Next Issue
Volume 7, 03
Previous Issue
Volume 7, 01
 
 
cardiovascmed-logo

Journal Browser

Journal Browser
Cardiovascular Medicine is published by MDPI from Volume 28 Issue 1 (2025). Previous articles were published by another publisher in Open Access under a CC-BY (or CC-BY-NC-ND) licence, and they are hosted by MDPI on mdpi.com as a courtesy and upon agreement with Editores Medicorum Helveticorum (EMH).

Cardiovasc. Med., Volume 7, Issue 2 (02 2004) – 6 articles

  • Issues are regarded as officially published after their release is announced to the table of contents alert mailing list.
  • You may sign up for e-mail alerts to receive table of contents of newly released issues.
  • PDF is the official format for papers published in both, html and pdf forms. To view the papers in pdf format, click on the "PDF Full-text" link, and use the free Adobe Reader to open them.
Order results
Result details
Select all
Export citation of selected articles as:
1 pages, 96 KB  
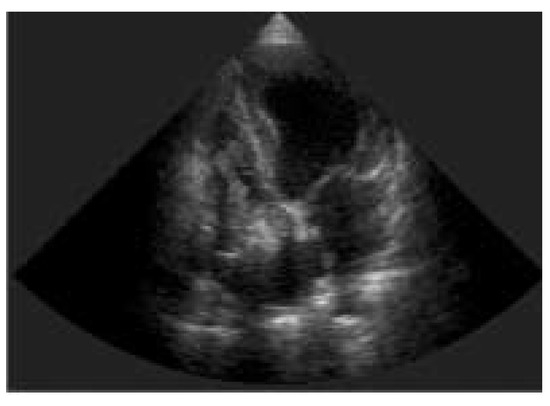
Interesting Images
Où est la Sonde de Stimulation?
by Jürg Schläpfer
Cardiovasc. Med. 2004, 7(2), 97; https://doi.org/10.4414/cvm.2004.01013 - 25 Feb 2004
Viewed by 97
Abstract
Patient souffrant de cardiomyopathie dilatée. Tracé (dérivations périphériques et V1) enregistr é lors de l'implantation d'un stimulateur cardiaque. [...] Full article
6 pages, 190 KB  
Editorial
Device-Infektionen
by Stefan Osswald and Wolfgang Brett
Cardiovasc. Med. 2004, 7(2), 88; https://doi.org/10.4414/cvm.2004.01008 - 25 Feb 2004
Viewed by 106
Abstract
This article gives an overview on the practical management of device infections of chronically implanted pacemakers and implantable cardioverter- defibrillators. The main feature of such infections is the fact that the implanted materials have direct contact with the bloodstream, and therefore, may rapidly [...] Read more.
This article gives an overview on the practical management of device infections of chronically implanted pacemakers and implantable cardioverter- defibrillators. The main feature of such infections is the fact that the implanted materials have direct contact with the bloodstream, and therefore, may rapidly progress to systemic infection with serious septic complications. Apart from aggressive antibiotic treatment, in general, the infected material has to be explanted. Therefore, it is helpful to differentiate between the isolated pocket infection with the option of local surgical revision under preservation of the implanted leads and the systemic infection with the necessity of complete removal of all implanted materials using either the lead-extraction technique or open heart surgery. Full article
Show Figures

Figure 1

4 pages, 123 KB  
Editorial
Entzündung und Infektion als Kardiovaskuläre Risikofaktoren
by François Mach, Edouard Battegay, Roger Darioli, Christian Graf, André R. Miserez, Walter Riesen, Brigitte Saner and Georg Schulthess
Cardiovasc. Med. 2004, 7(2), 83; https://doi.org/10.4414/cvm.2004.01012 - 25 Feb 2004
Viewed by 131
Abstract
Atherosklerotische Plaques mit erhöhtem Komplikationsrisiko enthalten grosse Mengen an Entzündungszellen (Makrophagen und T-Lymphozyten). Hs-CRP (high-sensitivity Creactive protein), ein Serummarker für systemische Entzündungen, ist bei Patienten mit koronarer Herzkrankheit erhöht und liefert wichtige Informationen über die kurz- und langfristige Prognose von Patienten mit instabiler [...] Read more.
Atherosklerotische Plaques mit erhöhtem Komplikationsrisiko enthalten grosse Mengen an Entzündungszellen (Makrophagen und T-Lymphozyten). Hs-CRP (high-sensitivity Creactive protein), ein Serummarker für systemische Entzündungen, ist bei Patienten mit koronarer Herzkrankheit erhöht und liefert wichtige Informationen über die kurz- und langfristige Prognose von Patienten mit instabiler Angina pectoris. Ausserdem sind erhöhte hs-CRP-Werte bei gesunden Männern und Frauen mit einem erhöhten Risiko für künftige kardiale Ereignisse assoziiert. Obwohl der entzündliche Prozess eine wesentliche Rolle in der Atherogenese spielt und ein potentielles Ziel für interventionelle Massnahmen darstellt, sind die primär- und sekundärpräventiven Effekte antiinflammatorischer Behandlungen bislang nicht bekannt. Es fanden sich Hinweise auf einen günstigen antiinflammatorischen Effekt von Aspirin auf die Prävention koronarer Ereignisse. Vor kurzem wurde festgestellt, dass eine Langzeittherapie mit Statinen zu einer LDL-unabhängigen Senkung der hs-CRP-Werte führt. Neuere Forschungsergebnisse, die einen Zusammenhang zwischen Entzündungsmarkern und kardiovaskul ärem Risiko aufzeigen, sind zweifelsohne spektakulär; aufgrund der relativen Unspezifit ät dieser Entzündungsmarker muss ihr potentieller Nutzen in der klinischen Routine jedoch noch nachgewiesen werden. Derzeit existieren noch keine überzeugenden Beweise, dass ein Screening von Entzündungsmarkern wie hs-CRP Vorteile für die Primärund Sekundärprävention kardiovaskulärer Erkrankungen ergibt. Ein möglicher Zusammenhang zwischen Infektionskrankheiten und der Entwicklung einer Atherosklerose stellt zwar eine faszinierende Perspektive dar, ist jedoch bislang weitgehend hypothetischer Natur. In verschiedenen Studien wurden bei Patienten mit koronarer Herzkrankheit erhöhte Titer von Antik örpern gegen Infektionserreger nachgewiesen; in den meisten Fällen handelte es sich dabei um das Cytomegalievirus (CMV) oder um die bakteriellen Erreger Helicobacter pylori (H. pylori) und Chlamydia pneumoniae (C. pneumoniae). Der stärkste Verdacht richtet sich gegenwärtig gegen C. pneumoniae. In letzter Zeit zeigte sich in verschiedenen umfangreichen klinischen Studien, an denen mehr als 5000 Patienten mit bekannter koronarer Herzkrankheit teilgenommen hatten, dass eine Antibiotika-Behandlung im Vergleich zu Plazebo zu keinem eindeutig positiven Effekt führte. Das Screening von Infektionskrankheiten und eine spezifische erregergerichtete antibiotische Behandlung erscheinen derzeit weder zur Primär- noch zur Sekund ärprävention kardiovaskulärer Erkrankungen gerechtfertigt. Full article
3 pages, 113 KB  
Editorial
Hämostatische Risikofaktoren für Kardiovaskuläre Krankheiten: D-Dimer
by Wolfgang Korte, Walter F. Riesen, Edouard Battegay, Roger Darioli, Christian Graf, André Miserez, Walter Riesen, Brigitte Saner and Georg Schulthess
Cardiovasc. Med. 2004, 7(2), 78; https://doi.org/10.4414/cvm.2004.01011 - 25 Feb 2004
Viewed by 103
Abstract
Die Entwicklung einer Atherothrombose hängt unter anderem vom prokoagulatorischen Potential des Patienten ab. Deshalb wurde untersucht, ob Veränderungen im Gerinnungssystem Risikofaktoren für Koronarsyndrome sein könnten. Konsistente, klinisch relevante Daten existieren jedoch bislang nur für Fibrinogen und D-Dimer. Da durch die Aktivierung der Gerinnung [...] Read more.
Die Entwicklung einer Atherothrombose hängt unter anderem vom prokoagulatorischen Potential des Patienten ab. Deshalb wurde untersucht, ob Veränderungen im Gerinnungssystem Risikofaktoren für Koronarsyndrome sein könnten. Konsistente, klinisch relevante Daten existieren jedoch bislang nur für Fibrinogen und D-Dimer. Da durch die Aktivierung der Gerinnung Fibrinogen in Fibrin umgewandelt wird, stellen Marker der Fibrin-Bildung wie D-Dimer und des folgenden Fibrin-Abbaus einen «fibrinabhängigen» Risikofaktor dar im Gegensatz zu Fibrinogen. D-Dimer entsteht aus quervernetztem Fibrin nach proteolytischem Abbau durch Plasmin, so dass seine Konzentration zu einem bestimmten Zeitpunkt hauptsächlich von der Menge des gebildeten Fibrins abhängt. Eine erhöhte D-Dimer-Konzentration bei klinisch gesunden Männern einer Zufallspopulation ist mit einem erhöhten Risiko für das spätere Auftreten eines Myokardinfarkts, einer koronaren Herzkrankheit und vaskulärer Ereignisse verbunden (bei Fehlen einer Akutphasen- Reaktion, beispielsweise einer Infektion und/ oder einem thrombotischen oder embolischen Krankheitsbild). Derzeit existieren jedoch noch keine Daten über den Nutzen eines D-Dimer- Screenings in der Allgemeinbevölkerung, im Vergleich zum Screening anderer allgemein anerkannter Risikofaktoren. Für ein Frührezidiv eines akuten Koronarsyndroms haben sich D-Dimer-Konzentrationen im oberen Quartil als unabhängiger Risikofaktor erwiesen. Darüber hinaus existiert eine Assoziation zwischen erhöhten D-Dimer- Konzentrationen und dem Vorliegen einer koronaren Herzkrankheit. Dies trifft auch nach Berücksichtigung eines Nikotinkonsums, weiterer klassischer Risikofaktoren und des sozioökonomischen Status zu – auch bei stabiler koronarer Herzkrankheit (KHK). Seit einiger Zeit stehen neben präzisen automatisierten quantitativen D-Dimer-Assays neuere quantitative POCT (Point of Care Test)-Assays zur Verfügung; gegenwärtig sollte die Bestimmung jedoch mit ELISA- oder ELISA-ähnlichen Verfahren erfolgen, um eine zufriedenstellende Testqualität zu garantieren. Zusammenfassend ergeben sich aus den verfügbaren Daten zum D-Dimer als Risikofaktor folgende Konklusionen: - Zwischen erhöhten D-Dimer-Konzentrationen einerseits sowie Entwicklung und Ausmass einer koronaren Herzkrankheit und ihren Komplikationen (besonders akutes Koronarsyndrom) andererseits existiert eine positive Assoziation, vor allem bei Männern. - Derzeit existiert kein allgemeingültiger (auf alle Assays und verschiedene Erkrankungssituationen anwendbarer) «Cutoff»- Level, um «erhöhte» von «normalen» D-Dimer- Konzentrationen zu unterscheiden; vielmehr muss für jeden Assay ein separater «Cutoff»-Level definiert werden. - Aufgrund der aktuellen Datenlage erscheint es nicht sinnvoll, die D-Dimere routinemässig zur Risikostratifizierung irgendeiner Form der koronaren Herzkrankheit zu verwenden, da die D-Dimere nicht als Kriterium bei der Entscheidung dienen, ob eine spezifische Therapie gestartet werden soll oder nicht. Full article
6 pages, 184 KB  
Editorial
Homocystein als Kardiovaskulärer Risikofaktor
by Brian Fowler, Edouard Battegay, Roger Darioli, Christian Graf, André R. Miserez, Walter Riesen, Brigitte Saner and Georg Schulthess
Cardiovasc. Med. 2004, 7(2), 71; https://doi.org/10.4414/cvm.2004.01010 - 25 Feb 2004
Viewed by 167
Abstract
Ein leichter Anstieg des Total-Homocysteins (tHcy) im Niichternzustand (15–30 µmol/L) oder nach Methionin-Belastung gilt als unab-hangiger Risikofaktor fiir das Auftreten einer Atherosklerose. In Kombination mit anderen Risikofaktoren fiihren erhohte Homocystein-Werte synergistisch (z.B. bei gleichzeitiger arterieller Hypertonie) oder additiv (z.B. bei gleichzeitig erhohtem Cholesterin-Spiegel) [...] Read more.
Ein leichter Anstieg des Total-Homocysteins (tHcy) im Niichternzustand (15–30 µmol/L) oder nach Methionin-Belastung gilt als unab-hangiger Risikofaktor fiir das Auftreten einer Atherosklerose. In Kombination mit anderen Risikofaktoren fiihren erhohte Homocystein-Werte synergistisch (z.B. bei gleichzeitiger arterieller Hypertonie) oder additiv (z.B. bei gleichzeitig erhohtem Cholesterin-Spiegel) zu einem Anstieg des Atherosklerose-Risikos. Bei ungefahr 10% aller Personen der Allgemeinbevolkerung und bei zirka 30% aller Patienten mit Gefasskrankheiten werden erhohte tHcy- Werte gemessen. Die Risikozunahme fiir die Entstehung einer koronaren Herzkrankheit bei einem tHcy-Anstieg um 5 µmol/L ist vergleichbar mit derjenigen einer Cholesterin-Konzentrationserhohung um 0.5 mmol/L. Homocystein entsteht aus der Aminosaure Methionin. Die weitere Metabolisierung erfolgt unter Beteiligung dreier Schliisselenzyme: Methioninsynthase (MS), 5,10-Methy-lentetrahydrofolatreduktase (MTHFR) und Cystathionin-β-Synthase (CBS). Zu den Ursachen fiir leicht erhohte Homocystein-Spiegel zahlen genetische und nutritive Faktoren, die zueinander in Wechselwirkung treten. So kann die Hyperhomocysteinamie familiar bedingt sein und zusatzlich durch Folsaure, Vitamin B12 und B6 beeinflusst werden. Der 677C/T-Polymorphismus des MTHFR-Gens (Homozygotie in ca. 10% der Bevolkerung in Europa) ist bei Folat-armer Nahrung mit geringfiigigen Zunahmen der Homocystein-Konzentrationen assoziiert. Durch Verabreichung von Folsaure als Monotherapie oder in Kombination mit Vitamin B6 und/oder B12 kann ein erhohter Homo-meinbevolkerung bzw. einer Behandlung leicht erhohter tHcy-Werte in der Primarpravention belegen. In den USA wird zwar seit kurzem das Mehl mit Folsaure angereichert und allgemeine Homocystein-senkende Massnahmen sind generell zu empfehlen (tagliche Einnahme von frischen Friichten und Gemiisen sowie das Sistieren des Rauchens). Eine Bestimmung des Homocysteins im Plasma empfiehlt sich in der Sekundarpra- vention bei friihzeitig auftretender Atherosklerose ohne geniigend erklarende Ursache sowie bei Personen, in deren Familie erhohte tHcy-Werte bekannt sind (Messung bei Kindern ab 10 Jahren). Die Bestimmung des tHcy-Spiegels sollte nach nachtlichem Fasten erfolgen. Die korrekte praanalytische und ana- lytische Handhabung der Blutproben ist von kritischer Bedeutung. Bei Personen mit erhohten tHcy-Werten (oberhalb der fiir die jeweilige Altersgruppe geltenden Normgrenze bzw. >15 µmol/L) soll in der Sekundarpravention eine Therapie durchgefiihrt werden. Ein Vitamin-B12-Mangel sowie andere Grundleiden, wie beispielsweise Nierenerkrankungen, miissen ausgeschlossen werden. Analysen von Polymorphismen, die mit dem Homocystein-Metabolismus assoziiert sind, werden zur Zeit nur zu Forschungszwecken durchgefiihrt. Bei nachgewiesener therapeutischer Indi- kation erhalt der Patient taglich per os 1 mg Folsaure plus 40 mg Vitamin B6 sowie 30 µg Cyanocobalamin, gefolgt von einer erneuten Bestimmung des tHcy-Spiegels nach einem Monat. Bei Patienten mit Verdacht auf fami- liare Hyperhomocysteinamie sind Familien-untersuchungen einschliesslich der Testung von Kindern angezeigt. Patienten mit mittle-rer (30–100 µmol/L) oder schwerer (>100 µmol/L) Hyperhomocysteinamie sowie Patienten, welche auf die Therapie nicht ansprechen, sollten an einen Spezialisten iiberwiesen werden. Full article
Show Figures

Figure 1

8 pages, 175 KB  
Article
Interventions Cardiaques Percutanées en Suisse en 2001
by L. Schlüter, H. Rickli, A. Vuillomenet, P. Chatelain, F. Eberli, B. Meier and E. Eeckhout
Cardiovasc. Med. 2004, 7(2), 61; https://doi.org/10.4414/cvm.2004.01009 - 25 Feb 2004
Cited by 1 | Viewed by 106
Abstract
A national annual survey of cardiac procedures (percutaneous and surgical) is carried out since 1987, using a standardized questionnaire. We present the data of the year 2001 about percutaneous interventions for every center in the country, be it of the public academic, public [...] Read more.
A national annual survey of cardiac procedures (percutaneous and surgical) is carried out since 1987, using a standardized questionnaire. We present the data of the year 2001 about percutaneous interventions for every center in the country, be it of the public academic, public non academic, or private sector. A total of 30454 coronary angiographies (+0.2% compared with 2000), 11803 percutaneous coronary interventions (PCI) (+6%) were performed during the year 2001 in the 26 Swiss centers (5 university hospitals, 10 public non university hospitals and 11 private clinics). Diagnostic studies resulted in percutaneous revascularization in 39% of cases, 73% of PCI were performed at the time of the diagnostic study (ad hoc), 87% were single vessel PCI, and 11% were performed during acute myocardial infarction (AMI). Stents were implanted in 82% of cases (drug eluting 0.3%), glycoprotein IIb/IIIa antagonists were used in 22% of cases (important variability among centers). Other techniques were relatively rarely used: brachytherapy (2%), sonotherapy (0.6%) and Rotablator (0.3%). Laser angioplasty, directional atherectomy and laser wire recanalization were barely used (<0.1%). Distal protection devices were used in 2.8% of the cases. Additional diagnostic tools like intracoronary (ic) pressure (2%), ic Doppler (1.4%), ic ultrasound (2.5%) were used, but exceptionally. The average case load for the 175 operators performing diagnostic studies was 174 cases per year while the case load for the 113 interventionalists was 104 interventions per year. Reported intra-hospital PCI related mortality was 0.5%, PCI related AMI incidence 0.9% and emergency coronary aortic bypass graft incidence 0.1%. The following non coronary percutaneous procedures were reported: 15 alcohol ablations for septal hypertrophy, 28 mitral, 14 aortic, and 14 pulmonary valvuloplasties, 43 closures of patent ductus arteriosus (PDA), 154 closures of patent foramen ovale (PFO), 47 closures of atrial septal defects (ASD), 2 closures of ventricular septal defects (VSD), and 5 aortic coarctation angioplasties. Of all the procedures (coronary and non coronary), 38% were performed at the university hospitals. Full article
Show Figures

Figure 1

Previous Issue
Next Issue
Back to TopTop