New p35 (H3L) Epitope Involved in Vaccinia Virus Neutralization and Its Deimmunization
Abstract
1. Introduction
2. Materials and Methods
2.1. Cells, Sera, and Viruses
2.2. Production of Recombinant VACV p35 Proteins
2.3. Mice Immunization
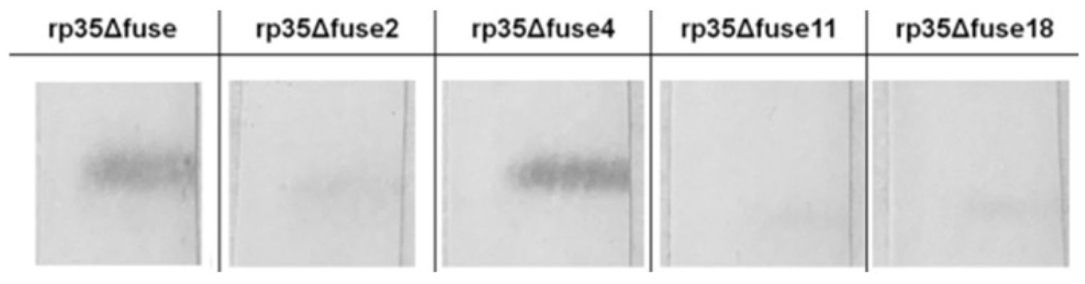
2.4. Western Blot Analysis
2.5. Enzyme-Linked Immunosorbent Assay (ELISA)
2.6. Antibody Depletion
2.7. Plaque-Reduction Neutralization Test (PRNT)
2.8. Random Mutagenesis of rp35Δfuse
2.9. Statistical Analyses
3. Results
3.1. Characterization of Recombinant p35 Antigens
3.2. Mice Immunization with Recombinant VACV p35 Proteins
3.3. Depletion Analysis
3.4. rp35Δfuse Random Mutagenesis
4. Discussion
Author Contributions
Funding
Institutional Review Board Statement
Informed Consent Statement
Data Availability Statement
Acknowledgments
Conflicts of Interest
References
- Moss, B. Poxviridae. In Fields Virology, 6th ed.; Knipe, D.M., Howley, P.M., Eds.; Lippincott Williams & Wilkins: Philadelphia, PA, USA, 2013; pp. 2129–2159. [Google Scholar]
- Reynolds, M.G.; Guagliardo, S.A.J.; Nakazawa, Y.J.; Doty, J.B.; Mauldin, M.R. Understanding Orthopoxvirus Host Range and Evolution: From the Enigmatic to the Usual Suspects. Curr. Opin. Virol. 2018, 28, 108–115. [Google Scholar] [CrossRef] [PubMed]
- Jezek, Z.; Marennikova, S.S.; Mutumbo, M.; Nakano, J.H.; Paluku, K.M.; Szczeniowski, M. Human Monkeypox: A Study of 2510 Contacts of 214 Patients. J. Infect. Dis. 1986, 154, 551–555. [Google Scholar] [CrossRef] [PubMed]
- MacNeil, A.; Reynolds, M.G.; Carroll, D.S.; Karem, K.; Braden, Z.; Lash, R.; Moundeli, A.; Mombouli, J.-V.; Jumaan, A.O.; Schmid, D.S.; et al. Monkeypox or Varicella? Lessons from a Rash Outbreak Investigation in the Republic of the Congo. Am. J. Trop. Med. Hyg. 2009, 80, 503–507. [Google Scholar] [CrossRef] [PubMed]
- Smith, K.A. Smallpox: Can We Still Learn from the Journey to Eradication? Indian J. Med. Res. 2013, 137, 895–899. [Google Scholar]
- McCollum, A.M.; Damon, I.K. Human Monkeypox. Clin. Infect. Dis. 2014, 58, 260–267. [Google Scholar] [CrossRef]
- Nakazawa, Y.; Mauldin, M.R.; Emerson, G.L.; Reynolds, M.G.; Ryan Lash, R.; Gao, J.; Zhao, H.; Li, Y.; Muyembe, J.-J.; Kingebeni, P.M.; et al. A Phylogeographic Investigation of African Monkeypox. Viruses 2015, 7, 2168–2184. [Google Scholar] [CrossRef]
- Di Giulio, D.B.; Eckburg, P.B. Human Monkeypox: An Emerging Zoonosis. Lancet Infect. Dis. 2004, 4, 15–25. [Google Scholar] [CrossRef]
- Rimoin, A.W.; Mulembakani, P.M.; Johnston, S.C.; Lloyd Smith, J.O.; Kisalu, N.K.; Kinkela, T.L.; Blumberg, S.; Thomassen, H.A.; Pike, B.L.; Fair, J.N.; et al. Major Increase in Human Monkeypox Incidence 30 Years after Smallpox Vaccination Campaigns Cease in the Democratic Republic of Congo. Proc. Natl. Acad. Sci. USA 2010, 107, 16262–16267. [Google Scholar] [CrossRef]
- Reynolds, M.G.; Emerson, G.L.; Pukuta, E.; Karhemere, S.; Muyembe, J.J.; Bikindou, A.; McCollum, A.M.; Moses, C.; Wilkins, K.; Zhao, H.; et al. Detection of Human Monkeypox in the Republic of the Congo Following Intensive Community Education. Am. J. Trop. Med. Hyg. 2013, 88, 982–985. [Google Scholar] [CrossRef]
- Campe, H.; Zimmermann, P.; Glos, K.; Bayer, M.; Bergemann, H.; Dreweck, C.; Graf, P.; Weber, B.K.; Meyer, H.; Büttner, M.; et al. Cowpox Virus Transmission from Pet Rats to Humans, Germany. Emerg. Infect. Dis. 2009, 15, 777–780. [Google Scholar] [CrossRef]
- Carletti, F.; Bordi, L.; Castilletti, C.; Di Caro, A.; Falasca, L.; Gioia, C.; Ippolito, G.; Zaniratti, S.; Beltrame, A.; Viale, P.; et al. Cat-to-Human Orthopoxvirus Transmission, Northeastern Italy. Emerg. Infect. Dis. 2009, 15, 499–500. [Google Scholar] [CrossRef] [PubMed]
- Ducournau, C.; Ferrier-Rembert, A.; Ferraris, O.; Joffre, A.; Favier, A.L.; Flusin, O.; Van Cauteren, D.; Kecir, K.; Auburtin, B.; Védy, S.; et al. Concomitant Human Infections with 2 Cowpox Virus Strains in Related Cases, France, 2011. Emerg. Infect. Dis. 2013, 12, 1996–1999. [Google Scholar] [CrossRef] [PubMed]
- Gao, J.; Gigante, C.; Khmaladze, E.; Liu, P.; Tang, S.; Wilkins, K.; Zhao, K.; Davidson, W.; Nakazawa, Y.; Maghlakelidze, G.; et al. Genome Sequences of Akhmeta Virus, an Early Divergent Old World Orthopoxvirus. Viruses 2018, 10, 252. [Google Scholar] [CrossRef] [PubMed]
- Hobi, S.; Mueller, R.S.; Hill, M.; Nitsche, A.; Löscher, T.; Guggemos, W.; Ständer, S.; Rjosk-Dendorfer, D.; Wollenberg, A. Neurogenic Inflammation and Colliquative Lymphadenitis with Persistent Orthopox Virus Dna Detection in a Human Case of Cowpox Virus Infection Transmitted by a Domestic Cat. Br. J. Dermatol. 2015, 173, 535–539. [Google Scholar] [CrossRef]
- Kinnunen, P.M.; Holopainen, J.M.; Hemmilä, H.; Piiparinen, H.; Sironen, T.; Kivelä, T.; Virtanen, J.; Niemimaa, J.; Nikkari, S.; Järvinen, A.; et al. Severe Ocular Cowpox in a Human, Finland. Emerg. Infect. Dis. 2015, 21, 2261–2263. [Google Scholar] [CrossRef]
- Ninove, L.; Domart, Y.; Vervel, C.; Voinot, C.; Salez, N.; Raoult, D.; Meyer, H.; Capek, I.; Zandotti, C.; Charrel, R.N. Cowpox Virus Transmission from Pet Rats to Humans, France. Emerg. Infect. Dis. 2009, 15, 781–784. [Google Scholar] [CrossRef]
- Riyesh, T.; Karuppusamy, S.; Bera, B.C.; Barua, S.; Virmani, N.; Yadav, S.; Vaid, R.K.; Anand, T.; Bansal, M.; Malik, P.; et al. Laboratory-Acquired Buffalopox Virus Infection, India. Emerg. Infect. Dis. 2014, 20, 324–326. [Google Scholar] [CrossRef]
- Silva-Fernandes, A.T.; Travassos, C.E.; Ferreira, J.M.; Abrahão, J.S.; Rocha, E.S.; Viana-Ferreira, F.; dos Santos, J.R.; Bonjardim, C.A.; Ferreira, P.C.; Kroon, E.G. Natural Human Infections with Vaccinia Virus during Bovine Vaccinia Outbreaks. J. Clin. Virol. 2009, 44, 308–313. [Google Scholar] [CrossRef]
- Springer, Y.P.; Hsu, C.H.; Werle, Z.R.; Olson, L.E.; Cooper, M.P.; Castrodale, L.J.; Fowler, N.; McCollum, A.M.; Goldsmith, C.S.; Emerson, G.L.; et al. Novel Orthopoxvirus Infection in an Alaska Resident. Clin. Infect. Dis. 2017, 64, 1737–1741. [Google Scholar] [CrossRef]
- Trindade, G.S.; Guedes, M.I.; Drumond, B.P.; Mota, B.E.; Abrahão, J.S.; Lobato, Z.I.; Gomes, J.A.; Corrêa-Oliveira, R.; Nogueira, M.L.; Kroon, E.G.; et al. Zoonotic Vaccinia Virus: Clinical and Immunological Characteristics in a Naturally Infected Patient. Clin. Infect. Dis. 2009, 48, 37–40. [Google Scholar] [CrossRef]
- Crotty, S.; Felgner, P.; Davies, H.; Glidewell, J.; Villarreal, L.; Ahmed, R. Cutting Edge: Long-Term B Cell Memory in Humans after Smallpox Vaccination. J. Immunol. 2003, 171, 4969–4973. [Google Scholar] [CrossRef] [PubMed]
- Fulginiti, V.A. Risks of Smallpox Vaccination. JAMA 2003, 290, 1452. [Google Scholar] [CrossRef] [PubMed][Green Version]
- Kawakami, Y.; Tomimori, Y.; Yumoto, K.; Hasegawa, S.; Ando, T.; Tagaya, Y.; Crotty, S.; Kawakami, T. Inhibition of NK Cell Activity by IL-17 Allows Vaccinia Virus to Induce Severe Skin Lesions in a Mouse Model of Eczema Vaccinatum. J. Exp. Med. 2009, 206, 1219–1225. [Google Scholar] [CrossRef] [PubMed]
- Maksyutov, R.A.; Yakubitskyi, S.N.; Kolosova, I.V.; Shchelkunov, S.N. Comparing New-Generation Candidate Vaccines against Human Orthopoxvirus Infections. Acta Nat. 2017, 9, 88–93. [Google Scholar] [CrossRef]
- Al Yaghchi, C.; Zhang, Z.; Alusi, G.; Lemoine, N.R.; Wang, Y. Vaccinia Virus, a Promising New Therapeutic Agent for Pancreatic Cancer. Immunotherapy 2015, 7, 1249–1258. [Google Scholar] [CrossRef]
- Deng, L.; Fan, J.; Ding, Y.; Zhang, J.; Zhou, B.; Zhang, Y.; Huang, B.; Hu, Z. Oncolytic Cancer Therapy with a Vaccinia Virus Strain. Oncol. Rep. 2019, 41, 686–692. [Google Scholar] [CrossRef]
- Kweder, H.; Ainouze, M.; Cosby, S.L.; Muller, C.P.; Lévy, C.; Verhoeyen, E.; Cosset, F.L.; Manet, E.; Buckland, R. Mutations in the H, F, or M Proteins Can Facilitate Resistance of Measles Virus to Neutralizing Human Anti-MV Sera. Adv. Virol. 2014, 2014, 205617. [Google Scholar] [CrossRef]
- Lévy, C.; Amirache, F.; Costa, C.; Frecha, C.; Muller, C.P.; Kweder, H.; Buckland, R.; Cosset, F.L.; Verhoeyen, E. Lentiviral Vectors Displaying Modified Measles Virus GP Overcome Pre-existing Immunity in In Vivo-like Transduction of Human T and B Cells. Mol. Ther. 2012, 20, 1699–1712. [Google Scholar] [CrossRef]
- Nakajima, S.; Nakajima, K.; Nobusawa, E.; Zhao, J.; Tanaka, S.; Fukuzawa, K. Comparison of Epitope Structures of H3HAs through Protein Modeling of Influenza A Virus Hemagglutinin: Mechanism for Selection of Antigenic Variants in the Presence of a Monoclonal Antibody. Microbiol. Immunol. 2007, 51, 1179–1187. [Google Scholar] [CrossRef]
- Julithe, R.; Abou-Jaoudé, G.; Sureau, C. Modification of the Hepatitis B Virus Envelope Protein Glycosylation Pattern Interferes with Secretion of Viral Particles, Infectivity, and Susceptibility to Neutralizing Antibodies. J. Virol. 2014, 88, 9049–9059. [Google Scholar] [CrossRef]
- Kalia, V.; Sarkar, S.; Gupta, P.; Montelaro, R.C. Antibody Neutralization Escape Mediated by Point Mutations in the Intracytoplasmic Tail of Human Immunodeficiency Virus Type 1 gp41. J. Virol. 2005, 79, 2097–2107. [Google Scholar] [CrossRef] [PubMed]
- Wei, X.; Decker, J.M.; Wang, S.; Hui, H.; Kappes, J.C.; Wu, X.; Salazar-Gonzalez, J.F.; Salazar, M.G.; Kilby, J.M.; Saag, M.S.; et al. Antibody Neutralization and Escape by HIV-1. Nature 2003, 422, 307–312. [Google Scholar] [CrossRef] [PubMed]
- Kotterman, M.A.; Schaffer, D.V. Engineering Adeno-Associated Viruses for Clinical Gene Therapy. Nat. Rev. Genet. 2014, 15, 445–451. [Google Scholar] [CrossRef] [PubMed]
- Pichla-Gollon, S.L.; Drinker, M.; Zhou, X.; Xue, F.; Rux, J.J.; Gao, G.P.; Wilson, J.M.; Ertl, H.C.; Burnett, R.M.; Bergelson, J.M. Structure-Based Identification of a Major Neutralizing Site in an Adenovirus Hexon. J. Virol. 2007, 81, 1680–1689. [Google Scholar] [CrossRef] [PubMed]
- Singh, K.; Gittis, A.G.; Gitti, R.K.; Ostazeski, S.A.; Su, H.P.; Garboczi, D.N. The Vaccinia Virus H3 Envelope Protein, a Major Target of Neutralizing Antibodies, Exhibits a Glycosyltransferase Fold and Binds UDP-Glucose. J. Virol. 2016, 90, 5020–5030. [Google Scholar] [CrossRef]
- Ichihashi, Y.; Oie, M. Neutralizing Epitope on Penetration Protein of Vaccinia Virus. Virology 1996, 220, 491–494. [Google Scholar] [CrossRef]
- Benhnia, M.R.; McCausland, M.M.; Su, H.P.; Singh, K.; Hoffmann, J.; Davies, D.H.; Felgner, P.L.; Head, S.; Sette, A.; Garboczi, D.N.; et al. Redundancy and Plasticity of Neutralizing Antibody Responses Are Cornerstone Attributes of the Human Immune Response to the Smallpox Vaccine. J. Virol. 2008, 82, 3751–3768. [Google Scholar] [CrossRef]
- Davies, D.H.; Liang, X.; Hernandez, J.E.; Randall, A.; Hirst, S.; Mu, Y.; Romero, K.M.; Nguyen, T.T.; Kalantari-Dehaghi, M.; Crotty, S.; et al. Profiling the Humoral Immune Response to Infection by Using Proteome Microarrays: High-Throughput Vaccine and Diagnostic Antigen Discovery. Proc. Natl. Acad. Sci. USA 2005, 102, 547–552. [Google Scholar] [CrossRef]
- Davies, D.H.; McCausland, M.M.; Valdez, C.; Huynh, D.; Hernandez, J.E.; Mu, Y.; Hirst, S.; Villarrea, L.; Felgner, P.L.; Crott, S. Vaccinia Virus H3L Envelope Protein Is a Major Target of Neutralizing Antibodies in Humans and Elicits Protection against Lethal Challenge in Mice. J. Virol. 2005, 79, 11724–11733. [Google Scholar] [CrossRef]
- Tikunova, N.; Dubrovskaya, V.; Morozova, V.; Yun, T.; Khlusevich, Y.; Bormotov, N.; Laman, A.; Brovko, F.; Shvalov, A.; Belanov, E. The Neutralizing Human Recombinant Antibodies to Pathogenic Orthopoxviruses Derived from a Phage Display Immune Library. Virus Res. 2012, 163, 141–150. [Google Scholar] [CrossRef]
- Lin, C.L.; Chung, C.S.; Heine, H.G.; Chang, W. Vaccinia Virus Envelope H3L Protein Binds to Cell Surface Heparan Sulfate and Is Important for Intracellular Mature Virion Morphogenesis and Virus Infection In Vitro and In Vivo. J. Virol. 2000, 74, 3353–3365. [Google Scholar] [CrossRef] [PubMed]
- Ostrout, N.D.; McHugh, M.M.; Tisch, D.J.; Moormann, A.M.; Brusic, V.; Kazura, J.W. Long-Term T Cell Memory to Human Leucocyte Antigen-A2 Supertype Epitopes in Humans Vaccinated against Smallpox. Clin. Exp. Immunol. 2007, 149, 265–273. [Google Scholar] [CrossRef] [PubMed]
- Drexler, I.; Staib, C.; Kastenmuller, W.; Stevanović, S.; Schmidt, B.; Lemonnier, F.A.; Rammensee, H.G.; Busch, D.H.; Bernhard, H.; Erfle, V.; et al. Identification of Vaccinia Virus Epitope-Specific HLA-A*0201-Restricted T Cells and Comparative Analysis of Smallpox Vaccines. Proc. Natl. Acad. Sci. USA 2003, 100, 217–222. [Google Scholar] [CrossRef] [PubMed]
- Shchelkunov, S.N.; Shchelkunova, G.A. Genes that Control Vaccinia Virus Immunogenicity. Acta Nat. 2020, 12, 33–41. [Google Scholar] [CrossRef]
- Khlusevich, Y.; Matveev, A.; Baykov, I.; Bulychev, L.; Bormotov, N.; Ilyichev, I.; Shevelev, G.; Morozova, V.; Pyshnyi, D.; Tikunova, N. Phage Display Antibodies against Ectromelia Virus That Neutralize Variola Virus: Selection and Implementation for p35 Neutralizing Epitope Mapping. Antivir. Res. 2018, 152, 18–25. [Google Scholar] [CrossRef]
- Petrov, I.S.; Goncharova, E.P.; Kolosova, I.V.; Pozdnyakov, S.G.; Shchelkunov, S.N.; Zenkova, M.A.; Vlasov, V.V. Antitumor Effect of the LIVP-GFP Recombinant Vaccinia Virus. Dokl. Biol. Sci. 2013, 451, 248–252. [Google Scholar] [CrossRef]
- Matveev, A.; Khlusevich, Y.; Golota, O.; Kravchuk, B.; Tkachev, S.; Emelyanova, L.; Tikunova, N. Tick-Borne Encephalitis Nonstructural Protein NS1 Expressed in E. coli Retains Immunological Properties of the Native Protein. Protein Expr. Purif. 2022, 191, 106031. [Google Scholar] [CrossRef]
- Song, K.; Viskovska, M. Design and Engineering of Deimmunized Vaccinia Viral Vectors. Biomedicines 2020, 8, 491. [Google Scholar] [CrossRef]
- da Fonseca, F.G.; Wolffe, E.J.; Weisberg, A.; Moss, B. Effects of Deletion or Stringent Repression of the H3L Envelope Gene on Vaccinia Virus Replication. J. Virol. 2000, 74, 7518–7528. [Google Scholar] [CrossRef]
- Su, H.P.; Golden, J.W.; Gittis, A.G.; Hooper, J.W.; Garboczi, D.N. Structural Basis for the Binding of the Neutralizing Antibody, 7D11, to the Poxvirus L1 Protein. Virology 2007, 368, 331–341. [Google Scholar] [CrossRef]
- Matho, M.H.; Maybeno, M.; Benhnia, M.R.; Becker, D.; Meng, X.; Xiang, Y.; Crotty, S.; Peters, B.; Zajonc, D.M. Structural and Biochemical Characterization of the Vaccinia Virus Envelope Protein D8 and Its Recognition by the Antibody LA5. J. Virol. 2012, 86, 8050–8058. [Google Scholar] [CrossRef] [PubMed]
- Kaever, T.; Matho, M.H.; Meng, X.; Crickard, L.; Schlossman, A.; Xiang, Y.; Crotty, S.; Peters, B.; Zajonc, D.M. Linear Epitopes in Vaccinia Virus A27 Are Targets of Protective Antibodies Induced by Vaccination against Smallpox. J. Virol. 2016, 90, 4334–4345. [Google Scholar] [CrossRef] [PubMed]
- Kaever, T.; Meng, X.; Matho, M.H.; Schlossman, A.; Li, S.; Sela-Culang, I.; Ofran, Y.; Buller, M.; Crump, R.W.; Parker, S.; et al. Potent Neutralization of Vaccinia Virus by Divergent Murine Antibodies Targeting a Common Site of Vulnerability in L1 Protein. J. Virol. 2014, 88, 11339–11355. [Google Scholar] [CrossRef] [PubMed]
- Matho, M.H.; de Val, N.; Miller, G.M.; Brown, J.; Schlossman, A.; Meng, X.; Crotty, S.; Peters, B.; Xiang, Y.; Hsieh-Wilson, L.C.; et al. Murine Anti-vaccinia Virus D8 Antibodies Target Different Epitopes and Differ in Their Ability to Block D8 Binding to CS-E. PLoS Pathogens. 2014, 10, e1004495. [Google Scholar] [CrossRef]
- Moss, B. Smallpox Vaccines: Targets of Protective Immunity. Immunol. Rev. 2011, 239, 8–26. [Google Scholar] [CrossRef]
- Ravanello, M.P.; Hruby, D.E. Conditional Lethal Expression of the Vaccinia Virus L1R Myristylated Protein Reveals a Role in Virion Assembly. J. Virol. 1994, 68, 6401–6410. [Google Scholar] [CrossRef]
- Chernos, V.I.; Vovk, T.S.; Ivanova, O.N.; Antonova, T.P.; Loparev, V.N. The Effect of Inactivating E7R and D8L Genes on the Biological Properties of the Virus. Mol. Genet. Microbiol. Virusol. 1993, 2, 30–34. [Google Scholar]
- Lorenzo, M.M.; Sánchez-Puig, J.M.; Blasco, R. Genes A27L and F13L as Genetic Markers for the Isolation of Recombinant Vaccinia Virus. Sci. Rep. 2019, 9, 15684. [Google Scholar] [CrossRef]






| Truncated p35 | Primer Name | Primer Sequences | Amino Acids |
|---|---|---|---|
| p35Δ | H3L Bam-1+ | 5′-GCGCGGGATCCGGTGGAATGGCGGCGGTGAAAAC-3′ | 1–282 |
| H3L Back-EcoRI | 5′-GGCTTGAATTCCCAAATGAAATCAGTGGAGTAGT-3′ | ||
| p35Δ3 | H3L Bam-1+ | 5′-GCGCGGGATCCGGTGGAATGGCGGCGGTGAAAAC-3′ | 1–135 |
| H3L Back3-EcoRI | 5′-GGCTTGAATTCCCAAACGTAATATCCTCAATAAC-3′ | ||
| p35Δ6 | H3L Bam-6+ | 5′-GCGCGGGATCCGTTATTGAGGATATTACGTTTC-3′ | 128–282 |
| H3L Back-EcoRI | 5′-GGCTTGAATTCCCAAATGAAATCAGTGGAGTAGT-3′ | ||
| p35Δ12 | H3L Bam-1+ | 5′-GCGCGGGATCCGGTGGAATGGCGGCGGTGAAAAC-3′ | 1–239 |
| H3L Back12-EcoRI | 5′-GGCTTGAATTCCCGTGTTCTACATATTTGGCGGCG-3′ | ||
| p35ΔFuse | p35fuseN | 5′-GCGCGGGATCCGGTGGAATGGCGGCGGTGAAAACTCCTGTTATTGTTGTGCCAGTTATTGATAGACCCCCATCAGAAACATTTCCTAATGTTCATGAGCATATTAATGATCAGAAG-3′ | 1–34–(GGGS)3–228–239 |
| p35fuseC | 5′-CTTGGCTGCAGGTGTTCTACATATTTGGCGGCGTTATCCAGTATCTGCGACCCTCCACCAGAA CCTCCGCCTGAACCGCCTCCGCTGAACTTCTGATCATTAATATGCTCATGA-3′ |
Publisher’s Note: MDPI stays neutral with regard to jurisdictional claims in published maps and institutional affiliations. |
© 2022 by the authors. Licensee MDPI, Basel, Switzerland. This article is an open access article distributed under the terms and conditions of the Creative Commons Attribution (CC BY) license (https://creativecommons.org/licenses/by/4.0/).
Share and Cite
Khlusevich, Y.; Matveev, A.; Emelyanova, L.; Goncharova, E.; Golosova, N.; Pereverzev, I.; Tikunova, N. New p35 (H3L) Epitope Involved in Vaccinia Virus Neutralization and Its Deimmunization. Viruses 2022, 14, 1224. https://doi.org/10.3390/v14061224
Khlusevich Y, Matveev A, Emelyanova L, Goncharova E, Golosova N, Pereverzev I, Tikunova N. New p35 (H3L) Epitope Involved in Vaccinia Virus Neutralization and Its Deimmunization. Viruses. 2022; 14(6):1224. https://doi.org/10.3390/v14061224
Chicago/Turabian StyleKhlusevich, Yana, Andrey Matveev, Lyudmila Emelyanova, Elena Goncharova, Natalia Golosova, Ivan Pereverzev, and Nina Tikunova. 2022. "New p35 (H3L) Epitope Involved in Vaccinia Virus Neutralization and Its Deimmunization" Viruses 14, no. 6: 1224. https://doi.org/10.3390/v14061224
APA StyleKhlusevich, Y., Matveev, A., Emelyanova, L., Goncharova, E., Golosova, N., Pereverzev, I., & Tikunova, N. (2022). New p35 (H3L) Epitope Involved in Vaccinia Virus Neutralization and Its Deimmunization. Viruses, 14(6), 1224. https://doi.org/10.3390/v14061224

