Clinical Challenges in Diagnosing Primordial Dwarfism: Insights from a MOPD II Case Study
Abstract
1. Introduction
2. Materials and Methods
2.1. Case Report
2.2. Laboratory Investigations
2.3. Imagistic Investigations
2.4. Molecular Investigations
3. Results
3.1. Clinical Evaluation of the Patient Land Laboratory Investigations
3.2. Laboratory Investigations
3.3. Imaging
X-Rays
3.4. Molecular Investigations
4. Discussions
4.1. Clinical Overview and Genetics of Primordial Dwarfism
4.1.1. Seckel Syndrome
4.1.2. MODP Types I, III
4.1.3. MOPD II Syndrome
4.1.4. Meier–Gorlin Syndrome—MGS (Ear–Patella–Short Stature Syndrome)
4.1.5. Russel–Silver Syndrome
4.2. Differential Diagnosis
4.3. Treatment of PD
4.4. Diagnosis and Monitoring
4.5. Genetic Counseling
5. Conclusions
Author Contributions
Funding
Institutional Review Board Statement
Informed Consent Statement
Data Availability Statement
Acknowledgments
Conflicts of Interest
References
- Khetarpal, P.; Das, S.; Panigrahi, I.; Munshi, A. Primordial Dwarfism: Overview of Clinical and Genetic Aspects. Mol. Genet. Genom. 2016, 291, 1–15. [Google Scholar] [CrossRef]
- Lawn, J.E.; Blencowe, H.; Pattinson, R.; Cousens, S.; Kumar, R.; Ibiebele, I.; Gardosi, J.; Day, L.T.; Stanton, C.; Lancet’s Stillbirths Series steering committee. Stillbirths: Where? When? Why? How to Make the Data Count? Lancet 2011, 377, 1448–1463. [Google Scholar] [CrossRef] [PubMed]
- Cousens, S.; Blencowe, H.; Stanton, C.; Chou, D.; Ahmed, S.; Steinhardt, L.; Creanga, A.A.; Tunçalp, O.; Balsara, Z.P.; Gupta, S.; et al. National, Regional, and Worldwide Estimates of Stillbirth Rates in 2009 with Trends since 1995: A Systematic Analysis. Lancet 2011, 377, 1319–1330. [Google Scholar] [CrossRef]
- Widdowson, E.M. Harmony of Growth. Lancet 1970, 1, 902–905. [Google Scholar] [CrossRef] [PubMed]
- Klingseisen, A.; Jackson, A.P. Mechanisms and Pathways of Growth Failure in Primordial Dwarfism. Genes Dev. 2011, 25, 2011–2024. [Google Scholar] [CrossRef] [PubMed]
- Vakili, R.; Hashemian, S. Primordial Dwarfism: A Case Series from North East of Iran and Literature Review. J. Pediatr. Rev. 2018, 7, 113–120. [Google Scholar] [CrossRef]
- Sisodia, R.; Raj, R.K.; Goel, V. Seckel Syndrome: A Rare Case Report. J. Indian Soc. Pedod. Prev. Dent. 2014, 32, 160. [Google Scholar] [CrossRef] [PubMed]
- Abohelwa, M.; Elmassry, M.; Iskandir, M.; Rogers, B.; Swaminath, D. Seckel Syndrome Presenting with Complete Heart Block. Proc. (Bayl. Univ. Med. Cent.) 2021, 34, 405–406. [Google Scholar] [CrossRef] [PubMed]
- Jones, K.L.; Jones, M.C.; del Campo, M. Smith’s Recognizable Patterns of Human Malformation, 8th ed.; Elsevier-Health Sciences Division: Philadelphia, PA, USA, 2021. [Google Scholar]
- Vardhan, B.H.; Muthu, M.S.; Saraswathi, K.; Koteeswaran, D. Bird-Headed Dwarf of Seckel. J. Indian Soc. Pedod. Prev. Dent. 2007, 25, 8–9. [Google Scholar] [CrossRef]
- Benhelli, M.; Gaillard, H.; Biasutto, L.; Guen, P.; Touzot, T.; Vasquez, F. Primary Microcephaly, Impaired DNA Replication and Genomic Instability Caused by Compound Heterozygous ATR Mutations. Hum. Mutat. 2013, 34, 374–384. [Google Scholar] [CrossRef]
- Majweski, F.; Goecke, T. Studies of Microcephalic Primordial Dwarfism I: Approach to a Delineation of the Seckle Syndrome. Am. J. Med. Genet. 1982, 12, 7–21. [Google Scholar] [CrossRef] [PubMed]
- Seckel, H.P.G. Bird-Headed Dwarfs: Studies in Developmental Anthropology Including Human Proportions; CC Thomas: Springfield, IL, USA, 1960. [Google Scholar]
- Saeidi, M.; Shahbandari, M. A Child with Seckel Syndrome and Arterial Stenosis: Case Report and Literature Review. Int. Med. Case Rep. J. 2020, 13, 159–163. [Google Scholar] [CrossRef] [PubMed]
- Mudassir, B.U.; Agha, Z. Microcephaly, Short Stature, Intellectual Disability, Speech Absence and Cataract Are Associated with Novel Bi-Allelic Missense Variant in RTTN Gene: A Seckel Syndrome Case Report. Children 2023, 10, 1027. [Google Scholar] [CrossRef] [PubMed]
- Tatiya, N.; Kesri, R.; Ukey, A. Seckel Dwarfism-A Rare Autosomal Recessive Inherited Syndrome: A Case Report. Int. J. Clin. Pediatr. Dent. 2024, 17, 211–215. [Google Scholar] [CrossRef]
- Casper, A.M.; Durkin, S.G.; Arlt, M.F.; Glover, T.W. Chromosomal Instability at Common Fragile Sites in Seckel Syndrome. Am. J. Hum. Genet. 2004, 75, 654–660. [Google Scholar] [CrossRef]
- O’Driscoll, M.; Ruiz-Perez, V.L.; Woods, C.G.; Jeggo, P.A.; Goodship, J.A. A Splicing Mutation Affecting Expression of Ataxia-Telangiectasia and Rad3-Related Protein (ATR) Results in Seckel Syndrome. Nat. Genet. 2003, 33, 497–501. [Google Scholar] [CrossRef]
- Qvist, P.; Huertas, P.; Jimeno, S.; Nyegaard, M.; Hassan, M.J.; Jackson, S.P.; Børglum, A.D. CtIP Mutations Cause Seckel and Jawad Syndromes. PLoS Genet. 2011, 7, e1002310. [Google Scholar] [CrossRef]
- Kalay, E.; Yigit, G.; Aslan, Y.; Brown, K.E.; Pohl, E.; Bicknell, L.S.; Kayserili, H.; Li, Y.; Tüysüz, B.; Nürnberg, G.; et al. CEP152 Is a Genome Maintenance Protein Disrupted in Seckel Syndrome. Nat. Genet. 2011, 43, 23–26. [Google Scholar] [CrossRef]
- Al-Dosari, M.S.; Shaheen, R.; Colak, D.; Alkuraya, F.S. Novel CENPJ Mutation Causes Seckel Syndrome. J. Med. Genet. 2010, 47, 411–414. [Google Scholar] [CrossRef]
- Sir, J.-H.; Barr, A.R.; Nicholas, A.K.; Carvalho, O.P.; Khurshid, M.; Sossick, A.; Reichelt, S.; D’Santos, C.; Woods, C.G.; Gergely, F. A Primary Microcephaly Protein Complex Forms a Ring around Parental Centrioles. Nat. Genet. 2011, 43, 1147–1153. [Google Scholar] [CrossRef]
- Haheen, R.; Faqeih, E.; Ansari, S. Genomic Analysis of Primordial Dwarfism Reveals Novel Disease Genes. Genome Res. 2014, 24, 291–299. [Google Scholar]
- Ogi, T.; Walker, S.; Stiff, T.; Hobson, E.; Limsirichaikul, S.; Carpenter, G.; Prescott, K.; Suri, M.; Byrd, P.J.; Matsuse, M.; et al. Identification of the First ATRIP-Deficient Patient and Novel Mutations in ATR Define a Clinical Spectrum for ATR-ATRIP Seckel Syndrome. PLoS Genet. 2012, 8, e1002945. [Google Scholar] [CrossRef]
- Dauber, A.; Lafranchi, S.H.; Maliga, Z.; Lui, J.C.; Moon, J.E.; McDeed, C.; Henke, K.; Zonana, J.; Kingman, G.A.; Pers, T.H.; et al. Novel Microcephalic Primordial Dwarfism Disorder Associated with Variants in the Centrosomal Protein Ninein. J. Clin. Endocrinol. Metab. 2012, 97, E2140–E2151. [Google Scholar] [CrossRef] [PubMed]
- Martin, C.-A.; Ahmad, I.; Klingseisen, A.; Hussain, M.S.; Bicknell, L.S.; Leitch, A.; Nürnberg, G.; Toliat, M.R.; Murray, J.E.; Hunt, D.; et al. Mutations in PLK4, Encoding a Master Regulator of Centriole Biogenesis, Cause Microcephaly, Growth Failure and Retinopathy. Nat. Genet. 2014, 46, 1283–1292. [Google Scholar] [CrossRef] [PubMed]
- Yigit, G.; Brown, K.E.; Kayserili, H.; Pohl, E.; Caliebe, A.; Zahnleiter, D.; Rosser, E.; Bögershausen, N.; Uyguner, Z.O.; Altunoglu, U.; et al. Mutations in CDK5RAP2 Cause Seckel Syndrome. Mol. Genet. Genomic Med. 2015, 3, 467–480. [Google Scholar] [CrossRef] [PubMed]
- Dinçer, T.; Yorgancıoğlu-Budak, G.; Ölmez, A.; Er, İ.; Dodurga, Y.; Özdemir, Ö.M.A.; Toraman, B.; Yıldırım, A.; Sabir, N.; Akarsu, N.A.; et al. Analysis of Centrosome and DNA Damage Response in PLK4 Associated Seckel Syndrome. Eur. J. Hum. Genet. 2017, 25, 1118–1125. [Google Scholar] [CrossRef] [PubMed]
- Rauch, A. The Shortest of the Short: Pericentrin Mutations and Beyond. Best Pract. Res. Clin. Endocrinol. Metab. 2011, 25, 125–130. [Google Scholar] [CrossRef] [PubMed]
- Wang, Y.; Wu, X.; Du, L.; Zheng, J.; Deng, S.; Bi, X.; Chen, Q.; Xie, H.; Férec, C.; Cooper, D.N.; et al. Identification of Compound Heterozygous Variants in the Noncoding RNU4ATAC Gene in a Chinese Family with Two Successive Foetuses with Severe Microcephaly. Hum. Genom. 2018, 12, 3. [Google Scholar] [CrossRef]
- Duker, A.; Velasco, D.; Robertson, N.; Jackson, A.; DeFelice, M.; Bober, M.B. RNU4atac-Opathy. In GeneReviews; University of Washington: Seattle, WA, USA, 1993. [Google Scholar]
- Tabib, A.; Richmond, C.M.; McGaughran, J. Delineating the Phenotype of RNU4ATAC-related Spliceosomopathy. Am. J. Med. Genet. A 2023, 191, 1094–1100. [Google Scholar] [CrossRef]
- Hall, J.G.; Flora, C.; Scott, C.I., Jr.; Pauli, R.M.; Tanaka, K.I. Majewski Osteodysplastic Primordial Dwarfism Type II (MOPD II): Natural History and Clinical Findings. Am. J. Med. Genet. A 2004, 130A, 55–72. [Google Scholar] [CrossRef]
- Perry, L.D.; Robertson, F.; Ganesan, V. Screening for Cerebrovascular Disease in Microcephalic Osteodyspalstic Primordial Dwarfism Type II (MOPD II): An Evidence-Based Proposal. Pediatr. Neurol. 2013, 48, 294–298. [Google Scholar] [CrossRef] [PubMed]
- Eslava, A.; Garcia-Puig, M.; Corripio, R. A 10-Year-Old Boy with Short Stature and Microcephaly, Diagnosed with Moyamoya Syndrome and Microcephalic Osteodysplastic Primordial Dwarfism Type II (MOPD II). Am. J. Case Rep. 2021, 22, e933919-1. [Google Scholar] [CrossRef] [PubMed]
- Bober, M.B.; Jackson, A.P. Microcephalic Osteodysplastic Primordial Dwarfism, Type II: A Clinical Review. Curr. Osteoporos. Rep. 2017, 15, 61–69, Erratum in Curr. Osteoporos. Rep. 2017, 15, 399. [Google Scholar] [CrossRef]
- Rauch, A.; Thiel, C.T.; Schindler, D.; Wick, U.; Crow, Y.J.; Ekici, A.B.; van Essen, A.J.; Goecke, T.O.; Al-Gazali, L.; Chrzanowska, K.H.; et al. Mutations in the Pericentrin (PCNT) Gene Cause Primordial Dwarfism. Science 2008, 319, 816–819. [Google Scholar] [CrossRef] [PubMed]
- Unal, S.; Alanay, Y.; Cetin, M.; Boduroglu, K.; Utine, E.; Cormier-Daire, V.; Huber, C.; Ozsurekci, Y.; Kilic, E.; Simsek Kiper, O.P.; et al. Striking Hematological Abnormalities in Patients with Microcephalic Osteodysplastic Primordial Dwarfism Type II (MOPD II): A Potential Role of Pericentrin in Hematopoiesis: Hematological Abnormalities in MOPD II. Pediatr. Blood Cancer 2014, 61, 302–305. [Google Scholar] [CrossRef]
- Sonja, A.; Munnik, D.; Hoesloot, E.; Roukema, J.; Schoots, J.; Kneors, N. Gorlin Syndrome. Orphanet J. Rare Dis. 2015, 7, 113–120. [Google Scholar]
- Shawky, R.M.; Gamal, R. Meier–Gorlin Syndrome: An Additional Egyptian Patient with Gastroesophageal Reflux, Hydronephrosis, Renal Stones and Hypoplastic Labia Majora and Minora with Clitromegaly. Egypt. J. Med. Hum. Genet. 2016, 17, 397–400. [Google Scholar] [CrossRef][Green Version]
- Kjær, I.; Hansen, N.; Becktor, K.B.; Birkebæk, N.; Balslev, T. Craniofacial Morphology, Dentition, and Skeletal Maturity in Four Siblings with Seckel Syndrome. Cleft Palate Craniofac. J. 2001, 38, 645–651. [Google Scholar] [CrossRef] [PubMed]
- de Munnik, S.A.; Hoefsloot, E.H.; Roukema, J.; Schoots, J.; Knoers, N.V.; Brunner, H.G.; Jackson, A.P.; Bongers, E.M. Meier-Gorlin Syndrome. Orphanet J. Rare Dis. 2015, 10, 114. [Google Scholar] [CrossRef] [PubMed]
- Rao, V.B.; Lily, K.; Seema, K.; Ghosh, K.; Dipika, M. Paternal Reciprocal Translocation t(11;16)(P13;Q24.3) in a Silver-Russel Syndrome Patient. Ann. Genet. 2003, 46, 475–478. [Google Scholar] [CrossRef]
- Clayton, P.E.; Hanson, D.; Magee, L.; Murray, P.G.; Saunders, E.; Abu-Amero, S.N.; Moore, G.E.; Black, G.C.M. Exploring the Spectrum of 3-M Syndrome, a Primordial Short Stature Disorder of Disrupted Ubiquitination. Clin. Endocrinol. 2012, 77, 335–342. [Google Scholar] [CrossRef] [PubMed]
- Marsaud, C.; Rossingnol, S.; Tounian, P.; Netchine, I.; Dubern, B. Prevalence and Management of Gastro Intestinal Manifestation in Silver- Russell Syndrome. Arch. Dis. Child. 2015, 100, 353–358. [Google Scholar] [CrossRef]
- Abdelhedi, F.; El Khattabi, L.; Cuisset, L.; Tsatsaris, V.; Viot, G.; Druart, L.; Lebbar, A.; Dupont, J.-M. Neonatal Silver-Russell Syndrome with Maternal Uniparental Heterodisomy, Trisomy 7 Mosaicism, and Dysplasia of the Cerebellum. Am. J. Clin. Pathol. 2014, 142, 248–253. [Google Scholar] [CrossRef]
- Eggermann, T.; Eggermann, K.; Mergenthale, S.; Kuner, R.; Kaiser, P.; Ranke, M.B.; Wollmann, H.A. Paternally Inherited Deletion of CSH 1 in a Patient with Silver-Russell Syndrome. J. Med. Genet. 1998, 35, 784–786. [Google Scholar] [CrossRef]
- Eggermann, T.; Spengler, S.; Bachmann, N.; Baudis, M.; Mau-Holzmann, U.A.; Singer, S.; Rossier, E. Chromosome 11p15 Duplication in Silver-Russell Syndrome Due to a Maternally Inherited Translocation t(11;15). Am. J. Med. Genet. A 2010, 152A, 1484–1487. [Google Scholar] [CrossRef]
- Coutton, C.; Devillard, F.; Vieville, G.; Amblard, F.; Lopez, G.; Jouk, P.S. 17p13.1 Microduplication in a Boy with Silver-Russell Syndrome Features and Intellectual Disability. Am. J. Med. Genetics. Part A 2012, 158, 2564–2570. [Google Scholar] [CrossRef] [PubMed]
- Lin, S.-Y.; Lee, C.-N.; Hung, C.-C.; Tsai, W.-Y.; Lin, S.-P.; Li, N.-C.; Hsieh, W.-S.; Tung, Y.-C.; Niu, D.-M.; Hsu, W.-M.; et al. Epigenetic Profiling of the H19 Differentially Methylated Region and Comprehensive Whole Genome Array-Based Analysis in Silver-Russell Syndrome. Am. J. Med. Genet. A 2010, 152A, 2521–2528. [Google Scholar] [CrossRef]
- Spengler, S.; Schönherr, N.; Binder, G.; Wollmann, H.A.; Fricke-Otto, S.; Mühlenberg, R.; Denecke, B.; Baudis, M.; Eggermann, T. Submicroscopic Chromosomal Imbalances in Idiopathic Silver-Russell Syndrome (SRS): The SRS Phenotype Overlaps with the 12q14 Microdeletion Syndrome. J. Med. Genet. 2010, 47, 356–360. [Google Scholar] [CrossRef] [PubMed][Green Version]
- Ramirez-Duenas, M.L.; Medina, C.; Ocampo-Campos, R.; Rivera, H. Severe Silver-Russell Syndrome and Translocation (17;20)(Q25;Q13). Clin. Genet. 1992, 41, 51–53. [Google Scholar] [CrossRef]
- Dias, R.P.; Bogdarina, I.; Cazier, J.-B.; Buchanan, C.; Donaldson, M.C.; Johnston, L.B.; Hokken-Koelega, A.C.; Clark, A.J.L. Multiple Segmental Uniparental Disomy Associated with Abnormal DNA Methylation of Imprinted Loci in Silver-Russell Syndrome. J. Clin. Endocrinol. Metab. 2012, 97, E2188–E2193. [Google Scholar] [CrossRef]
- Demars, J.; Gicquel, C. Epigenetic and genetic disturbance of the imprinted 11p15 region in Beckwith-Wiedemann and Silver–Russell syndromes. Clin. Genet. 2012, 81, 350–361. [Google Scholar] [CrossRef] [PubMed]
- Jurcă, M.C.; Bembea, M.; Iuhas, O.A.; Kozma, K.; Petcheşi, C.D.; Jurcă, A.D.; Szilágyi, A.; Dubău, D.L.; Sava, C.N.; Zaha, D.C.; et al. Double autosomal trisomy with mosaicism 47,XY(+8)/47,XY(+21). Morphological and genetic changes of a rare case. Rom. J. Morphol. Embryol. 2018, 59, 985–988. [Google Scholar] [PubMed]
- Jurcă, M.C.; Bembea, M.; Kozma, K.; Şandor, M.I.; Negrean, R.A.; Dobjanschi, L.; Cuc, E.A.; Petcheşi, C.D.; Jurcă, A.D. Empty Sella Associated with Growth Hormone Deficiency and Polydactyly. Rom. J. Morphol. Embryol. 2018, 59, 381–384. [Google Scholar] [PubMed]
- Wakeling, E.L.; Brioude, F.; Sodipe, L.; Sm, O.; Salem, J.; Bliek, J. Diagnosis and Management of Silver- Russell Syndrome: First International Consensus Statement. Nat. Rev. Endocrinol. 2017, 13, 105–124. [Google Scholar] [CrossRef]
- Birkebaek, N.H.; Wolthers, O.D.; Heuch, C.; Balslev, T.; Flyvbjerg, A.; Frystyk, J. Growth Hormone Treatment, Final Height, Insulin- like Growth Factors, Ghrelin, and Adiponectin in Four Siblings with Seckel Syndrome. J. Pediatr. Endocrinol. Metab. 2011, 24, 995–1000. [Google Scholar] [CrossRef] [PubMed]
- de Munnik, S.A.; Otten, B.J.; Schoots, J.; Bicknell, L.S.; Aftimos, S.; Al-Aama, J.Y.; van Bever, Y.; Bober, M.B.; Borm, G.F.; Clayton-Smith, J.; et al. Meier-Gorlin Syndrome: Growth and Secondary Sexual Development of a Microcephalic Primordial Dwarfism Disorder. Am. J. Med. Genet. A 2012, 158A, 2733–2742. [Google Scholar] [CrossRef] [PubMed]
- Willems, M.; Geneviève, D.; Borck, G.; Baumann, C.; Baujat, G.; Bieth, E.; Edery, P.; Farra, C.; Gerard, M.; Héron, D.; et al. Molecular Analysis of Pericentrin Gene (PCNT) in a Series of 24 Seckel/Microcephalic Osteodysplastic Primordial Dwarfism Type II (MOPD II) Families. J. Med. Genet. 2010, 47, 797–802. [Google Scholar] [CrossRef] [PubMed]
- Duker, A.; Jackson, A.; Bober, M.B. Microcephalic Osteodysplastic Primordial Dwarfism Type II. 30 December 2021 [Updated 2023 Mar 30]. In GeneReviews®; Adam, M.P., Feldman, J., Mirzaa, G.M., Eds.; University of Washington: Seattle, WA, USA, 1993–2024. Available online: https://www.ncbi.nlm.nih.gov/books/NBK575926/ (accessed on 3 October 2024).




| Year | Skull | Upper Limbs | Lower Limbs | Wrist Bone Age | |
|---|---|---|---|---|---|
| Bone Region: | |||||
| 2014 (year of patient’s birth) | Slightly blurred coronal sutures in the middle third. Sella turcica is normal in size. Dysmorphic appearance of the orbits. | Absence of carpal ossification nuclei, corresponding to newborn bone age. Altered appearance of the distal radioulnar metaphyses, with widening and deepening of their concavities—rickets suspected? | |||
| 2015 | Oval transparent zones (possible lack of mineralization or osteolysis?) in the parieto-occipital and frontal areas. | Suggestive of rickets: absence of carpal growth nuclei, osteotransparency, curved diaphyses with prominent, widened metaphyses (“champagne glass” shape), no visible bone cortex in the forearm bones. | Cortex not visible in the lower limbs, particularly in the femoral region. | ||
| 2017 | No significant radiological changes in the cranial bones. Sella turcica has a normal radiological appearance. | The radius is slightly curved, with mild osteosclerosis in the distal metaphysis. The distal ulnar metaphysis shows a slightly concave appearance. | Osteopenia, asymmetric pelvis, vertically oriented, unformed acetabular cavity, more pronounced on the right side. Femoral nuclei are undersized for the patient’s age. Bilateral hip shows changes suggestive of hip dysplasia, with no significant structural bone changes. Delayed bone development. In the bilateral feet, the middle phalanx nuclei are small. Osteopenic appearance of visualized bone segments. | Bone age = 8 months | |
| 2021 | Bone age = 2 years | ||||
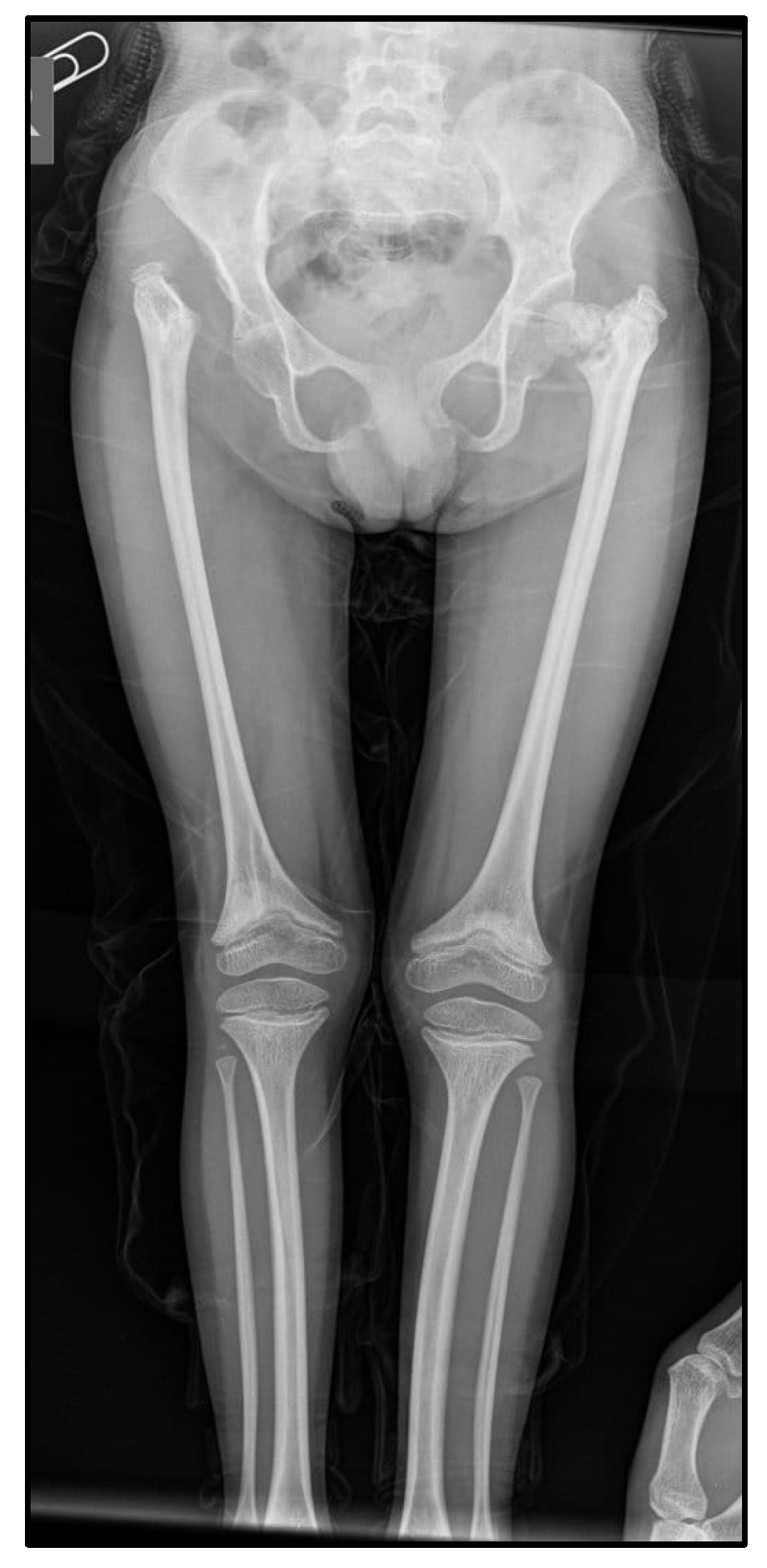
| 2024 | Partial empty sella (October 2024) | Widened, flared “champagne glass” metaphyses with irregular contours in the forearm bones bilaterally. The radial and ulnar diaphyses are curved bilaterally. The left radius is shortened (4.5 cm versus 5.8 cm on the right). Ossification nuclei are present in the hand skeleton: trapezium, trapezoid, capitate, hamate, and lunate. The scaphoid nucleus is very small (~2 mm); the distal radial epiphysis nucleus is rudimentary—bone age of 4–5 years. Flared and irregular metaphyses in the distal phalanges and metacarpals (Figure 3). | The right acetabular cavity is flattened and vertically oriented. The femoral head nucleus on the right is not visible, and the right femur is elevated. The left acetabular cavity is slightly vertically oriented. The left femoral head nucleus is formed but irregular and fragmented. Coxa vara. Bilateral femoral metaphyses are widened, flared, and irregular, with an “inverted V” appearance of the growth line. Bilateral tibial metaphyses are also widened and flared (Figure 4). | Bone age = 4–5 years | |
| Subtypes | Circumference of the Head | Phenotype |
|---|---|---|
| Seckel syndrome | Microcephaly | Narrow face, dental anomalies (number, position, size), nose with a prominent tip resembling a “beak”, retrognathism. |
| Majewski/Microcephalic osteodysplastic primordial dwarfism (MOPD) types I/III | Rare hair and eyebrows, dry skin. | |
| MOPD type II | Prominent nose, slightly protruding eyes (exophthalmos), small chin Dental anomalies (size: small teeth; number: oligodontia), high-pitched, shrill voice. | |
| Meier–Gorlin syndrome (ear–patella–short stature syndrome) | Microtia Underdeveloped ears, absent/hypoplastic patellae. | |
| Silver–Russell syndrome | Normal-sized skull | Small triangular face, micrognathia, dental anomalies. |
| Syndrome | Common Features | Differentiated Features | Overlapping Subtype Features |
|---|---|---|---|
| 3M syndrome autosomal recessive (AR) ICD-11: LD24.D ORPHA:2616 OMIM: 273750 612921 614205 | Prenatal and postnatal growth retardation, facial dysmorphism: prominent chin giving a triangular appearance, clinodactyly, joint laxity, thin tubular bones. | Hemihypertrophy absent, more severe dwarfism both clinically and radiologically; tall and thin vertebrae; much smaller pubic bones. | Silver–Russell syndrome |
| Fanconi anemia autosomal recessive (AR) ICD-11: 3A70.0 ORPHA:84 OMIM: 617883 617243 617244 617247 227645 227646 227650 300514 600901 603467609053 609054 610832 613390 613951614082 614083 615272 616435 | Short stature with growth retardation; facial dysmorphism, skin hyperpigmentation with café au lait spots; bone anomalies: absent radius, polydactyly malformation; aplastic anemia with evolving bone marrow failure; predisposition to leukemia; mutations in ATR genes. | Hematologic profile is much more severe; an increased number of genes are involved: currently 21. | Seckel syndrome |
| Donohue syndrome (LEPRECHAUNISM) autosomal recessive (AR) ICD-11: 5A44 ORPHA:508 OMIM: 246200 | Prenatal and postnatal growth retardation, low-set ears, absence of subcutaneous tissue, muscle hypotonia, hypoglycemia, acanthosis nigricans. | Insulin receptor defect. | Silver–Russell syndrome |
| Nijmegen breakage syndrome (NBS) (Ataxia-telangiectasia, variant 1; Berlin breakage syndrome; Immunodeficiency-microcephaly-chromosomal instability syndrome; Microcephaly-immunodeficiency-lymphoid malignancy syndrome; Seemanova syndrome type 2) autosomal recessive (AR) ICD-11: 4A01.31 ORPHA:647 OMIM: 251260 | Prenatal and postnatal growth retardation, craniofacial dysmorphism (microcephaly, inclined forehead, prominent midface, large ears, café au lait spots). | Mutation in the NBN gene ((8q21-q24) specifically within exons 6–10, which leads to partially functional truncated fragments of nibrin, the gene product involved in repairing DNA double-strand breaks. | Seckel syndrome |
| Cornelia de Lange syndrome (Brachmann-de Lange syndrome) autosomal dominant, not applicable, X-linked recessive ICD-11: LD2F.1Y ORPHA:199 OMIM: 122470 300590 300882 610759 614701 | Growth retardation; craniofacial dysmorphism: microcephaly, grotesque facial appearance, arched eyebrows fused at the midline (synophrys), elongated philtrum, thin lips; intellectual disability. | Seven genes involved in etiology, but NIPBL variants (5p13.2) are the most common cause (70% of patients). | Seckel syndrome |
| Bloom syndrome (Bsyn) autosomal recessive (AR) ICD-11: 4A01.31 ORPHA:125 OMIM: 210900 | Prenatal and postnatal growth retardation; craniofacial dysmorphism: microcephaly, pigmentation disorders, high-pitched voice. | Malar hypoplasia, facial telangiectasias, photosensitivity pigmentary anomalies, increased risk of malignancies, immune deficiency, chromosomal breaks. | MOPD |
Disclaimer/Publisher’s Note: The statements, opinions and data contained in all publications are solely those of the individual author(s) and contributor(s) and not of MDPI and/or the editor(s). MDPI and/or the editor(s) disclaim responsibility for any injury to people or property resulting from any ideas, methods, instructions or products referred to in the content. |
© 2024 by the authors. Published by MDPI on behalf of the Lithuanian University of Health Sciences. Licensee MDPI, Basel, Switzerland. This article is an open access article distributed under the terms and conditions of the Creative Commons Attribution (CC BY) license (https://creativecommons.org/licenses/by/4.0/).
Share and Cite
Jurca, A.D.; Petchesi, C.D.; Jurca, S.; Severin, E.; Jurca, A.A.; Jurca, C.M. Clinical Challenges in Diagnosing Primordial Dwarfism: Insights from a MOPD II Case Study. Medicina 2024, 60, 1906. https://doi.org/10.3390/medicina60111906
Jurca AD, Petchesi CD, Jurca S, Severin E, Jurca AA, Jurca CM. Clinical Challenges in Diagnosing Primordial Dwarfism: Insights from a MOPD II Case Study. Medicina. 2024; 60(11):1906. https://doi.org/10.3390/medicina60111906
Chicago/Turabian StyleJurca, Alexandru Daniel, Codruța Diana Petchesi, Sânziana Jurca, Emilia Severin, Aurora Alexandra Jurca, and Claudia Maria Jurca. 2024. "Clinical Challenges in Diagnosing Primordial Dwarfism: Insights from a MOPD II Case Study" Medicina 60, no. 11: 1906. https://doi.org/10.3390/medicina60111906
APA StyleJurca, A. D., Petchesi, C. D., Jurca, S., Severin, E., Jurca, A. A., & Jurca, C. M. (2024). Clinical Challenges in Diagnosing Primordial Dwarfism: Insights from a MOPD II Case Study. Medicina, 60(11), 1906. https://doi.org/10.3390/medicina60111906

