W + Cu and W + Ni Composites and FGMs Prepared by Plasma Transferred Arc Cladding
Abstract
1. Introduction
2. Experimental
3. Results
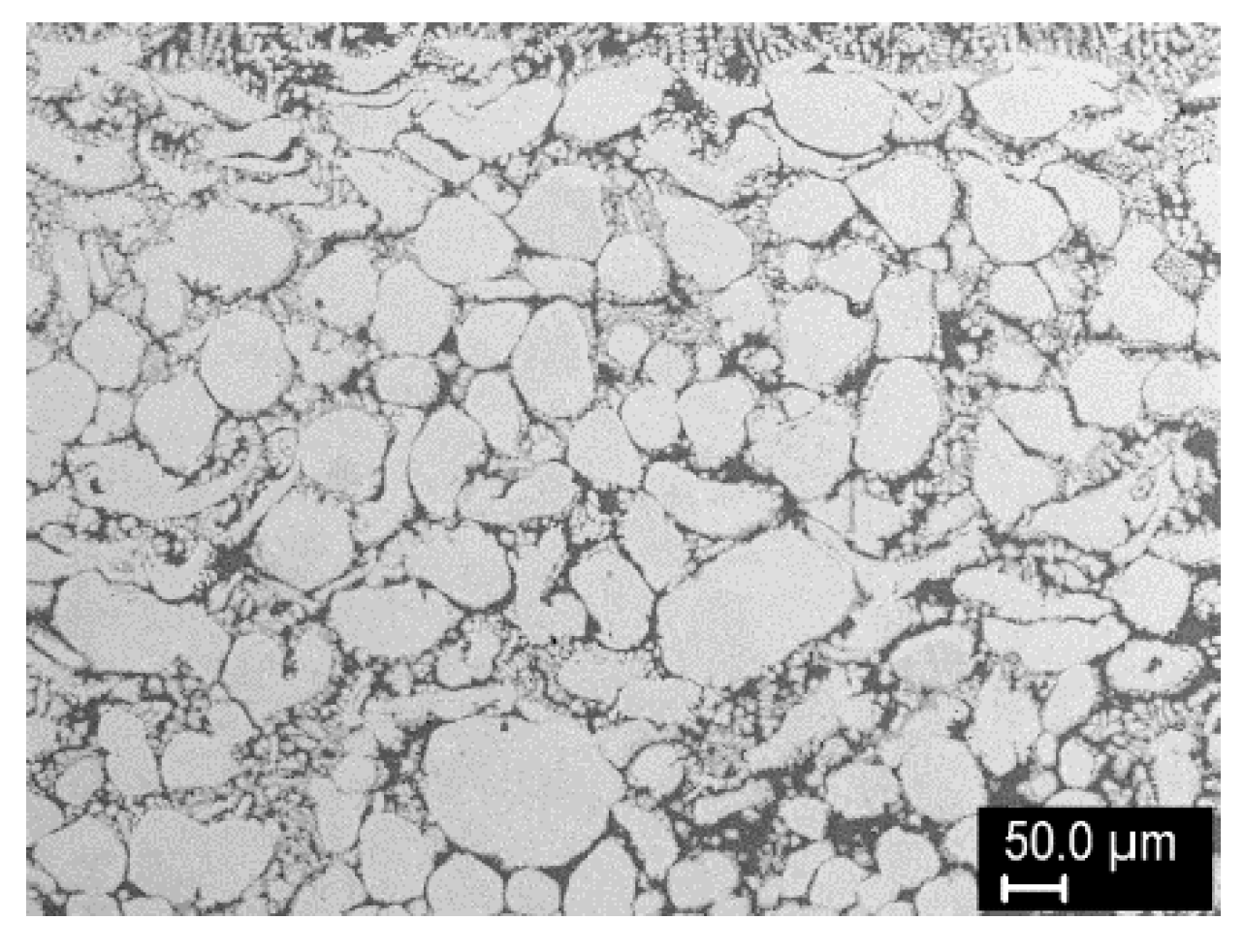
3.1. W + Ni Cladding
3.2. W + Cu Cladding
4. Conclusions
Author Contributions
Funding
Institutional Review Board Statement
Informed Consent Statement
Data Availability Statement
Conflicts of Interest
References
- Linke, J.; Du, J.; Loewenhoff, T.; Pintsuk, G.; Spilker, B.; Steudel, I.; Wirtz, M. Challenges for plasma-facing components in nuclear fusion. Matter Radiat. Extremes 2019, 4, 056201. [Google Scholar] [CrossRef]
- Pintsuk, G. Tungsten as a plasma-facing material. In Comprehensive Nuclear Materials; Konings, R.J.M., Ed.; Elsevier: Amsterdam, The Netherlands, 2012; pp. 551–581. [Google Scholar]
- Rieth, M.; Dudarev, S.; De Vicente, S.G.; Aktaa, J.; Ahlgren, T.; Antusch, S.; Armstrong, D.E.J.; Balden, M.; Baluc, N.; Barthe, M.-F.; et al. Recent progress in research on tungsten materials for nuclear fusion applications in Europe. J. Nucl. Mater. 2013, 432, 482–500. [Google Scholar] [CrossRef]
- Rieth, M.; Doerner, R.P.; Hasegawa, A.; Ueda, Y.; Wirtz, M. Behavior of tungsten under irradiation and plasma interaction. J. Nucl. Mater. 2019, 519, 334–368. [Google Scholar] [CrossRef]
- Heuer, S.; Coenen, J.W.; Pintsuk, G.; Matějíček, J.; Vilémová, M.; Linsmeier, C. Overview of challenges and developments in joining tungsten and steel for future fusion reactors. Phys. Scr. 2020, T171, 014028. [Google Scholar] [CrossRef]
- Heuer, S.; Weber, T.; Pintsuk, G.; Coenen, J.W.; Matejicek, J.; Linsmeier, Ch. Aiming at Understanding Thermo-Mechanical Loads in the First Wall of DEMO: Stress-Strain Evolution in a Eurofer-Tungsten Test Component Featuring a Functionally Graded Interlayer. Fusion Eng. Des. 2018, 135, 141–153. [Google Scholar] [CrossRef]
- Matějíček, J.; Nevrlá, B.; Vilémová, M.; Boldyryeva, H. Overview of processing technologies for tungsten-steel composites and FGMs for fusion applications. Nukl. 2015, 60, 267–273. [Google Scholar] [CrossRef]
- Neu, R.; Maier, H.; Balden, M.; Elgeti, S.; Gietl, H.; Greuner, H.; Herrmann, A.; Houben, A.; Rohde, V.; Sieglin, B.; et al. Investigations on tungsten heavy alloys for use as plasma facing material. Fusion Eng. Des. 2017, 124, 450–454. [Google Scholar] [CrossRef]
- Laas, T.; Laas, K.; Paju, J.; Priimets, J.; Tõkke, S.; Väli, B.; Shirokova, V.; Antonov, M.; Gribkov, V.; Demina, E.; et al. Behaviour of tungsten alloy with iron and nickel under repeated high temperature plasma pulses. Fusion Eng. Des. 2020, 151, 111408. [Google Scholar] [CrossRef]
- Neu, R.; Maier, H.; Balden, M.; Dux, R.; Elgeti, S.; Gietl, H.; Greuner, H.; Herrmann, A.; Höschen, T.; Li, M.; et al. Results on the use of tungsten heavy alloys in the divertor of ASDEX Upgrade. J. Nucl. Mater. 2018, 511, 567–573. [Google Scholar] [CrossRef]
- Park, J.W.; Lee, H.C.; Lee, S. Composition, microstructure, hardness, and wear properties of high-speed steel rolls. Met. Mater. Trans. A 1999, 30, 399–409. [Google Scholar] [CrossRef]
- Rohan, P.; Boxanova, M.; Zhang, L.; Kramar, T.; Lukac, F. High speed steel deposited by pulsed PTA-Frequency influence. In Proceedings of the International Thermal Spray Conference, Düsseldorf, Germany, 7–9 June 2017; pp. 404–407. [Google Scholar]
- Keränen, M. Effect of Welding Parameters of Plasma Transferred Arc Welding Method on Abrasive Wear Resistance of WR6 Tool Steel Deposit. Ph.D. Thesis, Tampere University of Technology, Tampere, Finland, 2010. [Google Scholar]
- Davis, J.R. Surface Engineering for Corrosion and Wear Resistance; ASM International: Materials Park, OH, USA, 2001. [Google Scholar]
- Veinthal, R.; Sergejev, F.; Zikin, A.; Tarbe, R.; Hornung, J. Abrasive impact wear and surface fatigue wear behaviour of Fe–Cr–C PTA overlays. Wear 2013, 301, 102–108. [Google Scholar] [CrossRef]
- Fauchais, P.; Vardelle, A. Thermal Plasmas Surface Treatment. In Materials Surface Processing by Directed Energy Techniques; Pauleau, Y., Ed.; Elsevier: Amsterdam, The Netherlands, 2006; pp. 311–344. [Google Scholar]
- Deuis, R.; Yellup, J.; Subramanian, C. Metal-matrix composite coatings by PTA surfacing. Compos. Sci. Technol. 1998, 58, 299–309. [Google Scholar] [CrossRef]
- Matějíček, J.; Chráska, P.; Linke, J. Thermal Spray Coatings for Fusion Applications—Review. J. Therm. Spray Technol. 2007, 16, 64–83. [Google Scholar] [CrossRef]
- Heuer, S.; Matějíček, J.; Vilémová, M.; Koller, M.; Illková, K.; Veverka, J.; Weber, T.; Pintsuk, G.; Coenen, J.W.; Linsmeier, C. Atmospheric Plasma Spraying of Functionally Graded Steel/Tungsten Layers for the First Wall of Future Fusion Reactors. Surf. Coat. Technol. 2019, 366, 170–178. [Google Scholar] [CrossRef]
- Saleh, B.; Jiang, J.; Fathi, R.; Al-Hababi, T.; Xu, Q.; Wang, L.; Song, D.; Ma, A. 30 Years of functionally graded materials: An overview of manufacturing methods, Applications and Future Challenges. Compos. Part B: Eng. 2020, 201, 108376. [Google Scholar] [CrossRef]
- Rodriguez, J.; Hoefer, K.; Haelsig, A.; Mayr, P. Functionally Graded SS 316L to Ni-Based Structures Produced by 3D Plasma Metal Deposition. Metals 2019, 9, 620. [Google Scholar] [CrossRef]
- Parihar, R.S.; Setti, S.G.; Sahu, R.K. Recent advances in the manufacturing processes of functionally graded materials: A review. Sci. Eng. Compos. Mater. 2018, 25, 309–336. [Google Scholar] [CrossRef]
- PPC 250 R6 Product Page, KSK. Available online: https://www.kskct.cz/en/weld-surfacing/plasma-weld-surfacing-automatic-machines/690-ppc-250-r6 (accessed on 29 January 2021).
- Antoš, J. PTA Cladding of Materials for the First Wall of Fusion Reactors. Master Thesis, Czech Technical University in Prague, Prague, Czech Republic, 2018. (In Czech). [Google Scholar]
- MatWeb-Material Property Data. Available online: http://www.matweb.com (accessed on 15 January 2020).
- Selvaraj, S.K.; Srinivasan, K.; Deshmukh, J.; Agrawal, D.; Mungilwar, S.; Jagtap, R.; Hu, Y.-C. Performance Comparison of Advanced Ceramic Cladding Approaches via Solid-State and Traditional Welding Processes: A Review. Materials 2020, 13, 5805. [Google Scholar] [CrossRef] [PubMed]
- Matějíček, J.; Nevrlá, B.; Čech, J.; Vilémová, M.; Klevarová, V.; Haušild, P. Mechanical and Thermal Properties of Individual Phases Formed in Sintered Tungsten-Steel Composites. Acta Phys. Pol. A 2015, 128, 718–721. [Google Scholar] [CrossRef]
- Mergia, K.; Boukos, N. Structural, thermal, electrical and magnetic properties of Eurofer 97 steel. J. Nucl. Mater. 2008, 373, 1–8. [Google Scholar] [CrossRef]












| Material. | Size Range (μm) | d50 (μm) | Composition |
|---|---|---|---|
| W | 65–110 | 80 | W |
| Ni-340 | 90–180 | 146 | Ni–4Cr–3Mo–1B–2.8Si–1.9P |
| Cu | 130–210 | 174 | Cu |
| AISI 303 | 71.4Fe–18.4 Cr–7.8 Ni–1.5Mn |
| Sample | 25% W | 50% W | 75% W |
|---|---|---|---|
| Element | (wt %) | ||
| Cr | 4.0 | 4.1 | 3.4 |
| Fe | 0.3 | 0.3 | 0.6 |
| Ni | 85 | 60.3 | 49.7 |
| Mo | 3 | 2.2 | 1.5 |
| W | 7.8 | 31.6 | 44.5 |
Publisher’s Note: MDPI stays neutral with regard to jurisdictional claims in published maps and institutional affiliations. |
© 2021 by the authors. Licensee MDPI, Basel, Switzerland. This article is an open access article distributed under the terms and conditions of the Creative Commons Attribution (CC BY) license (http://creativecommons.org/licenses/by/4.0/).
Share and Cite
Matějíček, J.; Antoš, J.; Rohan, P. W + Cu and W + Ni Composites and FGMs Prepared by Plasma Transferred Arc Cladding. Materials 2021, 14, 789. https://doi.org/10.3390/ma14040789
Matějíček J, Antoš J, Rohan P. W + Cu and W + Ni Composites and FGMs Prepared by Plasma Transferred Arc Cladding. Materials. 2021; 14(4):789. https://doi.org/10.3390/ma14040789
Chicago/Turabian StyleMatějíček, Jiří, Jakub Antoš, and Pavel Rohan. 2021. "W + Cu and W + Ni Composites and FGMs Prepared by Plasma Transferred Arc Cladding" Materials 14, no. 4: 789. https://doi.org/10.3390/ma14040789
APA StyleMatějíček, J., Antoš, J., & Rohan, P. (2021). W + Cu and W + Ni Composites and FGMs Prepared by Plasma Transferred Arc Cladding. Materials, 14(4), 789. https://doi.org/10.3390/ma14040789

