Evaluation of the Efficacy of Ozone Therapy on Liver Tissue in the Treatment of Sepsis in Rats with Cecal Perforation
Abstract
1. Introduction
2. Materials and Methods
2.1. Experimental Animals
2.2. Animal Groups and Study Design
2.3. Anesthesia and Surgical Protocol
2.4. Euthanasia and Tissue Removal
2.5. Histological Analyses
2.6. H&E Staining and Evaluation of Stained Sections
2.7. Immunostaining Procedure and Evaluation of Immunostained Sections
2.8. Biochemical Analyzes
2.9. Statistical Analysis
3. Results
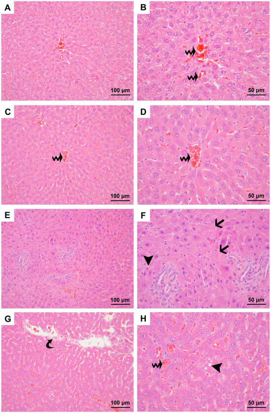
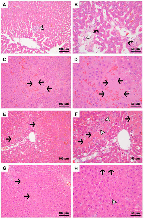
3.1. Results of the Evaluation of H&E-Stained Sections
3.2. Results of the Evaluation of Immunostained Sections
3.3. Results of the Biochemical Analyses
4. Discussion
5. Conclusions
Author Contributions
Funding
Institutional Review Board Statement
Informed Consent Statement
Data Availability Statement
Conflicts of Interest
References
- Singer, M.; Deutschman, C.S.; Seymour, C.W.; Shankar-Hari, M.; Annane, D.; Bauer, M.; Bellomo, R.; Bernard, G.R.; Chiche, J.D.; Coopersmith, C.M.; et al. The Third International Consensus Definitions for Sepsis and Septic Shock (Sepsis-3). JAMA 2016, 315, 801–810. [Google Scholar] [CrossRef] [PubMed]
- Kellum, J.A.; Wen, X.; de Caestecker, M.P.; Hukriede, N.A. Sepsis-Associated Acute Kidney Injury: A Problem Deserving of New Solutions. Nephron 2019, 143, 174–178. [Google Scholar] [CrossRef] [PubMed]
- Angus, D.C.; Linde-Zwirble, W.T.; Lidicker, J.; Clermont, G.; Carcillo, J.; Pinsky, M.R. Epidemiology of severe sepsis in the United States: Analysis of incidence, outcome, and associated costs of care. Crit. Care Med. 2001, 29, 1303–1310. [Google Scholar] [CrossRef]
- Clara, L.; Rodríguez, V.M.; Saúl, P.; Domínguez, C.; Esteban, M. Intra-abdominal infections. Update and recommendations. Medicina 2018, 78, 417–426. [Google Scholar] [PubMed]
- Skorup, P.; Fransson, A.; Gustavsson, J.; Sjöholm, J.; Rundgren, H.; Özenci, V.; Wong, A.Y.W.; Karlsson, T.; Svensén, C.; Günther, M. Evaluation of an extracorporeal ozone-based bactericide system for the treatment of Escherichia coli sepsis. Intensive Care Med. Exp. 2022, 10, 14. [Google Scholar] [CrossRef]
- Kubes, P.; Jenne, C. Immune responses in the liver. Annu. Rev. Immunol. 2018, 36, 247–277. [Google Scholar] [CrossRef]
- Wang, D.; Yin, Y.; Yao, Y. Advances in sepsis-associated liver dysfunction. Burn. Trauma 2014, 2, 2321–3868. [Google Scholar] [CrossRef]
- Horvatits, T.; Drolz, A.; Trauner, M.; Fuhrmann, V. Liver injury and failure in critical illness. Hepatology 2019, 70, 2204–2215. [Google Scholar] [CrossRef]
- Maimone, A.; De Ceglie, A.; Siersema, P.D.; Baron, T.H.; Conio, M. Colon ischemia: A comprehensive review. Clin. Res. Hepatol. Gastroenterol. 2021, 45, 101592. [Google Scholar] [CrossRef]
- Perko, Z.; Bilan, K.; Vilović, K.; Druzijanić, N.; Kraljević, D.; Juriicić, J.; Krnić, D.; Srsen, D.; Pogorelić, Z.; Tomić, S. Partial cecal necrosis treated by laparoscopic partial cecal resection. Coll Antropol. 2006, 30, 937–939. [Google Scholar]
- Wichterman, K.A.; Baue, A.E.; Chaudry, I.H. Sepsis and septic shock—A review of laboratory models and a proposal. J. Surg. Res. 1980, 29, 189–201. [Google Scholar] [CrossRef] [PubMed]
- Kal, O.; Akillioglu, I.; Kal, A.; Celik, E.; Yilmaz, M.; Onal, M.; Onal, O. Prophylactic ozone administration reduces renal ischemia-reperfusion injury in the rat. Int. J. Clin. Exp. Med. 2016, 9, 13677–13688. [Google Scholar]
- Liang, H.; Song, H.; Zhang, X.; Song, G.; Wang, Y.; Ding, X.; Duan, X.; Li, L.; Sun, T.; Kan, Q. Metformin attenuated sepsis-related liver injury by modulating gut microbiota. Emerg. Microbes Infect. 2022, 11, 815–828. [Google Scholar] [CrossRef]
- Tsai, H.J.; Chian, C.F.; Shih, C.C.; Chen, S.J.; Liaw, W.J.; Huang, H.C.; Tsao, C.M.; Wu, C.C. Olmesartan Ameliorates Organ Injury and Mortality in Rats with Peritonitis-Induced Sepsis. J. Surg. Res. 2022, 279, 526–532. [Google Scholar] [CrossRef] [PubMed]
- Sun, W.; Cui, Y.; Zhang, X.; Wang, Y.; Zhang, Z.; Ding, X.; Liang, H.; Wang, D.; Sun, Y.; Liu, S.; et al. Effects of Gabexate Mesylate on the Gut Microbiota and Metabolomics in Rats with Sepsis. J. Inflamm. Res. 2022, 15, 6581–6594. [Google Scholar] [CrossRef]
- Novochadlo, M.; Goldim, M.P.; Bonfante, S.; Joaquim, L.; Mathias, K.; Metzker, K.; Machado, R.S.; Lanzzarin, E.; Bernades, G.; Bagio, E.; et al. Folic acid alleviates the blood brain barrier permeability and oxidative stress and prevents cognitive decline in sepsis-surviving rats. Microvasc. Res. 2021, 137, 104193. [Google Scholar] [CrossRef] [PubMed]
- Bocci, V.A. Scientific and medical aspects of ozone therapy. State of the art. Arch. Med. Res. 2006, 37, 425–435. [Google Scholar] [CrossRef]
- Bocci, V.; Borrelli, E.; Travagli, V.; Zanardi, I. The ozone paradox: Ozone is a strong oxidant as well as a medical drug. Med. Res. Rev. 2009, 29, 646–682. [Google Scholar] [CrossRef]
- Yavuz, A.; Küçük, A.; Ergörün, A.I.; Dursun, A.D.; Yiğman, Z.; Alkan, M.; Arslan, M. Evaluation of the efficacy of silymarin and dexmedetomidine on kidney and lung tissue in the treatment of sepsis in rats with cecal perforation. Exp. Ther. Med. 2024, 27, 242. [Google Scholar] [CrossRef]
- Liu, X.; Yang, X.; Han, L.; Ye, F.; Liu, M.; Fan, W.; Zhang, K.; Kong, Y.; Zhang, J.; Shi, L. Pterostilbene alleviates polymicrobial sepsis-induced liver injury: Possible role of SIRT1 signaling. Int. Immunopharmacol. 2017, 49, 50–59. [Google Scholar] [CrossRef]
- Bacus, S.; Flowers, J.L.; Press, M.F.; Bacus, J.W.; Mccarty Jr, K.S. The evaluation of estrogen receptor in primary breast carcinoma by computer-assisted image analysis. Am. J. Clin. Pathol. 1988, 90, 233–239. [Google Scholar] [CrossRef]
- Schneider, C.A.; Rasband, W.S.; Eliceiri, K.W. NIH Image to ImageJ: 25 years of image analysis. Nat. Methods 2012, 9, 671–675. [Google Scholar] [CrossRef] [PubMed]
- Van Ye, T.M.; Roza, A.M.; Pieper, G.M.; Henderson, J.; Johnson, C.P.; Adams, M.B. Inhibition of intestinal lipid peroxidation does not minimize morphologic damage. J. Surg. Res. 1993, 55, 553–558. [Google Scholar] [CrossRef]
- Habig, W.H.; Pabst, M.J.; Jakoby, W.B. Glutathione S-transferases: The first enzymatic step in mercapturic acid formation. J. Biol. Chem. 1974, 249, 7130–7139. [Google Scholar] [CrossRef]
- Methods of Enzymatic Analysis; Bergmeyer, H.U., Ed.; Elsevier: Amsterdam, The Netherlands, 2012. [Google Scholar]
- Malinska, D.; Testoni, G.; Duran, J.; Brudnicka, A.; Guinovart, J.J.; Duszynski, J. Hallmarks of oxidative stress in the livers of aged mice with mild glycogen branching enzyme deficiency. Arch. Biochem. Biophys. 2020, 695, 108626. [Google Scholar] [CrossRef]
- Beyer, D.; Hoff, J.; Sommerfeld, O.; Zipprich, A.; Gaßler, N.; Press, A.T. The liver in sepsis: Molecular mechanism of liver failure and their potential for clinical translation. Mol. Med. 2022, 28, 84. [Google Scholar] [CrossRef] [PubMed]
- Chen, Z.; Tian, R.; She, Z.; Cai, J.; Li, H. Role of oxidative stress in the pathogenesis of nonalcoholic fatty liver disease. Free Radic. Biol. Med. 2020, 152, 116–141. [Google Scholar] [CrossRef] [PubMed]
- Cichoż-Lach, H.; Michalak, A. Oxidative stress as a crucial factor in liver diseases. World J. Gastroenterol. 2014, 20, 8082. [Google Scholar] [CrossRef]
- Pelinsari, S.M.; Sarandy, M.M.; Vilela, E.F.; Novaes, R.D.; Schlamb, J.; Gonçalves, R.V. Ozone Exposure Controls Oxidative Stress and the Inflammatory Process of Hepatocytes in Murine Models. Antioxidants 2024, 13, 212. [Google Scholar] [CrossRef]
- Zamora, Z.B.; Borrego, A.; López, O.Y.; Delgado, R.; González, R.; Menéndez, S.; Hernández, F.; Schulz, S. Effects of Ozone Oxidative Preconditioning on TNF-α Release and Antioxidant-Prooxidant Intracellular Balance in Mice During Endotoxic Shock. Mediators Inflamm. 2005, 1, 16–22. [Google Scholar] [CrossRef]
- Takeda, K.; Shimada, Y.; Amano, M.; Sakai, T.; Okada, T.; Yoshia, I. Plasma lipid peroxides and alpha-tocopherol in critically ill patients. Crit. Care Med. 1984, 12, 957–959. [Google Scholar] [CrossRef] [PubMed]
- Safwat, M.H.; El-Sawalhi, M.M.; Mausouf, M.N.; Shaheen, A.A. Ozone ameliorates age-related oxidative stress changes in rat liver and kidney: Effects of pre- and post-ageing administration. Biochemistry 2014, 79, 450–458. [Google Scholar] [CrossRef] [PubMed]
- Wu, M.Y.; Xing, C.Y.; Wang, J.N.; Li, Y.; Lin, X.W.; Fu, Z.J. Therapeutic dosage of ozone inhibits autophagy and apoptosis of nerve roots in a chemically induced radiculoneuritis rat model. Eur. Rev. Med. Pharmacol. Sci. 2018, 22, 1787–1797. [Google Scholar]
- Wang, Z.; Han, Q.; Guo, Y.L.; Liu, X.H.; Qiu, T. Effect of ozone oxidative preconditioning on inflammation and oxidative stress injury in rat model of renal transplantation. Acta Cir. Bras. 2018, 33, 238–249. [Google Scholar] [CrossRef]
- Sayar, I.; Bicer, S.; Gursul, C.; Gürbüzel, M.; Peker, K.; Işik, A. Protective effects of ellagic acid and ozone on rat ovaries with an ischemia/reperfusion injury. J. Obstet. Gynaecol. Res. 2016, 42, 52–58. [Google Scholar] [CrossRef] [PubMed]
- Yamanel, L.; Kaldirim, U.; Oztas, Y.; Coskun, O.; Poyrazoglu, Y.; Durusu, M.; Cayci, T.; Ozturk, A.; Demirbas, S.; Yasar, M.; et al. Ozone therapy and hyperbaric oxygen treatment in lung injury in septic rats. Int. J. Med. Sci. 2011, 8, 48–55. [Google Scholar] [CrossRef][Green Version]
- Gul, H.; Uysal, B.; Cakir, E.; Yaman, H.; Macit, E.; Yildirim, A.O.; Eyi, Y.E.; Kaldirim, U.; Oztas, E.; Akgul, E.O.; et al. The protective effects of ozone therapy in a rat model of acetaminophen-induced liver injury. Environ. Toxicol. Pharmacol. 2012, 34, 81–86. [Google Scholar] [CrossRef]
- Peralta, C.; León, O.S.; Xaus, C.; Prats, N.; Jalil, E.C.; Planell, E.S.; Puig-Parellada, P.; Gelpí, E.; Roselló-Catafau, J. Protective effect of ozone treatment on the injury associated with hepatic ischemia-reperfusion: Antioxidant-prooxidant balance. Free Radic. Res. 1999, 31, 191–196. [Google Scholar] [CrossRef]
- Çakır, T.; Aslaner, A.; Tekeli, S.; Avcı, S.; Doğan, U.; Tekeli, F.; Soylu, H.; Akyüz, C.; Koç, S.; Üstünel, İ.; et al. Effect of ozone on colon anastomoses in rat peritonitis model. Acta Cir. Bras. 2016, 31, 111–118. [Google Scholar] [CrossRef]



| Group C | Sham (Laparotomy only) | n = 6 |
| Group O | Sham+O (Laparotomy and ozone administration) | n = 6 |
| Group CLP | Cecal ligation and perforation | n = 8 |
| Group CLP+O | Cecal ligation and perforation + ozone (1 h after the sepsis model) | n = 8 |
| Group O+CLP | Ozone + cecal ligation and perforation (1 h before the sepsis model) | n = 8 |
| Group C (n = 6) | Group O (n = 6) | Group CLP (n = 8) | Group O+CLP (n = 8) | Group CLP+O (n = 8) | p ** | |
|---|---|---|---|---|---|---|
| Congestion | 0.50 (0–1) | 0.50 (0–1) | 1.00 (1–1) | 0.50 (0–1) | 1 (0.25–1) | 0.315 |
| Edema | 0.00 (0–0) | 0.00 (0–2) | 2.00 (2–2) *,& | 2.00 (1.50–2) *,& | 1.00 (0–2) *,+ | <0.001 |
| Polymorphonuclear leukocyte and monocyte infiltration | 0.00 (0–0) | 0.00 (0–0.75) | 3.00 (3–3) *,& | 1.00 (0–3)+ | 2.00 (0–3) *,&,+ | <0.001 |
| Necrosis | 0.00 (0–0) | 0.00 (0–0) | 4.00 (4–4) *,& | 4.00 (4–4) *,& | 4.00 (4–4) *,& | <0.001 |
| Total injury score | 0.50 (0–1) | 2.00 (0–3) | 10.00 (10–10) *,& | 6.50 (6–7.75) *,&,+ | 7.00 (5.25–9.50) *,&,+ | <0.001 |
| Group C (n = 6) | Group O (n = 6) | Group CLP (n = 8) | Group O+CLP (n = 8) | Group CLP+O (n = 8) | p ** | |
|---|---|---|---|---|---|---|
| IL10 | 122.89 ± 5.58 | 119.94 ± 10.08 | 160.05 ± 12.48 *,& | 134.71 ± 10.65 + | 135.68 ± 13.09 + | <0.001 |
| TNF-α | 163.37 ± 9.37 | 163.01 ± 16.40 | 193.65 ± 9.84 *,& | 178.42 ± 8.36 *,&,+ | 181.14 ± 7.32 *,&,+ | <0.001 |
| Group C (n = 6) | Group O (n = 6) | Group CLP (n = 8) | Group O+CLP (n = 8) | Group CLP+O (n = 8) | p ** | |
|---|---|---|---|---|---|---|
| TBARS (nmol/mg protein) | 0.08 ± 0.02 | 0.10 ± 0.02 | 0.16 ± 0.02 *,& | 0.13 ± 0.02 *,&,+ | 0.14 ± 0.03 *,&,+ | <0.0001 |
| Catalase (IU/mg protein) | 154.92 ± 27.42 | 130.35 ± 6.60 | 82.67 ± 23.84 *,& | 128.62 ± 49.08 &,+ | 102.07 ± 8.54 *,& | <0.0001 |
| GST (IU/mg protein) | 0.22 ± 0.06 | 0.20 ± 0.02 | 0.33 ± 0.05 *,& | 0.23 ± 0.06 + | 0.27 ± 0.05 *,&,+ | <0.0001 |
| Group C (n = 6) | Group O (n = 6) | Group CLP (n = 8) | Group O+CLP (n = 8) | Group CLP+O (n = 8) | p ** | |
|---|---|---|---|---|---|---|
| ALT (U/L) | 73.67 ± 14.58 | 61.00 ± 15.94 | 400.14 ± 182.54 * | 185.17 ± 60.06 *,&,+ | 228.00 ± 46.51 *,&,+ | <0.001 |
| AST (U/L) | 143.83 ± 17.36 | 173.17 ± 30.47 | 2065.71 ± 379.48 *,& | 1092.83 ± 97.03 *,&,+ | 1110.63 ± 316.93 *,&,+ | <0.001 |
| GGT (U/L) | 7.83 ± 1.47 | 8.33 ± 2.66 | 14.86 ± 4.06 *,& | 10.83 ± 4.49 + | 10.62 ± 4.37 + | 0.014 |
| Total bilirubin (mg/dL) | 0.10 ± 0.00 | 0.10 ± 0.00 | 0.36 ± 0.14 *,& | 0.14 ± 0.05 + | 0.18 ± 0.09 + | <0.001 |
| Direct bilirubin (mg/dL) | 0.10 ± 0.00 | 0.10 ± 0.00 | 0.24 ± 0.11 *,& | 0.11 ± 0.02 + | 0.14 ± 0.07 + | 0.002 |
| Albumin (mg/dL) | 4.17 ± 0.58 | 3.70 ± 0.46 | 2.90 ± 0.47 *,& | 3.45 ± 0.29 *,+ | 3.19 ± 0.42 * | <0.001 |
Disclaimer/Publisher’s Note: The statements, opinions and data contained in all publications are solely those of the individual author(s) and contributor(s) and not of MDPI and/or the editor(s). MDPI and/or the editor(s) disclaim responsibility for any injury to people or property resulting from any ideas, methods, instructions or products referred to in the content. |
© 2024 by the authors. Published by MDPI on behalf of the Lithuanian University of Health Sciences. Licensee MDPI, Basel, Switzerland. This article is an open access article distributed under the terms and conditions of the Creative Commons Attribution (CC BY) license (https://creativecommons.org/licenses/by/4.0/).
Share and Cite
Erel, S.; Küçükk, A.; Dikmen, K.; Tekin, E.; Yığman, Z.; Ceyhan, M.Ş.; Gökgöz, S.; Bostancı, H.; Arslan, M.; Kavutcu, M. Evaluation of the Efficacy of Ozone Therapy on Liver Tissue in the Treatment of Sepsis in Rats with Cecal Perforation. Medicina 2024, 60, 1552. https://doi.org/10.3390/medicina60091552
Erel S, Küçükk A, Dikmen K, Tekin E, Yığman Z, Ceyhan MŞ, Gökgöz S, Bostancı H, Arslan M, Kavutcu M. Evaluation of the Efficacy of Ozone Therapy on Liver Tissue in the Treatment of Sepsis in Rats with Cecal Perforation. Medicina. 2024; 60(9):1552. https://doi.org/10.3390/medicina60091552
Chicago/Turabian StyleErel, Selin, Ayşegül Küçükk, Kürşat Dikmen, Esin Tekin, Zeynep Yığman, Müşerref Şeyma Ceyhan, Seda Gökgöz, Hasan Bostancı, Mustafa Arslan, and Mustafa Kavutcu. 2024. "Evaluation of the Efficacy of Ozone Therapy on Liver Tissue in the Treatment of Sepsis in Rats with Cecal Perforation" Medicina 60, no. 9: 1552. https://doi.org/10.3390/medicina60091552
APA StyleErel, S., Küçükk, A., Dikmen, K., Tekin, E., Yığman, Z., Ceyhan, M. Ş., Gökgöz, S., Bostancı, H., Arslan, M., & Kavutcu, M. (2024). Evaluation of the Efficacy of Ozone Therapy on Liver Tissue in the Treatment of Sepsis in Rats with Cecal Perforation. Medicina, 60(9), 1552. https://doi.org/10.3390/medicina60091552

