Anatomical, Physical, Chemical, and Biological Durability Properties of Two Rattan Species of Different Diameter Classes
Abstract
1. Introduction
2. Materials and Methods
2.1. Source of Material
2.2. Frequency of Vascular Bundles and Fiber Length
2.3. Density and Volumetric Swelling
2.4. Chemical Composition Analysis
2.5. Vapor Sorption Analysis
2.6. Durability Tests
2.6.1. Mold
2.6.2. Basidiomycete Decay Test
2.7. Statistical Analysis
3. Results and Discussion
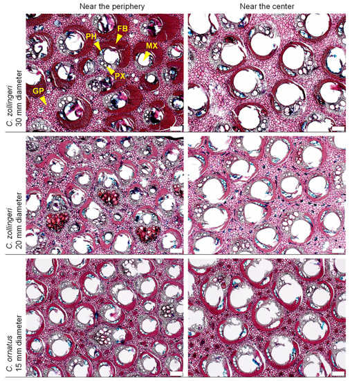
3.1. Anatomical and Physical Properties
3.2. Chemical Composition Analysis
3.3. Vapor Sorption Analysis
3.4. Mold and Decay Tests
4. Conclusions
Author Contributions
Funding
Institutional Review Board Statement
Informed Consent Statement
Data Availability Statement
Conflicts of Interest
References
- Szczepanowska, H.M. Deconstructing rattan: Morphology of biogenic silica in rattan and its impact on preservation of Southeast Asian art and artifacts made of rattan. Stud. Conserv. 2018, 63, 356–374. [Google Scholar] [CrossRef]
- Bhat, K.M.; Thulasidas, P.K.; Mohamed, C.P. Strength properties of ten south Indian canes. J. Trop. For. Sci. 1992, 5, 26–34. [Google Scholar]
- Sastry, C.B. Rattan in the twenty-first century- an overview of major issues and needs for the global development of rattan. Unasylva 2001, 205, 3–12. [Google Scholar]
- Olorunnisola, A.O.; Adefisan, O.O. Trial production and testing of cement-bonded particleboard from rattan furniture waste. Wood Fiber Sci. 2002, 34, 116–124. [Google Scholar]
- Sharma, M.; Sharma, C.L.; Haokip, D. Anatomical and physical characteristics of some rattan species. J. Indian Acad. Wood Sci. 2018, 15, 132–139. [Google Scholar] [CrossRef]
- Siebert, S.F. The Nature and Culture of Rattan: Reflection of Vanishing Life in The Forests of Southeast Asia; University of Hawai′i Press: Honolulu, HI, USA, 2012. [Google Scholar]
- Krisdianto, K.; Jasni, J.; Tutiana, T. Anatomical properties of nine indigenous rattan species of Jambi, Indonesia. Indonesian J. For. Res. 2018, 5, 147–161. [Google Scholar] [CrossRef]
- Ariffin, W.T.W.; Hisain, S.; Salleh, A.H. Transfer of Technology Model: Rattan Furniture Making Unit; International Network for Banboo and Rattan (INBAR), Forest Research Institute Malaysia: Kuala Lumpur, Malaysia, 2001.
- Bhat, K.M.; Varghese, M. Anatomical basis for density and shrinkage behavior of rattan stem. J. Inst. Wood Sci. 1991, 12, 123–130. [Google Scholar]
- Tomlinson, P.B.; Fisher, J.B.; Spangler, R.E.; Richer, R.A. Stem vascular architecture in the rattan palm Calamus (Arecaceae-Calamoideae-Calaminae). Am. J. Bot. 2001, 88, 797–809. [Google Scholar] [CrossRef] [PubMed]
- Yang, S.; Xiang, E.; Shang, L.; Liu, X.; Tian, G.; Ma, J. Comparison of physical and mechanical properties of four rattan species grown in China. J. Wood Sci. 2020, 66, 3. [Google Scholar] [CrossRef]
- Shang, L.; Jiang, Z.; Liu, X.; Tian, G.; Ma, J.; Yang, S. Effect of modification with methyl methacrylate on the mechanical properties of Plectocomia kerrana rattan. BioResources 2016, 11, 2071–2082. [Google Scholar] [CrossRef][Green Version]
- Abasolo, P.W.; Yoshida, M.; Yamamoto, H.; Okuyama, T. Microfibril angle determination of rattan fibers and its influence on the properties of the cane. Holzforschung 2000, 54, 437–442. [Google Scholar] [CrossRef]
- Luo, Z.; Zhang, X.; Lu, B.; Pan, B.; Ruan, Z. Mechanical properties and test methods of rattan. Furnit. Des. Room Dec. 2012, 7, 108–110. [Google Scholar]
- Abasolo, P.W.; Yamamoto, H.; Yoshida, M.; Mitsui, K.; Okuyama, T. Influence of heat and loading time on the mechanical properties of Calamus merrillii Becc. Holzforschung 2002, 56, 639–647. [Google Scholar] [CrossRef]
- Bhat, K.M.; Nasser, K.M.M.; Thulasidas, P.K. Anatomy and identification of south Indian rattans (Calamus species). IAWA J. 1993, 14, 63–76. [Google Scholar] [CrossRef]
- Abasolo, W.P. Properties of rattan cane as basis for determining optimum cutting cycle of cultivated Calamus merrillii. J. Trop. For. Sci. 2015, 27, 176–188. [Google Scholar]
- Sanusi, D. Rotan: Kekayaan Belantara Indonesia; Brilian Internasional: Surabaya, Indonesia, 2012. (In Indonesian) [Google Scholar]
- Hamid, N.H.; Hale, M. Decay threshold of acetylated rattan against white and brown rot fungi. Int. Wood Prod. J. 2012, 3, 96–106. [Google Scholar] [CrossRef]
- Tiryaki, S.; Bardak, S.; Aydin, A.; Nemli, G. Analysis of volumetric swelling and shrinkage of heat treated woods: Experimental and artificial neural network modeling approach. Maderas Ciencia. Tecnol. 2016, 18, 477–492. [Google Scholar] [CrossRef]
- Ghavidel, A.; Hosseinpourpia, R.; Gelbrich, J.; Bak, M.; Sandu, I. Microstructural and chemical characteristics of archaeological white elm (Ulmus laevis P.) and poplar (Populus spp.). Forests 2021, 11, 10271. [Google Scholar] [CrossRef]
- EN 15403; Solid Recovered Fuels—Determination of Ash Content. European Committee for Standardization: Brussels, Belgium, 2011.
- Hosseinpourpia, R.; Adamopoulos, S.; Walther, T.; Naydenov, V. Hydrophobic formulations based on tall oil distillation products for high-density fiberboards. Materials 2020, 13, 4025. [Google Scholar] [CrossRef]
- Ahmed, S.A.; Sehlstedt-Persson, M.; Morén, T. Development of a new rapid method for mould testing in a climate chamber- Preliminary tests. Eur. J. Wood Prod. 2013, 71, 451–461. [Google Scholar] [CrossRef]
- Sehlstedt-Persson, M.; Karlsson, O.; Wamming, T.; Morén, T. Mold growth on sapwood boards exposed outdoors: The impact of wood drying. For. Prod. J. 2011, 61, 170–179. [Google Scholar] [CrossRef]
- EN 113-2; Durability of Wood and Wood-Based Products—Test Method against Wood Destroying Basidiomycetes—Part 2: Assessment of Inherent or Enhanced Durability. European Committee for Standardization: Brussels, Belgium, 2020.
- Bravery, A.F. A miniaturised wood-block test for the rapid evaluation of wood preservative fungicides. In Proceedings of the 10th Annual Meeting, Peebles, Scotland, 17–22 September 1978. [Google Scholar]
- Weiner, G.; Liese, W. Rattans- stem anatomy and taxonomic implications. IAWA J. 1990, 11, 61–70. [Google Scholar] [CrossRef]
- Liu, X.; Tian, G.; Shang, L.; Yang, S.; Jiang, Z. Compression properties of vascular bundles and parenchyma of rattan (Plectocomia assamica Griff). Holzforschung 2014, 68, 927–932. [Google Scholar] [CrossRef]
- Sulaiman, A.; Lim, S.C. Anatomical and physical features of 11-y-old cultivated Calamus manan in peninsular Malaysia. J. Trop. For. Sci. 1991, 3, 372–379. [Google Scholar]
- Gu, Y.; Zhang, J. Tensile properties of natural and synthetic rattan strips used as furniture woven materials. Forests 2020, 11, 1299. [Google Scholar] [CrossRef]
- Bhat, K.M.; Liese, W.; Schmitt, U. Structural variability of vascular bundles and cell wall in rattan stem. Wood Sci. Technol. 1990, 24, 211–224. [Google Scholar] [CrossRef]
- Wahab, R.; Sulaiman, O.; Samsi, H.W. Basic density and strength properties of cultivated Calamus manan. J. Bamboo Rattan 2004, 3, 35–43. [Google Scholar] [CrossRef]
- Ali, A.R.M.; Mohmod, A.L.; Khoo, K.C.; Kasim, J. Physical properties, fiber dimensions and proximate chemical analysis of Malaysian rattan. Thai J. For. 1995, 14, 59–70. [Google Scholar]
- Chowdhury, M.Q. Assessment of some physical and mechanical properties of golla bet (Daemonorops jenkinsiana) from north-eastern region of Bangladesh. J. Bamboo Rattan 2004, 3, 195–201. [Google Scholar] [CrossRef]
- Yang, L.; Tian, G.; Yang, S.; Shang, L.; Liu, X.; Jiang, Z. Determination of fiber saturation point of rattan (Calamus simplicifolius) using the LF-NMR and two conventional methods. Wood Sci. Technol. 2020, 54, 667–682. [Google Scholar] [CrossRef]
- Tellu, A.T. Chemical properties of different rattan species traded in Central Sulawesi Province. Biodiversitas 2008, 9, 108–111. (In Indonesian) [Google Scholar] [CrossRef]
- Hillis, W.E. High temperature and chemical effects on wood stability. Part 1: General considerations. Wood Sci. Technol. 1984, 18, 281–293. [Google Scholar] [CrossRef]
- Salmén, L. Viscoelastic properties of in situ lignin under water-saturated conditions. J. Mater. Sci. 1984, 19, 3090–3096. [Google Scholar] [CrossRef]
- Hosseinpourpia, R.; Adamopoulos, S.; Mai, C. Dynamic vapour sorption of wood and holocellulose modified with thermosetting resins, Wood Sci. Technol. 2016, 50, 165–178. [Google Scholar]
- Tomlinson, P.B. The Structural Biology of Palms; Clarendon Press: Oxford, UK, 1990. [Google Scholar]
- Chen, M.; Wand, C.; Fei, B.; Ma, X.; Zhang, B.; Zhang, S.; Huang, A. Biological degradation of Chinese fir with Trametes versicolor (L.) Lloyd. Materials 2017, 10, 834. [Google Scholar] [CrossRef]
- Kamperidou, V. The biological durability of thermally- and chemically-modified black pine and poplar wood against basidiomycetes and mold action. Forests 2019, 10, 1111. [Google Scholar] [CrossRef]
- Bari, E.; Daniel, G.; Yilgor, N.; Kim, J.S.; Tajick-Ghanbary, M.A.; Singh, A.P.; Ribera, J. Comparison of the decay behavior of two white-rot fungi in relation to wood type and exposure conditions. Microorganisms 2020, 8, 1931. [Google Scholar] [CrossRef]





| Sample | Diameter Class | Mean Diameter mm | Semi-Polished | Fully-Polished | ||
|---|---|---|---|---|---|---|
| Bottom | Top | Bottom | Top | |||
| C. zollingeri | 30 | 30.33 (±1.41) | 8 | 8 | 8 | 8 |
| C. zollingeri | 20 | 18.62 (±1.29) | 8 | 8 | 8 | 8 |
| C. ornatus | 15 | 14.76 (±0.29) | - | - | 8 | 8 |
| Sample | Diameter Class | Fiber Length (µm) | Number of Vascular Bundles/mm2 | ||||||
|---|---|---|---|---|---|---|---|---|---|
| Bottom | Top | t-Value | Mean | Bottom | Top | t-Value | Mean | ||
| C. zollingeri | 30 | 1221 (±261) b | 1219 (±309) a | –0.14 | 1220 (±285) a | 2.05 (±0.32) b | 1.72 (±0.36) c | –1.22 | 1.89 (±0.37) b |
| C. zollingeri | 20 | 1329 (±390) a | 1102 (±254) b | –4.96 * | 1216 (±348) a | 3.40 (±0.63) a | 3.17 (±0.60) a | –4.38 * | 3.30 (±0.61) a |
| C. ornatus | 15 | 1209 (±297) a | 1008 (±289) c | 5.00 * | 1109 (±309) b | 3.20 (±0.50) a | 2.85 (±0.32) b | –2.62 * | 3.02 (±0.44) a |
| F-value | 26.31 * | 5.06 * | 7.99 * | 76.10 * | 90.64 * | 148.31 * | |||
| Sample | Diameter Class | Basic Density (g/cm3) | Volumetric Swelling (%) | ||||
|---|---|---|---|---|---|---|---|
| Fully-Polished | |||||||
| Bottom | Top | t-Value | Bottom | Top | t-Value | ||
| C. zollingeri | 30 | 0.348 (±0.051) b | 0.335 (±0.057) b | −0.76 | 17.39 (±2.40) b | 19.06 (±6.55) b | −0.59 |
| C. zollingeri | 20 | 0.496 (±0.036) a | 0.435 (±0.076) a | −1.92 | 15.80 (±2.30) b | 13.79 (±1.13) b | 1.78 |
| C. ornatus | 15 | 0.289 (±0.078) b | 0.314 (±0.051) b | −0.61 | 27.30 (±6.13) a | 27.39 (±5.64) a | -0.03 |
| F-value | 22.77 * | 7.46 * | 14.03 * | 6.69 * | |||
| Semi-polished | |||||||
| C. zollingeri | 30 | 0.438 (±0.050) | 0.412 (±0.052) | 0.97 | 15.79 (±1.99) | 17.82 (±3.32) | −1.36 |
| C. zollingeri | 20 | 0.458 (±0.059) | 0.460 (±0.069) | –0.08 | 15.88 (±2.00) | 16.22 (±1.99) | −0.26 |
| t-value | −0.69 | −1.49 | –0.08 | 0.89 | |||
| Sample | Diameter Class | Holocellulose | Lignin | Extractives | Ash |
|---|---|---|---|---|---|
| C. zollingeri | 30 | 78.5 | 17.9 | 1.5 | 2.0 |
| C. zollingeri | 20 | 78.9 | 13.6 | 2.8 | 4.6 |
| C. ornatus | 15 | 78.0 | 9.1 | 5.1 | 7.7 |
Publisher’s Note: MDPI stays neutral with regard to jurisdictional claims in published maps and institutional affiliations. |
© 2022 by the authors. Licensee MDPI, Basel, Switzerland. This article is an open access article distributed under the terms and conditions of the Creative Commons Attribution (CC BY) license (https://creativecommons.org/licenses/by/4.0/).
Share and Cite
Ahmed, S.A.; Hosseinpourpia, R.; Brischke, C.; Adamopoulos, S. Anatomical, Physical, Chemical, and Biological Durability Properties of Two Rattan Species of Different Diameter Classes. Forests 2022, 13, 132. https://doi.org/10.3390/f13010132
Ahmed SA, Hosseinpourpia R, Brischke C, Adamopoulos S. Anatomical, Physical, Chemical, and Biological Durability Properties of Two Rattan Species of Different Diameter Classes. Forests. 2022; 13(1):132. https://doi.org/10.3390/f13010132
Chicago/Turabian StyleAhmed, Sheikh Ali, Reza Hosseinpourpia, Christian Brischke, and Stergios Adamopoulos. 2022. "Anatomical, Physical, Chemical, and Biological Durability Properties of Two Rattan Species of Different Diameter Classes" Forests 13, no. 1: 132. https://doi.org/10.3390/f13010132
APA StyleAhmed, S. A., Hosseinpourpia, R., Brischke, C., & Adamopoulos, S. (2022). Anatomical, Physical, Chemical, and Biological Durability Properties of Two Rattan Species of Different Diameter Classes. Forests, 13(1), 132. https://doi.org/10.3390/f13010132

