Effects of Sevoflurane and Fullerenol C60 on the Heart and Lung in Lower-Extremity Ischemia–Reperfusion Injury in Streptozotocin-Induced Diabetes Mice
Abstract
1. Introduction
2. Materials and Methods
2.1. Experimental Setup and Animals
2.2. Induction of Diabetes
2.3. Anesthesia and Surgical Procedure
2.4. Experimental Groups
2.5. Tissue Collection and Analysis
2.6. Biochemical Analysis
2.7. Histological Analysis
2.8. Statistical Analysis
3. Results
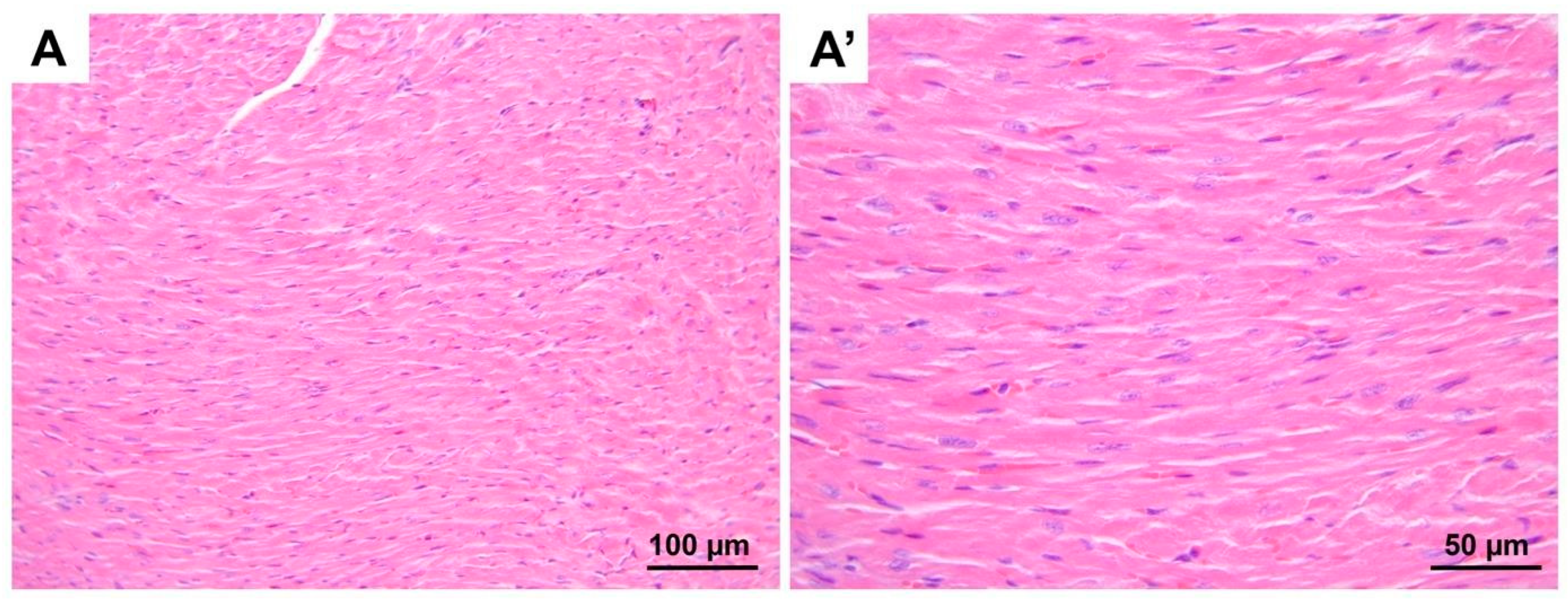
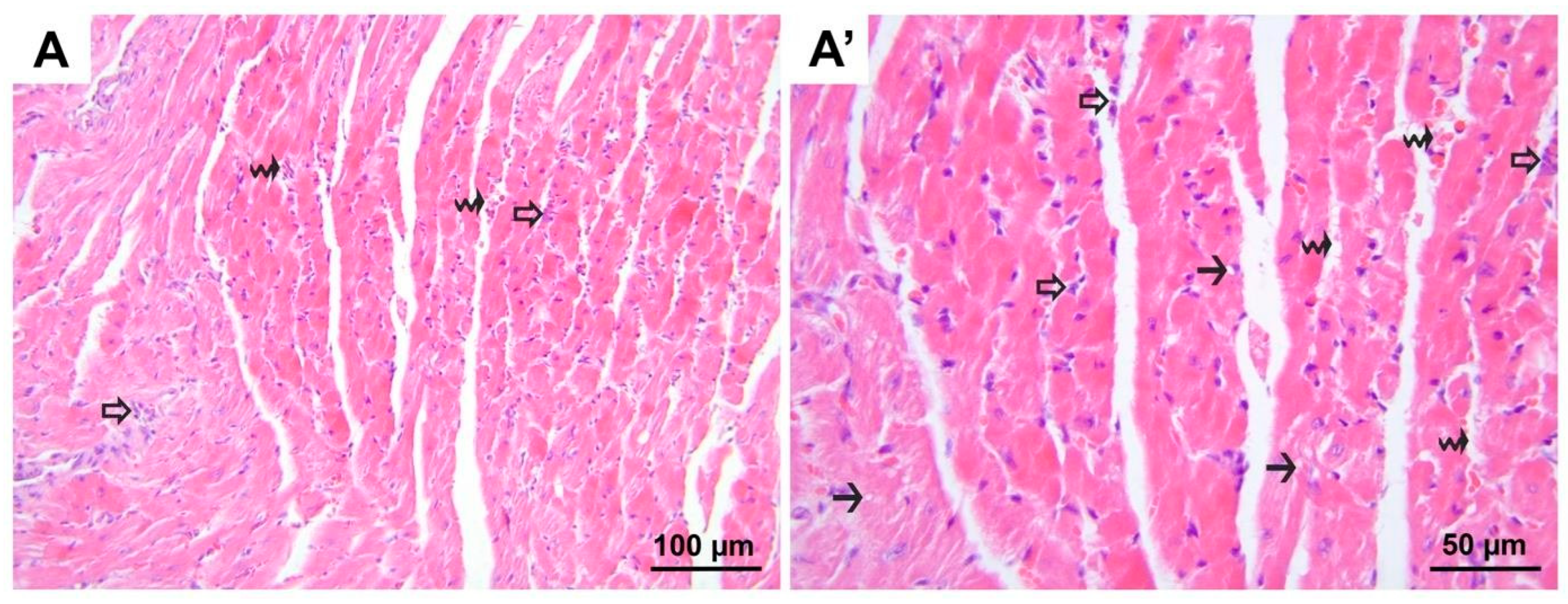
3.1. Results of Histopathological Evaluation of Heart Tissue Samples
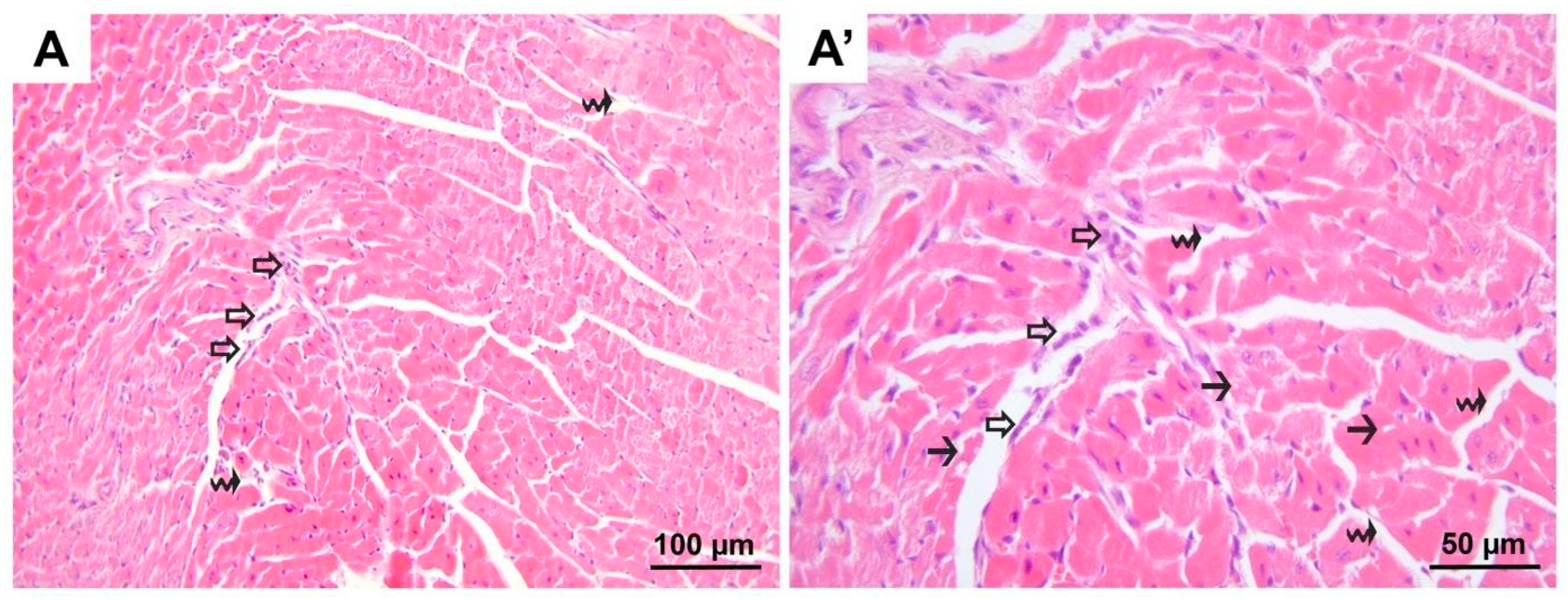
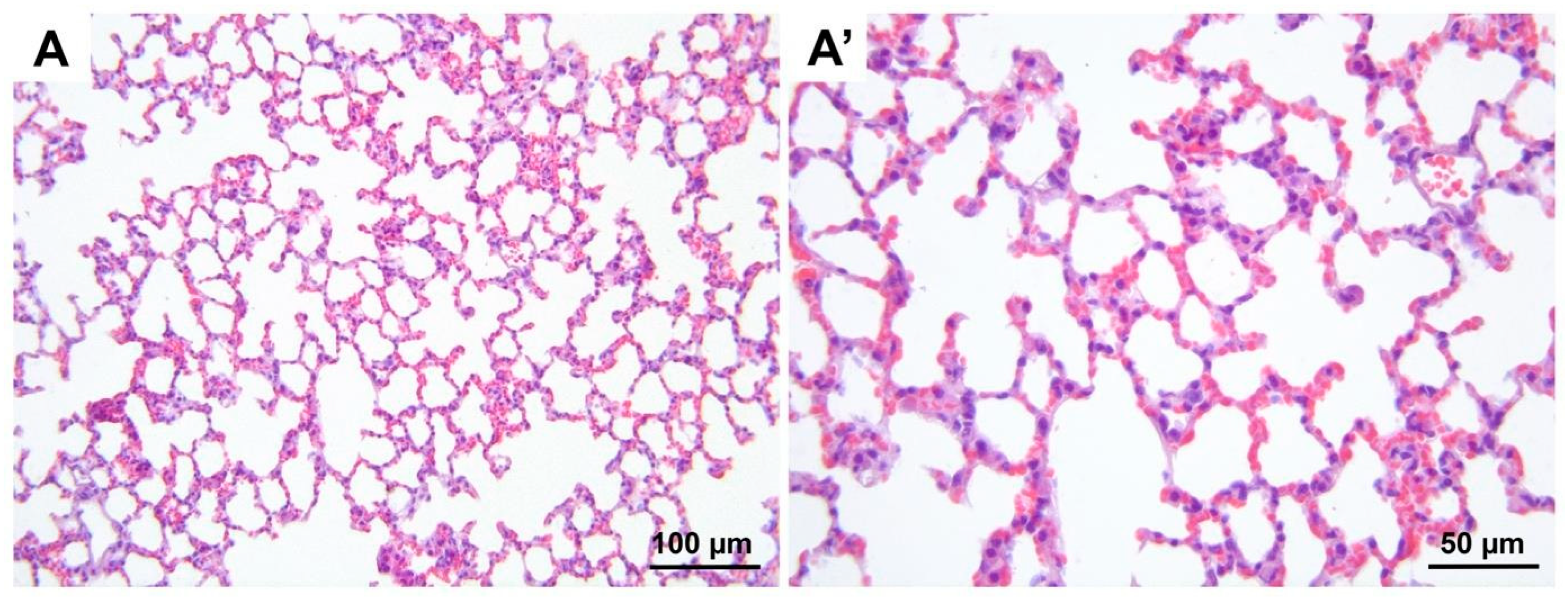
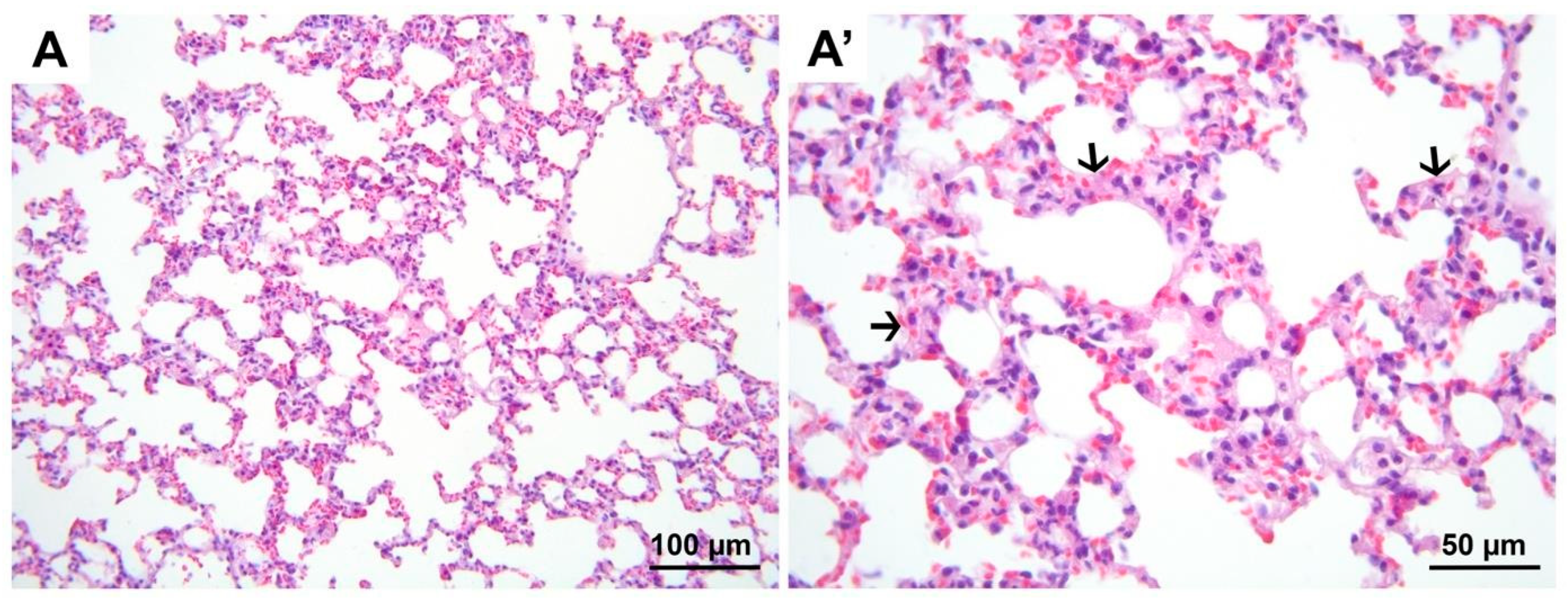
3.2. Results of Histopathological Evaluation of Lung Tissue Samples
3.3. Heart Tissue Biochemistry Results
3.4. Lung Tissue Biochemistry Results
4. Discussion
5. Conclusions
Author Contributions
Funding
Institutional Review Board Statement
Informed Consent Statement
Data Availability Statement
Conflicts of Interest
References
- World Health Organization. Diabetes 2023. Available online: https://www.who.int/news-room/fact-sheets/detail/diabetes (accessed on 1 June 2024).
- Tomic, D.; Shaw, J.E.; Magliano, D.J. The burden and risks of emerging complications of diabetes mellitus. Nat. Rev. Endocrinol. 2022, 18, 525–539. [Google Scholar] [CrossRef] [PubMed]
- Papatheodorou, K.; Banach, M.; Bekiari, E.; Rizzo, M.; Edmonds, M. Complications of Diabetes 2017. J. Diabetes Res. 2018, 2018, 3086167. [Google Scholar] [CrossRef]
- Pasupathy, S.; Homer-Vanniasinkam, S. Ischaemic Preconditioning Protects Against Ischaemia/Reperfusion Injury: Emerging Concepts. Eur. J. Vasc. Endovasc. Surg. 2005, 29, 106–115. [Google Scholar] [CrossRef] [PubMed]
- Virani, S.S.; Alonso, A.; Benjamin, E.J.; Bittencourt, M.S.; Callaway, C.W.; Carson, A.P.; Chamberlain, A.M.; Chang, A.R.; Cheng, S.; Delling, F.N.; et al. Heart Disease and Stroke Statistics—2020 Update: A Report from the American Heart Association. Circulation 2020, 141, e139–e596. [Google Scholar] [CrossRef]
- Kalogeris, T.; Baines, C.P.; Krenz, M.; Korthuis, R.J. Ischemia/reperfusion. Compr. Physiol. 2016, 7, 113. [Google Scholar] [CrossRef] [PubMed]
- Vallet, P.; Charnay, Y.; Steger, K.; Ogier-Denis, E.; Kovari, E.; Herrmann, F.; Michel, J.-P.; Szanto, I. Neuronal expression of the NADPH oxidase NOX4, and its regulation in mouse experimental brain ischemia. Neuroscience 2005, 132, 233–238. [Google Scholar] [CrossRef]
- Wallin, R.F.; Regan, B.M.; Napoli, M.D.; Stern, I.J. Sevoflurane: A new inhalati Onal anebsthetic agent. Obstet. Anesthesia Dig. 1975, 54, 758–766. [Google Scholar] [CrossRef]
- Li, J.; Yuan, T.; Zhao, X.; Lv, G.-Y.; Liu, H.-Q. Protective effects of sevoflurane in hepatic ischemia-reperfusion injury. Int. J. Immunopathol. Pharmacol. 2016, 29, 300–307. [Google Scholar] [CrossRef]
- Yu, P.; Zhang, J.; Yu, S.; Luo, Z.; Hua, F.; Yuan, L.; Zhou, Z.; Liu, Q.; Du, X.; Chen, S.; et al. Protective Effect of Sevoflurane Postconditioning against Cardiac Ischemia/Reperfusion Injury via Ameliorating Mitochondrial Impairment, Oxidative Stress and Rescuing Autophagic Clearance. PLoS ONE 2015, 10, e0134666. [Google Scholar] [CrossRef]
- Herrmann, I.K.; Castellon, M.M.; Schwartz, D.E.; Hasler, M.; Urner, M.; Hu, G.; Minshall, R.D.; Beck-Schimmer, B. Volatile Anesthetics Improve Survival after Cecal Ligation and Puncture. Anesthesiology 2013, 119, 901–906. [Google Scholar] [CrossRef]
- Giacalone, F.; Martín, N. Fullerene Polymers: Synthesis and Properties. Chem. Rev. 2006, 106, 5136–5190. [Google Scholar] [CrossRef]
- Goodarzi, S.; Da Ros, T.; Conde, J.; Sefat, F.; Mozafari, M. Fullerene: Biomedical engineers get to revisit an old friend. Mater. Today 2017, 20, 460–480. [Google Scholar] [CrossRef]
- Bosi, S.; Da Ros, T.; Spalluto, G.; Prato, M. Fullerene derivatives: An attractive tool for biological applications. Eur. J. Med. Chem. 2003, 38, 913–923. [Google Scholar] [CrossRef]
- Chen-Yoshikawa, T.F. Ischemia–Reperfusion Injury in Lung Transplantation. Cells 2021, 10, 1333. [Google Scholar] [CrossRef]
- Kuratani, T.; Matsuda, H.; Sawa, Y.; Kaneko, M.; Nakano, S.; Kawashima, Y. Experimental study in a rabbit model of ischemia-reperfusion lung injury during cardiopulmonary bypass. J. Thorac. Cardiovasc. Surg. 1992, 103, 564–568. [Google Scholar] [CrossRef]
- Nakagawa, H.; Tsunooka, N.; Yamamoto, Y.; Yoshida, M.; Nakata, T.; Kawachi, K. Intestinal ischemia/reperfusion-induced bacterial translocation and lung injury in atherosclerotic rats with hypoadiponectinemia. Surgery 2009, 145, 48–56. [Google Scholar] [CrossRef]
- Haskó, G.; Xu, D.-Z.; Lu, Q.; Németh, Z.H.; Jabush, J.; Berezina, T.L.; Zaets, S.B.; Csóka, B.; Deitch, E.A. Adenosine A2A receptor activation reduces lung injury in trauma/hemorrhagic shock. Crit. Care Med. 2006, 34, 1119–1125. [Google Scholar] [CrossRef]
- Deng, C.; Zhai, Z.; Wu, D.; Lin, Q.; Yang, Y.; Yang, M.; Ding, H.; Cao, X.; Zhang, Q.; Wang, C. Inflammatory response and pneumocyte apoptosis during lung ischemia–reperfusion injury in an experimental pulmonary thromboembolism model. J. Thromb. Thrombolysis 2015, 40, 42–53. [Google Scholar] [CrossRef]
- Weyker, P.D.; Webb, C.A.; Kiamanesh, D.; Flynn, B.C. Lung Ischemia Reperfusion Injury: A Bench-To-Bedside Review. Seminars in Cardiothoracic and Vascular Anesthesia. Semin. Cardiothorac. Vasc. Anesth. 2012, 17, 28–43. [Google Scholar] [CrossRef] [PubMed]
- Tsao, C.W.; Aday, A.W.; Almarzooq, Z.I.; Alonso, A.; Beaton, A.Z.; Bittencourt, M.S.; Boehme, A.K.; Buxton, A.E.; Carson, A.P.; Commodore-Mensah, Y.; et al. Heart Disease and Stroke Statistics—2022 Update: A Report From the American Heart Association. Circulation 2022, 145, E153–E639. [Google Scholar] [CrossRef] [PubMed]
- Buja, L.M. Myocardial ischemia and reperfusion injury. Cardiovasc. Pathol. 2005, 14, 170–175. [Google Scholar] [CrossRef]
- Park, J.L.; Lucchesi, B.R. Mechanisms of myocardial reperfusion injury. Ann. Thorac. Surg. 1999, 68, 1905–1912. [Google Scholar] [CrossRef]
- Lejay, A.; Fang, F.; John, R.; Van, J.A.; Barr, M.; Thaveau, F.; Chakfe, N.; Geny, B.; Scholey, J.W. Ischemia reperfusion injury, ischemic conditioning and diabetes mellitus. J. Mol. Cell. Cardiol. 2015, 91, 11–22. [Google Scholar] [CrossRef]
- Arslan, M.; Poyraz, F.; Kiraz, H.A.; Alkan, M.; Kip, G.; Erdem, Ö.; Özer, A.; Sivgin, V.; Comu, F.M. The effect of dexmedetomidine on myocardial ischemia reperfusion injury in streptozotocin induced diabetic rats. Anaesth. Pain Intensive Care 2019, 19, 444–451. [Google Scholar]
- Ghasemi, A.; Jeddi, S. Streptozotocin as A Tool for Induction of Rat Models of Diabetes: A Practical Guide. EXCLI J. 2023, 22, 274–294. [Google Scholar] [CrossRef]
- Özer, A.; Şengel, N.; Küçük, A.; Yığman, Z.; Özdemir, Ç.; Kılıç, Y.; Dursun, A.D.; Bostancı, H.; Kip, G.; Arslan, M. The Effect of Cerium Oxide (CeO2) on Ischemia-Reperfusion Injury in Skeletal Muscle in Mice with Streptozocin-Induced Diabetes. Medicina 2024, 60, 752. [Google Scholar] [CrossRef]
- Küçük, A.; Polat, Y.; Kılıçarslan, A.; Süngü, N.; Kartal, H.; Dursun, A.D.; Arslan, M. Irisin Protects against Hind Limb Ischemia Reperfusion Injury. Drug Des. Dev. Ther. 2021, ume 15, 361–368. [Google Scholar] [CrossRef]
- Köksal, Z.; Kurtipek, Ö.; Arslan, M.; Dursun, A.D.; Yığman, Z.; Özer, A. Protective effects of hydrogen rich saline solution in rats with experimental myocardial ischemia reperfusion injury. Heliyon 2023, 9, e22973. [Google Scholar] [CrossRef]
- Kao, M.-C.; Jan, W.-C.; Tsai, P.-S.; Wang, T.-Y.; Huang, C.-J. Magnesium Sulfate Mitigates Lung Injury Induced by Bilateral Lower Limb Ischemia-Reperfusion in Rats. J. Surg. Res. 2011, 171, e97–e106. [Google Scholar] [CrossRef] [PubMed]
- Papoutsidakis, N.; Arkadopoulos, N.; Smyrniotis, V.; Tzanatos, H.; Kalimeris, K.; Nastos, K.; Defterevos, G.; Pafiti, A.; Kostopanagiotou, G. Early myocardial injury is an integral component of experimental acute liver failure—A study in two porcine models. Arch. Med. Sci. 2011, 2, 217–223. [Google Scholar] [CrossRef] [PubMed]
- Takhtfooladi, H.A.; Asl, A.H.K.; Shahzamani, M.; Takhtfooladi, M.A.; Allahverdi, A.; Khansari, M. Tramadol Alleviates Myocardial Injury Induced by Acute Hindlimb Ischemia Reperfusion in Rats. Arq. Bras. Cardiol. 2015, 105, 151–159. [Google Scholar] [CrossRef]
- Szablewski, L.; Sulima, A. The structural and functional changes of blood cells and molecular components in diabetes mellitus. Biol. Chem. 2016, 398, 411–423. [Google Scholar] [CrossRef]
- Li, Y.; Liu, Y.; Liu, S.; Gao, M.; Wang, W.; Chen, K.; Huang, L.; Liu, Y. Diabetic vascular diseases: Molecular mechanisms and therapeutic strategies. Signal Transduct. Target. Ther. 2023, 8, 1–29. [Google Scholar] [CrossRef] [PubMed]
- Sarami Foroshani, M.; Mohammadi, M.T. Functionalized fullerene materials (fullerol nanoparticles) reduce brain injuries during cerebral ischemia-reperfusion in rat. J. Pharm. Health Sci. 2016, 4, 15–21. [Google Scholar]
- Foroshani, M.S.; Sobhani, Z.S.; Mohammadi, M.T.; Aryafar, M. Fullerenol Nanoparticles Decrease Blood-Brain Barrier Interruption and Brain Edema during Cerebral Ischemia-Reperfusion Injury Probably by Reduction of Interleukin-6 and Matrix Metalloproteinase-9 Transcription. J. Stroke Cerebrovasc. Dis. 2018, 27, 3053–3065. [Google Scholar] [CrossRef] [PubMed]
- Lai, Y.-L.; Murugan, P.; Hwang, K. Fullerene derivative attenuates ischemia-reperfusion-induced lung injury. Life Sci. 2003, 72, 1271–1278. [Google Scholar] [CrossRef] [PubMed]
- Lai, H.; Chen, W.; Chiang, L. Free Radical Scavenging Activity of Fullerenol on the Ischemia-reperfusion Intestine in Dogs. World J. Surg. 2000, 24, 450–454. [Google Scholar] [CrossRef]
- Lin, A.M.-Y.; Fang, S.-F.; Lin, S.-Z.; Chou, C.-K.; Luh, T.-Y.; Ho, L.-T. Local carboxyfullerene protects cortical infarction in rat brain. Neurosci. Res. 2002, 43, 317–321. [Google Scholar] [CrossRef]
- Kim, Y.-O.; Kim, H.-J.; Kim, S.-K.; Yoon, B.-C. Neuroprotective effects of hydroxyfullerene in rats subjected to global cerebral Ischemia. Mol. Cell. Toxicol. 2008, 4, 218–223. [Google Scholar]
- Darabi, S.; Mohammadi, M.T. Fullerol potentiates the brain antioxidant defense system and decreases γ-glutamyl transpeptidase (GGT) mRNA during cerebral ischemia/reperfusion injury. Eur. J. Nanomed. 2017, 9, 25–32. [Google Scholar] [CrossRef]
- Darabi, S.; Mohammadi, M.T.; Sobhani, Z.; Darabi, S. Fullerenol Nanoparticles Decrease Brain Infarction Through Potentiation of Superoxide Dismutase Activity During Cerebral Ischemia-Reperfusion Injury. Razavi Int. J. Med. 2016, 4, 1736. [Google Scholar] [CrossRef]
- Ding, X.; Gao, X.; Ren, A.; Xu, J.; Jiang, X.; Liang, X.; Xie, K.; Zhou, Y.; Hu, C.; Huang, D. Sevoflurane enhances autophagy via Rac1 to attenuate lung ischaemia–reperfusion injury. Chem. Biol. Interact. 2024, 397, 111078. [Google Scholar] [CrossRef] [PubMed]
- Hu, B.; Tian, T.; Hao, P.-P.; Liu, W.-C.; Chen, Y.-G.; Jiang, T.-Y.; Xue, F.-S. The Protective Effect of Sevoflurane Conditionings Against Myocardial Ischemia/Reperfusion Injury: A Systematic Review and Meta-Analysis of Preclinical Trials in in-vivo Models. Front. Cardiovasc. Med. 2022, 9, 841654. [Google Scholar] [CrossRef] [PubMed]
- Mikrou, A.; Kalimeris, K.A.; Lilis, I.; Papoutsidakis, N.; Nastos, K.; Papadaki, H.; Kostopanagiotou, G.G.; Zarkadis, I.K. Molecular studies of the immunological effects of the sevoflurane preconditioning in the liver and lung in a rat model of liver ischemia/reperfusion injury. Mol. Immunol. 2016, 72, 1–8. [Google Scholar] [CrossRef] [PubMed]
- Fu, D.; Shen, J.; Shi, H. Sevoflurane suppresses oxidation-induced stress and inflammatory responses, via promotion of Nrf2-induced antioxidant signaling. All Life 2020, 13, 131–143. [Google Scholar] [CrossRef]
- Wu, J.; Cai, W.; Du, R.; Li, H.; Wang, B.; Zhou, Y.; Shen, D.; Shen, H.; Lan, Y.; Chen, L.; et al. Sevoflurane Alleviates Myocardial Ischemia Reperfusion Injury by Inhibiting P2X7-NLRP3 Mediated Pyroptosis. Front. Mol. Biosci. 2021, 8, 768594. [Google Scholar] [CrossRef]
- Fan, L.; Chen, D.; Wang, J.; Wu, Y.; Li, D.; Yu, X. Sevoflurane Ameliorates Myocardial Cell Injury by Inducing Autophagy via the Deacetylation of LC3 by SIRT1. Anal. Cell. Pathol. 2017, 2017, 6281285. [Google Scholar] [CrossRef]












| Group C (n = 6) | Group D (n = 7) | Group DIR (n = 7) | Group DIR-S (n = 7) | Group DIR-F (n = 7) | Group DIR-FS (n = 7) | p ** | |
|---|---|---|---|---|---|---|---|
| Necrosis | 0.57 ± 0.30 | 1.43 ± 0.37 | 3.00 ± 0.00 *,& | 1.83 ± 0.48 *,+ | 1.43 ± 0.20 + | 1.71 ± 0.36 *,+ | 0.001 |
| Polymorphonuclear leukocytes | 0.00 ± 0.00 | 0.43 ± 0.20 | 2.33 ± 0.33 *,& | 2.00 ± 0.26 *,& | 1.43 ± 0.27 *,&,+ | 1.72 ± 0.28 *,& | <0.0001 |
| Eosinophils | 0.00 ± 0.00 | 0.00 ± 0.00 | 0.33 ± 0.21 *,& | 0.00 ± 0.00 + | 0.00 ± 0.00 + | 0.00 ± 0.00 + | 0.028 |
| Loss of striation | 0.00 ± 0.00 | 0.00 ± 0.00 | 0.00 ± 0.00 | 0.00 ± 0.00 | 0.00 ± 0.00 | 0.00 ± 0.00 | - |
| Edema | 0.14 ± 0.14 | 1.00 ± 0.22 * | 2.33 ± 0.21 *,& | 2.00 ± 0.26 *,& | 1.43 ± 0.20 *,+ | 1.57 ± 0.20 *,+ | <0.0001 |
| Microscopic hemorrhage | 0.14 ± 0.14 | 0.43 ± 0.20 | 0.83 ± 0.31 | 0.50 ± 0.22 | 0.71 ± 0.18 | 0.57 ± 0.20 | 0.285 |
| Total injury score | 0.86 ± 0.34 | 3.86 ± 0.63 * | 8.83 ± 0.70 *,& | 6.33 ± 0.56 *,&,+ | 5.00 ± 0.58 *,+ | 5.71 ± 0.52 *,&,+ | <0.0001 |
| Group C (n = 6) | Group D (n = 7) | Group DIR (n = 7) | Group DIR-S (n = 7) | Group DIR-F (n = 7) | Group DIR-FS (n = 7) | p ** | |
|---|---|---|---|---|---|---|---|
| Alveolar wall edema | 0.67 ± 0.23 | 1.63 ± 0.24 * | 2.82 ± 0.22 *,& | 2.33 ± 0.20 *,& | 1.66 ± 0.27 *,+ | 1.87 ± 0.13 *,+ | <0.0001 |
| Hemorrhage | 0.26 ± 0.10 | 0.42 ± 0.18 | 1.48 ± 0.30 *,& | 0.70 ± 0.20 *,+ | 0.47 ± 0.14 + | 0.61 ± 0.16 + | 0.001 |
| Vascular congestion | 0.77 ± 0.12 | 1.04 ± 0.17 | 2.20 ± 0.11 *,& | 1.58 ± 0.17 *,&,+ | 1.22 ± 0.16 + | 1.30 ± 0.21 *,+ | <0.0001 |
| Polymorphonuclear leukocyte infiltration | 1.02 ± 0.13 | 1.93 ± 0.20 * | 3.55 ± 0.41 *,& | 2.55 ± 0.24 *,+ | 2.20 ± 0.17 *,+ | 2.51 ± 0.19 *,+ | <0.0001 |
| Total injury score | 2.73 ± 0.28 | 5.02 ± 0.50 * | 10.05 ± 0.44 *,& | 7.17 ± 0.40 *,&,+ | 5.56 ± 0.36 *,+ | 6.30 ± 0.32 *,&,+ | <0.0001 |
| Group C (n = 6) | Group D (n = 7) | Group DIR (n = 7) | Group DIR-S (n = 7) | Group DIR-F (n = 7) | Group DIR-F-S (n = 7) | p ** | |
|---|---|---|---|---|---|---|---|
| TOS (μmol H2O2Equiv./L) | 1.25 ± 0.37 | 2.62 ± 0.36 | 10.06 ± 2.99 *,& | 5.40 ± 2.50 | 2.63 ± 0.59 + | 2.83 ± 1.05 + | 0.011 |
| TAS (mmol Trolox Equiv./L) | 0.51 ± 0.10 | 0.49 ± 0.11 | 0.23 ± 0.04 *,& | 0.29 ± 0.04 * | 0.40 ± 0.04 | 0.35 ± 0.02 | 0.045 |
| OSI | 2.26 ± 0.37 | 6.40 ± 1.47 | 51.19 ± 15.37 *,& | 20.48 ± 8.87+ | 7.26 ± 1.53 + | 6.44 ± 1.93 + | <0.0001 |
| PON-1 (U/L) | 12.70 ± 0.89 | 13.77 ± 1.10 | 28.91 ± 2.85 *,& | 24.05 ± 0.75 *,&,+ | 17.63 ± 1.95 *,+ | 22.46 ± 0.78 *,&,+ | <0.0001 |
| Group C (n = 6) | Group D (n = 7) | Group DIR (n = 7) | Group DIR-S (n = 7) | Group DIR-F (n = 7) | Group DIR-F-S (n = 7) | p ** | |
|---|---|---|---|---|---|---|---|
| TOS (μmol H2O2Equiv./L) | 23.97 ± 4.01 | 27.93 ± 6.19 | 60.94 ± 6.75 *,& | 39.12 ± 3.97 *,+ | 30.90 ± 2.35 + | 37.22 ± 2.45 + | <0.0001 |
| TAS (mmol Trolox Equiv./L) | 1.59 ± 0.04 | 1.51 ± 0.03 | 1.24 ± 0.08 *,& | 1.35 ± 0.04 *,& | 1.45 ± 0.02 + | 1.39 ± 0.03 *,+ | <0.0001 |
| OSI | 15.02 ± 2.43 | 18.55 ± 4.12 | 55.09 ± 7.40 *,& | 28.73 ± 2.14 *,+ | 21.29 ± 1.51 + | 26.78 ± 1.82 *,+ | <0.0001 |
| PON-1 (U/L) | 34.80 ± 2.11 | 34.07 ± 1.07 | 16.80 ± 3.60 *,& | 27.28 ± 2.14 | 35.21 ± 3.51 + | 32.08 ± 2.46 + | <0.0001 |
Disclaimer/Publisher’s Note: The statements, opinions and data contained in all publications are solely those of the individual author(s) and contributor(s) and not of MDPI and/or the editor(s). MDPI and/or the editor(s) disclaim responsibility for any injury to people or property resulting from any ideas, methods, instructions or products referred to in the content. |
© 2024 by the authors. Licensee MDPI, Basel, Switzerland. This article is an open access article distributed under the terms and conditions of the Creative Commons Attribution (CC BY) license (https://creativecommons.org/licenses/by/4.0/).
Share and Cite
Örnek, E.; Alkan, M.; Erel, S.; Yığman, Z.; Dursun, A.D.; Dağlı, A.; Sarıkaya, B.; Kip, G.; Polat, Y.; Arslan, M. Effects of Sevoflurane and Fullerenol C60 on the Heart and Lung in Lower-Extremity Ischemia–Reperfusion Injury in Streptozotocin-Induced Diabetes Mice. Medicina 2024, 60, 1232. https://doi.org/10.3390/medicina60081232
Örnek E, Alkan M, Erel S, Yığman Z, Dursun AD, Dağlı A, Sarıkaya B, Kip G, Polat Y, Arslan M. Effects of Sevoflurane and Fullerenol C60 on the Heart and Lung in Lower-Extremity Ischemia–Reperfusion Injury in Streptozotocin-Induced Diabetes Mice. Medicina. 2024; 60(8):1232. https://doi.org/10.3390/medicina60081232
Chicago/Turabian StyleÖrnek, Ender, Metin Alkan, Selin Erel, Zeynep Yığman, Ali Doğan Dursun, Aslı Dağlı, Badegül Sarıkaya, Gülay Kip, Yücel Polat, and Mustafa Arslan. 2024. "Effects of Sevoflurane and Fullerenol C60 on the Heart and Lung in Lower-Extremity Ischemia–Reperfusion Injury in Streptozotocin-Induced Diabetes Mice" Medicina 60, no. 8: 1232. https://doi.org/10.3390/medicina60081232
APA StyleÖrnek, E., Alkan, M., Erel, S., Yığman, Z., Dursun, A. D., Dağlı, A., Sarıkaya, B., Kip, G., Polat, Y., & Arslan, M. (2024). Effects of Sevoflurane and Fullerenol C60 on the Heart and Lung in Lower-Extremity Ischemia–Reperfusion Injury in Streptozotocin-Induced Diabetes Mice. Medicina, 60(8), 1232. https://doi.org/10.3390/medicina60081232

