Unique Case of Rare Non-Neural Granular Cell Tumor of the Rectus Abdominis Muscle
Abstract
1. Introduction
2. Materials and Methods
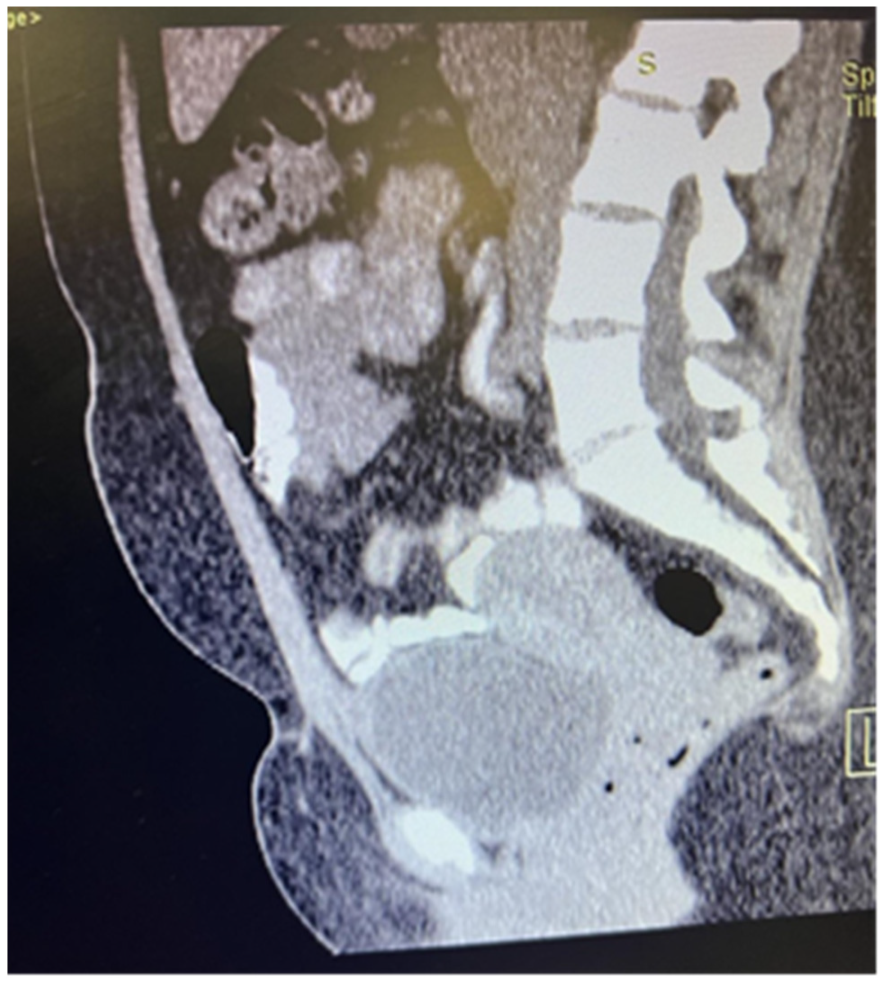
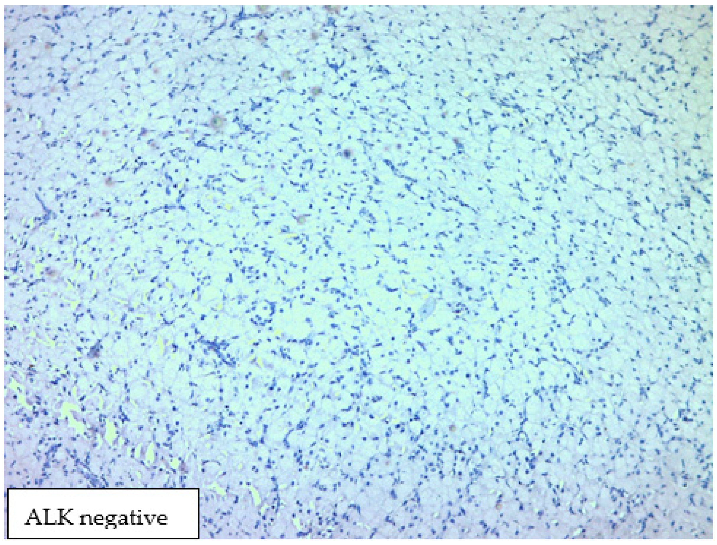
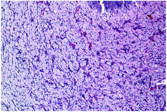
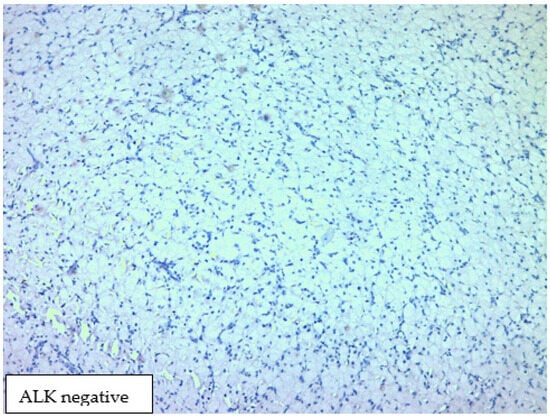
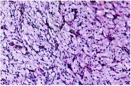
3. Results
4. Discussion
5. Conclusions
Author Contributions
Funding
Institutional Review Board Statement
Informed Consent Statement
Data Availability Statement
Conflicts of Interest
References
- Sposto, M.R.; Navarro, C.M.; de Andrade, C.R. Granular cell tumour (Abrikossoff’s tumour): Case series. Oral Oncol. Extra 2006, 42, 194–197. [Google Scholar] [CrossRef]
- Pushpa, G.; Karve, P.P.; Subashini, K.; Narasimhan, M.N.; Ahmad, P.B. Abrikossoff’s tumor: An unusual presentation. Indian J. Dermatol. 2013, 58, 407. [Google Scholar] [CrossRef] [PubMed]
- Kim, B.-G.; Song, J.Y.; Zo, S.; Im, Y.; Choi, S.; Han, J.; Jeong, B.-H.; Kim, H. S-100-Negative malignant pulmonary granular cell tumor: A case report. Respir. Med. Case Rep. 2020, 29, 101002. [Google Scholar] [CrossRef] [PubMed]
- Kabir, B.; Ramien, M.; Al Shammary, M.; de Nanassy, J.; El Demellawy, D. Dermal non-neural granular cell tumor in a 3-year-old child. Pediatr. Dermatol. 2018, 35, e241–e242. [Google Scholar] [CrossRef]
- Di, J.; Qasem, S.A. Primitive non-neural granular cell tumor: Literature review. Hum. Pathol. Rep. 2022, 28, 300652. [Google Scholar] [CrossRef]
- Deguchi, Y.; Iwahashi, N.; Horiuchi, Y.; Ikejima, M.; Tanaka, T.; Ino, K.; Furukawa, K. Non-neural granular cell tumor of the uterine corpus mimicking uterine leiomyoma: A case report. Mol. Clin. Oncol. 2017, 7, 351–354. [Google Scholar] [CrossRef][Green Version]
- AAbrikossoff, A. Über Myome. Virchows Arch. 1926, 260, 215–233. [Google Scholar] [CrossRef]
- Elkousy, H.; Harrelson, J.; Dodd, L.; Martinez, S.; Scully, S. Granular Cell Tumors of the Extremities. Clin. Orthop. Relat. Res. 2000, 380, 191–198. [Google Scholar] [CrossRef]
- Lazar, A.J.F.; Fletcher, C.D.M. Primitive Nonneural Granular Cell Tumors of Skin. Am. J. Surg. Pathol. 2005, 29, 927–934. [Google Scholar] [CrossRef]
- Chen, S.Y.; Sadanand, A.; A Dillon, P.; He, M.; Dehner, L.P.; Leonard, D.S. Non-Neural (S-100 Negative) Bronchial Granular Cell Tumor Causing Acute Respiratory Failure. Fetal Pediatr. Pathol. 2020, 39, 85–89. [Google Scholar] [CrossRef]
- LeBoit, P.E.; Barr, R.J.; Burall, S.; Metcalf, J.S.; Yen, T.S.B.; Wick, M.R. Primitive Polypoid Granular-Cell Tumor and Other Cutaneous Granular-Cell Neoplasms of Apparent Nonneural Origin. Am. J. Surg. Pathol. 1991, 15, 48–58. [Google Scholar] [CrossRef] [PubMed]
- Rehan, S.; Paracha, H.; Masood, R.; Wang, R. Granular cell tumor of the abdominal wall, a case report and review of literature. AME Case Rep. 2021, 5, 28. [Google Scholar] [CrossRef] [PubMed]
- McGhan, L.J.; Wasif, N.; Young, S.W.; Collins, J.M.; McCullough, A.E. Granular-cell tumor of the anterior abdominal wall. Radiol. Case Rep. 2012, 7, 716. [Google Scholar] [CrossRef] [PubMed]
- Bandyopadhyay, D.; Sen, S.; Bandyopadhyay, J.P. Granular cell tumour on vaccinationscar in a young girl. Indian J. Dermatol. 2006, 51, 196–197. [Google Scholar] [CrossRef]
- Weiss, S.W.; Goldblum, J.R. Granular cell tumour. In Enzinger and Weiss’s Soft Tissue Tumors, 4th ed.; Mosby: St Louis, MO, USA, 2001; pp. 1178–1187. [Google Scholar]
- Mangan, S.H.; Ng, J.Y.; Townend, P. A Rare Case Report of Granular Cell Tumour of the Abdominal Wall and a Review of the Literature. Cureus 2024, 16, e54399. [Google Scholar] [CrossRef] [PubMed]
- Gokaslan, S.T.; Terzakis, J.A.; Santagada, E.A. Malignant granular cell tumor. J. Cutan. Pathol. 1994, 21, 263–270. [Google Scholar] [CrossRef] [PubMed]
- Klima, M.; Peters, J. Malignant granular cell tumor. Arch. Pathol. Lab. Med. 1987, 111, 1070–1073. [Google Scholar] [PubMed]
- Chelly, I.; Bellil, K.; Mekni, A.; Bellil, S.; Belhadjsalah, M.; Kchir, N.; Haouet, S.; Zitouna, M.M. Malignant granular cell tumor of the abdominal wall. Pathologica 2005, 97, 130–132. [Google Scholar] [PubMed]
- Ravich, A.; Stout, A.P.; Ravich, R.A. Malignant Granular Cell Myoblastoma Involving the Urinary Bladder. Ann. Surg. 1945, 121, 361–372. [Google Scholar] [CrossRef]
- Gamboa, L.G. Malignant granular cell myoblastoma. AMA Arch. Pathol. 1955, 60, 663–668. [Google Scholar]
- Lack, E.E.; Worsham, R.G.F.; Callihan, M.D.; Crawford, B.E.; Klappenbach, S.; Rowden, G.; Chun, B. Granular cell tumor: A clinicopathologic study of 110 patients. J. Surg. Oncol. 1980, 13, 301–316. [Google Scholar] [CrossRef] [PubMed]
- Cichoń, M.; Wańczyk-Dręczewska, B.; Placek, W.; Biernat, W.; Owczarczyk-Saczonek, A. Abrikossoff’s tumor in a 23-year-old womanunsuccessfully treated with cryosurgery. Otolaryngol. Polska 2023, 12, 66–69. [Google Scholar] [CrossRef]
- Ardeleanu, V.; Jecan, R.C.; Moroianu, M.; Teodoreanu, R.N.; Tebeica, T.; Moroianu, L.A.; Bujoreanu, F.C.; Nwabudike, L.C.; Tatu, A.L. Case report: Abrikossoff’s tumor of the facial skin. Front. Med. 2023, 10, 1149735. [Google Scholar] [CrossRef] [PubMed]
- Bitar, M.; Al Afif, K.A.; Fatani, M.I. Granular cell tumor: Case report. J. Saudi Soc. Dermatol. Dermatol. Surg. 2011, 15, 25–27. [Google Scholar] [CrossRef]
- Pathology Outlines. Available online: https://www.pathologyoutlines.com/ (accessed on 1 March 2024).







Disclaimer/Publisher’s Note: The statements, opinions and data contained in all publications are solely those of the individual author(s) and contributor(s) and not of MDPI and/or the editor(s). MDPI and/or the editor(s) disclaim responsibility for any injury to people or property resulting from any ideas, methods, instructions or products referred to in the content. |
© 2024 by the authors. Licensee MDPI, Basel, Switzerland. This article is an open access article distributed under the terms and conditions of the Creative Commons Attribution (CC BY) license (https://creativecommons.org/licenses/by/4.0/).
Share and Cite
Kiskinov, P.I.; Palavurov, A.M.; Mollova-Kyosebekirova, A.Y.; Atliev, K.T.; Zanzov, E.I.; Anastasova, V.N. Unique Case of Rare Non-Neural Granular Cell Tumor of the Rectus Abdominis Muscle. Medicina 2024, 60, 576. https://doi.org/10.3390/medicina60040576
Kiskinov PI, Palavurov AM, Mollova-Kyosebekirova AY, Atliev KT, Zanzov EI, Anastasova VN. Unique Case of Rare Non-Neural Granular Cell Tumor of the Rectus Abdominis Muscle. Medicina. 2024; 60(4):576. https://doi.org/10.3390/medicina60040576
Chicago/Turabian StyleKiskinov, Petar Ivanov, Anastas Metaxov Palavurov, Angelina Yanakieva Mollova-Kyosebekirova, Kiril Todorov Atliev, Elean Ivanov Zanzov, and Vania Nikolaeva Anastasova. 2024. "Unique Case of Rare Non-Neural Granular Cell Tumor of the Rectus Abdominis Muscle" Medicina 60, no. 4: 576. https://doi.org/10.3390/medicina60040576
APA StyleKiskinov, P. I., Palavurov, A. M., Mollova-Kyosebekirova, A. Y., Atliev, K. T., Zanzov, E. I., & Anastasova, V. N. (2024). Unique Case of Rare Non-Neural Granular Cell Tumor of the Rectus Abdominis Muscle. Medicina, 60(4), 576. https://doi.org/10.3390/medicina60040576

