Prolonged SARS-CoV-2 Infection and Organizing Pneumonia in a Patient with Follicular Lymphoma, Treated with Obinutuzumab—Challenging Recognition and Treatment
Abstract
1. Introduction
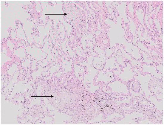
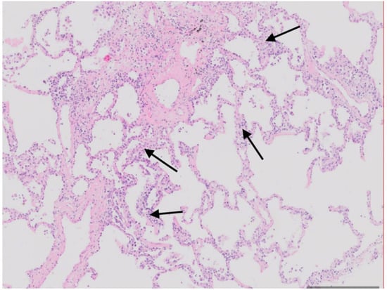
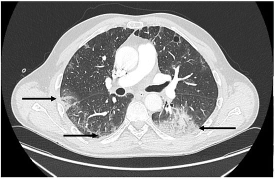
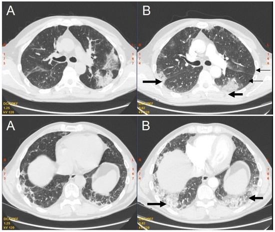
2. Case Report
3. Discussion
4. Conclusions
Author Contributions
Funding
Institutional Review Board Statement
Informed Consent Statement
Data Availability Statement
Conflicts of Interest
References
- Freeman, C.L.; Sehn, L.H. A tale of two antibodies: Obinutuzumab versus rituximab. Br. J. Haematol. 2018, 182, 29–45. [Google Scholar] [CrossRef] [PubMed]
- Stanojevic, S.; Kaminsky, D.A.; Miller, M.R.; Thompson, B.; Aliverti, A.; Barjaktarevic, I.; Cooper, B.G.; Culver, B.; Derom, E.; Hall, G.L.; et al. ERS/ATS technical standard on interpretive strategies for routine lung function tests. Eur. Respir. J. 2022, 60, 2101499. [Google Scholar] [CrossRef] [PubMed]
- Baang, J.H.; Smith, C.; Mirabelli, C.; Valesano, A.L.; Manthei, D.M.; Bachman, M.A.; Wobus, C.E.; Adams, M.; Washer, L.; Martin, E.T.; et al. Prolonged Severe Acute Respiratory Syndrome Coronavirus 2 Replication in an Immunocompromised Patient. J. Infect. Dis. 2021, 223, 23–27. [Google Scholar] [CrossRef] [PubMed]
- Ertesvåg, N.U.; Sakkestad, S.T.; Zhou, F.; Hoff, I.; Kristiansen, T.; Jonassen, T.M.; Follesø, E.; Brokstad, K.A.; Dyrhovden, R.; Mohn, K.G.-I. Persistent Fever and Positive PCR 90 Days Post-SARS-CoV-2 Infection in a Rituximab-Treated Patient: A Case of Late Antiviral Treatment. Viruses 2022, 14, 1757. [Google Scholar] [CrossRef] [PubMed]
- Kos, I.; Balensiefer, B.; Roth, S.; Ahlgrimm, M.; Sester, M.; Schmidt, T.; Thurner, L.; Bewarder, M.; Bals, R.; Lammert, F.; et al. Prolonged Course of COVID-19-Associated Pneumonia in a B-Cell Depleted Patient After Rituximab. Front. Oncol. 2020, 10, 1578. [Google Scholar] [CrossRef] [PubMed]
- Martínez-Barranco, P.; García-Roa, M.; Trelles-Martínez, R.; Arribalzaga, K.; Velasco, M.; Guijarro, C.; Marcos, J.; Campelo, C.; Acedo-Sanz, J.M.; Villalón, L.; et al. Management of Persistent SARS-CoV-2 Infection in Patients with Follicular Lymphoma. Acta Haematol. 2022, 145, 384–393. [Google Scholar] [CrossRef] [PubMed]
- Ueda, Y.; Asakura, S.; Wada, S.; Saito, T.; Yano, T. Prolonged COVID-19 in an Immunocompromised Patient Treated with Obinutuzumab and Bendamustine for Follicular Lymphoma. Intern. Med. 2022, 61, 2523–2526. [Google Scholar] [CrossRef] [PubMed]
- Wee, L.E.; Tan, J.Y.; Ko, K.K.-K.; Wan, W.Y.; Lai, D.C.M.; Oon, L.L.E.; Tan-Garcia, A.; Yeong, J.P.S.; Pena, A.M.T.; Lim, T.K.H.; et al. Detection of viable SARS-CoV-2 in deep respiratory specimens despite negative nasopharyngeal SARS-CoV-2 RT-PCR: Occult COVID-19 as an unsuspected cause of pulmonary infiltrates in immunocompromised patients. IDCases 2022, 30, e01611. [Google Scholar] [CrossRef] [PubMed]
- Yasuda, H.; Mori, Y.; Chiba, A.; Bai, J.; Murayama, G.; Matsushita, Y.; Miyake, S.; Komatsu, N. Resolution of One-Year Persisting COVID-19 Pneumonia and Development of Immune Thrombocytopenia in a Follicular Lymphoma Patient with Preceding Rituximab Maintenance Therapy: A follow-up Report and Literature Review of Cases With Prolonged Infections. Clin. Lymphoma Myeloma Leuk. 2021, 21, e810–e816. [Google Scholar] [CrossRef] [PubMed]
- Burgener, S.; Rochat, P.; Dollenmaier, G.; Benz, G.; Kistler, A.D.; Fulchini, R. Progression of COVID-19 in a Patient on Anti-CD20 Antibody Treatment: Case Report and Literature Review. Case Rep. Infect. Dis. 2022, 2022, 8712424. [Google Scholar] [CrossRef] [PubMed]
- Bigman-Peer, N.; Peer, E.; Pertzov, B.; Kramer, M.; Segal, G.; Eliakim-Raz, N. A Biphasic COVID-19 Clinical Course in Anti-CD20 Treated Patients: Case Series and Review of the Literature. Eur. J. Case Rep. Intern. Med. 2022, 9, 003502. [Google Scholar] [CrossRef] [PubMed]
- Seki, M.; Hashimoto, K.; Kondo, N.; Ohya, Y.; Kotajima, F.; Mitsutake, K. Sequential Treatment by Antiviral Drugs Followed by Immunosuppressive Agents for COVID-19 Patients with Hematological Malignancy. IDR 2022, 15, 7117–7124. [Google Scholar] [CrossRef] [PubMed]
- Shimizu, T.; Shirasaki, H.; Okafuji, K.; Sawazaki, A.; Iwabuchi, T.; Matubayashi, R. A case of prolonged COVID-19 treated with tixagevimab/cilgavimab. Respirol. Case Rep. 2023, 11, e01099. [Google Scholar] [CrossRef] [PubMed]
- Papanikolopoulou, A.; Thimis, V.; Antonogiannaki, E.; Rapti, V.; Tsiakos, K.; Krallis, G.; Ntouraki, S.; Kokkotis, G.; Panagiotou, E.; Sakka, V.; et al. Prolonged SARS-CoV-2 Infection with Common Features in Two Patients Receiving Anti-CD20 Therapy. In Vivo 2023, 37, 461–467. [Google Scholar] [CrossRef] [PubMed]
- Sepulcri, C.; Dentone, C.; Mikulska, M.; Bruzzone, B.; Lai, A.; Fenoglio, D.; Bozzano, F.; Bergna, A.; Parodi, A.; Altosole, T.; et al. The Longest Persistence of Viable SARS-CoV-2 With Recurrence of Viremia and Relapsing Symptomatic COVID-19 in an Immunocompromised Patient-A Case Study. Open Forum Infect. Dis. 2021, 8, ofab217. [Google Scholar] [CrossRef] [PubMed]
- Shafat, T.; Grupel, D.; Porges, T.; Levi, I.; Yagel, Y.; Nesher, L. Treatment with obinutuzumab leads to worse outcomes in haematological patients diagnosed with Omicron variant COVID-19. Br. J. Haematol. 2022, 198, 826–829. [Google Scholar] [CrossRef]
- Furlan, A.; Forner, G.; Cipriani, L.; Vian, E.; Rigoli, R.; Gherlinzoni, F.; Scotton, P. COVID-19 in B Cell-Depleted Patients After Rituximab: A Diagnostic and Therapeutic Challenge. Front. Immunol. 2021, 12, 763412. [Google Scholar] [CrossRef]
- Gaitzsch, E.; Passerini, V.; Khatamzas, E.; Strobl, C.D.; Muenchhoff, M.; Scherer, C.; Osterman, A.; Heide, M.; Reischer, A.; Subklewe, M.; et al. COVID-19 in Patients Receiving CD20-depleting Immunochemotherapy for B-cell Lymphoma. Hemasphere 2021, 5, e603. [Google Scholar] [CrossRef]
- WHO Recommendation. Available online: https://app.magicapp.org/#/guideline/nBkO1E/section/nJB6MR (accessed on 15 December 2022).
- Santenna, C.; Vidyasagar, K.; Amarneni, K.C.; Ghanta, S.N.; Sadasivam, B.; Pathan, S.; Padmavathi, R. The safety, tolerability and mortality reduction efficacy of remdesivir; based on randomized clinical trials, observational and case studies reported safety outcomes: An updated systematic review and meta-analysis. Ther. Adv. Drug Saf. 2021, 12, 20420986211042516. [Google Scholar] [CrossRef] [PubMed]
- Onishi, A.; Matsumura-Kimoto, Y.; Mizutani, S.; Tsukamoto, T.; Fujino, T.; Miyashita, A.; Nishiyama, D.; Shimura, K.; Kaneko, H.; Kawata, E.; et al. Impact of Treatment with Anti-CD20 Monoclonal Antibody on the Production of Neutralizing Antibody Against Anti–SARS-CoV-2 Vaccination in Mature B-Cell Neoplasms. IDR 2023, 16, 509–519. [Google Scholar] [CrossRef]




| Material | Test | Result: |
|---|---|---|
| Sputum | ||
| Microbiological culture | Negative | |
| Mycobacterium tuberculosis complex DNA, acid-fast bacteria (AFB) smears, and cultures | Negative | |
| Pneumocystis jiroveci oocysts and DNA | Negative | |
| NPS | ||
| The genetic material of 21 respiratory pathogens: Adenovirus: Coronavirus: HKU1, 229E, NL63, OC43; Middle East Respiratory Syndrome Coronavirus (MERS-CoV), Metapneumovirus; RSV; influenza type A subtype AH1, AH1 2009, AH3; influenza type B; parainfluenza type 1,2,3,4; Rhinovirus/Enterovirus; Bordetella pertussis; Bordetella parapertussis, Chlamydia pneumoniae, Mycoplasma pneumoniae | Negative | |
| Blood | ||
| Aspergillus fumigatus galactomannan | Negative | |
| Aspergillus fumigatus IgG | Negative | |
| Cytomegalovirus (CMV) antigen pp65 | Negative | |
| Human immunodeficiency virus (HIV) antibodies and antigen p24 | Negative | |
| Microbiological cultures | Negative | |
| Urine | ||
| Microbiological cultures | Negative | |
| Bronchoalveolar lavage fluid | ||
| Microbiological culture | Negative | |
| Mycobacterium tuberculosis complex DNA, AFB smears, and cultures | Negative | |
| Pneumocystis jiroveci oocysts and DNA | Negative |
| Parameter | Result | Z-Score |
|---|---|---|
| FEV1%FVC [%] | 81, 41 | 0.52 |
| FEV1 [L; %] | 3.06; 71 | −2.09 |
| FVC [L; %] | 3.77; 68 | −2.36 |
| TLC [L; %] | 5.98; 77 | −2.58 |
| TL, Coc Single Breath [%] | 60 | −3.21 |
| Hospitalisation | Day of Disease | Test Result | Symptoms | Suspected Diagnosis | Treatment |
|---|---|---|---|---|---|
| I | 50 | NPS antigen and PCR negative | Fever, cough, dyspnoea | Drug-related organizing pneumonia | Glucocorticosteroids |
| II | 94 | NPS antigen negative | Fever | Drug-related organizing pneumonia | Glucocorticosteroids’ dose increased |
| 103 | NPS antigen positive | Fever | SARS-CoV-2 infection | 5-day remdesivir therapy | |
| III | 123 | NPS antigen positive | Fever, dyspnoea | SARS-Cov-2 relapse | Observation |
| 131 | NPS antigen negative | Fever | Organizing pneumonia | Glucocorticosteroids’ dose increased | |
| 143 | NPS antigen positive | Fever | Ongoing SARS-CoV-2 infection and related to it organizing pneumonia | 10-day remdesivir and 1-day casirivimab with imdevimab therapy | |
| IV | 179 | NPS antigen and PCR negative | Fever | Ongoing SARS-CoV-2 infection and related to it organizing pneumonia | 1-day casirivimab with imdevimab therapy and next 10-day remdesivir therapy and next intravenous immunoglobulins |
| 187 | BALF PCR positive | Fever |
Disclaimer/Publisher’s Note: The statements, opinions and data contained in all publications are solely those of the individual author(s) and contributor(s) and not of MDPI and/or the editor(s). MDPI and/or the editor(s) disclaim responsibility for any injury to people or property resulting from any ideas, methods, instructions or products referred to in the content. |
© 2023 by the authors. Licensee MDPI, Basel, Switzerland. This article is an open access article distributed under the terms and conditions of the Creative Commons Attribution (CC BY) license (https://creativecommons.org/licenses/by/4.0/).
Share and Cite
Łyżwa, E.; Sobiecka, M.; Lewandowska, K.; Siemion-Szcześniak, I.; Barańska, I.; Klatt, M.; Langfort, R.; Szturmowicz, M.; Tomkowski, W. Prolonged SARS-CoV-2 Infection and Organizing Pneumonia in a Patient with Follicular Lymphoma, Treated with Obinutuzumab—Challenging Recognition and Treatment. Viruses 2023, 15, 693. https://doi.org/10.3390/v15030693
Łyżwa E, Sobiecka M, Lewandowska K, Siemion-Szcześniak I, Barańska I, Klatt M, Langfort R, Szturmowicz M, Tomkowski W. Prolonged SARS-CoV-2 Infection and Organizing Pneumonia in a Patient with Follicular Lymphoma, Treated with Obinutuzumab—Challenging Recognition and Treatment. Viruses. 2023; 15(3):693. https://doi.org/10.3390/v15030693
Chicago/Turabian StyleŁyżwa, E., M. Sobiecka, K. Lewandowska, I. Siemion-Szcześniak, I. Barańska, M. Klatt, R. Langfort, M. Szturmowicz, and W. Tomkowski. 2023. "Prolonged SARS-CoV-2 Infection and Organizing Pneumonia in a Patient with Follicular Lymphoma, Treated with Obinutuzumab—Challenging Recognition and Treatment" Viruses 15, no. 3: 693. https://doi.org/10.3390/v15030693
APA StyleŁyżwa, E., Sobiecka, M., Lewandowska, K., Siemion-Szcześniak, I., Barańska, I., Klatt, M., Langfort, R., Szturmowicz, M., & Tomkowski, W. (2023). Prolonged SARS-CoV-2 Infection and Organizing Pneumonia in a Patient with Follicular Lymphoma, Treated with Obinutuzumab—Challenging Recognition and Treatment. Viruses, 15(3), 693. https://doi.org/10.3390/v15030693

