Primary Thyroid Lymphoma: A Retrospective-Observational Study in a Single Institutional Center
Abstract
1. Introduction
2. Materials and Methods
3. Results
3.1. Clinical and Pathological Characteristics of Patients with Primary Thyroid Lymphoma
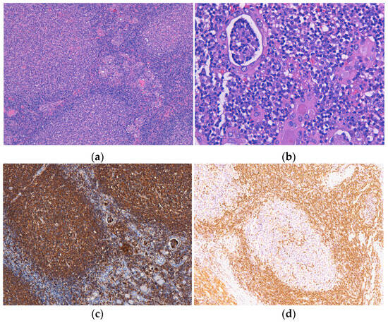
3.2. Clinical and Pathological Aspects in DLBCL
3.3. Clinical and Pathological Aspects of E-MZL Lymphoma
3.4. Clinical and Pathological Aspects in FL and Mixed Follicular-Diffuse Lymphoma
3.5. Treatment and Survival Data
4. Discussion
Limits of the Study
5. Conclusions
Author Contributions
Funding
Institutional Review Board Statement
Informed Consent Statement
Data Availability Statement
Conflicts of Interest
References
- Vardell Noble, V.; Ermann, D.A.; Griffin, E.K.; Silberstein, P.T. Primary Thyroid Lymphoma: An Analysis of the National Cancer Database. Cureus 2019, 11, e4088. [Google Scholar] [CrossRef]
- Graff-Baker, A.; Roman, S.A.; Thomas, D.C.; Udelsman, R.; Sosa, J.A. Prognosis of primary thyroid lymphoma: Demographic, clinical, and pathologic predictors of survival in 1408 cases. Surgery 2009, 146, 1105–1115. [Google Scholar] [CrossRef]
- Derringer, G.A.; Thompson, L.D.R.; Frommelt, R.A.; Bijwaard, K.E.; Heffess, C.S.; Abbondanzo, S.L. Malignant Lymphoma of the Thyroid Gland. Am. J. Surg. Pathol. 2000, 24, 623–639. [Google Scholar] [CrossRef]
- Thieblemont, C.; Mayer, A.; Dumontet, C.; Barbier, Y.; Callet-Bauchu, E.; Felman, P.; Berger, F.; Ducottet, X.; Martin, C.; Salles, G.; et al. Primary Thyroid Lymphoma Is a Heterogeneous Disease. J. Clin. Endocrinol. Metab. 2002, 87, 105–111. [Google Scholar] [CrossRef]
- Pedersen, R.K.; Pedersen, N.T. Primary non-Hodgkin’s lymphoma of the thyroid gland: A population based study. Histopathology 1996, 28, 25–32. [Google Scholar] [CrossRef]
- Kato, I.; Tajima, K.; Suchi, T.; Aozasa, K.; Matsuzuka, F.; Kuma, K.; Tominaga, S. Chronic thyroiditis as a risk factor of b-cell lymphoma in the thyroid gland. Jpn. J. Cancer Res. 1985, 76, 1085–1090. [Google Scholar] [CrossRef] [PubMed]
- Chai, Y.J.; Hong, J.H.; Koo, D.H.; Yu, H.W.; Lee, J.-H.; Kwon, H.; Kim, S.-J.; Choi, J.Y.; Lee, K.E. Clinicopathological characteristics and treatment outcomes of 38 cases of primary thyroid lymphoma: A multicenter study. Ann. Surg. Treat. Res. 2015, 89, 295–299. [Google Scholar] [CrossRef]
- Holm, L.-E.; Blomgren, H.; Löwhagen, T. Cancer Risks in Patients with Chronic Lymphocytic Thyroiditis. N. Engl. J. Med. 1985, 312, 601–604. [Google Scholar] [CrossRef]
- Walsh, S.; Lowery, A.J.; Evoy, D.; McDermott, E.W.; Prichard, R.S. Thyroid lymphoma: Recent advances in diagnosis and optimal management strategies. Oncologist 2013, 18, 994–1003. [Google Scholar] [CrossRef] [PubMed]
- Katna, R.; Shet, T.; Sengar, M.; Menon, H.; Laskar, S.; Prabhash, K.; D’Cruz, A.; Nair, R. Clinicopathologic study and outcome analysis of thyroid lymphomas: Experience from a tertiary cancer center. Head Neck 2012, 35, 165–171. [Google Scholar] [CrossRef] [PubMed]
- Alzouebi, M.; Goepel, J.R.; Horsman, J.M.; Hancock, B.W. Primary thyroid lymphoma: The 40 year experience of a UK lymphoma treatment centre. Int. J. Oncol. 2012, 40, 2075–2080. [Google Scholar]
- Stein, S.A.; Wartofsky, L. Primary Thyroid Lymphoma: A Clinical Review. J. Clin. Endocrinol. Metab. 2013, 98, 3131–3138. [Google Scholar] [CrossRef]
- Matsuda, M.; Sone, H.; Koyama, H.; Ishiguro, S. Fine-needle aspiration cytology of malignant lymphoma of the thyroid. Diagn. Cytopathol. 1987, 3, 244–249. [Google Scholar] [CrossRef] [PubMed]
- Onal, C.; Li, Y.X.; Miller, R.C.; Poortmans, P.; Constantinou, N.; Weber, D.C.; Atasoy, B.M.; Igdem, S.; Ozsahin, M.; Ozyar, E. Treatment results and prognostic factors in primary thyroid lymphoma patients: A Rare Cancer Network study. Ann. Oncol. 2011, 22, 156–164. [Google Scholar] [CrossRef]
- WHO Classification of Tumours Editorial Board. Haematolymphoid tumours. In WHO Classification of Tumours, 5th ed.; WHO Classification of Tumours Series; [Internet; Beta Version ahead of Print]; International Agency for Research on Cancer: Lyon, France, 2022; Volume 11, Available online: https://tumourclassification.iarc.who.int/chapters/63 (accessed on 6 December 2023).
- Freedman, A.; Jacobsen, E. Follicular Lymphoma: 2020 update on diagnosis and management. Am. J. Hematol. 2020, 95, 316–327. [Google Scholar] [CrossRef]
- Klapper, W.; Hoster, E.; Determann, O.; Oschlies, I.; van der Laak, J.; Berger, F.; Bernd, H.W.; Cabeçadas, J.; Campo, E.; Cogliatti, S.; et al. Ki-67 as a prognostic marker in mantle cell lymphoma-consensus guidelines of the pathology panel of the European MCL network. J. Hematop. 2009, 2, 103–111. [Google Scholar] [CrossRef]
- Chiu, B.C.-H.; Weisenburger, D.D. An Update of the Epidemiology of Non-Hodgkin’s Lymphoma. Clin. Lymphoma 2003, 4, 161–168. [Google Scholar] [CrossRef] [PubMed]
- Storck, K.; Brandstetter, M.; Keller, U.; Knopf, A. Clinical presentation and characteristics of lymphoma in the head and neck region. Head Face Med. 2019, 15, 1. [Google Scholar] [CrossRef]
- Pasieka, J.L. Hashimoto’s Disease and Thyroid Lymphoma: Role of the Surgeon. World J. Surg. 2000, 24, 966–970. [Google Scholar] [CrossRef] [PubMed]
- Watanabe, N.; Noh, J.Y.; Narimatsu, H.; Takeuchi, K.; Yamaguchi, T.; Kameyama, K.; Kobayashi, K.; Kami, M.; Kubo, A.; Kunii, Y.; et al. Clinicopathological features of 171 cases of primary thyroid lymphoma: A long-term study involving 24553 patients with Hashimoto’s disease. Br. J. Haematol. 2011, 153, 236–243. [Google Scholar] [CrossRef]
- Chen, C.; Yang, Y.; Jin, L.; Dong, L.; Zhang, X.; Xiang, Y. Primary thyroid T-lymphoblastic lymphoma: A case report and review of the literature. Int. J. Clin. Exp. Pathol. 2014, 7, 443. [Google Scholar]
- Lin, N.; Vargas-Pinto, S.; Gisriel, S.; Xu, M.; Gibson, C.E. Diffuse large B-cell and follicular lymphoma presenting as a slowly growing compressive goiter: A case report and literature review. Int. J. Surg. Case Rep. 2020, 72, 615–619. [Google Scholar] [CrossRef]
- Al-Tourah, A.J.; Gill, K.K.; Chhanabhai, M.; Hoskins, P.J.; Klasa, R.J.; Savage, K.J.; Sehn, L.H.; Shenkier, T.N.; Gascoyne, R.D.; Connors, J.M. Population-Based Analysis of Incidence and Outcome of Transformed Non-Hodgkin’s Lymphoma. J. Clin. Oncol. 2008, 26, 5165–5169. [Google Scholar] [CrossRef]
- Lossos, I.S.; Gascoyne, R.D. Transformation of follicular lymphoma. Best Pract. Res. Clin. Haematol. 2011, 24, 147–163. [Google Scholar] [CrossRef]
- Fischer, T.; Zing, N.P.C.; Chiattone, C.S.; Federico, M.; Luminari, S. Transformed follicular lymphoma. Ann. Hematol. 2017, 97, 17–29. [Google Scholar] [CrossRef] [PubMed]
- Zhu, Y.; Yang, S.; He, X. Prognostic evaluation models for primary thyroid lymphoma, based on the SEER database and an external validation cohort. J. Endocrinol. Investig. 2022, 45, 815–824. [Google Scholar] [CrossRef]
- Pyke, C.M.; Grant, C.S.; Habermann, T.M.; Kurtin, P.J.; van Heerden, J.A.; Bergstralh, E.J.; Kunselman, A.; Hay, I.D. Non-Hodgkin’s lymphoma of the thyroid: Is more than biopsy necessary? World J. Surg. 1992, 16, 604–609. [Google Scholar] [CrossRef]



| Antibody (Manufacturer) | Clone | RTU/Dilution | Antigen Retrieval | Primary Antibody Incubation Time | Visualization System |
|---|---|---|---|---|---|
| CD20 (Leica, Deer Park, IL, USA) | L26 | RTU | Epitope Retrieval Solution 1 pH 6 | 15′ | BOND Polymer Refine Detection |
| BCL2 (Leica, Deer Park, IL, USA) | 124 | RTU | Epitope Retrieval Solution 1 pH 6 | 15′ | BOND Polymer Refine Detection |
| BCL6 (Leica, Deer Park, IL, USA) | PG-B6p | RTU | Epitope Retrieval Solution 1 pH 6 | 15′ | BOND Polymer Refine Detection |
| CD10 (Leica, Deer Park, IL, USA) | 56C | RTU | Epitope Retrieval Solution 1 pH 6 | 15′ | BOND Polymer Refine Detection |
| MUM1 (Dako-Agilent, Santa Clara, CA, USA) | MUM1p | RTU | Epitope Retrieval Solution 1 pH 6 | 15′ | BOND Polymer Refine Detection |
| Ki-67 (Leica, Deer Park, IL, USA) | MIB-1 | RTU | Epitope Retrieval Solution 1 pH 6 | 15′ | BOND Polymer Refine Detection |
| CD79a (Leica, Deer Park, IL, USA) | JCB117 | RTU | Epitope Retrieval Solution 1 pH 6 | 15′ | BOND Polymer Refine Detection |
| Case Sex, Age (Years) | Clinical Diagnosis | Diagnostic Method | Local Signs | Clinical Symptoms | Hormonal Status | History of Autoimmune Thyroiditis |
|---|---|---|---|---|---|---|
| F, 59 years old | No clinical diagnosis | subtotal left lobectomy | NA | NA | NA | NA |
| F, 65 years old | No clinical diagnosis | subtotal left lobectomy | NA | NA | NA | NA |
| F, 54 years old | Cold thyroid nodule | subtotal left lobectomy | cervical neck mass | no obstructive symptoms | euthyroidism, antithyroglobulin antibodies | NA |
| M, 80 years old | Unspecified tumor | total right lobectomy | cervical neck mass | no obstructive symptoms | NA | NA |
| F, 73 years old | Lymphoma | FNA followed by total thyroidectomy | cervical neck mass | dysphagia, dyspnea, cough, dysphonia | hypothyroidism | Yes |
| F, 70 years old | Nodular goiter | total thyroidectomy | cervical neck mass | dysphagia, dyspnea | NA | NA |
| F, 75 years old | Nodular goiter | total thyroidectomy | cervical neck mass | dysphagia, dyspnea | hypothyroidism | Yes |
| M, 50 years old | Nodular goiter | total thyroidectomy | cervical neck mass | dysphagia, dyspnea, local pain, systemic symptoms | hypothyroidism, antithyroglobulin and antithyroid peroxidase antibodies | NA |
| F, 76 years old | Anaplastic carcinoma | subtotal thyroidectomy | cervical neck mass | dysphagia, dysphonia, systemic symptoms | NA | NA |
| M, 72 years old | Nodular goiter | total thyroidectomy | cervical neck mass | dysphagia, dyspnea, dysphonia | euthyroidism | NA |
| F, 74 years old | Nodular goiter | total thyroidectomy | cervical neck mass | dysphagia, dyspnea | euthyroidism | NA |
| Case Sex, Age (Years) | Histologic Type | Stage | Sites of Lymphoma Involvement Associated with Thyroid Lymphoma | Other Malignancies | Associated Hashimoto Thyroiditis | Treatment after Surgery | Overall Survival |
|---|---|---|---|---|---|---|---|
| F, 59 years old | E-MZL | IE | absent | papillary carcinoma | present | R-CHOP | Died of aortic aneurysm rupture 2 years later |
| F, 65 years old | DLBCL non-GCB | IE | absent | absent | present | NA | Alive—disease free after 13 years |
| F, 54 years old | Follicular lymphoma | IE | absent | papillary microcarcinoma | present | R–CHOP | Alive—disease free after 13 years |
| M, 80 years old | E-MZL | IE | extracapsular extension and in adipose tissue | absent | present | NA | Died, <1 year later |
| F, 73 years old | DLBCL GCB | IE | absent | absent | present | NA | Died, 10 years later |
| F, 70 years old | E-MZL | IE | extracapsular extension and in adipose tissue | absent | absent | NA | Died, 9 years later |
| F, 75 years old | DLBCL GCB | IE | extracapsular extension and in adipose tissue; lympho-vascular invasion | absent | present | R–CHOP | Died, 1 year and 2 months later |
| M, 50 years old | DLBCL non-GCB | IIE | superior mediastinal lymph nodes metastases | papillary microcarcinoma | present | R–CHOP | Alive—disease free after 6 years |
| F, 76 years old | DLBCL non-GCB | IV | latero-cervical, superior mediastinal lymph nodes and ileum metastases | absent | present | R–CHOP | Died, 4 years later |
| M, 72 years old | DLBCL GCB | IIE | right recurrent lymph nodes metastases | absent | present | NA | Alive—disease free after 5 years |
| * F, 74 years old | Follicular and diffuse (DLBCL) lymphoma | IE | absent | absent | present | R–CHOP | Alive—disease free after 4 years |
| Case Sex, Age (years) | Histologic Type | Immunohistochemistry Markers | ||||||
|---|---|---|---|---|---|---|---|---|
| CD20 | BCL2 | BCL6 | CD10 | MUM1 | Ki-67 | CD79a | ||
| F, 59 years old | E-MZL | + | + | NA | NA | NA | NA | NA |
| F, 65 years old | DLBCL non-GCB | + | NA | - | - | + (focal) | NA | NA |
| F, 54 years old | FL | + | + (focal) | + | + | NA | NA | + |
| M, 80 years old | E-MZL | + | NA | NA | NA | NA | NA | NA |
| F, 73 years old | DLBCL GCB | + | NA | - | + | - | NA | NA |
| F, 70 years old | E-MZL | + | + | - | + (focal) | NA | 30% | NA |
| F, 75 years old | DLBCL GCB | + | NA | - | + | - | NA | NA |
| M, 50 years old | DLBCL non-GCB | + | + | + | - | + | 75% | NA |
| F, 76 years old | DLBCL non-GCB | + | NA | - | - | + (focal) | 60% | NA |
| M, 72 years old | DLBCL GCB | + | - | + | - | NA | NA | NA |
| F, 74 years old | FL and diffuse (DLBCL) lymphoma | + | - | - | - | NA | 75% | NA |
Disclaimer/Publisher’s Note: The statements, opinions and data contained in all publications are solely those of the individual author(s) and contributor(s) and not of MDPI and/or the editor(s). MDPI and/or the editor(s) disclaim responsibility for any injury to people or property resulting from any ideas, methods, instructions or products referred to in the content. |
© 2024 by the authors. Licensee MDPI, Basel, Switzerland. This article is an open access article distributed under the terms and conditions of the Creative Commons Attribution (CC BY) license (https://creativecommons.org/licenses/by/4.0/).
Share and Cite
Vita, O.; Dema, A.; Barna, R.; Cornea, R.; Brebu, D.; Vlad, M.; Popa, O.; Muntean, I.; Szilagyi, D.; Iacob, M.; et al. Primary Thyroid Lymphoma: A Retrospective-Observational Study in a Single Institutional Center. Medicina 2024, 60, 476. https://doi.org/10.3390/medicina60030476
Vita O, Dema A, Barna R, Cornea R, Brebu D, Vlad M, Popa O, Muntean I, Szilagyi D, Iacob M, et al. Primary Thyroid Lymphoma: A Retrospective-Observational Study in a Single Institutional Center. Medicina. 2024; 60(3):476. https://doi.org/10.3390/medicina60030476
Chicago/Turabian StyleVita, Octavia, Alis Dema, Robert Barna, Remus Cornea, Dan Brebu, Mihaela Vlad, Oana Popa, Ioana Muntean, Diana Szilagyi, Mihaela Iacob, and et al. 2024. "Primary Thyroid Lymphoma: A Retrospective-Observational Study in a Single Institutional Center" Medicina 60, no. 3: 476. https://doi.org/10.3390/medicina60030476
APA StyleVita, O., Dema, A., Barna, R., Cornea, R., Brebu, D., Vlad, M., Popa, O., Muntean, I., Szilagyi, D., Iacob, M., Iordache, M., Cornianu, M., & Lazureanu, D. C. (2024). Primary Thyroid Lymphoma: A Retrospective-Observational Study in a Single Institutional Center. Medicina, 60(3), 476. https://doi.org/10.3390/medicina60030476

