A Diagnosis of Maxillary Sinus Fracture with Cone-Beam CT: Case Report and Literature Review
Abstract
Applications of Cone-Beam CT in Maxillofacial Complex Fractures
Dentoalveolar Fractures
Mandibular Fractures
Midfacial Skeleton Fractures
Le Fort Fractures
Zygomaticomaxillary Complex Fractures
Nasal Fractures
Orbital Fractures
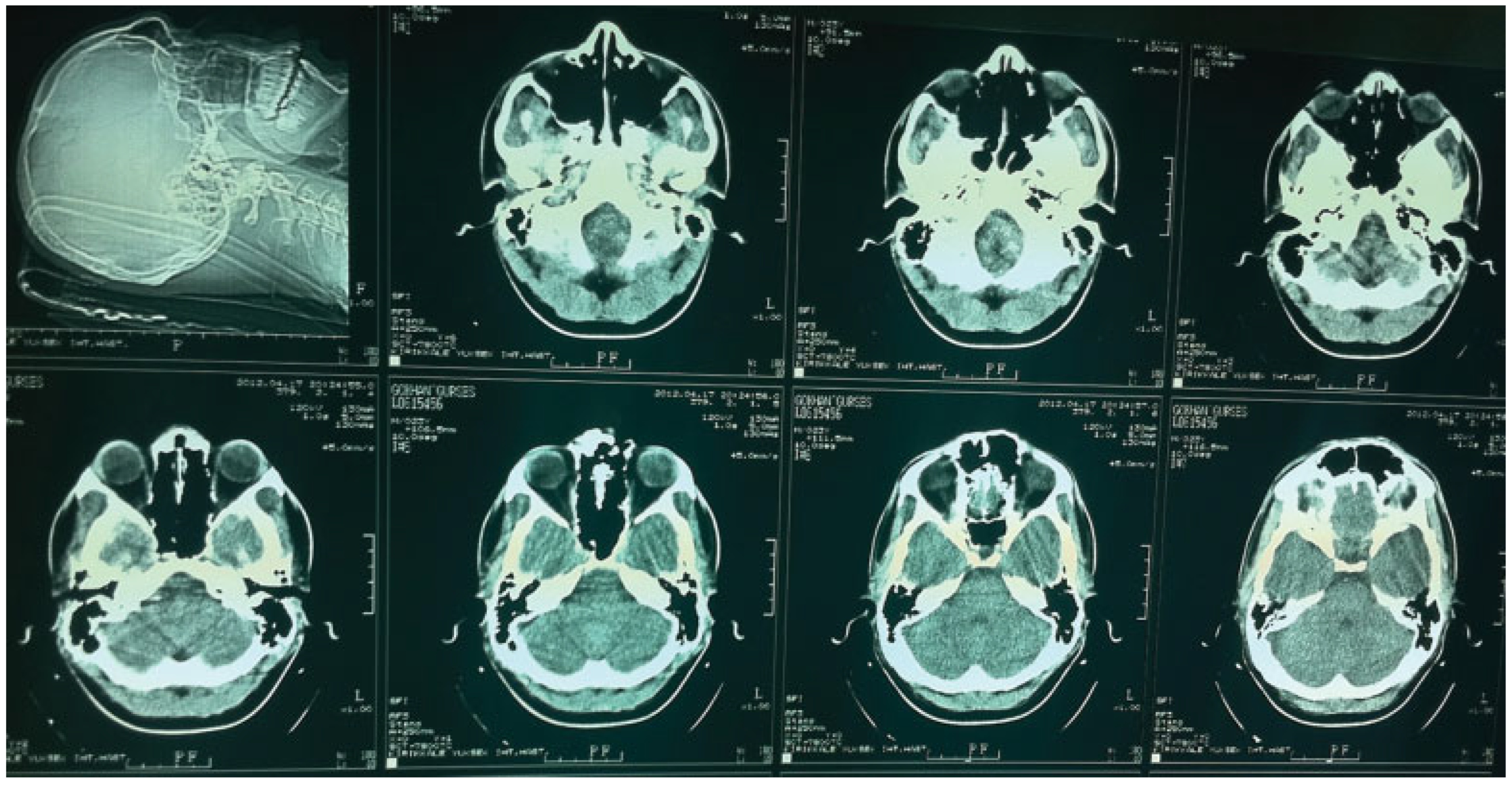
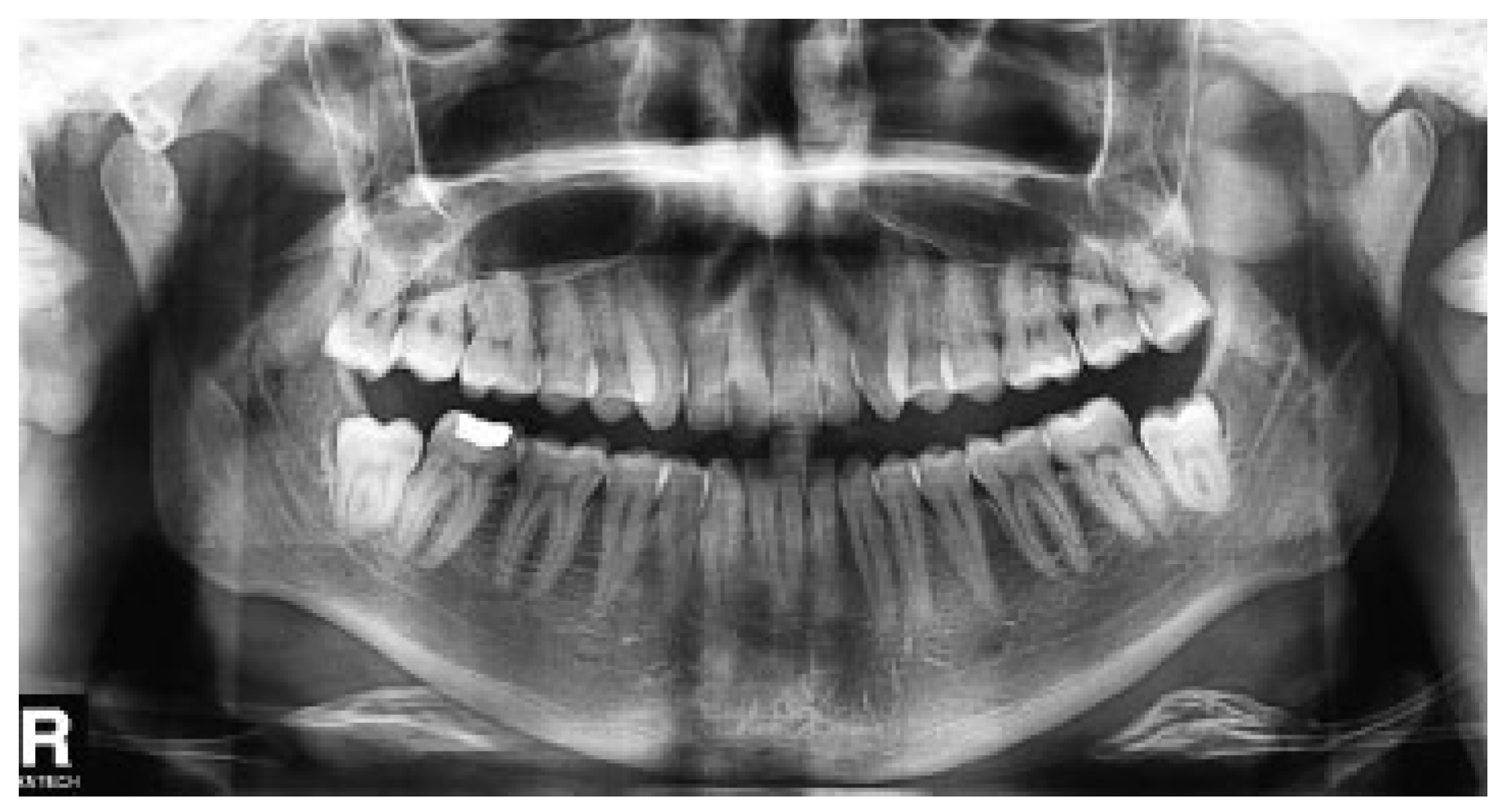
Case Report
Discussion
Conclusion
References
- Bozkuş, F.; İynen, İ.; Şan, İ. Retrospective analysis of the patients with maxillofacial traumas. Tip Arast Derg 2011, 9, 10–16. [Google Scholar]
- Kamulegeya, A.; Lakor, F.; Kabenge, K. Oral maxillofacial fractures seen at a Ugandan tertiary hospital: a six-month prospective study. Clinics (Sao Paulo) 2009, 64, 843–848. [Google Scholar] [CrossRef]
- Malara, P.; Malara, B.; Drugacz, J. Characteristics of maxillofacial injuries resulting from road traffic accidents—a 5 year review of the case records from Department of Maxillofacial Surgery in Katowice, Poland. Head Face Med 2006, 2, 27. [Google Scholar] [CrossRef] [PubMed]
- Kelman, R.M.; Marentette, L.J. Le Fort I fractures. In Atlas of Craniomaxillofacial Fixation; Kelman, R.M., Marentette, L.J., Eds.; Raven Press: New York, 1994; pp. 300–302. [Google Scholar]
- Fonseca, R.J.; Walker, R.V.; Betts, N.J.; Barner, H.D.; Powers, M.P. Oral and Maxillofacial Trauma, 3rd ed.; Elsevier Saunders: St. Louis, MO, 2005. [Google Scholar]
- Tuncel, N.; Tercan, M. A retrospective analysis of facial fracture etiologies and investigation of the relationship between fracture type and the etiology. Dicle Med J 2011, 38, 208–214. [Google Scholar]
- Shintaku, W.H.; Venturin, J.S.; Azevedo, B.; Noujeim, M. Applications of cone-beam computed tomography in fractures of the maxillofacial complex. Dent Traumatol 2009, 25, 358–366. [Google Scholar] [CrossRef]
- Ahmad, M.; Jenny, J.; Downie, M. Application of cone beam computed tomography in oral and maxillofacial surgery. Aust Dent J 2012, 57 (Suppl 1), 82–94. [Google Scholar] [CrossRef] [PubMed]
- Schulze, R. Computed tomography, cone beam computed tomography and magnetic resonance imaging Diagnostic possibilities in dentistry. Int J Stomatol Occlusion Med 2011, 4, 2–9. [Google Scholar] [CrossRef]
- Yajima, A.; Otonari-Yamamoto, M.; Sano, T.; et al. Cone-beam CT (CB Throne) applied to dentomaxillofacial region. Bull Tokyo Dent Coll 2006, 47, 133–141. [Google Scholar] [CrossRef]
- Miracle, A.C.; Mukherji, S.K. Conebeam CT of the head and neck, part 2: Clinical applications. AJNR Am J Neuroradiol 2009, 30, 1285–1292. [Google Scholar] [CrossRef]
- Schulze, D.; Heiland, M.; Schnelzle, R.; Rother, U.J. Diagnostic possibilities of cone-beam computed tomography in the facial skeleton. Int Congr Ser 2004, 1268, 1179–1183. [Google Scholar] [CrossRef]
- Shahbazian, M.; Jacobs, R. Diagnostic value of 2D and 3D imaging in odontogenic maxillary sinusitis: A review of literature. J Oral Rehabil 2012, 39, 294–300. [Google Scholar] [CrossRef]
- Pasler, F.; Visser, H. Pocket Atlas of Dental Radiology; Thieme: Germany, 2007; pp. 104–106. [Google Scholar]
- Çakur, B.; Sümbüllü, M.A.; Tozoğlu, Ü. The importance of cone beam ct in the radiological detection of condylar fracture. J Dent Fac Ataturk Uni 2011, 21, 115–118. [Google Scholar]
- Palomo, L.; Palomo, J.M. Cone beam CT for diagnosis and treatment planning in trauma cases. Dent Clin North Am 2009, 53, 717–727, vi–vii. [Google Scholar] [CrossRef] [PubMed]
- Bacelar, M.T.; Rao, V.M. Facial and other head and neck trauma: Imaging patterns and their significance. Appl Radiol 2002, 31, 20–27. [Google Scholar] [CrossRef]
- Scarfe, W.C. Imaging of maxillofacial trauma: Evolutions and emerging revolutions. Oral Surg Oral Med Oral Pathol Oral Radiol Endod 2005, 100 (Suppl. 2), S75–S96. [Google Scholar] [CrossRef]
- Miles, D.A. Color Atlas of Cone-Beam Volumetric Imaging for Dental Applications; Quintessence Books: German, 2008. [Google Scholar]
- Panzarella, F.K.; Junqueira, J.L.; Oliveira, L.B.; de Araújo, N.S.; Costa, C. Accuracy assessment of the axial images obtained from cone beam computed tomography. Dentomaxillofac Radiol 2011, 40, 369–378. [Google Scholar] [CrossRef]
- Pazera, P.; Bornstein, M.M.; Pazera, A.; Sendi, P.; Katsaros, C. Incidental maxillary sinus findings in orthodontic patients: a radiographic analysis using cone-beam computed tomography (CBCT). Orthod Craniofac Res 2011, 14, 17–24. [Google Scholar] [CrossRef]
- Boeddinghaus, R.; Whyte, A. Current concepts in maxillofacial imaging. Eur J Radiol 2008, 66, 396–418. [Google Scholar] [CrossRef]
- Ludlow, J.B.; Ivanovic, M. Comparative dosimetry of dental CBCT devices and 64-slice CT for oral and maxillofacial radiology. Oral Surg Oral Med Oral Pathol Oral Radiol Endod 2008, 106, 106–114. [Google Scholar] [CrossRef]
- Zain-Alabdeen, E.H.; Alsadhan, R.I. A comparative study of accuracy of detection of surface osseous changes in the temporomandibular joint using multidetector CT and cone beam CT. Dentomaxillofac Radiol 2012, 41, 185–191. [Google Scholar] [CrossRef]
- Sümbüllü, M.A.; Cağlayan, F.; Akgül, H.M.; Yilmaz, A.B. Radiological examination of the articular eminence morphology using cone beam CT. Dentomaxillofac Radiol 2012, 41, 234–240. [Google Scholar] [CrossRef] [PubMed]
- Ising, N.; Kim, K.B.; Araujo, E.; Buschang, P. Evaluation of dehiscences using cone beam computed tomography. Angle Orthod 2012, 82, 122–130. [Google Scholar] [CrossRef]
- Ludlow, J.B.; Davies-Ludlow, L.E.; Brooks, S.L.; Howerton, W.B. Dosimetry of 3 CBCT devices for oral and maxillofacial radiology: CB Mercuray, NewTom 3G and i-CAT. Dentomaxillofac Radiol 2006, 35, 219–226. [Google Scholar] [CrossRef] [PubMed]
- De Vos, W.; Casselman, J.; Swennen, G.R.J. Cone-beam computerized tomography (CBCT) imaging of the oral and maxillofacial region: a systematic review of the literature. Int J Oral Maxillofac Surg 2009, 38, 609–625. [Google Scholar] [CrossRef]
- Munish, K.; Ravi, N.; Prabhjot, G. Role of cone-beam Ct in oral and maxillofacial surgery- a diagnostic boon. Indian Journal of Dental Sciences 2012, 4, 83–86. [Google Scholar]
- Kau, C.H.; Abramovitch, K.; Kamel, S.G.; Bozic, M. Cone-Beam CT of the Head and Neck. An Anatomical Atlas; Springer Publishing: Germany, 2011. [Google Scholar]
- Morimoto, Y.; Tanaka, T.; Yamamoto, N.; et al. New trends and advances in oral and maxillofacial imaging. Curr Med Imaging Rev 2009, 5, 226–237. [Google Scholar] [CrossRef]
- Ganz, S.D. Cone beam computed tomography-assisted treatment planning concepts. Dent Clin North Am 2011, 55, 515–536, viii. [Google Scholar] [CrossRef]
- White and Pharoah. Oral Radiology, Principles and Interpretation, 5th ed.; Elsevier: India, 2008; pp. 624–627. [Google Scholar]
- Kelman, R.M.; Marentette, L.J. Le Fort III fractures. In Atlas of Craniomaxillofacial Fixation; Kelman, R.M., Marentette, L.J., Eds.; Raven Press: New York, 1994; pp. 307–310. [Google Scholar]
- Laine, F.J.; Conway, W.F.; Laskin, D.M. Radiology of maxillofacial trauma. Curr Probl Diagn Radiol 1993, 22, 145–188. [Google Scholar] [CrossRef]
- McRae, M.; Frodel, J. Midface fractures. Facial Plast Surg 2000, 16, 107–113. [Google Scholar] [CrossRef]
- Wanjari, P.V.; Chaudhary, A.; Hada, P. Maxillofacial injuries-diagnosis and imaging-When and which? NJDSR 2012, 1, 7–9. [Google Scholar]
- Varshosaz, M.; Tavakoli, M.A.; Mostafavi, M.; Baghban, A.A. Comparison of conventional radiography with cone beam computed tomography for detection of vertical root fractures: An in vitro study. J Oral Sci 2010, 52, 593–597. [Google Scholar] [CrossRef][Green Version]
- Wang, P.; Yan, X.B.; Lui, D.G.; Zhang, W.L.; Zhang, Y.; Ma, X.C. Detection of dental root fractures by using cone-beam computed tomography. Dentomaxillofac Radiol 2011, 40, 290–298. [Google Scholar] [CrossRef] [PubMed]
- Kajan, Z.D.; Taromsari, M. Value of cone beam CT in detection of dental root fractures. Dentomaxillofac Radiol 2012, 41, 3–10. [Google Scholar] [CrossRef] [PubMed]
- Azevedo, A.B.; Trent, R.B.; Ellis, A. Population-based analysis of 10,766 hospitalizations for mandibular fractures in California, 1991 to 1993. J Trauma 1998, 45, 1084–1087. [Google Scholar] [CrossRef]
- Ellis, E., III; Scott, K. Assessment of patients with facial fractures. Emerg Med Clin North Am 2000, 18, 411–448, vi. [Google Scholar] [CrossRef] [PubMed]
- Nezafati, S.; Javadrashid, R.; Rad, S.; Akrami, S. Comparison of ultrasonography with submentovertex films and computed tomography scan in the diagnosis of zygomatic arch fractures. Dentomaxillofac Radiol 2010, 39, 11–16. [Google Scholar] [CrossRef]
- Bremke, M.; Wiegand, S.; Sesterhenn, A.M.; Eken, M.; Bien, S.; Werner, J.A. Digital volume tomography in the diagnosis of nasal bone fractures. Rhinology 2009, 47, 126–131. [Google Scholar]
- Stuck, B.A.; Hülse, R.; Barth, T.J. Intraoperative cone beam computed tomography in the management of facial fractures. Int J Oral Maxillofac Surg 2012, 41, 1171–1175. [Google Scholar] [CrossRef]
- Vandenberghe, B.; Luchsinger, S.; Hostens, J.; Dhoore, E.; Jacobs, R.; SEDENTEXCT Project Consortium. The influence of exposure parameters on jawbone model accuracy using cone beam CT and multislice CT. Dentomaxillofac Radiol 2012, 41, 466–474. [Google Scholar]
- Fukami, K.; Shiozaki, K.; Mishima, A.; Kuribayashi, A.; Hamada, Y.; Kobayashi, K. Bifid mandibular canal: Confirmation of limited cone beam CT findings by gross anatomical and histological investigations. Dentomaxillofac Radiol 2012, 41, 460–465. [Google Scholar] [CrossRef]
- Angelopoulos, C. Cone beam tomographic imaging anatomy of the maxillofacial region. Dent Clin North Am 2008, 52, 731–752, vi. [Google Scholar] [CrossRef] [PubMed]
- Simonds, J.S.; Whitlow, C.T.; Chen, M.Y.M.; Williams, D.W., III. Isolated fractures of the posterior maxillary sinus: CT appearance and proposed mechanism. AJNR Am J Neuroradiol 2011, 32, 468–470. [Google Scholar] [CrossRef] [PubMed]
- Açıkel, C.; Saray, A.; Yılmaz, K.B. The case report of maxillofacial trauma that required reoperation. ACU Sağlık Bil Derg. 2011, 2, 49–51. [Google Scholar]
- Mihalik, J.P.; Myers, J.B.; Sell, T.C.; Anish, E.J. Maxillofacial fractures and dental trauma in a high school soccer goalkeeper: a case report. J Athl Train 2005, 40, 116–119. [Google Scholar]
- Hassan, B.; Jacobs, R. Cone beam computed tomography – 3D imaging in oral and maxillofacial surgery. European Medical Imaging Review 2011, 1, 38–40. [Google Scholar]
- Heiland, M.; Schulze, D.; Blake, F.; Schmelzle, R. Intraoperative imaging of zygomaticomaxillary complex fractures using a 3D C-arm system. Int J Oral Maxillofac Surg 2005, 34, 369–375. [Google Scholar] [CrossRef]
- Maillet, M.; Bowles, W.R.; McClanahan, S.L.; John, M.T.; Ahmad, M. Conebeam computed tomography evaluation of maxillary sinusitis. J Endod 2011, 37, 753–757. [Google Scholar] [CrossRef]




© 2014 by the author. The Author(s) 2014.
Share and Cite
Yilmaz, S.Y.; Misirlioglu, M.; Adisen, M.Z. A Diagnosis of Maxillary Sinus Fracture with Cone-Beam CT: Case Report and Literature Review. Craniomaxillofac. Trauma Reconstr. 2014, 7, 85-91. https://doi.org/10.1055/s-0034-1371550
Yilmaz SY, Misirlioglu M, Adisen MZ. A Diagnosis of Maxillary Sinus Fracture with Cone-Beam CT: Case Report and Literature Review. Craniomaxillofacial Trauma & Reconstruction. 2014; 7(2):85-91. https://doi.org/10.1055/s-0034-1371550
Chicago/Turabian StyleYilmaz, Selmi Yardimci, Melda Misirlioglu, and Mehmet Zahit Adisen. 2014. "A Diagnosis of Maxillary Sinus Fracture with Cone-Beam CT: Case Report and Literature Review" Craniomaxillofacial Trauma & Reconstruction 7, no. 2: 85-91. https://doi.org/10.1055/s-0034-1371550
APA StyleYilmaz, S. Y., Misirlioglu, M., & Adisen, M. Z. (2014). A Diagnosis of Maxillary Sinus Fracture with Cone-Beam CT: Case Report and Literature Review. Craniomaxillofacial Trauma & Reconstruction, 7(2), 85-91. https://doi.org/10.1055/s-0034-1371550