Countercurrent Flow Limitation in a Pipeline with an Orifice
Abstract
1. Introduction
2. Experimental Setup and Procedure
3. Results and Discussion
3.1. Visualizations
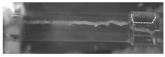
3.1.1. Stable Conditions
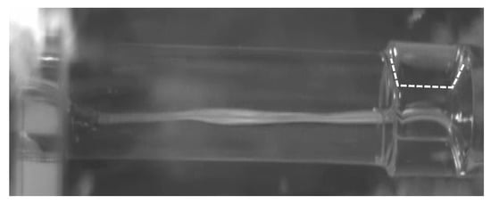
3.1.2. Unstable Conditions
3.2. CCFL
4. Conclusions
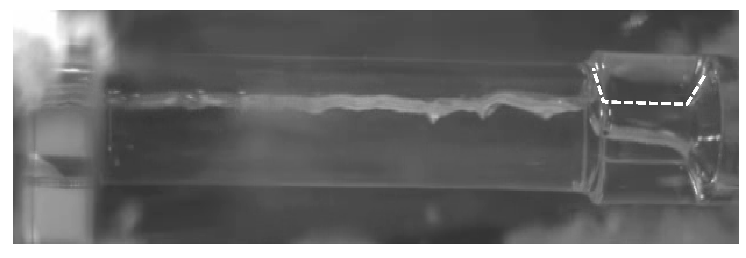
- If the condensate drainage is low, the liquid level is low, with a stable stratified flow in the orifice, and there is no differential pressure oscillation. However, when a higher condensate is generated in the condenser, the liquid level increases to some extent, and the stratified wavy flow occurs. When the steam flowrate decreases and the condensate drainage increases, the inlet of the orifice is choked by the water flow, which subsequently gives rise to differential pressure across the orifice, with periodic variation. The pattern alternately features stratified flow, stratified wavy flow, and slug flow, which indicates the occurrence of CCFL.
- The CCFL for the orifice geometry, as described in the manuscript, can be expressed as a Wallis correlation, where m and C are 0.682 and 0.601, respectively.
- Assuming the correlation obtained for the experimental test conditions is still valid and applicable for the operating conditions of the pressurizer, where the pressure is 155 bar (a), and the corresponding saturated temperature is 617.95 K, when CCFL occurs, the condensate drainage flowrate is estimated to be 2.95 kg/h.
Author Contributions
Funding
Data Availability Statement
Conflicts of Interest
Nomenclature
| General Symbols: | |
| D | inner diameter of pipe, m |
| g | acceleration of gravity, |
| j | superficial velocity, |
| j* | dimensionless superficial velocity |
| P | pressure, Pa |
| H | heigth, m |
| Greek alphabet” | |
| ρ | density, |
| Δ | pressure difference, Pa |
| Subscripts: | |
| G | gas |
| L | liquid |
| W | water |
| S | standard pipeline |
| T | test pipeline |
| ST | the difference between the standard pipeline and the test pipeline |
| C | condenser |
References
- Mostafa Ghiaasiaan, S. Two-Phase Flow, Boiling and Condensation: In Conventional and Miniature Systems; Cambridge University Press: Cambridge, UK, 2007; ISBN 9780511619410. [Google Scholar]
- Wallis, G.B. One-Dimensional Two-Phase Flow; McGraw Hill: New York, NY, USA, 1969. [Google Scholar]
- Bankoff, S.G.; Lee, S.C. A Critical Review of the Flooding Literature; NUREG/CR-3060; U.S. Nuclear Regulatory Commission: Washington, DC, USA, 1983.
- Suzuki, S.; Ueda, T. Behaviour of Liquid Films and Flooding in Counter-Current Two-Phase Flow—Part 1. Flow in Circular Tubes. Int. J. Multiph. Flow 1977, 3, 517–532. [Google Scholar] [CrossRef]
- Vijayan, M.; Jayanti, S.; Balakrishnan, A.R. Effect of Tube Diameter on Flooding. Int. J. Multiph. Flow 2001, 27, 797–816. [Google Scholar] [CrossRef]
- Kusunoki, T.; Murase, M.; Fujii, Y.; Nozue, T.; Hayashi, K.; Hosokawa, S.; Tomiyama, A. Effects of Fluid Properties on CCFL Characteristics at a Vertical Pipe Lower End. J. Nucl. Sci. Technol. 2015, 52, 887–896. [Google Scholar] [CrossRef]
- Bankoff, S.G.; Lee, S.C. Flooding and Hysteresis Effects in Nearly-Horizontal Countercurrent Stratified Steam-Water Flow. Int. J. Heat Mass Transf. 1987, 30, 581–588. [Google Scholar] [CrossRef]
- Choi, K.Y.; No, H.C. Experimental Studies of Flooding in Nearly Horizontal Pipes. Int. J. Multiph. Flow 1995, 21, 419–436. [Google Scholar] [CrossRef]
- Chun, M.H.; Yu, S.O. Effect of Steam Condensation on Countercurrent Flow Limiting in Nearly Horizontal Two-Phase Flow. Nucl. Eng. Des. 2000, 196, 201–217. [Google Scholar] [CrossRef]
- Lee, S.C.; Bankoff, S.G. Stability of Steam-Water Countercurrent Flow in an Inclined Channel. J. Heat Mass Transfer. 1982, 105, 713–718. [Google Scholar] [CrossRef]
- Zapke, A.; Kröger, D.G. Countercurrent Gas-Liquid Flow in Inclined and Vertical Ducts—I: Flow Patterns, Pressure Drop Characteristics and Flooding. Int. J. Multiph. Flow 2000, 26, 1439–1455. [Google Scholar] [CrossRef]
- Deendarlianto; Ousaka, A.; Indarto; Kariyasaki, A.; Lucas, D.; Vierow, K.; Vallee, C.; Hogan, K. The Effects of Surface Tension on Flooding in Counter-Current Two-Phase Flow in an Inclined Tube. Exp. Therm. Fluid Sci. 2010, 34, 813–826. [Google Scholar] [CrossRef]
- Al Issa, S.; MacIan, R. A Review of CCFL Phenomenon. Ann. Nucl. Energy 2011, 38, 1795–1819. [Google Scholar] [CrossRef]
- Deendarlianto; Höhne, T.; Lucas, D.; Vierow, K. Gas-Liquid Countercurrent Two-Phase Flow in a PWR Hot Leg: A Comprehensive Research Review. Nucl. Eng. Des. 2012, 243, 214–233. [Google Scholar] [CrossRef]
- Ohnuki, A. Experimental Study of Counter-Current Two-Phase Flow in Horizontal Tube Connected to Inclined Riser. J. Nucl. Sci. Technol. 1986, 23, 219–232. [Google Scholar] [CrossRef][Green Version]
- Navarro, M.A. Study of Countercurrent Flow Limitation in a Horizontal Pipe Connected to an Inclined One. Nucl. Eng. Des. 2005, 235, 1139–1148. [Google Scholar] [CrossRef]
- Vallée, C.; Lucas, D.; Beyer, M.; Pietruske, H.; Schütz, P.; Carl, H. Experimental CFD Grade Data for Stratified Two-Phase Flows. Nucl. Eng. Des. 2010, 240, 2347–2356. [Google Scholar] [CrossRef]
- Lucas, D.; Beyer, M.; Pietruske, H.; Szalinski, L. Counter-Current Flow Limitation for Air-Water and Steam-Water Flows in a PWR Hot Leg Geometry. Nucl. Eng. Des. 2017, 323, 56–67. [Google Scholar] [CrossRef]
- Astyanto, A.H.; Pramono, J.A.E.; Catrawedarma, I.G.N.B.; Deendarlianto. Indarto Statistical Characterization of Liquid Film Fluctuations during Gas-Liquid Two-Phase Counter-Current Flow in a 1/30 Scaled-down Test Facility of a Pressurized Water Reactor (PWR) Hot Leg. Ann. Nucl. Energy 2022, 172, 109065. [Google Scholar] [CrossRef]
- Sun, K.H. Flooding Correlations for BWR Bundle Upper Tie Plates and Bottom Side-Entry Orifice. In Proceedings of the Second Multi-Phase Flow and Heat Transfer Symposium-Workshop, Miami Beach, FL, USA, 16–18 April 1979; pp. 399–401. [Google Scholar]
- Murase, M.; Suzuki, H.; Matsumoto, T.; Naitoh, M. Countercurrent Gas-Liquid Flow in Boiling Channels. J. Nucl. Sci. Technol. 1986, 23, 487–502. [Google Scholar] [CrossRef][Green Version]
- Celata, G.P.; Cumo, N.; Farello, G.E.; Setaro, T. The Influence of Flow Obstructions on the Flooding Phenomenon in Vertical Channels. Int. J. Multiph. Flow 1989, 15, 227–239. [Google Scholar] [CrossRef]
- Kawaji, M.; Lotocki, P.A.; Krishnan, V.S. Countercurrent Flooding in Pipes Containing Multiple Elbows and an Orifice. J. Ser. B Fluids Therm. Eng. 1993, 36, 397–403. [Google Scholar] [CrossRef]
- Teyssedou, A.; Önder, E.N.; Tye, P. Air-Water Counter-Current Slug Flow Data in Vertical-to-Horizontal Pipes Containing Orifice Type Obstructions. Int. J. Multiph. Flow 2005, 31, 771–792. [Google Scholar] [CrossRef]



















| Item | Instrument | Type | Specification |
|---|---|---|---|
| Pressure difference between the standard pipeline and the common pressure pipe, DPS | Pressure transducer | Rosemount type 3051CD | 0~20 kPa, 0.1% measurement accuracy |
| Pressure difference between the test pipeline and the common pressure pipe, DPT | Pressure transducer | Rosemount type 3051CD | 0~20 kPa, 0.1% measurement accuracy |
| Pressure difference between the standard pipeline and the test pipeline, DPST | Pressure transducer | Rosemount type 3051CD | 0~20 kPa, 0.1% measurement accuracy |
| Saturated steam temperature | Thermocouple | T-type | ±0.5 K measurement accuracy |
| Saturated water temperature | Thermocouple | T-type | ±0.5 K measurement accuracy |
| Ambient temperature | Thermocouple | T-type | ±0.5 K measurement accuracy |
| Water level of the measurement cylinder | Measurement cylinder | - | D = 35.4 mm, 1 mm measurement accuracy |
| Cases | Fan Air Velocity | Oscillation | Drainage Mass Flowrate | Ambient Temp. |
|---|---|---|---|---|
| m/s | kg/h | K | ||
| 1 | 1.7 | No | 0.537 | 297.95 |
| 2 | 1.8 | No | 0.541 | 298.15 |
| 3 | 1.8 | No | 0.549 | 298.95 |
| 4 | 1.8 | No-Yes | 0.549 | 298.45 |
| 5 | 1.9 | Yes | 0.545 | 298.95 |
| 6 | 2.2 | Yes | 0.535 | 298.35 |
| 7 | 2.5 | Yes | 0.543 | 300.05 |
| 8 | 2.7 | Yes | 0.538 | 298.75 |
| 9 | 3.0 | Yes | 0.535 | 298.45 |
| Cases | Cooling Fan Air Velocity | Pressurizer Pressure | Drainage (CCFL) | Ambient Temp. |
|---|---|---|---|---|
| m/s | Bar (a) | kg/h | K | |
| 10 | 1.8 | 1.1 | 0.542 | 298.95 |
| 11 | 1.9 | 1.25 | 0.600 | 295.85 |
| 12 | 1.6 | 1.5 | 0.630 | 297.15 |
| 13 | 1.3 | 2.0 | 0.681 | 297.55 |
| 14 | 1.4 | 2.5 | 0.741 | 295.65 |
| 15 | 1.8 | 3.0 | 0.841 | 295.95 |
Disclaimer/Publisher’s Note: The statements, opinions and data contained in all publications are solely those of the individual author(s) and contributor(s) and not of MDPI and/or the editor(s). MDPI and/or the editor(s) disclaim responsibility for any injury to people or property resulting from any ideas, methods, instructions or products referred to in the content. |
© 2022 by the authors. Licensee MDPI, Basel, Switzerland. This article is an open access article distributed under the terms and conditions of the Creative Commons Attribution (CC BY) license (https://creativecommons.org/licenses/by/4.0/).
Share and Cite
Zhao, D.; Xu, C.; Wang, Z.; Zhu, X.; Li, Y.; Chi, X.; Wang, N. Countercurrent Flow Limitation in a Pipeline with an Orifice. Energies 2023, 16, 222. https://doi.org/10.3390/en16010222
Zhao D, Xu C, Wang Z, Zhu X, Li Y, Chi X, Wang N. Countercurrent Flow Limitation in a Pipeline with an Orifice. Energies. 2023; 16(1):222. https://doi.org/10.3390/en16010222
Chicago/Turabian StyleZhao, Danni, Chende Xu, Zhengguang Wang, Xixi Zhu, Yaru Li, Xiangyu Chi, and Naihua Wang. 2023. "Countercurrent Flow Limitation in a Pipeline with an Orifice" Energies 16, no. 1: 222. https://doi.org/10.3390/en16010222
APA StyleZhao, D., Xu, C., Wang, Z., Zhu, X., Li, Y., Chi, X., & Wang, N. (2023). Countercurrent Flow Limitation in a Pipeline with an Orifice. Energies, 16(1), 222. https://doi.org/10.3390/en16010222

