Symptomatic Vasospasm Refractory to Clazosentan after Subarachnoid Hemorrhage of Ruptured Vertebral Artery Dissecting Aneurysm: Clinical Implications from Two Contrasting Cases
Abstract
1. Introduction
2. Case Report
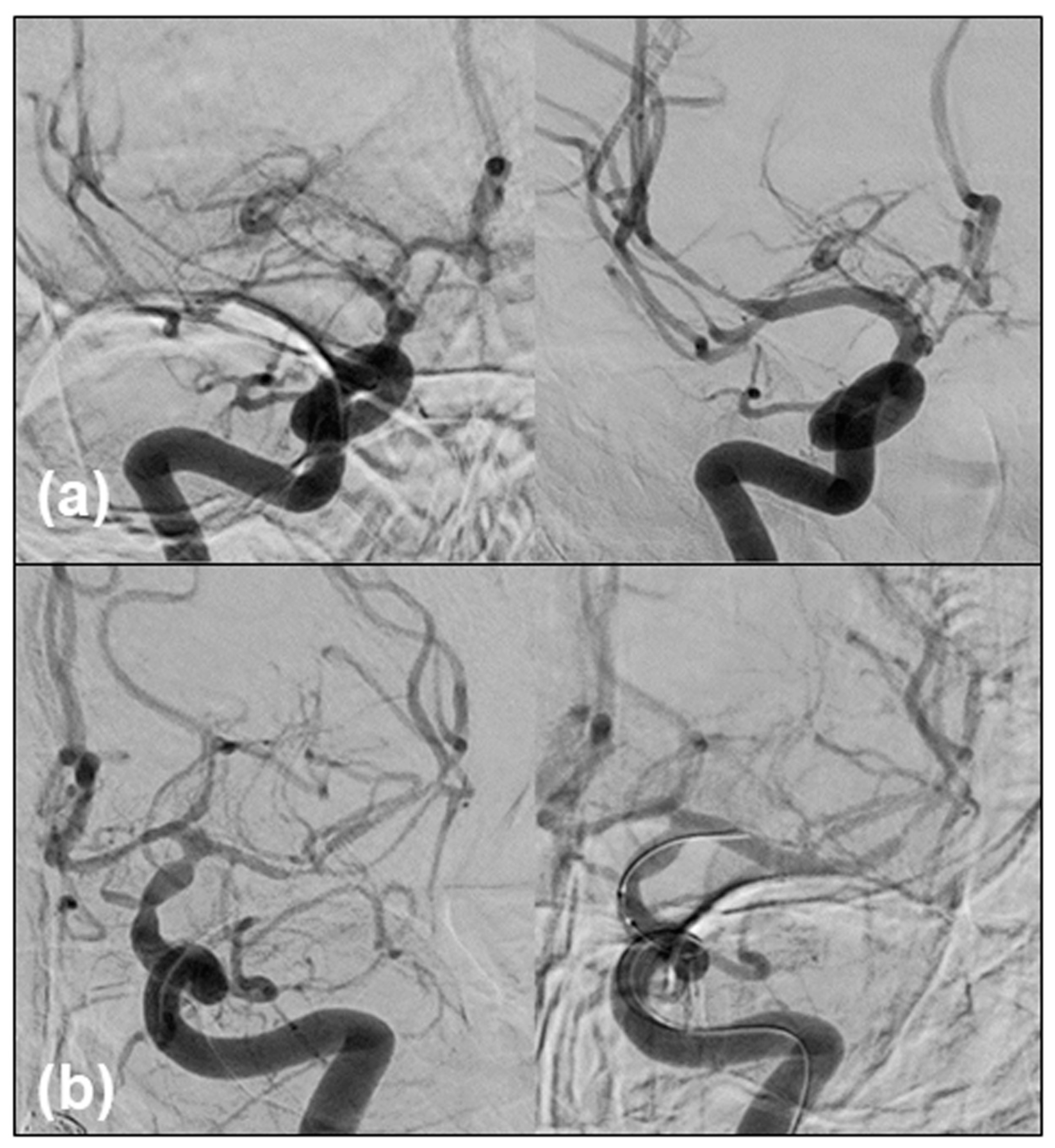
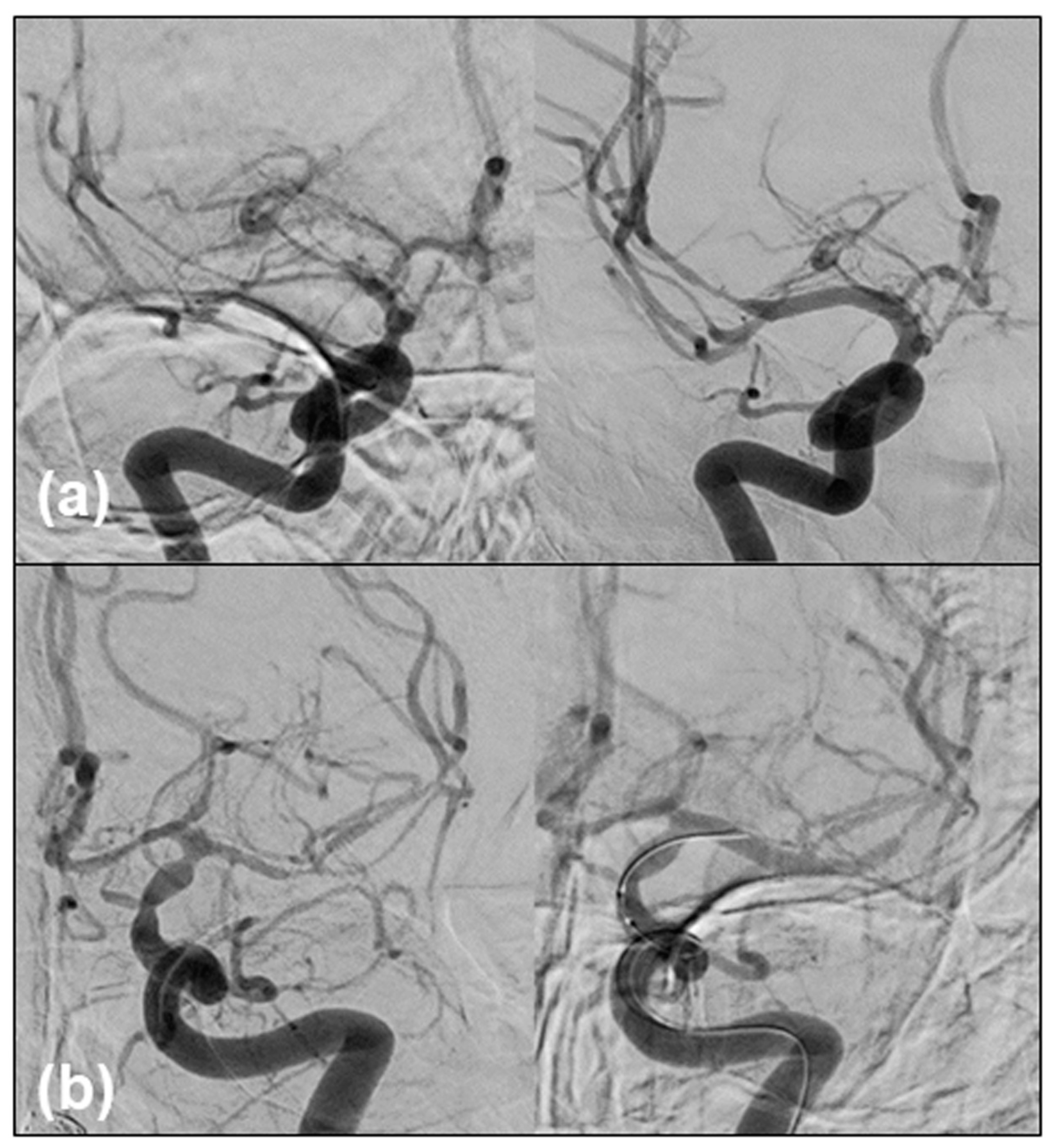
2.1. Case Presentation
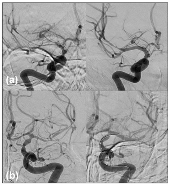
2.2. Contracting Case without Vasospasm
2.3. Clot Density Measurements
3. Discussion
4. Conclusions
Author Contributions
Funding
Institutional Review Board Statement
Informed Consent Statement
Data Availability Statement
Conflicts of Interest
References
- Su, W.; Gou, S.; Ni, S.; Li, G.; Liu, Y.; Zhu, S.; Li, X. Management of ruptured and unruptured intracranial vertebral artery dissecting aneurysms. J. Clin. Neurosci. 2011, 18, 1639–1644. [Google Scholar] [CrossRef] [PubMed]
- Korai, M.; Kanematsu, Y.; Yamaguchi, I.; Yamaguchi, T.; Yamamoto, Y.; Yamamoto, N.; Miyamoto, T.; Shimada, K.; Satomi, J.; Hanaoka, M.; et al. Subarachnoid hemorrhage due to rupture of vertebral artery dissecting aneurysms: Treatments, outcomes, and prognostic factors. World Neurosurg. 2021, 152, e86–e93. [Google Scholar] [CrossRef] [PubMed]
- Mizutani, T.; Aruga, T.; Kirino, T.; Miki, Y.; Saito, I.; Tsuchida, T. Recurrent subarachnoid hemorrhage from untreated ruptured vertebrobasilar dissecting aneurysms. Neurosurgery 1995, 36, 905–911; discussion 912–913. [Google Scholar] [CrossRef] [PubMed]
- Khan, S.H.; Abruzzo, T.A.; Ringer, A.J. Successful endovascular reconstruction of acutely ruptured pseudoaneurysm of the vertebral artery, complicated by isolated vertebrobasilar circulation and symptomatic vasospasm. Clin. Neurol. Neurosurg. 2009, 111, 868–873. [Google Scholar] [CrossRef] [PubMed]
- Pontes, J.P.M.; Santos, M.D.C.; Gibram, F.C.; Rodrigues, N.M.V.; Cavalcante-Neto, J.F.; Barros, A.D.M.; Solla, D.J.F. Efficacy and safety of clazosentan after aneurysmal subarachnoid hemorrhage: An updated meta-analysis. Neurosurgery 2023, 93, 1208–1219. [Google Scholar] [CrossRef]
- Endo, H.; Hagihara, Y.; Kimura, N.; Takizawa, K.; Niizuma, K.; Togo, O.; Tominaga, T. Effects of clazosentan on cerebral vasospasm-related morbidity and all-cause mortality after aneurysmal subarachnoid hemorrhage: Two randomized phase 3 trials in Japanese patients. J. Neurosurg. 2022, 137, 1707–1717. [Google Scholar] [CrossRef]
- Sakata, H.; Kanoke, A.; Uchida, H.; Haryu, S.; Omodaka, S.; Kimura, N.; Yoshida, M.; Niizuma, K.; Tominaga, T.; Endo, H. Prophylactic management of cerebral vasospasm with clazosentan in real clinical practice: A single-center retrospective cohort study. Front. Neurol. 2024, 15, 1413632. [Google Scholar] [CrossRef]
- Al-Salihi, M.M.; Saha, R.; Abd Elazim, A.; Helal, A.; Sabah Al-Jebur, M.; Al-Salihi, Y.; Ayyad, A. The effectiveness and safety of clazosentan in treating aneurysmal subarachnoid hemorrhage: A systematic review and meta-analysis. J. Clin. Neurosci. 2024, 126, 173–181. [Google Scholar] [CrossRef] [PubMed]
- Aldrich, E.F.; Higashida, R.; Hmissi, A.; Le, E.J.; Macdonald, R.L.; Marr, A.; Mayer, S.A.; Roux, S.; Bruder, N. Thick and diffuse cisternal clot independently predicts vasospasm-related morbidity and poor outcome after aneurysmal subarachnoid hemorrhage. J. Neurosurg. 2021, 134, 1553–1561. [Google Scholar] [CrossRef]
- Mutoh, T.; Aono, H.; Seto, W.; Kimoto, T.; Tochinai, R.; Moroi, J.; Ishikawa, T. Factors Influencing Discontinuation of Clazosentan Therapy in Elderly Patients with Aneurysmal Subarachnoid Hemorrhage: A Retrospective Study from a Japanese Single Center. Med. Sci. Monit. 2024, 30, e943303. [Google Scholar] [CrossRef]
- Mutoh, T.; Aono, H.; Seto, W.; Kimoto, T.; Tochinai, R.; Moroi, J.; Ishikawa, T. Cardiopulmonary Events of the Elderly (≥75 Years) during Clazosentan Therapy after Subarachnoid Hemorrhage: A Retrospective Study from a Tertiary Stroke Center in Japan. Medicina 2024, 60, 185. [Google Scholar] [CrossRef] [PubMed]
- Kinoshita, H.; Kato, K.; Yamazaki, Y.; Hashiba, E.; Hirota, K. Successful Fluid Management in Respiratory Failure due to Clazosentan Following a Cerebral Aneurysm Clipping: A Case Report. Cureus 2024, 16, e54850. [Google Scholar] [CrossRef] [PubMed]
- Muraoka, S.; Asai, T.; Fukui, T.; Ota, S.; Shimato, S.; Koketsu, N.; Nishizawa, T.; Araki, Y.; Saito, R. Real-world data of clazosentan in combination therapy for aneurysmal subarachnoid hemorrhage: A multicenter retrospective cohort study. Neurosurg. Rev. 2023, 46, 195. [Google Scholar] [CrossRef] [PubMed]
- Mochizuki, T.; Ryu, B.; Shima, S.; Kamijyo, E.; Ito, K.; Ando, T.; Kushi, K.; Sato, S.; Inoue, T.; Kawashima, A.; et al. Comparison of efficacy between clazosentan and fasudil hydrochloride-based management of vasospasm after subarachnoid hemorrhage focusing on older and WFNS grade V patients: A single-center experience in Japan. Neurosurg. Rev. 2024, 47, 113. [Google Scholar] [CrossRef]
- Maeda, T.; Okawara, M.; Osakabe, M.; Yamaguchi, H.; Maeda, T.; Kurita, H. Initial real-world experience of clazosentan for subarachnoid hemorrhage in Japan. World Neurosurg. X 2024, 21, 100253. [Google Scholar] [CrossRef]
- Park, J.S.; Kang, H.G. Hounsfield unit as a predictor of symptomatic vasospasm and hydrocephalus in good-grade subarachnoid hemorrhage treated with endovascular coiling. Quant. Imaging Med. Surg. 2023, 13, 6627–6635. [Google Scholar] [CrossRef]
- Riley, D.S.; Barber, M.S.; Kienle, G.S.; Aronson, J.K.; von Schoen-Angerer, T.; Tugwell, P.; Kiene, H.; Helfand, M.; Altman, D.G.; Sox, H.; et al. CARE guidelines for case reports: Explanation and elaboration document. J. Clin. Epidemiol. 2017, 89, 218–235. [Google Scholar] [CrossRef] [PubMed]
- Han, J.; Lim, D.J.; Ha, S.K.; Choi, J.I.; Jin, S.W.; Kim, S.H. Endovascular Treatment of Symptomatic Vertebral Artery Dissecting Aneurysms. J. Cerebrovasc. Endovasc. Neurosurg. 2016, 18, 201–207. [Google Scholar] [CrossRef]
- Mutoh, T.; Kazumata, K.; Terasaka, S.; Taki, Y.; Suzuki, A.; Ishikawa, T. Early intensive versus minimally invasive approach to postoperative hemodynamic management after subarachnoid hemorrhage. Stroke 2014, 45, 1280–1284. [Google Scholar] [CrossRef]
- Mayer, S.A.; Aldrich, E.F.; Bruder, N.; Hmissi, A.; Macdonald, R.L.; Viarasilpa, T.; Marr, A.; Roux, S.; Higashida, R.T. Thick and diffuse subarachnoid blood as a treatment effect modifier of clazosentan after subarachnoid hemorrhage. Stroke 2019, 50, 2738–2744. [Google Scholar] [CrossRef]
- Higashida, R.T.; Bruder, N.; Gupta, R.; Guzman, R.; Hmissi, A.; Marr, A.; Mayer, S.A.; Roux, S.; Weidauer, S.; Aldrich, E.F. Reversal of Vasospasm with Clazosentan After Aneurysmal Subarachnoid Hemorrhage: A Pilot Study. World Neurosurg. 2019, 128, e639–e648. [Google Scholar] [CrossRef] [PubMed]
- Thilak, S.; Brown, P.; Whitehouse, T.; Gautam, N.; Lawrence, E.; Ahmed, Z.; Veenith, T. Diagnosis and management of subarachnoid haemorrhage. Nat. Commun. 2024, 15, 1850. [Google Scholar] [CrossRef] [PubMed]
- Mayer, S.A.; Bruder, N.; Citerio, G.; Defreyne, L.; Dubois, C.; Gupta, R.; Higashida, R.; Marr, A.; Nguyen, T.N.; Roux, S.; et al. REACT: A randomized trial to assess the efficacy and safety of clazosentan for preventing clinical deterioration due to delayed cerebral ischemia after aneurysmal subarachnoid hemorrhage. J. Neurosurg. 2024, 1, 1–12. [Google Scholar] [CrossRef] [PubMed]






Disclaimer/Publisher’s Note: The statements, opinions and data contained in all publications are solely those of the individual author(s) and contributor(s) and not of MDPI and/or the editor(s). MDPI and/or the editor(s) disclaim responsibility for any injury to people or property resulting from any ideas, methods, instructions or products referred to in the content. |
© 2024 by the authors. Published by MDPI on behalf of the Lithuanian University of Health Sciences. Licensee MDPI, Basel, Switzerland. This article is an open access article distributed under the terms and conditions of the Creative Commons Attribution (CC BY) license (https://creativecommons.org/licenses/by/4.0/).
Share and Cite
Yoshida, Y.; Mutoh, T.; Moroi, J.; Ishikawa, T. Symptomatic Vasospasm Refractory to Clazosentan after Subarachnoid Hemorrhage of Ruptured Vertebral Artery Dissecting Aneurysm: Clinical Implications from Two Contrasting Cases. Medicina 2024, 60, 1543. https://doi.org/10.3390/medicina60091543
Yoshida Y, Mutoh T, Moroi J, Ishikawa T. Symptomatic Vasospasm Refractory to Clazosentan after Subarachnoid Hemorrhage of Ruptured Vertebral Artery Dissecting Aneurysm: Clinical Implications from Two Contrasting Cases. Medicina. 2024; 60(9):1543. https://doi.org/10.3390/medicina60091543
Chicago/Turabian StyleYoshida, Yasuyuki, Tatsushi Mutoh, Junta Moroi, and Tatsuya Ishikawa. 2024. "Symptomatic Vasospasm Refractory to Clazosentan after Subarachnoid Hemorrhage of Ruptured Vertebral Artery Dissecting Aneurysm: Clinical Implications from Two Contrasting Cases" Medicina 60, no. 9: 1543. https://doi.org/10.3390/medicina60091543
APA StyleYoshida, Y., Mutoh, T., Moroi, J., & Ishikawa, T. (2024). Symptomatic Vasospasm Refractory to Clazosentan after Subarachnoid Hemorrhage of Ruptured Vertebral Artery Dissecting Aneurysm: Clinical Implications from Two Contrasting Cases. Medicina, 60(9), 1543. https://doi.org/10.3390/medicina60091543

