Impact of Adipokine Expression on Tumor Characteristics and Survival Outcomes in Patients with Renal Cell Carcinoma
Abstract
1. Introduction
2. Materials and Methods
2.1. Patient Population
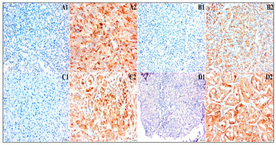
2.2. IHC
2.3. Statistical Analysis
3. Results
3.1. Baseline Patient Characteristics and Study Design
3.2. Adipokine Expression and Their Association with Pathological Variables and Survival Outcomes in RCC
4. Discussion
5. Conclusions
Author Contributions
Funding
Institutional Review Board Statement
Informed Consent Statement
Data Availability Statement
Conflicts of Interest
Abbreviations
| AMPK | AMP-activated protein kinase |
| BMI | Body mass index |
| CI | Confidence interval |
| CSS | Cancer specific survival |
| H&E | Hematoxylin and eosin |
| HR | Hazard ratio |
| IMDC | International Metastatic Renal Cell Carcinoma Database Consortium |
| Leptin-R | Leptin receptor |
| LVI | Lymphovascular invasion |
| NAMPT | Nicotinamide phosphoribosyltransferase |
| NF-κB | Nuclear factor kappa B |
| OS | Overall survival |
| PFS | Progression-free survival |
| PPAR | Proliferator-activated receptor |
| RBP-4 | Retinol binding protein 4 |
| RFS | Recurrence-free survival |
| RCC | Renal cell carcinoma |
| TMA | Tissue microarray |
| TNM | Tumor, Node, Metastasis |
References
- Bray, F.; Laversanne, M.; Sung, H.; Ferlay, J.; Siegel, R.L.; Soerjomataram, I.; Jemal, A. Global Cancer Statistics 2022: GLOBOCAN Estimates of Incidence and Mortality Worldwide for 36 Cancers in 185 Countries. CA Cancer J. Clin. 2024, 74, 229–263. [Google Scholar] [CrossRef]
- Capitanio, U.; Bensalah, K.; Bex, A.; Boorjian, S.A.; Bray, F.; Coleman, J.; Gore, J.L.; Sun, M.; Wood, C.; Russo, P. Epidemiology of Renal Cell Carcinoma. Eur. Urol. 2019, 75, 74–84. [Google Scholar] [CrossRef]
- Wang, F.; Xu, Y. Body Mass Index and Risk of Renal Cell Cancer: A Dose-response Meta-analysis of Published Cohort Studies. Int. J. Cancer 2014, 135, 1673–1686. [Google Scholar] [CrossRef] [PubMed]
- Vegiopoulos, A.; Rohm, M.; Herzig, S. Adipose Tissue: Between the Extremes. EMBO J. 2017, 36, 1999–2017. [Google Scholar] [CrossRef] [PubMed]
- Jung, U.; Choi, M.-S. Obesity and Its Metabolic Complications: The Role of Adipokines and the Relationship between Obesity, Inflammation, Insulin Resistance, Dyslipidemia and Nonalcoholic Fatty Liver Disease. Int. J. Mol. Sci. 2014, 15, 6184–6223. [Google Scholar] [CrossRef]
- Horiguchi, A.; Sumitomo, M.; Asakuma, J.; Asano, T.; Zheng, R.; Asano, T.; Nanus, D.M.; Hayakawa, M. Increased Serum Leptin Levels and Over Expression of Leptin Receptors Are Associated with the Invasion and Progression of Renal Cell Carcinoma. J. Urol. 2006, 176, 1631–1635. [Google Scholar] [CrossRef]
- de Martino, M.; Leitner, C.V.; Hofbauer, S.L.; Lucca, I.; Haitel, A.; Shariat, S.F.; Klatte, T. Serum Adiponectin Predicts Cancer-Specific Survival of Patients with Renal Cell Carcinoma. Eur. Urol. Focus. 2016, 2, 197–203. [Google Scholar] [CrossRef]
- Kallio, J.; Hämäläinen, M.; Luukkaala, T.; Moilanen, E.; Tammela, T.L.; Kellokumpu-Lehtinen, P.-L. Resistin and Interleukin 6 as Predictive Factors for Recurrence and Long-Term Prognosis in Renal Cell Cancer. Urol. Oncol. Semin. Orig. Investig. 2017, 35, 544.e25–544.e31. [Google Scholar] [CrossRef] [PubMed][Green Version]
- Elkassem, A.A.; Allen, B.C.; Sharbidre, K.G.; Rais-Bahrami, S.; Smith, A.D. Update on the Role of Imaging in Clinical Staging and Restaging of Renal Cell Carcinoma Based on the AJCC 8th Edition, From the AJR Special Series on Cancer Staging. Am. J. Roentgenol. 2021, 217, 541–555. [Google Scholar] [CrossRef]
- Fuhrman, S.A.; Lasky, L.C.; Limas, C. Prognostic Significance of Morphologic Parameters in Renal Cell Carcinoma. Am. J. Surg. Pathol. 1982, 6, 655–664. [Google Scholar] [CrossRef]
- Paner, G.P.; Amin, M.B.; Alvarado-Cabrero, I.; Young, A.N.; Stricker, H.J.; Moch, H.; Lyles, R.H. A Novel Tumor Grading Scheme for Chromophobe Renal Cell Carcinoma. Am. J. Surg. Pathol. 2010, 34, 1233–1240. [Google Scholar] [CrossRef]
- Heng, D.Y.C.; Xie, W.; Regan, M.M.; Warren, M.A.; Golshayan, A.R.; Sahi, C.; Eigl, B.J.; Ruether, J.D.; Cheng, T.; North, S.; et al. Prognostic Factors for Overall Survival in Patients with Metastatic Renal Cell Carcinoma Treated with Vascular Endothelial Growth Factor—Targeted Agents: Results From a Large, Multicenter Study. J. Clin. Oncol. 2009, 27, 5794–5799. [Google Scholar] [CrossRef]
- Garofalo, C.; Surmacz, E. Leptin and Cancer. J. Cell Physiol. 2006, 207, 12–22. [Google Scholar] [CrossRef]
- Park, H.-Y.; Kwon, H.M.; Lim, H.J.; Hong, B.K.; Lee, J.Y.; Park, B.E.; Jang, Y.S.; Cho, S.Y.; Kim, H.-S. Potential Role of Leptin in Angiogenesis: Leptin Induces Endothelial Cell Proliferation and Expression of Matrix Metalloproteinases In Vivo and In Vitro. Exp. Mol. Med. 2001, 33, 95–102. [Google Scholar] [CrossRef]
- Dalamaga, M.; Diakopoulos, K.N.; Mantzoros, C.S. The Role of Adiponectin in Cancer: A Review of Current Evidence. Endocr. Rev. 2012, 33, 547–594. [Google Scholar] [CrossRef] [PubMed]
- Zhang, Z.; Du, J.; Xu, Q.; Li, Y.; Zhou, S.; Zhao, Z.; Mu, Y.; Zhao, A.Z.; Cao, S.-M.; Li, F. Resistin Promotes Nasopharyngeal Carcinoma Metastasis through TLR4-Mediated Activation of P38 MAPK/NF-ΚB Signaling Pathway. Cancers 2022, 14, 6003. [Google Scholar] [CrossRef] [PubMed]
- Frühbeck, G.; Jebb, S.A.; Prentice, A.M. Leptin: Physiology and Pathophysiology. Clin. Physiol. 1998, 18, 399–419. [Google Scholar] [CrossRef]
- Havel, P.J. Update on Adipocyte Hormones. Diabetes 2004, 53, S143–S151. [Google Scholar] [CrossRef] [PubMed]
- Tartaglia, L.A.; Dembski, M.; Weng, X.; Deng, N.; Culpepper, J.; Devos, R.; Richards, G.J.; Campfield, L.A.; Clark, F.T.; Deeds, J.; et al. Identification and Expression Cloning of a Leptin Receptor, OB-R. Cell 1995, 83, 1263–1271. [Google Scholar] [CrossRef]
- Hoda, M.R.; Keely, S.J.; Bertelsen, L.S.; Junger, W.G.; Dharmasena, D.; Barrett, K.E. Leptin Acts as a Mitogenic and Antiapoptotic Factor for Colonic Cancer Cells. Br. J. Surg. 2007, 94, 346–354. [Google Scholar] [CrossRef]
- Babaei, A.; Zarkesh-Esfahani, S.H.; Bahrami, E.; Ross, R.J. Restricted Leptin Antagonism as a Therapeutic Approach to Treatment of Autoimmune Diseases. Hormones 2011, 10, 16–26. [Google Scholar] [CrossRef] [PubMed]
- Choi, S.H.; Chun, S.Y.; Kim, T.-H.; Kwon, T.G. Identifying the Emerging Role of Adipokine as a Diagnostic and Prognostic Biomarker of Renal Cell Carcinoma. Urol. Oncol. Semin. Orig. Investig. 2016, 34, 259.e15–259.e19. [Google Scholar] [CrossRef]
- Zhu, H.; Li, W.; Mao, S.; Wang, L. Association between Leptin Level and Renal Cell Carcinoma Susceptibility and Progression. J. Cancer Res. Ther. 2018, 14, 873–880. [Google Scholar] [CrossRef] [PubMed]
- Dimou, N.L.; Papadimitriou, N.; Mariosa, D.; Johansson, M.; Brennan, P.; Peters, U.; Chanock, S.J.; Purdue, M.; Bishop, D.T.; Gago-Dominquez, M.; et al. Circulating Adipokine Concentrations and Risk of Five Obesity-related Cancers: A Mendelian Randomization Study. Int. J. Cancer 2021, 148, 1625–1636. [Google Scholar] [CrossRef] [PubMed]
- Perumal, K.; Mun, K.S.; Yap, N.Y.; Razack, A.H.A.; Gobe, G.C.; Ong, T.A.; Kuppusamy, S.; Rajandram, R. A Study on the Immunohistochemical Expressions of Leptin and Leptin Receptor in Clear Cell Renal Cell Carcinoma. Biomed. Res. Int. 2020, 2020, 3682086. [Google Scholar] [CrossRef]
- Lee, Y.-C.; Wu, W.-J.; Lin, H.-H.; Li, W.-M.; Huang, C.-N.; Hsu, W.-C.; Chang, L.-L.; Li, C.-C.; Yeh, H.-C.; Li, C.-F.; et al. Prognostic Value of Leptin Receptor Overexpression in Upper Tract Urothelial Carcinomas in Taiwan. Clin. Genitourin. Cancer 2017, 15, e653–e659. [Google Scholar] [CrossRef]
- Horiguchi, A.; Sumitomo, M.; Asakuma, J.; Asano, T.; Zheng, R.; Asano, T.; Nanus, D.M.; Hayakawa, M. Leptin Promotes Invasiveness of Murine Renal Cancer Cells Via Extracellular Signal-Regulated Kinases and Rho Dependent Pathway. J. Urol. 2006, 176, 1636–1641. [Google Scholar] [CrossRef]
- Jeong, Y.-J.; Bong, J.-G.; Park, S.-H.; Choi, J.-H.; Oh, H.-K. Expression of Leptin, Leptin Receptor, Adiponectin, and Adiponectin Receptor in Ductal Carcinoma In Situ and Invasive Breast Cancer. J. Breast Cancer 2011, 14, 96–103. [Google Scholar] [CrossRef]
- Ng, K.L.; Del Vecchio, S.J.; Samaratunga, H.; Morais, C.; Rajandram, R.; Vesey, D.A.; Wood, S.T.; Gobe, G.C. Leptin and Its Receptor: Can They Help to Differentiate Chromophobe Renal Cell Carcinoma from Renal Oncocytoma? Pathology 2018, 50, 504–510. [Google Scholar] [CrossRef]
- Uddin, S.; Bu, R.; Ahmed, M.; Abubaker, J.; Al-Dayel, F.; Bavi, P.; Al-Kuraya, K.S. Overexpression of Leptin Receptor Predicts an Unfavorable Outcome in Middle Eastern Ovarian Cancer. Mol. Cancer 2009, 8, 74. [Google Scholar] [CrossRef]
- Wilson, K.M.; Cho, E. Obesity and Kidney Cancer. In Obesity and Cancer; Springer: Berlin/Heidelberg, Germany, 2016; pp. 81–93. [Google Scholar]
- Arita, Y.; Kihara, S.; Ouchi, N.; Takahashi, M.; Maeda, K.; Miyagawa, J.; Hotta, K.; Shimomura, I.; Nakamura, T.; Miyaoka, K.; et al. Paradoxical Decrease of an Adipose-Specific Protein, Adiponectin, in Obesity. Biochem. Biophys. Res. Commun. 1999, 257, 79–83. [Google Scholar] [CrossRef]
- Wei, E.K.; Giovannucci, E.; Fuchs, C.S.; Willett, W.C.; Mantzoros, C.S. Low Plasma Adiponectin Levels and Risk of Colorectal Cancer in Men: A Prospective Study. JNCI J. Natl. Cancer Inst. 2005, 97, 1688–1694. [Google Scholar] [CrossRef]
- Spyridopoulos, T.N.; Petridou, E.T.; Skalkidou, A.; Dessypris, N.; Chrousos, G.P.; Mantzoros, C.S.; The Obesity and Cancer Oncology Group. Low Adiponectin Levels Are Associated with Renal Cell Carcinoma: A Case-control Study. Int. J. Cancer 2007, 120, 1573–1578. [Google Scholar] [CrossRef] [PubMed]
- Michalakis, K.; Williams, C.J.; Mitsiades, N.; Blakeman, J.; Balafouta-Tselenis, S.; Giannopoulos, A.; Mantzoros, C.S. Serum Adiponectin Concentrations and Tissue Expression of Adiponectin Receptors Are Reduced in Patients with Prostate Cancer: A Case Control Study. Cancer Epidemiol. Biomark. Prev. 2007, 16, 308–313. [Google Scholar] [CrossRef] [PubMed]
- Curat, C.A.; Wegner, V.; Sengenès, C.; Miranville, A.; Tonus, C.; Busse, R.; Bouloumié, A. Macrophages in Human Visceral Adipose Tissue: Increased Accumulation in Obesity and a Source of Resistin and Visfatin. Diabetologia 2006, 49, 744–747. [Google Scholar] [CrossRef] [PubMed]
- Hivert, M.-F.; Sullivan, L.M.; Fox, C.S.; Nathan, D.M.; D’Agostino, R.B.; Wilson, P.W.F.; Meigs, J.B. Associations of Adiponectin, Resistin, and Tumor Necrosis Factor-α with Insulin Resistance. J. Clin. Endocrinol. Metab. 2008, 93, 3165–3172. [Google Scholar] [CrossRef]
- Liao, L.M.; Weinstein, S.J.; Pollak, M.; Li, Z.; Virtamo, J.; Albanes, D.; Chow, W.-H.; Purdue, M.P. Prediagnostic Circulating Adipokine Concentrations and Risk of Renal Cell Carcinoma in Male Smokers. Carcinogenesis 2013, 34, 109–112. [Google Scholar] [CrossRef]
- Zhang, H.-P.; Zou, J.; Xu, Z.-Q.; Ruan, J.; Yang, S.-D.; Yin, Y.; Mu, H.-J. Association of Leptin, Visfatin, Apelin, Resistin and Adiponectin with Clear Cell Renal Cell Carcinoma. Oncol. Lett. 2017, 13, 463–468. [Google Scholar] [CrossRef][Green Version]



| Characteristics | All Patients (n = 81) | No Leptin Expression (n = 54) | Leptin Expression (n = 27) | p Value |
|---|---|---|---|---|
| Age (years), range | 61 (29–81) | 61 (29–81) | 61 (30–77) | 0.750 |
| Gender | 0.592 | |||
| Female | 24 (29.7%) | 15 (27.8%) | 9 (33.3%) | |
| Male | 57 (70.3%) | 39 (72.2%) | 18 (66.7%) | |
| BMI (kg/m2) | 26.1 (24.2–30) | 26.2 (24.2–30.3) | 25.7 (24.2–29.7) | 0.597 |
| Nephrectomy type | 0.522 | |||
| Radical | 69 (85.2%) | 47 (87%) | 22 (81.5%) | |
| Partial | 12 (14.8%) | 7 (13%) | 5 (18.5%) | |
| Histology | 0.317 | |||
| Clear cell | 67 (82.7%) | 44 (81.5%) | 23 (85.1%) | |
| Papillary | 6 (7.4%) | 3 (5.5%) | 3 (11.1%) | |
| Chromophobe | 8 (9.9%) | 7 (13%) | 1 (3.8%) | |
| Presence of LVI | 0.081 | |||
| Yes | 43 (53%) | 25 (46.2%) | 18 (66.7%) | |
| No | 38 (47%) | 29 (53.8%) | 9 (33.3%) | |
| T stage | 0.795 | |||
| I–II | 8 (9.9%) | 4 (7.4%) | 4 (14.8%) | |
| III–IV | 73 (90.1%) | 50 (92.6%) | 23 (85.2%) | |
| Presence of lymph node metastasis | 0.133 | |||
| Yes | 18 (22.2%) | 9 (16.6%) | 9 (33.3%) | |
| No | 63 (77.8%) | 45 (83.4%) | 18 (66.7%) | |
| Presence of distant metastasis | 0.941 | |||
| Yes | 39 (48.1%) | 26 (48.1%) | 13 (48.1%) | |
| No | 42 (51.9%) | 28 (51.9%) | 14 (51.9%) | |
| Tumor grade | 0.233 | |||
| I–II | 17 (21%) | 11 (20.3%) | 6 (22.2%) | |
| III–IV | 64 (79%) | 43 (79.7%) | 21 (77.8%) |
| Univariate | Multivariate | |||
|---|---|---|---|---|
| Variable | HR (95% CI) | p Value | HR (95% CI) | p Value |
| Age (<65 versus ≥65) | 1.99 (1.09–3.61) | 0.023 | 1.87 (0.85–4.10) | 0.116 |
| Gender (Female vs. Male) | 1.06 (0.59–1.91) | 0.839 | N/A | N/A |
| T stage (I–II vs. III–IV) | 3.42 (0.46–25.13) | 0.226 | N/A | N/A |
| Lymph node status (N-negative vs. N-positive) | 2.52 (1.36–4.65) | 0.003 | 1.81 (0.80–4.09) | 0.150 |
| Metastasis status (M-negative vs. M-positive) | 2.79 (1.56–5.02) | 0.001 | 2.48 (1.16–5.29) | 0.018 |
| Histology (Clear cell vs. Non-clear cell) | 0.54 (0.22–1.29) | 0.170 | 0.53 (0.17–1.59) | 0.262 |
| Tumor grade (I–II vs. III–IV) | 1.93 (0.90–4.12) | 0.090 | 1.38 (0.55–3.49) | 0.487 |
| LVI status (Absent vs. Present) | 1.75 (0.97–3.15) | 0.063 | 0.97 (0.45–2.08) | 0.957 |
| Leptin expression (Absent vs. Present) | 1.69 (0.95–2.99) | 0.071 | 1.98 (1.03–3.78) | 0.039 |
| Leptin-R expression (Absent vs. Present) | 1 (0.56–1.77) | 0.988 | N/A | N/A |
| Adiponectin expression (Absent vs. Present) | 1.17 (0.65–2.13) | 0.590 | N/A | N/A |
| Resistin expression (Absent vs. Present) | 1.114 (0.62–2) | 0.718 | N/A | N/A |
Disclaimer/Publisher’s Note: The statements, opinions and data contained in all publications are solely those of the individual author(s) and contributor(s) and not of MDPI and/or the editor(s). MDPI and/or the editor(s) disclaim responsibility for any injury to people or property resulting from any ideas, methods, instructions or products referred to in the content. |
© 2025 by the authors. Published by MDPI on behalf of the Lithuanian University of Health Sciences. Licensee MDPI, Basel, Switzerland. This article is an open access article distributed under the terms and conditions of the Creative Commons Attribution (CC BY) license (https://creativecommons.org/licenses/by/4.0/).
Share and Cite
Aktepe, O.H.; Ulasli, T.; Terzi, A.; Gundogdu, F.; Caliskan Yildirim, E.; Arslan, A.M.; Semiz, H.S.; Kosemehmetoglu, K.; Karaoglu, A.; Erman, M.; et al. Impact of Adipokine Expression on Tumor Characteristics and Survival Outcomes in Patients with Renal Cell Carcinoma. Medicina 2025, 61, 1544. https://doi.org/10.3390/medicina61091544
Aktepe OH, Ulasli T, Terzi A, Gundogdu F, Caliskan Yildirim E, Arslan AM, Semiz HS, Kosemehmetoglu K, Karaoglu A, Erman M, et al. Impact of Adipokine Expression on Tumor Characteristics and Survival Outcomes in Patients with Renal Cell Carcinoma. Medicina. 2025; 61(9):1544. https://doi.org/10.3390/medicina61091544
Chicago/Turabian StyleAktepe, Oktay Halit, Tugce Ulasli, Aytac Terzi, Fatma Gundogdu, Eda Caliskan Yildirim, Ahmet Melih Arslan, Huseyin Salih Semiz, Kemal Kosemehmetoglu, Aziz Karaoglu, Mustafa Erman, and et al. 2025. "Impact of Adipokine Expression on Tumor Characteristics and Survival Outcomes in Patients with Renal Cell Carcinoma" Medicina 61, no. 9: 1544. https://doi.org/10.3390/medicina61091544
APA StyleAktepe, O. H., Ulasli, T., Terzi, A., Gundogdu, F., Caliskan Yildirim, E., Arslan, A. M., Semiz, H. S., Kosemehmetoglu, K., Karaoglu, A., Erman, M., & Yalcin, S. (2025). Impact of Adipokine Expression on Tumor Characteristics and Survival Outcomes in Patients with Renal Cell Carcinoma. Medicina, 61(9), 1544. https://doi.org/10.3390/medicina61091544

