Penoscrotal Edema as a Rare Complication of Acute Pancreatitis: A Case Report
Abstract
1. Introduction
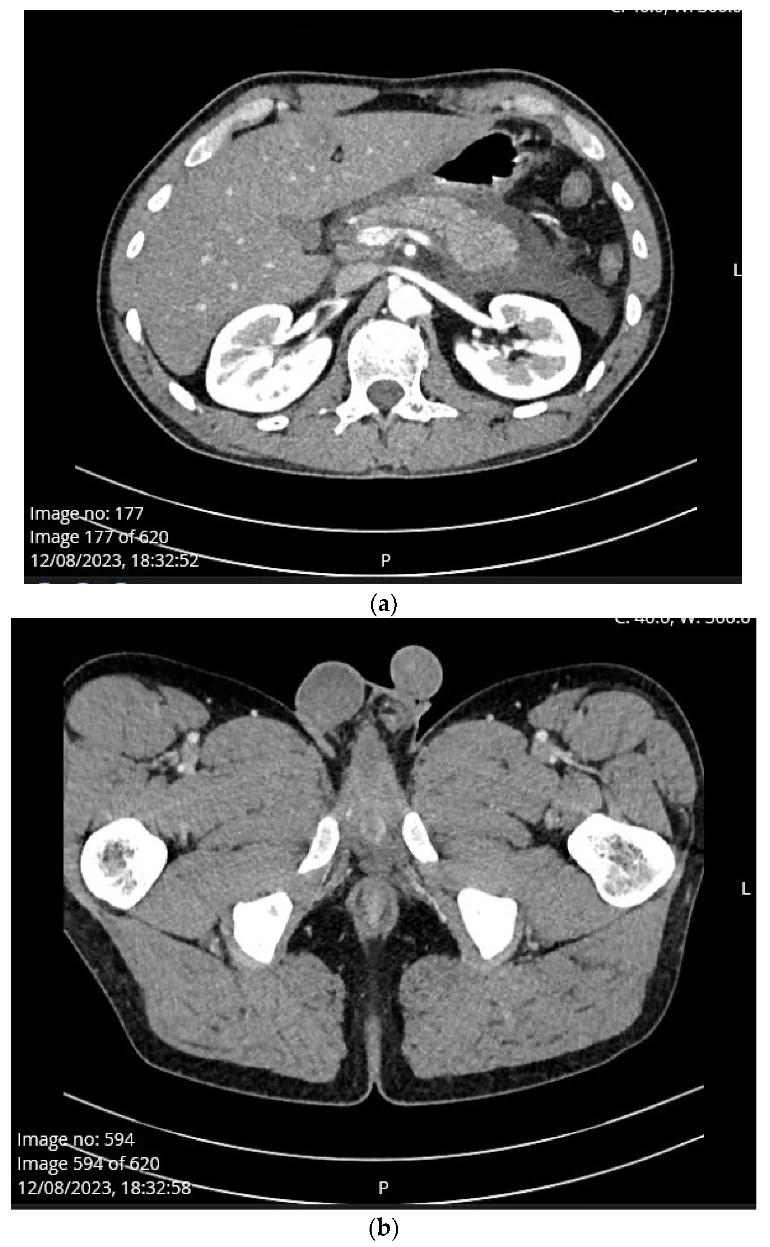
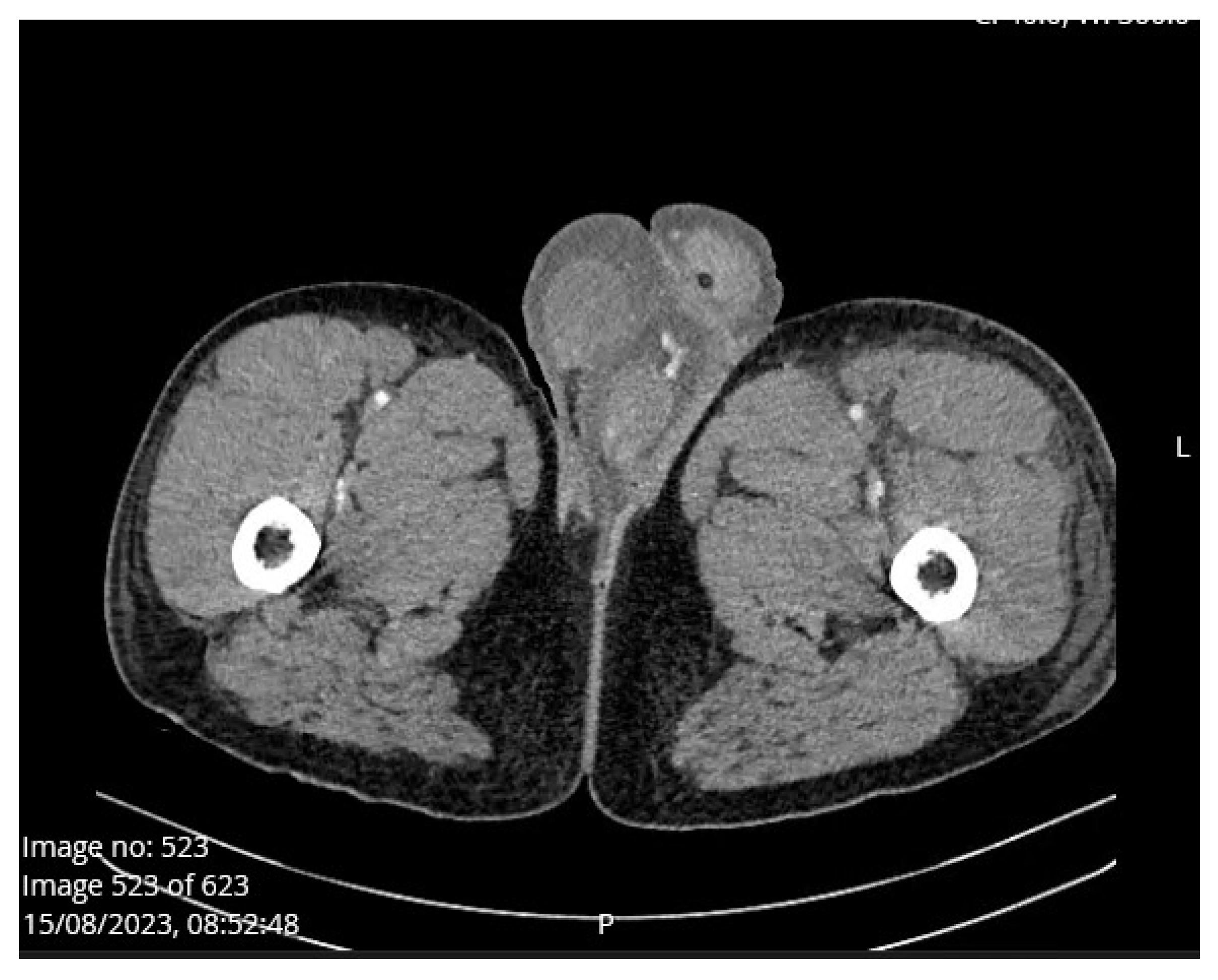
Case Presentation
2. Discussion
3. Conclusions
Author Contributions
Funding
Institutional Review Board Statement
Informed Consent Statement
Data Availability Statement
Conflicts of Interest
References
- Peery, A.F.; Dellon, E.S.; Lund, J.; Crockett, S.D.; McGowan, C.E.; Bulsiewicz, W.J.; Gangarosa, L.M.; Thiny, M.T.; Stizenberg, K.; Morgan, D.R.; et al. Burden of gastrointestinal disease in the United States: 2012 update. Gastroenterology 2012, 143, 1179–1187.e3. [Google Scholar] [CrossRef] [PubMed] [PubMed Central]
- Chang, Y.H.; Weng, S.Y.; Shiue, S.J.; Cheng, C.L.; Wu, M.S. Hydrocele in recurrent acute pancreatitis caused by testicular venous obstruction: A case report of a rare complication (CARE compliant). Medicine 2020, 99, e19738. [Google Scholar] [CrossRef] [PubMed] [PubMed Central]
- Fukushi, K.; Tominaga, K.; Takenaka, K.; Takahashi, F.; Tsuchida, K.; Murohisa, T.; Iijima, M.; Irisawa, A. Severe acute pancreatitis with inflammation extending to the scrotum. Clin. Case Rep. 2019, 7, 2592–2593. [Google Scholar] [CrossRef] [PubMed] [PubMed Central]
- Sutalo, N.; Dragisic, V.; Miskovic, J.; Soljic, M. Scrotal abscess as the first symptom of fatal necrotizing pancreatitis. Saudi Med. J. 2019, 40, 1167–1170. [Google Scholar] [CrossRef] [PubMed] [PubMed Central]
- Ketcham, S.; Platt, K.D.; DiMagno, M.J. Unilateral Scrotal Swelling After Acute Pancreatitis of Pancreas Transplant Graft. Gastroenterology 2020, 158, e6–e7. [Google Scholar] [CrossRef] [PubMed]
- Loloi, J.; Clark, J.Y. Scrotal Hydrocele in Acute Pancreatitis. Urology 2019, 132, e5–e7. [Google Scholar] [CrossRef] [PubMed]
- Moens, L.; Yengue Yengue, P.; Assenmacher, C. Intrascrotal Collection in an Acute Pancreatitis: A Case Report and Review of the Literature. Case Rep. Urol. 2016, 2016, 7534781. [Google Scholar] [CrossRef] [PubMed] [PubMed Central]
- Zafar, W.; Chaucer, B.; Davalos, F.; Nfonoyim, J. Scrotal swelling and normal lipase, a rare presentation of acute pancreatitis. Am. J. Emerg. Med. 2016, 34, 763.e5-6. [Google Scholar] [CrossRef] [PubMed]
- Chen, W.; Wang, X.; Zhang, J. Left scrotal swelling caused by severe acute pancreatitis in a 38-year-old Chinese male. Int. J. Clin. Exp. Med. 2015, 8, 8194–8196. [Google Scholar] [PubMed] [PubMed Central]
- Nikiforov, I.; Mansoora, Q.; Al-Khalisy, H.; Joseph, S.; Cheriyath, P. Scrotal Swelling as a Complication of Hydrochlorothiazide Induced Acute Pancreatitis. Case Rep. Gastrointest. Med. 2015, 2015, 265273. [Google Scholar] [CrossRef] [PubMed] [PubMed Central]
- Wilde, C.; Abdelrazeq, A. Acute scrotal pain as sole presentation of acute pancreatities. Int. J. Surg. Case Rep. 2015, 6, 71–72. [Google Scholar] [CrossRef] [PubMed] [PubMed Central][Green Version]
- Kim, S.B.; Je, B.K.; Lee, S.H.; Cha, S.H. Scrotal swelling caused by acute necrotizing pancreatitis: CT diagnosis. Abdom. Imaging. 2011, 36, 218–221. [Google Scholar] [CrossRef] [PubMed]
- Lee, A.D.; Abraham, D.T.; Agarwal, S.; Perakath, B. The scrotum in pancreatitis: A case report and literature review. J. Pancreas 2004, 5, 357–359. [Google Scholar] [PubMed]
- Choong, K.K. Acute penoscrotal edema due to acute necrotizing pancreatitis. J. Ultrasound Med. 1996, 15, 247–248. [Google Scholar] [CrossRef] [PubMed]
- Isgar, B.; Blunt, R.J.; Wolinski, A.P. Pancreatitis presenting with unilateral scrotal pain and swelling. Br. J. Surg. 1994, 81, 101. [Google Scholar] [CrossRef] [PubMed]
- Robert, J.H.; Frossard, J.L.; Mermillod, B. Early prediction of acute pancreatitis: Prospective study comparing computed tomography scans, Ranson, Glascow, Acute Physiology and Chronic Health Evaluation II scores, and various serum markers. World J. Surg. 2002, 26, 612–619. [Google Scholar] [CrossRef]
- Skouras, C.; Skouras, T.; Pai, M.; Zacharakis, E.; Spalding, D. Inguinoscrotal extension of a pancreatic collection: A rare complication of pancreatitis-case report and review of the literature. Updates Surg. 2013, 65, 153–159. [Google Scholar] [CrossRef] [PubMed]
- Boicean, A.; Birlutiu, V.; Ichim, C.; Todor, S.B.; Hasegan, A.; Bacila, C.; Solomon, A.; Cristian, A.; Dura, H. Predictors of Post-ERCP Pancreatitis (P.E.P.) in Choledochal Lithiasis Extraction. J. Pers. Med. 2023, 13, 1356. [Google Scholar] [CrossRef] [PubMed]
- Aydin, H.R.; Kesici, S.; Kesici, U.; Saygin, I.; Ulusoy, H.Ü.; Imamoglu, M.; Deger, O. Effects of different intra-abdominal pressure values on different organs: What should be the ideal pressure? Eur. Surg. 2014, 46, 203–208. [Google Scholar] [CrossRef]
- Ocskay, K.; Vinkó, Z.; Németh, D.; Szabó, L.; Bajor, J.; Gódi, S.; Sarlós, P.; Czakó, L.; Izbéki, F.; Hamvas, J.; et al. Hypoalbuminemia affects one third of acute pancreatitis patients and is independently associated with severity and mortality. Sci. Rep. 2021, 11, 24158. [Google Scholar] [CrossRef] [PubMed]



| Mechanisms of Penoscrotal Edema in Acute Panreatitis | Reference, Authors |
|---|---|
| 1. Failure of closure of the processus vaginalis | 1. Loloi, J. et al., 2019 [7]; Moens, L. et al., 2016 [8], Zafar et al., 2016 [9], Choong, K.K. 1996 [15] |
| 2. Increased production of digestive and lysosomal enzymes due to alcohol | 2. Loloi, J. et al., 2019 [7], Nikiforov, I. et al., 2015 [12], Wilde, C. et al., [13], Choong, K.K. 1996 [15] |
| 3. Intra-abdominal hypertension (>12 cmH2O) | 3. Aydin, H. et al., 2014. [19] |
| 4. Hypoalbuminaemia | 4. Ocskay, K. et al., 2021. [20] |
Disclaimer/Publisher’s Note: The statements, opinions and data contained in all publications are solely those of the individual author(s) and contributor(s) and not of MDPI and/or the editor(s). MDPI and/or the editor(s) disclaim responsibility for any injury to people or property resulting from any ideas, methods, instructions or products referred to in the content. |
© 2024 by the authors. Licensee MDPI, Basel, Switzerland. This article is an open access article distributed under the terms and conditions of the Creative Commons Attribution (CC BY) license (https://creativecommons.org/licenses/by/4.0/).
Share and Cite
Jukic, I.; Kokic Males, V.; Zanic, A.; Zaja, I. Penoscrotal Edema as a Rare Complication of Acute Pancreatitis: A Case Report. Medicina 2024, 60, 820. https://doi.org/10.3390/medicina60050820
Jukic I, Kokic Males V, Zanic A, Zaja I. Penoscrotal Edema as a Rare Complication of Acute Pancreatitis: A Case Report. Medicina. 2024; 60(5):820. https://doi.org/10.3390/medicina60050820
Chicago/Turabian StyleJukic, Ivana, Visnja Kokic Males, Antonija Zanic, and Ivan Zaja. 2024. "Penoscrotal Edema as a Rare Complication of Acute Pancreatitis: A Case Report" Medicina 60, no. 5: 820. https://doi.org/10.3390/medicina60050820
APA StyleJukic, I., Kokic Males, V., Zanic, A., & Zaja, I. (2024). Penoscrotal Edema as a Rare Complication of Acute Pancreatitis: A Case Report. Medicina, 60(5), 820. https://doi.org/10.3390/medicina60050820

