Next Issue
Volume 8, 12
Previous Issue
Volume 8, 10
 
 
cardiovascmed-logo

Journal Browser

Journal Browser
Cardiovascular Medicine is published by MDPI from Volume 28 Issue 1 (2025). Previous articles were published by another publisher in Open Access under a CC-BY (or CC-BY-NC-ND) licence, and they are hosted by MDPI on mdpi.com as a courtesy and upon agreement with Editores Medicorum Helveticorum (EMH).

Cardiovasc. Med., Volume 8, Issue 11 (11 2005) – 5 articles

  • Issues are regarded as officially published after their release is announced to the table of contents alert mailing list.
  • You may sign up for e-mail alerts to receive table of contents of newly released issues.
  • PDF is the official format for papers published in both, html and pdf forms. To view the papers in pdf format, click on the "PDF Full-text" link, and use the free Adobe Reader to open them.
Order results
Result details
Select all
Export citation of selected articles as:
2 pages, 244 KB  
Interesting Images
Akutes Koronarsyndrom im Alter von 25 Jahren?
by Barbara Kunz, Girish Ramteke, Philipp Herzog and Marco Roffi
Cardiovasc. Med. 2005, 8(11), 412; https://doi.org/10.4414/cvm.2005.01132 - 30 Nov 2005
Viewed by 36
Abstract
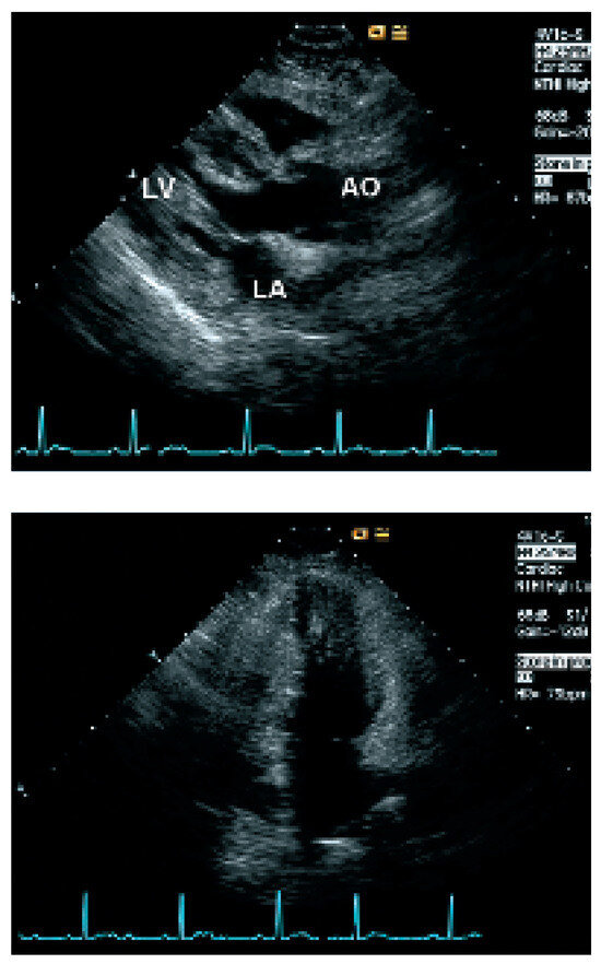
Fallbeschreibung Ein 25jähriger gebürtiger Mazedonier wurde vom Hausarzt notfallmässig in die Notfallstation des UniversitätsSpitals eingewiesen [...] Full article
Show Figures

Figure 1

2 pages, 207 KB  
Interesting Images
Right Bundle Branch Block or Brugada Syndrome?
by Dagmar I. Keller and Stefan Osswald
Cardiovasc. Med. 2005, 8(11), 410; https://doi.org/10.4414/cvm.2005.01134 - 30 Nov 2005
Viewed by 33
Abstract
Case report A male patient, born 1961, from Sri Lanka was admitted to hospital with two generalised seizures during sleep [...] Full article
Show Figures

Figure 1

9 pages, 509 KB  
Editorial
Effect of Ezetimibe Co-Administered with Statin Therapy in Swiss Outpatients
by Micha Maeder, Robert Blank, Julia Feucht, Roger Darioli and Hans Rickli
Cardiovasc. Med. 2005, 8(11), 399; https://doi.org/10.4414/cvm.2005.01131 - 30 Nov 2005
Viewed by 37
Abstract
Background: Ezetimibe impairs the intestinal absorption of dietary and biliary cholesterol and has been shown to significantly decrease low-density-lipoprotein-cholesterol (LDL-C) levels either as a monotherapy or when co-administered with a statin. Aim: The aim of the present analysis of the observational [...] Read more.
Background: Ezetimibe impairs the intestinal absorption of dietary and biliary cholesterol and has been shown to significantly decrease low-density-lipoprotein-cholesterol (LDL-C) levels either as a monotherapy or when co-administered with a statin. Aim: The aim of the present analysis of the observational program was to assess the efficacy of ezetimibe co-administered with statins in patients at high-risk for coronary artery disease (CAD) in daily practice. Methods: In outpatients with hypercholesterolemia either a combined lipid-modifying therapy consisting of ezetimibe (10 mg) and a statin (varying dose) was initiated for those not currently on statin therapy, or ezetimibe was added to previously established statin therapy. Total cholesterol (TC), LDL-C, highdensity- lipoprotein-cholesterol (HDL-C), and triglycerides (TG) before initiation of ezetimibe (baseline) and after an individual treatment duration (follow-up visit) were assessed by the treating physician. Results: There were 601 patients classified as high-risk according to the guidelines of the Working group Lipids/Atherosclerosis of the Swiss Society of Cardiology (WGLA/SSC). In 52 of these patients the newly initiated therapy consisting of ezetimibe and a statin resulted in a mean TC reduction from 7.2 to 5.1 mmol/L (–29%; p < 0.001) and a mean LDL-C reduction from 4.7 to 3.0 mmol/L (–38%; p < 0.001) after a treatment duration of 45 ± 21 days. In 374 high-risk patients the coadministration of ezetimibe with ongoing unchanged statin therapy resulted in an additional TC reduction of 21 to 23% (p < 0.001 for all statins) and an additional LDL-C reduction of 28 to 31% (p < 0.001 for atorvastatin, simvastatin, pravastatin; p = 0.001 for fluvastatin) depending on the statin used after a treatment duration of 57 ± 49 days. On average, TC levels decreased from 6.3 to 4.9 mmol/L and LDLC levels from 3.9 to 2.7 mmol/L. Of 310 highrisk patients not achieving a LDL-C level of ≤2.6 mmol/L with statin monotherapy and requiring up to 40% LDL-C reduction 59% reached this goal after an 8-weeks period of co-administration therapy with ezetimibe and a statin. Conclusions: Co-administration of ezetimibe and a statin is highly efficacious in patients with CAD and/or diabetes mellitus. The significant results of randomised trials can also be seen in daily practice in a typical outpatient setting. Full article
Show Figures

Figure 1

8 pages, 1236 KB  
Proceeding Paper
Update on Left Ventricular Hypertrophy
by Christina Attenhofer Jost
Cardiovasc. Med. 2005, 8(11), 390; https://doi.org/10.4414/cvm.2005.01133 - 30 Nov 2005
Viewed by 41
Abstract
Detection and evaluation of left ventricular hypertrophy of unknown etiology by echocardiography is important in every cardiology practice. Causes of left ventricular hypertrophy include sarcomeric protein disorders (classical hypertrophic cardiomyopathy), metabolic disease (glycogen storage disease including LAMP2 deficiency, PRKAG2 mutations, Fabry disease), syndromic [...] Read more.
Detection and evaluation of left ventricular hypertrophy of unknown etiology by echocardiography is important in every cardiology practice. Causes of left ventricular hypertrophy include sarcomeric protein disorders (classical hypertrophic cardiomyopathy), metabolic disease (glycogen storage disease including LAMP2 deficiency, PRKAG2 mutations, Fabry disease), syndromic hypertrophic cardiomyopathy (Noonan’s syndrome, LEOPARD syndrome, etc.) and miscellaneous causes including systemic hypertension, amyloidosis, athlete’s heart and pheochromocytoma. Although there are several echocardiographic changes quite typical for some of the disorders, most changes are not 100% specific. ECG findings and symptoms provide important additional information. Genetic testing is increasingly important. Nowadays, a combination of ECG findings, symptoms, family history, genetic testing and findings of echocardiography provide the best means for differentiation of left ventricular hypertrophy. Full article
Show Figures

Figure 1

4 pages, 605 KB  
Editorial
Schokolade: Genuss- Oder Heilmittel?
by Roberto Corti and Thomas F. Lüscher
Cardiovasc. Med. 2005, 8(11), 385; https://doi.org/10.4414/cvm.2005.01135 - 30 Nov 2005
Viewed by 34
Abstract
Dass es sich bei der Schokolade um ein Genussmittel, ja um eine Sünde wider die Gesundheit handelt, ist inzwischen Allgemeingut geworden (Abbildung 1) [...] Full article
Show Figures

Figure 1

Previous Issue
Next Issue
Back to TopTop