Potential Toxic Effects of Exposure to Titanium Silicon Oxide Nanoparticles in Male Rats
Abstract
:1. Introduction
2. Materials and Methods
2.1. Chemicals and Reagents
2.2. TEM Analysis and XRD Pattern of TiSiO4 NPs
2.3. Animals and Treatments
2.3.1. Toxicity Biomarkers and Histopathological Evaluation
Serum Assays
Genotoxicity (DNA Damage Marker)
Histopathological Examination of Liver, Kidneys, Spleen, and Lung Tissues in Male Rats Exposed Orally to TiSiO4
2.3.2. Determination of Silicon and Titanium in Tissues of Male Rats Exposed Orally to TiSiO4
2.4. Data Analysis
3. Results
3.1. TEM Analysis and XRD Pattern of TiSiO4 NPs
3.2. Serum Biochemical Markers
3.2.1. Total Protein, Albumin, Cholesterol, and Triglycerides
3.2.2. Oxidative Stress
3.2.3. Immune Toxicity
3.2.4. Neurotoxicity
3.2.5. Hepatotoxicity
3.2.6. Renal Toxicity
3.2.7. Reproductive Toxicity
3.3. Genotoxicity
3.4. Histopathological Examination
3.4.1. Liver
3.4.2. Kidney
3.4.3. Spleen
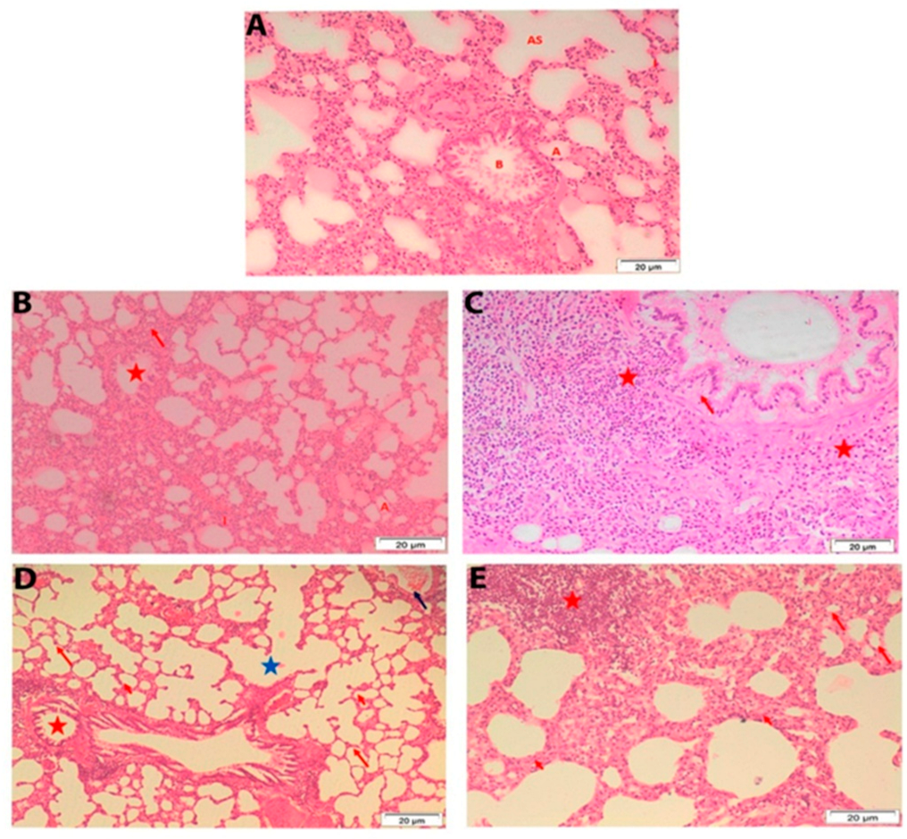
3.4.4. Lung
3.5. Silicon and Titanium Content in Tissues of Male Rats Exposed Orally to TiSiO4 NPs
4. Discussion
5. Conclusions
Author Contributions
Funding
Institutional Review Board Statement
Conflicts of Interest
References
- Goncalves, D.M.; De Liz, R.; Girard, D. The inflammatory process in response to nanoparticles. Sci. World J. 2011, 11, 2441–2442. [Google Scholar] [CrossRef] [PubMed]
- Musee, N.; Sikhwivhilu, L.; Gulumian, M. Relevance of nanotechnology to Africa: Synthesis, applications, and safety. In Chemistry for Sustainable Development in Africa; Springer: Berlin/Heidelberg, Germany, 2013; pp. 123–158. [Google Scholar] [CrossRef]
- Yang, X.; Liu, J.; He, H.; Zhou, L.; Gong, C.; Wang, X.; Yang, L.; Yuan, J.; Huang, H.; He, L.; et al. SiO2 nanoparticles induce cytotoxicity and protein expression alteration in HaCaT cells. Part. Fibre Toxicol. 2010, 7, 1–12. [Google Scholar] [CrossRef] [PubMed] [Green Version]
- Hsiao, I.L.; Huang, Y.J. Effects of various physicochemical characteristics on the toxicities of ZnO and TiO2 nanoparticles toward human lung epithelial cells. Sci. Total Environ 2011, 409, 1219–1228. [Google Scholar] [CrossRef] [PubMed]
- Oberdörster, G.; Oberdörster, E.; Oberdörster, J. Nanotoxicology: An emerging discipline evolving from studies of ultrafine particles. Environ. Health Perspect. 2005, 113, 823–839. [Google Scholar] [CrossRef]
- Alkilany, A.M.; Murphy, C.J. Toxicity and cellular uptake of gold nanoparticles: What we have learned so far? J. Nanopart. Res. 2010, 12, 2313–2333. [Google Scholar] [CrossRef] [Green Version]
- Shukla, R.K.; Sharma, V.; Pandey, A.K.; Singh, S.; Sultana, S.; Dhawan, A. ROS-mediated genotoxicity induced by titanium dioxide nanoparticles in human epidermal cells. Toxicol. In Vitro 2011, 25, 231–241. [Google Scholar] [CrossRef]
- Singh, N.; Manshian, B.; Jenkins, G.J.; Griffiths, S.M.; Williams, P.M.; Maffeis, T.G.; Wright, C.J.; Doak, S.H. NanoGenotoxicology: The DNA damaging potential of engineered nanomaterials. Biomaterials 2009, 30, 3891–3914. [Google Scholar] [CrossRef]
- Karlsson, H.L. The comet assay in nanotoxicology research. Anal. Bioanal. Chem 2010, 398, 651–666. [Google Scholar] [CrossRef]
- Dasgupta, J.; Chakraborty, S.; Sikder, J.; Kumar, R.; Pal, D.; Curcio, S.; Drioli, E. The effects of thermally stable titanium silicon oxide nanoparticles on structure and performance of cellulose acetate ultrafiltration membranes. Sep. Purif. Technol. 2014, 133, 55–68. [Google Scholar] [CrossRef]
- Yılmaz, F.; Bahtiyari, M.İ. An Approach for Multifunctional Finishing of Cotton with the Help of Nano Titanium Silicon Oxide. J. Nat. Fibers 2020, 1–8. [Google Scholar] [CrossRef]
- Bouguerra, S.; Gavina, A.; Ksibi, M.; da Graça Rasteiro, M.; Rocha-Santos, T.; Pereira, R. Ecotoxicity of titanium silicon oxide (TiSiO4) nanomaterial for terrestrial plants and soil invertebrate species. Ecotoxicol. Environ. Saf. 2016, 129, 291–301. [Google Scholar] [CrossRef]
- Pereira, R.; Rocha-Santos, T.A.P.; Antunes, F.E.; Rasteiro, M.G.; Ribeiro, R.; Gonçalves, F.; Soares, A.M.V.M.; Lopes, I. Screening evaluation of the ecotoxicity and genotoxicity of soils contaminated with organic and inorganic nanoparticles: The role of ageing. J. Hazard. Mater. 2011, 194, 345–354. [Google Scholar] [CrossRef]
- Lopes, I.; Ribeiro, R.; Antunes, F.E.; Rocha-Santos, T.A.P.; Rasteiro, M.G.; Soares, A.M.V.M.; Gonçalves, F.; Pereira, R. Toxicity and genotoxicity of organic and inorganic nanoparticles to the bacteria Vibrio fischeri and Salmonella typhimurium. Ecotoxicology 2012, 21, 637–648. [Google Scholar] [CrossRef]
- Meena, R.; Pal, R.; Pradhan, S.N.; Rani, M.; Paulraj, R. Comparative study of TiO2 and TiSiO4 nanoparticles induced oxidative stress and apoptosis of HEK-293 cells. Adv. Mat. Lett. 2012, 3, 459–465. [Google Scholar] [CrossRef]
- World Health Organization (WHO). FAO Nutrition Meetings Report Series No. 46A: 1969. Toxicological evaluation of some food colours, emulsifiers, stabilizers, anti-caking agents and certain other substances. WHO/FOOD ADD/70 1970, 70, 36. [Google Scholar]
- Wang, J.; Zhou, G.; Chen, C.; Yu, H.; Wang, T.; Ma, Y.; Jia, G.; Gao, Y.; Li, B.; Sun, J.; et al. Acute toxicity and biodistribution of different sized titanium dioxide particles in mice after oral administration. Toxicol. Lett. 2007, 168, 176–185. [Google Scholar] [CrossRef]
- Ma, L.; Zhao, J.; Wang, J.; Liu, J.; Duan, Y.; Liu, H.; Li, N.; Yan, J.; Ruan, J.; Wang, H.; et al. The acute liver injury in mice caused by nano-anatase TiO2. Nanoscale Res. Lett. 2009, 4, 1275–1285. [Google Scholar] [CrossRef] [Green Version]
- Unnithan, J.; Rehman, M.U.; Ahmad, F.J.; Samim, M. Concentration dependent toxicity of approximately 20 nm anatase titanium dioxide nanoparticles--an in vivo study on Wistar rats. J. Biomed. Nanotechnol. 2011, 7, 207–208. [Google Scholar] [CrossRef]
- Xu, J.; Shi, H.; Ruth, M.; Yu, H.; Lazar, L.; Zou, B.; Yang, C.; Wu, A.; Zhao, J. Acute toxicity of intravenously administered titanium dioxide nanoparticles in mice. PLoS ONE 2013, 8, e70618. [Google Scholar] [CrossRef] [Green Version]
- Doudi, M.; Setorki, M. Influence of titanium dioxide nanoparticles on oxidative stress and pulmonary dysfunction. Zahedan J. Res. Med. Sci. 2015, 17, e1062. [Google Scholar] [CrossRef] [Green Version]
- Wang, J.J.; Sanderson, B.J.; Wang, H. Cyto-and genotoxicity of ultrafine TiO2 particles in cultured human lymphoblastoid cells. Mutat. Res. Genet. Toxicol. Environ. Mutagen. 2007, 628, 99–106. [Google Scholar] [CrossRef]
- Long, T.C.; Tajuba, J.; Sama, P.; Saleh, N.; Swartz, C.; Parker, J.; Hester, S.; Lowry, G.V.; Veronesi, B. Nanosize titanium dioxide stimulates reactive oxygen species in brain microglia and damages neurons in vitro. Environ. Health Perspect. 2007, 115, 1631–1637. [Google Scholar] [CrossRef] [Green Version]
- Kang, S.J.; Kim, B.M.; Lee, Y.J.; Chung, H.W. Titanium dioxide nanoparticles trigger p53-mediated damage response in peripheral blood lymphocytes. Environ. Mol. Mutagen. 2008, 49, 399–405. [Google Scholar] [CrossRef]
- Barnard, A.S. One-to-one comparison of sunscreen efficacy, aesthetics and potential nanotoxicity. Nat. Nanotechnol. 2010, 5, 271–274. [Google Scholar] [CrossRef]
- Yu, Y.; Li, Y.; Wang, W.; Jin, M.; Du, Z.; Li, Y.; Duan, J.; Yu, Y.; Sun, Z. Acute toxicity of amorphous silica nanoparticles in intravenously exposed ICR mice. PLoS ONE 2013, 8, e61346. [Google Scholar] [CrossRef] [Green Version]
- Van Der Zande, M.; Vandebriel, R.J.; Groot, M.J.; Kramer, E.; Rivera, Z.E.H.; Rasmussen, K.; Ossenkoppele, J.S.; Tromp, P.; Gremmer, E.R.; Peters, R.J.B.; et al. Sub-chronic toxicity study in rats orally exposed to nanostructured silica. Part. Fibre Toxicol. 2014, 11, 1–19. [Google Scholar] [CrossRef] [Green Version]
- Sadek, S.A.; Soliman, A.M.; Marzouk, M. Ameliorative effect of Allolobophora caliginosa extract on hepatotoxicity induced by silicon dioxide nanoparticles. Toxicol. Ind. Health 2016, 32, 1358–1372. [Google Scholar] [CrossRef]
- Fattin, S.M.; Abd ElSalam, N.F.; Bahaa, N.; Baher, W. Effect of silica oxide nanoparticles on liver of adult male albino rat.Light and electron microscopic study. Egypt. J. Histol. 2017, 40, 345–361. [Google Scholar] [CrossRef]
- Salem, A.; Oudhabechi, A.; Sakly, M. Effect of nano-sized SiO2 particles on the cognitive function and biochemical response. Arch. Environ. Occup. Health 2019, 74, 140–146. [Google Scholar] [CrossRef]
- Pfuhler, S.; Downs, T.R.; Allemang, A.J.; Shan, Y.; Crosby, M.E. Weak silica nanomaterial-induced genotoxicity can be explained by indirect DNA damage as shown by the OGG1-modified comet assay and genomic analysis. Mutagenesis 2017, 32, 5–12. [Google Scholar] [CrossRef]
- Fu, C.; Liu, T.; Li, L.; Liu, H.; Chen, D.; Tang, F. The absorption, distribution, excretion and toxicity of mesoporous silica nanoparticles in mice following different exposure routes. Biomaterials 2013, 34, 2565–2575. [Google Scholar] [CrossRef] [PubMed]
- Lee, J.A.; Kim, M.K.; Paek, H.J.; Kim, Y.R.; Kim, M.K.; Lee, J.K.; Choi, S.J. Tissue distribution and excretion kinetics of orally administered silica nanoparticles in rats. Int. J. Nanomed. 2014, 9, 251–260. [Google Scholar]
- Doumas, B.T.; Bayse, D.D.; Carter, R.J.; Peters, T., Jr.; Schaffer, R. candidate reference method for determination of total protein in serum. I. Development and validation, II. Tests for transferability. Clin. Chem. 1981, 27, 1642–1650. [Google Scholar] [CrossRef] [PubMed]
- Doumas, B.T.; Watson, W.A.; Biggs, H.G. Albumin standards and the measurement of serum albumin with bromcresol green. Clin. Chim. Acta 1971, 31, 87–96. [Google Scholar] [CrossRef]
- Trinder, P. Enzymatic methods for glucose determination. Ann. Clin. Biochem. 1969, 6, 24–26. [Google Scholar] [CrossRef]
- Allain, C.C.; Poon, L.S.; Chan, C.S.; Richmond, W.F.P.C.; Fu, P.C. Enzymatic determination of total serum cholesterol. Clin. Chem. 1974, 20, 470–475. [Google Scholar] [CrossRef]
- Bucolo, G.; David, H. Quantitative determination of serum triglycerides by the use of enzymes. Clin. Chem. 1973, 19, 476–482. [Google Scholar] [CrossRef]
- Jendrassik, L.; Grof, P. Colorimetric method of determination of bilirubin. Biochem z 1938, 297, e2. [Google Scholar]
- Fawcett, J.K.; Scott, J.E. A rapid and precise method for the determination of urea. J. Clin. Pathol. 1960, 13, 156–159. [Google Scholar] [CrossRef] [Green Version]
- Singh, N.P.; McCoy, M.T.; Tice, R.R.; Schneider, E.L. A simple technique for quantitation of low levels of DNA damage in individual cells. Exp. Cell Res. 1988, 175, 184–191. [Google Scholar] [CrossRef] [Green Version]
- Drury, R.A.B.; Wallington, E.A. Carleton’s Histological Technique, 5th ed.; Churchill Livingstone: New York, NY, USA, 1980. [Google Scholar]
- Sang, X.; Zheng, L.; Sun, Q.; Li, N.; Cui, Y.; Hu, R.; Gao, G.; Cheng, Z.; Cheng, J.; Gui, S.; et al. The chronic spleen injury of mice following long-term exposure to titanium dioxide nanoparticles. J. Biomed. Mater. Res. 2012, 100, 894–902. [Google Scholar] [CrossRef]
- Das, U.N. Is metabolic syndrome X a disorder of the brain with the initiation of low-grade systemic inflammatory events during the perinatal period? J. Nutr. Biochem. 2007, 18, 701–713. [Google Scholar] [CrossRef]
- Rao, A.A.; Sridhar, G.R.; Das, U.N. Elevated butyrylcholinesterase and acetylcholinesterase may predict the development of type 2 diabetes mellitus and Alzheimer’s disease. Med. Hypotheses 2007, 69, 1272–1276. [Google Scholar] [CrossRef]
- Anderson, S.; Cockayne, S. Clinical Chemistry: Concepts and Applications; Carde, A.A., Ed.; Philadelphia: London, UK, 1989; pp. 367–383. [Google Scholar]
- Kaneko, J.J.; Harvey, J.W.; Bruss, M.L. Clinical Biochemistry of Domestic Animals, 5th ed.; Academic Press: San Diego, CA, USA, 1997. [Google Scholar]
- Fetoui, H.; Garoui, E.M.; Zeghal, N. Lambda-cyhalothrin induced biochemical and histopathological changes in the liver of rats: Ameliorative effect of ascorbic acid. Exp. Toxicol. Pathol. 2009, 61, 189–196. [Google Scholar] [CrossRef]
- Djordjevic, J.; Djordjevic, A.; Adzic, M.; Elaković, I.; Matić, G.; Radojcic, M.B. Fluoxetine affects antioxidant system and promotes apoptotic signaling in Wistar rat liver. Eur. J. Pharmacol. 2011, 659, 61–66. [Google Scholar] [CrossRef]
- Liu, H.; Ma, L.; Zhao, J.; Liu, J.; Yan, J.; Ruan, J.; Hong, F. Biochemical toxicity of nano-anatase TiO2 particles in mice. Biol. Trace Elem. Res. 2009, 129, 170–180. [Google Scholar] [CrossRef]
- Sanjiv, C. The Liver Book: A Comprehensive Guide to Diagnosis, Treatment and Recovery; Atria Jimcafe Company: New York, NY, USA, 2002. [Google Scholar]
- Trouiller, B.; Reliene, R.; Westbrook, A.; Solaimani, P.; Schiestl, R.H. Titanium dioxide nanoparticles induce DNA damage and genetic instability in vivo in mice. Cancer Res. 2009, 69, 8784–8789. [Google Scholar] [CrossRef] [Green Version]
- Faddah, L.M.; Baky, N.A.A.; Al-Rasheed, N.M.; Al-Rasheed, N.M. Biochemical responses of nanosize titanium dioxide in the heart of rats following administration of idepenone and quercetin. Afr. J. Pharm. Pharmacol. 2013, 7, 2639–2651. [Google Scholar] [CrossRef] [Green Version]
- Mohamed, H.R.H. Attenuation of nano-TiO2 induced genotoxicity, mutagenicity and apoptosis by chlorophyllin in mice cardiac cells. Int. J. Sci. Res 2014, 3, 2625–2636. [Google Scholar]
- Schins, R.P.; Knaapen, A.M. Genotoxicity of poorly soluble particles. Inhal. Toxicol. 2007, 19, 189–198. [Google Scholar] [CrossRef]
- Lin, W.; Huang, Y.W.; Zhou, X.D.; Ma, Y. In vitro toxicity of silica nanoparticles in human lung cancer cells. Toxicol. Appl. Pharmacol. 2006, 217, 252–259. [Google Scholar] [CrossRef] [PubMed]
- Park, E.J.; Park, K. Oxidative stress and pro-inflammatory responses induced by silica nanoparticles in vivo and in vitro. Toxicol. Lett. 2009, 184, 18–25. [Google Scholar] [CrossRef] [PubMed]
- Nabeshi, H.; Yoshikawa, T.; Matsuyama, K.; Nakazato, Y.; Matsuo, K.; Arimori, A.; Isobe, M.; Tochigi, S.; Kondoh, S.; Hirai, T.; et al. Systemic distribution, nuclear entry and cytotoxicity of amorphous nanosilica following topical application. Biomaterials 2011, 32, 2713–2724. [Google Scholar] [CrossRef] [PubMed]
- Sun, L.; Li, Y.; Liu, X.; Jin, M.; Zhang, L.; Du, Z.; Guo, C.; Huang, P.; Sun, Z. Cytotoxicity and mitochondrial damage caused by silica nanoparticles. Toxicol. Vitro 2011, 25, 1619–1629. [Google Scholar] [CrossRef]
- Geraets, L.; Oomen, A.G.; Krystek, P.; Jacobsen, N.R.; Wallin, H.; Laurentie, M.; Verharen, H.W.; Brandon, E.F.A.; de Jong, W.H. Tissue distribution and elimination after oral and intravenous administration of different titanium dioxide nanoparticles in rats. Part. Fibre Toxicol. 2014, 11, 1–21. [Google Scholar] [CrossRef] [Green Version]
- Deng, Z.J.; Mortimer, G.; Schiller, T.; Musumeci, A.; Martin, D.; Minchin, R.F. Differential plasma protein binding to metal oxide nanoparticles. Nanotechnology 2009, 20, 455101. [Google Scholar] [CrossRef]








| Treatment | Days Post-Administration | Total Protein g/dL | Total Albumin g/dL | Total Cholesterol mg/dL | Triglycerides mg/dL |
|---|---|---|---|---|---|
| Control | 7 Days | 6.17 ± 0.68 | 4.07 ± 0.59 | 94.0 ± 3.00 | 66.0 ± 17.00 |
| TiSiO4 NPs | 6.53 ± 0.15 | 3.63 ± 0.06 | 151.67 ± 34.03 | 87.67 ± 5.51 | |
| p | 0.4141 ns | 0.2714 ns | 0.0431 * | 0.1036 ns | |
| Control | 28 Days | 6.0 ± 0.40 | 3.27 ± 0.12 | 82.0 ± 15.72 | 44.00 ± 4.36 |
| TiSiO4 NPs | 5.63 ± 0.29 | 3.33 ± 0.15 | 85.0 ± 19.00 | 55.33 ± 7.37 | |
| p | 0.2674 ns | 0.5790 ns | 0.8434 ns | 0.0836 ns |
| Treatment | Days Post-Administration | Oxidative Stress Markers | Immunotoxicity Markers | Neurotoxicity Marker | ||
|---|---|---|---|---|---|---|
| SOD U/mL | GPx ng/mL | IgG ng/mL | IgM ng/mL | AChE pg/mL | ||
| Control | 7 Days | 8 ± 1.00 | 8.67 ± 2.08 | 2508.00 ± 108.00 | 553.33 ± 54.52 | 11.88 ± 2.26 |
| TiSiO4 NPs | 26 ± 2.00 | 23.00 ± 3.61 | 886.00 ± 38.00 | 223.33 ± 23.35 | 27.67 ± 1.53 | |
| p | 0.0002 *** | 0.0040 ** | 0.0000 *** | 0.0006 *** | 0.0006 *** | |
| Control | 28 Days | 16.33 ± 4.73 | 15.67 ± 1.53 | 1637.00 ± 133.64 | 358.33 ± 28.99 | 18.33 ± 1.53 |
| TiSiO4 NPs | 34 ± 2.00 | 30.33 ± 1.53 | 338.67 ± 48.50 | 72.00 ± 8.00 | 37.00 ± 3.00 | |
| p | 0.0040 ** | 0.0003 *** | 0.0001 *** | 0.0001 *** | 0.0007 *** | |
| Treatment | Days Post-Administration | Hepatic Function Markers | Renal Function Markers | ||||
|---|---|---|---|---|---|---|---|
| ALT U/L | AST U/L | Bilirubin mg/dL | LDH U/L | Creatinine mg/dL | Urea mg/dL | ||
| Control | 7 Days | 105.19 ± 13.26 | 250.18 ± 14.94 | 0.30 ± 0.10 | 1142.33 ± 24.50 | 0.53 ± 0.06 | 81 ± 0.00 |
| TiSiO4 NPs | 64.60 ± 22.54 | 125.31 ± 10.68 | 0.53 ± 0.06 | 1698.00 ± 177.00 | 0.63 ± 0.06 | 67 ± 6.0 | |
| p | 0.0547 ns | 0.0003 *** | 0.0249 * | 0.0057 ** | 0.1012 ns | 0.0156 * | |
| Control | 28 Days | 143.80 ± 10.71 | 174.48 ± 11.26 | 0.33 ± 0.06 | 1145.00 ± 126.50 | 0.57 ± 0.06 | 71 ± 8.50 |
| TiSiO4 NPs | 108.70 ± 6.60 | 96.15 ± 7.83 | 0.43 ± 0.06 | 865.33 ± 52.50 | 0.53 ± 0.06 | 55 ± 12.12 | |
| p | 0.0084 ** | 0.0003 *** | 0.1012 ns | 0.0241 * | 0.5185 ns | 0.1287 ns | |
| Treatment | Days Post-Administration | Sex Hormones | |||
|---|---|---|---|---|---|
| LH mlU/mL | FSH mlU/mL | Testosterone ng/mL | Progesterone ng/mL | ||
| Control | 7 Days | 0.65 ± 0.18 | 0.45 ± 0.09 | 0.44 ± 0.02 | 1.15 ± 0.25 |
| TiSiO4 NPs | 5.16 ± 0.95 | 2.71 ± 0.39 | 0.07 ± 0.01 | 0.59 ± 0.18 | |
| p | 0.0012 ** | 0.0006 *** | 0.0000 *** | 0.0326 * | |
| Control | 28 Days | 1.22 ± 0.22 | 0.95 ± 0.15 | 0.37 ± 0.08 | 1.26 ± 0.27 |
| TiSiO4 NPs | 13.14 ± 3.05 | 4.53 ± 0.76 | 0.08 ± 0.01 | 0.42 ± 0.03 | |
| p | 0.0025 ** | 0.0013 ** | 0.0024 ** | 0.0054 ** | |
| Treatments | Days Post-Administration | % Comet | Tail Length (px) | %DNA in Tail | Tail Moment | Olive Moment |
|---|---|---|---|---|---|---|
| Control | 7 Days | 8.30 ± 0.88 | 5.76 ± 1.12 | 7.37 ± 1.85 | 0.56 ± 0.13 | 0.68 ± 0.20 |
| TiSiO4 NPs | 16.5 ± 0.80 | 8.54 ± 1.86 | 11.79 ± 1.31 | 1.64 ± 0.46 | 1.35 ± 0.25 | |
| p | 0.0003 *** | 0.0900 ns | 0.0278 * | 0.0174 * | 0.0141 * | |
| Control | 28 Days | 8.45 ± 0.55 | 6.69 ± 0.63 | 8.38 ± 1.49 | 0.88 ± 0.13 | 0.82 ± 0.11 |
| TiSiO4 NPs | 8.7 ± 1.05 | 6.74 ± 0.84 | 8.47 ± 1.03 | 0.91 ± 0.24 | 0.94 ± 0.16 | |
| p | 0.7340 ns | 0.9380 ns | 0.9404 ns | 0.8400 ns | 0.3576 ns |
| Tissue | Si Concentration (mg/kg Tissue) at the Indicated Days after Exposure | |||||
|---|---|---|---|---|---|---|
| 1 | 3 | 6 | ||||
| Control | TiSiO4 | Control | TiSiO4 | Control | TiSiO4 | |
| Liver | 8.01 ± 0.24 | 14.39 ± 2.21 ** | 9.00 ± 0.58 | 19.15 ± 1.00 *** | 8.21 ± 1.66 | 8.61 ± 0.89 ns |
| p | 0.0076 | 0.0001 | 0.7307 | |||
| Kidney | 30.17 ± 1.89 | 44.74 ± 1.92 *** | 30.19 ± 5.03 | 53.07 ± 1.36 ** | 22.46 ± 1.07 | 30.61 ± 2.11 ** |
| p | 0.0007 | 0.0016 | 0.004 | |||
| Spleen | 61.18 ± 4.45 | 67.62 ± 1.73 ns | 60.60 ± 4.82 | 87.14 ± 5.04 ** | 59.94 ± 3.17 | 65.40 ± 2.11 ns |
| p | 0.0798 | 0.0027 | 0.1663 | |||
| Lung | 31.62 ± 0.59 | 57.97 ± 2.48 *** | 33.93 ± 2.52 | 65.07 ± 4.67 *** | 32.45 ± 1.61 | 76.38 ± 3.10 *** |
| p | 0.0001 | 0.0005 | 0.0002 | |||
| Tissue | Ti Concentration (mg/kg Tissue) at the Indicated Days after Exposure | |||||
|---|---|---|---|---|---|---|
| 1 | 3 | 6 | ||||
| Control | TiSiO4 | Control | TiSiO4 | Control | TiSiO4 | |
| Liver | <0.05 | <0.05 | <0.05 | 0.77 ± 0.02 | <0.05 | <0.05 |
| Kidney | <0.05 | <0.05 | <0.05 | 2.42 ± 0.17 | <0.05 | <0.05 |
| Spleen | <0.05 | <0.05 | <0.05 | <0.05 | <0.05 | <0.05 |
| Lung | <0.05 | <0.05 | <0.05 | <0.05 | <0.05 | <0.05 |
Publisher’s Note: MDPI stays neutral with regard to jurisdictional claims in published maps and institutional affiliations. |
© 2022 by the authors. Licensee MDPI, Basel, Switzerland. This article is an open access article distributed under the terms and conditions of the Creative Commons Attribution (CC BY) license (https://creativecommons.org/licenses/by/4.0/).
Share and Cite
Ghareeb, S.; Ragheb, D.; El-Sheakh, A.; Ashour, M.-B.A. Potential Toxic Effects of Exposure to Titanium Silicon Oxide Nanoparticles in Male Rats. Int. J. Environ. Res. Public Health 2022, 19, 2029. https://doi.org/10.3390/ijerph19042029
Ghareeb S, Ragheb D, El-Sheakh A, Ashour M-BA. Potential Toxic Effects of Exposure to Titanium Silicon Oxide Nanoparticles in Male Rats. International Journal of Environmental Research and Public Health. 2022; 19(4):2029. https://doi.org/10.3390/ijerph19042029
Chicago/Turabian StyleGhareeb, Shimaa, Didair Ragheb, Aly El-Sheakh, and Mohamed-Bassem Ali Ashour. 2022. "Potential Toxic Effects of Exposure to Titanium Silicon Oxide Nanoparticles in Male Rats" International Journal of Environmental Research and Public Health 19, no. 4: 2029. https://doi.org/10.3390/ijerph19042029
APA StyleGhareeb, S., Ragheb, D., El-Sheakh, A., & Ashour, M.-B. A. (2022). Potential Toxic Effects of Exposure to Titanium Silicon Oxide Nanoparticles in Male Rats. International Journal of Environmental Research and Public Health, 19(4), 2029. https://doi.org/10.3390/ijerph19042029

