Bilateral Mandibular Condylysis from Systemic Sclerosis: Case Report of Surgical Correction with Bilateral Total Temporomandibular Joint Replacement
Abstract
:Clinical Report
Patient History
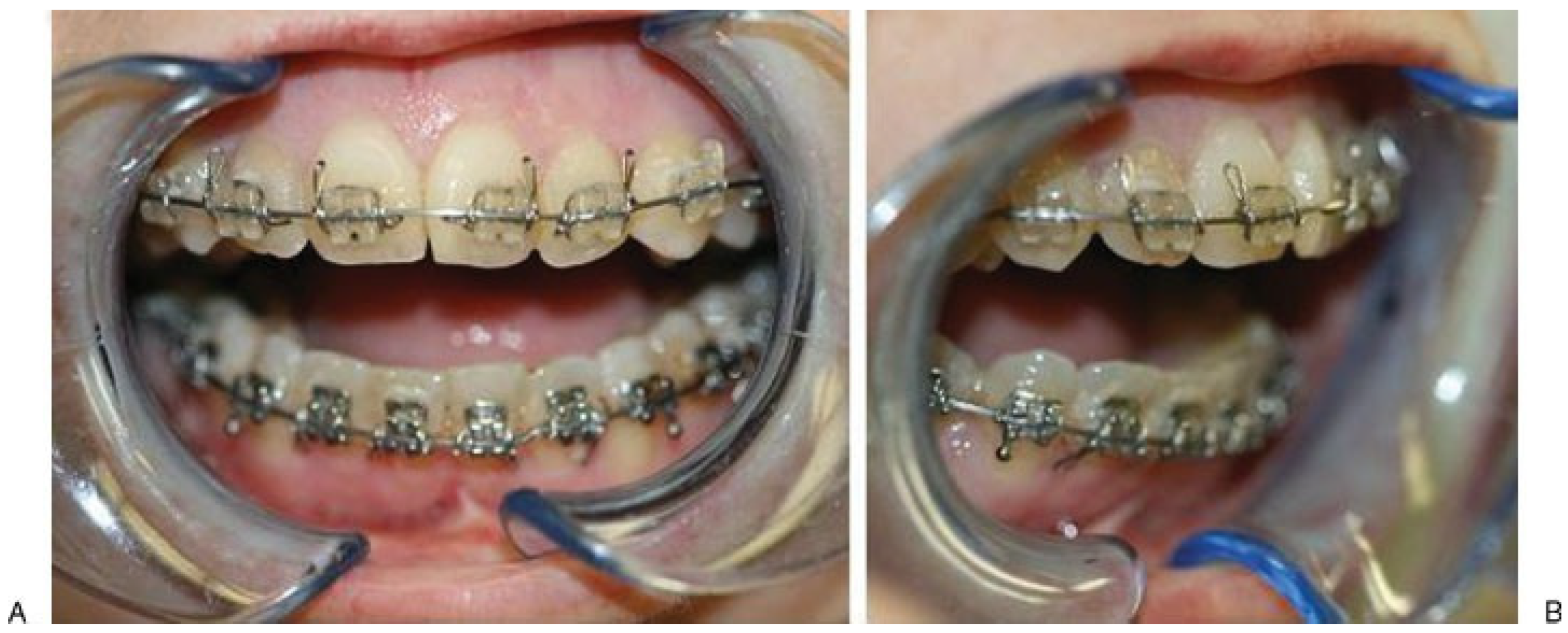
Clinical Examination
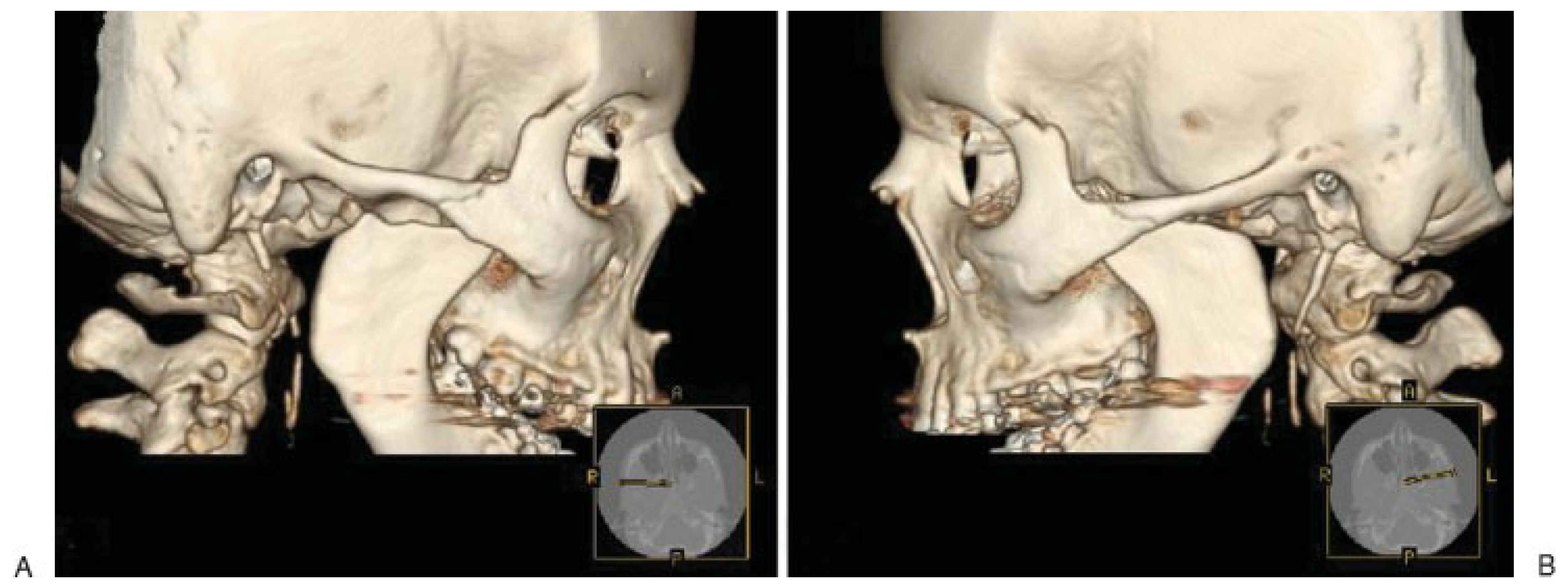
Radiological Examination
Surgical Treatment
Results
Discussion
Conclusions
References
- LeRoy, E.C.; Black, C.; Fleischmajer, R.; et al. Scleroderma (systemic sclerosis): Classification, subsets and pathogenesis. J. Rheumatol. 1988, 15, 202–205. [Google Scholar] [PubMed]
- Steen, V.D.; Oddis, C.V.; Conte, C.G.; Janoski, J.; Casterline, G.Z.; Medsger, T.A., Jr. Incidence of systemic sclerosis in Allegheny County, Pennsylvania. A twenty-year study of hospital-diagnosed cases, 1963–1982. Arthritis Rheum. 1997, 40, 441–445. [Google Scholar] [PubMed]
- Mayes, M.D.; Lacey, J.V., Jr.; Beebe-Dimmer, J.; et al. Prevalence, incidence, survival, and disease characteristics of systemic sclerosis in a large US population. Arthritis Rheum. 2003, 48, 2246–2255. [Google Scholar]
- Nietert, P.J.; Mitchell, H.C.; Bolster, M.B.; Shaftman, S.R.; Tilley, B.C.; Silver, R.M. Racial variation in clinical and immunological manifestations of systemic sclerosis. J. Rheumatol. 2006, 33, 263–268. [Google Scholar]
- D’Angelo, W.A.; Fries, J.F.; Masi, A.T.; Shulman, L.E. Pathologic observations in systemic sclerosis (scleroderma). A study of fifty-eight autopsy cases and fifty-eight matched controls. Am. J. Med. 1969, 46, 428–440. [Google Scholar]
- Jimenez, S.A.; Derk, C.T. Following the molecular pathways toward an understanding of the pathogenesis of systemic sclerosis. Ann. Intern. Med. 2004, 140, 37–50. [Google Scholar]
- Charles, C.; Clements, P.; Furst, D.E. Systemic sclerosis: Hypothesis-driven treatment strategies. Lancet 2006, 367, 1683–1691. [Google Scholar] [PubMed]
- Hu, P.Q.; Fertig, N.; Medsger, T.A., Jr.; Wright, T.M. Correlation of serum anti-DNA topoisomerase I antibody levels with disease severity and activity in systemic sclerosis. Arthritis Rheum. 2003, 48, 1363–1373. [Google Scholar]
- Haers, P.E.; Sailer, H.F. Mandibular resorption due to systemic sclerosis. Case report of surgical correction of a secondary open bite deformity. Int. J. Oral. Maxillofac. Surg. 1995, 24, 261–267. [Google Scholar]
- LeRoy, E.C. Sentinel signs and symptoms of systemic sclerosis. Curr. Opin. Rheumatol. 1990, 2, 942–946. [Google Scholar] [PubMed]
- Bassett, L.W.; Blocka, K.L.N.; Furst, D.E.; Clements, P.J.; Gold, R.H. Skeletal findings in progressive systemic sclerosis (scleroderma). Am. J. Roentgenol. 1981, 136, 1121–1126. [Google Scholar] [CrossRef] [PubMed]
- Vincent, C.; Agard, C.; Barbarot, S.; et al. Orofacial manifestations of systemic sclerosis: A study of 30 consecutive patients. Rev. Med. Interne 2009, 30, 5–11. [Google Scholar] [CrossRef] [PubMed]
- Rout, P.G.; Hamburger, J.; Potts, A.J. Orofacial radiological manifestations of systemic sclerosis. Dento Maxillo Facial Radiol. 1996, 25, 193–196. [Google Scholar] [CrossRef] [PubMed]
- Seifert, M.H.; Steigerwald, J.C.; Cliff, M.M. Bone resorption of the mandible in progressive systemic sclerosis. Arthritis Rheum. 1975, 18, 507–512. [Google Scholar] [CrossRef]
- Ramon, Y.; Samra, H.; Oberman, M. Mandibular condylosis and apertognathia as presenting symptoms in progressive systemic sclerosis (scleroderma). Pattern of mandibular bony lesions and atrophy of masticatory muscles in PSS, presumably caused by affected muscular arteries. Oral. Surg. Oral. Med. Oral. Pathol. 1987, 63, 269–274. [Google Scholar] [CrossRef]
- Marmary, Y.; Glaiss, R.; Pisanty, S. Scleroderma: Oral manifestations. Oral. Surg. Oral. Med. Oral. Pathol. 1981, 52, 32–37. [Google Scholar] [CrossRef]
- Wood, R.E.; Lee, P. Analysis of the oral manifestations of systemic sclerosis (scleroderma). Oral. Surg. Oral. Med. Oral. Pathol. 1988, 65, 172–178. [Google Scholar] [CrossRef]
- Mugino, H.; Ikemura, K. Progressive systemic sclerosis with spontaneous fracture due to resorption of the mandible: A case report. J. Oral. Maxillofac. Surg. 2006, 64, 1137–1139. [Google Scholar] [CrossRef]
- Weber, D.D.; Blunt, M.H.; Caldwell, J.B. Fracture of mandibular rami complicated by scleroderma: Report of case. J. Oral. Surg. 1970, 28, 860–863. [Google Scholar]
- Ilacqua, J.A.; Murphy, J.B. Management of osteomyelitis and nonunion of the mandible in a patient with progressive systemic sclerosis. J. Oral. Maxillofac. Surg. 1986, 44, 561–563. [Google Scholar] [CrossRef]
- Farrell, D.A.; Medsger, T.A., Jr. Trigeminal neuropathy in progressive systemic sclerosis. Am. J. Med. 1982, 73, 57–62. [Google Scholar] [PubMed]
- Medsger, T.A., Jr.; Masi, A.T. The epidemiology of systemic sclerosis (scleroderma) among male US veterans. J. Chronic Dis. 1978, 31, 73–85. [Google Scholar] [PubMed]
- Fischoff, D.K.; Sirois, D. Painful trigeminal neuropathy caused by severe mandibular resorption and nerve compression in a patient with systemic sclerosis: Case report and literature review. Oral. Surg. Oral. Med. Oral. Pathol. Oral. Radiol. Endod. 2000, 90, 456–459. [Google Scholar] [PubMed]
- Rowell, N.R.; Hopper, F.E. The periodontal membrane in systemic sclerosis. Br. J. Dermatol. 1977, 96, 15–20. [Google Scholar]
- Lanigan, D.T.; Myall, R.W.; West, R.A.; McNeill, R.W. Condylysis in a patient with a mixed collagen vascular disease. Oral. Surg. Oral. Med. Oral. Pathol. 1979, 48, 198–204. [Google Scholar]
- Thaller, S.R.; Cavina, C.; Kawamoto, H.K. Treatment of orthognathic problems related to scleroderma. Ann. Plast. Surg. 1990, 24, 528–533. [Google Scholar] [CrossRef]










Disclaimer/Publisher’s Note: The statements, opinions and data contained in all publications are solely those of the individual author(s) and contributor(s) and not of MDPI and/or the editor(s). MDPI and/or the editor(s) disclaim responsibility for any injury to people or property resulting from any ideas, methods, instructions or products referred to in the content. |
© 2011 by the author. The Author(s) 2011.
Share and Cite
Doucet, J.-C.; Morrison, A.D. Bilateral Mandibular Condylysis from Systemic Sclerosis: Case Report of Surgical Correction with Bilateral Total Temporomandibular Joint Replacement. Craniomaxillofac. Trauma Reconstr. 2011, 4, 11-18. https://doi.org/10.1055/s-0031-1272904
Doucet J-C, Morrison AD. Bilateral Mandibular Condylysis from Systemic Sclerosis: Case Report of Surgical Correction with Bilateral Total Temporomandibular Joint Replacement. Craniomaxillofacial Trauma & Reconstruction. 2011; 4(1):11-18. https://doi.org/10.1055/s-0031-1272904
Chicago/Turabian StyleDoucet, Jean-Charles, and Archie D. Morrison. 2011. "Bilateral Mandibular Condylysis from Systemic Sclerosis: Case Report of Surgical Correction with Bilateral Total Temporomandibular Joint Replacement" Craniomaxillofacial Trauma & Reconstruction 4, no. 1: 11-18. https://doi.org/10.1055/s-0031-1272904
APA StyleDoucet, J.-C., & Morrison, A. D. (2011). Bilateral Mandibular Condylysis from Systemic Sclerosis: Case Report of Surgical Correction with Bilateral Total Temporomandibular Joint Replacement. Craniomaxillofacial Trauma & Reconstruction, 4(1), 11-18. https://doi.org/10.1055/s-0031-1272904