Folic Acid Mitigates Sertraline-Induced Liver Damage in Adult Female Albino Rats During Pregnancy and Postpartum: A Biochemical and Histological Study
Abstract
1. Introduction
2. Materials and Methods
2.1. Drugs
2.2. Animals
2.2.1. Animals Used in the Experiment
2.2.2. Experimental Design
- Group 1 (control 0 h): pregnant rats were fed a balanced diet throughout the pregnancy and euthanized immediately after giving birth.
- Group 2 (folic acid 0 h): pregnant rats were fed a balanced diet and administered 0.072 mg folic acid dissolved in 0.58 mL of distilled water by oral gavage daily throughout the pregnancy, then euthanized immediately after giving birth.
- Group 3 (sertraline 0 h): pregnant rats were fed a balanced diet and administered 0.9 mg sertraline dissolved in 0.5 mL of distilled water by oral gavage daily throughout the pregnancy, then euthanized immediately after giving birth.
- Group 4 (folic acid + sertraline 0 h): pregnant rats were fed a balanced diet and administered 0.072 mg folic acid dissolved in 0.58 mL of distilled water, followed by administering 0.9 mg sertraline dissolved in 0.5 mL of distilled water by oral gavage daily throughout the pregnancy, then euthanized immediately after giving birth.
- Group 5 (control 14 d): pregnant rats were fed a balanced diet throughout the pregnancy and for 14 days after giving birth.
- Group 6 (folic acid 14 d): pregnant rats were fed a balanced diet and administered 0.072 mg folic acid dissolved in 0.58 mL of distilled water by oral gavage daily throughout the pregnancy and for 14 days postpartum.
- Group 7 (sertraline 14 d): pregnant rats were fed a balanced diet and administered 0.9 mg sertraline dissolved in 0.5 mL of distilled water by oral gavage daily throughout the pregnancy and for 14 days postpartum.
- Group 8 (folic acid + sertraline 14 d): pregnant rats were fed a balanced diet and administered 0.072 mg folic acid dissolved in 0.58 mL of distilled water, followed by administration 0.9 mg sertraline dissolved in 0.5 mL of distilled water by oral gavage daily throughout the pregnancy and for 14 days postpartum.
2.3. Blood and Tissue Sample Collection
2.4. Biochemical Analysis
2.4.1. Lipid Profile
2.4.2. Liver Function
2.5. Histological Analysis
2.6. Immunohistochemical Analysis
2.7. Statistical Analysis
3. Results
3.1. Lipid Profile Levels at Two Time Points Across Different Experimental Groups
3.2. Liver Functions at Two Time Points Across Different Experimental Groups
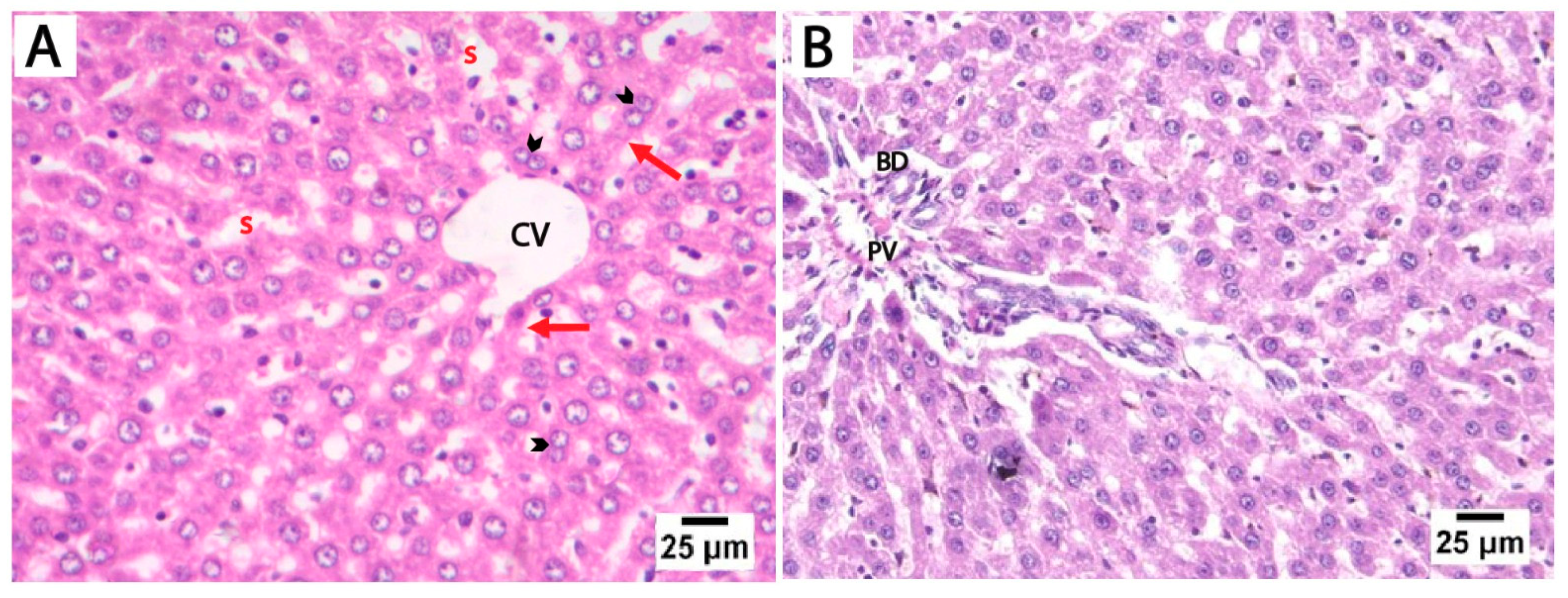
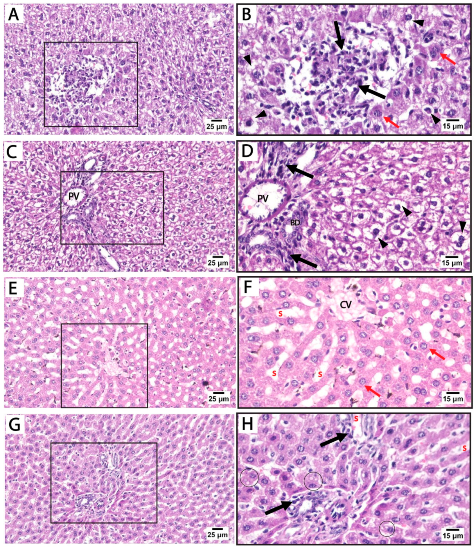
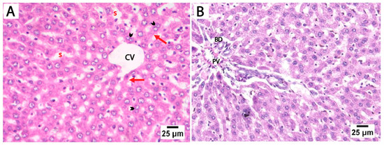
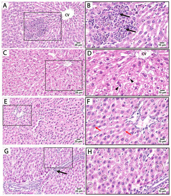
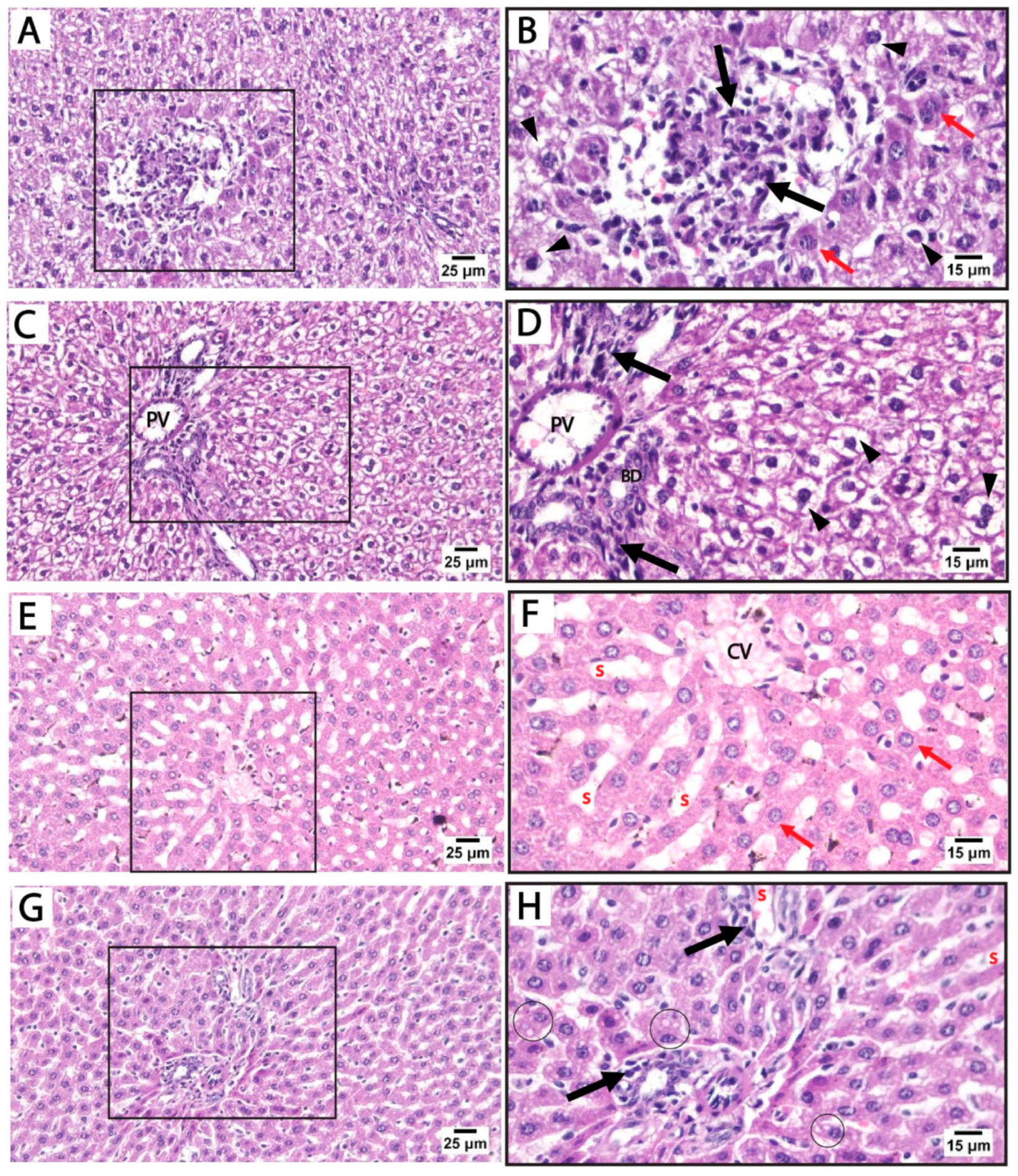
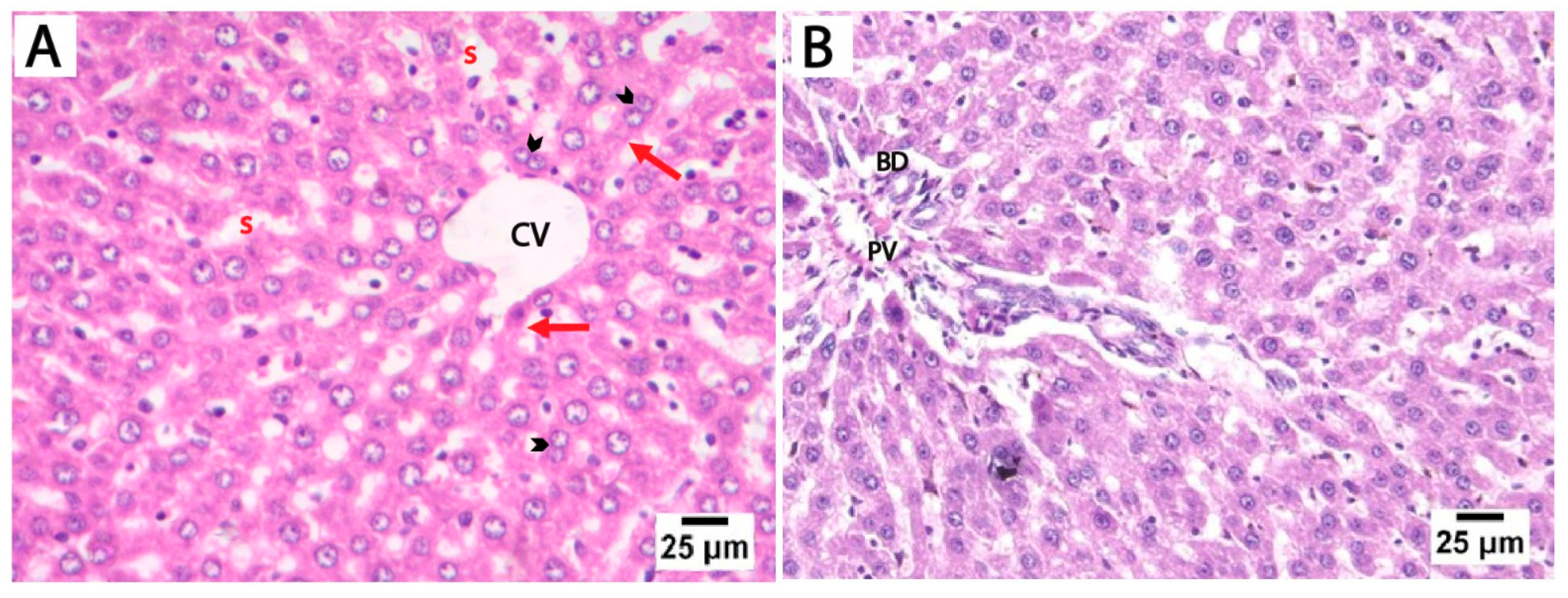
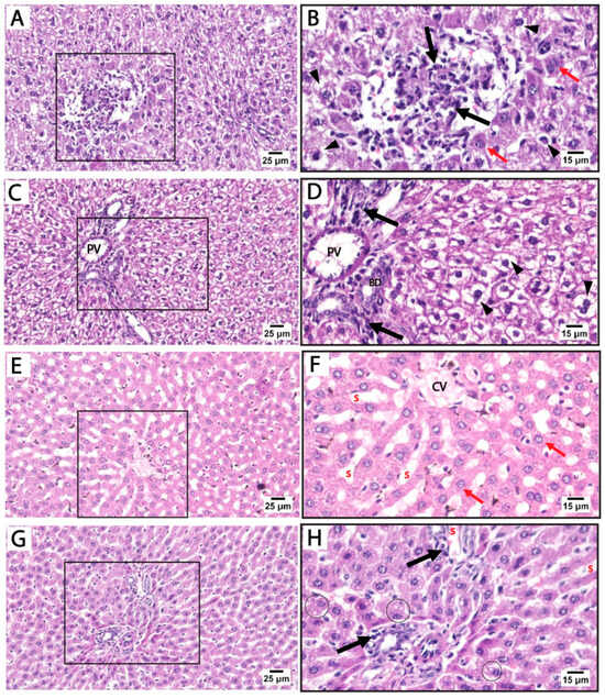
3.3. Histological Analysis
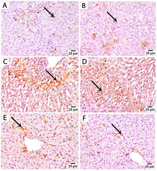
3.4. Immunohistochemical Analysis
4. Discussion
Study Limitations and Future Perspectives
5. Conclusions
Author Contributions
Funding
Institutional Review Board Statement
Informed Consent Statement
Data Availability Statement
Conflicts of Interest
References
- Hou, K.; Hou, T. Investigating pregnant women’s health information needs during pregnancy on internet platforms. Front. Physiol. 2022, 13, 1038048. [Google Scholar] [CrossRef] [PubMed]
- Agbi, F.A.; Zhou, L.; Asamoah, E.O. Quality of Communication between Healthcare Providers and Pregnant Women: Impact on Maternal Satisfaction, Health Outcomes, and Shared Decision-Making. Univers. J. Obstet. Gynecol. 2023, 2, 3–10. [Google Scholar] [CrossRef]
- Heinonen, E.; Blennow, M.; Blomdahl-Wetterholm, M.; Hovstadius, M.; Nasiell, J.; Pohanka, A.; Gustafsson, L.L.; Wide, K. Sertraline concentrations in pregnant women are steady and the drug transfer to their infants is low. Eur. J. Clin. Pharmacol. 2021, 77, 1323–1331. [Google Scholar] [CrossRef] [PubMed]
- Mosiolek, A.; Mosiolek, J.; Jakima, S.; Pieta, A.; Szulc, A. Effects of Antidepressant Treatment on Neurotrophic Factors (BDNF and IGF-1) in Patients with Major Depressive Disorder (MDD). J. Clin. Med. 2021, 10, 3377. [Google Scholar] [CrossRef]
- Chen, S.; Wu, Q.; Li, X.; Li, D.; Fan, M.; Ren, Z.; Bryant, M.; Mei, N.; Ning, B.; Guo, L. The role of hepatic cytochrome P450s in the cytotoxicity of sertraline. Arch. Toxicol. 2020, 94, 2401–2411. [Google Scholar] [CrossRef]
- Renemane, L.; Rancans, E. Sertraline induced acute hepatocellular liver injury in patient with major depressive disorder: A case report. Front. Psychiatry 2024, 15, 1456455. [Google Scholar] [CrossRef]
- Almansour, M.I.; Jarrar, Y.B.; Jarrar, B.M. In vivo investigation on the chronic hepatotoxicity induced by sertraline. Environ. Toxicol. Pharmacol. 2018, 61, 107–115. [Google Scholar] [CrossRef]
- Molaqanbari, M.R.; Zarringol, S.; Talari, H.R.; Taghizadeh, M.; Bahmani, F.; Mohtashamian, A.; Ebrahimzadeh, A.; Sharifi, N. Effects of Folic Acid Supplementation on Liver Enzymes, Lipid Profile, and Insulin Resistance in Patients with Non-Alcoholic Fatty Liver Disease: A Randomized Controlled Trial. Adv. Biomed. Res. 2023, 12, 103. [Google Scholar] [CrossRef]
- Lee, R.; Niemann, D. Nutritional Assessment, 2nd ed.; StatPearls Publishing: Mosby, MO, USA, 1996. [Google Scholar]
- Child, D.F.; Hudson, P.R.; Jones, H.; Davies, G.K.; De, P.; Mukherjee, S.; Brain, A.M.; Williams, C.P.; Harvey, J.N. The effect of oral folic acid on glutathione, glycaemia and lipids in Type 2 diabetes. Diabetes Nutr. Metab. 2004, 17, 95–102. [Google Scholar]
- Guarino, M.; Cossiga, V.; Morisco, F. The interpretation of liver function tests in pregnancy. Best Pract. Res. Clin. Gastroenterol. 2020, 44–45, 101667. [Google Scholar] [CrossRef]
- Yang, M.; Wang, D.; Wang, X.; Mei, J.; Gong, Q. Role of Folate in Liver Diseases. Nutrients 2024, 16, 1872. [Google Scholar] [CrossRef] [PubMed]
- Su, B.; Lee, J.W.; Alian, A.; Calvert, J. Renal and Hepatic Pathophysiology of Pregnancy. In Peripartum Care of the Pregnant Patient: A Question-and-Answer Review for Anesthesiologists and Obstetricians; Springer: Berlin/Heidelberg, Germany, 2024; pp. 67–72. [Google Scholar]
- Sharma, J.; Krupenko, S.A. Folate pathways mediating the effects of ethanol in tumorigenesis. Chem. Biol. Interact. 2020, 324, 109091. [Google Scholar] [CrossRef] [PubMed]
- Gandotra, K.; Jaskiw, G.; Fuller, M.; Vaidya, P.; Chiang, A.; Konicki, E.; Strohl, K. Sertraline as an adjunctive treatment for insomnia comorbid with other mental health disorders. J. Affect. Disord. Rep. 2022, 10, 100389. [Google Scholar] [CrossRef]
- Coppen, A.; Bailey, J. Enhancement of the antidepressant action of fluoxetine by folic acid: A randomised, placebo controlled trial. J. Affect. Disord. 2000, 60, 121–130. [Google Scholar] [CrossRef]
- Preskorn, S.; Lane, R. Sertraline 50 mg daily: The optimal dose in the treatment of depression. Int. Clin. Psychopharmacol. 1995, 10, 129–141. [Google Scholar] [CrossRef]
- Paget, G. Evaluation of Drug Activities. In Pharmacometrics; Academic Press: Cambridge, MA, USA, 1964. [Google Scholar]
- U.S. Centers for Disease Control and Prevention (CDC). Recommendations for the use of folic acid to reduce the number of cases of spina bifida and other neural tube defects. MMWR Recomm. Rep. 1992, 41, 1–7. [Google Scholar]
- Sengupta, P. The Laboratory Rat: Relating Its Age With Human’s. Int. J. Prev. Med. 2013, 4, 624–630. [Google Scholar]
- Sudakov, S.K.; Alekseeva, E.V.; Nazarova, G.A.; Bashkatova, V.G. Age-Related Individual Behavioural Characteristics of Adult Wistar Rats. Animals 2021, 11, 2282. [Google Scholar] [CrossRef]
- Ozturk, O.; Ucar, S.; Doganyigit, Z.; Oflamaz, A.O.; Arikan, E.S.; Ateş, Ş.; Yılmaz, S. Evaluation of bone development and organs in rat fetuses exposed to tartrazine. Heliyon 2025, 11, e41456. [Google Scholar] [CrossRef]
- Anshu, K.; Nair, A.K.; Srinath, S.; Laxmi, T.R. Altered Developmental Trajectory in Male and Female Rats in a Prenatal Valproic Acid Exposure Model of Autism Spectrum Disorder. J. Autism. Dev. Disord. 2023, 53, 4390–4411. [Google Scholar] [CrossRef]
- Sanchez, T.W.; Li, B.; Molinaro, C.; Casiano, C.A.; Bellinger, D.L.; Mata-Greenwood, E. Maternal plasma proteomics in a rat model of pregnancy complications reveals immune and pro-coagulant gene pathway activation. Am. J. Reprod. Immunol. 2020, 83, e13205. [Google Scholar] [CrossRef] [PubMed]
- Charan, J.; Kantharia, N.D. How to calculate sample size in animal studies? J. Pharmacol. Pharmacother. 2013, 4, 303–306. [Google Scholar] [CrossRef]
- Khalil, N.A.; Eltahan, N.R.; Elaktash, H.M.; Aly, S.; Sarbini, S.R. Prospective evaluation of probiotic and prebiotic supplementation on diabetic health associated with gut microbiota. Food Biosci. 2021, 42, 101149. [Google Scholar] [CrossRef]
- Tietz, N.W. Clinical Guide to Laboratory Tests; Saunders International: Sydney, Australia, 1995; p. 1096. [Google Scholar]
- Fossati, P.; Prencipe, L. Serum triglycerides determined colorimetrically with an enzyme that produces hydrogen peroxide. Clin. Chem. 1982, 28, 2077–2080. [Google Scholar] [CrossRef] [PubMed]
- Grove, T.H. Effect of reagent pH on determination of high-density lipoprotein cholesterol by precipitation with sodium phosphotungstate-magnesium. Clin. Chem. 1979, 25, 560–564. [Google Scholar] [CrossRef]
- Burstein, M.; Scholnick, H.R.; Morfin, R. Rapid method for the isolation of lipoproteins from human serum by precipitation with polyanions. J. Lipid Res. 1970, 11, 583–595. [Google Scholar] [CrossRef]
- Okada, M.; Matsui, H.; Ito, Y.; Fujiwara, A.; Inano, K. Low-density lipoprotein cholesterol can be chemically measured: A new superior method. J. Lab. Clin. Med. 1998, 132, 195–201. [Google Scholar] [CrossRef]
- Kaplan, L.; Pesce, A. Clinical Chemistry; The CV Mosby Co.: St Louis, MO, USA; Toronto, ON, Canada; Princent, NJ, USA, 1984; pp. 1032–1036. [Google Scholar]
- Aljumayi, H.; Alrasheedi, A.A.; Aljutaily, T.; Mohamed Ahmed, I.A.; Khalil, N.A. Mushroom and Kefir Functional Characterizations: Hypolipidemia and Gut Microbiota Modulations in Rat Models. Food Sci. Nutr. 2024, 12, 10181–10193. [Google Scholar] [CrossRef]
- Suzuki, S.; Nakamura, S.; Koizumi, T.; Sakaguchi, S.; Baba, S.; Muro, H.; Fujise, Y. The beneficial effect of a prostaglandin I2 analog on ischemic rat liver. Transplantation 1991, 52, 979–983. [Google Scholar] [CrossRef]
- Varghese, F.; Bukhari, A.B.; Malhotra, R.; De, A. IHC Profiler: An open source plugin for the quantitative evaluation and automated scoring of immunohistochemistry images of human tissue samples. PLoS ONE 2014, 9, e96801. [Google Scholar] [CrossRef]
- Voican, C.S.; Corruble, E.; Naveau, S.; Perlemuter, G. Antidepressant-induced liver injury: A review for clinicians. Am. J. Psychiatry 2014, 171, 404–415. [Google Scholar] [CrossRef] [PubMed]
- Suen, C.F.; Boyapati, R.; Simpson, I.; Dev, A. Acute liver injury secondary to sertraline. BMJ Case Rep. 2013, 2013, bcr2013201022. [Google Scholar] [CrossRef] [PubMed]
- Önal, H.T.; Yetkin, D.; Ayaz, F. Exploring the immunomodulatory effects of sertraline: Cytokine modulation and signaling pathway dynamics. J. Neuroimmunol. 2025, 399, 578514. [Google Scholar] [CrossRef] [PubMed]
- Sutcigil, L.; Oktenli, C.; Musabak, U.; Bozkurt, A.; Cansever, A.; Uzun, O.; Sanisoglu, S.Y.; Yesilova, Z.; Ozmenler, N.; Ozsahin, A.; et al. Pro- and anti-inflammatory cytokine balance in major depression: Effect of sertraline therapy. Clin. Dev. Immunol. 2007, 2007, 76396. [Google Scholar] [CrossRef]
- de Boer, Y.S.; Sherker, A.H. Herbal and Dietary Supplement-Induced Liver Injury. Clin. Liver Dis. 2017, 21, 135–149. [Google Scholar] [CrossRef]
- Bjornsson, E. Drug-induced liver injury: Hy’s rule revisited. Clin. Pharmacol. Ther. 2006, 79, 521–528. [Google Scholar] [CrossRef]
- Chen, S.; Xuan, J.; Wan, L.; Lin, H.; Couch, L.; Mei, N.; Dobrovolsky, V.N.; Guo, L. Sertraline, an antidepressant, induces apoptosis in hepatic cells through the mitogen-activated protein kinase pathway. Toxicol. Sci. 2014, 137, 404–415. [Google Scholar] [CrossRef]
- Li, Y.; Couch, L.; Higuchi, M.; Fang, J.L.; Guo, L. Mitochondrial dysfunction induced by sertraline, an antidepressant agent. Toxicol. Sci. 2012, 127, 582–591. [Google Scholar] [CrossRef]
- Then, C.K.; Liu, K.H.; Liao, M.H.; Chung, K.H.; Wang, J.Y.; Shen, S.C. Antidepressants, sertraline and paroxetine, increase calcium influx and induce mitochondrial damage-mediated apoptosis of astrocytes. Oncotarget 2017, 8, 115490–115502. [Google Scholar] [CrossRef]
- Lee, S.J.; Kang, M.H.; Min, H. Folic acid supplementation reduces oxidative stress and hepatic toxicity in rats treated chronically with ethanol. Nutr. Res. Pract. 2011, 5, 520–526. [Google Scholar] [CrossRef]
- Asbaghi, O.; Ashtary-Larky, D.; Bagheri, R.; Nazarian, B.; Pourmirzaei Olyaei, H.; Rezaei Kelishadi, M.; Nordvall, M.; Wong, A.; Dutheil, F.; Naeini, A.A. Beneficial effects of folic acid supplementation on lipid markers in adults: A GRADE-assessed systematic review and dose-response meta-analysis of data from 21,787 participants in 34 randomized controlled trials. Crit. Rev. Food Sci. Nutr. 2022, 62, 8435–8453. [Google Scholar] [CrossRef]
- Sarna, L.K.; Wu, N.; Wang, P.; Hwang, S.Y.; Siow, Y.L. O K. Folic acid supplementation attenuates high fat diet induced hepatic oxidative stress via regulation of NADPH oxidase. Can. J. Physiol. Pharmacol. 2012, 90, 155–165. [Google Scholar] [CrossRef] [PubMed]
- Xin, F.Z.; Zhao, Z.H.; Zhang, R.N.; Pan, Q.; Gong, Z.Z.; Sun, C.; Fan, J.-G. Folic acid attenuates high-fat diet-induced steatohepatitis via deacetylase SIRT1-dependent restoration of PPARalpha. World J. Gastroenterol. 2020, 26, 2203–2220. [Google Scholar] [CrossRef] [PubMed]
- Jiang, L.; Ni, Y.; Zhao, C.; Gao, D.; Gai, X.; Xiong, K.; Wang, J. Folic acid protects against isoniazid-induced liver injury via the m(6)A RNA methylation of cytochrome P450 2E1 in mice. Front. Nutr. 2024, 11, 1389684. [Google Scholar] [CrossRef] [PubMed]
- Zhang, H.; Zuo, Y.; Zhao, H.; Zhao, H.; Wang, Y.; Zhang, X.; Zhang, J.; Wang, P.; Sun, L.; Zhang, H.; et al. Folic acid ameliorates alcohol-induced liver injury via gut-liver axis homeostasis. Front. Nutr. 2022, 9, 989311. [Google Scholar] [CrossRef]






| Variable | CHO (mg/dL) | TG (mg/dL) | HDL-c (mg/dL) | LDL-c (mg/dL) |
|---|---|---|---|---|
| Group | ||||
| Control 0 h | 89.18 ± 4.1 | 80.91 ± 2.5 | 47.2 ± 1.6 | 46.3 ± 3.3 |
| Folic acid 0 h | 91.45 ± 6.2 | 80.16 ± 2.97 | 46 ± 1.6 | 47.1 ± 4.86 |
| Sertraline 0 h | 162.53 ± 9.78 a,b | 147.7 ± 10.8 a,b | 45.3 ± 2.4 | 78.65 ± 3.25 a,b |
| Folic acid + sertraline 0 h | 99.26 ± 3.9 a,b,c | 97.90 ± 3.89 a,b,c | 46.09 ± 2.73 | 48.75 ± 1.61 c |
| Control 14 d | 88.6 ± 4.74 | 80.41 ± 5.08 | 47.0 ± 2.98 | 44.05 ± 2.74 |
| Folic acid 14 d | 91.65 ± 6.05 | 80.66 ± 1.87 | 46.787 ± 2.82 | 44.52 ± 3.89 |
| Sertraline 14 d | 220.05 ± 13.4 a,b,c,d,e,f | 177.4 ± 12.4 a,b,c,d,e,f | 45.58 ± 3.8 | 96.88 ± 4.8 a,b,c,d,e,f |
| Folic acid + sertraline 14 d | 121.59 ± 9.54 a,b,c,d,e,f,g | 116.1 ± 6.2 a,b,c,d,e,f,g | 48.75 ± 1.612 | 72.46 ± 3.4 a,b,c,d,e,f,g |
| F | 363.0108 | 295.55 | 1.895 | 272.9104 |
| p-value | 0.000 | 0.000 | 0.082 | 0.000 |
| Variable | Alanine Aminotransferase (ALT) | Aspartate Aminotransferase (AST) |
|---|---|---|
| Group | ||
| Control 0 h | 13.4 ± 1.21 | 21.12 ± 1.86 |
| Folic acid 0 h | 14.03 ± 0.72 | 21.3 ± 1.2 |
| Sertraline 0 h | 49.03 ± 2.09 a,b | 45.3 ± 3.1 a,b |
| Folic acid + sertraline 0 h | 25.96 ± 1.73 a,b,c | 28.40 ± 2.30 a,b,c |
| Control 14 d | 13.7 ± 1.45 | 21.49 ± 1.02 |
| Folic acid 14 d | 14.81 ± 1.23 | 21.87 ± 2.0 |
| Sertraline 14 d | 70.1 ± 1.8 a,b,c,d,e,f | 66.47 ± 3.52 a,b,c,d,e,f |
| Folic acid + sertraline 14 d | 36.31 ± 2.66 a,b,c,d,e,f,g | 34.40 ± 2.99 a,b,c,d,e,f,g |
| F | 1487.037 | 444.3912 |
| p-value | 0.000 | 0.000 |
| Variable | Sinusoidal Congestion | Vacuolation | Necrosis |
|---|---|---|---|
| Control 0 h | 0.0 ± 0.0 c,d | 0.0 ± 0.0 c,d | 0.0 ± 0.0 c,d |
| Folic acid 0 h | 0.0 ± 0.0 c,d | 0.0 ± 0.0 c,d | 0.0 ± 0.0 c,d |
| Sertraline 0 h | 2.0 ± 0.76 a,b,d | 2.0 ± 0.76 a,b | 2.75 ± 0.46 a,b,d |
| Folic acid + sertraline 0 h | 1.12 ± 0.64 a,b,c | 1.75 ± 0.71 a,b | 1.12 ± 0.64 a,b,c |
| Control 14 d | 0.0 ± 0.0 g,h | 0.0 ± 0.0 g,h | 0.0 ± 0.0 g,h |
| Folic acid 14 d | 0.0 ± 0.0 g,h | 0.0 ± 0.0 g,h | 0.0 ± 0.0 g,h |
| Sertraline 14 d | 2.5 ± 0.53 e,f | 2.62 ± 0.52 e,f | 2.62 ± 0.52 e,f,h |
| Folic acid + sertraline 14 d | 1.62 ± 0.74 e,f | 1.75 ± 0.71 e,f | 1.75 ± 0.71 e,f,g |
Disclaimer/Publisher’s Note: The statements, opinions and data contained in all publications are solely those of the individual author(s) and contributor(s) and not of MDPI and/or the editor(s). MDPI and/or the editor(s) disclaim responsibility for any injury to people or property resulting from any ideas, methods, instructions or products referred to in the content. |
© 2025 by the authors. Published by MDPI on behalf of the Lithuanian University of Health Sciences. Licensee MDPI, Basel, Switzerland. This article is an open access article distributed under the terms and conditions of the Creative Commons Attribution (CC BY) license (https://creativecommons.org/licenses/by/4.0/).
Share and Cite
Refai, A.A.; Jumaa, M.I.; Yousef, E.M.; Aljehani, A.M.; Alduraywish, R.A.; Elkabary, M.R.; Hanafy, S.M.; Seleem, H.S.; El-Roghy, E.S. Folic Acid Mitigates Sertraline-Induced Liver Damage in Adult Female Albino Rats During Pregnancy and Postpartum: A Biochemical and Histological Study. Medicina 2025, 61, 751. https://doi.org/10.3390/medicina61040751
Refai AA, Jumaa MI, Yousef EM, Aljehani AM, Alduraywish RA, Elkabary MR, Hanafy SM, Seleem HS, El-Roghy ES. Folic Acid Mitigates Sertraline-Induced Liver Damage in Adult Female Albino Rats During Pregnancy and Postpartum: A Biochemical and Histological Study. Medicina. 2025; 61(4):751. https://doi.org/10.3390/medicina61040751
Chicago/Turabian StyleRefai, Ayman A., Mohammad I. Jumaa, Einas M. Yousef, Ala M. Aljehani, Rana Ahmed Alduraywish, Mohamed R. Elkabary, Safaa M. Hanafy, Hanan S. Seleem, and Eman S. El-Roghy. 2025. "Folic Acid Mitigates Sertraline-Induced Liver Damage in Adult Female Albino Rats During Pregnancy and Postpartum: A Biochemical and Histological Study" Medicina 61, no. 4: 751. https://doi.org/10.3390/medicina61040751
APA StyleRefai, A. A., Jumaa, M. I., Yousef, E. M., Aljehani, A. M., Alduraywish, R. A., Elkabary, M. R., Hanafy, S. M., Seleem, H. S., & El-Roghy, E. S. (2025). Folic Acid Mitigates Sertraline-Induced Liver Damage in Adult Female Albino Rats During Pregnancy and Postpartum: A Biochemical and Histological Study. Medicina, 61(4), 751. https://doi.org/10.3390/medicina61040751

