You are currently on the new version of our website. Access the old version .
Cardiovascular MedicineCardiovascular Medicine
  • Cardiovascular Medicine is published by MDPI from Volume 28 Issue 1 (2025). Previous articles were published by another publisher in Open Access under a CC-BY (or CC-BY-NC-ND) licence, and they are hosted by MDPI on mdpi.com as a courtesy and upon agreement with Editores Medicorum Helveticorum (EMH).
  • Case Report
  • Open Access

15 February 2017

Lamin A/C Cardiomyopathy: Case Report and Review of the Literature

,
,
,
and
1
Department of Cardiology, Ospedale San Giovanni, CH-6500 Bellinzona, Switzerland
2
Department of Cardiology, Inselspital, Bern, Switzerland
3
Department of Radiology, Ospedale San Giovanni, Bellinzona, Switzerland
*
Author to whom correspondence should be addressed.

Abstract

A 45-year-old man known for bradycardia underwent cardiac evaluation because of complete atrioventricular block. His mother underwent heart transplantation at the age of 60 for dilated cardiomyopathy. Echocardiography revealed mild left ventricular dilatation, and a subnormal left ventricular ejection fraction (LVEF) of 50% due to septal hypokinesia. Cardiac magnetic resonance imaging showed linear mid-myocardial late gadolinium enhancement of the basal septum, indicating myocardial fibrosis. We decided to implant a dual chamber pacemaker programmed in DDD modality. On the basis of the clinical history we suspected a lamin A/C (LMNA) mutation cardiomyopathy. A known pathogenic heterozygote mutation c.1129C>T (p.Arg377His) in the LMNA gene was identified, confirming the diagnosis of LMNA cardiopathy. At this time we suggested an upgrade to an implantable cardioverter-defibrillator in order to prevent sudden cardiac death, but the patient refused. Eighteen months after the pacemaker implantation the patient is alive and well.

Case report

A 45-year-old man known for bradycardia for at least 5 years underwent a cardiac evaluation in our department. He had no symptoms and took no medication. His family history revealed that his mother underwent heart transplantation at the age of 60 for dilated cardiomyopathy (DCM).
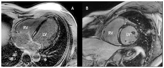
On physical examination he appeared in excellent condition, with weight 90 kg for a height of 185 cm. The pulse was regular and bradycardic at 39 bpm, blood pressure was 130/80 mm Hg. Cardiac and chest auscultation were unremarkable. Chest x-ray showed a slightly dilated cardiac silhouette. The ECG revealed sinus rhythm with 2:1 atrioventricular block (AVB) (Figure 1) alternating with complete AVB (Figure 2). During Holter monitoring there was normal sinus rhythm with persistent high-degree AVB (Mobitz type 2; advanced second degree – 2:1 and 3:1 – and complete AVB) with mean ventricular rate 41 bpm and maximum R-R interval of 4 s. An echocardiogram revealed mild left ventricular dilatation (left ventricular end-diastolic diameter 62 mm), and a subnormal left ventricular ejection fraction (LVEF) of 50% due to septal hypokinesia. Cardiac magnetic resonance imaging (CMR) confirmed the mild left ventricular dilatation and showed linear mid-myocardial late gadolinium enhancement of the basal septum, indicating myocardial fibrosis (Figure 3). On the basis of the family history of DCM, the complete AVB, the mild left ventricular dilatation with sub-normal LVEF and linear mid-myocardial septal fibrosis, we suspected cardiomyopathy due to a lamin A/C (LMNA) gene mutation.
Figure 1. Sinus rhythm 78 bpm with 2:1 atrioventricular block (ventricular rate 39 bpm) and left anterior fascicular block.
Figure 2. Sinus rhythm with complete atrioventricular block and ventricular escape rhythm 39 bpm.
Figure 3. Post-contrast inversion recovery gradient echo images (late gadolinium enhancement) in a four-chamber (A) and short axis view (B), showing linear, mid-myocardial enhancement of the basal ventricular septum, consistent with fibrosis.
We decided to implant a dual chamber pacemaker programmed in DDD modality (Figure 4) and performed genetic testing using the TruSight Cardio Panel (Illumina, San Diego, USA), which includes 176 genes. All associated mutations/variants were confirmed by direct Sanger sequencing. A known disease-causing heterozygote missense mutation c.1129C>T (p.Arg377His) in the LMNA gene was identified, confirming the diagnosis of LMNA cardiopathy. Six months after pacemaker implantation the patient remained asymptomatic. Left ventricular dimension and function were unchanged. The pacemaker memory showed an episode of atrial arrhythmia (atrial flutter and atrial fibrillation) lasting 15 days, and several short episodes of relatively slow (150–180 bpm) nonsustained ventricular tachycardia (Figure 5). Beta-blocker therapy was initiated but after a few weeks was stopped because of side effects.
Figure 4. After DDD pacemaker implantation: sinus rhythm 65 bpm with sequential atrio-ventricular pacing.
Figure 5. Electrograms from the pacemaker memory. A: Nonsustained ventricular tachycardia (6 complexes, 160–180 bpm). B: Beginning of the episode of atrial arrhythmia. A = atrial electrogram; V = ventricular electrogram; MC = marker channel.
At this time the question was: “What to do? Upgrade to a defibrillator (ICD)? To a resynchronisation system (CRT)? Close clinical follow-up?”
After extensive discussion with the patient, and considering that he had several risk factors for malignant ventricular arrhythmia, we suggested an up-grade to an ICD in order to prevent sudden cardiac death (SCD). Nevertheless, the patient refused our proposal. Eighteen months after the pacemaker implantation, the patient is alive and well. He has two sisters, who are asymptomatic with a normal ECG and echocardiogram. A genetic analysis has been planned.

Discussion

DCM is characterised by a dilated left ventricle with systolic dysfunction that is not caused by ischaemic or valvular heart disease [1]. The prevalence is about 1 DCM case in 2500 individuals [2]. DCM is currently responsible for approximately 10 000 deaths and 46 000 hospitalisations each year in the United States [3]. Despite a comprehensive evaluation, about 50% of cases lack an underlying diagnosis and are classified as idiopathic DCM [4]. Familial DCM accounts for up to 50% of all cases of idiopathic DCM [5]. LMNA gene mutations are one of the most frequent genetic abnormalities involved in DCM and it has been estimated that LMNA mutations cause up to 10% of familial DCM [6]. Lamin A and C are both encoded by the LMNA gene, which is localised to chromosome 1q21.2-q21.3 [7]. Lamins are type V intermediate filament proteins that are able to polymerise and form the nuclear lamina, an organised meshwork that lies between the inner nuclear membrane and the chromatin [8]. Mutations in LMNA are highly penetrant and may cause severe and progressive cardiopathy in a relevant proportion of patients. Furthermore, patients carrying a mutation in the LMNA gene may have one of several forms of muscular dystrophy such as Emery-Dreifuss muscular dystrophy [9], autosomal dominant limb girdle muscular dystrophy [10], or sensory and motor axonal neuropathy Charcot-Marie-Tooth type 2 [11].
LMNA mutations are associated with cardiac abnormalities characterised by arrhythmias (sinus node dysfunction, AVB, atrial and ventricular arrhythmias) and DCM leading to heart failure [12,13]. Fatkin et al. [14] evaluated the clinical features of LMNA mutations in 39 affected patients with cardiac involvement. The study showed that the onset of disease occurred in middle age (mean age 38 years, range 19–53 years). Eighty-seven percent had sinus-node dysfunction or atrioventricular disturbances (sinus bradycardia, or first-, second- or third-degree heart block). Atrial fibrillation or atrial flutter were present in 59% of affected people and 64% had DCM. Pacemakers were implanted, owing to high-grade AVB or brady-arrhythmias, in 54% of affected patients. Often in LMNA cardiopathy, conduction disturbances or arrhythmia anticipate left ventricular dysfunction [12,13,14,15]. It was the case in our patient with AVB, atrial arrhythmia and nonsustained ventricular tachycardia, but preserved LVEF.
In addition to history, ECG and echocardiography, CMR plays an important role in determining cardiac involvement in LMNA cardiomyopathy. Holmström et al. [16] showed that 88% of patients with LMNA cardiomyopathy had left ventricular myocardial fibrosis. The pattern of enhancement was typically linear and less than 50% of the area of the segment. In all the patients, late gadolinium enhancement occurred in the basal or mid-ventricular septum, which strongly correlated with segmental wall motion abnormalities. Our patient had exactly this typical pattern.
Patient with LMNA cardiopathy have a significantly worse prognosis than other patients with idiopathic DCM [12], with a high incidence of phenotypic progression and adverse arrhythmic and nonarrhythmic events during long-term follow-up. Besides heart failure due to left ventricular dysfunction, arrhythmias are a major threat, and cardiac arrest due to bradyarrhythmia or ventricular arrhythmia has been reported in up to 50% of patients [12,13,14,15,17,18,19]. Life expectancy is around 50 to 60 years [15,19].
There is consensus regarding the efficacy of ICD in the primary and secondary prevention of SCD in patients with cardiovascular diseases [20]. In LMNA cardiopathy, the risk factors of SCD are incompletely elucidated and have been correlated to several clinical and genetic factors. In a study including 94 patients, New York Heart Association (NYHA) functional class, competitive sporting activity and type of mutation predicted the incidence of heart failure and ventricular arrhythmia [17]. In a multicentre European registry of 269 patients, four independent risk factors for malignant ventricular arrhythmia were identified: nonsustained ventricular tachycardia, LVEF <45%, male sex and nonmissense mutations of the LMNA gene [19]. In this study, malignant ventricular arrhythmias occurred only in subjects with at least two of these risk factors and there was a cumulative risk per additional risk factor. Male sex, non-missense mutations and LVEF ≤50% were also associated with malignant ventricular arrhythmias in a recently published multicentre study of 122 patients [15]. In two studies of 47 and 41 patients, malignant ventricular arrhythmias were correlated with atrioventricular conduction disorders even when LVEF was preserved [21,22]. It was suggested that implantation of an ICD in patients requiring a pacemaker should be considered [21]. The presence of myocardial fibrosis in the interventricular septum may be the mechanism of the relationship between atrioventricular conduction disease and ventricular arrhythmias [21,22]. No study so far has evaluated the role of electrophysiological testing with programmed electrical stimulation or other testing (e.g., stress testing, etc.) in the risk stratification of patients with lamin A/C cardiopathy. According to the 2015 European Society of Cardiology Guidelines for the prevention of SCD [20], the implantation of an ICD is a class IIa recommendation in patients with DCM due to LMNA mutations and clinical risk factors (male sex, LVEF <45%, nonsustained ventricular tachycardia, non-missense mutations), and a class IIb recommendation in patients requiring a pacemaker. Our patient had several risk factors for malignant ventricular arrhythmias: male gender, advanced AVB and nonsustained ventricular tachycardia. Therefore, we proposed an up-grade to an ICD.
In patients with LMNA cardiopathy needing a pacemaker, implanting a CRT should be considered, even with preserved LVEF, because the progressive nature of the disease leads in a substantial number of patients to left ventricular dysfunction and heart failure. However, no study has addressed the preventive role of CRT in these patients so far.
We have described a patient with LMNA cardiomyopathy discovered through a high grade AVB. This case highlights several important elements. First, in a young patient with advanced AVB accompanied by left ventricular dysfunction or family history of DCM, one should think of LMNA cardiopathy; genetic analysis can confirm the disease. Second, LMNA cardiopathy has a poor prognosis, and risk stratification should be individualised on the basis of several clinical, instrumental and genetic factors. In patients deemed at risk of SCD, an ICD should be considered. Finally, genetic screening of family members should be offered. Mutation-positive, phenotype-negative patients should have close electrical and functional follow-up, given the highly penetrant nature of the disease.

Disclosure statement

No financial support and no other potential conflict of interest relevant to this article was reported.

References

  1. Mann, D.L.; Zipes, D.P.; Libby, P.; Bonow, R.O. Braunwald’s Heart Disease: A Textbook of Cardiovascular Medicine, 2-Volume Set, 10th Edition; page 1551.
  2. Codd, M.B.; Sugrue, D.D.; Gersh, B.J.; Melton, L.J. Epidemiology of idiopathic dilated and hypertrophic cardiomyopathy. A population-based study in Olmsted County, Minnesota, 1975–1984. Circulation. 1989, 80, 564–572. [Google Scholar] [CrossRef]
  3. Manolio, T.A.; Baughman, K.L.; Rodeheffer, R.; Pearson, T.A.; Bristow, J.D.; Michels, V.V.; et al. Prevalence and etiology of idiopathic dilated cardiomyopathy (summary of a National Heart, Lung, and Blood Institute workshop). Am J Cardiol. 1992, 69, 1458–1466. [Google Scholar] [CrossRef]
  4. Felker, G.M.; Hu, W.; Hare, J.M.; Hruban, R.H.; Baughman, K.L.; Kasper, E.K. The spectrum of dilated cardiomyopathy. The Johns Hopkins experience with 1,278 patients. Medicine (Baltimore) 1999, 78, 270–283. [Google Scholar] [CrossRef]
  5. Baig, M.K.; Goldman, J.H.; Caforio, A.L.; Coonar, A.S.; Keeling, P.J.; McKenna, W.J. Familial dilated cardiomyopathy: Cardiac abnormalities are common in asymptomatic relatives and may represent early disease. J Am Coll Cardiol. 1998, 31, 195–201. [Google Scholar] [CrossRef]
  6. Parks, S.B.; Kushner, J.D.; Nauman, D.; Burgess, D.; Ludwigsen, S.; Peterson, A.; et al. Lamin A/C mutation analysis in a cohort of 324 unrelated patients with idiopathic or familial dilated cardiomyopathy. Am Heart J. 2008, 156, 161–169. [Google Scholar] [CrossRef]
  7. Lin, F.; Worman, H.J. Structural organization of the human gene encoding nuclear lamin A and nuclear lamin C. J Biol Chem. 1993, 268, 16321–16326. [Google Scholar] [CrossRef]
  8. Broers, J.L.; Ramaekers, F.C.; Bonne, G.; Yaou, R.B.; Hutchison, C.J. Nuclear lamins: Laminopathies and their role in premature ageing. Physiol Rev. 2006, 86, 967–1008. [Google Scholar] [CrossRef]
  9. Quijano-Roy, S.; Mbieleu, B.; Bönnemann, C.G.; Jeannet, P.Y.; Colomer, J.; Clarke, N.F.; et al. De novo LMNA mutations cause a new form of congenital muscular dystrophy. Ann Neurol. 2008, 64, 177–186. [Google Scholar] [CrossRef]
  10. Carboni, N.; Mateddu, A.; Marrosu, G.; Cocco, E.; Marrosu, M.G. Genetic and clinical characteristics of skeletal and cardiac muscle in patients with lamin A/C gene mutations. Muscle Nerve. 2013, 48, 161–170. [Google Scholar] [CrossRef]
  11. De Sandre-Giovannoli, A.; Chaouch, M.; Kozlov, S.; Vallat, J.M.; Tazir, M.; Kassouri, N.; et al. Am J Hum Genet. 2002, 70, 726–736. [CrossRef]
  12. Taylor, M.R.; Fain, P.R.; Sinagra, G.; Robinson, M.L.; Robertson, A.D.; Carniel, E.; et al. Familial Dilated Cardiomyopathy Registry Research Group. Natural history of dilated cardiomyopathy due to lamin A/C gene mutations. J Am Coll Cardiol. 2003, 41, 771–780. [Google Scholar] [CrossRef]
  13. van Berlo, J.H.; de Voogt, W.G.; van der Kooi, A.J.; van Tintelen, J.P.; Bonne, G.; Yaou, R.B.; et al. Meta-analysis of clinical characteristics of 299 carriers of LMNA gene mutations: Do lamin A/C mutations portend a high risk of sudden death? J Mol Med. (Berl) 2005, 83, 79–83. [Google Scholar] [CrossRef]
  14. Fatkin, D.; MacRae, C.; Sasaki, T.; Wolff, M.R.; Porcu, M.; Frenneaux, M.; et al. Missense mutations in the rod domain of the lamin A/C gene as causes of dilated cardiomyopathy and conduction-system disease. N Engl J Med. 1999, 341, 1715–1724. [Google Scholar] [CrossRef]
  15. Kumar, S.; Baldinger, S.H.; Grandjbakhch, E.; Maury, P.; Sellal, J.-M.; Androulakis, A.F.A.; et al. Long-term arrhythmic and nonarrhythmic outcomes of lamin A/C mutation carriers. J Am Coll Cardiol. 2016, 68, 2299–2307. [Google Scholar] [CrossRef]
  16. Holmström, M.; Kivistö, S.; Heliö, T.; Jurkko, R.; Kaartinen, M.; Antila, M.; et al. Late gadolinium enhanced cardiovascular magnetic resonance of lamin A/C gene mutation related dilated cardiomyopathy. J Cardiovasc Magn Reson. 2011, 13, 30. [Google Scholar] [CrossRef]
  17. Pasotti, M.; Klersy, C.; Pilotto, A.; Marziliano, N.; Rapezzi, C.; Serio, A.; et al. Long-term outcome and risk stratification in dilated cardiolaminopathies. J Am Coll Cardiol. 2008, 52, 1250–1260. [Google Scholar] [CrossRef]
  18. Bécane, H.M.; Bonne, G.; Varnous, S.; Muchir, A.; Ortega, V.; Hammouda, E.H.; et al. High incidence of sudden death with conduction system and myocardial disease due to lamins A and C gene mutation. Pacing Clin Electrophysiol. 2000, 23, 1661–1666. [Google Scholar] [CrossRef]
  19. van Rijsingen, I.A.; Arbustini, E.; Elliott, P.M.; Mogensen, J.; Hermans-van Ast, J.F.; van der Kooi, A.J.; et al. Risk factors for malignant ventricular arrhythmias in lamin a/c mutation carriers a European cohort study. J Am Coll Cardiol. 2012, 59, 493–500. [Google Scholar] [CrossRef]
  20. Priori, S.G.; Blomström-Lundqvist, C.; Mazzanti, A.; Blom, N.; Borggrefe, M.; Camm, J.; et al. ESC Guidelines for the management of patients with ventricular arrhythmias and the prevention of sudden cardiac death: The Task Force for the Management of Patients with Ventricular Arrhythmias and the Prevention of Sudden Cardiac Death of the European Society of Cardiology (ESC). Endorsed by: Association for European Paediatric and Congenital Cardiology (AEPC). Eur Heart J. 2015, 36, 2793–2867. [Google Scholar]
  21. Anselme, F.; Moubarak, G.; Savouré, A.; Godin, B.; Borz, B.; Drouin-Garraud, V.; et al. Implantable cardioverter-defibrillators in lamin A/C mutation carriers with cardiac conduction disorders. Heart Rhythm. 2013, 10, 1492–1498. [Google Scholar] [CrossRef]
  22. Hasselberg, N.E.; Edvardsen, T.; Petri, H.; Berge, K.E.; Leren, T.P.; Bundgaard, H.; et al. Risk prediction of ventricular arrhythmias and myocardial function in Lamin A/C mutation positive subjects. Europace. 2014, 16, 563–571. [Google Scholar] [CrossRef] [PubMed]

Article Metrics

Citations

Article Access Statistics

Multiple requests from the same IP address are counted as one view.