Minimally Invasive Management and Diagnosis of Ectopic Splenic Pregnancy
Abstract
1. Introduction
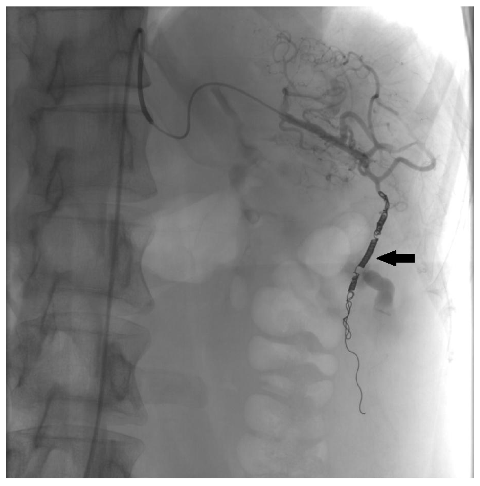
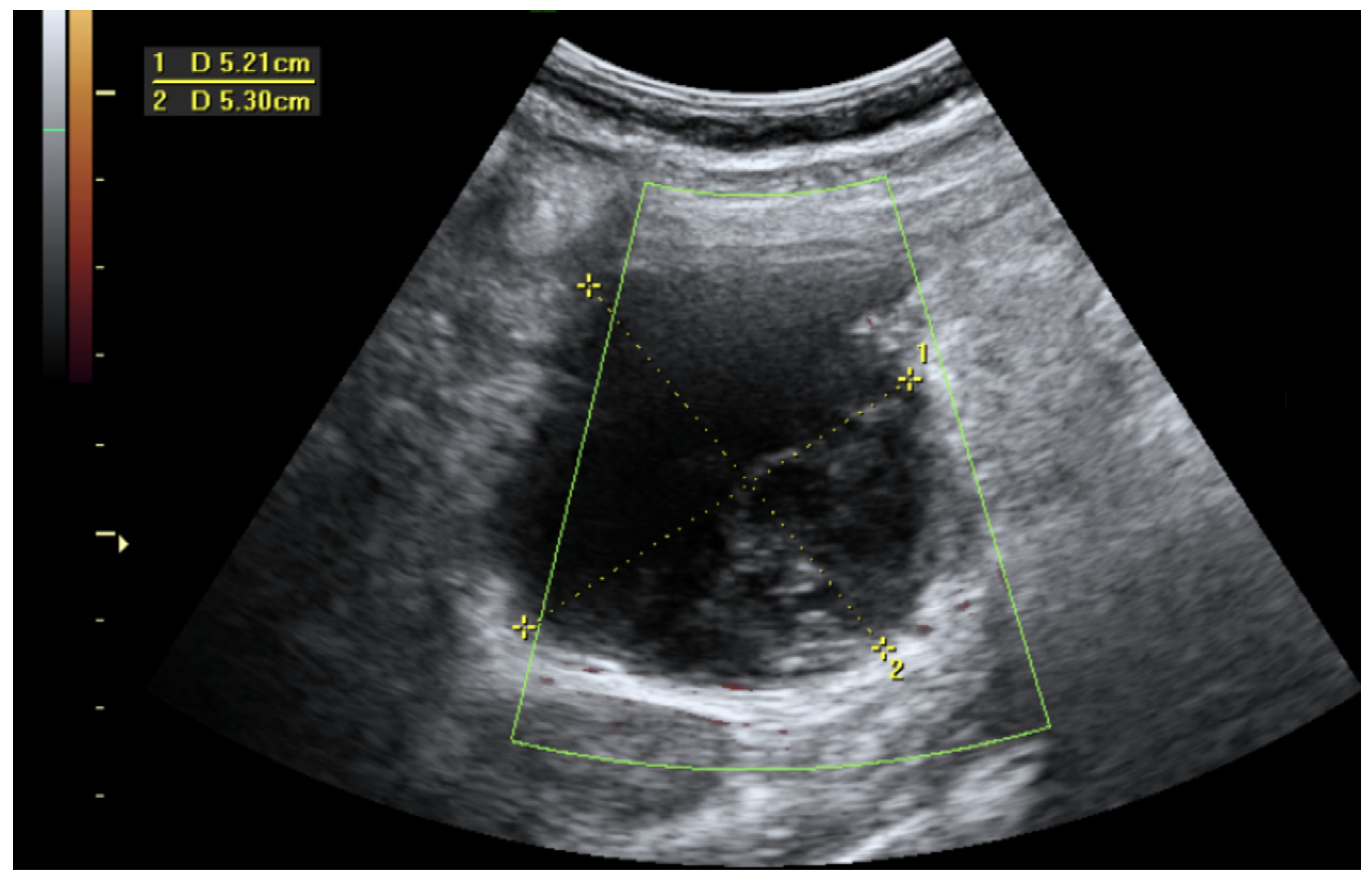
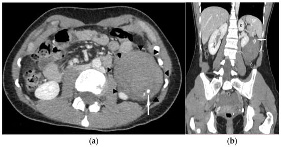
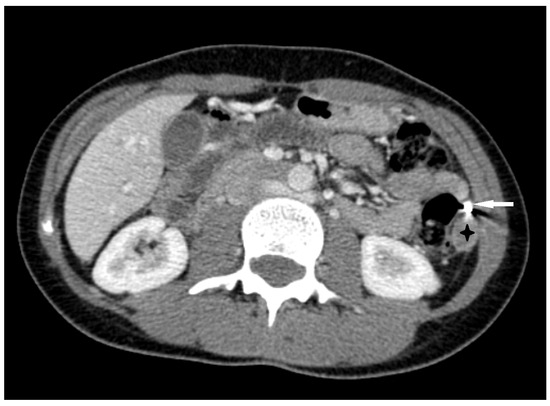
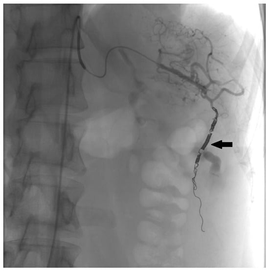
2. Case
3. Discussion
4. Conclusions
Author Contributions
Funding
Institutional Review Board Statement
Informed Consent Statement
Data Availability Statement
Conflicts of Interest
References
- Po, L.; Thomas, J.; Mills, K.; Zakhari, A.; Tulandi, T.; Shuman, M.; Page, A. Guideline No. 414: Management of Pregnancy of Unknown Location and Tubal and Nontubal Ectopic Pregnancies. J. Obstet. Gynaecol. Can. 2021, 43, 614–630.e1. [Google Scholar] [CrossRef]
- George, R.; Powers, E.; Gunby, R. Abdominal ectopic pregnancy. Proc. Bayl. Univ. Med. Cent. 2021, 34, 530–531. [Google Scholar] [CrossRef]
- Rana, P.; Kazmi, I.; Singh, R.; Afzal, M.; Al-Abbasi, F.A.; Aseeri, A.; Singh, R.; Khan, R.; Anwar, F. Ectopic pregnancy: A review. Arch. Gynecol. Obstet. 2013, 288, 747–757. [Google Scholar] [CrossRef]
- Zuñiga, L.A.; Alas-Pineda, C.; Reyes-Guardado, C.L.; Melgar, G.I.; Gaitán-Zambrano, K.; Gough, S. Advanced Abdominal Ectopic Pregnancy with Subsequent Fetal and Placental Extraction: A Case Report. Biomed. Hub 2022, 7, 42–47. [Google Scholar] [CrossRef]
- Buhur, A.; Unal, O. Management of ectopic pregnancy in a tertiary hospital: A retrospective cohort study. Eur. Rev. Med. Pharmacol. Sci. 2023, 27, 3500–3507. [Google Scholar] [CrossRef]
- Leziak, M.; Żak, K.; Frankowska, K.; Ziółkiewicz, A.; Perczyńska, W.; Abramiuk, M.; Tarkowski, R.; Kułak, K. Future Perspectives of Ectopic Pregnancy Treatment-Review of Possible Pharmacological Methods. Int. J. Environ. Res. Public Health 2022, 19, 14230. [Google Scholar] [CrossRef]
- Wang, X.; Huang, L.; Yu, Y.; Xu, S.; Lai, Y.; Zeng, W. Risk factors and clinical characteristics of recurrent ectopic pregnancy: A case-control study. J. Obstet. Gynaecol. Res. 2020, 46, 1098–1103. [Google Scholar] [CrossRef] [PubMed]
- Abdul Jabbar, N.A.R.; Saquib, S.; Talha, W.E.M. Successful Management of Abdominal Pregnancy: Two Case Reports. Oman Med. J. 2018, 33, 171–175. [Google Scholar] [CrossRef] [PubMed]
- Liu, Z.; Jing, C. A Case Report of Retroperitoneal Ectopic Pregnancy After in vitro Fertilization-Embryo Transfer and Literature Review. Int. J. Women’s Health 2023, 15, 679–693. [Google Scholar] [CrossRef] [PubMed]
- Mullany, K.; Minneci, M.; Monjazeb, R.; Coiado, O.C. Overview of ectopic pregnancy diagnosis, management, and innovation. Women’s Health 2023, 19, 1–13. [Google Scholar] [CrossRef] [PubMed]
- Rathore, R.; Shilpi, S.; Chopra, R.; Nargotra, N. Primary splenic pregnancy—A rare but imperative cause of hemoperitoneum—Case report and review of literature. Turk. Patoloji Derg. 2019, 35, 242–246. [Google Scholar] [CrossRef]
- Shah, M.; Patel, P.; Redstone, E.; Li, Z. Preoperative splenic artery embolization for splenic ectopic pregnancy. Radiol. Case Rep. 2022, 18, 285–288. [Google Scholar] [CrossRef]
- Antequera, A.; Babar, Z.; Balachandar, C.; Johal, K.; Sapundjieski, M.; Qandil, N. Managing Ruptured Splenic Ectopic Pregnancy Without Splenectomy: Case Report and Literature Review. Reprod. Sci. Reprod. Sci. 2021, 28, 2323–2330. [Google Scholar] [CrossRef] [PubMed]
- Hendriks, E.; Rosenberg, R.; Prine, L. Ectopic Pregnancy: Diagnosis and Management. Am. Fam. Phys. 2020, 101, 599–606. [Google Scholar]
- Lee, R.; Dupuis, C.; Chen, B.; Smith, A.; Kim, Y.H. Diagnosing ectopic pregnancy in the emergency setting. Ultrasonography 2018, 37, 78–87. [Google Scholar] [CrossRef] [PubMed]
- Hung, N.K.; Ha, D.M.; Khuong, N.H.; Anh, N.N.; Linh, P.T.T.; Anh, H.M.; Hiep, D.V.; Duc, N.M. Splenic ectopic pregnancy: Rare location of ectopic pregnancy, how does it present? Radiol. Case Rep. 2023, 18, 3884–3888. [Google Scholar] [CrossRef] [PubMed]
- Xu, H.; Cheng, D.; Yang, Q.; Wang, D. Multidisciplinary treatment of retroperitoneal ectopic pregnancy: A case report and literature review. BMC Pregnancy Childbirth 2022, 22, 472. [Google Scholar] [CrossRef]
- Cai, H.; Zhang, L.; Xiang, H. Expert consensus on interventional therapy for traumatic splenic bleeding. J. Interv. Med. 2020, 3, 109–117. [Google Scholar] [CrossRef]
- Gao, H.; Yuan, T.; Ding, Y.; Lin, X.; Wang, Q.; Dai, L.; Jiang, G.; Chen, J. Primary splenic pregnancy with hemorrhagic shock. Journal of Obstetrics and Gynaecology Research. J. Obstet. Gynaecol. Res. 2017, 43, 1342–1345. [Google Scholar] [CrossRef]
- Yutaka, K.; Takuya, O.; Masato, Y.; Koji, S.; Takamichi, M. The Management of Splenic Injuries. Interv. Radiol. 2023; Advance online publication. [Google Scholar] [CrossRef]
- Klang, E.; Keddel, N.; Inbar, Y.; Rimon, U.; Amitai, M. Splenic Pregnancy: A New Minimally Invasive Approach to Treatment. Cardiovasc. Intervent. Radiol. 2016, 39, 1339–1342. [Google Scholar] [CrossRef]
- Python, J.L.; Wakefield, B.W.; Kondo, K.L.; Bang, T.J.; Stamm, E.R.; Hurt, K.J. Ultrasound-Guided Percutaneous Management of Splenic Ectopic Pregnancy. J. Minim. Invasive Gynecol. 2016, 23, 997–1002. [Google Scholar] [CrossRef] [PubMed]
- Makrigiannakis, A.; Raissaki, M.; Vrekoussis, T.; Patramani, S.; Makrygiannakis, F.; Kholcheva, N.; Tsetis, D. Splenic pregnancy treated with transcatheter embolization and methotrexate. Arch. Gynecol. Obstet. 2021, 303, 55–59. [Google Scholar] [CrossRef] [PubMed]
- Buzelé, R.; Barbier, L.; Sauvanet, A.; Fantin, B. Medical complications following splenectomy. J. Visc. Surg. 2016, 153, 277–286. [Google Scholar] [CrossRef] [PubMed]





Disclaimer/Publisher’s Note: The statements, opinions and data contained in all publications are solely those of the individual author(s) and contributor(s) and not of MDPI and/or the editor(s). MDPI and/or the editor(s) disclaim responsibility for any injury to people or property resulting from any ideas, methods, instructions or products referred to in the content. |
© 2024 by the authors. Licensee MDPI, Basel, Switzerland. This article is an open access article distributed under the terms and conditions of the Creative Commons Attribution (CC BY) license (https://creativecommons.org/licenses/by/4.0/).
Share and Cite
Strakšytė, V.; Mikšytė, R.; Kulnickaitė, U.; Gudelevičius, S. Minimally Invasive Management and Diagnosis of Ectopic Splenic Pregnancy. Medicina 2024, 60, 470. https://doi.org/10.3390/medicina60030470
Strakšytė V, Mikšytė R, Kulnickaitė U, Gudelevičius S. Minimally Invasive Management and Diagnosis of Ectopic Splenic Pregnancy. Medicina. 2024; 60(3):470. https://doi.org/10.3390/medicina60030470
Chicago/Turabian StyleStrakšytė, Vestina, Rūta Mikšytė, Ugnė Kulnickaitė, and Simas Gudelevičius. 2024. "Minimally Invasive Management and Diagnosis of Ectopic Splenic Pregnancy" Medicina 60, no. 3: 470. https://doi.org/10.3390/medicina60030470
APA StyleStrakšytė, V., Mikšytė, R., Kulnickaitė, U., & Gudelevičius, S. (2024). Minimally Invasive Management and Diagnosis of Ectopic Splenic Pregnancy. Medicina, 60(3), 470. https://doi.org/10.3390/medicina60030470

