Herlyn–Werner–Wunderlich Syndrome Complicated with Vesicovaginal Fistula: A Rare Case Report
Abstract
1. Introduction
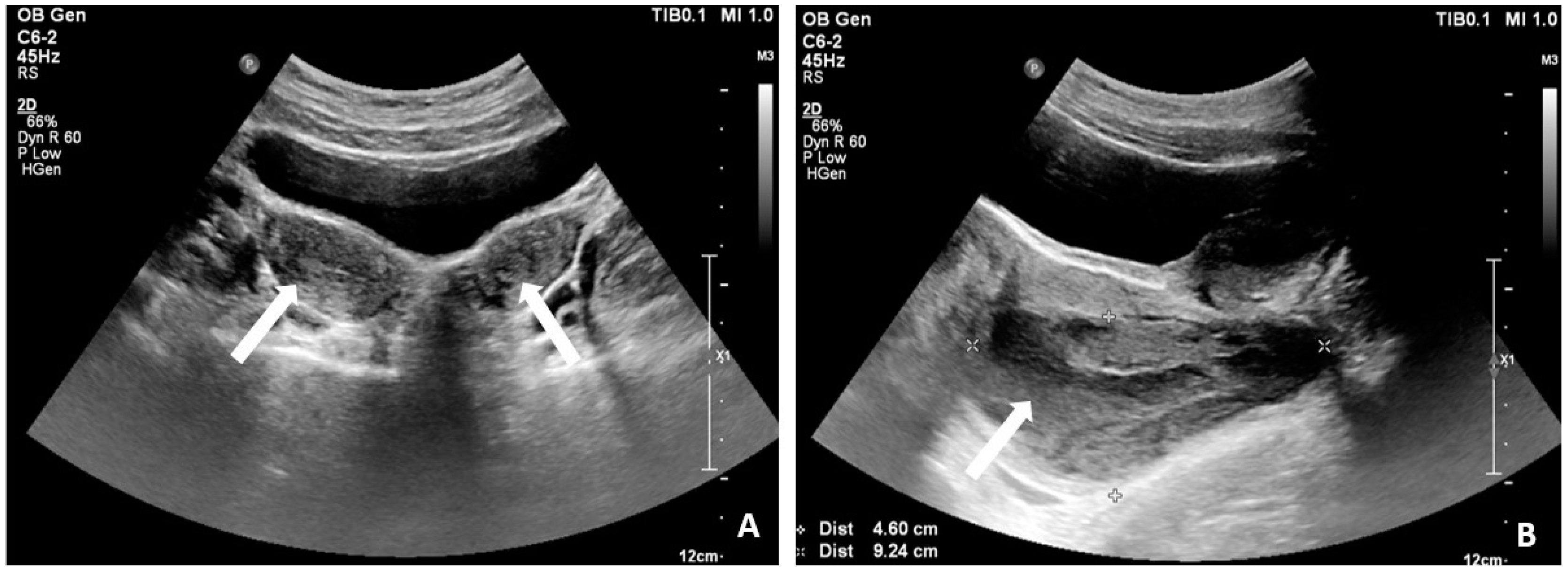
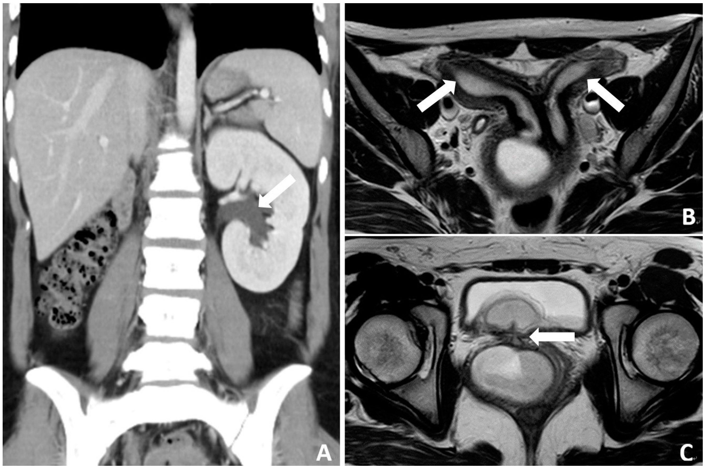
2. Case Presentation
3. Discussion
4. Conclusions
Author Contributions
Funding
Institutional Review Board Statement
Informed Consent Statement
Data Availability Statement
Conflicts of Interest
References
- Herlyn, U.; Werner, H. Simultaneous occurrence of an open Gartner-duct cyst, a homolateral aplasia of the kidney and a double uterus as a typical syndrome of abnormalities. Geburtshilfe Frauenheilkd. 1971, 31, 340–347. [Google Scholar] [PubMed]
- Panaitescu, A.M.; Peltecu, G.; Gică, N. Herlyn-Werner-Wunderlich Syndrome: Case Report and Review of the Literature. Diagnostics 2022, 12, 2466. [Google Scholar] [CrossRef] [PubMed]
- Hayat, A.M.; Yousaf, K.R.; Chaudhary, S.; Amjad, S. The Herlyn-Werner-Wunderlich (HWW) syndrome—A case report with radiological review. Radiol. Case Rep. 2022, 17, 1435–1439. [Google Scholar] [CrossRef] [PubMed]
- Roziana, R.; Nora, H.; Maharani, C.R.; Yeni, C.M.; Dewi, T.P.; Rusnaidi, R.; Indirayani, I.; Aditya, R.; Al-Shather, Z.; Haryani, S.D. Herlyn-Werner-Wunderlich syndrome: Challenges in diagnosis and management. Narra J. 2023, 3, e223. [Google Scholar] [CrossRef] [PubMed]
- Mittal, R. Herlyn-Werner-Wunderlich Syndrome. J. Obstet. Gynaecol. India 2016, 66, 128–130. [Google Scholar] [CrossRef] [PubMed][Green Version]
- Jomaa, S.; Tawashi, K.; All Rass, F.A.; Abdallah, E.; Tawashi, N. A challenging diagnosis and management of Herlyn-Werner-Wunderlich Syndrome in low-resource Settings: A case report complicated with hydronephrosis. Ann. Med. Surg. 2021, 70, 102843. [Google Scholar] [CrossRef] [PubMed]
- Zhang, H.; Zheng, Y.; Ning, G.; Fu, C.; Bao, L. Preoperative MRI presentations of Herlyn-Werner-Wunderlich syndrome. Congenit. Anom. 2022, 62, 228–235. [Google Scholar] [CrossRef] [PubMed]
- Adi, K.; Noegroho, B.S.; Septrina, R.; Sasotya, R.S.; Drajat, K.D.; Saputra, D. Herlyn-Werner-Wunderlich syndrome with urethrovaginal fistula: A rare case report. Urol. Case Rep. 2021, 40, 101911. [Google Scholar] [CrossRef] [PubMed]
- Saisawat, P.; Tasic, V.; Vega-Warner, V.; Kehinde, E.O.; Günther, B.; Airik, R.; Innis, J.W.; Hoskins, B.E.; Hoefele, J.; Otto, E.A.; et al. Identification of two novel CAKUT-causing genes by massively parallel exon resequencing of candidate genes in patients with unilateral renal agenesis. Kidney Int. 2012, 81, 196–200. [Google Scholar] [CrossRef] [PubMed]
- Westland, R.; Schreuder, M.F.; Ket, J.C.; van Wijk, J.A. Unilateral renal agenesis: A systematic review on associated anomalies and renal injury. Nephrol. Dial. Transplant. 2013, 28, 1844–1855. [Google Scholar] [CrossRef] [PubMed]
- Walawender, L.; Becknell, B.; Matsell, D.G. Congenital anomalies of the kidney and urinary tract: Defining risk factors of disease progression and determinants of outcomes. Pediatr. Nephrol. 2023, 38, 3963–3973. [Google Scholar] [CrossRef] [PubMed]



Disclaimer/Publisher’s Note: The statements, opinions and data contained in all publications are solely those of the individual author(s) and contributor(s) and not of MDPI and/or the editor(s). MDPI and/or the editor(s) disclaim responsibility for any injury to people or property resulting from any ideas, methods, instructions or products referred to in the content. |
© 2024 by the authors. Licensee MDPI, Basel, Switzerland. This article is an open access article distributed under the terms and conditions of the Creative Commons Attribution (CC BY) license (https://creativecommons.org/licenses/by/4.0/).
Share and Cite
Wang, R.-L.; Wang, Y.-K.; Lin, C.-H.; Chan, J.-S.; Liu, H.-S.; Hsiao, P.-J. Herlyn–Werner–Wunderlich Syndrome Complicated with Vesicovaginal Fistula: A Rare Case Report. Medicina 2024, 60, 1081. https://doi.org/10.3390/medicina60071081
Wang R-L, Wang Y-K, Lin C-H, Chan J-S, Liu H-S, Hsiao P-J. Herlyn–Werner–Wunderlich Syndrome Complicated with Vesicovaginal Fistula: A Rare Case Report. Medicina. 2024; 60(7):1081. https://doi.org/10.3390/medicina60071081
Chicago/Turabian StyleWang, Ruei-Lin, Yu-Kuen Wang, Chen-Hsien Lin, Jenq-Shyong Chan, Hang-Seng Liu, and Po-Jen Hsiao. 2024. "Herlyn–Werner–Wunderlich Syndrome Complicated with Vesicovaginal Fistula: A Rare Case Report" Medicina 60, no. 7: 1081. https://doi.org/10.3390/medicina60071081
APA StyleWang, R.-L., Wang, Y.-K., Lin, C.-H., Chan, J.-S., Liu, H.-S., & Hsiao, P.-J. (2024). Herlyn–Werner–Wunderlich Syndrome Complicated with Vesicovaginal Fistula: A Rare Case Report. Medicina, 60(7), 1081. https://doi.org/10.3390/medicina60071081
