staging of feline infectious peritonitis: 51 cases from 2003 to 2009 in Taiwan. J. Feline Med. Surg. 2011, 13, 74–80. [Google Scholar] [CrossRef]
- Baek, S.; Jo, J.; Song, K.; Seo, K. Recurrent pericardial effusion with feline infectious peritonitis in a cat. J. Vet. Clin. 2017, 34, 437–440. [Google Scholar] [CrossRef]
- Lewis, K.M.; O’Brien, R.T. Abdominal Ultrasonographic Findings Associated With Feline Infectious Peritonitis: A Retrospective Review of 16 Cases. J. Am. Anim. Hosp. Assoc. 2010, 46, 152–160. [Google Scholar] [CrossRef]
- Dunbar, D.; Kwok, W.; Graham, E.; Armitage, A.; Irvine, R.; Johnston, P.; McDonald, M.; Montgomery, D.; Nicolson, L.; Robertson, E.; et al. Diagnosis of non-effusive feline infectious peritonitis by reverse transcriptase quantitative PCR from mesenteric lymph node fine-needle aspirates. J. Feline Med. Surg. 2019, 21, 910–921. [Google Scholar] [CrossRef]
- Katayama, M.; Uemura, Y. Prognostic Prediction for Therapeutic Effects of Mutian on 324 Client-Owned Cats with Feline Infectious Peritonitis Based on Clinical Laboratory Indicators and Physical Signs. Vet. Sci. 2023, 10, 136. [Google Scholar] [CrossRef] [PubMed]
- Ziolkowska, N.; Pazdzior-Czapula, K.; Lewczuk, B.; Mikulska-Skupien, E.; Przybylska-Gornowicz, B.; Kwiecinska, K.; Ziolkowski, H. Feline Infectious Peritonitis: Immunohistochemical Features of Ocular Inflammation and the Distribution of Viral Antigens in Structures of the Eye. Vet. Pathol. 2017, 54, 933–944. [Google Scholar] [CrossRef] [PubMed]
- Crawford, A.H.; Stoll, A.L.; Sanchez-Masian, D.; Shea, A.; Michaels, J.; Fraser, A.R.; Beltran, E. Clinicopathologic Features and Magnetic Resonance Imaging Findings in 24 Cats With Histopathologically Confirmed Neurologic Feline Infectious Peritonitis. J. Vet. Intern. Med. 2017, 31, 1477–1486. [Google Scholar] [CrossRef]
- Kline, K.L.; Joseph, R.J.; Averdill, D.R. Feline infectious peritonitis with neurologic involvement: Clinical and pathological findings in 24 cats. J. Am. Anim. Hosp. Assoc. 1994, 30, 111–118. [Google Scholar]
- Foley, J.E.; Lapointe, J.M.; Koblik, P.; Poland, A.; Pedersen, N.C. Diagnostic features of clinical neurologic feline infectious peritonitis. J. Vet. Intern. Med. 1998, 12, 415–423. [Google Scholar] [CrossRef]
- Thayer, V.; Gogolski, S.; Felten, S.; Hartmann, K.; Kennedy, M.; Olah, G.A. 2022 AAFP/EveryCat Feline Infectious Peritonitis Diagnosis Guidelines. J. Feline Med. Surg. 2022, 24, 905–933. [Google Scholar] [CrossRef]
- Ritz, S.; Egberink, H.; Hartmann, K. Effect of feline interferon-omega on the survival time and quality of life of cats with feline infectious peritonitis. J. Vet. Intern. Med. 2007, 21, 1193–1197. [Google Scholar] [CrossRef]
- Pedersen, N.C.; Perron, M.; Bannasch, M.; Montgomery, E.; Murakami, E.; Liepnieks, M.; Liu, H. Efficacy and safety of the nucleoside analog GS-441524 for treatment of cats with naturally occurring feline infectious peritonitis. J. Feline Med. Surg. 2019, 21, 271–281. [Google Scholar] [CrossRef]
- Addie, D.D.; Covell-Ritchie, J.; Jarrett, O.; Fosbery, M. Rapid Resolution of Non-Effusive Feline Infectious Peritonitis Uveitis with an Oral Adenosine Nucleoside Analogue and Feline Interferon Omega. Viruses 2020, 12, 1216. [Google Scholar] [CrossRef]
- Dickinson, P.J.; Bannasch, M.; Thomasy, S.M.; Murthy, V.D.; Vernau, K.M.; Liepnieks, M.; Montgomery, E.; Knickelbein, K.E.; Murphy, B.; Pedersen, N.C. Antiviral treatment using the adenosine nucleoside analogue GS-441524 in cats with clinically diagnosed neurological feline infectious peritonitis. J. Vet. Intern. Med. 2020, 34, 1587–1593. [Google Scholar] [CrossRef]
- Bohm, M. Successful treatment of a South African cat with effusive feline infectious peritonitis with remdesivir. J. S. Afr. Vet. Assoc. 2022, 93, 112–115. [Google Scholar] [CrossRef] [PubMed]
- Nekouei, O.; St-Hilaire, S.; Hui, P.C.; Chan, K.; Chan, I.S.; Ngan, S.Y.L.; Chan, Y.; Chung, K.P.; Hong, S.; Chan, H.M.; et al. Potential therapeutic effects of GS-441524 and GC376 in cats with feline infectious peritonitis. Vet. Evid. 2022, 7. [Google Scholar] [CrossRef]
- Addie, D.D.; Silveira, C.; Aston, C.; Brauckmann, P.; Covell-Ritchie, J.; Felstead, C.; Fosbery, M.; Gibbins, C.; Macaulay, K.; McMurrough, J.; et al. Alpha-1 Acid Glycoprotein Reduction Differentiated Recovery from Remission in a Small Cohort of Cats Treated for Feline Infectious Peritonitis. Viruses 2022, 14, 744. [Google Scholar] [CrossRef] [PubMed]
- Roy, M.; Jacque, N.; Novicoff, W.; Li, E.; Negash, R.; Evans, S.J.M. Unlicensed Molnupiravir is an Effective Rescue Treatment Following Failure of Unlicensed GS-441524-like Therapy for Cats with Suspected Feline Infectious Peritonitis. Pathogens 2022, 11, 1209. [Google Scholar] [CrossRef]
- Green, J.; Syme, H.; Tayler, S. Thirty-two cats with effusive or non-effusive feline infectious peritonitis treated with a combination of remdesivir and GS-441524. J. Vet. Intern. Med. 2023. [Google Scholar] [CrossRef]
- Addie, D.; Belak, S.; Boucraut-Baralon, C.; Egberink, H.; Frymus, T.; Gruffydd-Jones, T.; Hartmann, K.; Hosie, M.J.; Lloret, A.; Lutz, H.; et al. Feline infectious peritonitis. ABCD guidelines on prevention and management. J. Feline Med. Surg. 2009, 11, 594–604. [Google Scholar] [CrossRef]
- Owens, R.A.; Flores, R.; Di Serio, F.; Li, S.F.; Pallás, V.; Randles, J.W.; Sano, T.; Vidalakis, G. Viroids. In Ninth Report of the International Committee on Taxonomy of Viruses; King, A.M.Q., Adams, M.J., Carstens, E.B., Lefkowitz, E.J., Eds.; Elsevier: Amsterdam, The Netherlands, 2012; pp. 1221–1234. [Google Scholar]
- De Groot, R.J.; Baker, S.C.; Baric, R.S.; Enjuanes, L.; Gorbalenya, A.E.; Holmes, K.V.; Perlman, S.; Poon, L.; Rottier, P.J.M.; Talbot, P.J.; et al. Family Coronaviridae. In Ninth Report International Committee on Taxonomy of Viruses; King, A.M.Q., Adams, M.J., Carstens, E.B., Lefkowitz, E.J., Eds.; Elsevier: Amsterdam, The Netherlands, 2012; pp. 806–828. [Google Scholar]
- Jaimes, J.A.; Millet, J.K.; Stout, A.E.; Andre, N.M.; Whittaker, G.R. A Tale of Two Viruses: The Distinct Spike Glycoproteins of Feline Coronaviruses. Viruses 2020, 12, 83. [Google Scholar] [CrossRef]
- Haake, C.; Cook, S.; Pusterla, N.; Murphy, B. Coronavirus Infections in Companion Animals: Virology, Epidemiology, Clinical and Pathologic Features. Viruses 2020, 12, 1023. [Google Scholar] [CrossRef]
- Hosie, M.J.; Hofmann-Lehmann, R.; Hartmann, K.; Egberink, H.; Truyen, U.; Addie, D.D.; Belak, S.; Boucraut-Baralon, C.; Frymus, T.; Lloret, A.; et al. Anthropogenic Infection of Cats during the 2020 COVID-19 Pandemic. Viruses 2021, 13, 185. [Google Scholar] [CrossRef]
- Addie, D.D.; Boucraut-Baralon, C.; Egberink, H.; Frymus, T.; Gruffydd-Jones, T.; Hartmann, K.; Horzinek, M.C.; Hosie, M.J.; Lloret, A.; Lutz, H.; et al. Disinfectant choices in veterinary practices, shelters and households: ABCD guidelines on safe and effective disinfection for feline environments. J. Feline Med. Surg. 2015, 17, 594–605. [Google Scholar] [CrossRef]
- Scott, F.W. Update on FIP. In Proceedings of the 12th Annual Kal Kan Symposium for the Treatment of Small Animal Diseases, Vernon, OH, USA, 16–17 October 1988; pp. 43–47. [Google Scholar]
- Barker, E.N.; Tasker, S. Advances in Molecular Diagnostics and Treatment of Feline Infectious Peritonitis. Adv. Small Anim. Care 2020, 1, 161–188. [Google Scholar] [CrossRef]
- Healey, E.A.; Andre, N.M.; Miller, A.D.; Whitaker, G.R.; Berliner, E.A. Outbreak of feline infectious peritonitis (FIP) in shelter-housed cats: Molecular analysis of the feline coronavirus S1/S2 cleavage site consistent with a ‘circulating virulent–avirulent theory’ of FIP pathogenesis. J. Feline Med. Surg. Open Rep. 2022, 8, 20551169221074226. [Google Scholar] [CrossRef] [PubMed]
- Millet, J.K.; Whittaker, G.R. Host cell proteases: Critical determinants of coronavirus tropism and pathogenesis. Virus Res. 2015, 202, 120–134. [Google Scholar] [CrossRef] [PubMed]
- Shi, W.; Cai, Y.; Zhu, H.; Peng, H.; Voyer, J.; Rits-Volloch, S.; Cao, H.; Mayer, M.L.; Song, K.; Xu, C.; et al. Cryo-EM structure of SARS-CoV-2 postfusion spike in membrane. Nature 2023, 619, 403–409. [Google Scholar] [CrossRef]
- Terada, Y.; Matsui, N.; Noguchi, K.; Kuwata, R.; Shimoda, H.; Soma, T.; Mochizuki, M.; Maeda, K. Emergence of pathogenic coronaviruses in cats by homologous recombination between feline and canine coronaviruses. PLoS ONE 2014, 9, e106534. [Google Scholar] [CrossRef]
- Horzinek, M.C.; Lutz, H. An Update on Feline Infectious Peritonitis. Vet. Sci. Tomorrow 2000, Nr.0, 1–10. [Google Scholar]
- Jaimes, J.A.; Whittaker, G.R. Feline coronavirus: Insights into viral pathogenesis based on the spike protein structure and function. Virology 2018, 517, 108–121. [Google Scholar] [CrossRef]
- Shiba, N.; Maeda, K.; Kato, H.; Mochizuki, M.; Iwata, H. Differentiation of feline coronavirus type I and II infections by virus neutralization test. Vet. Microbiol. 2007, 124, 348–352. [Google Scholar] [CrossRef]
- Herrewegh, A.A.; Smeenk, I.; Horzinek, M.C.; Rottier, P.J.; de Groot, R.J. Feline coronavirus type II strains 79-1683 and 79-1146 originate from a double recombination between feline coronavirus type I and canine coronavirus. J. Virol. 1998, 72, 4508–4514. [Google Scholar] [CrossRef]
- Le Poder, S.; Pham-Hung d’Alexandry d’Orangiani, A.L.; Duarte, L.; Fournier, A.; Horhogea, C.; Pinhas, C.; Vabret, A.; Eloit, M. Infection of cats with atypical feline coronaviruses harbouring a truncated form of the canine type I non-structural ORF3 gene. Infect. Genet. Evol. 2013, 20, 488–494. [Google Scholar] [CrossRef]
- Addie, D.D.; Schaap, I.A.T.; Nicolson, L.; Jarrett, O. Persistence and transmission of natural type I feline coronavirus infection. J. Gen. Virol. 2003, 84, 2735–2744. [Google Scholar] [CrossRef] [PubMed]
- Lin, C.N.; Su, B.L.; Wang, C.H.; Hsieh, M.W.; Chueh, T.J.; Chueh, L.L. Genetic diversity and correlation with feline infectious peritonitis of feline coronavirus type I and II: A 5-year study in Taiwan. Vet. Microbiol. 2009, 136, 233–239. [Google Scholar] [CrossRef] [PubMed]
- Wang, Y.T.; Chueh, L.L.; Wan, C.H. An eight-year epidemiologic study based on baculovirus-expressed type-specific spike proteins for the differentiation of type I and II feline coronavirus infections. BMC Vet. Res. 2014, 10, 186. [Google Scholar] [CrossRef]
- Decaro, N.; Mari, V.; Lanave, G.; Lorusso, E.; Lucente, M.S.; Desario, C.; Colaianni, M.L.; Elia, G.; Ferringo, F.; Alfano, F.; et al. Mutation analysis of the spike protein in Italian feline infectious peritonitis virus and feline enteric coronavirus sequences. Res. Vet. Sci. 2021, 135, 15–19. [Google Scholar] [CrossRef]
- Lin, L.; Yao, D.; Wu, L.; Fan, R.; Liu, Y.; Zhou, Z. Molecular epidemiology of type I and II feline coronavirus from cats with suspected feline infectious peritonitis in China between 2019 and 2021. Arch. Virol. 2022, 167, 189–194. [Google Scholar] [CrossRef] [PubMed]
- Xu, L.; Ye, S.; Ding, Y.; Xiao, Y.; Yao, C.; Wang, Z.; Cai, S.; Ou, J.; Mao, J.; Hu, X.; et al. A Combined Method Based on the FIPV N Monoclonal Antibody Immunofluorescence Assay and RT-nPCR Method for the Rapid Diagnosis of FIP-Suspected Ascites. Transbound. Emerg. Dis. 2023, 2023, 8429106. [Google Scholar] [CrossRef]
- An, D.J.; Jeoung, H.Y.; Jeong, W.; Park, J.Y.; Lee, M.H.; Park, B.K. Prevalence of Korean cats with natural feline coronavirus infections. Virol. J. 2011, 8, 455. [Google Scholar] [CrossRef]
- Duarte, A.; Veiga, I.; Tavares, L. Genetic diversity and phylogenetic analysis of Feline Coronavirus sequences from Portugal. Vet. Microbiol. 2009, 138, 163–168. [Google Scholar] [CrossRef]
- Amer, A.; Siti Suri, A.; Abdul Rahman, O.; Mohd, H.B.; Faruku, B.; Saeed, S.; Tengku Azmi, T.I. Isolation and molecular characterization of type I and type II feline coronavirus in Malaysia. Virol. J. 2012, 9, 278. [Google Scholar] [CrossRef]
- Zhou, Q.; Li, Y.; Huang, J.; Fu, N.; Song, X.; Sha, X.; Zhang, B. Prevalence and molecular characteristics of feline coronavirus in southwest China from 2017 to 2020. J. Gen. Virol. 2021, 102, 001654. [Google Scholar] [CrossRef]
- Hohdatsu, T.; Okada, S.; Ishizuka, Y.; Yamada, H.; Koyama, H. The prevalence of types I and II feline coronavirus infections in cats. J. Vet. Med. Sci. 1992, 54, 557–562. [Google Scholar] [CrossRef] [PubMed]
- Kummrow, M.; Meli, M.L.; Haessig, M.; Goenczi, E.; Poland, A.; Pedersen, N.C.; Hofmann-Lehmann, R.; Lutz, H. Feline coronavirus serotypes 1 and 2: Seroprevalence and association with disease in Switzerland. Clin. Diagn. Lab. Immunol. 2005, 12, 1209–1215. [Google Scholar] [CrossRef] [PubMed]
- Benetka, V.; Kubber-Heiss, A.; Kolodziejek, J.; Nowotny, N.; Hofmann-Parisot, M.; Mostl, K. Prevalence of feline coronavirus types I and II in cats with histopathologically verified feline infectious peritonitis. Vet. Microbiol. 2004, 99, 31–42. [Google Scholar] [CrossRef] [PubMed]
- Pedersen, N.C.; Evermann, J.F.; McKeirnan, A.J.; Ott, R.L. Pathogenicity studies of feline coronavirus isolates 79-1146 and 79-1683. Am. J. Vet. Res. 1984, 45, 2580–2585. [Google Scholar]
- Desmarets, L.M.; Theuns, S.; Olyslaegers, D.A.; Dedeurwaerder, A.; Vermeulen, B.L.; Roukaerts, I.D.; Nauwynck, H.J. Establishment of feline intestinal epithelial cell cultures for the propagation and study of feline enteric coronaviruses. Vet. Res. 2013, 44, 71. [Google Scholar] [CrossRef]
- Tekes, G.; Ehmann, R.; Boulant, S.; Stanifer, M.L. Development of Feline Ileum- and Colon-Derived Organoids and Their Potential Use to Support Feline Coronavirus Infection. Cells 2020, 9, 2085. [Google Scholar] [CrossRef]
- Lai, M.M.; Cavanagh, D. The molecular biology of coronaviruses. Adv. Virus Res. 1997, 48, 1–100. [Google Scholar] [CrossRef]
- Poland, A.M.; Vennema, H.; Foley, J.E.; Pedersen, N.C. Two related strains of feline infectious peritonitis virus isolated from immunocompromised cats infected with a feline enteric coronavirus. J. Clin. Microbiol. 1996, 34, 3180–3184. [Google Scholar] [CrossRef]
- Gao, Y.Y.; Wang, Q.; Liang, X.Y.; Zhang, S.; Bao, D.; Zhao, H.; Li, S.B.; Wang, K.; Hu, G.X.; Gao, F.S. An updated review of feline coronavirus: Mind the two biotypes. Virus Res. 2023, 326, 199059. [Google Scholar] [CrossRef]
- Fish, E.J.; Diniz, P.P.V.; Juan, Y.C.; Bossong, F.; Collisson, E.W.; Drechsler, Y.; Kaltenboeck, B. Cross-sectional quantitative RT-PCR study of feline coronavirus viremia and replication in peripheral blood of healthy shelter cats in Southern California. J. Feline Med. Surg. 2018, 20, 295–301. [Google Scholar] [CrossRef]
- Kipar, A.; Baptiste, K.; Barth, A.; Reinacher, M. Natural FCoV infection: Cats with FIP exhibit significantly higher viral loads than healthy infected cats. J. Feline Med. Surg. 2006, 8, 69–72. [Google Scholar] [CrossRef] [PubMed]
- Meli, M.; Kipar, A.; Muller, C.; Jenal, K.; Gonczi, E.; Borel, N.; Gunn-Moore, D.; Chalmers, S.; Lin, F.; Reinacher, M.; et al. High viral loads despite absence of clinical and pathological findings in cats experimentally infected with feline coronavirus (FCoV) type I and in naturally infected FCoV-infected cats. J. Feline Med. Surg. 2004, 6, 69–81. [Google Scholar] [CrossRef]
- Borschensky, C.M.; Reinacher, M. Mutations in the 3c and 7b genes of feline coronavirus in spontaneously affected FIP cats. Res. Vet. Sci. 2014, 97, 333–340. [Google Scholar] [CrossRef] [PubMed]
- Bank-Wolf, B.R.; Stallkamp, I.; Wiese, S.; Moritz, A.; Tekes, G.; Thiel, H.J. Mutations of 3c and spike protein genes correlate with the occurrence of feline infectious peritonitis. Vet. Microbiol. 2014, 173, 177–188. [Google Scholar] [CrossRef]
- Xia, H.; Li, X.; Zhao, W.; Jia, S.; Zhang, X.; Irwin, D.M.; Zhang, S. Adaptive Evolution of Feline Coronavirus Genes Based on Selection Analysis. BioMed Res. Int. 2020, 2020, 9089768. [Google Scholar] [CrossRef]
- Paltrinieri, S.; Giordano, A.; Stranieri, A.; Lauzi, S. Feline infectious peritonitis (FIP) and coronavirus disease 19 (COVID-19): Are they similar? Transbound. Emerg. Dis. 2021, 68, 1786–1799. [Google Scholar] [CrossRef] [PubMed]
- Barker, E.N.; Tasker, S.; Gruffydd-Jones, T.J.; Tuplin, C.K.; Burton, K.; Porter, E.; Day, M.J.; Harley, R.; Fews, D.; Helps, C.R.; et al. Phylogenetic analysis of feline coronavirus strains in an epizootic outbreak of feline infectious peritonitis. J. Vet. Intern. Med. 2013, 27, 445–450. [Google Scholar] [CrossRef]
- Chang, H.W.; Egberink, H.F.; Halpin, R.; Spiro, D.J.; Rottier, P.J. Spike protein fusion Peptide and feline coronavirus virulence. Emerg. Infect. Dis. 2012, 18, 1089–1095. [Google Scholar] [CrossRef]
- Pedersen, N.C.; Liu, H.; Dodd, K.A.; Pesavento, P.A. Significance of Coronavirus Mutants in Feces and Diseased Tissues of Cats Suffering from Feline Infectious Peritonitis. Viruses 2009, 1, 166–184. [Google Scholar] [CrossRef]
- Chang, H.W.; Egberink, H.F.; Rottier, P.J. Sequence analysis of feline coronaviruses and the circulating virulent/avirulent theory. Emerg. Infect. Dis. 2011, 17, 744–746. [Google Scholar] [CrossRef]
- Meli, M.L.; Spiri, A.M.; Zwicklbauer, K.; Krentz, D.; Felten, S.; Bergmann, M.; Dorsch, R.; Matiasek, K.; Alberer, M.; Kolberg, L.; et al. Fecal Feline Coronavirus RNA Shedding and Spike Gene Mutations in Cats with Feline Infectious Peritonitis Treated with GS-441524. Viruses 2022, 14, 1069. [Google Scholar] [CrossRef] [PubMed]
- Brown, M.A.; Troyer, J.L.; Pecon-Slattery, J.; Roelke, M.E.; O’Brien, S.J. Genetics and pathogenesis of feline infectious peritonitis virus. Emerg. Infect. Dis. 2009, 15, 1445–1452. [Google Scholar] [CrossRef] [PubMed]
- Wang, Y.T.; Su, B.L.; Hsieh, L.E.; Chueh, L.L. An outbreak of feline infectious peritonitis in a Taiwanese shelter: Epidemiologic and molecular evidence for horizontal transmission of a novel type II feline coronavirus. Vet. Res. 2013, 44, 57. [Google Scholar] [CrossRef]
- Graham, E.M.; Went, K.; Serra, F.; Dunbar, D.; Fuentes, M.; Mcdonald, M.; Jackson, M.W. Early molecular diagnosis of an effusive FIP outbreak in antibody-negative kittens. J. Feline Med. Surg. 2012, 14, 652. [Google Scholar]
- Attipa, C.; Gunn-Moore, D.; Mazeri, S.; Epaminondas, D.; Lyraki, M.; Hardas, A.; Loukaidou, S.; Gentil, M. Concerning feline infectious peritonitis outbreak in Cyprus. Vet. Rec. 2023, 192, 449–450. [Google Scholar] [CrossRef]
- Pedersen, N.C.; Liu, H.; Scarlett, J.; Leutenegger, C.M.; Golovko, L.; Kennedy, H.; Kamal, F.M. Feline infectious peritonitis: Role of the feline coronavirus 3c gene in intestinal tropism and pathogenicity based upon isolates from resident and adopted shelter cats. Virus Res. 2012, 165, 17–28. [Google Scholar] [CrossRef] [PubMed]
- Li, F. Structure, Function, and Evolution of Coronavirus Spike Proteins. Annu. Rev. Virol. 2016, 3, 237–261. [Google Scholar] [CrossRef] [PubMed]
- Bosch, B.J.; van der Zee, R.; de Haan, C.A.; Rottier, P.J. The coronavirus spike protein is a class I virus fusion protein: Structural and functional characterization of the fusion core complex. J. Virol. 2003, 77, 8801–8811. [Google Scholar] [CrossRef]
- Tekes, G.; Hofmann-Lehmann, R.; Bank-Wolf, B.; Maier, R.; Thiel, H.J.; Thiel, V. Chimeric feline coronaviruses that encode type II spike protein on type I genetic background display accelerated viral growth and altered receptor usage. J. Virol. 2010, 84, 1326–1333. [Google Scholar] [CrossRef]
- Tusell, S.M.; Schittone, S.A.; Holmes, K.V. Mutational analysis of aminopeptidase N, a receptor for several group 1 coronaviruses, identifies key determinants of viral host range. J. Virol. 2007, 81, 1261–1273. [Google Scholar] [CrossRef]
- Dye, C.; Temperton, N.; Siddell, S.G. Type I feline coronavirus spike glycoprotein fails to recognize aminopeptidase N as a functional receptor on feline cell lines. J. Gen. Virol. 2007, 88, 1753–1760. [Google Scholar] [CrossRef] [PubMed]
- Belouzard, S.; Millet, J.K.; Licitra, B.N.; Whittaker, G.R. Mechanisms of coronavirus cell entry mediated by the viral spike protein. Viruses 2012, 4, 1011–1033. [Google Scholar] [CrossRef] [PubMed]
- Barker, E.N.; Stranieri, A.; Helps, C.R.; Porter, E.; Davidson, A.D.; Day, M.J.; Kipar, A.; Tasker, S. Limitations of using feline coronavirus spike protein gene mutations to diagnose feline infectious peritonitis. Vet. Res. 2017, 48, 60. [Google Scholar] [CrossRef] [PubMed]
- Porter, E.; Tasker, S.; Day, M.J.; Harley, R.; Kipar, A.; Siddell, S.G.; Helps, C.R. Amino acid changes in the spike protein of feline coronavirus correlate with systemic spread of virus from the intestine and not with feline infectious peritonitis. Vet. Res. 2014, 45, 49. [Google Scholar] [CrossRef]
- Licitra, B.N.; Millet, J.K.; Regan, A.D.; Hamilton, B.S.; Rinaldi, V.D.; Duhamel, G.E.; Whittaker, G.R. Mutation in spike protein cleavage site and pathogenesis of feline coronavirus. Emerg. Infect. Dis. 2013, 19, 1066–1073. [Google Scholar] [CrossRef]
- Andre, N.M.; Cossic, B.; Davies, E.; Miller, A.D.; Whittaker, G.R. Distinct mutation in the feline coronavirus spike protein cleavage activation site in a cat with feline infectious peritonitis-associated meningoencephalomyelitis. J. Feline Med. Surg. Open Rep. 2019, 5, 2055116919856103. [Google Scholar] [CrossRef]
- Ouyang, H.; Liu, J.; Yin, Y.; Cao, S.; Yan, R.; Ren, Y.; Zhou, D.; Li, Q.; Li, J.; Liao, X.; et al. Epidemiology and Comparative Analyses of the S Gene on Feline Coronavirus in Central China. Pathogens 2022, 11, 460. [Google Scholar] [CrossRef]
- Lewis, C.S.; Porter, E.; Matthews, D.; Kipar, A.; Tasker, S.; Helps, C.R.; SiddelL, S.G. Genotyping coronaviruses associated with feline infectious peritonitis. J. Gen. Virol. 2015, 96, 1358–1368. [Google Scholar] [CrossRef]
- Chang, H.W.; de Groot, R.J.; Egberink, H.F.; Rottier, P.J. Feline infectious peritonitis: Insights into feline coronavirus pathobiogenesis and epidemiology based on genetic analysis of the viral 3c gene. J. Gen. Virol. 2010, 91, 415–420. [Google Scholar] [CrossRef]
- Hsieh, L.E.; Huang, W.P.; Tang, D.J.; Wang, Y.T.; Chen, C.T.; Chueh, L.L. 3C protein of feline coronavirus inhibits viral replication independently of the autophagy pathway. Res. Vet. Sci. 2013, 95, 1241–1247. [Google Scholar] [CrossRef]
- Vennema, H.; Rossen, J.W.; Wesseling, J.; Horzinek, M.C.; Rottier, P.J. Genomic organization and expression of the 3’ end of the canine and feline enteric coronaviruses. Virology 1992, 191, 134–140. [Google Scholar] [CrossRef] [PubMed]
- Myrrha, L.W.; Silva, F.M.F.; Vidigal, P.M.P.; Resende, M.; Bressan, G.C.; Fietto, J.L.R.; Santos, M.R.; Silva, L.M.N.; Assao, V.S.; Silva-Ju Nior, A.; et al. Feline coronavirus isolates from a part of Brazil: Insights into molecular epidemiology and phylogeny inferred from the 7b gene. J. Vet. Med. Sci. 2019, 81, 1455–1460. [Google Scholar] [CrossRef] [PubMed]
- Herrewegh, A.A.; Vennema, H.; Horzinek, M.C.; Rottier, P.J.; de Groot, R.J. The molecular genetics of feline coronaviruses: Comparative sequence analysis of the ORF7a/7b transcription unit of different biotypes. Virology 1995, 212, 622–631. [Google Scholar] [CrossRef]
- Andre, N.M.; Miller, A.D.; Whittaker, G.R. Feline infectious peritonitis virus-associated rhinitis in a cat. J. Feline Med. Surg. Open Rep. 2020, 6, 2055116920930582. [Google Scholar] [CrossRef] [PubMed]
- Pastoret, P.P.; Henroteaux, M. Epigenetic transmission of feline infectious peritonitis. Comp. Immunol. Microbiol. Infect. Dis. 1978, 1, 67–70. [Google Scholar] [CrossRef]
- Addie, D.D.; Jarrett, O. Control of feline coronavirus infection in kittens. Vet. Rec. 1990, 126, 164. [Google Scholar]
- Stranieri, A.; Probo, M.; Pisu, M.C.; Fioletti, A.; Meazzi, S.; Gelain, M.E.; Bonsembiante, F.; Lauzi, S.; Paltrinieri, S. Preliminary investigation on feline coronavirus presence in the reproductive tract of the tom cat as a potential route of viral transmission. J. Feline Med. Surg. 2020, 22, 178–185. [Google Scholar] [CrossRef]
- Villar, M.; Fernandez de Mera, I.G.; Artigas-Jeronimo, S.; Contreras, M.; Gortazar, C.; de la Fuente, J. Coronavirus in cat flea: Findings and questions regarding COVID-19. Parasit Vectors 2020, 13, 409. [Google Scholar] [CrossRef]
- Lutz, H.; Gut, M.; Leutenegger, C.M.; Schiller, I.; Wiseman, A.; Meli, M. Kinetics of FCoV infection in kittens born in catteries of high risk for FIP under different rearing conditions. In Proceedings of the Second International Feline Coronavirus/Feline Infectious Peritonitis Symposium, Glasgow, UK, 4–7 August 2002. [Google Scholar]
- Klein-Richers, U.; Hartmann, K.; Hofmann-Lehmann, R.; Unterer, S.; Bergmann, M.; Rieger, A.; Leutenegger, C.; Pantchev, N.; Balzer, J.; Felten, S. Prevalence of Feline Coronavirus Shedding in German Catteries and Associated Risk Factors. Viruses 2020, 12, 1000. [Google Scholar] [CrossRef]
- Felten, S.; Klein-Richers, U.; Unterer, S.; Bergmann, M.; Zablotski, Y.; Hofmann-Lehmann, R.; Hartmann, K. Patterns of Feline Coronavirus Shedding and Associated Factors in Cats from Breeding Catteries. Viruses 2023, 15, 1279. [Google Scholar] [CrossRef]
- Stoddart, M.E.; Gaskell, R.M.; Harbour, D.A.; Gaskell, C.J. Virus shedding and immune responses in cats inoculated with cell culture-adapted feline infectious peritonitis virus. Vet. Microbiol. 1988, 16, 145–158. [Google Scholar] [CrossRef]
- Pedersen, N.C.; Allen, C.E.; Lyons, L.A. Pathogenesis of feline enteric coronavirus infection. J. Feline Med. Surg. 2008, 10, 529–541. [Google Scholar] [CrossRef] [PubMed]
- Herrewegh, A.A.; Mahler, M.; Hedrich, H.J.; Haagmans, B.L.; Egberink, H.F.; Horzinek, M.C.; Rottier, P.J.; de Groot, R.J. Persistence and evolution of feline coronavirus in a closed cat-breeding colony. Virology 1997, 234, 349–363. [Google Scholar] [CrossRef] [PubMed]
- Foley, J.E.; Poland, A.; Carlson, J.; Pedersen, N.C. Patterns of feline coronavirus infection and fecal shedding from cats in multiple-cat environments. J. Am. Vet. Med. Assoc. 1997, 210, 1307–1312. [Google Scholar] [PubMed]
- Vojtkovska, V.; Lukesova, G.; Voslarova, E.; Konvalinova, J.; Vecerek, V.; Lobova, D. Direct Detection of Feline Coronavirus by Three Rapid Antigen Immunochromatographic Tests and by Real-Time PCR in Cat Shelters. Vet. Sci. 2022, 9, 35. [Google Scholar] [CrossRef]
- Bubenikova, J.; Vrabelova, J.; Stejskalova, K.; Futas, J.; Plasil, M.; Cerna, P.; Oppelt, J.; Lobova, D.; Molinkova, D.; Horin, P. Candidate Gene Markers Associated with Fecal Shedding of the Feline Enteric Coronavirus (FECV). Pathogens 2020, 9, 958. [Google Scholar] [CrossRef]
- Vogel, L.; Van der Lubben, M.; Lintelo, E.G.T.; Bekker, C.P.J.; Geerts, T.; Schuijff, L.S.; Grinwis, G.C.M.; Egberink, H.F.; Rottier, P.J.M. Pathogenic characteristics of persistent feline enteric coronavirus infection in cats. Vet. Res. 2010, 41, 71. [Google Scholar] [CrossRef] [PubMed]
- Addie, D.D.; Bellini, F.; Covell-Ritchie, J.; Crowe, B.; Curran, S.; Fosbery, M.; Hills, S.; Johnson, E.; Johnson, C.; Lloyd, S.; et al. Stopping Feline Coronavirus Shedding Prevented Feline Infectious Peritonitis. Viruses 2023, 15, 818. [Google Scholar] [CrossRef]
- Rohner, M. Bestimmung der Ausscheidungskinetik von Felinen Coronaviren unter Feldbedingungen; University of Zürich: Zürich, Switzerland, 1999. [Google Scholar] [CrossRef]
- Addie, D.D.; le Poder, S.; Burr, P.; Decaro, N.; Graham, E.; Hofmann-Lehmann, R.; Jarrett, O.; McDonald, M.; Meli, M.L. Utility of feline coronavirus antibody tests. J. Feline Med. Surg. 2015, 17, 152–162. [Google Scholar] [CrossRef]
- Felten, S.; Klein-Richers, U.; Hofmann-Lehmann, R.; Bergmann, M.; Unterer, S.; Leutenegger, C.M.; Hartmann, K. Correlation of Feline Coronavirus Shedding in Feces with Coronavirus Antibody Titer. Pathogens 2020, 9, 598. [Google Scholar] [CrossRef]
- Kim, Y.; Liu, H.; Galasiti Kankanamalage, A.C.; Weerasekara, S.; Hua, D.H.; Groutas, W.C.; Chang, K.O.; Pedersen, N.C. Reversal of the Progression of Fatal Coronavirus Infection in Cats by a Broad-Spectrum Coronavirus Protease Inhibitor. PLoS Pathog. 2016, 12, e1005531. [Google Scholar] [CrossRef]
- Benetka, V.; Kolodziejek, J.; Walk, K.; Rennhofer, M.; Mostl, K. M gene analysis of atypical strains of feline and canine coronavirus circulating in an Austrian animal shelter. Vet. Rec. 2006, 159, 170–174. [Google Scholar] [CrossRef]
- Horzinek, M.C.; Osterhaus, A.D. Feline infectious peritonitis: A worldwide serosurvey. Am. J. Vet. Res. 1979, 40, 1487–1492. [Google Scholar]
- Levy, J.K.; Crawford, P.C.; Lappin, M.R.; Dubovi, E.J.; Levy, M.G.; Alleman, R.; Tucker, S.J.; Clifford, E.L. Infectious diseases of dogs and cats on Isabela Island, Galapagos. J. Vet. Intern. Med. 2008, 22, 60–65. [Google Scholar] [CrossRef]
- Addie, D.D.; McDonald, M.; Audhuy, S.; Burr, P.; Hollins, J.; Kovacic, R.; Lutz, H.; Luxton, Z.; Mazar, S.; Meli, M.L. Quarantine protects Falkland Islands (Malvinas) cats from feline coronavirus infection. J. Feline Med. Surg. 2012, 14, 171–176. [Google Scholar] [CrossRef] [PubMed]
- Sharif, S.; Arshad, S.S.; Hair-Bejo, M.; Omar, A.R.; Zeenathul, N.A.; Hafidz, M.A. Prevalence of feline coronavirus in two cat populations in Malaysia. J. Feline Med. Surg. 2009, 11, 1031–1034. [Google Scholar] [CrossRef]
- Herrewegh, A.A.; de Groot, R.J.; Cepica, A.; Egberink, H.F.; Horzinek, M.C.; Rottier, P.J. Detection of feline coronavirus RNA in feces, tissues, and body fluids of naturally infected cats by reverse transcriptase PCR. J. Clin. Microbiol. 1995, 33, 684–689. [Google Scholar] [CrossRef] [PubMed]
- Cave, T.A.; Golder, M.C.; Simpson, J.; Addie, D.D. Risk factors for feline coronavirus seropositivity in cats relinquished to a UK rescue charity. J. Feline Med. Surg. 2004, 6, 53–58. [Google Scholar] [CrossRef]
- Bell, E.T.; Toribio, J.A.; White, J.D.; Malik, R.; Norris, J.M. Seroprevalence study of feline coronavirus in owned and feral cats in Sydney, Australia. Aust. Vet. J. 2006, 84, 74–81. [Google Scholar] [CrossRef]
- Addie, D.D. Clustering of feline coronaviruses in multicat households. Vet. J. 2000, 159, 8–9. [Google Scholar] [CrossRef]
- Taharaguchi, S.; Soma, T.; Hara, M. Prevalence of feline coronavirus antibodies in Japanese domestic cats during the past decade. J. Vet. Med. Sci. 2012, 74, 1355–1358. [Google Scholar] [CrossRef] [PubMed]
- Spada, E.; Carrera Nulla, A.; Perego, R.; Baggiani, L.; Proverbio, D. Evaluation of Association between Blood Phenotypes A, B and AB and Feline Coronavirus Infection in Cats. Pathogens 2022, 11, 917. [Google Scholar] [CrossRef] [PubMed]
- Kokkinaki, K.C.G.; Saridomichelakis, M.N.; Mylonakis, M.E.; Leontides, L.; Xenoulis, P.G. Seroprevalence of and risk factors for feline coronavirus infection in cats from Greece. Comp. Immunol. Microbiol. Infect. Dis. 2023, 94, 101962. [Google Scholar] [CrossRef] [PubMed]
- Kennedy, M.; Citino, S.; McNabb, A.H.; Moffatt, A.S.; Gertz, K.; Kania, S. Detection of feline coronavirus in captive Felidae in the USA. J. Vet. Diagn. Investig. 2002, 14, 520–522. [Google Scholar] [CrossRef] [PubMed]
- Evermann, J.F.; Heeney, J.L.; Roelke, M.E.; McKeirnan, A.J.; O’Brien, S.J. Biological and pathological consequences of feline infectious peritonitis virus infection in the cheetah. Arch. Virol. 1988, 102, 155–171. [Google Scholar] [CrossRef]
- Paul, A.; Stayt, J. The intestinal microbiome in dogs and cats with diarrhoea as detected by a faecal polymerase chain reaction-based panel in Perth, Western Australia. Aust. Vet. J. 2019, 97, 418–421. [Google Scholar] [CrossRef]
- Posch, A.; Posch, U.; Kubber-Heiss, A.; Stur, I.; Seiser, M.; Mostl, K. Feline Coronaviren: Differenzierung der Typen I und II mittels RT-PCR und deren Vorkommen in österreichischen Katzenpopulationen. Vet. Med. Austria 2001, 88, 235–243. [Google Scholar]
- Raukar, J. Prevalence of feline coronavirus, feline leukemia virus, and feline immunodeficiency virus in client-owned cats in Croatia. J. Adv. Nat. Sci. 2021, 8, 24–38. [Google Scholar] [CrossRef]
- Felten, S.; Klein-Richers, U.; Unterer, S.; Bergmann, M.; Leutenegger, C.M.; Pantchev, N.; Balzer, J.; Zablotski, Y.; Hofmann-Lehmann, R.; Hartmann, K. Role of Feline Coronavirus as Contributor to Diarrhea in Cats from Breeding Catteries. Viruses 2022, 14, 858. [Google Scholar] [CrossRef]
- Avizeh, R.; Mosallanejad, B.; Seyfiabad Shapouri, M.R. Antibody detection of feline infectious peritonitis virus (FIPV) in sera of companion cats in Ahvaz, south west of Iran. Arch. Razi Inst. 2012, 67, 69–74. [Google Scholar] [CrossRef]
- Baneth, G.; Kass, P.H.; Steinfeld, D.; Besser, M. A seroepidemiological study of feline coronavirus, feline immunodeficiency virus and feline leukemia virus among cats in Israel. Isr. J. Vet. Med. 1999, 54, 39–43. [Google Scholar]
- Giordano, A.; Spagnolo, V.; Colombo, A.; Paltrinieri, S. Changes in some acute phase protein and immunoglobulin concentrations in cats affected by feline infectious peritonitis or exposed to feline coronavirus infection. Vet. J. 2004, 167, 38–44. [Google Scholar] [CrossRef]
- Pratelli, A. Comparison of serologic techniques for the detection of antibodies against feline coronaviruses. J. Vet. Diag. Investig. 2008, 20, 45–50. [Google Scholar] [CrossRef]
- Osterhaus, A.D.; Horzinek, M.C.; Reynolds, D.J. Seroepidemiology of feline infectious peritonitis virus infections using transmissible gastroenteritis virus as antigen. J. Vet. Med. Ser. B 1977, 24, 835–841. [Google Scholar] [CrossRef] [PubMed]
- Ström Holst, B.; Englund, L.; Palacios, S.; Renstrom, L.; Berndtsson, L.T. Prevalence of antibodies against feline coronavirus and Chlamydophila felis in Swedish cats. J. Feline Med. Surg. 2006, 8, 207–211. [Google Scholar] [CrossRef] [PubMed]
- Pratelli, A.; Yesilbag, K.; Siniscalchi, M.; Yalcm, E.; Yilmaz, Z. Prevalence of feline coronavirus antibodies in cats in Bursa province, Turkey, by an enzyme-linked immunosorbent assay. J. Feline Med. Surg. 2009, 11, 881–884. [Google Scholar] [CrossRef]
- Tekelioglu, B.K.; Berriatua, E.; Turan, N.; Helps, C.R.; Kocak, M.; Yilmaz, H. A retrospective clinical and epidemiological study on feline coronavirus (FCoV) in cats in Istanbul, Turkey. Prev. Vet. Med. 2015, 119, 41–47. [Google Scholar] [CrossRef]
- Sparkes, A.H.; Gruffydd-Jones, T.J.; Harbour, D.A. Feline coronavirus antibodies in UK cats. Vet. Rec. 1992, 131, 223–224. [Google Scholar] [CrossRef]
- Muirden, A. Prevalence of feline leukaemia virus and antibodies to feline immunodeficiency virus and feline coronavirus in stray cats sent to an RSPCA hospital. Vet. Rec. 2002, 150, 621–625. [Google Scholar] [CrossRef]
- Paris, J.K.; Wills, S.; Balzer, H.J.; Shaw, D.J.; Gunn-Moore, D.A. Enteropathogen co-infection in UK cats with diarrhoea. BMC Vet. Res. 2014, 10, 13. [Google Scholar] [CrossRef]
- Addie, D.D.; Toth, S.; Herrewegh, A.A.; Jarrett, O. Feline coronavirus in the intestinal contents of cats with feline infectious peritonitis. Vet. Rec. 1996, 139, 522–523. [Google Scholar] [CrossRef] [PubMed]
- Addie, D.D.; Toth, S.; Murray, G.D.; Jarrett, O. Risk of feline infectious peritonitis in cats naturally infected with feline coronavirus. Am. J. Vet. Res. 1995, 56, 429–434. [Google Scholar] [PubMed]
- Kass, P.H.; Dent, T.H. The epidemiology of feline infectious peritonitis in catteries. Feline Pract. 1995, 23, 27–32. [Google Scholar]
- Foley, J.E.; Poland, A.; Carlson, J.; Pedersen, N.C. Risk factors for feline infectious peritonitis among cats in multiple-cat environments with endemic feline enteric coronavirus. J. Am. Vet. Med. Assoc. 1997, 210, 1313–1318. [Google Scholar]
- Pedersen, N.C. Serologic studies of naturally occurring feline infectious peritonitis. Am. J. Vet. Res. 1976, 37, 1449–1453. [Google Scholar]
- Pedersen, N.C.; Liu, H.; Gandolfi, B.; Lyons, L.A. The influence of age and genetics on natural resistance to experimentally induced feline infectious peritonitis. Vet. Immunol. Immunopathol. 2014, 162, 33–40. [Google Scholar] [CrossRef]
- Foley, J.; Pedersen, N. The inheritence of susceptibility to feline infectious peritonitis in purebred catteries. Feline Pract. 1996, 24, 14–22. [Google Scholar]
- Pedersen, N.C.; Liu, H.; Durden, M.; Lyons, L.A. Natural resistance to experimental feline infectious peritonitis virus infection is decreased rather than increased by positive genetic selection. Vet. Immunol. Immunopathol. 2016, 171, 17–20. [Google Scholar] [CrossRef]
- Krentz, D.; Zwicklbauer, K.; Felten, S.; Bergmann, M.; Dorsch, R.; Hofmann-Lehmann, R.; Meli, M.L.; Spiri, A.M.; von Both, U.; Alberer, M.; et al. Clinical Follow-Up and Postmortem Findings in a Cat That Was Cured of Feline Infectious Peritonitis with an Oral Antiviral Drug Containing GS-441524. Viruses 2022, 14, 2040. [Google Scholar] [CrossRef]
- Sabshin, S.J.; Levy, J.K.; Tupler, T.; Tucker, S.J.; Greiner, E.C.; Leutenegger, C.M. Enteropathogens identified in cats entering a Florida animal shelter with normal feces or diarrhea. J. Am. Vet. Med. Assoc. 2012, 241, 331–337. [Google Scholar] [CrossRef]
- Pedersen, N.C. Virologic and immunologic aspects of feline infectious peritonitis virus infection. Adv. Exp. Med. Biol. 1987, 218, 529–550. [Google Scholar] [CrossRef] [PubMed]
- Malbon, A.J.; Fonfara, S.; Meli, M.L.; Hahn, S.; Egberink, H.; Kipar, A. Feline Infectious Peritonitis as a Systemic Inflammatory Disease: Contribution of Liver and Heart to the Pathogenesis. Viruses 2019, 11, 1144. [Google Scholar] [CrossRef] [PubMed]
- Malbon, A.J.; Michalopoulou, E.; Meli, M.L.; Barker, E.N.; Tasker, S.; Baptiste, K.; Kipar, A. Colony Stimulating Factors in Early Feline Infectious Peritonitis Virus Infection of Monocytes and in End Stage Feline Infectious Peritonitis; A Combined In Vivo And In Vitro Approach. Pathogens 2020, 9, 893. [Google Scholar] [CrossRef] [PubMed]
- Dewerchin, H.L.; Cornelissen, E.; Nauwynck, H.J. Replication of feline coronaviruses in peripheral blood monocytes. Arch. Virol. 2005, 150, 2483–2500. [Google Scholar] [CrossRef]
- Cornelissen, E.; Dewerchin, H.L.; Van Hamme, E.; Nauwynck, H.J. Absence of surface expression of feline infectious peritonitis virus (FIPV) antigens on infected cells isolated from cats with FIP. Vet. Microbiol. 2007, 121, 131–137. [Google Scholar] [CrossRef]
- Addie, D.D.; Jarrett, O. Control of feline coronavirus infections in breeding catteries by serotesting, isolation, and early weaning. Feline Pract. 1995, 23, 92–95. [Google Scholar]
- Rottier, P.J.; Nakamura, K.; Schellen, P.; Volders, H.; Haijema, B.J. Acquisition of macrophage tropism during the pathogenesis of feline infectious peritonitis is determined by mutations in the feline coronavirus spike protein. J. Virol. 2005, 79, 14122–14130. [Google Scholar] [CrossRef]
- Hsieh, L.E.; Chueh, L.L. Identification and genotyping of feline infectious peritonitis-associated single nucleotide polymorphisms in the feline interferon-gamma gene. Vet. Res. 2014, 45, 57. [Google Scholar] [CrossRef]
- Malbon, A.J.; Russo, G.; Burgener, C.; Barker, E.N.; Meli, M.L.; Tasker, S.; Kipar, A. The Effect of Natural Feline Coronavirus Infection on the Host Immune Response: A Whole-Transcriptome Analysis of the Mesenteric Lymph Nodes in Cats with and without Feline Infectious Peritonitis. Pathogens 2020, 9, 524. [Google Scholar] [CrossRef]
- Watanabe, R.; Eckstrand, C.; Liu, H.; Pedersen, N.C. Characterization of peritoneal cells from cats with experimentally-induced feline infectious peritonitis (FIP) using RNA-seq. Vet. Res. 2018, 49, 81. [Google Scholar] [CrossRef]
- Takano, T.; Hohdatsu, T.; Toda, A.; Tanabe, M.; Koyama, H. TNF-alpha, produced by feline infectious peritonitis virus (FIPV)-infected macrophages, upregulates expression of type II FIPV receptor feline aminopeptidase N in feline macrophages. Virology 2007, 364, 64–72. [Google Scholar] [CrossRef] [PubMed]
- Takano, T.; Hohdatsu, T.; Hashida, Y.; Kaneko, Y.; Tanabe, M.; Koyama, H. A “possible” involvement of TNF-alpha in apoptosis induction in peripheral blood lymphocytes of cats with feline infectious peritonitis. Vet. Microbiol. 2007, 119, 121–131. [Google Scholar] [CrossRef] [PubMed]
- Takano, T.; Azuma, N.; Satoh, M.; Toda, A.; Hashida, Y.; Satoh, R.; Hohdatsu, T. Neutrophil survival factors (TNF-alpha, GM-CSF, and G-CSF) produced by macrophages in cats infected with feline infectious peritonitis virus contribute to the pathogenesis of granulomatous lesions. Arch. Virol. 2009, 154, 775–781. [Google Scholar] [CrossRef] [PubMed]
- Doki, T.; Takano, T.; Nishiyama, Y.; Nakamura, M.; Hohdatsu, T. Generation, characterization and therapeutic potential of anti-feline TNF-alpha MAbs for feline infectious peritonitis. Res. Vet. Sci. 2013, 95, 1248–1254. [Google Scholar] [CrossRef]
- Doki, T.; Toda, M.; Hasegawa, N.; Hohdatsu, T.; Takano, T. Therapeutic effect of an anti-human-TNF-alpha antibody and itraconazole on feline infectious peritonitis. Arch. Virol. 2020, 165, 1197–1206. [Google Scholar] [CrossRef]
- Vermeulen, B.L.; Devriendt, B.; Olyslaegers, D.A.; Dedeurwaerder, A.; Desmarets, L.M.; Favoreel, H.W.; Dewerchin, H.L.; Nauwynck, H.J. Suppression of NK cells and regulatory T lymphocytes in cats naturally infected with feline infectious peritonitis virus. Vet. Microbiol. 2013, 164, 46–59. [Google Scholar] [CrossRef]
- de Groot-Mijnes, J.D.; van Dun, J.M.; van der Most, R.G.; de Groot, R.J. Natural history of a recurrent feline coronavirus infection and the role of cellular immunity in survival and disease. J. Virol. 2005, 79, 1036–1044. [Google Scholar] [CrossRef]
- Berg, A.L.; Ekman, K.; Belak, S.; Berg, M. Cellular composition and interferon-gamma expression of the local inflammatory response in feline infectious peritonitis (FIP). Vet. Microbiol. 2005, 111, 15–23. [Google Scholar] [CrossRef]
- Dean, G.A.; Olivry, T.; Stanton, C.; Pedersen, N.C. In vivo cytokine response to experimental feline infectious peritonitis virus infection. Vet. Microbiol. 2003, 97, 1–12. [Google Scholar] [CrossRef]
- Gelain, M.E.; Meli, M.; Paltrinieri, S. Whole blood cytokine profiles in cats infected by feline coronavirus and healthy non-FCoV infected specific pathogen-free cats. J. Feline Med. Surg. 2006, 8, 389–399. [Google Scholar] [CrossRef]
- Gunn-Moore, D.A.; Caney, S.M.; Gruffydd-Jones, T.J.; Helps, C.R.; Harbour, D.A. Antibody and cytokine responses in kittens during the development of feline infectious peritonitis (FIP). Vet. Immunol. Immunopathol. 1998, 65, 221–242. [Google Scholar] [CrossRef] [PubMed]
- Kiss, I.; Poland, A.M.; Pedersen, N.C. Disease outcome and cytokine responses in cats immunized with an avirulent feline infectious peritonitis virus (FIPV)-UCD1 and challenge-exposed with virulent FIPV-UCD8. J. Feline Med. Surg. 2004, 6, 89–97. [Google Scholar] [CrossRef] [PubMed]
- Giordano, A.; Paltrinieri, S. Interferon-gamma in the serum and effusions of cats with feline coronavirus infection. Vet. J. 2009, 180, 396–398. [Google Scholar] [CrossRef]
- Kedward-Dixon, H.; Barker, E.N.; Tasker, S.; Kipar, A.; Helps, C.R. Evaluation of polymorphisms in inflammatory mediator and cellular adhesion genes as risk factors for feline infectious peritonitis. J. Feline Med. Surg. 2020, 22, 564–570. [Google Scholar] [CrossRef]
- Barker, E.N.; Lait, P.; Ressel, L.; Blackwell, E.J.; Tasker, S.; Kedward-Dixon, H.; Kipar, A.; Helps, C.R. Evaluation of Interferon-Gamma Polymorphisms as a Risk Factor in Feline Infectious Peritonitis Development in Non-Pedigree Cats—A Large Cohort Study. Pathogens 2020, 9, 535. [Google Scholar] [CrossRef] [PubMed]
- Wang, Y.T.; Hsieh, L.E.; Dai, Y.R.; Chueh, L.L. Polymorphisms in the feline TNFA and CD209 genes are associated with the outcome of feline coronavirus infection. Vet. Res. 2014, 45, 123. [Google Scholar] [CrossRef][Green Version]
- Pearson, M.; LaVoy, A.; Evans, S.; Vilander, A.; Webb, C.; Graham, B.; Musselman, E.; LeCureux, J.; VandeWoude, S.; Dean, G.A. Mucosal Immune Response to Feline Enteric Coronavirus Infection. Viruses 2019, 11, 906. [Google Scholar] [CrossRef]
- Stoddart, M.E.; Gaskell, R.M.; Harbour, D.A.; Pearson, G.R. The sites of early viral replication in feline infectious peritonitis. Vet. Microbiol. 1988, 18, 259–271. [Google Scholar] [CrossRef]
- Addie, D.D.; Dennis, J.M.; Toth, S.; Callanan, J.J.; Reid, S.; Jarrett, O. Long-term impact on a closed household of pet cats of natural infection with feline coronavirus, feline leukaemia virus and feline immunodeficiency virus. Vet. Rec. 2000, 146, 419–424. [Google Scholar] [CrossRef]
- Gonon, V.; Duquesne, V.; Klonjkowski, B.; Monteil, M.; Aubert, A.; Eloit, M. Clearance of infection in cats naturally infected with feline coronaviruses is associated with an anti-S glycoprotein antibody response. J. Gen. Virol. 1999, 80, 2315–2317. [Google Scholar] [CrossRef][Green Version]
- Vennema, H.; de Groot, R.J.; Harbour, D.A.; Dalderup, M.; Gruffydd-Jones, T.; Horzinek, M.C.; Spaan, W.J. Early death after feline infectious peritonitis virus challenge due to recombinant vaccinia virus immunization. J. Virol. 1990, 64, 1407–1409. [Google Scholar] [CrossRef] [PubMed]
- De Groot, R.J.; Horzinek, M.C. Feline infectious peritonitis. In The Coronaviridae; Siddell, S.G., Ed.; Plenum Press: New York, NY, USA, 1995; pp. 293–309. [Google Scholar]
- Weiss, R.C.; Scott, F.W. Pathogenesis of feline infetious peritonitis: Pathologic changes and immunofluorescence. Am. J. Vet. Res. 1981, 42, 2036–2048. [Google Scholar] [PubMed]
- Addie, D.D.; Toth, S.; Murray, G.D.; Jarrett, O. The risk of typical and antibody-enhanced feline infectious peritonitis among cats from feline coronavirus endemic households. Feline Pract. 1995, 23, 24–26. [Google Scholar]
- Andersen, L.A.; Levy, J.K.; McManus, C.M.; McGorray, S.P.; Leutenegger, C.M.; Piccione, J.; Blackwelder, L.K.; Tucker, S.J. Prevalence of enteropathogens in cats with and without diarrhea in four different management models for unowned cats in the southeast United States. Vet. J. 2018, 236, 49–55. [Google Scholar] [CrossRef]
- Tasker, S.; Addie, D.D.; Egberink, H.; Hartmann, K.; Hofmann-Lehmann, R.; Hosie, M.J.; Truyen, U.; Belak, S.; Boucraut-Baralon, C.; Frymus, T.; et al. ABCD FIP Diagnostic Tools. 2022. Available online: http://www.abcdcatsvets.org/wp-content/uploads/2022/02/FIP_diagnostic_tool_Dec21.pdf (accessed on 19 August 2023).
- Cerna, P.; Ayoob, A.; Baylor, C.; Champagne, E.; Hazanow, S.; Heidel, R.E.; Wirth, K.; Legendre, A.M.; Gunn-Moore, D.A. Retrospective Survival Analysis of Cats with Feline Infectious Peritonitis Treated with Polyprenyl Immunostimulant That Survived over 365 Days. Pathogens 2022, 11, 881. [Google Scholar] [CrossRef] [PubMed]
- Spencer, S.E.; Knowles, T.; Ramsey, I.K.; Tasker, S. Pyrexia in cats: Retrospective analysis of signalment, clinical investigations, diagnosis and influence of prior treatment in 106 referred cases. J. Feline Med. Surg. 2017, 19, 1123–1130. [Google Scholar] [CrossRef]
- Beatty, J.; Barrs, V. Pleural effusion in the cat: A practical approach to determining aetiology. J. Feline Med. Surg. 2010, 12, 693–707. [Google Scholar] [CrossRef]
- Konig, A.; Hartmann, K.; Mueller, R.S.; Wess, G.; Schulz, B.S. Retrospective analysis of pleural effusion in cats. J. Feline Med. Surg. 2019, 21, 1102–1110. [Google Scholar] [CrossRef]
- Fischer, Y.; Wess, G.; Hartmann, K. Pericardial effusion in a cat with feline infectious peritonitis. Schweiz. Arch. Tierheilk. 2012, 154, 27–31. [Google Scholar] [CrossRef]
- Trulove, S.G.; Mccahon, H.A.; Nichols, R.; Fooshee, S.K. Pyogranulomatous Pneumonia Associated with Generalized Noneffusive Feline Infectious Peritonitis. Feline Pract. 1992, 20, 25–29. [Google Scholar]
- Macdonald, E.S.; Norris, C.R.; Berghaus, R.B.; Griffey, S.M. Clinicopathologic and radiographic features and etiologic agents in cats with histologically confirmed infectious pneumonia: 39 cases (1991–2000). J. Am. Vet. Med. Assoc. 2003, 223, 1142–1150. [Google Scholar] [CrossRef] [PubMed]
- Zwicklbauer, K.; Krentz, D.; Bergmann, M.; Felten, S.; Dorsch, R.; Fischer, A.; Hofmann-Lehmann, R.; Meli, M.L.; Spiri, A.M.; Alberer, M.; et al. Long-term follow-up of cats in complete remission after treatment of feline infectious peritonitis with oral GS-441524. J. Feline Med. Surg. 2023, 25, 1098612X231183250. [Google Scholar] [CrossRef] [PubMed]
- Harvey, C.J.; Lopez, J.W.; Hendrick, M.J. An uncommon intestinal manifestation of feline infectious peritonitis: 26 cases (1986–1993). J. Am. Vet. Med. Assoc. 1996, 209, 1117–1120. [Google Scholar] [PubMed]
- Kipar, A.; Koehler, K.; Bellmann, S.; Reinacher, M. Feline infectious peritonitis presenting as a tumour in the abdominal cavity. Vet. Rec. 1999, 144, 118–122. [Google Scholar] [CrossRef]
- Cohen, T.M.; Blois, S.; Vince, A.R. Fatal extraintestinal toxoplasmosis in a young male cat with enlarged mesenteric lymph nodes. Can. Vet. J. 2016, 57, 483–486. [Google Scholar]
- O’Halloran, C.; Gunn-Moore, D. Mycobacteria in cats: An update. Practice 2017, 39, 399–406. [Google Scholar] [CrossRef]
- Hugo, T.B.; Heading, K.L. Prolonged survival of a cat diagnosed with feline infectious peritonitis by immunohistochemistry. Can. Vet. J. 2015, 56, 53–58. [Google Scholar]
- Bauer, B.S.; Kerr, M.E.; Sandmeyer, L.S.; Grahn, B.H. Positive immunostaining for feline infectious peritonitis (FIP) in a Sphinx cat with cutaneous lesions and bilateral panuveitis. Vet. Ophthalmol. 2013, 16 (Suppl. S1), 160–163. [Google Scholar] [CrossRef]
- Cannon, M.J.; Silkstone, M.A.; Kipar, A.M. Cutaneous lesions associated with coronavirus-induced vasculitis in a cat with feline infectious peritonitis and concurrent feline immunodeficiency virus infection. J. Feline Med. Surg. 2005, 7, 233–236. [Google Scholar] [CrossRef]
- Declercq, J.; De Bosschere, H.; Schwarzkopf, I.; Declercq, L. Papular cutaneous lesions in a cat associated with feline infectious peritonitis. Vet. Dermatol. 2008, 19, 255–258. [Google Scholar] [CrossRef]
- Redford, T.; Al-Dissi, A.N. Feline infectious peritonitis in a cat presented because of papular skin lesions. Can. Vet. J. 2019, 60, 183–185. [Google Scholar] [PubMed]
- Trotman, T.K.; Mauldin, E.; Hoffmann, V.; Del Piero, F.; Hess, R.S. Skin fragility syndrome in a cat with feline infectious peritonitis and hepatic lipidosis. Vet. Dermatol. 2007, 18, 365–369. [Google Scholar] [CrossRef] [PubMed]
- Avila, V.A.; Rissi, D.R. Ulcerative dermatitis due to feline infectious peritonitis virus infection in a cat. Braz. J. Vet. Pathol. 2020, 13, 48–50. [Google Scholar] [CrossRef]
- Bae, H.; Kim, J.; Chun, D.; Jung, D.I.; Park, J.; Young Kim, D.; Yu, D. Idiopathic ulcerative dermatitis in a cat with feline infectious peritonitis. Vet. Med. Sci. 2021, 7, 572–576. [Google Scholar] [CrossRef]
- Rota, A.; Paltrinieri, S.; Jussich, S.; Ubertalli, G.; Appino, S. Priapism in a castrated cat associated with feline infectious peritonitis. J. Feline Med. Surg. 2008, 10, 181–184. [Google Scholar] [CrossRef] [PubMed]
- Doenges, S.J.; Weber, K.; Dorsch, R.; Fux, R.; Fischer, A.; Matiasek, L.A.; Matiasek, K.; Hartmann, K. Detection of feline coronavirus in cerebrospinal fluid for diagnosis of feline infectious peritonitis in cats with and without neurological signs. J. Feline Med. Surg. 2016, 18, 104–109. [Google Scholar] [CrossRef] [PubMed]
- Foley, J.E.; Leutenegger, C. A review of coronavirus infection in the central nervous system of cats and mice. J. Vet. Intern. Med. 2001, 15, 438–444. [Google Scholar] [CrossRef]
- Ives, E.J.; Vanhaesebrouck, A.E.; Cian, F. Immunocytochemical demonstration of feline infectious peritonitis virus within cerebrospinal fluid macrophages. J. Feline Med. Surg. 2013, 15, 1149–1153. [Google Scholar] [CrossRef]
- Kent, M. The cat with neurological manifestations of systemic disease. Key conditions impacting on the CNS. J. Feline Med. Surg. 2009, 11, 395–407. [Google Scholar] [CrossRef]
- Negrin, A.; Cherubini, G.B.; Lamb, C.; Benigni, L.; Adams, V.; Platt, S. Clinical signs, magnetic resonance imaging findings and outcome in 77 cats with vestibular disease: A retrospective study. J. Feline Med. Surg. 2010, 12, 291–299. [Google Scholar] [CrossRef]
- Negrin, A.; Lamb, C.R.; Cappello, R.; Cherubini, G.B. Results of magnetic resonance imaging in 14 cats with meningoencephalitis. J. Feline Med. Surg. 2007, 9, 109–116. [Google Scholar] [CrossRef]
- Rissi, D.R. A retrospective study of the neuropathology and diagnosis of naturally occurring feline infectious peritonitis. J. Vet. Diag. Investig. 2018, 30, 392–399. [Google Scholar] [CrossRef]
- Timmann, D.; Cizinauskas, S.; Tomek, A.; Doherr, M.; Vandevelde, M.; Jaggy, A. Retrospective analysis of seizures associated with feline infectious peritonitis in cats. J. Feline Med. Surg. 2008, 10, 9–15. [Google Scholar] [CrossRef]
- Grapes, N.J.; Taylor-Brown, F.E.; Volk, H.A.; De Decker, S. Clinical reasoning in feline vestibular syndrome: Which presenting features are the most important? J. Feline Med. Surg. 2021, 23, 669–678. [Google Scholar] [CrossRef]
- Mella, S.L.; Cardy, T.J.; Volk, H.A.; De Decker, S. Clinical reasoning in feline spinal disease: Which combination of clinical information is useful? J. Feline Med. Surg. 2020, 22, 521–530. [Google Scholar] [CrossRef]
- Jinks, M.R.; English, R.V.; Gilger, B.C. Causes of endogenous uveitis in cats presented to referral clinics in North Carolina. Vet. Ophthalmol. 2016, 19, 30–37. [Google Scholar] [CrossRef] [PubMed]
- Wegg, M.L.; Jeanes, E.C.; Pollard, D.; Fleming, L.; Dawson, C. A multicenter retrospective study into endogenous causes of uveitis in cats in the United Kingdom: Ninety two cases. Vet. Ophthalmol. 2021, 24, 591–598. [Google Scholar] [CrossRef] [PubMed]
- Carossino, M.; Del Piero, F.; Lee, J.; Needle, D.B.; Levine, J.M.; Riis, R.R.; Maes, R.; Wise, A.G.; Mullaney, K.; Ferracone, J.; et al. Relationship between Uveal Inflammation and Viral Detection in 30 Cats with Feline Infectious Peritonitis. Pathogens 2022, 11, 883. [Google Scholar] [CrossRef] [PubMed]
- Ali, K.M.; Abu-Seida, A.M.; Abuowarda, M. Feline ocular toxoplasmosis: Seroprevalence, diagnosis and treatment outcome of 60 clinical cases. Pol. J. Vet. Sci 2021, 24, 51–61. [Google Scholar] [CrossRef]
- Ernandes, M.A.; Cantoni, A.M.; Armando, F.; Corradi, A.; Ressel, L.; Tamborini, A. Feline coronavirus-associated myocarditis in a domestic longhair cat. J. Feline Med. Surg. Open Rep. 2019, 5, 2055116919879256. [Google Scholar] [CrossRef]
- Rohrer, C.; Suter, P.F.; Lutz, H. The diagnosis of feline infectious peritonitis (FIP): A retrospective and prospective study. Kleintierpraxis 1993, 38, 379–389. [Google Scholar]
- Hartmann, K.; Binder, C.; Hirschberger, J.; Cole, D.; Reinacher, M.; Schroo, S.; Frost, J.; Egberink, H.; Lutz, H.; Hermanns, W. Comparison of different tests to diagnose feline infectious peritonitis. J. Vet. Intern. Med. 2003, 17, 781–790. [Google Scholar] [CrossRef]
- Pedersen, N.C. An update on feline infectious peritonitis: Diagnostics and therapeutics. Vet. J. 2014, 201, 133–141. [Google Scholar] [CrossRef] [PubMed]
- Tasker, S. Diagnosis of feline infectious peritonitis: Update on evidence supporting available tests. J. Feline Med. Surg. 2018, 20, 228–243. [Google Scholar] [CrossRef] [PubMed]
- Johnson, L.R.; Epstein, S.E.; Reagan, K.L. Etiology and effusion characteristics in 29 cats and 60 dogs with pyothorax (2010–2020). J. Vet. Intern. Med. 2023, 37, 1155–1165. [Google Scholar] [CrossRef] [PubMed]
- Savary, K.C.; Sellon, R.K.; Law, J.M. Chylous abdominal effusion in a cat with feline infectious peritonitis. J. Am. Anim. Hosp. Assoc. 2001, 37, 35–40. [Google Scholar] [CrossRef]
- Jähne, S.; Felten, S.; Bergmann, M.; Erber, K.; Matiasek, K.; Meli, M.L.; Hofmann-Lehmann, R.; Hartmann, K. Detection of Feline Coronavirus Variants in Cats without Feline Infectious Peritonitis. Viruses 2022, 14, 1671. [Google Scholar] [CrossRef]
- Emmler, L.; Felten, S.; Matiasek, K.; Balzer, H.J.; Pantchev, N.; Leutenegger, C.; Hartmann, K. Feline coronavirus with and without spike gene mutations detected by real-time RT-PCRs in cats with feline infectious peritonitis. J. Feline Med. Surg. 2020, 22, 791–799. [Google Scholar] [CrossRef]
- Stranieri, A.; Giordano, A.; Paltrinieri, S.; Giudice, C.; Cannito, V.; Lauzi, S. Comparison of the performance of laboratory tests in the diagnosis of feline infectious peritonitis. J. Vet. Diag. Investig. 2018, 30, 459–463. [Google Scholar] [CrossRef]
- Dunbar, D.; Addie, D.; Hosie, M.; Weir, W. A Machine Learning Approach to Enhancing Feline Infectious Peritonitis Diagnosis. In Proceedings of the Fifth International Society for Companion Animal Infectious Diseases Symposium (Abstract), Portland, OR, USA, 30 September–3 October 2018. [Google Scholar]
- Rohrer, C. Die Diagnostik der Felinen Infektiösen Peritonitis (FIP): Eine Restrospektive Studie; University of Zurich: Zurich, Switzerland, 1992. [Google Scholar]
- Sparkes, A.H.; Gruffydd-Jones, T.J.; Harbour, D.A. An appraisal of the value of laboratory tests in the diagnosis of feline infectious peritonitis. J. Am. Anim. Hosp. Assoc. 1994, 30, 345–350. [Google Scholar]
- Jeffery, U.; Deitz, K.; Hostetter, S. Positive predictive value of albumin: Globulin ratio for feline infectious peritonitis in a mid-western referral hospital population. J. Feline Med. Surg. 2012, 14, 903–905. [Google Scholar] [CrossRef]
- Stranieri, A.; Giordano, A.; Bo, S.; Braghiroli, C.; Paltrinieri, S. Frequency of electrophoretic changes consistent with feline infectious peritonitis in two different time periods (2004–2009 vs 2013–2014). J. Feline Med. Surg. 2017, 19, 880–887. [Google Scholar] [CrossRef] [PubMed]
- Taylor, S.S.; Tappin, S.W.; Dodkin, S.J.; Papasouliotis, K.; Casamian-Sorrosal, D.; Tasker, S. Serum protein electrophoresis in 155 cats. J. Feline Med. Surg. 2010, 12, 643–653. [Google Scholar] [CrossRef] [PubMed]
- Hartmann, K.; Pennisi, M.G.; Dorsch, R. Infectious Agents in Feline Chronic Kidney Disease. Adv. Small Anim. Care 2020, 1, 189–206. [Google Scholar] [CrossRef]
- Duthie, S.; Eckersall, P.D.; Addie, D.D.; Lawrence, C.E.; Jarrett, O. Value of alpha 1-acid glycoprotein in the diagnosis of feline infectious peritonitis. Vet. Rec. 1997, 141, 299–303. [Google Scholar] [CrossRef]
- Giori, L.; Giordano, A.; Giudice, C.; Grieco, V.; Paltrinieri, S. Performances of different diagnostic tests for feline infectious peritonitis in challenging clinical cases. J. Small Anim. Pract. 2011, 52, 152–157. [Google Scholar] [CrossRef]
- Hazuchova, K.; Held, S.; Neiger, R. Usefulness of acute phase proteins in differentiating between feline infectious peritonitis and other diseases in cats with body cavity effusions. J. Feline Med. Surg. 2017, 19, 809–816. [Google Scholar] [CrossRef]
- Paltrinieri, S.; Giordano, A.; Tranquillo, V.; Guazzetti, S. Critical assessment of the diagnostic value of feline alpha1-acid glycoprotein for feline infectious peritonitis using the likelihood ratios approach. J. Vet. Diag. Investig. 2007, 19, 266–272. [Google Scholar] [CrossRef]
- Paltrinieri, S.; Metzger, C.; Battilani, M.; Pocacqua, V.; Gelain, M.E.; Giordano, A. Serum alpha1-acid glycoprotein (AGP) concentration in non-symptomatic cats with feline coronavirus (FCoV) infection. J. Feline Med. Surg. 2007, 9, 271–277. [Google Scholar] [CrossRef]
- Ceciliani, F.; Grossi, C.; Giordano, A.; Pocacqua, V.; Paltrinieri, S. Decreased sialylation of the acute phase protein alpha1-acid glycoprotein in feline infectious peritonitis (FIP). Vet. Immunol. Immunopathol. 2004, 99, 229–236. [Google Scholar] [CrossRef]
- Rossi, G.; Paltrinieri, S. Total sialic acid: An acute phase reactant in cats with a possible role in feline coronavirus infection. Can. J. Vet. Res. 2009, 73, 144–150. [Google Scholar]
- Thalmeier, S.; Güssow, A.; Häuser, M.K.; Bauer, N.; Hazuchova, K. Cat alpha-1-acid glycoprotein enzyme-linked immunosorbent assay: Performance characteristics and reference intervals. J. Feline Med. Surg. 2023, 25, 1098612X231162836. [Google Scholar] [CrossRef]
- Shelly, S.M.; Scarlettkranz, J.; Blue, J.T. Protein Electrophoresis on Effusions from Cats as a Diagnostic-Test for Feline Infectious Peritonitis. J. Am. Anim. Hosp. Assoc. 1988, 24, 495–500. [Google Scholar]
- Paltrinieri, S.; Cammarata, M.P.; Cammarata, G. In vivo diagnosis of feline infectious peritonitis by comparison of protein content, cytology, and direct immunofluorescence test on peritoneal and pleural effusions. J. Vet. Diag. Investig. 1999, 11, 358–361. [Google Scholar] [CrossRef]
- Fischer, Y.; Sauter-Louis, C.; Hartmann, K. Diagnostic accuracy of the Rivalta test for feline infectious peritonitis. Vet. Clin. Pathol. 2012, 41, 558–567. [Google Scholar] [CrossRef]
- Fischer, Y.; Weber, K.; Sauter-Louis, C.; Hartmann, K. The Rivalta’s test as a diagnostic variable in feline effusions—Evaluation of optimum reaction and storage conditions. Tierärztliche Praxis 2013, 41, 297–303. [Google Scholar] [CrossRef]
- Giordano, A.; Paltrinieri, S.; Bertazzolo, W.; Milesi, E.; Parodi, M. Sensitivity of Tru-cut and fine needle aspiration biopsies of liver and kidney for diagnosis of feline infectious peritonitis. Vet. Clin. Pathol. 2005, 34, 368–374. [Google Scholar] [CrossRef]
- Rusbridge, C. Collection and interpretation of cerebrospinal fluid in cats and dogs. Practice 1997, 19, 322–331. [Google Scholar] [CrossRef]
- Hoey, C.; Nye, G.; Fadda, A.; Bradshaw, J.; Barker, E.N. Subarachnoid diverticulum associated with feline infectious peritonitis in a Siberian cat. J. Feline Med. Surg. Open Rep. 2020, 6, 2055116920941477. [Google Scholar] [CrossRef]
- Penderis, J. The Wobbly Cat. Diagnostic and therapeutic approach to generalised ataxia. J. Feline Med. Surg. 2009, 11, 349–359. [Google Scholar] [CrossRef]
- Felten, S.; Matiasek, K.; Leutenegger, C.M.; Sangl, L.; Herre, S.; Dorfelt, S.; Fischer, A.; Hartmann, K. Diagnostic Value of Detecting Feline Coronavirus RNA and Spike Gene Mutations in Cerebrospinal Fluid to Confirm Feline Infectious Peritonitis. Viruses 2021, 13, 186. [Google Scholar] [CrossRef]
- Singh, M.; Foster, D.J.; Child, G.; Lamb, W.A. Inflammatory cerebrospinal fluid analysis in cats: Clinical diagnosis and outcome. J. Feline Med. Surg. 2005, 7, 77–93. [Google Scholar] [CrossRef]
- Boettcher, I.C.; Steinberg, T.; Matiasek, K.; Greene, C.E.; Hartmann, K.; Fischer, A. Use of anti-coronavirus antibody testing of cerebrospinal fluid for diagnosis of feline infectious peritonitis involving the central nervous system in cats. J. Am. Vet. Med. Assoc. 2007, 230, 199–205. [Google Scholar] [CrossRef]
- Linn-Pearl, R.N.; Powell, R.M.; Newman, H.A.; Gould, D.J. Validity of aqueocentesis as a component of anterior uveitis investigation in dogs and cats. Vet. Ophthalmol. 2015, 18, 326–334. [Google Scholar] [CrossRef] [PubMed]
- Ferreira, A.; Marwood, R.; Batchelor, D.; Maddox, T.; Mortier, J.R. Prevalence and clinical significance of the medullary rim sign identified on ultrasound of feline kidneys. Vet. Rec. 2020, 186, 533. [Google Scholar] [CrossRef] [PubMed]
- Hung, L.; Hopper, B.J.; Lenard, Z. Retrospective analysis of radiographic signs in feline pleural effusions to predict disease aetiology. BMC Vet. Res. 2022, 18, 118. [Google Scholar] [CrossRef]
- Negrin, A.; Schatzberg, S.; Platt, S.R. The paralyzed cat. Neuroanatomic diagnosis and specific spinal cord diseases. J. Feline Med. Surg. 2009, 11, 361–372. [Google Scholar] [CrossRef] [PubMed]
- Paltrinieri, S.; Cammarata, M.P.; Cammarata, G.; Comazzi, S. Some aspects of humoral and cellular immunity in naturally occuring feline infectious peritonitis. Vet. Immunol. Immunopathol. 1998, 65, 205–220. [Google Scholar] [CrossRef]
- Mesquita, L.P.; Hora, A.S.; de Siqueira, A.; Salvagni, F.A.; Brandao, P.E.; Maiorka, P.C. Glial response in the central nervous system of cats with feline infectious peritonitis. J. Feline Med. Surg. 2016, 18, 1023–1030. [Google Scholar] [CrossRef]
- Stranieri, A.; Scavone, D.; Paltrinieri, S.; Giordano, A.; Bonsembiante, F.; Ferro, S.; Gelain, M.E.; Meazzi, S.; Lauzi, S. Concordance between Histology, Immunohistochemistry, and RT-PCR in the Diagnosis of Feline Infectious Peritonitis. Pathogens 2020, 9, 852. [Google Scholar] [CrossRef]
- Felten, S.; Leutenegger, C.M.; Balzer, H.J.; Pantchev, N.; Matiasek, K.; Wess, G.; Egberink, H.; Hartmann, K. Sensitivity and specificity of a real-time reverse transcriptase polymerase chain reaction detecting feline coronavirus mutations in effusion and serum/plasma of cats to diagnose feline infectious peritonitis. BMC Vet. Res. 2017, 13, 228. [Google Scholar] [CrossRef] [PubMed]
- Milliron, S.M.; Seyler, Z.G.; Myers, A.N.; Rodrigues Hoffmann, A.; Hnot, M.; Wiener, D.J. Pyogranulomatous panniculitis in a domestic cat associated with Pseudomonas luteola infection. Vet. Dermatol. 2021, 32, 83-e15. [Google Scholar] [CrossRef] [PubMed]
- Giuliano, A.; Watson, P.; Owen, L.; Skelly, B.; Davison, L.; Dobson, J.; Costantino-Casas, F. Idiopathic sterile pyogranuloma in three domestic cats. J. Small Anim. Pract. 2020, 61, 202–205. [Google Scholar] [CrossRef]
- Kipar, A.; Meli, M.L. Feline Infectious Peritonitis: Still an Enigma? Vet. Pathol. 2014, 51, 505–526. [Google Scholar] [CrossRef] [PubMed]
- Tammer, R.; Evensen, O.; Lutz, H.; Reinacher, M. Immunohistological demonstration of feline infectious peritonitis virus antigen in paraffin-embedded tissues using feline ascites or murine monoclonal antibodies. Vet. Immunol. Immunopathol. 1995, 49, 177–182. [Google Scholar] [CrossRef]
- Paltrinieri, S.; Grieco, V.; Comazzi, S.; Cammarata Parodi, M. Laboratory profiles in cats with different pathological and immunohistochemical findings due to feline infectious peritonitis (FIP). J. Feline Med. Surg. 2001, 3, 149–159. [Google Scholar] [CrossRef]
- Tasker, S.; Dowgray, N. Managing feline coronavirus and feline infectious peritonitis in the multi-cat/shelter environment. In BSAVA Manual of Canine and Feline Shelter Medicine: Principles of Health and Welfare in a Multi-Animal Environment; Dean, R., Roberts, M., Stavisky, J., Eds.; BSAVA Publications: Gloucester, UK, 2018; pp. 256–267. [Google Scholar]
- Felten, S.; Matiasek, K.; Gruendl, S.; Sangl, L.; Wess, G.; Hartmann, K. Investigation into the utility of an immunocytochemical assay in body cavity effusions for diagnosis of feline infectious peritonitis. J. Feline Med. Surg. 2017, 19, 410–418. [Google Scholar] [CrossRef]
- Hirschberger, J.; Hartmann, K.; Wilhelm, N.; Frost, J.; Lutz, H.; Kraft, W. Clinical symptoms and diagnosis of feline infectious peritonitis. Tierarztl. Prax. 1995, 23, 92–99. [Google Scholar]
- Litster, A.L.; Pogranichniy, R.; Lin, T.L. Diagnostic utility of a direct immunofluorescence test to detect feline coronavirus antigen in macrophages in effusive feline infectious peritonitis. Vet. J. 2013, 198, 362–366. [Google Scholar] [CrossRef]
- Parodi, M.C.; Cammarata, G.; Paltrinieri, S.; Lavazza, A.; Ape, F. Using Direct Immunofluorescence to Detect Coronaviruses in Peritoneal and Pleural Effusions. J. Small Anim. Pract. 1993, 34, 609–613. [Google Scholar] [CrossRef]
- Hellemans, A.; Acar, D.D.; Stroobants, V.J.E.; Theuns, S.; Desmarets, L.M.B.; Nauwynck, H.J. A comparative study of techniques used for the diagnosis of effusive feline infectious peritonitis. Vlaams. Diergeneeskd. Tijdschr 2020, 89, 100–110. [Google Scholar] [CrossRef]
- Howell, M.; Evans, S.J.M.; Cornwall, M.; Santangelo, K.S. Multiplex fluorescent immunocytochemistry for the diagnosis of feline infectious peritonitis: Determining optimal storage conditions. Vet. Clin. Pathol. 2020, 49, 640–645. [Google Scholar] [CrossRef] [PubMed]
- Gruendl, S.; Matiasek, K.; Matiasek, L.; Fischer, A.; Felten, S.; Jurina, K.; Hartmann, K. Diagnostic utility of cerebrospinal fluid immunocytochemistry for diagnosis of feline infectious peritonitis manifesting in the central nervous system. J. Feline Med. Surg. 2016, 19, 576–585. [Google Scholar] [CrossRef] [PubMed]
- Felten, S.; Matiasek, K.; Gruendl, S.; Sangl, L.; Hartmann, K. Utility of an immunocytochemical assay using aqueous humor in the diagnosis of feline infectious peritonitis. Vet. Ophthalmol. 2018, 21, 27–34. [Google Scholar] [CrossRef] [PubMed]
- Sangl, L.; Felten, S.; Matiasek, K.; Dorfelt, S.; Bergmann, M.; Balzer, H.J.; Pantchev, N.; Leutenegger, C.; Hartmann, K. Detection of feline coronavirus RNA, spike gene mutations, and feline Coronavirus antigen in macrophages in aqueous humor of cats in the diagnosis of feline infectious peritonitis. J. Vet. Diag. Investig. 2020, 32, 527–534. [Google Scholar] [CrossRef]
- Barker, E.N.; Tasker, S. Diagnosing FIP: Has recent research made it any easier? In Proceedings of the Amercian College of Veterinary Internal Medicine Forum. Harbor, MA, USA, 8–10 June 2017. [Google Scholar]
- Desmarets, L.M.; Vermeulen, B.L.; Theuns, S.; Conceicao-Neto, N.; Zeller, M.; Roukaerts, I.D.; Acar, D.D.; Olyslaegers, D.A.; Van Ranst, M.; Matthijnssens, J.; et al. Experimental feline enteric coronavirus infection reveals an aberrant infection pattern and shedding of mutants with impaired infectivity in enterocyte cultures. Sci. Rep. 2016, 6, 20022. [Google Scholar] [CrossRef]
- Gunther, S.; Felten, S.; Wess, G.; Hartmann, K.; Weber, K. Detection of feline Coronavirus in effusions of cats with and without feline infectious peritonitis using loop-mediated isothermal amplification. J. Virol. Methods 2018, 256, 32–36. [Google Scholar] [CrossRef] [PubMed]
- Stranieri, A.; Lauzi, S.; Giordano, A.; Paltrinieri, S. Reverse transcriptase loop-mediated isothermal amplification for the detection of feline coronavirus. J. Virol. Methods 2017, 243, 105–108. [Google Scholar] [CrossRef]
- Rapichai, W.; Saejung, W.; Khumtong, K.; Boonkaewwan, C.; Tuanthap, S.; Lieberzeit, P.A.; Choowongkomon, K.; Rattanasrisomporn, J. Development of Colorimetric Reverse Transcription Loop-Mediated Isothermal Amplification Assay for Detecting Feline Coronavirus. Animals 2022, 12, 2075. [Google Scholar] [CrossRef]
- Doenges, S.J.; Weber, K.; Dorsch, R.; Fux, R.; Hartmann, K. Comparison of real-time reverse transcriptase polymerase chain reaction of peripheral blood mononuclear cells, serum and cell-free body cavity effusion for the diagnosis of feline infectious peritonitis. J. Feline Med. Surg. 2017, 19, 344–350. [Google Scholar] [CrossRef]
- Felten, S.; Weider, K.; Doenges, S.; Gruendl, S.; Matiasek, K.; Hermanns, W.; Mueller, E.; Matiasek, L.; Fischer, A.; Weber, K.; et al. Detection of feline coronavirus spike gene mutations as a tool to diagnose feline infectious peritonitis. J. Feline Med. Surg. 2017, 19, 321–335. [Google Scholar] [CrossRef] [PubMed]
- Pedersen, N.C.; Eckstrand, C.; Liu, H.; Leutenegger, C.; Murphy, B. Levels of feline infectious peritonitis virus in blood, effusions, and various tissues and the role of lymphopenia in disease outcome following experimental infection. Vet. Microbiol. 2015, 175, 157–166. [Google Scholar] [CrossRef] [PubMed]
- Gut, M.; Leutenegger, C.M.; Huder, J.B.; Pedersen, N.C.; Lutz, H. One-tube fluorogenic reverse transcription-polymerase chain reaction for the quantitation of feline coronaviruses. J. Virol. Methods 1999, 77, 37–46. [Google Scholar] [CrossRef]
- Simons, F.A.; Vennema, H.; Rofina, J.E.; Pol, J.M.; Horzinek, M.C.; Rottier, P.J.; Egberink, H.F. A mRNA PCR for the diagnosis of feline infectious peritonitis. J. Virol. Methods 2005, 124, 111–116. [Google Scholar] [CrossRef] [PubMed]
- Longstaff, L.; Porter, E.; Crossley, V.J.; Hayhow, S.E.; Helps, C.R.; Tasker, S. Feline coronavirus quantitative reverse transcriptase polymerase chain reaction on effusion samples in cats with and without feline infectious peritonitis. J. Feline Med. Surg. 2017, 19, 240–245. [Google Scholar] [CrossRef]
- Sangl, L.; Matiasek, K.; Felten, S.; Grundl, S.; Bergmann, M.; Balzer, H.J.; Pantchev, N.; Leutenegger, C.M.; Hartmann, K. Detection of feline coronavirus mutations in paraffin-embedded tissues in cats with feline infectious peritonitis and controls. J. Feline Med. Surg. 2019, 21, 133–142. [Google Scholar] [CrossRef]
- Freiche, G.M.; Guidez, C.L.; Duarte, M.; Le poder, Y.B. Sequencing of 3c and spike genes in feline infectious peritonitis: Which samples are the most relevant for analysis? A retrospective study of 33 cases from 2008 to 2014. J. Vet. Intern. Med. 2016, 30, 411. [Google Scholar]
- Soma, T.; Saito, N.; Kawaguchi, M.; Sasai, K. Feline coronavirus antibody titer in cerebrospinal fluid from cats with neurological signs. J. Vet. Med. Sci. 2018, 80, 59–62. [Google Scholar] [CrossRef]
- Barker, E.; Tasker, S. Update on feline infectious peritonitis. Practice 2020, 42, 372–383. [Google Scholar] [CrossRef]
- Lutz, M.; Steiner, A.R.; Cattori, V.; Hofmann-Lehmann, R.; Lutz, H.; Kipar, A.; Meli, M.L. FCoV Viral Sequences of Systemically Infected Healthy Cats Lack Gene Mutations Previously Linked to the Development of FIP. Pathogens 2020, 9, 603. [Google Scholar] [CrossRef]
- McKay, L.A.; Meachem, M.; Snead, E.; Brannen, T.; Mutlow, N.; Ruelle, L.; Davies, J.L.; van der Meer, F. Prevalence and mutation analysis of the spike protein in feline enteric coronavirus and feline infectious peritonitis detected in household and shelter cats in western Canada. Can. J. Vet. Res. 2020, 84, 18–23. [Google Scholar] [PubMed]
- Bell, E.T.; Malik, R.; Norris, J.M. The relationship between the feline coronavirus antibody titre and the age, breed, gender and health status of Australian cats. Aust. Vet. J. 2006, 84, 2–7. [Google Scholar] [CrossRef] [PubMed]
- Adaszek, Ł.; Kalinowski, M.; Rutkowska-Szulczyk, M.; Mazurek, Ł.; Szulc, D.; Staniec, M.; Pietras-Ożga, D.; Michalak, K.; Buczek, K.; Winiarczyk, S. Comparison of the sensitivity of rapid tests FCoV Ab (Vet Expert) and PCR in the diagnosis of feline infectious peritonitis (FIP) in cats with the effusive form of the disease. Med. Weter. 2023, 79, 130–133. [Google Scholar] [CrossRef]
- Meli, M.L.; Burr, P.; Decaro, N.; Graham, E.; Jarrett, O.; Lutz, H.; McDonald, M.; Addie, D.D. Samples with high virus load cause a trend toward lower signal in feline coronavirus antibody tests. J. Feline Med. Surg. 2013, 15, 295–299. [Google Scholar] [CrossRef] [PubMed]
- Lorusso, E.; Mari, V.; Losurdo, M.; Lanave, G.; Trotta, A.; Dowgier, G.; Colaianni, M.L.; Zatelli, A.; Elia, G.; Buonavoglia, D.; et al. Discrepancies between feline coronavirus antibody and nucleic acid detection in effusions of cats with suspected feline infectious peritonitis. Res. Vet. Sci. 2019, 125, 421–424. [Google Scholar] [CrossRef]
- Dye, C.; Siddell, S.G. Genomic RNA sequence of feline coronavirus strain FCoV C1Je. J. Feline Med. Surg. 2007, 9, 202–213. [Google Scholar] [CrossRef] [PubMed]
- Addie, D.D. Feline infectious peritonitis: Answers to frequently asked questions concerning FIP and coronavirus. Vet. Nurs. 2019, 34, 201–206. [Google Scholar] [CrossRef]
- Ishida, T.; Shibanai, A.; Tanaka, S.; Uchida, K.; Mochizuki, M. Use of recombinant feline interferon and glucocorticoid in the treatment of feline infectious peritonitis. J. Feline Med. Surg. 2004, 6, 107–109. [Google Scholar] [CrossRef]
- Legendre, A.M.; Kuritz, T.; Galyon, G.; Baylor, V.M.; Heidel, R.E. Polyprenyl Immunostimulant Treatment of Cats with Presumptive Non-Effusive Feline Infectious Peritonitis In a Field Study. Front. Vet. Sci. 2017, 4, 7. [Google Scholar] [CrossRef]
- Murphy, B.G.; Perron, M.; Murakami, E.; Bauer, K.; Park, Y.; Eckstrand, C.; Liepnieks, M.; Pedersen, N.C. The nucleoside analog GS-441524 strongly inhibits feline infectious peritonitis (FIP) virus in tissue culture and experimental cat infection studies. Vet. Microbiol. 2018, 219, 226–233. [Google Scholar] [CrossRef]
- Sorrell, S.; Pugalendhi, S.J.; Gunn-Moore, D. Current treatment options for feline infectious peritonitis in the UK. Companion Anim. 2022, 27, 79–90. [Google Scholar] [CrossRef]
- Pons-Hernandez, M.; Wyatt, T.; Hall, A. Investigating the illicit market in veterinary medicines: An exploratory online study with pet owners in the United Kingdom. Trends Organ. Crime 2022. [Google Scholar] [CrossRef]
- Cooper, G. Comments on: Dealing with black market medications. Practice 2021, 43, 343. [Google Scholar] [CrossRef]
- Riley, N. Dealing with black market medications. In Pract. 2021, 43, 293–294. [Google Scholar] [CrossRef]
- European Union. Commission Implementing Regulation (EU) 2022/1255 of 19 July 2022 designating antimicrobials or groups of antimicrobials reserved for treatment of certain infections in humans, in accordance with Regulation (EU) 2019/6 of the European Parliament and of the Council. Off. J. Eur. Union 2023. Available online: https://eur-lex.europa.eu/legal-content/EN/TXT/?uri=CELEX:32022R1255 (accessed on 7 May 2023).
- Hughes, D.; Howard, G.; Malik, R. Treatment of FIP in cats with remdesivir. Veterinarian 2021, 19–27. Available online: https://www.turramurravet.com.au/wp-content/uploads/2021/07/FIP-Article_The-Veterinarian.pdf (accessed on 17 July 2023).
- Pedersen, N.C.; Kim, Y.; Liu, H.; Galasiti Kankanamalage, A.C.; Eckstrand, C.; Groutas, W.C.; Bannasch, M.; Meadows, J.M.; Chang, K.O. Efficacy of a 3C-like protease inhibitor in treating various forms of acquired feline infectious peritonitis. J. Feline Med. Surg. 2018, 20, 378–392. [Google Scholar] [CrossRef] [PubMed]
- Gil, S.; Leal, R.O.; Duarte, A.; McGahie, D.; Sepulveda, N.; Siborro, I.; Cravo, J.; Cartaxeiro, C.; Tavares, L.M. Relevance of feline interferon omega for clinical improvement and reduction of concurrent viral excretion in retrovirus infected cats from a rescue shelter. Res. Vet. Sci. 2013, 94, 753–763. [Google Scholar] [CrossRef]
- McDonagh, P.; Sheehy, P.A.; Norris, J.M. Identification and characterisation of small molecule inhibitors of feline coronavirus replication. Vet. Microbiol. 2014, 174, 438–447. [Google Scholar] [CrossRef]
- Delaplace, M.; Huet, H.; Gambino, A.; Le Poder, S. Feline Coronavirus Antivirals: A Review. Pathogens 2021, 10, 1150. [Google Scholar] [CrossRef] [PubMed]
- Izes, A.M.; Kimble, B.; Norris, J.M.; Govendir, M. In vitro hepatic metabolism of mefloquine using microsomes from cats, dogs and the common brush-tailed possum (Trichosurus vulpecula). PLoS ONE 2020, 15, e0230975. [Google Scholar] [CrossRef]
- Yu, J.; Kimble, B.; Norris, J.M.; Govendir, M. Pharmacokinetic Profile of Oral Administration of Mefloquine to Clinically Normal Cats: A Preliminary In-Vivo Study of a Potential Treatment for Feline Infectious Peritonitis (FIP). Animals 2020, 10, 1000. [Google Scholar] [CrossRef] [PubMed]
- Izes, A.M.; Kimble, B.; Norris, J.M.; Govendir, M. Assay validation and determination of in vitro binding of mefloquine to plasma proteins from clinically normal and FIP-affected cats. PLoS ONE 2020, 15, e0236754. [Google Scholar] [CrossRef]
- Tanaka, Y.; Sato, Y.; Osawa, S.; Inoue, M.; Tanaka, S.; Sasaki, T. Suppression of feline coronavirus replication in vitro by cyclosporin A. Vet. Res. 2012, 43, 41. [Google Scholar] [CrossRef] [PubMed]
- Tanaka, Y.; Sato, Y.; Sasaki, T. Suppression of coronavirus replication by cyclophilin inhibitors. Viruses 2013, 5, 1250–1260. [Google Scholar] [CrossRef]
- Tanaka, Y.; Sato, Y.; Takahashi, D.; Matsumoto, H.; Sasaki, T. Treatment of a case of feline infectious peritonitis with cyclosporin A. Vet. Rec. Case Rep. 2015, 3, e000134. [Google Scholar] [CrossRef]
- Ng, S.W.; Selvarajah, G.T.; Hussein, M.Z.; Yeap, S.K.; Omar, A.R. In Vitro Evaluation of Curcumin-Encapsulated Chitosan Nanoparticles against Feline Infectious Peritonitis Virus and Pharmacokinetics Study in Cats. BioMed Res. Int. 2020, 2020, 3012198. [Google Scholar] [CrossRef]
- Takano, T.; Katoh, Y.; Doki, T.; Hohdatsu, T. Effect of chloroquine on feline infectious peritonitis virus infection in vitro and in vivo. Antivir. Res. 2013, 99, 100–107. [Google Scholar] [CrossRef]
- Takano, T.; Satoh, K.; Doki, T.; Tanabe, T.; Hohdatsu, T. Antiviral Effects of Hydroxychloroquine and Type I Interferon on In Vitro Fatal Feline Coronavirus Infection. Viruses 2020, 12, 576. [Google Scholar] [CrossRef]
- Takano, T.; Akiyama, M.; Doki, T.; Hohdatsu, T. Antiviral activity of itraconazole against type I feline coronavirus infection. Vet. Res. 2019, 50, 5. [Google Scholar] [CrossRef]
- Doki, T.; Takahashi, K.; Hasegawa, N.; Takano, T. In vitro antiviral effects of GS-441524 and itraconazole combination against feline infectious peritonitis virus. Res. Vet. Sci. 2022, 144, 27–33. [Google Scholar] [CrossRef]
- Kameshima, S.; Kimura, Y.; Doki, T.; Takano, T.; Park, C.H.; Itoh, N. Clinical efficacy of combination therapy of itraconazole and prednisolone for treating effusive feline infectious peritonitis. J. Vet. Med. Sci. 2020, 82, 1492–1496. [Google Scholar] [CrossRef] [PubMed]
- Mancianti, F.; Pedonese, F.; Zullino, C. Efficacy of oral administration of itraconazole to cats with dermatophytosis caused by Microsporum canis. J. Am. Vet. Med. Assoc. 1998, 213, 993–995. [Google Scholar]
- Hsieh, L.E.; Lin, C.N.; Su, B.L.; Jan, T.R.; Chen, C.M.; Wang, C.H.; Lin, D.S.; Lin, C.T.; Chueh, L.L. Synergistic antiviral effect of Galanthus nivalis agglutinin and nelfinavir against feline coronavirus. Antivir. Res. 2010, 88, 25–30. [Google Scholar] [CrossRef] [PubMed]
- Weiss, R.C.; Cox, N.R.; Boudreaux, M.K. Toxicologic effects of ribavirin in cats. J. Vet. Pharmacol. Ther. 1993, 16, 301–316. [Google Scholar] [CrossRef] [PubMed]
- Weiss, R.C.; Cox, N.R.; Martinez, M.L. Evaluation of free or liposome-encapsulated ribavirin for antiviral therapy of experimentally induced feline infectious peritonitis. Res. Vet. Sci. 1993, 55, 162–172. [Google Scholar] [CrossRef]
- Weiss, R.C.; Cox, N.R.; Oostrom-Ram, T. Effect of interferon or Propionibacterium acnes on the course of experimentally induced feline infectious peritonitis in specific-pathogen-free and random-source cats. Am. J. Vet. Res. 1990, 51, 726–733. [Google Scholar]
- Barlough, J.E.; Scott, F.W. Effectiveness of three antiviral agents against FIP virus in vitro. Vet. Rec. 1990, 126, 556–558. [Google Scholar]
- Amici, C.; Di Caro, A.; Ciucci, A.; Chiappa, L.; Castilletti, C.; Martella, V.; Decaro, N.; Buonavoglia, C.; Capobianchi, M.R.; Santoro, M.G. Indomethacin has a potent antiviral activity against SARS coronavirus. Antivir. Ther. 2006, 11, 1021–1030. [Google Scholar] [CrossRef]
- Mateos Gonzalez, M.; Sierra Gonzalo, E.; Casado Lopez, I.; Arnalich Fernandez, F.; Beato Perez, J.L.; Monge Monge, D.; Vargas Nunez, J.A.; Garcia Fenoll, R.; Suarez Fernandez, C.; Freire Castro, S.J.; et al. The Prognostic Value of Eosinophil Recovery in COVID-19: A Multicentre, Retrospective Cohort Study on Patients Hospitalised in Spanish Hospitals. J. Clin. Med. 2021, 10, 305. [Google Scholar] [CrossRef]
- Walton-Clark, M.; Travail, V.; Best, M. Phenobarbital-induced autoimmune haemolytic anaemia, thrombocytopenia and peripheral lymphadenomegaly due to reactive lymphoid hyperplasia in a cat. J. Feline Med. Surg. Open Rep. 2022, 8, 20551169221079238. [Google Scholar] [CrossRef] [PubMed]
- Ansems, K.; Grundeis, F.; Dahms, K.; Mikolajewska, A.; Thieme, V.; Piechotta, V.; Metzendorf, M.I.; Stegemann, M.; Benstoem, C.; Fichtner, F. Remdesivir for the treatment of COVID-19. Cochrane Database Syst. Rev. 2021, 8, CD014962. [Google Scholar] [CrossRef]
- Pham, H.T.; Mai-Phan, T.A.; Vu, A.K.; Truong, T.H.; Tran, M.H. Clinical use of remdesivir in COVID-19 treatment: A retrospective cohort study. BMJ Open 2023, 13, e070489. [Google Scholar] [CrossRef]
- Wu, B.; Luo, M.; Wu, F.; He, Z.; Li, Y.; Xu, T. Acute Kidney Injury Associated With Remdesivir: A Comprehensive Pharmacovigilance Analysis of COVID-19 Reports in FAERS. Front. Pharmacol. 2022, 13, 692828. [Google Scholar] [CrossRef]
- Brandsma, I.; Derr, R.; Zhang, G.; Moelijker, N.; Hendriks, G.; Osterlund, T. Genotoxicity assessment of potentially mutagenic nucleoside analogues using ToxTracker(R). Toxicol. Lett. 2022, 362, 50–58. [Google Scholar] [CrossRef]
- COVID-19 Treatment Guidelines Panel. Coronavirus Disease 2019 (COVID-19) Treatment Guidelines. Available online: https://www.covid19treatmentguidelines.nih.gov/ (accessed on 18th July 2023).
- European Union. Regulation (EU) 2019/6 of the European Parliament and of the Council of 11 December 2018 on veterinary medicinal products and repealing Directive 2001/82/EC. Off. J. Eur. Union 2023. Available online: https://eur-lex.europa.eu/legal-content/EN/TXT/PDF/?uri=CELEX:32019R0006 (accessed on 17 August 2023).
- Izes, A.M.; Yu, J.; Norris, J.M.; Govendir, M. Current status on treatment options for feline infectious peritonitis and SARS-CoV-2 positive cats. Vet. Q. 2020, 40, 322–330. [Google Scholar] [CrossRef] [PubMed]
- Li, Y.; Cao, L.; Li, G.; Cong, F.; Li, Y.; Sun, J.; Luo, Y.; Chen, G.; Li, G.; Wang, P.; et al. Remdesivir Metabolite GS-441524 Effectively Inhibits SARS-CoV-2 Infection in Mouse Models. J. Med. Chem. 2022, 65, 2785–2793. [Google Scholar] [CrossRef] [PubMed]
- Eastman, R.T.; Roth, J.S.; Brimacombe, K.R.; Simeonov, A.; Shen, M.; Patnaik, S.; Hall, M.D. Remdesivir: A Review of Its Discovery and Development Leading to Emergency Use Authorization for Treatment of COVID-19. ACS Cent. Sci. 2020, 6, 672–683. [Google Scholar] [CrossRef] [PubMed]
- Xie, J.; Wang, Z. Can remdesivir and its parent nucleoside GS-441524 be potential oral drugs? An in vitro and in vivo DMPK assessment. Acta Pharm. Sin. B 2021, 11, 1607–1616. [Google Scholar] [CrossRef]
- Cook, S.; Wittenburg, L.; Yan, V.C.; Theil, J.H.; Castillo, D.; Reagan, K.L.; Williams, S.; Pham, C.-D.; Li, C.; Muller, F.L.; et al. An Optimized Bioassay for Screening Combined Anticoronaviral Compounds for Efficacy against Feline Infectious Peritonitis Virus with Pharmacokinetic Analyses of GS-441524, Remdesivir, and Molnupiravir in Cats. Viruses 2022, 14, 2429. [Google Scholar] [CrossRef]
- Painter, W.P.; Holman, W.; Bush, J.A.; Almazedi, F.; Malik, H.; Eraut, N.; Morin, M.J.; Szewczyk, L.J.; Painter, G.R. Human Safety, Tolerability, and Pharmacokinetics of Molnupiravir, a Novel Broad-Spectrum Oral Antiviral Agent with Activity Against SARS-CoV-2. Antimicrob. Agents Chemother. 2021, 65. [Google Scholar] [CrossRef]
- Tian, L.; Pang, Z.; Li, M.; Lou, F.; An, X.; Zhu, S.; Song, L.; Tong, Y.; Fan, H.; Fan, J. Molnupiravir and Its Antiviral Activity Against COVID-19. Front. Immunol. 2022, 13, 855496. [Google Scholar] [CrossRef] [PubMed]
- Cook, S.E.; Vogel, H.; Castillo, D.; Olsen, M.; Pedersen, N.; Murphy, B.G. Investigation of monotherapy and combined anticoronaviral therapies against feline coronavirus serotype II in vitro. J. Feline Med. Surg. 2022, 24, 943–953. [Google Scholar] [CrossRef]
- Kim, Y.; Mandadapu, S.R.; Groutas, W.C.; Chang, K.O. Potent inhibition of feline coronaviruses with peptidyl compounds targeting coronavirus 3C-like protease. Antivir. Res. 2013, 97, 161–168. [Google Scholar] [CrossRef] [PubMed]
- Jiao, Z.; Yan, Y.; Chen, Y.; Wang, G.; Wang, X.; Li, L.; Yang, M.; Hu, X.; Guo, Y.; Shi, Y.; et al. Adaptive Mutation in the Main Protease Cleavage Site of Feline Coronavirus Renders the Virus More Resistant to Main Protease Inhibitors. J. Virol. 2022, 96, e0090722. [Google Scholar] [CrossRef]
- Perera, K.D.; Rathnayake, A.D.; Liu, H.; Pedersen, N.C.; Groutas, W.C.; Chang, K.O.; Kim, Y. Characterization of amino acid substitutions in feline coronavirus 3C-like protease from a cat with feline infectious peritonitis treated with a protease inhibitor. Vet. Microbiol. 2019, 237, 108398. [Google Scholar] [CrossRef] [PubMed]
- Day, M.J.; Horzinek, M.C.; Schultz, R.D.; Squires, R.A. WSAVA Guidelines for the vaccination of dogs and cats. J. Small Anim. Pract. 2016, 57, E1–E45. [Google Scholar] [CrossRef]
- Stone, A.E.; Brummet, G.O.; Carozza, E.M.; Kass, P.H.; Petersen, E.P.; Sykes, J.; Westman, M.E. 2020 AAHA/AAFP Feline Vaccination Guidelines. J. Feline Med. Surg. 2020, 22, 813–830. [Google Scholar] [CrossRef]
- ABCD. European Advisory Board for Cat Diseases Matrix Vaccination Guidelines. Available online: https://www.abcdcatsvets.org/wp-content/uploads/2022/11/TOOL_Vaccine-recommendations_Feb_2020_EN.pdf (accessed on 26 December 2022).
- Taylor, S.; St Denis, K.; Collins, S.; Dowgray, N.; Ellis, S.L.; Heath, S.; Rodan, I.; Ryan, L. 2022 ISFM/AAFP Cat Friendly Veterinary Environment Guidelines. J. Feline Med. Surg. 2022, 24, 1133–1163. [Google Scholar] [CrossRef]
- Chen, S.; Tian, J.; Li, Z.; Kang, H.; Zhang, J.; Huang, J.; Yin, H.; Hu, X.; Qu, L. Feline Infectious Peritonitis Virus Nsp5 Inhibits Type I Interferon Production by Cleaving NEMO at Multiple Sites. Viruses 2019, 12, 43. [Google Scholar] [CrossRef]
- Dedeurwaerder, A.; Olyslaegers, D.A.J.; Desmarets, L.M.B.; Roukaerts, I.D.M.; Theuns, S.; Nauwynck, H.J. ORF7-encoded accessory protein 7a of feline infectious peritonitis virus as a counteragent against IFN-alpha-induced antiviral response. J. Gen. Virol. 2014, 95, 393–402. [Google Scholar] [CrossRef] [PubMed]
- Doki, T.; Yabe, M.; Takano, T.; Hohdatsu, T. Differential induction of type I interferon by type I and type II feline coronaviruses in vitro. Res. Vet. Sci. 2018, 120, 57–62. [Google Scholar] [CrossRef]
- Addie, D.D.; Ishida, T. Feline Infectious Peritonitis: Therapy and Prevention. In Kirk’s Current Veterinary Therapy XIV; Bonagura, J.D., Twedt, D.C., Eds.; Saunders, Elsevier: Amsterdam, The Netherlands, 2008; pp. 1295–1299. [Google Scholar]
- Mochizuki, M.; Nakatani, H.; Yoshida, M. Inhibitory effects of recombinant feline interferon on the replication of feline enteropathogenic viruses in vitro. Vet. Microbiol. 1994, 39, 145–152. [Google Scholar] [CrossRef] [PubMed]
- Weiss, R.C.; Toivio-Kinnucan, M. Inhibition of feline infectious peritonitis virus replication by recombinant human leukocyte (alpha) interferon and feline fibroblastic (beta) interferon. Am. J. Vet. Res. 1988, 49, 1329–1335. [Google Scholar] [PubMed]
- Weiss, R.C.; Oostrom-Ram, T. Inhibitory effects of ribavirin alone or combined with human alpha interferon on feline infectious peritonitis virus replication in vitro. Vet. Microbiol. 1989, 20, 255–265. [Google Scholar] [CrossRef] [PubMed]
- Nishijima, R.; Endo, T.; Gankhuyag, E.; Khin, S.; Jafar, S.M.; Shinohara, Y.; Tanaka, Y.; Sawakami, K.; Yohda, M.; Furuya, T. Detection of anti-feline infectious peritonitis virus activity of a Chinese herb extract using geneLEAD VIII, a fully automated nucleic acid extraction/quantitative PCR testing system. J. Vet. Med. Sci. 2023, 85, 443–446. [Google Scholar] [CrossRef]
- van der Meer, F.J.; de Haan, C.A.; Schuurman, N.M.; Haijema, B.J.; Verheije, M.H.; Bosch, B.J.; Balzarini, J.; Egberink, H.F. The carbohydrate-binding plant lectins and the non-peptidic antibiotic pradimicin A target the glycans of the coronavirus envelope glycoproteins. J. Antimicrob. Chemother. 2007, 60, 741–749. [Google Scholar] [CrossRef][Green Version]
- Mohseni, N.; Royster, A.; Ren, S.; Ma, Y.; Pintado, M.; Mir, M.; Mir, S. A novel compound targets the feline infectious peritonitis virus nucleocapsid protein and inhibits viral replication in cell culture. J. Biol. Chem. 2023, 299, 102976. [Google Scholar] [CrossRef]
- Triratapiban, C.; Lueangaramkul, V.; Phecharat, N.; Pantanam, A.; Lekcharoensuk, P.; Theerawatanasirikul, S. First study on in vitro antiviral and virucidal effects of flavonoids against feline infectious peritonitis virus at the early stage of infection. Vet. World 2023, 16, 618–630. [Google Scholar] [CrossRef]
- Camero, M.; Lanave, G.; Catella, C.; Lucente, M.S.; Sposato, A.; Mari, V.; Tempesta, M.; Martella, V.; Buonavoglia, A. ERDRP-0519 inhibits feline coronavirus in vitro. BMC Vet. Res. 2022, 18, 55. [Google Scholar] [CrossRef]
- Liu, I.J.; Tsai, W.T.; Hsieh, L.E.; Chueh, L.L. Peptides corresponding to the predicted heptad repeat 2 domain of the feline coronavirus spike protein are potent inhibitors of viral infection. PLoS ONE 2013, 8, e82081. [Google Scholar] [CrossRef] [PubMed]
- Choong, O.K.; Mehrbod, P.; Tejo, B.A.; Omar, A.R. In vitro antiviral activity of circular triple helix forming oligonucleotide RNA towards Feline Infectious Peritonitis virus replication. BioMed Res. Int. 2014, 2014, 654712. [Google Scholar] [CrossRef] [PubMed]
- Takano, T.; Endoh, M.; Fukatsu, H.; Sakurada, H.; Doki, T.; Hohdatsu, T. The cholesterol transport inhibitor U18666A inhibits type I feline coronavirus infection. Antivir. Res. 2017, 145, 96–102. [Google Scholar] [CrossRef] [PubMed]
- Doki, T.; Tarusawa, T.; Hohdatsu, T.; Takano, T. In Vivo Antiviral Effects of U18666A Against Type I Feline Infectious Peritonitis Virus. Pathogens 2020, 9, 67. [Google Scholar] [CrossRef]
- McDonagh, P.; Sheehy, P.A.; Norris, J.M. In vitro inhibition of feline coronavirus replication by small interfering RNAs. Vet. Microbiol. 2011, 150, 220–229. [Google Scholar] [CrossRef]
- McDonagh, P.; Sheehy, P.A.; Norris, J.M. Combination siRNA therapy against feline coronavirus can delay the emergence of antiviral resistance in vitro. Vet. Microbiol. 2015, 176, 10–18. [Google Scholar] [CrossRef]
- Hartmann, K.; Ritz, S. Treatment of cats with feline infectious peritonitis. Vet. Immunol. Immunopathol. 2008, 123, 172–175. [Google Scholar] [CrossRef]
- Hartmann, K. Coronavirus Infections (Canine and Feline), including Feline Infectious Peritonitis. In Textbook of Veterinary Internal Medicine, 8th ed.; Ettinger, S.J., Feldman, E.C., Côté, E., Eds.; Elsevier: St. Louis, MI, USA, 2016; pp. 983–991. [Google Scholar]
- Bolcskei, A.; Bilkei, G. Langzeitstudie über behandelte FIP-verdächtige Katzen. Die Auswirkung verschiedener Therapieversuche auf das Überleben FIP-verdächtiger Katzen. Tierarztl. Umsch. 1995, 50, 21. [Google Scholar]
- Bolcskei, A.; Bilkei, G. Langzeitstudie über behandelte FIP-verdächtige Katzen. Überlebensrate der FIP-verdächtigen Katzen nach Behandlung mit Ampicillin, Prednisolon und Cyclophosphamid. Tierarztl. Umsch. 1995, 50, 592. [Google Scholar]
- Colgrove, D.J.; Parker, A.J. Feline infectious peritonitis. J. Small Anim. Pract. 1971, 12, 225–232. [Google Scholar] [CrossRef]
- Ford, R.B. Biological response modifiers in the management of viral infection. Vet. Clin. N. Am. Small Anim. Pract. 1986, 16, 1191–1204. [Google Scholar] [CrossRef]
- Rodan, I.; Dowgray, N.; Carney, H.C.; Carozza, E.; Ellis, S.L.; Heath, S.; Niel, L.; St Denis, K.; Taylor, S. 2022 AAFP/ISFM Cat Friendly Veterinary Interaction Guidelines: Approach and Handling Techniques. J. Feline Med. Surg. 2022, 24, 1093–1132. [Google Scholar] [CrossRef]
- Taylor, S.; Chan, D.L.; Villaverde, C.; Ryan, L.; Peron, F.; Quimby, J.; O’Brien, C.; Chalhoub, S. 2022 ISFM Consensus Guidelines on Management of the Inappetent Hospitalised Cat. J. Feline Med. Surg. 2022, 24, 614–640. [Google Scholar] [CrossRef]
- Legendre, A.M.; Bartges, J.W. Effect of Polyprenyl Immunostimulant on the survival times of three cats with the dry form of feline infectious peritonitis. J. Feline Med. Surg. 2009, 11, 624–626. [Google Scholar] [CrossRef]
- Fischer, Y.; Ritz, S.; Weber, K.; Sauter-Louis, C.; Hartmann, K. Randomized, Placebo Controlled Study of the Effect of Propentofylline on Survival Time and Quality of Life of Cats with Feline Infectious Peritonitis. J. Vet. Intern. Med. 2011, 25, 1270–1276. [Google Scholar] [CrossRef]
- Doki, T.; Takano, T.; Kawagoe, K.; Kito, A.; Hohdatsu, T. Therapeutic effect of anti-feline TNF-alpha monoclonal antibody for feline infectious peritonitis. Res. Vet. Sci. 2016, 104, 17–23. [Google Scholar] [CrossRef] [PubMed]
- Watari, T.; Kaneshima, T.; Tsujimoto, H.; Ono, K.; Hasegawa, A. Effect of thromboxane synthetase inhibitor on feline infectious peritonitis in cats. J. Vet. Med. Sci. 1998, 60, 657–659. [Google Scholar] [CrossRef] [PubMed]
- Kuritz, T. Methods and Compositions for Modulation of Innate Immunity. US Patent US20090306017A1, 2008. [Google Scholar]
- Legendre, A.M.; Kuritz, T.; Heidel, R.E.; Baylor, V.M. Polyprenyl Immunostimulant in Feline Rhinotracheitis: Randomized Placebo-Controlled Experimental and Field Safety Studies. Front. Vet. Sci. 2017, 4, 24. [Google Scholar] [CrossRef] [PubMed]
- Tasker, S.; Dietrich, U. Feline uveitis. In Proceedings of the British Small Animal Association (BSAVA) Congress Proceedings 2022, Manchester, UK, 24–26 March 2022. [Google Scholar]
- Hartmann, K.; Ritz, S. Feline Infectious Peritonitis. In Clinical Case Veterinary Interferon Handbook; de Mari, K., Ed.; Virbac SA: Carros, France, 2008; pp. 147–152. [Google Scholar]
- Gerber, J.D. Overview of the Development of a Modified Live Temperature-Sensitive FIP Virus Vaccine. Feline Pract. 1995, 23, 62–66. [Google Scholar]
- Gerber, J.D.; Ingersoll, J.D.; Gast, A.M.; Christianson, K.K.; Selzer, N.L.; Landon, R.M.; Pfeiffer, N.E.; Sharpee, R.L.; Beckenhauer, W.H. Protection against feline infectious peritonitis by intranasal inoculation of a temperature-sensitive FIPV vaccine. Vaccine 1990, 8, 536–542. [Google Scholar] [CrossRef]
- Hoskins, J.D. The Potential Use of a Modified Live FIPV Vaccine to Prevent Experimental FECV Infection. Feline Pract. 1995, 23, 89–90. [Google Scholar]
- Hoskins, J.D. Independent Evaluation of a Modified Live Feline Infectious Peritonitis Virus Vaccine Under Experimental Conditions (Louisiana Experience). Feline Pract. 1995, 23, 72–73. [Google Scholar]
- McArdle, F.; Tennant, B.; Bennett, M.; Kelly, D.F.; Gaskell, C.J.; Gaskell, R.M. Independent Evaluation of a Modified Live FIPV Vaccine Under Experimental Conditions (University of Liverpool Experience). Feline Pract. 1995, 23, 67–71. [Google Scholar]
- Scott, F.W.; Corapi, W.V.; Olsen, C.W. Independent Evaluation of a Modified Live FIPV Vaccine Under Experimental Conditions (Cornell Experience). Feline Pract. 1995, 23, 74–76. [Google Scholar]
- Scott, F.W.; Olsen, C.W.; Corapi, W.V. Antibody-Dependent Enhancement of Feline Infectious Peritonitis Virus Infection. Feline Pract. 1995, 23, 77–80. [Google Scholar]
- Fehr, D.; Holznagel, E.; Bolla, S.; Hauser, B.; Herrewegh, A.A.P.M.; Horzinek, M.C.; Lutz, H. Evaluation of the Safety and Efficacy of a Modified-Live FIPV Vaccine under Field Conditions. Feline Pract. 1995, 23, 83–88. [Google Scholar]
- Fehr, D.; Holznagel, E.; Bolla, S.; Hauser, B.; Herrewegh, A.A.; Horzinek, M.C.; Lutz, H. Placebo-controlled evaluation of a modified life virus vaccine against feline infectious peritonitis: Safety and efficacy under field conditions. Vaccine 1997, 15, 1101–1109. [Google Scholar] [CrossRef]
- Postorino Reeves, N. Vaccination against naturally occurring FIP in a single large cat shelter. Feline Pract. 1995, 23, 81–82. [Google Scholar]
- Addie, D.; Houe, L.; Maitland, K.; Passantino, G.; Decaro, N. Effect of cat litters on feline coronavirus infection of cell culture and cats. J. Feline Med. Surg. 2020, 22, 350–357. [Google Scholar] [CrossRef]
- Pedersen, N.C. Fifty years’ fascination with FIP culminates in a promising new antiviral. J. Feline Med. Surg. 2019, 21, 269–270. [Google Scholar] [CrossRef]
- Hickman, M.A.; Morris, J.G.; Rogers, Q.R. Elimination of Feline Coronavirus Infection from a Large Experimental Specific Pathogen-Free Cat Breeding Colony by Serologic Testing and Isolation. Feline Pract. 1995, 23, 96–102. [Google Scholar]
- Pedersen, N.C.; Sato, R.; Foley, J.E.; Poland, A.M. Common virus infections in cats, before and after being placed in shelters, with emphasis on feline enteric coronavirus. J. Feline Med. Surg. 2004, 6, 83–88. [Google Scholar] [CrossRef] [PubMed]
- Addie, D.D.; Curran, S.; Bellini, F.; Crowe, B.; Sheehan, E.; Ukrainchuk, L.; Decaro, N. Oral Mutian(R)X stopped faecal feline coronavirus shedding by naturally infected cats. Res. Vet. Sci. 2020, 130, 222–229. [Google Scholar] [CrossRef] [PubMed]
- Strasfeld, L.; Chou, S. Antiviral drug resistance: Mechanisms and clinical implications. Infect. Dis. Clin. N. Am. 2010, 24, 809–833. [Google Scholar] [CrossRef]
- Cave, T.A.; Thompson, H.; Reid, S.W.; Hodgson, D.R.; Addie, D.D. Kitten mortality in the United Kingdom: A retrospective analysis of 274 histopathological examinations (1986 to 2000). Vet. Rec. 2002, 151, 497–501. [Google Scholar] [CrossRef]
- Bateson, P. Discontinuities in development and changes in the organisation of play in cats. In Behavioural Development; Immelmann, K., Barlow, G., Main, M., Petrinovich, L., Eds.; Cambridge University Press: New York, NY, USA, 1981. [Google Scholar]
- Guyot, G.W.; Cross, H.A.; Bennett, T.L. Early social isolation of the domestic cat: Responses to separation from social and nonsocial rearing stimuli. Dev. Psychobiol. 1980, 13, 309–315. [Google Scholar] [CrossRef] [PubMed]
- Philip, F.; Seitz, D. Infantile Experience and Adult Behavior in Animal Subjects. Psychosom. Med. 1959, 11, 435. [Google Scholar]
- Möstl, K.; Egberink, H.; Addie, D.; Frymus, T.; Boucraut-Baralon, C.; Truyen, U.; Hartmann, K.; Lutz, H.; Gruffydd-Jones, T.; Radford, A.D.; et al. Prevention of infectious diseases in cat shelters: ABCD guidelines. J. Feline Med. Surg. 2013, 15, 546–554. [Google Scholar] [CrossRef]
- Wagner, D.; Hurley, K.; Stavisky, J. Shelter housing for cats: Practical aspects of design and construction, and adaptation of existing accommodation. J. Feline Med. Surg. 2018, 20, 643–652. [Google Scholar] [CrossRef]
- Wagner, D.; Hurley, K.; Stavisky, J. Shelter housing for cats: Principles of design for health, welfare and rehoming. J. Feline Med. Surg. 2018, 20, 635–642. [Google Scholar] [CrossRef]
- Möstl, K.; Addie, D.D.; Boucraut-Baralon, C.; Egberink, H.; Frymus, T.; Gruffydd-Jones, T.; Hartmann, K.; Hosie, M.J.; Lloret, A.; Lutz, H.; et al. Something old, something new: Update of the 2009 and 2013 ABCD guidelines on prevention and management of feline infectious diseases. J. Feline Med. Surg. 2015, 17, 570–582. [Google Scholar] [CrossRef] [PubMed]
- Möstl, K.; Addie, D.D.; Belak, S.; Boucraut-Baralon, C.; Egberink, H.; Frymus, T.; Hartmann, K.; Hofmann-Lehmann, R.; Frymus, T.; Lloret, A.; et al. Infectious Diseases in Shelter Situations and Their Management. 2021. Available online: http://www.abcdcatsvets.org/infectious-diseases-in-shelter-situations-and-their-management/ (accessed on 22 May 2022).
- Cotter, S.M.; Gilmore, C.E.; Rollins, C. Multiple cases of feline leukemia and feline infectious peritonitis in a household. J. Am. Vet. Med. Assoc. 1973, 162, 1054–1058. [Google Scholar] [PubMed]
- Tasker, S.; Addie, D.; Egberink, H.; Hartmann, K.; Hofmann-Lehmann, R.; Hosie, M.J.; Truyen, U.; Belak, S.; Boucraut-Baralon, C.; Frymus, T.; et al. ABCD Guidelines Feline Infectious Peritonitis. 2023. Available online: http://www.abcdcatsvets.org/feline-infectious-peritonitis/ (accessed on 23 March 2023).






























| Country | Method Used for Prevalence Determination * | Number of Cats | Prevalence | Year of Study [Reference] |
|---|---|---|---|---|
| Australia | Antibodies | 49 feral cats 306 owned cats | 0% 34% | 2006 [144] |
| Australia | FCoV RNA in faeces | 289 cats with diarrhoea including: 80 shelter cats with diarrhoea | 40% 54% | 2019 [151] |
| Austria | Antibodies | 159 cats without FIP | 71% | 2001 [152] |
| Croatia | Antibodies | 106 pet cats | 42% | 2021 [153] |
| Czech Republic | FCoV RNA in faeces | 70 shelter cats | 63% | 2022 [129] |
| Falkland Islands | Antibodies | 10 feral cats 95 pet cats | 0% 0% | 2012 [140] |
| France | FCoV RNA in faeces | 88 healthy cats | 17% | 2013 [63] |
| Galapagos Islands | Antibodies | 34 pet and 18 feral cats | 0% | 2008 [139] |
| Germany | FCoV RNA in faeces | 82 cats from 19 breeding catteries | 71% | 2020 [135] |
| Germany | Antibodies | 82 cats from 19 breeding catteries | 78% | 2020 [135] |
| Germany | FCoV RNA in faeces | 179 cats from 37 breeding catteries | 77% † | 2020 [123] |
| Germany | FCoV RNA in faeces | 12 cats in contact with FIP cats 18 cats with FIP | 66% 33% ‡ | 2022 [94] |
| Germany | FCoV RNA in faeces | All pedigree breeding catteries: 211 cats without diarrhoea 23 cats with diarrhoea 234 total cats | 59% 87% 62% | 2022 [154] |
| Greece | Antibodies ¥ | 267 client-owned cats 156 stray cats 21 cattery cats | 10% 15% 19% | 2023 [148] |
| Iran | Antibodies | 248 pet cats presenting to a referral hospital | 7% | 2012 [155] |
| Israel | Antibodies | 68 feral cats 54 shelter cats 33 pet cats | 60% 83% 21% | 1999 [156] |
| Italy | Antibodies | 24 healthy pet cats 11 FCoV exposed cats 32 cats with FIP | 25% 36% 91% | 2004 [157] |
| Italy | Antibodies | 120 cattery or shelter cats | 82% | 2008 [158] |
| Italy | Antibodies | 81 stray colony cats 60 shelter cats 77 owned cats | 19% 30% 51% | 2022 [147] |
| Japan | Antibodies | 2815 pedigree cats 14,577 non-pedigree domestic shorthair cats | 67% 31% | 2012 [146] |
| Republic of Korea | Antibodies | 212 (107 pet and 105 feral cats), both sick and healthy in nature | 14% | 2011 [70] |
| Republic of Korea | FCoV RNA in faeces | 212 (107 pet and 105 feral cats, both sick and healthy in nature) | 7% | 2011 [70] |
| Malaysia | Antibodies | 24 cats in 4 breeding catteries | 100% | 2004 [141] |
| Malaysia | FCoV RNA in faeces | 24 cats in a Persian cattery 20 cats in a rescue cattery | 96% 70% | 2009 [141] |
| The Netherlands | Antibodies | 21 FIP cases 45 in-contact cats 69 cats presented for Non-FIP conditions 109 specific pathogen-free cats | 100% 91% 16% 0% | 1977 [159] |
| The Netherlands | FCoV RNA in faeces | 17 FIP cats 170 apparently healthy | 35% 16% | 2010 [112] |
| Sweden | Antibodies | 142 non-pedigree domestic cats 64 pedigree cats | 17% 65% | 2006 [160] |
| Taiwan | Antibodies | 760 healthy cats 73 cats with FIP | 28% 100% | 2014 [66] |
| Turkey | Antibodies | 100 healthy cats comprising 79 pet and 21 shelter cats | 21% | 2009 [161] |
| Turkey | Antibodies | 169 ill cats | 37% | 2015 [162] |
| UK | Antibodies | 136 of 155 pet cats | 88% | 2001 [5] |
| UK | FCoV RNA in faeces | 136 cats from 20 multi-cat and 9 single-cat households known to have endemic FCoV | Viral RNA detected in 97% cats at least once | 2001 [5] |
| UK | Antibodies | 2207 cats in rescue shelters including: 1173 that were tested within 5 days of admission to the shelter | 26% 24% | 2004 [143] |
| UK | Antibodies | 131 pedigree cats at cat shows | 84% | 1992 [163] |
| UK | Antibodies | 516 stray cats | 22% | 2002 [164] |
| UK | FCoV RNA in faeces | 48 cats with FIP 35 cats without FIP | 65% 20% | 2017 [106] |
| UK | FCoV RNA in faeces | 1088 cats with diarrhoea 437 pedigree cats 631 domestic cats | 57% 79% 42% | 2014 [165] |
| UK | FCoV RNA in faeces | 16 cats with FIP 10 cats without FIP | 81% 60% | 2014 [107] |
| UK | FCoV RNA in faeces | 8 cats with FIP 3 cats without FIP | 100% 33% | 1996 [166] |
| USA | FCoV RNA in faeces | 50 healthy shelter cats | 56% | 2018 [83] |
| Total Serum Bilirubin (µmol/L) | Number of Surviving Cats over Total Number in Category | Survival % |
|---|---|---|
| ≤8.6 | 28/29 | 97 |
| >8.6–17.1 | 24/27 | 89 |
| >17.1–34.2 | 15/20 | 75 |
| >34.2–68.4 | 9/18 | 50 |
| >68.4 | 1/7 | 14 |
| FIP Presentation | Induction Dosage of Remdesivir | Maintenance Dosage of Remdesivir |
|---|---|---|
| Effusive | 10 mg/kg q 24 h IV or SC for 4 days | 8–10 mg/kg q 24 h SC to 84 days |
| Non-effusive | 15 mg/kg q 24 h IV or SC for 4 days | 10–12 mg/kg q 24 h SC to 84 days |
| Neurological and/or ocular signs present | 15 mg/kg q 24 h IV or SC for 4 days | 12–15 mg/kg q 24 h SC to 84 days |
| Drug | Comments | ABCD Recommendation in FIP |
|---|---|---|
| Meloxicam | Meloxicam, a NSAID licensed for use in cats, was associated with long-term survival in one cat [224], and in three cats in which it was used alongside rfIFN-ω [43]. | Worthy of further studies. In some countries metamizole used in place of NSAIDs. Do not use in dehydration or hypotension and care in renal disease or anorexic cats. Was associated with worsening acute kidney injury in one cat with FIP [45]. |
| Gabapentin | Anxiolytic/analgesic/sedative which can help if SC injections (e.g., remdesivir) are needed (when oral GS-441524 cannot be given) that cause pain. Not licensed. | No prospective studies in cats with FIP but has been used successfully [17,332]. Adverse effects can include sedation and ataxia. Typically give 50 or 100 mgs (can be up to 200 mg if required but start at low dose initially) per cat PO [408] around two hours before SC injection. |
| Mirtazapine | Appetite stimulant/anti-nausea. For prevention and treatment of vomiting and nausea and as appetite stimulant; can be given as a trial if nausea suspected. | No published studies in cats with FIP. Has been used in anorexic cats before and during treatment [43,45]. Please note that efficacious antiviral treatment e.g., GS-441524 usually causes a rapid return of appetite. Given at 2 mg/cat PO or as transdermal q 24 h (q 48 h if renal/hepatic involvement of FIP) [409]. |
| Maropitant | For prevention and treatment of vomiting and nausea. SC injection can be painful. | No published evaluation studies in cats with FIP, although used as supportive treatment [24,45]; use if indicated. Dosage is 1 mg/kg SC, IV or PO q 24 h [409]. |
| Metoclopramide | Prevention and treatment of nausea and vomiting, and management of ileus and delayed gastric emptying. | No published evaluation studies in cats with FIP but use if indicated. Dosage 0.25–0.5 mg/kg IV, IM, SC or PO q 8h or 1–2 mg/kg IV over 24 h as a CRI; CRI can be more effective than bolus dosing [409]. |
| Ondansetron | For prevention and treatment of vomiting and nausea refractory to other agents such as maropitant, mirtazapine and metoclopramide. Expensive. Injectable or oral formulations available. | No published evaluation studies in cats with FIP, although used as supportive treatment [45]; use if indicated. Dosage is 0.1–1 mg/kg IV (slowly), IM, SC, or PO q 6–12 h [409]. |
| Hepatoprotectants such as S-Adenosylmethionine (SAMe) | Various preparations exist. Sometimes used during antiviral (especially GS-441524) treatment of FIP if hepatocellular enzymes (ALT) become elevated, or when these are normal by some [43], as protection against hepatic damage; however, ALT normalisation usually occurs rapidly during, or following cessation, of antiviral treatment without the use of hepatoprotectants, so their need is not proven. | No published evaluation studies in FIP but has been used during treatment [24,43] without problems. This is an option if clinical concerns exist regarding hepatotoxicity. Might not be needed |
| Prednisolone/ dexamethasone | Acts as anti-inflammatory or immunosuppressant depending on dosage used. No controlled studies available. Median survival time of FIP cats treated with prednisolone was only eight days [37]. Does not cure FIP. Cats treated with systemic glucocorticoids along with polyprenyl immunostimulant (PI) had a shorter survival than those treated with PI alone [330]. | Not recommended although can be used as palliative treatment and topical glucocorticoid treatment can be used for the treatment of ocular FIP with uveitis if needed. Suggested that glucocorticoid treatment is associated with a poorer FIP outcome when used concurrently with other treatments (e.g., such as rfIFN-ω [43], polyprenyl immunostimulant [330]). |
| Polyprenyl immunostimulant (PI) | Shows promise in the treatment of FIP without effusions, especially in cats with haematocrit and/or A:G ratios that are normal or that increase with treatment [212]. Takes a long time for response; reported normalisation times are ~182 days for haematocrit and ~375 days for the A:G ratio [212]. Reversal of lymphopenia with treatment [212]. | Do not use with systemic glucocorticoids [330] but topical glucocorticoid treatment can be used with PI in ocular FIP uveitis [330]. Dosage 3 mg/kg PO three times a week or q 48 h [43,212,330,410]. Some cats are changed to a maintenance dosage of 3 mg/kg PO once or twice a week after one year of treatment [212]. |
| Pentoxyfylline/ propentofylline | Aim at treating vasculitis. One placebo-controlled double-blind study on propentofylline showed no efficacy (but all cats were also given glucocorticoids) [411] | Controlled field studies without glucocorticoids required. |
| Anti-TNF-α antibody | Blocks TNF-α that is involved in exacerbating clinical signs of FIP [186,187,188]. Some efficacy in a placebo-controlled study including a few cats (three treated, three placebo) with experimentally induced FIP [412]. Used in an uncontrolled very small study of cats with experimentally induced FIP alongside itraconazole treatment [190] in which two of three cats with FIP improved. | Controlled field studies required. |
| Azathioprine | Aims to immunosuppress (and to lower the prednisolone/dexamethasone dose). No published studies available. | Not recommended due to toxicity in cats. |
| Chlorambucil | Aims to immunosuppress (and to lower the prednisolone/dexamethasone dose). No published studies. | Not recommended. |
| Cyclophosphamide | Aims to immunosuppress (and to lower the prednisolone/ dexamethasone dose). No published studies. | Not recommended. |
| Ozagrel hydrochloride | Inhibits thromboxane synthesis leading to reduced platelet aggregation and cytokine release. Used in two cats with some improvement of clinical signs [413] but unsuccessful in other cases [387]. | Not recommended. |
Disclaimer/Publisher’s Note: The statements, opinions and data contained in all publications are solely those of the individual author(s) and contributor(s) and not of MDPI and/or the editor(s). MDPI and/or the editor(s) disclaim responsibility for any injury to people or property resulting from any ideas, methods, instructions or products referred to in the content. |
© 2023 by the authors. Licensee MDPI, Basel, Switzerland. This article is an open access article distributed under the terms and conditions of the Creative Commons Attribution (CC BY) license (https://creativecommons.org/licenses/by/4.0/).
Share and Cite
Tasker, S.; Addie, D.D.; Egberink, H.; Hofmann-Lehmann, R.; Hosie, M.J.; Truyen, U.; Belák, S.; Boucraut-Baralon, C.; Frymus, T.; Lloret, A.; et al. Feline Infectious Peritonitis: European Advisory Board on Cat Diseases Guidelines. Viruses 2023, 15, 1847. https://doi.org/10.3390/v15091847
Tasker S, Addie DD, Egberink H, Hofmann-Lehmann R, Hosie MJ, Truyen U, Belák S, Boucraut-Baralon C, Frymus T, Lloret A, et al. Feline Infectious Peritonitis: European Advisory Board on Cat Diseases Guidelines. Viruses. 2023; 15(9):1847. https://doi.org/10.3390/v15091847
Chicago/Turabian StyleTasker, Séverine, Diane D. Addie, Herman Egberink, Regina Hofmann-Lehmann, Margaret J. Hosie, Uwe Truyen, Sándor Belák, Corine Boucraut-Baralon, Tadeusz Frymus, Albert Lloret, and et al. 2023. "Feline Infectious Peritonitis: European Advisory Board on Cat Diseases Guidelines" Viruses 15, no. 9: 1847. https://doi.org/10.3390/v15091847
APA StyleTasker, S., Addie, D. D., Egberink, H., Hofmann-Lehmann, R., Hosie, M. J., Truyen, U., Belák, S., Boucraut-Baralon, C., Frymus, T., Lloret, A., Marsilio, F., Pennisi, M. G., Thiry, E., Möstl, K., & Hartmann, K. (2023). Feline Infectious Peritonitis: European Advisory Board on Cat Diseases Guidelines. Viruses, 15(9), 1847. https://doi.org/10.3390/v15091847

