Emphysematous Pancreatitis as a Life-Threatening Condition: A Case Report and Review of the Literature
Abstract
1. Introduction
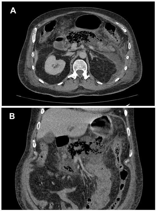
2. Case Presentation
3. Discussion
4. Conclusions
Author Contributions
Funding
Institutional Review Board Statement
Informed Consent Statement
Data Availability Statement
Conflicts of Interest
References
- Chou, C.Y.; Su, Y.J.; Yang, H.W.; Chang, C.W. Risk factors for mortality in emphysematous pancreatitis. J. Drug Assess. 2020, 9, 1–7. [Google Scholar] [CrossRef]
- Porter, N.A.; Lapsia, S.K. Emphysematous pancreatitis: A severe complication of acute pancreatitis. QJM 2011, 104, 897. [Google Scholar] [CrossRef]
- Sandhu, S.; Alhankawi, D.; Chintanaboina, J.; Prajapati, D. Emphysematous Pancreatitis Mimicking fistl Perforation. ACG Case Rep. J. 2021, 8, e00641. [Google Scholar] [CrossRef]
- Kvinlaug, K.; Kriegler, S.; Moser, M. Emphysematous pancreatitis: A less aggressive form of infected pancreatic necrosis? Pancreas 2009, 38, 667–671. [Google Scholar] [CrossRef]
- Grayson, D.E.; Abbott, R.M.; Levy, A.D.; Sherman, P.M. Emphysematous infections of the abdomen and pelvis: A pictorial review. RadioGraphics 2002, 22, 543–561. [Google Scholar] [CrossRef]
- Wig, J.D.; Kochhar, R.; Bharathy, K.G.S.; Kudari, A.K.; Doley, R.P.; Yadav, T.D.; Kalra, N. Emphysematous pancreatitis. Radiological curiosity or a cause for concern? JOP 2008, 9, 160–166. [Google Scholar]
- Bul, V.; Yazici, C.; Staudacher, J.J.; Jung, B.; Boulay, B.R. Multiorgan failure predicts mortality in emphysematous pancreatitis. Pancreas 2017, 46, 825–830. [Google Scholar] [CrossRef]
- Nepal, P.; Ojili, V.; Kaur, N.; Tirumani, S.H.; Nagar, A. Gas Where It Shouldn’t Be! Imaging Spectrum of Emphysematous Infections in the Abdomen and Pelvis. AJR Am. J. Roentgenol. 2021, 216, 812–823. [Google Scholar] [CrossRef]
- Nadkarni, N.; D’Cruz, S.; Kaur, R.; Sachdev, A. Successful outcome with conservative management of emphysematous pancreatitis. Indian J. Gastroenterol. 2013, 32, 242–245. [Google Scholar] [CrossRef]
- Ikegami, T.; Kido, A.; Shimokawa, H.; Ishida, T. Primary gas gangrene of the pancreas: Report of a case. Surg. Today 2004, 34, 80–81. [Google Scholar] [CrossRef]
- Bazan, H.A.; Kim, U. Images in clinical medicine. Emphysematous pancreatitis. N. Engl. J. Med. 2003, 349, e25. [Google Scholar] [CrossRef]
- Wolbrink, D.R.J.; Kolwijck, E.; ten Oever, J.; Horvath, K.D.; Bouwense, S.A.W.; Schouten, J.A. Management of infected pancreatic necrosis in the intensive care unit: A narrative review. Clin. Microbiol. Infect. 2020, 26, 18–25. [Google Scholar] [CrossRef]
- Traverso, L.W.; Kozarek, R.A. Pancreatic necrosectomy: Definitions and technique. J. Gastrointest. Surg. 2005, 9, 436–439. [Google Scholar] [CrossRef]
- van Santvoort, H.C.; Besselink, M.G.; Bakker, O.J.; Hofker, H.S.; Boermeester, M.A.; Dejong, C.H.; van Goor, H.; Schaapherder, A.F.; van Eijck, C.H.; Bollen, T.L.; et al. A step-up approach or open necrosectomy for necrotizing pancreatitis. N. Engl. J. Med. 2010, 362, 1491–1502. [Google Scholar] [CrossRef]
- Leppäniemi, A.; Tolonen, M.; Tarasconi, A.; Segovia-Lohse, H.; Gamberini, E.; Kirkpatrick, A.W.; Ball, C.G.; Parry, N.; Sartelli, M.; Wolbrink, D.; et al. 2019 WSES guidelines for the management of severe acute pancreatitis. World J. Emerg. Surg. 2019, 14, 27. [Google Scholar] [CrossRef]
- Chan, K.S.; Shelat, V.G. Diagnosis, severity stratification and management of adult acute pancreatitis-current evidence and controversies. World J. Gastrointest. Surg. 2022, 14, 1179–1197. [Google Scholar] [CrossRef]
- Tenner, S.; Baillie, J.; DeWitt, J.; Vege, S.S. American College of Gastroenterology guideline: Management of acute pancreatitis. Am. J. Gastroenterol. 2013, 108, 1400–1415. [Google Scholar] [CrossRef]
- Connor, S.F.; Raraty, M.G.F.; Neoptolemos, J.P.M.; Layer, P.; Rünzi, M. Does infected pancreatic necrosis require immediate or emergency debridement? Pancreas 2006, 33, 128–134. [Google Scholar] [CrossRef]
- Lee, V.T.W.; Chung, A.Y.F.; Chow, P.K.H.; Thng, C.H.; Low, A.S.C.; Ooi, L.L.P.J.; Wong, W.-K. Infected pancreatic necrosis-an evaluation of the timing and technique of necrosectomy in a Southeast Asian population. Ann. Acad. Med. Singap. 2006, 35, 523–530. [Google Scholar] [CrossRef]
- Pinto, S.; Bellizzi, S.; Badas, R.; Canfora, M.L.; Loddo, E.; Spada, S.; Khalaf, K.; Fugazza, A.; Bergamini, S. Direct Endoscopic Necrosectomy: Timing and Technique. Medicina 2021, 57, 1305. [Google Scholar] [CrossRef]
- Chantarojanasiri, T.; Ratanachu-Ek, T.; Isayama, H. When Should We Perform Endoscopic Drainage and Necrosectomy for Walled-Off Necrosis? J. Clin. Med. 2020, 9, 4072. [Google Scholar] [CrossRef]
- van Brunschot, S.; van Grinsven, J.; van Santvoort, H.C.; Bakker, O.J.; Besselink, M.G.; A Boermeester, M.; Bollen, T.L.; Bosscha, K.; A Bouwense, S.; Bruno, M.J.; et al. Endoscopic or surgical step-up approach for infected necrotising pancreatitis: A multicentre randomised trial. Lancet 2018, 391, 51–58. [Google Scholar] [CrossRef]
- Pattarapuntakul, T.; Charoenrit, T.; Wong, T.; Netinatsunton, N.; Ovartlarnporn, B.; Yaowmaneerat, T.; Tubtawee, T.; Boonsri, P.; Sripongpun, P. Clinical Outcomes of the Endoscopic Step-Up Approach with or without Radiology-Guided Percutaneous Drainage for Symptomatic Walled-Off Pancreatic Necrosis. Medicina 2023, 59, 569. [Google Scholar] [CrossRef]

Disclaimer/Publisher’s Note: The statements, opinions and data contained in all publications are solely those of the individual author(s) and contributor(s) and not of MDPI and/or the editor(s). MDPI and/or the editor(s) disclaim responsibility for any injury to people or property resulting from any ideas, methods, instructions or products referred to in the content. |
© 2024 by the authors. Licensee MDPI, Basel, Switzerland. This article is an open access article distributed under the terms and conditions of the Creative Commons Attribution (CC BY) license (https://creativecommons.org/licenses/by/4.0/).
Share and Cite
Filipović, A.; Mašulović, D.; Bulatović, D.; Zakošek, M.; Igić, A.; Filipović, T. Emphysematous Pancreatitis as a Life-Threatening Condition: A Case Report and Review of the Literature. Medicina 2024, 60, 406. https://doi.org/10.3390/medicina60030406
Filipović A, Mašulović D, Bulatović D, Zakošek M, Igić A, Filipović T. Emphysematous Pancreatitis as a Life-Threatening Condition: A Case Report and Review of the Literature. Medicina. 2024; 60(3):406. https://doi.org/10.3390/medicina60030406
Chicago/Turabian StyleFilipović, Aleksandar, Dragan Mašulović, Dušan Bulatović, Miloš Zakošek, Aleksa Igić, and Tamara Filipović. 2024. "Emphysematous Pancreatitis as a Life-Threatening Condition: A Case Report and Review of the Literature" Medicina 60, no. 3: 406. https://doi.org/10.3390/medicina60030406
APA StyleFilipović, A., Mašulović, D., Bulatović, D., Zakošek, M., Igić, A., & Filipović, T. (2024). Emphysematous Pancreatitis as a Life-Threatening Condition: A Case Report and Review of the Literature. Medicina, 60(3), 406. https://doi.org/10.3390/medicina60030406

