Immunogenicity of Varicella Zoster Virus DNA Vaccines Encoding Glycoprotein E and Immediate Early Protein 63 in Mice
Abstract
:1. Introduction
2. Materials and Methods
2.1. Cells
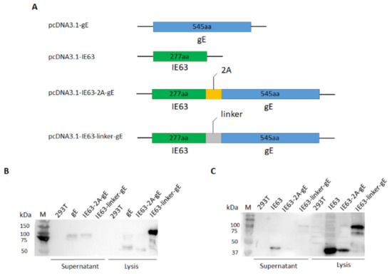
2.2. DNA Plasmids
2.3. Protein Expression
2.4. Animals
2.5. Immunizations
2.6. Antibody Analysis
2.7. Th1/Th2 Cytokine Detection
2.8. Interferon-γ ELISPOT Assays
2.9. In Vitro Cytotoxic T Cell Assay
2.10. Statistical Analysis
3. Results
3.1. Design and Expression of the HZ DNA Vaccines
3.2. HZ DNA Vaccines Induce VZV -Specific Humoral Immune Responses
3.3. HZ DNA Vaccines Induces VZV-Specific IFN-γ+ T Cell Response in Mice
3.4. HZ DNA Vaccines Induces VZV-Specific Th1/Th2 Cytokine Secretion
3.5. Cytotoxic Activity of Splenocytes Derived from Immunized Mice
4. Discussion
Author Contributions
Funding
Institutional Review Board Statement
Acknowledgments
Conflicts of Interest
References
- Zerboni, L.; Sen, N.; Oliver, S.L.; Arvin, A.M. Molecular mechanisms of varicella zoster virus pathogenesis. Nat. Rev. Microbiol. 2014, 12, 197–210. [Google Scholar] [CrossRef] [PubMed] [Green Version]
- Gershon, A.A.; Gershon, M.D. Pathogenesis and current approaches to control of varicella-zoster virus infections. Clin. Microbiol. Rev. 2013, 26, 728–743. [Google Scholar] [CrossRef] [PubMed] [Green Version]
- Yawn, B.P.; Saddier, P.; Wollan, P.C.; St Sauver, J.L.; Kurland, M.J.; Sy, L.S. A population-based study of the incidence and complication rates of herpes zoster before zoster vaccine introduction. Mayo Clin. Proc. 2007, 82, 1341–1349. [Google Scholar] [CrossRef]
- Forbes, H.J.; Bhaskaran, K.; Thomas, S.L.; Smeeth, L.; Clayton, T.; Langan, S.M. Quantification of risk factors for herpes zoster: Population based case-control study. BMJ 2014, 348, g2911. [Google Scholar] [CrossRef] [PubMed] [Green Version]
- Harpaz, R.; Ortega-Sanchez, I.R.; Seward, J.F. Prevention of herpes zoster: Recommendations of the Advisory Committee on Immunization Practices (ACIP). MMWR Recomm. Rep. Morb. Mortal. Wkly. Rep. 2008, 57, 1–30. [Google Scholar]
- Zhang, Y.; Luo, G.; Huang, Y.; Yu, Q.; Wang, L.; Li, K. Risk of Stroke/Transient Ischemic Attack or Myocardial Infarction with Herpes Zoster: A Systematic Review and Meta-Analysis. J. Stroke Cerebrovasc. Dis. 2017, 26, 1807–1816. [Google Scholar] [CrossRef]
- Otani, N.; Baba, K.; Okuno, T. Interferon-gamma release assay: A simple method for detection of varicella-zoster virus-specific cell-mediated immunity. J. Immunol. Methods 2009, 351, 71–74. [Google Scholar] [CrossRef]
- Steain, M.; Sutherland, J.P.; Rodriguez, M.; Cunningham, A.L.; Slobedman, B.; Abendroth, A. Analysis of T cell responses during active varicella-zoster virus reactivation in human ganglia. J. Virol. 2014, 88, 2704–2716. [Google Scholar] [CrossRef] [Green Version]
- Weinberg, A.; Zhang, J.H.; Oxman, M.N.; Johnson, G.R.; Hayward, A.R.; Caulfield, M.J.; Irwin, M.R.; Clair, J.; Smith, J.G.; Stanley, H.; et al. Varicella-Zoster virus—Specific immune responses to herpes zoster in elderly participants in a trial of a clinically effective zoster vaccine. J. Infect. Dis. 2009, 200, 1068–1077. [Google Scholar] [CrossRef] [Green Version]
- Asada, H. VZV-specific cell-mediated immunity, but not humoral immunity, correlates inversely with the incidence of herpes zoster and the severity of skin symptoms and zoster-associated pain: The SHEZ study. Vaccine 2019, 37, 6776–6781. [Google Scholar] [CrossRef]
- Weinberg, A.; Levin, M.J. VZV T cell-mediated immunity. Curr. Top. Microbiol. Immunol. 2010, 342, 341–357. [Google Scholar] [PubMed]
- Oxman, M.N.; Levin, M.J.; Johnson, G.R.; Schmader, K.E.; Straus, S.E.; Gelb, L.D.; Arbeit, R.D.; Simberkoff, M.S.; Gershon, A.A.; Davis, L.E.; et al. A vaccine to prevent herpes zoster and postherpetic neuralgia in older adults. N. Engl. J. Med. 2005, 352, 2271–2284. [Google Scholar] [CrossRef] [PubMed] [Green Version]
- Lal, H.; Cunningham, A.L.; Godeaux, O.; Chlibek, R.; Diez-Domingo, J.; Hwang, S.J.; Levin, M.J.; McElhaney, J.E.; Poder, A.; Puig-Barberà, J.; et al. Efficacy of an adjuvanted herpes zoster subunit vaccine in older adults. N. Engl. J. Med. 2015, 372, 2087–2096. [Google Scholar] [CrossRef] [PubMed]
- Chlibek, R.; Pauksens, K.; Rombo, L.; van Rijckevorsel, G.; Richardus, J.H.; Plassmann, G.; Schwarz, T.F.; Catteau, G.; Lal, H.; Heineman, T.C. Long-term immunogenicity and safety of an investigational herpes zoster subunit vaccine in older adults. Vaccine 2016, 34, 863–868. [Google Scholar] [CrossRef] [PubMed]
- Leroux-Roels, I.; Leroux-Roels, G.; Clement, F.; Vandepapeliere, P.; Vassilev, V.; Ledent, E.; Heineman, T.C. A phase 1/2 clinical trial evaluating safety and immunogenicity of a varicella zoster glycoprotein e subunit vaccine candidate in young and older adults. J. Infect. Dis. 2012, 206, 1280–1290. [Google Scholar] [CrossRef] [Green Version]
- Grose, C. Glycoproteins encoded by varicella-zoster virus: Biosynthesis, phosphorylation, and intracellular trafficking. Annu. Rev. Microbiol. 1990, 44, 59–80. [Google Scholar] [CrossRef]
- Hasan, U.A.; Harper, D.R.; Wren, B.W.; Morrow, W.J. Immunization with a DNA vaccine expressing a truncated form of varicella zoster virus glycoprotein E. Vaccine 2002, 20, 1308–1315. [Google Scholar] [CrossRef]
- Lee, S.J.; Park, H.J.; Ko, H.L.; Lee, J.E.; Lee, H.J.; Kim, H.; Nam, J.H. Evaluation of glycoprotein E subunit and live attenuated varicella-zoster virus vaccines formulated with a single-strand RNA-based adjuvant. Immun. Inflamm. Dis. 2020, 8, 216–227. [Google Scholar] [CrossRef] [Green Version]
- Grinfeld, E.; Kennedy, P.G. Translation of varicella-zoster virus genes during human ganglionic latency. Virus Genes 2004, 29, 317–319. [Google Scholar] [CrossRef]
- Lungu, O.; Panagiotidis, C.A.; Annunziato, P.W.; Gershon, A.A.; Silverstein, S.J. Aberrant intracellular localization of Varicella-Zoster virus regulatory proteins during latency. Proc. Natl. Acad. Sci. USA 1998, 95, 7080–7085. [Google Scholar] [CrossRef] [Green Version]
- Kennedy, P.G.; Grinfeld, E.; Bell, J.E. Varicella-zoster virus gene expression in latently infected and explanted human ganglia. J. Virol. 2000, 74, 11893–11898. [Google Scholar] [CrossRef] [PubMed] [Green Version]
- Gershon, M.; Gershon, A. Varicella-Zoster Virus and the Enteric Nervous System. J. Infect. Dis. 2018, 218 (Suppl. 2), S113–S119. [Google Scholar] [CrossRef] [PubMed]
- Mahalingam, R.; Wellish, M.; Cohrs, R.; Debrus, S.; Piette, J.; Rentier, B.; Gilden, D.H. Expression of protein encoded by varicella-zoster virus open reading frame 63 in latently infected human ganglionic neurons. Proc. Natl. Acad. Sci. USA 1996, 93, 2122–2124. [Google Scholar] [CrossRef] [PubMed] [Green Version]
- Zerboni, L.; Sobel, R.A.; Ramachandran, V.; Rajamani, J.; Ruyechan, W.; Abendroth, A.; Arvin, A. Expression of varicella-zoster virus immediate-early regulatory protein IE63 in neurons of latently infected human sensory ganglia. J. Virol. 2010, 84, 3421–3430. [Google Scholar] [CrossRef] [Green Version]
- Malavige, G.N.; Rohanachandra, L.T.; Jones, L.; Crack, L.; Perera, M.; Fernando, N.; Guruge, D.; Ogg, G.S. IE63-specific T-cell responses associate with control of subclinical varicella zoster virus reactivation in individuals with malignancies. Br. J. Cancer 2010, 102, 727–730. [Google Scholar] [CrossRef] [Green Version]
- Jones, L.; Black, A.P.; Malavige, G.N.; Ogg, G.S. Phenotypic analysis of human CD4+ T cells specific for immediate-early 63 protein of varicella-zoster virus. Eur. J. Immunol. 2007, 37, 3393–3403. [Google Scholar] [CrossRef]
- Sei, J.J.; Cox, K.S.; Dubey, S.A.; Antonello, J.M.; Krah, D.L.; Casimiro, D.R.; Vora, K.A. Effector and Central Memory Poly-Functional CD4+ and CD8+ T Cells are Boosted upon ZOSTAVAX® Vaccination. Front. Immunol. 2015, 6, 553. [Google Scholar] [CrossRef]
- Jacquet, A.; Haumont, M.; Massaer, M.; Garcia, L.; Mazzu, P.; Daminet, V.; Grégoire, D.; Jacobs, P.; Bollen, A. Immunogenicity of a recombinant varicella-zoster virus gE-IE63 fusion protein, a putative vaccine candidate against primary infection and zoster reactivation. Vaccine 2002, 20, 1593–1602. [Google Scholar] [CrossRef]
- Liu, M.A. A Comparison of Plasmid DNA and mRNA as Vaccine Technologies. Vaccines 2019, 7, 37. [Google Scholar] [CrossRef] [Green Version]
- Ferraro, B.; Morrow, M.P.; Hutnick, N.A.; Shin, T.H.; Lucke, C.E.; Weiner, D.B. Clinical applications of DNA vaccines: Current progress. Clin. Infect. Dis. 2011, 53, 296–302. [Google Scholar] [CrossRef] [Green Version]
- Daniels, R.W.; Rossano, A.J.; Macleod, G.T.; Ganetzky, B. Expression of multiple transgenes from a single construct using viral 2A peptides in Drosophila. PLoS ONE 2014, 9, e100637. [Google Scholar] [CrossRef] [PubMed]
- Haymaker, C.L.; Hailemichael, Y.; Yang, Y.; Nurieva, R. In Vivo Assay for Detection of Antigen-specific T-cell Cytolytic Function Using a Vaccination Model. J. Vis. Exp. 2017, 129, e56255. [Google Scholar] [CrossRef]
- Dendouga, N.; Fochesato, M.; Lockman, L.; Mossman, S.; Giannini, S.L. Cell-mediated immune responses to a varicella-zoster virus glycoprotein E vaccine using both a TLR agonist and QS21 in mice. Vaccine 2012, 30, 3126–3135. [Google Scholar] [CrossRef] [PubMed]
- Wui, S.R.; Kim, K.S.; Ryu, J.I.; Ko, A.; Do, H.T.T.; Lee, Y.J.; Kim, H.J.; Lim, S.J.; Park, S.A.; Cho, Y.J.; et al. Efficient induction of cell-mediated immunity to varicella-zoster virus glycoprotein E co-lyophilized with a cationic liposome-based adjuvant in mice. Vaccine 2019, 37, 2131–2141. [Google Scholar] [CrossRef] [PubMed]
- Frey, C.R.; Sharp, M.A.; Min, A.S.; Schmid, D.S.; Loparev, V.; Arvin, A.M. Identification of CD8+ T cell epitopes in the immediate early 62 protein (IE62) of varicella-zoster virus, and evaluation of frequency of CD8+ T cell response to IE62, by use of IE62 peptides after varicella vaccination. J. Infect. Dis. 2003, 188, 40–52. [Google Scholar] [CrossRef] [PubMed] [Green Version]
- Smith, J.G.; Levin, M.; Vessey, R.; Chan, I.S.; Hayward, A.R.; Liu, X.; Kaufhold, R.M.; Clair, J.; Chalikonda, I.; Chan, C.; et al. Measurement of cell-mediated immunity with a Varicella-Zoster Virus-specific interferon-gamma ELISPOT assay: Responses in an elderly population receiving a booster immunization. J. Med. Virol. 2003, 70 (Suppl. 1), S38–S41. [Google Scholar] [CrossRef]
- Berger, A. Th1 and Th2 responses: What are they? BMJ 2000, 321, 424. [Google Scholar] [CrossRef] [Green Version]
- Wang, L.; Zhu, L.; Zhu, H. Efficacy of varicella (VZV) vaccination: An update for the clinician. Ther. Adv. Vaccines 2016, 4, 20–31. [Google Scholar] [CrossRef] [Green Version]
- Kinchington, P.R.; Bookey, D.; Turse, S.E. The transcriptional regulatory proteins encoded by varicella-zoster virus open reading frames (ORFs) 4 and 63, but not ORF 61, are associated with purified virus particles. J. Virol. 1995, 69, 4274–4282. [Google Scholar] [CrossRef] [Green Version]
- Gilbert, P.B.; Gabriel, E.E.; Miao, X.; Li, X.; Su, S.C.; Parrino, J.; Chan, I.S. Fold rise in antibody titers by measured by glycoprotein-based enzyme-linked immunosorbent assay is an excellent correlate of protection for a herpes zoster vaccine, demonstrated via the vaccine efficacy curve. J. Infect. Dis. 2014, 210, 1573–1581. [Google Scholar] [CrossRef] [Green Version]
- Dai, Z.; Konieczny, B.T.; Lakkis, F.G. The dual role of IL-2 in the generation and maintenance of CD8+ memory T cells. J. Immunol. 2000, 165, 3031–3036. [Google Scholar] [CrossRef] [PubMed] [Green Version]
- Boyman, O.; Cho, J.H.; Sprent, J. The role of interleukin-2 in memory CD8 cell differentiation. Adv. Exp. Med. Biol. 2010, 684, 28–41. [Google Scholar] [PubMed] [Green Version]
- Wang, Y.; Qi, J.; Cao, H.; Liu, C. Immune Responses to Varicella-Zoster Virus Glycoprotein E Formulated with Poly(Lactic-co-Glycolic Acid) Nanoparticles and Nucleic Acid Adjuvants in Mice. Virol. Sin. 2021, 36, 122–132. [Google Scholar] [CrossRef]
- Kim, A.R.; Park, J.; Kim, J.H.; Kwak, J.E.; Cho, Y.; Lee, H.; Jeong, M.; Park, S.H.; Shin, E.C. Herpes Zoster DNA Vaccines with IL-7 and IL-33 Molecular Adjuvants Elicit Protective T Cell Immunity. Immune Netw. 2018, 18, e38. [Google Scholar] [CrossRef]
- Cao, H.; Wang, Y.; Luan, N.; Liu, C. Immunogenicity of Varicella-Zoster Virus Glycoprotein E Formulated with Lipid Nanoparticles and Nucleic Immunostimulators in Mice. Vaccines 2021, 9, 310. [Google Scholar] [CrossRef] [PubMed]
- Meyer, C.; Engelmann, F.; Arnold, N.; Krah, D.L.; ter Meulen, J.; Haberthur, K.; Dewane, J.; Messaoudi, I. Abortive intrabronchial infection of rhesus macaques with varicella-zoster virus provides partial protection against simian varicella virus challenge. J. Virol. 2015, 89, 1781–1793. [Google Scholar] [CrossRef] [PubMed] [Green Version]
- Wroblewska, Z.; Valyi-Nagy, T.; Otte, J.; Dillner, A.; Jackson, A.; Sole, D.P.; Fraser, N.W. A mouse model for varicella-zoster virus latency. Microb. Pathog. 1993, 15, 141–151. [Google Scholar] [CrossRef]
- Baird, N.L.; Zhu, S.; Pearce, C.M.; Viejo-Borbolla, A. Current In Vitro Models to Study Varicella Zoster Virus Latency and Reactivation. Viruses 2019, 11, 103. [Google Scholar] [CrossRef] [Green Version]





Publisher’s Note: MDPI stays neutral with regard to jurisdictional claims in published maps and institutional affiliations. |
© 2022 by the authors. Licensee MDPI, Basel, Switzerland. This article is an open access article distributed under the terms and conditions of the Creative Commons Attribution (CC BY) license (https://creativecommons.org/licenses/by/4.0/).
Share and Cite
Liu, J.; Lin, J.; Cai, L.; Sun, J.; Ding, X.; Wang, C.; Wu, Y.; Gao, X.; Su, W.; Jiang, C. Immunogenicity of Varicella Zoster Virus DNA Vaccines Encoding Glycoprotein E and Immediate Early Protein 63 in Mice. Viruses 2022, 14, 1214. https://doi.org/10.3390/v14061214
Liu J, Lin J, Cai L, Sun J, Ding X, Wang C, Wu Y, Gao X, Su W, Jiang C. Immunogenicity of Varicella Zoster Virus DNA Vaccines Encoding Glycoprotein E and Immediate Early Protein 63 in Mice. Viruses. 2022; 14(6):1214. https://doi.org/10.3390/v14061214
Chicago/Turabian StyleLiu, Jie, Junyang Lin, Linjun Cai, Jie Sun, Xue Ding, Cenrong Wang, Yanchun Wu, Xiaoling Gao, Weiheng Su, and Chunlai Jiang. 2022. "Immunogenicity of Varicella Zoster Virus DNA Vaccines Encoding Glycoprotein E and Immediate Early Protein 63 in Mice" Viruses 14, no. 6: 1214. https://doi.org/10.3390/v14061214
APA StyleLiu, J., Lin, J., Cai, L., Sun, J., Ding, X., Wang, C., Wu, Y., Gao, X., Su, W., & Jiang, C. (2022). Immunogenicity of Varicella Zoster Virus DNA Vaccines Encoding Glycoprotein E and Immediate Early Protein 63 in Mice. Viruses, 14(6), 1214. https://doi.org/10.3390/v14061214

