Paraspinal Muscle Changes in Individuals with and without Chronic Low Back Pain over a 4-Month Period: A Longitudinal MRI Study
Abstract
1. Introduction
2. Materials and Methods
2.1. Participants
2.2. Design
2.3. Questionnaires
2.4. MRI Imaging
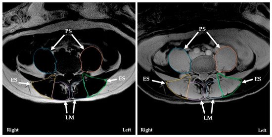
2.5. Paraspinal Muscle Measurements
2.6. Statistical Analysis
3. Results
3.1. CSA Measurements
3.2. FSF Measurements
3.3. CSA % Asymmetry Measurements
4. Discussion
4.1. Demographics
4.2. Limitations
4.3. Future Directions
5. Conclusions
Author Contributions
Funding
Institutional Review Board Statement
Informed Consent Statement
Data Availability Statement
Acknowledgments
Conflicts of Interest
References
- Hartvigsen, J.; Hancock, M.J.; Kongsted, A.; Louw, Q.; Ferreira, M.L.; Genevay, S.; Hoy, D.; Karppinen, J.; Pransky, G.; Sieper, J.; et al. What Low Back Pain Is and Why We Need to Pay Attention. Lancet 2018, 391, 2356–2367. [Google Scholar] [CrossRef]
- Deyo, R.A.; Dworkin, S.F.; Amtmann, D.; Andersson, G.; Borenstein, D.; Carragee, E.; Carrino, J.; Chou, R.; Cook, K.; Delitto, A.; et al. Report of the NIH Task Force on Research Standards for Chronic Low Back Pain. Phys. Ther. 2015, 95, e1–e18. [Google Scholar] [CrossRef]
- Fortin, M.; Videman, T.; Gibbons, L.E.; Battié, M.C. Paraspinal Muscle Morphology and Composition: A 15-Yr Longitudinal Magnetic Resonance Imaging Study. Med. Sci. Sports Exerc. 2014, 46, 893–901. [Google Scholar] [CrossRef]
- Seyedhoseinpoor, T.; Taghipour, M.; Dadgoo, M.; Sanjari, M.A.; Takamjani, I.E.; Kazemnejad, A.; Khoshamooz, Y.; Hides, J. Alteration of Lumbar Muscle Morphology and Composition in Relation to Low Back Pain: A Systematic Review and Meta-Analysis. Spine J. 2022, 22, 660–676. [Google Scholar] [CrossRef] [PubMed]
- Ranger, T.A.; Cicuttini, F.M.; Jensen, T.S.; Peiris, W.L.; Hussain, S.M.; Fairley, J.; Urquhart, D.M. Are the Size and Composition of the Paraspinal Muscles Associated with Low Back Pain? A Systematic Review. Spine J. 2017, 17, 1729–1748. [Google Scholar] [CrossRef] [PubMed]
- Noonan, A.M.; Brown, S.H.M. Paraspinal Muscle Pathophysiology Associated with Low Back Pain and Spine Degenerative Disorders. JOR Spine 2021, 4, e1171. [Google Scholar] [CrossRef] [PubMed]
- Matheve, T.; Hodges, P.; Danneels, L. The Role of Back Muscle Dysfunctions in Chronic Low Back Pain: State-of-the-Art and Clinical Implications. J. Clin. Med. 2023, 12, 5510. [Google Scholar] [CrossRef] [PubMed]
- Goubert, D.; Oosterwijck, J.V.; Meeus, M.; Danneels, L. Structural Changes of Lumbar Muscles in Non-Specific Low Back Pain: A Systematic Review. Pain Physician 2016, 19, E985–E1000. [Google Scholar] [PubMed]
- Stokes, M.; Hides, J.; Elliott, J.; Kiesel, K.; Hodges, P. Rehabilitative Ultrasound Imaging of the Posterior Paraspinal Muscles. J. Orthop. Sports Phys. Ther. 2007, 37, 581–595. [Google Scholar] [CrossRef]
- Niemeläinen, R.; Briand, M.-M.; Battié, M.C. Substantial Asymmetry in Paraspinal Muscle Cross-Sectional Area in Healthy Adults Questions Its Value as a Marker of Low Back Pain and Pathology. Spine 2011, 36, 2152–2157. [Google Scholar] [CrossRef]
- Hebert, J.J.; Kjaer, P.; Fritz, J.M.; Walker, B.F. The Relationship of Lumbar Multifidus Muscle Morphology to Previous, Current, and Future Low Back Pain: A 9-Year Population-Based Prospective Cohort Study. Spine 2014, 39, 1417–1425. [Google Scholar] [CrossRef]
- Cunningham, E.; Wedderkopp, N.; Kjaer, P.; Beynon, A.; Noble, J.; Hebert, J.J. The Relationships between Physical Activity, Lumbar Multifidus Muscle Morphology, and Low Back Pain from Childhood to Early Adulthood: A 12-Year Longitudinal Study. Sci. Rep. 2022, 12, 8851. [Google Scholar] [CrossRef] [PubMed]
- Tétreault, P.; Sean, M.; Lamarche, D. Pilot Project on Brain and Lower Back Imaging of Chronic Pain. Open Sci. Framew. 2021, 13. [Google Scholar] [CrossRef]
- French, D.J.; Noël, M.; Vigneau, F.; French, J.A.; Cyr, C.P.; Evans, R.T. L’Échelle de Dramatisation Face à La Douleur PCS-CF: Adaptation Canadienne En Langue Française de l’échelle «Pain Catastrophizing Scale». Can. J. Behav. Sci. Rev. Can. Sci. Comport. 2005, 37, 181–192. [Google Scholar] [CrossRef]
- Sullivan, M.J.L.; Bishop, S.R.; Pivik, J. The Pain Catastrophizing Scale: Development and Validation. Psychol. Assess. 1995, 7, 524–532. [Google Scholar] [CrossRef]
- Freynhagen, R.; Baron, R.; Gockel, U.; Tölle, T.R. Pain DETECT: A New Screening Questionnaire to Identify Neuropathic Components in Patients with Back Pain. Curr. Med. Res. Opin. 2006, 22, 1911–1920. [Google Scholar] [CrossRef] [PubMed]
- Poundja, J.; Fikretoglu, D.; Guay, S.; Brunet, A. Validation of the French Version of the Brief Pain Inventory in Canadian Veterans Suffering from Traumatic Stress. J. Pain Symptom Manag. 2007, 33, 720–726. [Google Scholar] [CrossRef] [PubMed]
- Pitance, L.; Piraux, E.; Lannoy, B.; Meeus, M.; Berquin, A.; Eeckhout, C.; Dethier, V.; Robertson, J.; Meeus, M.; Roussel, N. Cross Cultural Adaptation, Reliability and Validity of the French Version of the Central Sensitization Inventory. Man. Ther. 2016, 25, e83–e84. [Google Scholar] [CrossRef]
- Mayer, T.G.; Neblett, R.; Cohen, H.; Howard, K.J.; Choi, Y.H.; Williams, M.J.; Perez, Y.; Gatchel, R.J. The Development and Psychometric Validation of the Central Sensitization Inventory. Pain Pract. 2012, 12, 276–285. [Google Scholar] [CrossRef]
- Gauthier, N.; Thibault, P.; Adams, H.; Sullivan, M.J. Validation of a French-Canadian Version of the Pain Disability Index. Pain Res. Manag. 2008, 13, 327–333. [Google Scholar] [CrossRef]
- Anagnostis, C.; Gatchel, R.J.; Mayer, T.G. The Pain Disability Questionnaire: A New Psychometrically Sound Measure for Chronic Musculoskeletal Disorders. Spine 2004, 29, 2290–2302. [Google Scholar] [CrossRef]
- Hodges, P.W.; Bailey, J.F.; Fortin, M.; Battié, M.C. Paraspinal Muscle Imaging Measurements for Common Spinal Disorders: Review and Consensus-Based Recommendations from the ISSLS Degenerative Spinal Phenotypes Group. Eur. Spine J. 2021, 30, 3428–3441. [Google Scholar] [CrossRef]
- Shahidi, B.; Parra, C.L.; Berry, D.B.; Hubbard, J.C.; Gombatto, S.; Zlomislic, V.; Allen, R.T.; Hughes-Austin, J.; Garfin, S.; Ward, S.R. Contribution of Lumbar Spine Pathology and Age to Paraspinal Muscle Size and Fatty Infiltration. Spine 2017, 42, 616–623. [Google Scholar] [CrossRef]
- Anstruther, M.; Valentin, S.; Dover, G.; Fortin, M. Lumbar Multifidus Characteristics in University Level Athletes May Be Predictors of Low Back Pain and Lower Limb Injury. Int. J. Res. Phys. Med. Rehabil. 2023. in review. [Google Scholar] [CrossRef]
- Hodges, P.W.; Danneels, L. Changes in Structure and Function of the Back Muscles in Low Back Pain: Different Time Points, Observations, and Mechanisms. J. Orthop. Sports Phys. Ther. 2019, 49, 464–476. [Google Scholar] [CrossRef] [PubMed]
- Hides, J.A.; Stokes, M.J.; Saide, M.; Jull, G.A.; Cooper, D.H. Evidence of Lumbar Multifidus Muscle Wasting Ipsilateral to Symptoms in Patients with Acute/Subacute Low Back Pain. Spine 1994, 19, 165–172. [Google Scholar] [CrossRef] [PubMed]
- Hides, J.A.; Richardson, C.A.; Jull, G.A. Multifidus Muscle Recovery Is Not Automatic After Resolution of Acute, First-Episode Low Back Pain. Spine 1996, 21, 2763–2769. [Google Scholar] [CrossRef]
- Dionne, C.E.; Dunn, K.M.; Croft, P.R.; Nachemson, A.L.; Buchbinder, R.; Walker, B.F.; Wyatt, M.; Cassidy, J.D.; Rossignol, M.; Leboeuf-Yde, C.; et al. A Consensus Approach toward the Standardization of Back Pain Definitions for Use in Prevalence Studies. Spine 2008, 33, 95–103. [Google Scholar] [CrossRef]
- Morlion, B.; Coluzzi, F.; Aldington, D.; Kocot-Kepska, M.; Pergolizzi, J.; Mangas, A.C.; Ahlbeck, K.; Kalso, E. Pain Chronification: What Should a Non-Pain Medicine Specialist Know? Curr. Med. Res. Opin. 2018, 34, 1169–1178. [Google Scholar] [CrossRef]
- Sean, M.; Coulombe-Lévêque, A.; Nadeau, W.; Charest, A.-C.; Martel, M.; Léonard, G.; Tétreault, P. Counting Your Chickens before They Hatch: Improvements in an Untreated Chronic Pain Population, beyond Regression to the Mean and the Placebo Effect. Pain Med. 2023. [Google Scholar] [CrossRef]

| Controls (n = 16; Male = 5, Female = 11) | LBP (n = 13; Male = 7, Female = 6) | p-Value | |
|---|---|---|---|
| Age | 39.19 ± 13.01 | 41.77 ± 13.71 | 0.79 |
| Height (cm) | 166.81 ± 9.07 | 170.17 ± 10.66 | 0.54 |
| Weight (kg) | 66.13 ± 10.73 | 81.31 ± 19.41 | 0.05 |
| BMI | 23.71 ± 2.78 | 27.80 ± 4.82 | 0.15 |
| Ethnicity | 0.15 | ||
| Caucasian | 15 | 9 | |
| Asian | 1 | 1 | |
| Hispanic | 0 | 2 | |
| African | 0 | 0 | |
| Middle Eastern | 0 | 1 | |
| Education Level | 0.06 | ||
| Primary School | 0 | 0 | |
| High School | 0 | 0 | |
| Apprenticeship | 0 | 3 | |
| College | 5 | 2 | |
| University | 11 | 8 | |
| Annual Income | 0.04 | ||
| <20 K | 4 | 1 | |
| 20 K < 35 K | 1 | 4 | |
| 35 K < 50 K | 0 | 2 | |
| 50 K < 65 K | 5 | 4 | |
| 65 K < 80 K | 4 | 0 | |
| 80 K < 100 K | 2 | 2 | |
| >100 K | 0 | 0 | |
| Pain Duration | N/A | ||
| 4–5 months | 0 | ||
| 6–12 months | 4 (30.8%) | ||
| 1–4 years | 3 (23.1%) | ||
| 5+ years | 6 (46.2%) |
| (a) | ||||
| Controls (n = 16) | LBP (n = 13) | Main Effect of Group | Time × Group Interaction | |
| PCS | ||||
| Baseline | 8.25 ± 8.52 | 21.69 ± 13.60 | p = 0.02 F = 6.66 df = 1 | p = 0.001 F = 7.82 df = 2 |
| 2 Months | 6.63 ± 7.26 | 14.00 ± 9.82 * | ||
| 4 Months | 5.38 ± 7.31 | 11.31 ± 11.78 *** | ||
| MD (95% CI) | −2.88 (−7.00 to 1.23) | −10.39 (−14.93 to −5.84) | ||
| Main effect of time | p < 0.001 F = 22.82 df = 2 | |||
| (b) | ||||
| LBP (n = 13) | MD (95% CI) | Main Effect of Time | ||
| PDI | ||||
| Baseline | 18.15 ± 8.82 | −9.46 (−18.10 to −0.82) | p = 0.03 F = 3.90 df = 2 | |
| 2 Months | 14.85 ± 9.11 | |||
| 4 Months | 8.69 ± 8.37 | |||
| BPIi | ||||
| Baseline | 20.54 ± 9.49 | −11.31 (−20.04 to −2.57) | p = 0.01 F = 5.42 df = 2 | |
| 2 Months | 16.46 ± 9.38 | |||
| 4 Months | 9.23 ± 7.61 | |||
| BPIs | ||||
| Baseline | 18.00 ± 3.22 | −5.62 (−11.49 to 0.26) | p = 0.04 F = 3.59 df = 2 | |
| 2 Months | 17.62 ± 5.62 | |||
| 4 Months | 12.38 ± 8.06 | |||
| painDETECT | ||||
| Baseline | 8.46 ± 4.18 | −0.46 (−4.86 to 3.93) | p = 0.80 F = 0.22 df = 2 | |
| 2 Months | 9.15 ± 4.26 | |||
| 4 Months | 8.00 ± 4.92 | |||
| CSI | ||||
| Baseline | 36.62 ± 11.84 | −5.15 (−19.42 to 9.11) | p = 0.67 F = 0.41 df = 2 | |
| 2 Months | 34.15 ± 14.98 | |||
| 4 Months | 31.46 ± 16.27 | |||
| Variables | Measurement Period | Control | LBP |
|---|---|---|---|
| L3/L4 CSA LM | n = 15 | n = 12 | |
| Baseline | 6.41 ± 1.43 | 6.93 ± 1.48 | |
| 2 months | 6.77 ± 1.41 | 7.08 ± 1.44 | |
| 4 months | 6.60 ± 1.50 | 6.82 ± 1.39 | |
| MD (95% CI) | 0.20 (−0.17 to 0.56) | −0.11 (−0.52 to 0.30) | |
| Main effect of time | Main effect of group | Time × group interaction | |
| p = 0.19 F = 1.75 df = 2 | p = 0.41 F = 0.70 df = 1 | p = 0.06 F = 2.91 df = 2 | |
| L3/L4 CSA ES | n = 15 | n = 12 | |
| Baseline | 18.23 ± 3.91 | 21.88 ± 5.98 | |
| 2 months | 18.13 ± 3.77 | 21.86 ± 5.62 | |
| 4 months | 18.52 ± 3.62 | 22.28 ± 5.72 | |
| MD (95% CI) | 0.29 (−0.36 to 0.93) | 0.40 (−0.32 to 1.12) | |
| Main effect of time | Main effect of group | Time × group interaction | |
| p = 0.63 F = 0.47 df = 2 | p = 0.80 F = 0.06 df = 1 | p = 0.82 F = 0.20 df = 2 | |
| L3/L4 CSA PS | n = 9 | n = 10 | |
| Baseline | 10.67 ± 2.37 | 14.46 ± 2.92 | |
| 2 months | 10.36 ± 2.11 | 14.19 ± 2.37 | |
| 4 months | 10.18 ± 2.02 | 14.11 ± 2.79 | |
| MD (95% CI) | −0.58 (−1.39 to 0.12) | −0.27 (−0.93 to 0.40) | |
| Main effect of time | Main effect of group | Time × group interaction | |
| p = 0.53 F = 0.65 df = 2 | p = 0.02 F = 6.34 df = 1 | p = 0.63 F = 0.11 df = 2 | |
| L4/L5 CSA LM | n = 16 | n = 12 | |
| Baseline | 9.26 ± 1.72 | 9.39 ± 1.66 | |
| 2 months | 9.49 ± 1.88 | 9.59 ± 1.61 | |
| 4 months | 9.58 ± 1.83 | 9.39 ± 1.55 | |
| MD (95% CI) | 0.32 (−0.17 to 0.80) | −0.01 (−0.57 to 0.56) | |
| Main effect of time | Main effect of group | Time × group interaction | |
| p = 0.38 F = 0.97 df = 1.81 | p = 0.08 F = 3.37 df = 1 | p = 0.43 F = 0.83 df = 1.81 | |
| L4/L5 CSA ES | n = 16 | n = 12 | |
| Baseline | 16.10 ± 3.12 | 18.25 ± 4.28 | |
| 2 months | 16.13 ± 2.54 | 18.13 ± 3.82 | |
| 4 months | 15.97 ± 2.95 | 18.10 ± 4.45 | |
| MD (95% CI) | −0.13 (−1.03 to 0.78) | −0.15 (−1.21 to 0.91) | |
| Main effect of time | Main effect of group | Time × group interaction | |
| p = 0.97 F = 0.04 df = 2 | p = 0.63 F = 0.24 df = 1 | p = 0.98 F = 0.02 df = 2 | |
| ǂ L4/L5 CSA PS | n = 16 | n = 10 | |
| Baseline | 16.43 ± 5.38 | 18.66 ± 3.69 | |
| 2 months | 16.50 ± 5.27 | 18.77 ± 3.32 | |
| 4 months | 15.99 ± 5.04 ** | 18.33 ± 3.49 | |
| MD (95% CI) | −0.44 (−0.98 to 0.09) | −0.31 (−0.95 to 0.33) | |
| Main effect of time | |||
| p = 0.02 Χ2 = 7.88 df = 2 | p = 0.15 Χ2 = 3.80 df = 2 | ||
| L5/S1 CSA LM | n = 8 | n = 6 | |
| Baseline | 11.31 ± 2.57 | 11.35 ± 1.81 | |
| 2 months | 11.35 ± 2.30 | 12.05 ± 2.19 | |
| 4 months | 11.40 ± 2.68 | 11.75 ± 2.33 | |
| MD (95% CI) | 0.09 (−0.71 to 0.88) | 0.40 (−0.52 to 1.32) | |
| Main effect of time | Main effect of group | Time × group interaction | |
| p = 0.14 F = 2.18 df = 2 | p = 0.27 F = 1.33 df = 1 | p = 0.22 F = 1.63 df = 2 | |
| L5/S1 CSA ES | n = 8 | n = 6 | |
| Baseline | 10.27 ± 2.42 | 10.66 ± 5.21 | |
| 2 months | 9.10 ± 2.10 | 11.82 ± 5.61 | |
| 4 months | 9.14 ± 1.97 | 11.22 ± 5.54 | |
| MD (95% CI) | −1.13 (−2.96 to 0.69) | 0.56 (−1.54 to 2.67) | |
| Main effect of time | Main effect of group | Time × group interaction | |
| p = 0.19 F = 1.79 df = 2 | p = 0.62 F = 0.26 df = 1 | p = 0.06 F = 3.33 df = 2 | |
| Variables | Measurement Period | Control | LBP |
|---|---|---|---|
| L3/L4 FSF LM | n = 15 | n = 12 | |
| Baseline | 24.84 ± 8.71 | 27.45 ± 11.65 | |
| 2 months | 25.18 ± 9.01 | 27.47 ± 11.59 | |
| 4 months | 24.55 ± 8.06 | 27.13 ± 12.39 | |
| MD (95% CI) | −0.30 (−1.68 to 1.09) | −0.33 (−1.88 to 1.22) | |
| Main effect of time | Main effect of group | Time × group interaction | |
| p = 0.47 F = 0.77 df = 2 | p = 0.82 F = 0.50 df = 1 | p = 0.76 F = 0.27 df = 2 | |
| L3/L4 FSF ES | n = 15 | n = 12 | |
| Baseline | 24.74 ± 6.77 | 28.20 ± 11.91 | |
| 2 months | 24.74 ± 6.84 | 27.98 ± 10.32 | |
| 4 months | 24.53 ± 6.49 | 27.45 ± 11.85 | |
| MD (95% CI) | −0.21 (−1.61 to 1.19) | −0.75 (−2.31 to 0.82) | |
| Main effect of time | Main effect of group | Time × group interaction | |
| p = 0.13 F = 2.16 df = 2 | p = 0.49 F = 0.49 df = 1 | p = 0.64 F = 0.44 df = 2 | |
| L3/L4 FSF PS | n = 9 | n = 10 | |
| Baseline | 16.53 ± 2.80 | 17.21 ± 3.77 | |
| 2 months | 16.05 ± 2.00 | 16.30 ± 3.36 | |
| 4 months | 15.42 ± 2.06 *** | 16.29 ± 3.09 | |
| MD (95% CI) | −1.55 (−3.03 to −0.08) | −0.52 (−1.91 to 0.88) | |
| Main effect of time | Main effect of group | Time × group interaction | |
| p = 0.07 F = 2.87 df = 2 | p = 0.12 F = 2.70 df = 1 | p = 0.39 F = 0.98 df = 2 | |
| L4/L5 FSF LM | n = 16 | n = 12 | |
| Baseline | 27.08 ± 8.28 | 28.50 ± 10.91 | |
| 2 months | 27.26 ± 7.94 | 28.59 ± 11.10 | |
| 4 months | 27.42 ± 7.65 | 28.33 ± 11.58 | |
| MD (95% CI) | 0.39 (−0.78 to 1.56) | −0.24 (−1.61 to 1.13) | |
| Main effect of time | Main effect of group | Time × group interaction | |
| p = 0.57 F = 0.57 df = 2 | p = 0.51 F = 0.45 df = 1 | p = 0.64 F = 0.45 df = 2 | |
| L4/L5 FSF ES | n = 16 | n = 12 | |
| Baseline | 30.66 ± 8.73 | 33.00 ± 13.06 | |
| 2 months | 30.31 ± 7.89 | 31.91 ± 11.62 | |
| 4 months | 31.95 ± 8.44 ** | 32.55 ± 12.08 | |
| MD (95% CI) | 1.19 (−0.52 to 2.90) | −0.30 (−2.30 to 1.70) | |
| Main effect of time | Main effect of group | Time × group interaction | |
| p = 0.77 F = 0.26 df = 2 | p = 0.36 F = 0.86 df = 1 | p = 0.29 F = 1.29 df = 2 | |
| L4/L5 FSF PS | n = 16 | n = 10 | |
| Baseline | 18.52 ± 3.80 | 18.54 ± 4.48 | |
| 2 months | 18.40 ± 4.11 | 18.64 ± 3.90 | |
| 4 months | 18.14 ± 2.83 | 18.49 ± 4.69 | |
| MD (95% CI) | −0.36 (−1.38 to 0.66) | −0.08 (−1.40 to 1.25) | |
| Main effect of time | Main effect of group | Time × group interaction | |
| p = 0.93 F = 0.07 df = 2 | p = 0.06 F = 4.10 df = 1 | p = 0.92 F = 0.09 df = 2 | |
| L5/S1 FSF LM | n = 8 | n = 6 | |
| Baseline | 29.72 ± 7.48 | 24.16 ± 4.46 | |
| 2 months | 29.23 ± 7.83 | 25.25 ± 5.16 | |
| 4 months | 29.15 ± 7.55 | 25.76 ± 5.52 | |
| MD (95% CI) | −0.57 (−2.01 to 0.86) | 1.60 (−0.06 to 3.25) | |
| Main effect of time | Main effect of group | Time × group interaction | |
| p = 0.98 F = 0.02 df = 2 | p = 0.21 F = 1.79 df = 1 | p = 0.06 F = 3.15 df = 2 | |
| L5/S1 FSF ES | n = 8 | n = 6 | |
| Baseline | 36.31 ± 7.81 | 33.89 ± 12.11 | |
| 2 months | 35.29 ± 8.33 * | 33.27 ± 11.94 | |
| 4 months | 36.43 ± 8.28 | 31.86 ± 10.06 | |
| MD (95% CI) | 0.13 (−2.60 to 2.85) | −2.03 (−5.17 to 1.11) | |
| Main effect of time | Main effect of group | Time × group interaction | |
| p = 0.20 F = 1.82 df = 1.17 | p = 0.10 F = 3.22 df = 1 | p = 0.41 F = 0.80 df = 1.17 |
| Variables | Measurement Period | Control | LBP |
|---|---|---|---|
| L3/L4 CSA % asymmetry LM | n = 15 | n = 12 | |
| Baseline | 5.85 ± 4.06 | 6.74 ± 3.76 | |
| 2 months | 8.97 ± 4.37 | 7.69 ± 5.04 | |
| 4 months | 6.82 ± 4.85 | 7.23 ± 3.92 | |
| MD (95% CI) | 0.97 (−2.62 to 4.57) | 0.49 (−3.53 to 4.51) | |
| Main effect of time | Main effect of group | Time × group interaction | |
| p = 0.55 F = 0.61 df = 2 | p = 0.59 F = 0.30 df = 1 | p = 0.81 F = 0.22 df = 2 | |
| L3/L4 CSA % asymmetry ES | n = 15 | n = 12 | |
| Baseline | 3.08 ± 2.26 | 8.23 ± 2.46 | |
| 2 months | 3.63 ± 2.40 | 6.93 ± 5.44 | |
| 4 months | 4.01 ± 2.13 | 7.22 ± 4.07 | |
| MD (95% CI) | 0.93 (−1.16 to 3.01) | −1.01 (−3.35 to 1.32) | |
| Main effect of time | Main effect of group | Time × group interaction | |
| p = 0.97 F = 0.03 df = 1.86 | p = <0.001 F = 16.68 df = 1 | p = 0.47 F = 0.74 df = 1.86 | |
| L3/L4 CSA % asymmetry PS | n = 9 | n = 10 | |
| Baseline | 8.03 ± 7.35 | 6.53 ± 3.13 | |
| 2 months | 5.18 ± 5.12 | 5.30 ± 3.99 | |
| 4 months | 5.89 ± 5.19 | 6.68 ± 6.00 | |
| MD (95% CI) | −2.30 (−9.11 to 4.51) | 0.30 (−6.12 to 6.73) | |
| Main effect of time | Main effect of group | Time × group interaction | |
| p = 0.98 F = 0.03 df = 2 | p = 0.95 F = 0.01 df = 1 | p = 0.72 F = 0.33 df = 2 | |
| L4/L5 CSA % asymmetry LM | n = 16 | n = 12 | |
| Baseline | 5.61 ± 4.73 | 4.95 ± 3.82 | |
| 2 months | 5.81 ± 4.00 | 7.02 ± 6.74 * | |
| 4 months | 5.85 ± 3.68 | 5.63 ± 4.63 | |
| MD (95% CI) | −0.29 (−2.98 to 2.41) | 1.38 (−1.79 to 4.54) | |
| Main effect of time | Main effect of group | Time × group interaction | |
| p = 0.03 F = 3.78 df = 2 | p = 0.76 F = 0.10 df = 1 | p = 0.09 F = 2.53 df = 2 | |
| L4/L5 CSA % asymmetry ES | n = 16 | n = 12 | |
| Baseline | 8.58 ± 5.26 | 6.15 ± 4.08 | |
| 2 months | 6.47 ± 4.28 | 5.34 ± 3.78 | |
| 4 months | 7.17 ± 5.37 | 6.17 ± 3.63 | |
| MD (95% CI) | −1.41 (−5.67 t 2.85) | −0.90 (−6.10 to 4.31) | |
| Main effect of time | Main effect of group | Time × group interaction | |
| p = 0.32 F = 1.16 df = 2 | p = 0.11 F = 2.79 df = 1 | p = 0.98 F = 0.02 df = 2 | |
| L4/L5 CSA % asymmetry PS | n = 16 | n = 10 | |
| Baseline | 7.82 ± 5.28 | 8.17 ± 4.73 | |
| 2 months | 8.15 ± 5.51 | 5.84 ± 3.47 | |
| 4 months | 6.15 ± 4.22 | 6.85 ± 4.25 | |
| MD (95% CI) | −1.78 (−4.93 to 1.36) | −1.15 (−5.24 to 2.94) | |
| Main effect of time | Main effect of group | Time × group interaction | |
| p = 0.81 F = 0.21 df = 2 | p = 0.65 F = 0.21 df = 1 | p = 0.42 F = 0.88 df = 2 | |
| L5/S1 CSA % asymmetry LM | n = 8 | n = 6 | |
| Baseline | 6.21 ± 5.87 | 7.57 ± 4.83 | |
| 2 months | 7.15 ± 4.56 | 6.89 ± 5.25 | |
| 4 months | 7.14 ± 2.56 | 5.30 ± 5.65 | |
| MD (95% CI) | 0.93 (−4.36 to 6.21) | −2.28 (−8.38 to 3.83) | |
| Main effect of time | Main effect of group | Time × group interaction | |
| p = 0.99 F = 0.01 df = 2 | p = 0.70 F = 0.16 df = 1 | p = 0.61 F = 0.51 df = 2 | |
| L5/S1 CSA % asymmetry ES | n = 8 | n = 6 | |
| Baseline | 20.37 ± 18.35 | 17.68 ± 13.84 | |
| 2 months | 17.92 ± 19.38 | 17.85 ± 10.33 | |
| 4 months | 17.83 ± 15.79 | 18.54 ± 10.54 | |
| MD (95% CI) | −2.55 (−14.72 to 9.63) | 0.77 (−13.29 to 14.83) | |
| Main effect of time | Main effect of group | Time × group interaction | |
| p = 0.73 F = 0.32 df = 2 | p = 0.32 F = 1.09 df = 1 | p = 0.74 F = 0.31 df = 2 |
Disclaimer/Publisher’s Note: The statements, opinions and data contained in all publications are solely those of the individual author(s) and contributor(s) and not of MDPI and/or the editor(s). MDPI and/or the editor(s) disclaim responsibility for any injury to people or property resulting from any ideas, methods, instructions or products referred to in the content. |
© 2024 by the authors. Licensee MDPI, Basel, Switzerland. This article is an open access article distributed under the terms and conditions of the Creative Commons Attribution (CC BY) license (https://creativecommons.org/licenses/by/4.0/).
Share and Cite
Anstruther, M.; Sean, M.; Tétreault, P.; Fortin, M. Paraspinal Muscle Changes in Individuals with and without Chronic Low Back Pain over a 4-Month Period: A Longitudinal MRI Study. Medicina 2024, 60, 490. https://doi.org/10.3390/medicina60030490
Anstruther M, Sean M, Tétreault P, Fortin M. Paraspinal Muscle Changes in Individuals with and without Chronic Low Back Pain over a 4-Month Period: A Longitudinal MRI Study. Medicina. 2024; 60(3):490. https://doi.org/10.3390/medicina60030490
Chicago/Turabian StyleAnstruther, Meagan, Monica Sean, Pascal Tétreault, and Maryse Fortin. 2024. "Paraspinal Muscle Changes in Individuals with and without Chronic Low Back Pain over a 4-Month Period: A Longitudinal MRI Study" Medicina 60, no. 3: 490. https://doi.org/10.3390/medicina60030490
APA StyleAnstruther, M., Sean, M., Tétreault, P., & Fortin, M. (2024). Paraspinal Muscle Changes in Individuals with and without Chronic Low Back Pain over a 4-Month Period: A Longitudinal MRI Study. Medicina, 60(3), 490. https://doi.org/10.3390/medicina60030490

