Carotid Artery Calcifications on Panoramic Radiographs
Abstract
1. Introduction
2. Materials and Methods
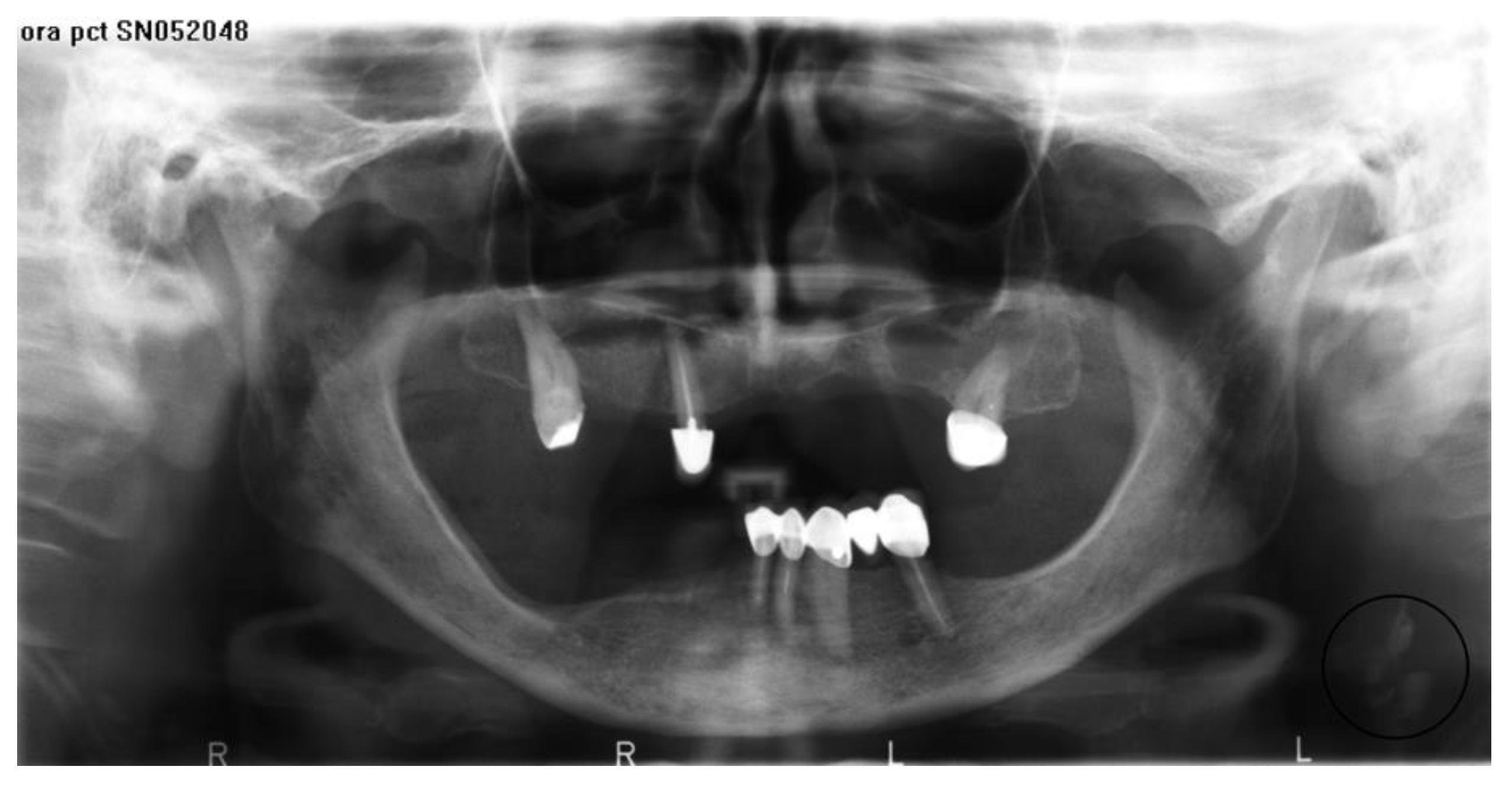
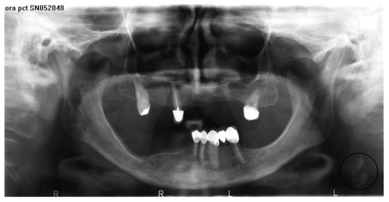
3. Results
4. Discussion
5. Conclusions
Author Contributions
Funding
Institutional Review Board Statement
Informed Consent Statement
Data Availability Statement
Conflicts of Interest
References
- Friedlander, A.H.; Lande, A. Panoramic radiographic identification of carotid arterial plaques. Oral Surg. Oral Med. Oral Pathol. Oral Radiol. 1981, 52, 102–104. [Google Scholar] [CrossRef]
- Beckstrom, B.W.; Horsley, S.H.; Scheetz, J.P.; Khan, Z.; Silveira, A.M.; Clark, S.J.; Greenwell, H.; Farman, A.G. Correlation between carotid area calcifications and periodontitis: A retrospective study of digital panoramic radiographic findings in pretreatment cancer patients. Oral Surg. Oral Med. Oral Pathol. Oral Radiol. Endodontology 2007, 103, 359–366. [Google Scholar] [CrossRef] [PubMed]
- Almog, D.M.; Illig, K.A.; Khin, M.; Green, R.M. Unrecognized carotid artery stenosis discovered by calcifications on a panoramic radiograph. J. Am. Dent. Assoc. 2000, 131, 1593–1597. [Google Scholar] [CrossRef]
- Ertas, E.T.; Sisman, Y. Detection of incidental carotid artery calcifications during dental examinations: Panoramic radiography as an important aid in dentistry. Oral Surg. Oral Med. Oral Pathol. Oral Radiol. Endodontology 2011, 112, e11–e17. [Google Scholar] [CrossRef]
- Pornprasertsuk-Damrongsri, S.; Thanakun, S. Carotid artery calcification detected on panoramic radiographs in a group of Thai population. Oral Surg. Oral Med. Oral Pathol. Oral Radiol. Endodontology 2006, 101, 110–115. [Google Scholar] [CrossRef] [PubMed]
- Ravon, N.A.; Hollender, L.G.; McDonald, V.; Persson, G.R. Signs of carotid calcification from dental panoramic radiographs are in agreement with Doppler sonography results. J. Clin. Periodontol. 2003, 30, 1084–1090. [Google Scholar] [CrossRef] [PubMed]
- Tamura, T.; Inui, M.; Nakase, M.; Nakamura, S.; Okumura, K.; Tagawa, T. Clinicostatistical study of carotid calcification on panoramic radiographs. Oral Dis. 2005, 11, 314–317. [Google Scholar] [CrossRef]
- Friedlander, A.H.; Golub, M.S. The significance of carotid artery atheromas on panoramic radiographs in the diagnosis of occult metabolic syndrome. Oral Surg. Oral Med. Oral Pathol. Oral Radiol. Endodontology 2006, 101, 95–101. [Google Scholar] [CrossRef]
- Tanaka, T.; Morimoto, Y.; Ansai, T.; Okabe, S.; Yamada, K.; Taguchi, A.; Awano, S.; Kito, S.; Takata, Y.; Takehara, T.; et al. Can the presence of carotid artery calcification on panoramic radiographs predict the risk of vascular diseases among 80-year-olds? Oral Surg. Oral Med. Oral Pathol. Oral Radiol. Endodontology 2006, 101, 777–783. [Google Scholar] [CrossRef]
- Bengtsson, V.W.; Persson, G.R.; Berglund, J.; Renvert, S. Carotid calcifications in panoramic radiographs are associated with future stroke or ischemic heart diseases: A long-term follow-up study. Clin. Oral Investig. 2018, 23, 1171–1179. [Google Scholar] [CrossRef]
- Çetin, M.B.; Sezgin, Y.; Yilmaz, M.N.N.; Seçgin, C.K. Assessment of carotid artery calcifications on digital panoramic radiographs and their relationship with periodontal condition and cardiovascular risk factors. Int. Dent. J. 2021, 71, 160–166. [Google Scholar] [CrossRef] [PubMed]
- Madden, R.P.; Hodges, J.S.; Salmen, C.W.; Rindal, D.B.; Tunio, J.; Michalowicz, B.S.; Ahmad, M. Utility of panoramic radiographs in detecting cervical calcified carotid atheroma. Oral Surg. Oral Med. Oral Pathol. Oral Radiol. Endodontology 2007, 103, 543–548. [Google Scholar] [CrossRef]
- Uthman, A.T.; Al-Saffar, A.B. Prevalence in digital panoramic radiographs of carotid area calcification among Iraqi individuals with stroke-related disease. Oral Surg. Oral Med. Oral Pathol. Oral Radiol. Endodontology 2008, 105, e68–e73. [Google Scholar] [CrossRef]
- Friedlander, A.H.; Cohen, S.N. Panoramic radiographs atheromas portend adverse vascular events. Oral Surg. Oral Med. Oral Pathol. Oral Radiol. Endodontology 2007, 103, 830–835. [Google Scholar] [CrossRef] [PubMed]
- WHO. Available online: https://www.who.int/news-room/fact-sheets/detail/the-top-10-causes-of-death (accessed on 2 September 2022).
- Pornprasertsuk-Damrongsri, S.; Virayavanich, W.; Thanakun, S.; Siriwongpairat, P.; Amaekchok, P.; Khovidhunkit, W. The prevalence of carotid artery calcifications detected on panoramic radiographs in patients with metabolic syndrome. Oral Surg. Oral Med. Oral Pathol. Oral Radiol. Endodontology 2009, 108, e57–e62. [Google Scholar] [CrossRef] [PubMed]
- Griniatsos, J.; Damaskos, S.; Tsekouras, N.; Klonaris, C.; Georgopoulos, S. Correlation of calcified carotid plaques detected by panoramic radiograph with risk factors for stroke development. Oral Surg. Oral Med. Oral Pathol. Oral Radiol. Endodontology 2009, 108, 600–603. [Google Scholar] [CrossRef] [PubMed]
- Bayer, S.; Helfgen, E.-H.; Bös, C.; Kraus, D.; Enkling, N.; Mues, S. Prevalence of findings compatible with carotid artery calcifications on dental panoramic radiographs. Clin. Oral Investig. 2011, 15, 563–569. [Google Scholar] [CrossRef] [PubMed]
- Abreu, T.Q.; Ferreira, E.B.; Filho, S.B.D.B.; De Sales, K.P.F.; Lopes, F.F.; De Oliveira, A.E.F. Prevalence of carotid artery calcifications detected on panoramic radiographs and confirmed by Doppler ultrasonography: Their relationship with systemic conditions. Indian J. Dent. Res. 2015, 26, 345–350. [Google Scholar] [CrossRef]
- Kamak, G.; Yildirim, E.; Rencber, E. Evaluation of the relationship between periodontal risk and carotid artery calcifications on panoramic radiographs. Eur. J. Dent. 2015, 9, 483–489. [Google Scholar] [CrossRef]
- de Brito, A.C.R.; Nascimento, H.A.R.; Argento, R.; Beline, T.; Ambrosano, G.M.B.; Freitas, D.Q. Prevalence of suggestive images of carotid artery calcifications on panoramic radiographs and its relationship with predisposing factors. Cienc. Saude Coletiva 2016, 21, 2201–2208. [Google Scholar] [CrossRef]
- Gonçalves, J.R.D.S.N.; Yamada, J.L.Y.; Berrocal, C.; Westphalen, F.H.; Franco, A.; Fernandes, Â. Prevalence of Pathologic Findings in Panoramic Radiographs: Calcified Carotid Artery Atheroma. Acta Stomatol. Croat. 2016, 50, 230–234. [Google Scholar] [CrossRef] [PubMed]
- Patil, S.; Maheshwari, S.; Khandelwal, S.; Malhotra, R.; Desmukh, A. Prevalence of calcified carotid artery atheromas on panoramic radiographs of renal stone patients. Saudi J. Kidney Dis. Transplant. 2016, 27, 62–66. [Google Scholar] [CrossRef]
- Patil, S.R. Prevalence of carotid artery calcification in postmenopausal women and its correlation with atherogenic risk factors. J. Nat. Sci. Biol. Med. 2017, 212, S1–S6. [Google Scholar] [CrossRef] [PubMed]
- Friedlander, A.H.; Graves, L.L.; Grabich, S.G.; Aghazadehsanai, N.I.; Chang, T. Prevalence of calcified carotid artery atheromas on panoramic images of older men with gout: A descriptive retrospective study. Dentomaxillofacial Radiol. 2017, 46, 20160406. [Google Scholar] [CrossRef] [PubMed]
- Markman, R.; Conceicao-Vasconcelos, K.; Brandão, T.B.; Prado-Ribeiro, A.; Santos-Silva, A.R.; Lopes, M.A. Calcified carotid artery atheromas on panoramic radiographs of head and neck cancer patients before and after radiotherapy. Med. Oral Patol. Oral Cir. Bucal 2017, 22, e153–e158. [Google Scholar] [CrossRef][Green Version]
- Aghazadehsanai, N.; Chang, T.I.; Garrett, N.R.; Friedlander, A.H. Prevalence of calcified carotid artery atheromas on digital panoramic images among perimenopausal and postmenopausal African American women. Oral Surg. Oral Med. Oral Pathol. Oral Radiol. Endodontol. 2017, 123, 621–625. [Google Scholar] [CrossRef]
- Nasseh, I.; Aoun, G. Carotid artery calcification: A digital panoramic-based study. Diseases 2018, 6, 15. [Google Scholar] [CrossRef]
- Ribeiro, A.; Keat, R.; Khalid, S.; Ariyaratnam, S.; Makwana, M.; do Pranto, M.; Albuquerque, R.; Monteiro, L. Prevalence of calcifications in soft tissues visible on a dental pantomogram: A retrospective analysis. J. Stomatol. Oral Maxillofac. Surg. 2018, 119, 369–374. [Google Scholar] [CrossRef]
- Santos, J.; Soares, G.; Alves, A.; Kurita, L.; Silva, P.; Costa, F. Prevalence of carotid artery calcifications among 2,500 digital panoramic radiographs of an adult Brazilian population. Med. Oral Patol. Oral Cir. Bucal 2018, 23, e256–e261. [Google Scholar] [CrossRef]
- Constantine, S.; Roach, D.; Liberali, S.; Kiermeier, A.; Sarkar, P.; Jannes, J.; Sambrook, P.; Anderson, P.; Beltrame, J. Carotid Artery Calcification on Orthopantomograms (CACO Study)—Is it indicative of carotid stenosis? Aust. Dent. J. 2018, 64, 4–10. [Google Scholar] [CrossRef]
- Agacayak, K.S.; Guler, R.; Karatas, P.S. Relation between the Incidence of Carotid Artery Calcification and Systemic Diseases. Clin. Interv. Aging 2020, 15, 821–826. [Google Scholar] [CrossRef]
- Maia, P.R.L.; Medeiros, A.M.C.; Pereira, H.S.; Lima, K.C.; Oliveira, P.T. Presence and associated factors of carotid artery calcification detected by digital panoramic radiography in patients with chronic kidney disease undergoing hemodialysis. Oral Surg. Oral Med. Oral Pathol. Oral Radiol. Endodontology 2018, 126, 198–204. [Google Scholar] [CrossRef] [PubMed]
- Ghassemzadeh, S.; Sbricoli, L.; Frigo, A.C.; Bacci, C. Incidental findings detected with panoramic radiography: Prevalence calculated on a sample of 2017 cases treated at a major Italian trauma and cancer centre. Oral Radiol. 2020, 37, 507–517. [Google Scholar] [CrossRef] [PubMed]
- Yeluri, G.; Kumar, C.A.; Raghav, N. Correlation of dental pulp stones, carotid artery and renal calcifications using digital panoramic radiography and ultrasonography. Contemp. Clin. Dent. 2015, 6, S147–S151. [Google Scholar] [CrossRef]
- Kansu, O.; Özbek, M.; Avcu, N.; Aslan, U.; Kansu, H.; Genctoy, G. Can dental pulp calcification serve as a diagnostic marker for carotid artery calcification in patients with renal diseases? Dentomaxillofacial Radiol. 2009, 38, 542–545. [Google Scholar] [CrossRef] [PubMed]
- Bengtsson, V.W.; Persson, G.R.; Renvert, S. Assessment of carotid calcifications on panoramic radiographs in relation to other used methods and relationship to periodontitis and stroke: A literature review. Acta Odontol. Scand. 2014, 72, 401–412. [Google Scholar] [CrossRef] [PubMed]
- Schroder, A.G.D.; de Araujo, C.M.; Guariza-Filho, O.; Flores-Mir, C.; Canto, G.D.L.; Porporatti, A.L. Diagnostic accuracy of panoramic radiography in the detection of calcified carotid artery atheroma: A meta-analysis. Clin. Oral Investig. 2019, 23, 2021–2040. [Google Scholar] [CrossRef]

| CACs Subjects | Unilateral | Bilateral | ||||
|---|---|---|---|---|---|---|
| N | % | Mean Age | N | % | Mean Age | |
| Women | 203 | 9.27 | 63 | 81 | 3.7 | 61 |
| Men | 124 | 5.66 | 64 | 60 | 2.74 | 65 |
| Author, Year | Study Group Size (Nationality) | Mean Age (Range), Sex | Prevalence of CACs | Unilateral vs. Bilateral |
|---|---|---|---|---|
| Ravon et al., 2003 [6] | 83 (USA) | Men: 69.3 ± 6.7 Women: 68.3 ± 8.3 | 51 (61.4%) | Unilateral 26 (31.3%); Bilateral: 6 (7.2%) |
| Tamura et al., 2005 [7] | 2568 (Japanese) | 63.2 (50–70) Men: 61.9; Women: 62.3 | 106 (4.13%); Men: 26 (2.13%) Women: 80 (5.94%) | Bilateral 12.3% (7 men, 6 women) |
| Friedlander and Golub., 2006 [8] | 2279 (USA) | Men: 2165, mean age 61.5 (50–86); Women: 114 mean age 63.7 (50–81) | 94 Men: 91 Women: 3 | Unilateral 39; Bilateral 55 |
| Tanaka et al., 2006 [9] | 659 (Japanese) | Older than 80 | 33 Men: 8 Women: 25 | No data |
| Beckstrom et al., 2007 [2] | 201 (USA) | Patients with head or neck cancer 138 men | 47 Men: 31 Women: 16 | Unilateral 23 (11.4%), 17 men and 6 women; Bilateral 24 (11.9%), 14 men, 10 women |
| Uthman and Al-Saffar., 2008 [13] | 157 (Iraq) | 40–80 with chronic illnesses: hypertension, coronary heart disease, diabetes mellitus, hyperlipidemia | 61 (38.8%) Men: 32 (40.5%) Women: 29 37.2% | Unilateral: 11 men (13.9%), 10 women (12.8%); Bilateral: 21 men (26.6%), 19 women (24.4%) |
| Pornprasertsuk-Damrongsri et al. 2009 [16] | 85 (Thai) | 59.8 (33–75) with metabolic syndrome | 19 (22.4%) | Unilateral 11 (12.9%); Bilateral 8 (9.4%) |
| Griniatsos et al., 2009 [17] | 40 (Greek) | Men: 31, mean age 69 (64.5–75); Women: 9, mean age 71 (60–73) with proven carotid artery atherosclerotic occlusive disease | 28 (%) | Unilateral 10; Bilateral 18 |
| Bayer et al., 2010 [18] | 2557 (German) | 64.6 (36–88) Men: 41%; Women: 59% | 4.8% Men: 35.2% Women: 64.8% | 125 (4.8%) women 81 (64.8%) 44 men (35.2%) |
| Abreu et al., 2015 [19] | 723 (Brazilian) | Minimum 40, mean age with CACs 54.9% | 21 (2.9%) Men: 4 (19%) Women: 17 (81%) | Unilateral 13 (61.9%); Bilateral 8 (38.1%) |
| Kamak et al., 2015 [20] | 1146 (Turkish) | 53.84 ± 9.25 Men: 577 (50.3%); Women: 569 (49.7%) | 156 (13.6%) including 40 (3.5%) right side and 52 (4.5%) left side | Unilateral 92 (7%); Bilateral 64 (5.6%) |
| de Brito et al., 2016 [21] | 505 (Brazilian) | 50.1 (30–80) | 7.2% Men: 6.53% Women: 8.82% | No data |
| Gonçalves et al., 2016 [22] | 8338 (no data) | 34 (4–94) | 576 (6.90%) Men: 216 (6.57%) Women: 363 (7.19%) | Right: 180 (2.15%|, left: 182: (2.18%); Bilateral: 127 (2.6%) |
| Patil et al., 2016 [23] | 240 (Saudi Arabian), 120 with renal stoned vs. 120 controls | Renal stone patients: mean age 40; controls: mean age 41 | 25 (20.8%) in renal stone patients and 16 (12.3%) in control group | No data |
| Patil, 2017 [24] | 1214 (Saudi Arabian) | Older than 50 62.47 ± 5.27 (postmenopausal women) | 278 (22.9%) | Right 102 (36.7%), left 126 (45.3%); Bilateral: 50 (18%) |
| Friedlander et al., 2017 [25] | 531 (USA) | Men with gout | 163 (31%) | No data |
| Markman et al., 2017 [26] | 180 (Brazilian) | 59.4 (20–85) with head and neck cancer | Both radiographs 57 (31.67%) | No data |
| Aghazadehsanai et al., 2017 [27] | 171 (African American) | Women older than 46 | 41 (24%) | No data |
| Nasseh and Aoun, 2018 [28] | 500 (Lebanese) | Age range 18–88 | 34 (6.8%) | Unilateral: 12 (2.4%); Bilateral: 22 (4.4%) |
| Ribeiro et al., 2018 [29] | 2375 (Portuguese) | 38 (3–90) | 18 (5.1%) | No data |
| Santos et al., 2018 [30] | 2500 (Brazilian) | 54 (18–89) | 96 (4%) | Unilateral: 59 (2.36%); Bilateral: 37 (1.48%) |
| Constantine et al., 2019 [31] | 5780 (Australian) | Over 18 years old | 623 (10.8%) | No data |
| Agacayak et al., 2020 [32] | 284 (Turkish with systemic diseases (hypertension, diabetes, coronary artery disease, atherosclerosis, hyperlipidemia) | 66 (60–92) Men: 204; Women: 240 | 39 (8.8%) | No data |
| Maia et al., 2021 [33] | 1176 (Brazilian) | 67, at least 60 | 147 (12.5%) Men: 64 (17.7%) Women: 83 (11.3%) | No data |
| Ghassemzadeh et al., 2021 [34] | 2307 (Italian referred for dental treatment, treatment of trauma, for bisphosphonates therapy, transplant or cardiac intervention) | 47 | 167 (31.57) | No data |
| Present study | 2189 (Polish) | 62 (45–86) Women: 2266; Men: 1734 | 468 (21.68%), Men: 184 (8.4%) Women: 284 (12.97%) | Unilateral: 327 (14.94%); Bilateral: 141 (6.44%) |
Publisher’s Note: MDPI stays neutral with regard to jurisdictional claims in published maps and institutional affiliations. |
© 2022 by the authors. Licensee MDPI, Basel, Switzerland. This article is an open access article distributed under the terms and conditions of the Creative Commons Attribution (CC BY) license (https://creativecommons.org/licenses/by/4.0/).
Share and Cite
Janiszewska-Olszowska, J.; Jakubowska, A.; Gieruszczak, E.; Jakubowski, K.; Wawrzyniak, P.; Grocholewicz, K. Carotid Artery Calcifications on Panoramic Radiographs. Int. J. Environ. Res. Public Health 2022, 19, 14056. https://doi.org/10.3390/ijerph192114056
Janiszewska-Olszowska J, Jakubowska A, Gieruszczak E, Jakubowski K, Wawrzyniak P, Grocholewicz K. Carotid Artery Calcifications on Panoramic Radiographs. International Journal of Environmental Research and Public Health. 2022; 19(21):14056. https://doi.org/10.3390/ijerph192114056
Chicago/Turabian StyleJaniszewska-Olszowska, Joanna, Anna Jakubowska, Ewa Gieruszczak, Kacper Jakubowski, Piotr Wawrzyniak, and Katarzyna Grocholewicz. 2022. "Carotid Artery Calcifications on Panoramic Radiographs" International Journal of Environmental Research and Public Health 19, no. 21: 14056. https://doi.org/10.3390/ijerph192114056
APA StyleJaniszewska-Olszowska, J., Jakubowska, A., Gieruszczak, E., Jakubowski, K., Wawrzyniak, P., & Grocholewicz, K. (2022). Carotid Artery Calcifications on Panoramic Radiographs. International Journal of Environmental Research and Public Health, 19(21), 14056. https://doi.org/10.3390/ijerph192114056

