Randomized Clinical Trial on Direct Composite and Indirect Ceramic Laminate Veneers in Multiple Diastema Closure Cases: Two-Year Follow-Up
Abstract
1. Introduction
2. Materials and Methods
2.1. Restorative Materials and Curing Device
2.2. Study Design, Blinding, and Randomization
2.3. Patient Selection and Eligibility Criteria
2.4. Sample Size Calculation
2.5. Calibration Procedures for Clinical Evaluation
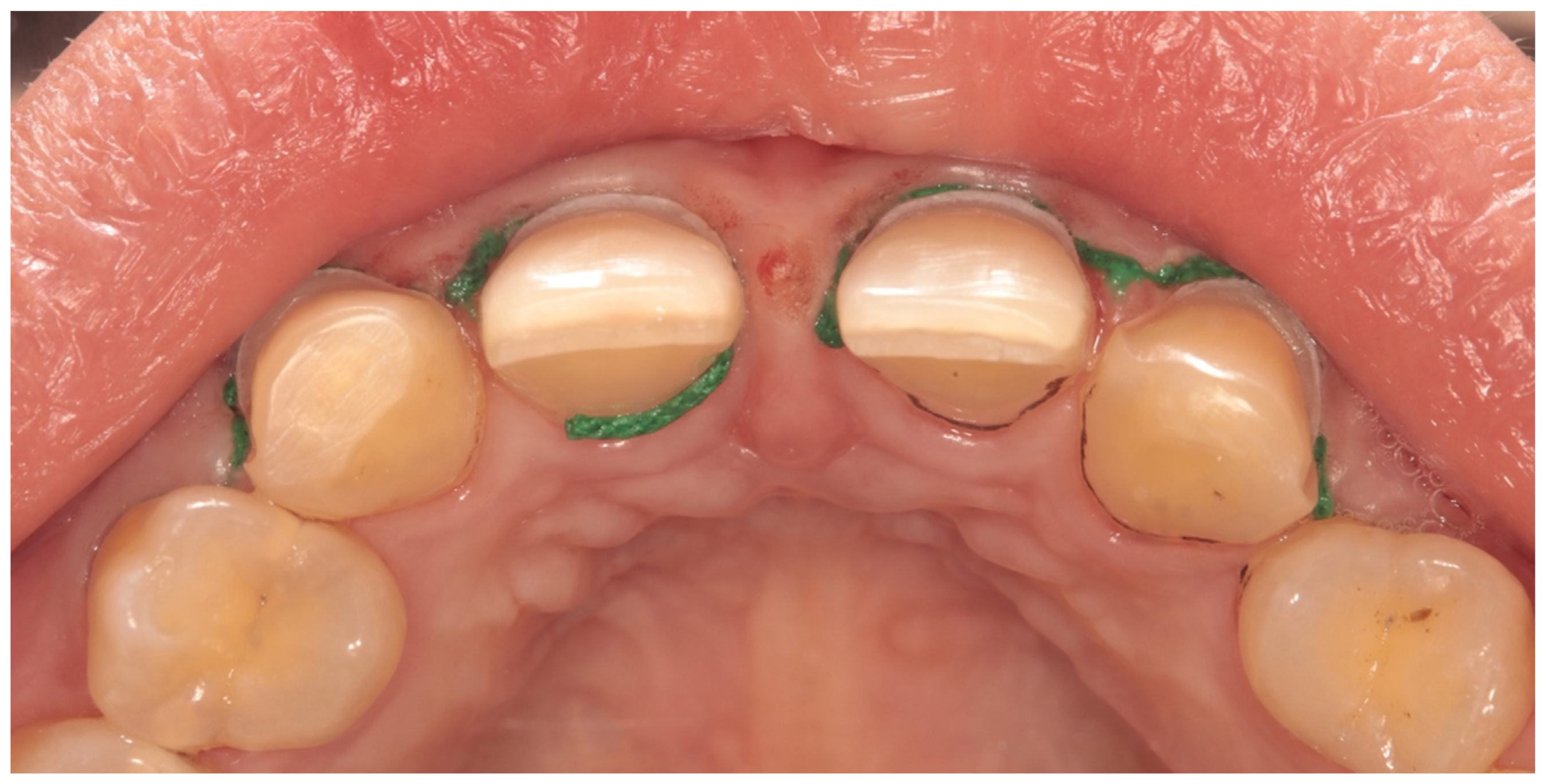
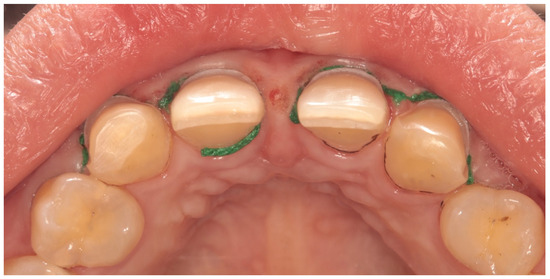
2.6. Clinical Procedures for IC Veneers
2.7. Clinical Procedures for DC Veneers
2.8. Clinical Evaluation
2.9. Statistical Analysis and Data Interpretation
3. Results
4. Discussion
5. Conclusions
6. Clinical Relevance
Author Contributions
Funding
Institutional Review Board Statement
Informed Consent Statement
Data Availability Statement
Conflicts of Interest
References
- Meijering, A.; Creugers, N.; Roeters, F.; Mulder, J. Survival of three types of veneer restorations in a clinical trial: A 2.5-year interim evaluation. J. Dent. 1998, 26, 563–568. [Google Scholar] [CrossRef] [PubMed]
- Wakiaga, J.M.; Brunton, P.; Silikas, N.; Glenny, A.M. Direct versus indirect veneer restorations for intrinsic dental stains. Cochrane Database Syst. Rev. 2004, 1, CD004347. [Google Scholar]
- Gresnigt, M.; Cune, M.; Jansen, K.; Van der Made, S.; Özcan, M. Randomized clinical trial on indirect resin composite and ceramic laminate veneers: Up to 10-year findings. J. Dent. 2019, 86, 102–109. [Google Scholar] [CrossRef] [PubMed]
- Dunne, S.; Millar, B. A longitudinal study of the clinical performance of porcelain veneers. Br. Dent. J. 1993, 175, 317–321. [Google Scholar] [CrossRef]
- Oh, W.-s.; DeLong, R.; Anusavice, K.J. Factors affecting enamel and ceramic wear: A literature review. J. Prosthet. Dent. 2002, 87, 451–459. [Google Scholar] [CrossRef] [PubMed]
- Fradeani, M.; Redemagni, M.; Corrado, M. Porcelain laminate veneers: 6-to 12-year clinical evaluation--a retrospective study. Int. J. Periodontics Restor. 2005, 25, 9–17. [Google Scholar]
- MJ, F. A 15-year review of porcelain veneer failure-a clinician’s observations. Compend. Contin. Educ. Dent. 1998, 19, 625–636. [Google Scholar]
- Guess, P.C.; Stappert, C.F. Midterm results of a 5-year prospective clinical investigation of extended ceramic veneers. Dent. Mater. 2008, 24, 804–813. [Google Scholar] [CrossRef]
- Karlsson, S.; Landahl, I.; Stegersjö, G.; Milleding, P. A clinical evaluation of ceramic laminate veneers. Int. J. Prosthodont. 1992, 5, 447–451. [Google Scholar]
- Peumans, M.; De Munck, J.; Fieuws, S.; Lambrechts, P.; Vanherle, G.; Van Meerbeek, B. A prospective ten-year clinical trial of porcelain veneers. J. Adhes. Dent. 2004, 6, 65–76. [Google Scholar]
- Pepperberg, I.M.; Howell, K.S.; Banta, P.A.; Patterson, D.K.; Meister, M. Measurement of Grey parrot (Psittacus erithacus) trachea via magnetic resonance imaging, dissection, and electron beam computed tomography. J. Morphol. 1998, 238, 81–91. [Google Scholar] [CrossRef]
- Mazzetti, T.; Collares, K.; Rodolfo, B.; da Rosa Rodolpho, P.A.; van de Sande, F.H.; Cenci, M.S. 10-year practice-based evaluation of ceramic and direct composite veneers. Dent. Mater. 2022, 38, 898–906. [Google Scholar] [CrossRef]
- Korkut, B.; Türkmen, C. Longevity of direct diastema closure and recontouring restorations with resin composites in maxillary anterior teeth: A 4-year clinical evaluation. J. Esthetic. Restor. Dent. 2021, 33, 590–604. [Google Scholar] [CrossRef] [PubMed]
- Demirci, M.; Tuncer, S.; Öztaş, E.; Tekçe, N.; Uysal, Ö. A 4-year clinical evaluation of direct composite build-ups for space closure after orthodontic treatment. Clin. Oral Investig. 2015, 19, 2187–2199. [Google Scholar] [CrossRef]
- Pereira Sanchez, N.; Powers, J.M.; Paravina, R.D. Instrumental and visual evaluation of the color adjustment potential of resin composites. J. Esthetic. Restor. Dent. 2019, 31, 465–470. [Google Scholar] [CrossRef]
- Paolone, G.; Scolavino, S.; Gherlone, E.; Spagnuolo, G. Direct esthetic composite restorations in anterior teeth: Managing symmetry strategies. Symmetry 2021, 13, 797. [Google Scholar] [CrossRef]
- Dietschi, D.; Shahidi, C.; Krejci, I. Clinical performance of direct anterior composite restorations: A systematic literature review and critical appraisal. Int. J. Esthet. Dent. 2019, 14, 252–270. [Google Scholar]
- Massano, G.; Comba, A.; Garombo, E.; Baldi, A.; Alovisi, M.; Pasqualini, D.; Multari, S.; Scotti, N. Direct Composite Restorations of Anterior Teeth: A Retrospective Clinical Study. J. Adhes. Dent. 2019, 21, 465. [Google Scholar]
- Wolff, D.; Kraus, T.; Schach, C.; Pritsch, M.; Mente, J.; Staehle, H.J.; Ding, P. Recontouring teeth and closing diastemas with direct composite buildups: A clinical evaluation of survival and quality parameters. J. Dent. 2010, 38, 1001–1009. [Google Scholar] [CrossRef]
- Demarco, F.F.; Collares, K.; Coelho-de-Souza, F.H.; Correa, M.B.; Cenci, M.S.; Moraes, R.R.; Opdam, N.J. Anterior composite restorations: A systematic review on long-term survival and reasons for failure. Dent. Mater. 2015, 31, 1214–1224. [Google Scholar] [CrossRef]
- Peumans, M.; Meerbeek, B.V.; Lambrechts, P.; Vanherle, G. The 5-year clinical performance of direct composite additions to correct tooth form and position: I. Esthetic qualities. Clin. Oral Investig. 1997, 1, 12–18. [Google Scholar] [CrossRef] [PubMed]
- Heintze, S.D.; Rousson, V.; Hickel, R. Clinical effectiveness of direct anterior restorations—A meta-analysis. Dent. Mater. 2015, 31, 481–495. [Google Scholar] [CrossRef] [PubMed]
- Rindler, W. Visual horizons in world-models. Mon. Not. R. Astr. Soc. 1956, 116, 662–677, reprinted in Gen. Rel. Grav. 2002, 34, 133–153. [Google Scholar] [CrossRef]
- Schulz, K.F.; Altman, D.G.; Moher, D. CONSORT 2010 statement: Updated guidelines for reporting parallel group randomised trials. J. Pharmacol. Pharmacother. 2010, 1, 100–107. [Google Scholar] [CrossRef] [PubMed]
- Öztürk, E.; Bolay, Ş. Survival of porcelain laminate veneers with different degrees of dentin exposure: 2-year clinical results. J. Adhes. Dent. 2014, 16, 481–489. [Google Scholar] [PubMed]
- Manauta, J.; Salat, A.; Putignano, A.; Devoto, W.; Paolone, G.; Hardan, L.S. Stratification in anterior teeth using one dentine shade and a predefined thickness of enamel: A new concept in composite layering—Part I. Odontostomatol. Trop. 2014, 37, 5–16. [Google Scholar] [PubMed]
- Gresnigt, M.M.; Kalk, W.; Özcan, M. Randomized clinical trial of indirect resin composite and ceramic veneers: Up to 3-year follow-up. J. Adhes. Dent. 2013, 15, 181–190. [Google Scholar] [PubMed]
- Frese, C.; Schiller, P.; Staehle, H.J.; Wolff, D. Recontouring teeth and closing diastemas with direct composite buildups: A 5-year follow-up. J. Dent. 2013, 41, 979–985. [Google Scholar] [CrossRef]
- Magne, P.; Douglas, W.H. Design optimization and evolution of bonded ceramics for the anterior dentition: A finite-element analysis. Quintessence Int. 1999, 30, 661–672. [Google Scholar]
- Coelho-de-Souza, F.H.; Gonçalves, D.S.; Sales, M.P.; Erhardt, M.C.G.; Corrêa, M.B.; Opdam, N.J.; Demarco, F.F. Direct anterior composite veneers in vital and non-vital teeth: A retrospective clinical evaluation. J. Dent. 2015, 43, 1330–1336. [Google Scholar] [CrossRef]
- Paravina, R.D. Evaluation of blending effect of composites related to restoration size. Dent. Mater. 2006, 21, 1–9. [Google Scholar] [CrossRef] [PubMed]
- Drummond, J.L. Degradation, fatigue, and failure of resin dental composite materials. J. Dent. Res. 2008, 87, 710–719. [Google Scholar] [CrossRef] [PubMed]
- Takeshige, F.; Kawakami, Y.; Hayashi, M.; Ebisu, S. Fatigue behavior of resin composites in aqueous environments. Dent. Mater. 2007, 23, 893–899. [Google Scholar] [CrossRef] [PubMed]
- Rinastiti, M.; Özcan, M.; Siswomihardjo, W.; Busscher, H.; Van Der Mei, H. Effect of biofilm on the repair bond strengths of composites. J. Dent. Res. 2010, 89, 1476–1481. [Google Scholar] [CrossRef] [PubMed]
- Ccahuana, V.Z.; Özcan, M.; Mesquita, A.M.; Nishioka, R.S.; Kimpara, E.T.; Bottino, M.A. Surface degradation of glass ceramics after exposure to acidulated phosphate fluoride. J. Appl. Oral Sci. 2010, 18, 155–165. [Google Scholar] [CrossRef] [PubMed]
- Fuzzi, M.; Zaccheroni, Z.; Vallania, G. Scanning electron microscopy and profilometer evaluation of glazed and polished dental porcelain. Int. J. Prosthodont. 1996, 9, 452–458. [Google Scholar] [PubMed]
- Kawai, K.; Urano, M. Adherence of plaque components to different restorative materials. Oper. Dent. 2001, 26, 396–400. [Google Scholar]
- Dumfahrt, H.; Schäffer, H. Porcelain laminate veneers. A retrospective evaluation after 1 to 10 years of service: Part II--Clinical results. Int. J. Prosthodont. 2000, 13, 9–18. [Google Scholar]








| Material | Description | Composition | LOT No. | Manufacturer |
|---|---|---|---|---|
| IPS e.max Press | Lithium disilicate | SiO2, Li2O, K2O, MgO, ZnO, Al2O3, P2O5, and other oxides. | M122766 | Ivoclar Vivadent, Amherst, NY, USA |
| Estelite Asteria (Body shades) | Nano-filled spherical composite resin | Matrix: Bis-GMA, Bis-MPEPP, TEGDMA, UDMA Filler: Uniform supra- nano spherical silica and zirconia fillers (200 nm). 82 wt %, 71 vol % | W122 | Tokuyama Dental, Tokyo, Japan |
| Variolink Veneer | Photopolymerized luting cement | Urethane dimethacrylate, decamethylene dimethacrylate, inorganic fillers, ytterbium trifluoride, initiators, stabilizers, pigments | P38751 | Ivoclar Vivadent, Amherst, NY, USA |
| Monobond S | Silane coupling agent | 1% 3-methacryloxypropyltrimethoxysailane, ethanol-/water-based solution | K30454 | Ivoclar Vivadent, Amherst, NY, USA |
| Ceramic etching gel | Hydrofluoric acid | <5% hydrofluoric acid | 1000001664 | Ivoclar Vivadent, Amherst, NY, USA |
| Syntac Primer | Primer | Triethylene glycol dimethacrylate, polyethylene glycol dimethacrylate, maleic acid, acetone | K12455 | Ivoclar Vivadent, Amherst, NY |
| Syntac adhesive | Adhesive | polyethylene glycol dimethacrylate, glutaraldehyde | K30566 | Ivoclar Vivadent, Amherst, NY |
| Heliobond | Bonding agent | Bis-GMA, triethylene glycol dimethacrylate, catalysts, stabilizers | K30325 | |
| Total etch | Phosphoric acid | 37% phosphoric acid | K17720 | Ivoclar Vivadent, Amherst, NY |
| Try-in Paste | Glycerin | Glycerin, mineral fillers and dyes | 7405123 | Ivoclar Vivadent, Amherst, NY |
| Bond Force II | Self-etch adhesive agent (single bottle) | Hydroxyethyl methacrylate, bisphenol A di (2-hydroxy propoxy) dimethacrylate, camphorquinone, dibutyl hydroxy toluene, diphenyl (2,4,6-trimethylbenzoyl) phosphine oxide, mequinol, phosphoric acid monomer, propan-2-ol, water, triethylene glycol dimethacrylate | 202 | Tokuyama Dental, Tokyo, Japan |
| Surface Treatment | Tooth Surface | Porcelain Inner Surface |
|---|---|---|
| Etching | Enamel: 37% phosphoric acid for 30 s Dentin: 37% phosphoric acid for 15 s | 5% Hydrofluoric acid for 20 s |
| Adhesive |
|
|
| Category | Score | Criteria |
|---|---|---|
| Adaptation | 0 | Smooth Margin |
| 1 | All margins closed or possess minor voids or defects (enamel exposed) | |
| 2 | Obvious crevice at margin, dentin or base exposed | |
| 3 | Debonded from one end | |
| 4 | Debonded from both ends | |
| Color match | 0 | Very good color match |
| 1 | Good color match | |
| 2 | Slight mismatch in color or shade | |
| 3 | Obvious mismatch, outside the normal range | |
| 4 | Gross mismatch | |
| Marginal Discoloration | 0 | No discoloration evident |
| 1 | Slight staining, can be polished away | |
| 2 | Obvious staining, cannot be polished away | |
| 3 | Gross staining | |
| Surface roughness | 0 | Smooth surface |
| 1 | Slightly rough or pitted | |
| 2 | Rough, cannot be refinished | |
| 3 | Surface deeply pitted, irregular grooves | |
| Fracture of restoration | 0 | No fracture |
| 1 | Minor crack lines over restoration | |
| 2 | Minor chippings of restoration (1/4 of restoration) | |
| 3 | Moderate chippings of restoration (1/2 of restoration) | |
| 4 | Severe chippings (3/4 restoration) | |
| 5 | Debonding of restoration | |
| Fracture of tooth | 0 | No fracture of tooth |
| 1 | Minor crack lines in tooth | |
| 2 | Minor chippings of tooth (1/4 of crown) | |
| 3 | Moderate chippings of tooth (1/2 of crown) | |
| 4 | Crown fracture near cementum enamel line | |
| 5 | Crown-root fracture (extraction) | |
| Wear of restoration | 0 | No wear |
| 1 | Wear | |
| Wear of antagonist | 0 | No wear |
| 1 | Wear of antagonist | |
| Caries | 0 | No evidence of caries continuous along the margin of the restoration |
| 1 | Caries evident continuous with the margin of the restoration | |
| Postoperative sensitivity | 0 | No symptoms |
| 1 | Slight sensitivity | |
| 2 | Moderate sensitivity | |
| 3 | Severe pain |
| Criteria | Score | Baseline | Final Evaluation | ||||
|---|---|---|---|---|---|---|---|
| Direct Composite Veneers (n = 60) | Indirect Ceramic Veneers (n = 60) | Direct Composite Veneers (n=60) | Indirect Ceramic Veneers (n = 60) | ||||
| Adaptation of Restoration | 0 | 59 | 60 | p = 1 | 57 | 59 | p = 0.505 |
| 1 | 1 | – | 3 | 1 | |||
| 2 | – | – | – | – | |||
| 3 | – | – | – | – | |||
| 4 | – | – | – | – | |||
| Color Match | 0 | 60 | 60 | p = 1 | 58 | 58 | p = 0.496 |
| 1 | – | – | – | – | |||
| 2 | – | – | 2 | 2 | |||
| 3 | – | – | – | – | |||
| 4 | – | – | – | – | |||
| Marginal Discoloration | 0 | 60 | 60 | p = 1 | 49 | 58 | p = 0.04 * |
| 1 | – | – | 7 | 2 | |||
| 2 | – | – | 4 | – | |||
| 3 | – | – | – | – | |||
| Surface Roughness | 0 | 59 | 60 | p = 1 | 46 | 57 | p = 0.01 * |
| 1 | 1 | – | 10 | 3 | |||
| 2 | – | – | 4 | – | |||
| 3 | – | – | – | – | |||
| Fracture of Restoration | 0 | 60 | 60 | p = 1 | 56 | 57 | p = 1 |
| 1 | – | – | – | – | |||
| 2 | – | – | – | 2 | |||
| 3 | – | – | 3 | – | |||
| 4 | – | – | – | – | |||
| 5 | – | – | – | 1 | |||
| Fracture of Tooth | 0 | 60 | 60 | p = 1 | 60 | 60 | p = 1 |
| 1 | – | – | – | – | |||
| 2 | – | – | – | – | |||
| 3 | – | – | – | – | |||
| 4 | – | – | – | – | |||
| 5 | – | – | – | – | |||
| Wear of Restoration | 0 | 60 | 60 | p = 1 | 60 | 60 | p = 1 |
| 1 | – | – | – | – | |||
| Wear of Antagonist | 0 | 60 | 60 | p = 1 | 60 | 60 | p = 1 |
| 1 | – | – | – | – | |||
| Caries | 0 | 60 | 60 | p = 1 | 60 | 60 | p = 1 |
| 1 | – | – | – | – | |||
| Post-operative Sensitivity | 0 | 50 | 48 | p = 0.676 | 60 | 60 | p = 1 |
| 1 | 4 | 3 | – | – | |||
| 2 | 6 | 9 | – | – | |||
| 3 | – | – | – | ||||
Disclaimer/Publisher’s Note: The statements, opinions and data contained in all publications are solely those of the individual author(s) and contributor(s) and not of MDPI and/or the editor(s). MDPI and/or the editor(s) disclaim responsibility for any injury to people or property resulting from any ideas, methods, instructions or products referred to in the content. |
© 2024 by the authors. Licensee MDPI, Basel, Switzerland. This article is an open access article distributed under the terms and conditions of the Creative Commons Attribution (CC BY) license (https://creativecommons.org/licenses/by/4.0/).
Share and Cite
Elkaffas, A.A.; Alshehri, A.; Alqahtani, A.R.; Abuelqomsan, M.A.; Deeban, Y.A.M.; Albaijan, R.S.; Alanazi, K.K.; Almudahi, A.F. Randomized Clinical Trial on Direct Composite and Indirect Ceramic Laminate Veneers in Multiple Diastema Closure Cases: Two-Year Follow-Up. Materials 2024, 17, 3514. https://doi.org/10.3390/ma17143514
Elkaffas AA, Alshehri A, Alqahtani AR, Abuelqomsan MA, Deeban YAM, Albaijan RS, Alanazi KK, Almudahi AF. Randomized Clinical Trial on Direct Composite and Indirect Ceramic Laminate Veneers in Multiple Diastema Closure Cases: Two-Year Follow-Up. Materials. 2024; 17(14):3514. https://doi.org/10.3390/ma17143514
Chicago/Turabian StyleElkaffas, Ali A., Abdullah Alshehri, Ali R. Alqahtani, Mohammed A. Abuelqomsan, Yahya A. M. Deeban, Refal S. Albaijan, Khalid K. Alanazi, and Abdulellah F. Almudahi. 2024. "Randomized Clinical Trial on Direct Composite and Indirect Ceramic Laminate Veneers in Multiple Diastema Closure Cases: Two-Year Follow-Up" Materials 17, no. 14: 3514. https://doi.org/10.3390/ma17143514
APA StyleElkaffas, A. A., Alshehri, A., Alqahtani, A. R., Abuelqomsan, M. A., Deeban, Y. A. M., Albaijan, R. S., Alanazi, K. K., & Almudahi, A. F. (2024). Randomized Clinical Trial on Direct Composite and Indirect Ceramic Laminate Veneers in Multiple Diastema Closure Cases: Two-Year Follow-Up. Materials, 17(14), 3514. https://doi.org/10.3390/ma17143514

