Adult Stature Estimation from Radiographic Metatarsal Length in a Contemporary Korean Population
Abstract
:1. Introduction
2. Material and Methods
2.1. Subjects
2.2. Measurement of Stature
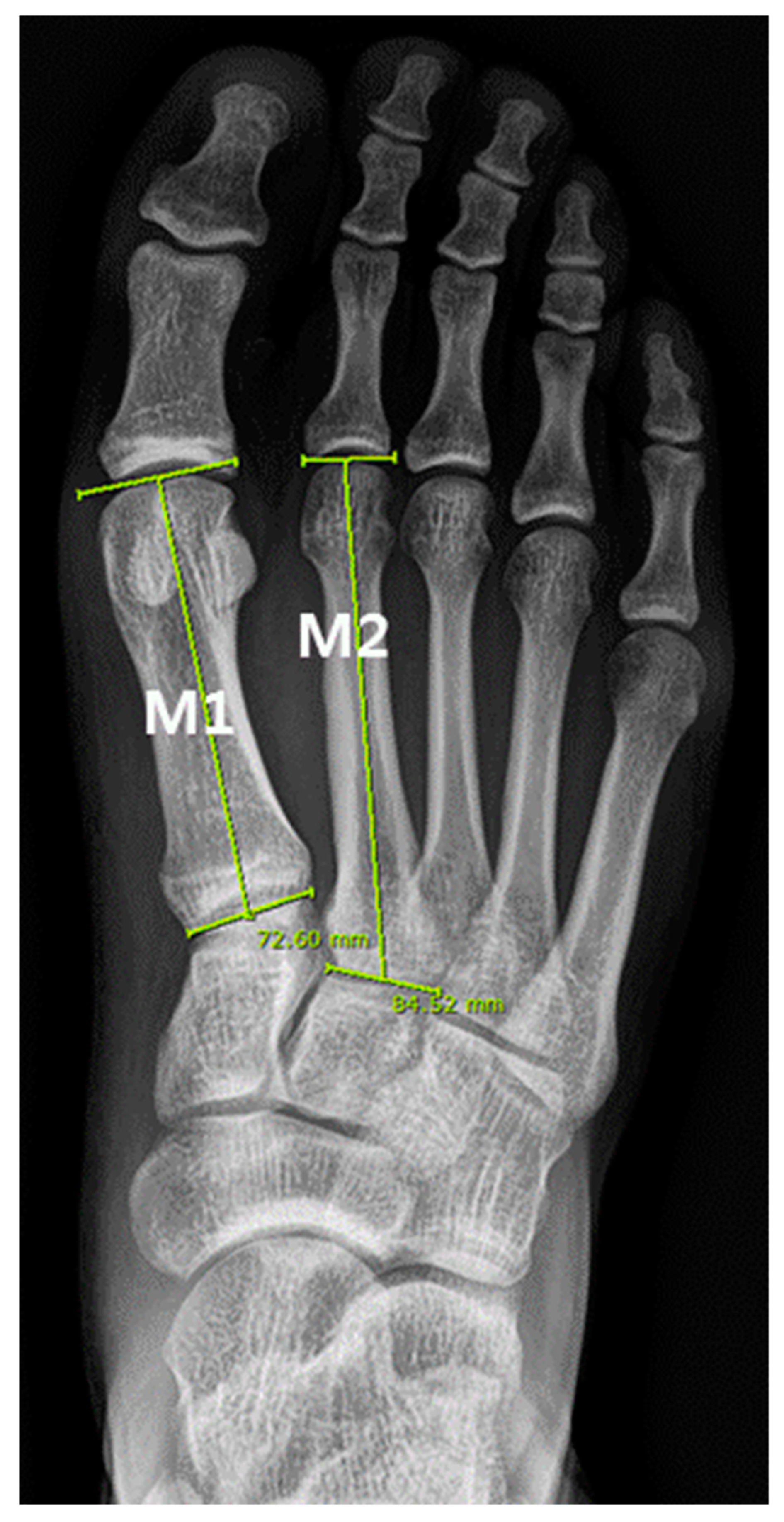
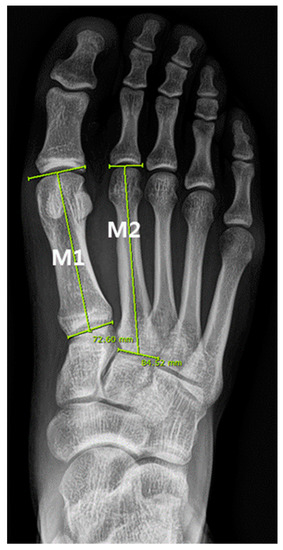
2.3. Measurement of Metatarsal Bone
2.4. Statistical Analysis
3. Result
4. Discussion
5. Conclusions
Author Contributions
Funding
Institutional Review Board Statement
Informed Consent Statement
Data Availability Statement
Acknowledgments
Conflicts of Interest
References
- Timperman, J. How some medicolegal aspects of the Zeebrugge Ferry disaster apply to the investigation of mass disasters. Am. J. Forensic Med. Pathol. 1991, 12, 286–290. [Google Scholar] [CrossRef]
- Krishan, K. Establishing correlation of footprints with body weight—Forensic aspects. Forensic Sci. Int. 2008, 179, 63–69. [Google Scholar] [CrossRef] [PubMed]
- Krishan, K.; Kanchan, T.; Passi, N.; DiMaggio, J.A. Stature estimation from the lengths of the growing foot-a study on North Indian adolescents. Foot (Edinb) 2012, 22, 287–293. [Google Scholar] [CrossRef]
- Sanli, S.G.; Kizilkanat, E.D.; Boyan, N.; Ozsahin, E.T.; Bozkir, M.G.; Soames, R.; Erol, H.; Oguz, O. Stature estimation based on hand length and foot length. Clin. Anat. 2005, 18, 589–596. [Google Scholar] [CrossRef] [PubMed]
- Wunderlich, R.E.; Cavanagh, P.R. Gender differences in adult foot shape: Implications for shoe design. Med. Sci. Sports Exerc. 2001, 33, 605–611. [Google Scholar] [CrossRef]
- Megyesi, M.S.; Nawrocki, S.P.; Haskell, N.H. Using accumulated degree-days to estimate the postmortem interval from decomposed human remains. J. Forensic Sci. 2005, 50, 618–626. [Google Scholar] [CrossRef]
- Dębski, M.; Bajor, G.; Lepich, T.; Aniszewski, Ł.; Jędrusik, P. Process of photogrammetry with use of custom made workstation as a method of digital recording of anatomical specimens for scientific and research purposes. Transl. Res. Anat. 2021, 24, 100128. [Google Scholar]
- Auerbach, B.M. Methods for estimating missing human skeletal element osteometric dimensions employed in the revised fully technique for estimating stature. Am. J. Phys. Anthr. 2011, 145, 67–80. [Google Scholar] [CrossRef] [PubMed]
- Ruff, C.B.; Holt, B.M.; Niskanen, M.; Sladek, V.; Berner, M.; Garofalo, E.; Garvin, H.M.; Hora, M.; Maijanen, H.; Niinimaki, S.; et al. Stature and body mass estimation from skeletal remains in the European Holocene. Am. J. Phys. Anthr. 2012, 148, 601–617. [Google Scholar] [CrossRef]
- Kurki, H.K.; Ginter, J.K.; Stock, J.T.; Pfeiffer, S. Body size estimation of small-bodied humans: Applicability of current methods. Am. J. Phys. Anthr. 2010, 141, 169–180. [Google Scholar] [CrossRef]
- Nor, F.M.; Abdullah, N.; Mustapa, A.M.; Qi Wen, L.; Faisal, N.A.; Ahmad Nazari, D.A. Estimation of stature by using lower limb dimensions in the Malaysian population. J. Forensic Leg. Med. 2013, 20, 947–952. [Google Scholar] [CrossRef]
- Bidmos, M. Adult stature reconstruction from the calcaneus of South Africans of European descent. J. Clin. Forensic Med. 2006, 13, 247–252. [Google Scholar] [CrossRef]
- Giurazza, F.; Del Vescovo, R.; Schena, E.; Battisti, S.; Cazzato, R.L.; Grasso, F.R.; Silvestri, S.; Denaro, V.; Zobel, B.B. Determination of stature from skeletal and skull measurements by CT scan evaluation. Forensic Sci. Int. 2012, 222, 398.e1–398.e9. [Google Scholar] [CrossRef]
- Karakas, H.M.; Celbis, O.; Harma, A.; Alicioglu, B. Total body height estimation using sacrum height in Anatolian Caucasians: Multidetector computed tomography-based virtual anthropometry. Skelet. Radiol. 2011, 40, 623–630. [Google Scholar] [CrossRef]
- Mahakkanukrauh, P.; Khanpetch, P.; Prasitwattanseree, S.; Vichairat, K.; Troy Case, D. Stature estimation from long bone lengths in a Thai population. Forensic Sci. Int. 2011, 210, 279.e1–279.e7. [Google Scholar] [CrossRef]
- Torimitsu, S.; Makino, Y.; Saitoh, H.; Sakuma, A.; Ishii, N.; Hayakawa, M.; Yajima, D.; Inokuchi, G.; Motomura, A.; Chiba, F.; et al. Stature estimation in Japanese cadavers based on pelvic measurements in three-dimensional multidetector computed tomographic images. Int. J. Leg. Med. 2015, 129, 633–639. [Google Scholar] [CrossRef] [PubMed]
- Zhang, K.; Luo, Y.Z.; Fan, F.; Zheng, J.Q.; Yang, M.; Li, T.; Pang, T.; Zhang, J.; Deng, Z.H. Stature estimation from sternum length using computed tomography-volume rendering technique images of western Chinese. J. Forensic Leg. Med. 2015, 35, 40–44. [Google Scholar] [CrossRef] [PubMed]
- Agnihotri, A.K.; Kachhwaha, S.; Jowaheer, V.; Singh, A.P. Estimating stature from percutaneous length of tibia and ulna in Indo-Mauritian population. Forensic Sci. Int. 2009, 187, 109.e1–109.e3. [Google Scholar] [CrossRef] [PubMed]
- Celbis, O.; Agritmis, H. Estimation of stature and determination of sex from radial and ulnar bone lengths in a Turkish corpse sample. Forensic Sci. Int. 2006, 158, 135–139. [Google Scholar] [CrossRef] [PubMed]
- De Mendonca, M.C. Estimation of height from the length of long bones in a Portuguese adult population. Am. J. Phys. Anthr. 2000, 112, 39–48. [Google Scholar] [CrossRef]
- Trotter, M.; Gleser, G.C. Estimation of stature from long bones of American Whites and Negroes. Am. J. Phys. Anthr. 1952, 10, 463–514. [Google Scholar] [CrossRef] [PubMed]
- De Groote, I.; Humphrey, L.T. Body mass and stature estimation based on the first metatarsal in humans. Am. J. Phys. Anthr. 2011, 144, 625–632. [Google Scholar] [CrossRef]
- Pablos, A.; Gomez-Olivencia, A.; Garcia-Perez, A.; Martinez, I.; Lorenzo, C.; Arsuaga, J.L. From toe to head: Use of robust regression methods in stature estimation based on foot remains. Forensic Sci. Int. 2013, 226, 299.e1–299.e7. [Google Scholar] [CrossRef] [PubMed]
- Rich, J.; Tatarek, N.E.; Powers, R.H.; Brogdon, B.G.; Lewis, B.J.; Dean, D.E. Using pre- and post-surgical foot and ankle radiographs for identification. J. Forensic Sci. 2002, 47, 1319–1322. [Google Scholar] [CrossRef]
- Byers, S.; Akoshima, K.; Curran, B. Determination of adult stature from metatarsal length. Am. J. Phys. Anthr. 1989, 79, 275–279. [Google Scholar] [CrossRef]
- Cordeiro, C.; Munoz-Barus, J.I.; Wasterlain, S.; Cunha, E.; Vieira, D.N. Predicting adult stature from metatarsal length in a Portuguese population. Forensic Sci. Int. 2009, 193, 131.e1–131.e4. [Google Scholar] [CrossRef] [Green Version]
- Ibrahim, M.A.; Elelemi, A.H.; Ibrahim, M.S.; Bandy, A.H. Adult stature estimation from radiographically determined metatarsal length in Egyptian population. J. Forensic Radiol. Imaging 2017, 11, 28–32. [Google Scholar] [CrossRef]
- Rodriguez, S.; Miguens, X.; Rodriguez-Calvo, M.S.; Febrero-Bande, M.; Munoz-Barus, J.I. Estimating adult stature from radiographically determined metatarsal length in a Spanish population. Forensic Sci. Int. 2013, 226, 297.e1–297.e4. [Google Scholar] [CrossRef]
- Trotter, M.; Gleser, G.C. A re-evaluation of estimation of stature based on measurements of stature taken during life and of long bones after death. Am. J. Phys. Anthr. 1958, 16, 79–123. [Google Scholar] [CrossRef]
- Jeong, Y.; Jantz, L.M. Developing Korean-specific equations of stature estimation. Forensic Sci. Int. 2016, 260, 105.e1–105.e11. [Google Scholar] [CrossRef]
- Landis, J.R.; Koch, G.G. The measurement of observer agreement for categorical data. Biometrics 1977, 33, 159–174. [Google Scholar] [CrossRef] [Green Version]
- Ahmed, A.A. Estimation of stature using lower limb measurements in Sudanese Arabs. J. Forensic Leg. Med. 2013, 20, 483–488. [Google Scholar] [CrossRef]
- Radoinova, D.; Tenekedjiev, K.; Yordanov, Y. Stature estimation from long bone lengths in Bulgarians. Homo 2002, 52, 221–232. [Google Scholar] [CrossRef] [PubMed]
- Macaluso, P.J., Jr.; Lucena, J. Stature estimation from radiographic sternum length in a contemporary Spanish population. Int. J. Leg. Med. 2014, 128, 845–851. [Google Scholar] [CrossRef] [PubMed]
- Uhrova, P.; Benus, R.; Masnicova, S.; Obertova, Z.; Kramarova, D.; Kyselicova, K.; Dornhoferova, M.; Bodorikova, S.; Nescakova, E. Estimation of stature using hand and foot dimensions in Slovak adults. Leg. Med. (Tokyo) 2015, 17, 92–97. [Google Scholar] [CrossRef]
- Lee, S.; Gong, H.H.; Hyun, J.Y.; Koo, H.N.; Lee, H.Y.; Chung, N.E.; Choi, Y.S.; Yang, K.M.; Choi, B.H. Estimation of stature from femur length measured using computed tomography after the analysis of three-dimensional characteristics of femur bone in Korean cadavers. Int. J. Leg. Med. 2017, 131, 1355–1362. [Google Scholar] [CrossRef]
- Akambase, J.A.; Kokoreva, T.V.; Gurova, O.; Akambase, J.A. The effect of body positions on foot types: Considering body weight. Transl. Res. Anat. 2019, 16, 100048. [Google Scholar] [CrossRef]
- Sundip, H. Charmode, H.S.K. Correlation of foot dimensions with body weight—A study in young population of central India. Transl. Res. Anat. 2019, 16, 10043. [Google Scholar]
- Cobey, J.C.; Sella, E. Standardizing methods of measurement of foot shape by including the effects of subtalar rotation. Foot Ankle 1981, 2, 30–36. [Google Scholar] [CrossRef]
- Grande-Del-Arco, J.; Becerro-de-Bengoa-Vallejo, R.; Palomo-Lopez, P.; Lopez-Lopez, D.; Calvo-Lobo, C.; Perez-Boal, E.; Losa-Iglesias, M.E.; Martin-Villa, C.; Rodriguez-Sanz, D. Radiographic Analysis on the Distortion of the Anatomy of First Metatarsal Head in Dorsoplantar Projection. Diagnostics 2020, 10, 552. [Google Scholar] [CrossRef]



| ICC | 95% CI.LB | 95% CI.UB | |||
|---|---|---|---|---|---|
| Intra-observer | M1 | Researcher 1 | 0.9866 | 0.9823 | 0.9898 |
| Researcher 2 | 0.9914 | 0.9879 | 0.9938 | ||
| M2 | Researcher 1 | 0.9947 | 0.993 | 0.996 | |
| Researcher 2 | 0.9927 | 0.9898 | 0.9948 | ||
| Inter-observer | M1 | 0.9918 | 0.9885 | 0.9942 | |
| M2 | 0.9942 | 0.9919 | 0.9959 | ||
| Female (n = 98) | Male (n = 102) | |||||
|---|---|---|---|---|---|---|
| Mean ± SD | Median (IQR) | Range | Mean ± SD | Median (IQR) | Range | |
| Age (years) | 49.5 ± 16.15 | 52.5 (37.25, 61) | 20 to 86 | 48 ± 17.95 | 51 (30.25, 61) | 20 to 80 |
| Stature (mm) | 1590.51 ± 71.38 | 1580 (1550, 1630) | 1380 to 1820 | 1714.96 ± 68.93 | 1710 (1670, 1750) | 1490 to 1910 |
| M1 (mm) | 67.27 ± 7.21 | 68.59 (62.89, 71.99) | 52.34 to 84.16 | 70.04 ± 8.57 | 72.57 (61.57, 75.95) | 52.48 to 87.99 |
| M2 (mm) | 77.66 ± 8.93 | 77.62 ( 72.41, 84.4) | 53.77 to 95.98 | 81.09 ± 9.61 | 82.71 (71.43, 88.93) | 62.23 to 101.72 |
| Formula | R | Adj R2 | SSE |
|---|---|---|---|
| S = 1273.83 + 4.71M1 | 0.4758 | 0.2183 | 62.46033 |
| S = 1294.32 + 3.81M2 | 0.4773 | 0.2198 | 62.40082 |
| Formula | R | Adj R2 | SSE |
|---|---|---|---|
| S = 1451.44 + 3.76M1 | 0.468 | 0.2112 | 60.61575 |
| S = 1464.14 + 3.09M2 | 0.4312 | 0.1778 | 61.88643 |
| Formula | R | Adj R2 | SSE |
|---|---|---|---|
| S = 1285.76 + 5.36M1 | 0.4597 | 0.2074 | 83.02603 |
| S = 1295.4 + 4.52M2 | 0.4538 | 0.2019 | 83.3114 |
| Mean Square Error | Cross-Validation Error | Correlation Coefficient ¥ | p-Value † | |
|---|---|---|---|---|
| Our_all_M1 | 6893.322 | 7033.284 | 0.4767 | 0.9475 |
| Spanish_all_M1 | 9060.709 | 0.4767 | 0.379 | |
| Egyptian_all_M1 | 9336.686 | 0.4767 | 0.2299 | |
| Our_all_M2 | 6940.789 | 7081.715 | 0.4523 | 0.899 |
| Spanish_all_M2 | 22,244.97 | 0.4523 | <0.001 | |
| Egyptian_all_M2 | 20,915.28 | 0.4523 | <0.001 | |
| Our_male_M1 | 3674.27 | 3822.71 | 0.4828 | 0.8951 |
| Spanish_male_M1 | 9606.378 | 0.4828 | 0.8793 | |
| Egyptian_male_M1 | 8952.693 | 0.4828 | 0.6391 | |
| Our_male_M2 | 3829.931 | 3984.66 | 0.4601 | 0.8399 |
| Spanish_male_M2 | 30,541.19 | 0.4601 | <0.001 | |
| Egyptian_male_M2 | 26,820.46 | 0.4601 | <0.001 | |
| Our_female_M1 | 3901.293 | 4065.54 | 0.5106 | 0.8496 |
| Spanish_female_M1 | 4590.316 | 0.5106 | 0.0237 | |
| Egyptian_female_M1 | 5980.628 | 0.5106 | 0.0601 | |
| Our_female_M2 | 3893.863 | 4057.797 | 0.5152 | 0.9252 |
| Spanish_female_M2 | 6878.444 | 0.5152 | <0.001 | |
| Egyptian_female_M2 | 14,414.39 | 0.5152 | <0.001 |
Publisher’s Note: MDPI stays neutral with regard to jurisdictional claims in published maps and institutional affiliations. |
© 2021 by the authors. Licensee MDPI, Basel, Switzerland. This article is an open access article distributed under the terms and conditions of the Creative Commons Attribution (CC BY) license (https://creativecommons.org/licenses/by/4.0/).
Share and Cite
Park, S.; Yi, Y.; Tsengel, B.; Kim, J.; Chun, D.-I.; Won, S.-H.; Min, T.-H.; Park, J.-H.; Lee, M.; Cho, J. Adult Stature Estimation from Radiographic Metatarsal Length in a Contemporary Korean Population. Int. J. Environ. Res. Public Health 2021, 18, 10363. https://doi.org/10.3390/ijerph181910363
Park S, Yi Y, Tsengel B, Kim J, Chun D-I, Won S-H, Min T-H, Park J-H, Lee M, Cho J. Adult Stature Estimation from Radiographic Metatarsal Length in a Contemporary Korean Population. International Journal of Environmental Research and Public Health. 2021; 18(19):10363. https://doi.org/10.3390/ijerph181910363
Chicago/Turabian StylePark, Suyeon, Young Yi, Battur Tsengel, Jahyung Kim, Dong-Il Chun, Sung-Hun Won, Tae-Hong Min, Jeong-Hyun Park, Mijeong Lee, and Jaeho Cho. 2021. "Adult Stature Estimation from Radiographic Metatarsal Length in a Contemporary Korean Population" International Journal of Environmental Research and Public Health 18, no. 19: 10363. https://doi.org/10.3390/ijerph181910363
APA StylePark, S., Yi, Y., Tsengel, B., Kim, J., Chun, D.-I., Won, S.-H., Min, T.-H., Park, J.-H., Lee, M., & Cho, J. (2021). Adult Stature Estimation from Radiographic Metatarsal Length in a Contemporary Korean Population. International Journal of Environmental Research and Public Health, 18(19), 10363. https://doi.org/10.3390/ijerph181910363

