Effect of Craniofacial Morphology on Pharyngeal Airway Volume Measured Using Cone-Beam Computed Tomography (CBCT)—A Retrospective Pilot Study
Abstract
1. Introduction
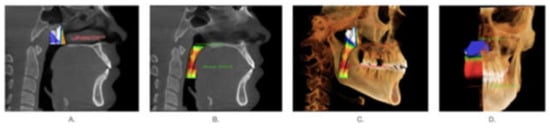
2. Methods
Statistics
3. Results
4. Discussion
4.1. Clinical Applications of the Study
4.2. Strengths and Limitations of the Study
5. Conclusions
Author Contributions
Funding
Institutional Review Board Statement
Informed Consent Statement
Conflicts of Interest
Appendix A
References
- Katyal, V.; Pamula, Y.; Martin, A.J.; Daynes, C.N.; Kennedy, J.D.; Sampson, W.J. Craniofacial and upper airway morphology in pediatric sleep-disordered breathing: Systematic review and meta-analysis. Am. J. Orthod. Dentofac. Orthop. 2013, 143, 20–30 e23. [Google Scholar] [CrossRef] [PubMed]
- Opdebeeck, H.; Bell, W.H.; Eisenfeld, J.; Mishelevich, D. Comparative study between the SFS and LFS rotation as a possible morphogenic mechanism. Am. J. Orthod. 1978, 74, 509–521. [Google Scholar] [CrossRef]
- Yong-In, H.; Kyu-Hong, L.; Kee-Joon, L.; Sang-Cheol, K.; Hyung-Jun, C.; Se-Hwan, C.; Yang-Ho, P. Effect of airway and tongue in facial morphology of prepubertal Class I, II children. Korean J. Orthod 2008, 38, 74–82. [Google Scholar] [CrossRef][Green Version]
- Lombardo, G.; Vena, F.; Negri, P.; Pagano, S.; Barilotti, C.; Paglia, L.; Colombo, S.; Orso, M.; Cianetti, S. Worldwide prevalence of malocclusion in the different stages of dentition: A systematic review and meta-analysis. Eur. J. Paediatr. Dent. 2020, 21, 115–122. [Google Scholar] [CrossRef]
- Staderini, E.; De Luca, M.; Candida, E.; Rizzo, M.I.; Rajabtork Zadeh, O.; Bucci, D.; Zama, M.; Lajolo, C.; Cordaro, M.; Gallenzi, P. Lay People Esthetic Evaluation of Primary Surgical Repair on Three-Dimensional Images of Cleft Lip and Palate Patients. Medicina 2019, 55. [Google Scholar] [CrossRef]
- Staderini, E.; Patini, R.; Camodeca, A.; Guglielmi, F.; Gallenzi, P. Three-Dimensional Assessment of Morphological Changes Following Nasoalveolar Molding Therapy in Cleft Lip and Palate Patients: A Case Report. Dent. J. 2019, 7. [Google Scholar] [CrossRef]
- Di Carlo, G.; Gurani, S.F.; Pinholt, E.M.; Cattaneo, P.M. A new simple three-dimensional method to characterize upper airway in orthognathic surgery patient. Dento-Maxillo-Facial Radiol. 2017, 46, 20170042. [Google Scholar] [CrossRef]
- Staderini, E.; Patini, R.; Tepedino, M.; Gasparini, G.; Zimbalatti, M.A.; Marradi, F.; Gallenzi, P. Radiographic Assessment of Pediatric Condylar Fractures after Conservative Treatment with Functional Appliances-A Systematic Review. Int. J. Environ. Res. Public Health 2020, 17. [Google Scholar] [CrossRef]
- Marradi, F.; Staderini, E.; Zimbalatti, M.A.; Rossi, A.; Grippaudo, C.; Gallenzi, P. How to obtain an orthodontic virtual patient through superimposition of three- dimensional data: A systematic review. Appl. Sci. 2020, 10, 5354. [Google Scholar] [CrossRef]
- Saponaro, G.; Doneddu, P.; Gasparini, G.; Staderini, E. Custom made onlay implants in peek in maxillofacial surgery: A volumetric study. Child’s Nerv. Syst. 2020, 36, 385–391. [Google Scholar] [CrossRef]
- Aboudara, C.; Nielsen, I.; Huang, J.C.; Maki, K.; Miller, A.J.; Hatcher, D. Comparison of airway space with conventional lateral headfilms and 3-dimensional reconstruction from cone-beam computed tomography. Am. J. Orthod. Dentofac. Orthop. 2009, 135, 468–479. [Google Scholar] [CrossRef]
- Aboudara, C.A.; Hatcher, D.; Nielsen, I.L.; Miller, A. A three-dimensional evaluation of the upper airway in adolescents. Orthod. Craniofacial Res. 2003, 6 (Suppl. S1), 173–175. [Google Scholar] [CrossRef]
- Kochhar, A.S.; Singh, G.; Gupta, H. Applications of cone beam computerized tomography in orthodontics: A mini review. Online J. Dent. Oral Health 2020, 3. [Google Scholar] [CrossRef]
- Staderini, E.; Guglielmi, F.; Cornelis, M.A.; Cattaneo, P.M. Three-dimensional prediction of roots position through cone-beam computed tomography scans-digital model superimposition: A novel method. Orthod. Craniofacial. Res. 2019, 22, 16–23. [Google Scholar] [CrossRef]
- Kochhar, A.S.; Sidhu, M.S.; Prabhakar, M.; Bhasin, R.; Kochhar, G.K.; Dadlani, H.; Spagnuolo, G. Frontal and Axial Evaluation of Craniofacial Morphology in Repaired Unilateral Cleft Lip and Palate Patients Utilizing Cone Beam Computed Tomography: An Observational Study. Int. J. Environ. Res. Public Health 2020, 17. [Google Scholar] [CrossRef]
- Kim, K.B. How has our interest in the airway changed over 100 years? Am. J. Orthod. Dentofac. Orthop. 2015, 148, 740–747. [Google Scholar] [CrossRef]
- Di Francesco, R.; Monteiro, R.; Paulo, M.L.; Buranello, F.; Imamura, R. Craniofacial morphology and sleep apnea in children with obstructed upper airways: Differences between genders. Sleep Med. 2012, 13, 616–620. [Google Scholar] [CrossRef]
- Cianetti, S.; Pagano, S.; Nardone, M.; Lombardo, G. Model for Taking Care of Patients with Early Childhood Caries during the SARS-Cov-2 Pandemic. Int. J. Environ. Res. Public Health 2020, 17. [Google Scholar] [CrossRef]
- Ceylan, I.; Oktay, H. A study on the pharyngeal size in different skeletal patterns. Am. J. Orthod. Dentofac. Orthop. 1995, 108, 69–75. [Google Scholar] [CrossRef]
- Trenouth, M.J.; Timms, D.J. Relationship of the functional oropharynx to craniofacial morphology. Angle Orthod. 1999, 69, 419–423. [Google Scholar] [CrossRef]
- Muto, T.; Yamazaki, A.; Takeda, S.; Kawakami, J.; Tsuji, Y.; Shibata, T.; Mizoguchi, I. Relationship between the pharyngeal airway space and craniofacial morphology, taking into account head posture. Int. J. Oral Maxillofac. Surg. 2006, 35, 132–136. [Google Scholar] [CrossRef]
- Solow, B.; Siersbaek-Nielsen, S.; Greve, E. Airway adequacy, head posture, and craniofacial morphology. Am. J. Orthod. 1984, 86, 214–223. [Google Scholar] [CrossRef]
- Kochhar, A.S.; Sidhu, M.; Bhasin, R.; Kochhar, G.K.; Dadlani, H.; Sandhu, J.; Virk, B. Cone Beam Computed Tomographic Evaluation of Pharyngeal Airway in North Indian Children with Different Skeletal Patterns. World J. Radiol. 2021, 13, 40–52. [Google Scholar] [CrossRef]
- Staderini, E.; Patini, R.; Guglielmi, F.; Camodeca, A.; Gallenzi, P. How to Manage Impacted Third Molars: Germectomy or Delayed Removal? A Systematic Literature Review. Medicina 2019, 55. [Google Scholar] [CrossRef]
- Staderini, E.; Guglielmi, F.; Cordaro, M.; Gallenzi, P. Ossifying epulis in pseudohypo-parathyroidism: A case-based therapeutic approach. Eur. J. Paediatr. Dent. 2018, 19, 218–220. [Google Scholar] [CrossRef]
- Iancu Potrubacz, M.; Chimenti, C.; Marchione, L.; Tepedino, M. Retrospective evaluation of treatment time and efficiency of a predictable cantilever system for orthodontic extrusion of impacted maxillary canines. Am. J. Orthod. Dentofac. Orthop. 2018, 154, 55–64. [Google Scholar] [CrossRef]
- Tepedino, M.; Chimenti, C.; Masedu, F.; Iancu Potrubacz, M. Predictable method to deliver physiologic force for extrusion of palatally impacted maxillary canines. Am. J. Orthod. Dentofac. Orthop. 2018, 153, 195–203. [Google Scholar] [CrossRef]
- Gungor, A.Y.; Turkkahraman, H. Effects of airway problems on maxillary growth: A review. Eur. J. Dent. 2009, 3, 250–254. [Google Scholar] [CrossRef]
- Xu, J.; Sun, R.; Wang, L.; Hu, X. Cone-beam evaluation of pharyngeal airway space in adult skeletal Class II patients with different condylar positions. Angle Orthod. 2019, 89, 312–316. [Google Scholar] [CrossRef]
- Joy, A.; Park, J.; Chambers, D.W.; Oh, H. Airway and cephalometric changes in adult orthodontic patients after premolar extractions. Angle Orthod. 2020, 90, 39–46. [Google Scholar] [CrossRef]
- Pliska, B.T.; Tam, I.T.; Lowe, A.A.; Madson, A.M.; Almeida, F.R. Effect of orthodontic treatment on the upper airway volume in adults. Am. J. Orthod. Dentofac. Orthop. 2016, 150, 937–944. [Google Scholar] [CrossRef]
- Zhang, J.; Chen, G.; Li, W.; Xu, T.; Gao, X. Upper Airway Changes after Orthodontic Extraction Treatment in Adults: A Preliminary Study using Cone Beam Computed Tomography. PLoS ONE 2015, 10, e0143233. [Google Scholar] [CrossRef] [PubMed]
- Ferguson, K.A.; Ono, T.; Lowe, A.A.; Ryan, C.F.; Fleetham, J.A. The relationship between obesity and craniofacial structure in obstructive sleep apnea. Chest 1995, 108, 375–381. [Google Scholar] [CrossRef] [PubMed]
- Staderini, E.; Meuli, S.; Gallenzi, P. Orthodontic treatment of class three malocclusion using clear aligners: A case report. J. Oral Biol. Craniofacial. Res. 2019, 9, 360–362. [Google Scholar] [CrossRef] [PubMed]
- Patini, R.; Staderini, E.; Cantiani, M.; Camodeca, A.; Guglielmi, F.; Gallenzi, P. Dental anaesthesia for children-effects of a computer-controlled delivery system on pain and heart rate: A randomised clinical trial. Br. J. Oral Maxillofac. Surg. 2018, 56, 744–749. [Google Scholar] [CrossRef] [PubMed]
- Patini, R.; Staderini, E.; Camodeca, A.; Guglielmi, F.; Gallenzi, P. Case Reports in Pediatric Dentistry Journals: A Systematic Review about Their Effect on Impact Factor and Future Investigations. Dent. J. 2019, 7, 103. [Google Scholar] [CrossRef] [PubMed]
- Kochhar, A.S.; Sidhu, M.S.; Prabhakar, M.; Bhasin, R.; Kochhar, G.K.; Dadlani, H.; Spagnuolo, G.; Mehta, V.V. Intra- and Interobserver Reliability of Bone Volume Estimation Using OsiriX Software in Patients with Cleft Lip and Palate Using Cone Beam Computed Tomography. Dent. J. 2021, 9, 14. [Google Scholar] [CrossRef] [PubMed]


| Landmark | |
|---|---|
| Sella (S) | Center of pituitary fossa |
| Nasion (N) | Anterior most point of frontonasal suture seen as triangular projection with irregular margins |
| Orbitale (O) | Inferior-most point on lower margin of rim of orbit |
| Porion (Po) | Superior-most point on external auditory meatus |
| Pterygomaxillary Fissure (Ptm) | Inferior-most point of the inverted pear shaped radiolucency seen in posterior maxillary region |
| Articulare (Ar) | Superior-most point of condyle of mandible |
| Anterior Nasal Spine (ANS) | Most anterior point on the anterior projection of roof of maxilla or floor of nasal cavity |
| Posterior Nasal Spine (PNS) | Most posterior point on the posterior projection of roof of maxilla |
| Menton (Me) | Most inferior point of mandibular symphysis |
| Pogonion (Pog) | Most anterior point on mandibular symphysis |
| Gnathion (Gn) | Most antero-inferior point of mandibular symphysis present between Pog and Me |
| Parameter | |
|---|---|
| U6-PP | Linear measurement formed between the mesiobuccal cusp of the upper molar and palatal plane along the long axis of the molar |
| L6-MP | Linear distance between the mesiobuccal cusp of the lower molar and the mandibular plane along the long axis of the molar |
| A-Ptm | Linear distance between point A and Ptm |
| Ar-Go | Linear distance between point Articulare and Gonion |
| Go-Gn | Linear distance between point Gonion and Gnathion |
| Ar-Gn | Linear distance between Articulare and Gnathion |
| Upper incisor to NA | Linear distance between the line joining NA and the incisal tip of upper central incisor |
| Lower incisor to NB | Linear distance between the line joining NB and the incisal tip of lower central incisor |
| Anterior face height | Linear distance between Nasion and Menton |
| Posterior face height | Linear distance between Sella and Gonion |
| FH-PP | Angle between Frankfort plane and Palatal plane |
| PP-MP | Angle between Palatal plane and Mandibular plane |
| FH-MP | Angle between Frankfort plane and Mandibular plane |
| Gonial angle | Angle formed between Articulare, Gonion and Menton |
| SNA | Angle formed between Sella, Nasion and Point A |
| SNB | Angle formed between Sella, Nasion and Point B |
| ANB | Angle formed between Point A, Nasion and Point B |
| SN-MP | Angle formed between line joining Sella and Nasion and the line joining Gonion and Gnathion |
| Facial Angle | Angle formed by intersection of line joining Nasion and Pogonion with the Frankfurt Horizontal |
| Facial convexity | Angle formed between line joining Nasion and Point A and the line joining Point A and Pogonion |
| Parameters | Male | Female | t-Test | p-Value | ||
|---|---|---|---|---|---|---|
| Mean | SD | Mean | SD | |||
| Facial Profile | ||||||
| FA | 90.37 | 4.67 | 88.70 | 5.41 | 2.19 | 0.14 |
| FC | 7.13 | 5.23 | 7.26 | 6.42 | 0.01 | 0.92 |
| Facial Height | ||||||
| AFH | 99.86 | 20.01 | 89.33 | 20.89 | 5.30 | 0.02 * |
| PFH | 69.50 | 14.42 | 60.36 | 14.01 | 8.29 | 0.005 * |
| Mandibular Morphology | ||||||
| ArGn | 92.97 | 22.73 | 84.02 | 19.45 | 3.58 | 0.06 |
| GoGn | 66.74 | 14.19 | 56.29 | 13.13 | 10.04 | 0.002 * |
| ArGo | 42.26 | 10.46 | 36.57 | 9.03 | 6.78 | 0.01 * |
| Maxilla Position | ||||||
| ArPtm | 43.50 | 8.71 | 37.88 | 9.64 | 7.48 | 0.008 * |
| FHPP | −1.02 | 3.29 | −0.37 | 3.12 | 0.84 | 0.36 |
| Growth Pattern | ||||||
| Jarabak | 69.65 | 4.84 | 67.76 | 5.29 | 2.81 | 0.09 |
| PPMP | 23.77 | 6.01 | 26.33 | 7.58 | 2.81 | 0.09 |
| FHMP | 22.36 | 7.11 | 25.15 | 7.82 | 2.79 | 0.09 |
| SNMP | 28.94 | 5.29 | 32.11 | 6.33 | 5.91 | 0.02 * |
| Sagittal pattern | ||||||
| SNA | 83.97 | 4.55 | 82.32 | 3.26 | 3.48 | 0.07 |
| SNB | 79.78 | 4.79 | 78.32 | 4.03 | 2.18 | 0.14 |
| ANB | 4.19 | 2.08 | 4.01 | 2.89 | 0.11 | 0.75 |
| Dentition | ||||||
| U1NA | 4.49 | 2.35 | 3.33 | 1.82 | 6.04 | 0.02 * |
| LINB | 5.35 | 1.93 | 4.91 | 2.79 | 0.69 | 0.41 |
| U6PP | 20.03 | 4.83 | 18.34 | 5.03 | 2.34 | 0.13 |
| L6MP | 27.95 | 5.95 | 24.81 | 6.04 | 5.49 | 0.02 * |
| Parameters | Males | Females | Total | t-Test | p-Value | |||
|---|---|---|---|---|---|---|---|---|
| Mean | SD | Mean | SD | Mean | SD | |||
| Nasopharynx | 6.24 | 2.04 | 5.27 | 1.73 | 5.76 | 1.94 | 5.27 | 0.02 * |
| Oroharynx | 13.76 | 6.81 | 10.47 | 3.94 | 12.11 | 5.77 | 7.01 | 0.01 * |
| Total | 19.95 | 7.69 | 15.44 | 4.78 | 17.69 | 6.75 | 9.93 | 0.002 * |
| Parameters | Male | Female | Total | |||||||
|---|---|---|---|---|---|---|---|---|---|---|
| NASO | ORO | Total | NASO | ORO | Total | NASO | ORO | Total | ||
| Facial Height | ||||||||||
| AFH | r value | −0.06 | 0.12 | 0.087 | 0.033 | 0.118 | 0.111 | 0.049 | 0.177 | 0.170 |
| PFH | r value | −0.04 | 0.04 | 0.021 | 0.098 | 0.209 | 0.181 | 0.100 | 0.178 | 0.175 |
| Growth Pattern | ||||||||||
| PPMP | r value | 0.17 | 0.07 | 0.114 | −0.178 | −0.17 | −0.09 | −0.06 | −0.08 | −0.05 |
| FHMP | r value | 0.19 | 0.12 | 0.173 | −0.081 | −0.41 * | −0.28 | 0.009 | −0.128 | −0.07 |
| SNMP | r value | 0.18 | 0.10 | 0.143 | −0.12 | −0.23 | −0.16 | −0.04 | −0.11 | −0.08 |
| Mandibular Morphology | ||||||||||
| ArGn | r value | −0.02 | 0.22 | 0.189 | 0.083 | 0.210 | 0.183 | 0.076 | 0.262 * | 0.241 * |
| GoGn | r value | −0.16 | 0.07 | 0.018 | 0.148 | 0.240 | 0.227 | 0.055 | 0.209 | 0.191 |
| ArGo | r value | −0.17 | −0.09 | −0.14 | 0.134 | 0.270 | 0.240 | 0.030 | 0.103 | 0.090 |
| Maxilla Position | ||||||||||
| Ar-Ptm | r value | −0.19 | 0.13 | 0.05 | 0.002 | 0.157 | 0.109 | −0.013 | 0.205 | 0.164 |
| FHPP | r value | 0.14 | −0.07 | −0.01 | 0.026 | −0.55 * | −0.47 * | 0.059 | −0.25* | −0.20 * |
| Sagittal pattern | ||||||||||
| SNA | r value | −0.16 | 0.04 | −0.02 | 0.648 * | 0.241 * | 0.452 * | 0.189 | 0.153 | 0.187 |
| SNB | r value | −0.13 | 0.004 | −0.04 | 0.541 * | 0.084 * | 0.251 * | 0.185 | 0.076 | 0.114 |
| ANB | r value | −0.05 | 0.08 | 0.038 | −0.022 | 0.149 | 0.156 | −0.024 | 0.105 | 0.093 |
| Facial Profile | ||||||||||
| FA | r value | −0.27 | −0.18 | −0.24 | 0.190 | 0.142 | 0.102 | 0.002 | 0.004 | −0.03 |
| FC | r value | −0.16 | −0.05 | −0.11 | 0.037 | 0.181 | 0.217 | −0.060 | 0.036 | 0.025 |
| Dentition | ||||||||||
| U1NA | r value | −0.02 | −0.05 | −0.05 | −0.058 | 0.081 | 0.016 | 0.038 | 0.070 | 0.067 |
| LINB | r value | −0.04 | 0.19 | 0.150 | −0.030 | 00.198 | 0.178 | −0.010 | 0.193 | 0.172 |
| U6PP | r value | 0.03 | −0.01 | 0.01 | 0.152 | 0.148 | 0.168 | 0.125 | 0.096 | 0.122 |
| L6MP | r value | 0.02 | 0.17 | 0.154 | 0.100 | 0.210 | 0.196 | 0.119 | 0.240 * | 0.237 * |
Publisher’s Note: MDPI stays neutral with regard to jurisdictional claims in published maps and institutional affiliations. |
© 2021 by the authors. Licensee MDPI, Basel, Switzerland. This article is an open access article distributed under the terms and conditions of the Creative Commons Attribution (CC BY) license (https://creativecommons.org/licenses/by/4.0/).
Share and Cite
Diwakar, R.; Kochhar, A.S.; Gupta, H.; Kaur, H.; Sidhu, M.S.; Skountrianos, H.; Singh, G.; Tepedino, M. Effect of Craniofacial Morphology on Pharyngeal Airway Volume Measured Using Cone-Beam Computed Tomography (CBCT)—A Retrospective Pilot Study. Int. J. Environ. Res. Public Health 2021, 18, 5040. https://doi.org/10.3390/ijerph18095040
Diwakar R, Kochhar AS, Gupta H, Kaur H, Sidhu MS, Skountrianos H, Singh G, Tepedino M. Effect of Craniofacial Morphology on Pharyngeal Airway Volume Measured Using Cone-Beam Computed Tomography (CBCT)—A Retrospective Pilot Study. International Journal of Environmental Research and Public Health. 2021; 18(9):5040. https://doi.org/10.3390/ijerph18095040
Chicago/Turabian StyleDiwakar, Rohan, Anuraj Singh Kochhar, Harshita Gupta, Harneet Kaur, Maninder Singh Sidhu, Helen Skountrianos, Gurkeerat Singh, and Michele Tepedino. 2021. "Effect of Craniofacial Morphology on Pharyngeal Airway Volume Measured Using Cone-Beam Computed Tomography (CBCT)—A Retrospective Pilot Study" International Journal of Environmental Research and Public Health 18, no. 9: 5040. https://doi.org/10.3390/ijerph18095040
APA StyleDiwakar, R., Kochhar, A. S., Gupta, H., Kaur, H., Sidhu, M. S., Skountrianos, H., Singh, G., & Tepedino, M. (2021). Effect of Craniofacial Morphology on Pharyngeal Airway Volume Measured Using Cone-Beam Computed Tomography (CBCT)—A Retrospective Pilot Study. International Journal of Environmental Research and Public Health, 18(9), 5040. https://doi.org/10.3390/ijerph18095040

