Assessment of Plaque Characteristics by Contrast-Enhanced Ultrasound and Stent Restenosis following Carotid Artery Stenting: A Retrospective Study
Abstract
1. Introduction
2. Materials and Methods
2.1. Patients
- Transient ischemic attacks and ACI stenosis of ≥50%
- Stroke and carotid stenosis ≥ 50%
- Signed informed consent
- Any known allergy to ultrasound contrast agent (SonoVue)
- Right-to-left shunts
- Severe pulmonary hypertension (pulmonary artery pressure > 90 mmHg)
- Uncontrolled systemic hypertension
- Adult respiratory distress syndrome
- Severe calcification of atherosclerotic lesion (based on CT)
- Tortuosity of carotid vessel
- Near occlusion cases (with 99% stenosis)
- Very calcified carotid lesions
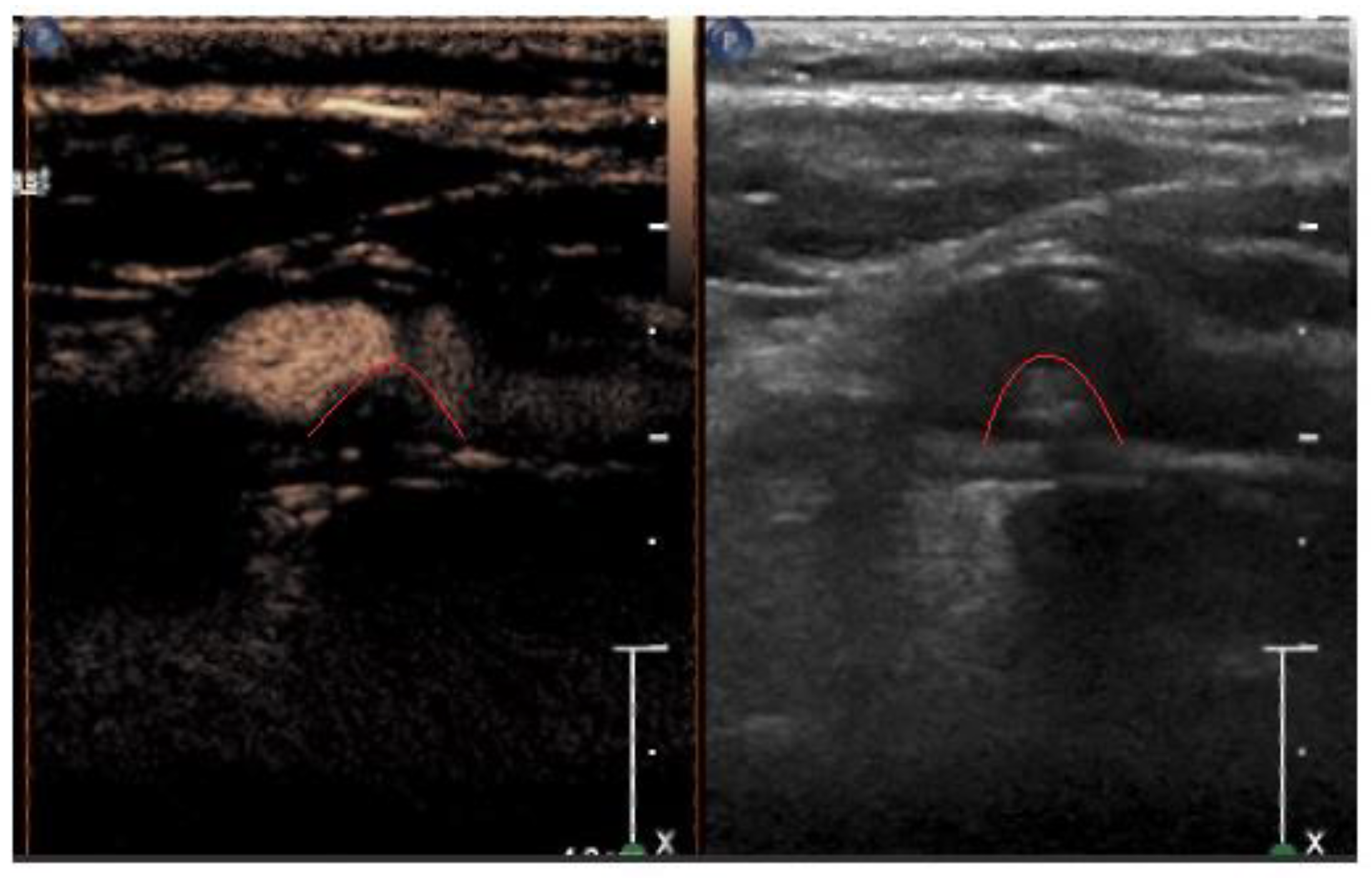
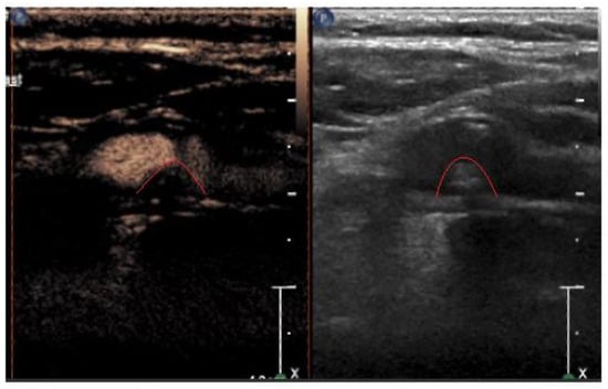
2.2. Ultrasound Characteristics
2.3. Ultrasound Contrast Agent
2.4. Principles of Contrast Ultrasound Based on Contrast Agent Pharmacokinetics
2.5. Criteria for Carotid Stenting
2.6. Carotid Artery Stenting (CAS)
2.7. Stent Restenosis
- Type I (focal end-stent group): lesions are 10 mm long and are positioned at the proximal or distal margin (but not both) of the stent. Lesions 10 mm long at both ends of the stent are defined as type I—multifocal end-stents.
- Type II (focal intra-stent group): lesions are 10 mm long and are confined within the stent(s) without extending outside the margins. Two or more discrete lesions 10 mm in length located within the stent are defined as type II—multifocal intra-stent.
- Type III (diffuse intra-stent group): lesions are 10 mm long and are confined within the stent(s) without extending outside the margins.
- Type IV (diffuse proliferative group): lesions are 10 mm long and extend beyond the margin(s) of the stent(s).
- Type V (occlusion group): lesions have no prograde flow and no lumen has been identified [22].
2.8. Diagnosis of Stent Restenosis
2.9. Treatment Strategy
2.10. Ethical Approval
2.11. Statistical Analysis
3. Results
3.1. Characteristics of the Study Population
3.2. Patients’ Distribution by Plaque Grade
3.3. Distribution of Smoking and Diabetes in the Patient Groups
3.4. Comparison of Plaque Grades and Smoking/Diabetes
3.5. Diagnosis of Restenosis: US, Angiography
3.6. Treatment of Restenosis
3.7. Relationship between Restenosis Type and Plaque Morphology
4. Discussion
5. Conclusions
6. Limitations
Author Contributions
Funding
Institutional Review Board Statement
Informed Consent Statement
Data Availability Statement
Acknowledgments
Conflicts of Interest
References
- European Cardiovascular Disease Statistics 2017—European Heart Network. Available online: https://ehnheart.org/library/cvd-statistics/european-cardiovascular-disease-statistics-2017 (accessed on 14 February 2024).
- Bennett, D.A.; Krishnamurthi, R.V.; Barker-Collo, S.; Forouzanfar, M.H.; Naghavi, M.; Connor, M.; Lawes, C.M.; Moran, A.E.; Anderson, L.M.; Roth, G.A.; et al. The Global Burden of Ischemic Stroke: Findings of the GBD 2010 Study. Glob. Heart 2014, 9, 107–112. [Google Scholar] [CrossRef] [PubMed]
- Grau, A.J.; Weimar, C.; Buggle, F.; Heinrich, A.; Goertler, M.; Neumaier, S.; Glahn, J.; Brandt, T.; Hacke, W.; Diener, H.C. Risk Factors, Outcome, and Treatment in Subtypes of Ischemic Stroke The German Stroke Data Bank. Stroke 2001, 32, 2559–2566. [Google Scholar] [CrossRef] [PubMed]
- Krogias, C.; Kerasnoudis, A. Detection of Microembolic Signals and Ultrasonic Brain Perfusion Imaging in Symptomatic Carotid Artery Disease. Nevrologia-gr 2012, 21, 36–46. [Google Scholar]
- Kernan, W.N.; Ovbiagele, B.; Black, H.R.; Bravata, D.M.; Chimowitz, M.I.; Ezekowitz, M.D.; Fang, M.C.; Fisher, M.; Furie, K.L.; Heck, D.V.; et al. Guidelines for the Prevention of Stroke in Patients with Stroke and Transient Ischemic Attack: A Guideline for Healthcare Professionals from the American Heart Association/American Stroke Association. Stroke 2014, 45, 2160–2236. [Google Scholar] [CrossRef]
- Pedro-Botet, J.; Climent, E.; Benaiges, D. Atherosclerosis and Inflammation. New Therapeutic Approaches. Med. Clin. 2020, 155, 256–262. [Google Scholar] [CrossRef] [PubMed]
- Bonati, L.H.; Gregson, J.; Dobson, J.; McCabe, D.J.H.; Nederkoorn, P.J.; van der Worp, H.B.; de Borst, G.J.; Richards, T.; Cleveland, T.; Mueller, M.D.; et al. Restenosis and Risk of Stroke after Stenting or Endarterectomy for Symptomatic Carotid Stenosis in the International Carotid Stenting Study (ICSS): Secondary Analysis of a Randomised Trial. Lancet Neurol. 2018, 17, 587–596. [Google Scholar] [CrossRef] [PubMed]
- Brott, T.G.; Howard, G.; Roubin, G.S.; Meschia, J.F.; Mackey, A.; Brooks, W.; Moore, W.S.; Hill, M.D.; Mantese, V.A.; Clark, W.M.; et al. Long-Term Results of Stenting versus Endarterectomy for Carotid-Artery Stenosis. N. Engl. J. Med. 2016, 374, 1021–1031. [Google Scholar] [CrossRef] [PubMed]
- Lal, B.K.; Beach, K.W.; Roubin, G.S.; Lutsep, H.L.; Moore, W.S.; Malas, M.B.; Chiu, D.; Gonzales, N.R.; Burke, J.L.; Rinaldi, M.; et al. Restenosis after Carotid Artery Stenting and Endarterectomy: A Secondary Analysis of CREST, a Randomised Controlled Trial. Lancet Neurol. 2012, 11, 755–763. [Google Scholar] [CrossRef]
- Kumar, R.; Batchelder, A.; Saratzis, A.; AbuRahma, A.; Ringleb, P.; Lal, B.; Mas, J.; Steinbauer, M.; Naylor, A. Restenosis after Carotid Interventions and Its Relationship with Recurrent Ipsilateral Stroke: A Systematic Review and Meta-Analysis. Eur. J. Vasc. Endovasc. Surg. 2017, 53, 766–775. [Google Scholar] [CrossRef]
- Takao, N.; Hagiwara, Y.; Shimizu, T.; Soga, K.; Tsuchihashi, Y.; Otsubo, H.; Tatsuno, K.; Takaishi, S.; Usuki, N.; Yoshie, T.; et al. Preprocedural Carotid Plaque Echolucency as a Predictor of In-Stent Intimal Restenosis after Carotid Artery Stenting. J. Stroke Cerebrovasc. Dis. Off. J. Natl. Stroke Assoc. 2020, 29, 105339. [Google Scholar] [CrossRef]
- Bonati, L.H.; Dobson, J.; Featherstone, R.L.; Ederle, J.; van der Worp, H.B.; de Borst, G.J.; Mali, W.P.T.M.; Beard, J.D.; Cleveland, T.; Engelter, S.T.; et al. Long-Term Outcomes after Stenting versus Endarterectomy for Treatment of Symptomatic Carotid Stenosis: The International Carotid Stenting Study (ICSS) Randomised Trial. Lancet 2015, 385, 529–538. [Google Scholar] [CrossRef] [PubMed]
- Kang, K.; Gao, F.; Mo, D.; Yang, M.; Liu, Y.; Yang, B.; Chen, X.; Gu, W.; Ma, G.; Zhao, X.; et al. Outcome of Endovascular Recanalization for Intracranial In-Stent Restenosis. J. Neurointerventional Surg. 2020, 12, 1094–1098. [Google Scholar] [CrossRef] [PubMed]
- Megaly, M.; Alani, F.; Cheng, C.; Ragina, N. Factors for the Development of Carotid Artery In-Stent Restenosis: Multivariable Analysis. Cardiovasc. Revascularization Med. Incl. Mol. Interv. 2021, 24, 65–69. [Google Scholar] [CrossRef] [PubMed]
- Douglas, G.; Channon, M.K. The pathogenesis of atherosclerosis. Medicine 2014, 42, 480–484. [Google Scholar] [CrossRef]
- Gao, P.; Chen, Z.-Q.; Bao, Y.-H.; Jiao, L.-Q.; Ling, F. Correlation between carotid intraplaque hemorrhage and clinical symptoms: Systematic review of observational studies. Stroke 2007, 38, 2382–2390. [Google Scholar] [CrossRef] [PubMed]
- Isabel, C.; Lecler, A.; Turc, G.; Naggara, O.; Schmitt, E.; Belkacem, S.; Oppenheim, C.; Touzé, E. Relationship between Watershed Infarcts and Recent Intra Plaque Haemorrhage in Carotid Atherosclerotic Plaque. PLoS ONE 2014, 9, e108712. [Google Scholar] [CrossRef]
- Park, J.S.; Kwak, H.S.; Lee, J.M.; Koh, E.J.; Chung, G.H.; Hwang, S.B. Association of carotid intraplaque hemorrhage and territorial acute infarction in patients with acute neurological symptoms using carotid magnetization-prepared rapid acquisition with gradient-echo. J. Korean Neurosurg. Soc. 2015, 57, 94–99. [Google Scholar] [CrossRef] [PubMed]
- Singh, N.; Moody, A.R.; Gladstone, D.J.; Leung, G.; Ravikumar, R.; Zhan, J.; Maggisano, R. Moderate carotid artery stenosis: MR imaging-depicted intraplaque hemorrhage predicts risk of cerebrovascular ischemic events in asymptomatic men. Radiology 2009, 252, 502–508. [Google Scholar] [CrossRef] [PubMed]
- Deyama, J.; Nakamura, T.; Takishima, I.; Fujioka, D.; Kawabata, K.-I.; Obata, J.-E.; Watanabe, K.; Watanabe, Y.; Saito, Y.; Mishina, H.; et al. Contrast-Enhanced Ultrasound Imaging of Carotid Plaque Neovascularization Is Useful for Identifying High-Risk Patients with Coronary Artery Disease. Circ. J. Off. J. Jpn. Circ. Soc. 2013, 77, 1499–1507. [Google Scholar] [CrossRef]
- Overview of Carotid Artery Stenting—UpToDate. Available online: https://www.uptodate.com/contents/overview-of-carotid-artery-stenting (accessed on 14 March 2024).
- Lal, B.K. Recurrent Carotid Stenosis after CEA and CAS: Diagnosis and Management. Semin. Vasc. Surg. 2007, 20, 259–266. [Google Scholar] [CrossRef]
- Kumar, V.; Abbas, A.K.; Fausto, N.; Aster, J.C. BOOK REVIEW Robbins and Cotran: Pathologic Basis of Disease, 8th ed.; Elsevier: Amsterdam, The Netherlands, 2014. [Google Scholar]
- McCarthy, M.J.; Loftus, I.M.; Thompson, M.M.; Jones, L.; London, N.J.; Bell, P.R.; Naylor, A.; Brindle, N.P. Angiogenesis and the Atherosclerotic Carotid Plaque: An Association between Symptomatology and Plaque Morphology. J. Vasc. Surg. 1999, 30, 261–268. [Google Scholar] [CrossRef] [PubMed]
- Fresilli, D.; Di Leo, N.; Martinelli, O.; Di Marzo, L.; Pacini, P.; Dolcetti, V.; Del Gaudio, G.; Canni, F.; Ricci, L.I.; De Vito, C.; et al. 3D-Arterial Analysis Software and CEUS in the Assessment of Severity and Vulnerability of Carotid Atherosclerotic Plaque: A Comparison with CTA and Histopathology. La Radiol. Medica 2022, 127, 1254. [Google Scholar] [CrossRef] [PubMed]
- Hrbáč, T.; Fiedler, J.; Procházka, V.; Jonszta, T.; Roubec, M.; Pakizer, D.; Václavík, D.; Netuka, D.; Heryán, T.; Školoudík, D. Comparison of Carotid Endarterectomy and Repeated Carotid Angioplasty and Stenting for In-Stent Restenosis (CERCAS Trial): A Randomised Study. Stroke Vasc. Neurol. 2023, 8, 399–404. [Google Scholar] [CrossRef]
- Hagiwara, Y.; Takao, N.; Usuki, N.; Yoshie, T.; Takaishi, S.; Shimizu, T.; Ueda, T.; Hasegawa, Y.; Yamano, Y. Carotid Ultrasound Using Superb Microvascular Imaging to Identify Patients Developing In-Stent Restenosis After CAS. J. Stroke Cerebrovasc. Dis. 2022, 31, 106627. [Google Scholar] [CrossRef] [PubMed]
- Jia, L.; Hua, Y.; Jiao, L.; Ma, Y.; Xing, Y.; Wang, L.; Hui, P.; Pan, X.; Fang, Y.; Peng, T.; et al. Effects of Plaque Characteristics and Artery Hemodynamics on the Residual Stenosis after Carotid Artery Stenting. J. Vasc. Surg. 2023, 78, 430–437.e4. [Google Scholar] [CrossRef]
- Wafa, H.A.; Wolfe, C.D.A.; Emmett, E.; Roth, G.A.; Johnson, C.O.; Wang, Y. Burden of Stroke in Europe. Stroke 2020, 51, 2418–2427. [Google Scholar] [CrossRef] [PubMed]
- SCORE2 Working Group; ESC Cardiovascular Risk Collaboration. SCORE2 Risk Prediction Algorithms: New Models to Estimate 10-Year Risk of Cardiovascular Disease in Europe. Eur. Heart J. 2021, 42, 2439–2454. [Google Scholar] [CrossRef] [PubMed]
- Endarterectomy for Asymptomatic Carotid Artery Stenosis. Executive Committee for the Asymptomatic Carotid Atherosclerosis Study—PubMed. Available online: https://pubmed.ncbi.nlm.nih.gov/7723155/ (accessed on 14 February 2024).
- de Borst, G.J.; Meijer, R.; Lo, R.H.; Vosmeer, H.W.G.; Ackerstaff, R.G.A.; Moll, F.L. Effect of Carotid Angioplasty and Stenting on Duplex Velocity Measurements in a Porcine Model. J. Endovasc. Ther. Off. J. Int. Soc. Endovasc. Spec. 2008, 15, 672–679. [Google Scholar] [CrossRef] [PubMed]
- Lal, B.K.; Hobson, R.W.; Tofighi, B.; Kapadia, I.; Cuadra, S.; Jamil, Z. Duplex Ultrasound Velocity Criteria for the Stented Carotid Artery. J. Vasc. Surg. 2008, 47, 63–73. [Google Scholar] [CrossRef]
- Optimal Cut-off Criteria for Duplex Ultrasound Compared with Computed Tomography Angiography for the Diagnosis of Restenosis in Stented Carotid Arteries in the International Carotid Stenting Study—PubMed. Available online: https://pubmed.ncbi.nlm.nih.gov/31008301/ (accessed on 14 February 2024).
- Rothwell, P.M.; Eliasziw, M.; Gutnikov, S.A.; Fox, A.J.; Taylor, D.W.; Mayberg, M.R.; Warlow, C.P.; Barnett, H.J.M. Analysis of Pooled Data from the Randomised Controlled Trials of Endarterectomy for Symptomatic Carotid Stenosis. Lancet 2003, 361, 107–116. [Google Scholar] [CrossRef]




| Characteristic | Value |
|---|---|
| Age, years, mean | 71.7 |
| Degree of stenosis, %, mean | 83.7 |
| Arterial hypertension, % | 42.9 |
| Dyslipidemia, % | 17.2 |
| Ischemic heart disease, % | 17.4 |
| Smoking history, % | 8.1 |
| Diabetes, % | 20.8 |
| Gender | Stented without Restenosis, % (n) | Stented with Restenosis, % (n) |
|---|---|---|
| Male | 92.8 (141) | 7.2 (11) |
| Female | 89.9 (62) | 10.1 (7) |
| Total | 91.9 (203) | 8.1 (18) |
| Grade of Intraplaque Neovascularization | Total, % (n) | Stented without Restenosis, % (n) | Stented with Restenosis, % (n) | p Value |
|---|---|---|---|---|
| 0 | 51.6 (114) | 55.2 (112) | 11.1 (2) | <0.001 |
| 1 | 30.8 (68) | 31.5 (64) | 22.2 (4) | >0.05 |
| 2 | 17.6 (39) | 13.3 (27) | 66.7 (12) | <0.001 |
| Smoking Status | Grade of Intraplaque Neovascularization on CEUS, % (n) | Total, % (n) | ||
|---|---|---|---|---|
| 0 | 1 | 2 | ||
| Non-smokers | 93.8 (105) | 95.5 (63) | 78.9 (30) | 91.7 (198) |
| Smokers | 6.3 (7) | 4.5 (3) | 21.1 (8) | 8.3 (18) |
| Type of Restenosis | Grade of Intraplaque Neovascularization by CEUS, % (n) | Total | ||
|---|---|---|---|---|
| 0 | 1 | 2 | ||
| I | 50.0 (1) | 25.0 (1) | 0.0 (0) | 11.8 (2) |
| II | 0.0 (0) | 0.0 (0) | 18.2 (2) | 11.8 (2) |
| III | 50.0 (1) | 25.0 (1) | 63.6 (7) | 52.9 (9) |
| IV | 0.0 (0) | 50.0 (2) | 18.2 (2) | 23.5 (4) |
Disclaimer/Publisher’s Note: The statements, opinions and data contained in all publications are solely those of the individual author(s) and contributor(s) and not of MDPI and/or the editor(s). MDPI and/or the editor(s) disclaim responsibility for any injury to people or property resulting from any ideas, methods, instructions or products referred to in the content. |
© 2024 by the authors. Licensee MDPI, Basel, Switzerland. This article is an open access article distributed under the terms and conditions of the Creative Commons Attribution (CC BY) license (https://creativecommons.org/licenses/by/4.0/).
Share and Cite
Gimžauskaitė, A.; Inčiūra, D.; Diringytė, G.; Lukoševičius, S.; Kaupas, R.; Pranculis, A.; Mačiulaitytė, A.; Basevičius, A.; Kuprytė, M.; Stankevičius, E.; et al. Assessment of Plaque Characteristics by Contrast-Enhanced Ultrasound and Stent Restenosis following Carotid Artery Stenting: A Retrospective Study. Medicina 2024, 60, 836. https://doi.org/10.3390/medicina60050836
Gimžauskaitė A, Inčiūra D, Diringytė G, Lukoševičius S, Kaupas R, Pranculis A, Mačiulaitytė A, Basevičius A, Kuprytė M, Stankevičius E, et al. Assessment of Plaque Characteristics by Contrast-Enhanced Ultrasound and Stent Restenosis following Carotid Artery Stenting: A Retrospective Study. Medicina. 2024; 60(5):836. https://doi.org/10.3390/medicina60050836
Chicago/Turabian StyleGimžauskaitė, Agnė, Donatas Inčiūra, Gintautė Diringytė, Saulius Lukoševičius, Rytis Kaupas, Andrius Pranculis, Aistė Mačiulaitytė, Algidas Basevičius, Milda Kuprytė, Edgaras Stankevičius, and et al. 2024. "Assessment of Plaque Characteristics by Contrast-Enhanced Ultrasound and Stent Restenosis following Carotid Artery Stenting: A Retrospective Study" Medicina 60, no. 5: 836. https://doi.org/10.3390/medicina60050836
APA StyleGimžauskaitė, A., Inčiūra, D., Diringytė, G., Lukoševičius, S., Kaupas, R., Pranculis, A., Mačiulaitytė, A., Basevičius, A., Kuprytė, M., Stankevičius, E., & Plisienė, J. (2024). Assessment of Plaque Characteristics by Contrast-Enhanced Ultrasound and Stent Restenosis following Carotid Artery Stenting: A Retrospective Study. Medicina, 60(5), 836. https://doi.org/10.3390/medicina60050836

