Next Issue
Volume 21, 08
Previous Issue
Volume 21, 11
 
 
cardiovascmed-logo

Journal Browser

Journal Browser
Cardiovascular Medicine is published by MDPI from Volume 28 Issue 1 (2025). Previous articles were published by another publisher in Open Access under a CC-BY (or CC-BY-NC-ND) licence, and they are hosted by MDPI on mdpi.com as a courtesy and upon agreement with Editores Medicorum Helveticorum (EMH).

Cardiovasc. Med., Volume 21, Issue 12 (12 2018) – 6 articles

  • Issues are regarded as officially published after their release is announced to the table of contents alert mailing list.
  • You may sign up for e-mail alerts to receive table of contents of newly released issues.
  • PDF is the official format for papers published in both, html and pdf forms. To view the papers in pdf format, click on the "PDF Full-text" link, and use the free Adobe Reader to open them.
Order results
Result details
Select all
Export citation of selected articles as:
1 pages, 93 KB  
Editorial
Swiss Cardiologist Elected Chairman of the Europen Society of Cardiology (ESC) Congress Programme Committee
by Thomas F. Lüscher
Cardiovasc. Med. 2018, 21(12), 330; https://doi.org/10.4414/cvm.2018.02004 - 19 Dec 2018
Viewed by 114
Abstract
Prof. Marco Roffi, vice-chairman of cardiology and director of the interventional cardiology unit at the University Hospital of Geneva (HUG) has been [...] Full article
2 pages, 227 KB  
Editorial
Forschungsförderung Durch Die Schweizerische Herzstiftung
by Thomas F. Lüscher, Augusto Gallino, Robert C. Keller, Franziska Hiltpold and Ludwig von Segesser
Cardiovasc. Med. 2018, 21(12), 328; https://doi.org/10.4414/cvm.2018.02001 - 19 Dec 2018
Viewed by 134
Abstract
Die Schweizerische Herzstiftung wurde 1967 gegründet und hat seither für die Herzforschung in unserem Lande eine herausragende Rolle gespielt [...] Full article
Show Figures

Figure 1

6 pages, 1148 KB  
Case Report
When the Heart Does Not Accelerate and You Cannot Run...
by Cristiana Poroli Bastone, Mattia Duchini, Marcello Di Valentino and Andrea Menafoglio
Cardiovasc. Med. 2018, 21(12), 322; https://doi.org/10.4414/cvm.2018.02005 - 19 Dec 2018
Viewed by 113
Abstract
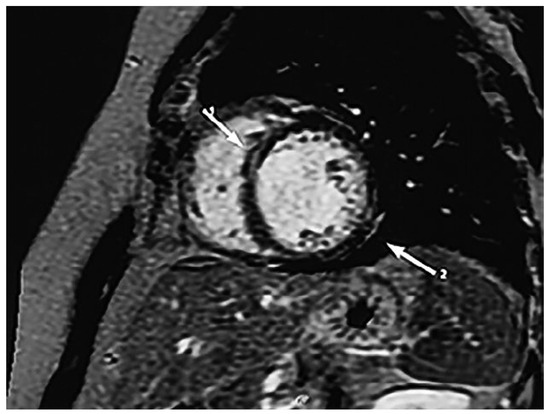
Atrioventricular block in the young is a rare condition. It is defined as congenital when diagnosed in utero, at birth or during the first month of life. Childhood atrioventricular block is defined when diagnosis occurs after the first month of life up to [...] Read more.
Atrioventricular block in the young is a rare condition. It is defined as congenital when diagnosed in utero, at birth or during the first month of life. Childhood atrioventricular block is defined when diagnosis occurs after the first month of life up to the age of 18 years. It can be isolated (in a structurally normal heart), or associated with a congenital or acquired cardiac disease or other primary causes. The definitive treatment consists of pacemaker implantation for high-risk or symptomatic patients. We report a case of probably idiopathic isolated childhood high-degree atrioventricular block presenting with a long-standing history of effort intolerance, successfully treated with a pacemaker. This case emphasises the importance of correct evaluation of a young patient suffering from effort intolerance and the need to record an ECG when faced with an inadequate heart rate, particularly if accompanied by symptoms. We briefly review the classification, the causes, the clinical picture and the treatment of this uncommon condition. Full article
Show Figures

Figure 1

6 pages, 220 KB  
Review
Chagas Heart Disease
by Deborah Schild, Regula Fankhauser, Nisha Arenja and Jan Novak
Cardiovasc. Med. 2018, 21(12), 316; https://doi.org/10.4414/cvm.2018.02002 - 19 Dec 2018
Viewed by 712
Abstract
Chagas heart disease is becoming a worldwide health burden and represents a major cause of cardiovascular death in areas where it is endemic. Although rarely observed in Switzerland, increased awareness of the disease is important, particularly in times of global migration and mobility. [...] Read more.
Chagas heart disease is becoming a worldwide health burden and represents a major cause of cardiovascular death in areas where it is endemic. Although rarely observed in Switzerland, increased awareness of the disease is important, particularly in times of global migration and mobility. Chagas disease is caused by Trypanosoma cruzi, which is transmitted by infected triotamine bugs. The spectrum of cardiac involvement is variable. It ranges from an acute cardiac infection to chronic myocardial fibrosis. Acute infection is often asymptomatic and resolves spontaneously in up to 90% of cases, but it may also lead to an indeterminate form of chronic Chagas disease with positivity for antibodies against T. cruzi. Thirty to forty percent of patients with indeterminate Chagas disease have involvement of the heart (Chagas cardiomyopathy), oesophagus (megaoesophagus), colon (megacolon), or all of these organs. The chronic disease is diagnosed by compatible clinical presentation (cardiac, digestive or cardio-digestive), and detection of antibodies against T. cruzi antigens at least in two different serological tests. The acute disease is treated with benznidazole or nifurtimox, which are strongly recommended for all cases of acute, congenital or reactivated infection, including in children. Drug treatment can be offered to adults up to 50 years of age without advanced Chagas heart disease. During pregnancy, in severe hepatic or renal insufficiency and in advanced Chagas heart disease, treatment is not recommended. The treatment options of these patients are limited to heart failure medication. The present article presents a patient with newly diagnosed Chagas cardiomyopathy, who was admitted to our hospital with symptoms of heart failure. We provide an overview of Chagas disease in the current literature. Full article
Show Figures

Figure 1

6 pages, 225 KB  
Review
Intensive LDL-Cholesterol Lowering and Inhibition of Inflammation to Further Reduce Cardiovascular Risk?
by David Carballo and François Mach
Cardiovasc. Med. 2018, 21(12), 310; https://doi.org/10.4414/cvm.2018.02003 - 19 Dec 2018
Cited by 1 | Viewed by 203
Abstract
Cardiovascular disease and in particular coronary heart disease (CHD) are major causes of mortality and low density lipoprotein-cholesterol is causally related to CHD. Risk prevention requires a global approach for patient management, including lifestyle and dietary changes for all. Pharmaceutical lipid-lowering therapy using [...] Read more.
Cardiovascular disease and in particular coronary heart disease (CHD) are major causes of mortality and low density lipoprotein-cholesterol is causally related to CHD. Risk prevention requires a global approach for patient management, including lifestyle and dietary changes for all. Pharmaceutical lipid-lowering therapy using statins and non-statin combinations significantly improves cardiovascular outcomes. Severe hypercholesterolaemia and familial forms require aggressive lipid- lowering therapy. New approaches with anti-PCSK9 antibodies enable more therapeutic goals to be achieved. Residual inflammatory assessment may help guide risk evaluation and become a therapeutic target. Full article
Show Figures

Figure 1

7 pages, 810 KB  
Editorial
Die Kardiologen und die Zukunft ihres Fachs
by Thomas F. Lüscher
Cardiovasc. Med. 2018, 21(12), 303; https://doi.org/10.4414/cvm.2018.02006 - 19 Dec 2018
Viewed by 122
Abstract
Kardiologen sind stolze Ärzte, und Grund dazu besteht in der Tat: In den letzten Jahrzehnten hat sich die Kardiologie von einem Nischenbereich [...] Full article
Show Figures

Figure 1

Previous Issue
Next Issue
Back to TopTop