Methotrexate-Induced Toxicity After Ultrasound-Guided Intragestational Injection in a Patient with Caesarean Scar Pregnancy—A Case Report
Abstract
1. Introduction
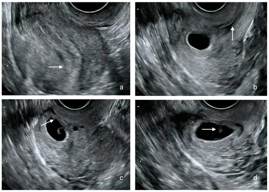
2. Detailed Case Description
3. Discussion
4. Conclusions
Supplementary Materials
Author Contributions
Funding
Institutional Review Board Statement
Informed Consent Statement
Data Availability Statement
Conflicts of Interest
References
- Shaw, J.L.; Dey, S.K.; Critchley, H.O.; Horne, A.W. Current knowledge of the aetiology of human tubal ectopic pregnancy. Hum. Reprod. Update 2010, 16, 432–444. [Google Scholar] [CrossRef] [PubMed]
- Society for Maternal-Fetal, M.; Miller, R.; Gyamfi-Bannerman, C.; Publications Committee. Electronic address, p.s.o. Society for Maternal-Fetal Medicine Consult Series #63: Cesarean scar ectopic pregnancy. Am. J. Obstet. Gynecol. 2022, 227, B9–B20. [Google Scholar] [CrossRef]
- Timor-Tritsch, I.E.; Monteagudo, A.; Santos, R.; Tsymbal, T.; Pineda, G.; Arslan, A.A. The diagnosis, treatment, and follow-up of cesarean scar pregnancy. Am. J. Obstet. Gynecol. 2012, 207, 44.e1–44.e13. [Google Scholar] [CrossRef] [PubMed]
- Machairiotis, N.; Stavros, S.; Antonakopoulos, N.; Vrachnis, D.; Potiris, A.; Fotiou, A.; Loukas, N.; Drakakis, P.; Vrachnis, N. Ectopic pregnancy with full implantation of the gestational sac in the caesarean section scar managed successfully with laparotomy. Clin. Case Rep. 2024, 12, e9087. [Google Scholar] [CrossRef]
- Alameddine, S.; Lucidi, A.; Jurkovic, D.; Timor Tritsch, I.; Coutinho, C.M.; Ranucci, L.; Buca, D.; Khalil, A.; Jauniaux, E.; Mappa, I.; et al. Treatments for cesarean scar pregnancy: A systematic review and meta-analysis. J. Matern. Fetal Neonatal Med. 2024, 37, 2327569. [Google Scholar] [CrossRef]
- Friedman, B.; Cronstein, B. Methotrexate mechanism in treatment of rheumatoid arthritis. Jt. Bone Spine 2019, 86, 301–307. [Google Scholar] [CrossRef]
- Rotas, M.A.; Haberman, S.; Levgur, M. Cesarean scar ectopic pregnancies: Etiology, diagnosis, and management. Obstet. Gynecol. 2006, 107, 1373–1381. [Google Scholar] [CrossRef]
- Howard, S.C.; McCormick, J.; Pui, C.H.; Buddington, R.K.; Harvey, R.D. Preventing and Managing Toxicities of High-Dose Methotrexate. Oncologist 2016, 21, 1471–1482. [Google Scholar] [CrossRef]
- Yang, Q.; Piao, S.; Wang, G.; Wang, Y.; Liu, C. Hysteroscopic surgery of ectopic pregnancy in the cesarean section scar. J. Minim. Invasive Gynecol. 2009, 16, 432–436. [Google Scholar] [CrossRef]
- Wang, H.Y.; Zhang, J.; Li, Y.N.; Wei, W.; Zhang, D.W.; Lu, Y.Q.; Zhang, H.F. Laparoscopic management or laparoscopy combined with transvaginal management of type II cesarean scar pregnancy. J. Soc. Laparoendosc. Surg. 2013, 17, 263–272. [Google Scholar] [CrossRef]
- Jurkovic, D.; Ben-Nagi, J.; Ofilli-Yebovi, D.; Sawyer, E.; Helmy, S.; Yazbek, J. Efficacy of Shirodkar cervical suture in securing hemostasis following surgical evacuation of Cesarean scar ectopic pregnancy. Ultrasound Obstet. Gynecol. 2007, 30, 95–100. [Google Scholar] [CrossRef]
- Jurkovic, D.; Knez, J.; Appiah, A.; Farahani, L.; Mavrelos, D.; Ross, J.A. Surgical treatment of Cesarean scar ectopic pregnancy: Efficacy and safety of ultrasound-guided suction curettage. Ultrasound Obstet. Gynecol. 2016, 47, 511–517. [Google Scholar] [CrossRef] [PubMed]
- Zhang, X.B.; Zhong, Y.C.; Chi, J.C.; Shen, J.L.; Qiu, X.X.; Xu, J.R.; Zhao, A.M.; Di, W. Caesarean scar pregnancy: Treatment with bilateral uterine artery chemoembolization combined with dilation and curettage. J. Int. Med. Res. 2012, 40, 1919–1930. [Google Scholar] [CrossRef] [PubMed]
- Zhuang, Y.; Huang, L. Uterine artery embolization compared with methotrexate for the management of pregnancy implanted within a cesarean scar. Am. J. Obstet. Gynecol. 2009, 201, 152.e1–152.e3. [Google Scholar] [CrossRef] [PubMed]
- Elson, C.J.; Salim, R.; Potdar, N.; Chetty, M.; Ross, J.A.; Kirk, E.J. Diagnosis and Management of Ectopic Pregnancy: Green-top Guideline No. 21. BJOG 2016, 123, e15–e55. [Google Scholar] [CrossRef]
- Timor-Tritsch, I.E.; Khatib, N.; Monteagudo, A.; Ramos, J.; Berg, R.; Kovacs, S. Cesarean scar pregnancies: Experience of 60 cases. J. Ultrasound Med. 2015, 34, 601–610. [Google Scholar] [CrossRef]
- Spyridopoulou, K.P.; Dimou, N.L.; Hamodrakas, S.J.; Bagos, P.G. Methylene tetrahydrofolate reductase gene polymorphisms and their association with methotrexate toxicity: A meta-analysis. Pharmacogenet Genom. 2012, 22, 117–133. [Google Scholar] [CrossRef]
- Timor-Tritsch, I.E.; Monteagudo, A.; Cali, G.; Palacios-Jaraquemada, J.M.; Maymon, R.; Arslan, A.A.; Patil, N.; Popiolek, D.; Mittal, K.R. Cesarean scar pregnancy and early placenta accreta share common histology. Ultrasound Obstet. Gynecol. 2014, 43, 383–395. [Google Scholar] [CrossRef]
- Birch Petersen, K.; Hoffmann, E.; Rifbjerg Larsen, C.; Svarre Nielsen, H. Cesarean scar pregnancy: A systematic review of treatment studies. Fertil. Steril. 2016, 105, 958–967. [Google Scholar] [CrossRef]
- Zachariae, H. Methotrexate side-effects. Br. J. Dermatol. 1990, 122 (Suppl. S36), 127–133. [Google Scholar] [CrossRef]
- Seow, K.M.; Wang, P.H.; Huang, L.W.; Hwang, J.L. Transvaginal sono-guided aspiration of gestational sac concurrent with a local methotrexate injection for the treatment of unruptured cesarean scar pregnancy. Arch. Gynecol. Obstet. 2013, 288, 361–366. [Google Scholar] [CrossRef] [PubMed]
- Stabile, G.; Vona, L.; Carlucci, S.; Zullo, F.; Lagana, A.S.; Etrusco, A.; Restaino, S.; Nappi, L. Conservative treatment of cesarean scar pregnancy with the combination of methotrexate and mifepristone: A systematic review. Womens Health 2024, 20, 17455057241290424. [Google Scholar] [CrossRef] [PubMed]
- Isaacs, J.D., Jr.; McGehee, R.P.; Cowan, B.D. Life-threatening neutropenia following methotrexate treatment of ectopic pregnancy: A report of two cases. Obstet. Gynecol. 1996, 88, 694–696. [Google Scholar] [CrossRef] [PubMed]
- Shao, S.C.; Yang, Y.K.; Chien, P.S.; Lai, E.C. Methotrexate-induced pancytopenia in a patient with ectopic pregnancy. Arch. Med. Sci. 2018, 14, 475–476. [Google Scholar] [CrossRef] [PubMed]
- Gaies, E.; Ben Sassi, M.; Charfi, R.; Lakhal, M.; Klouz, A.; Trabelsi, S.; Salouage, I. Fatal methotrexate toxicity in a patient treated for an ectopic pregnancy. Therapie 2016, 71, 348–350. [Google Scholar] [CrossRef]
- Willner, N.; Storch, S.; Tadmor, T.; Schiff, E. Almost a tragedy: Severe methotrexate toxicity in a hemodialysis patient treated for ectopic pregnancy. Eur. J. Clin. Pharmacol. 2014, 70, 261–263. [Google Scholar] [CrossRef]
- Kelly, H.; Harvey, D.; Moll, S. A cautionary tale: Fatal outcome of methotrexate therapy given for management of ectopic pregnancy. Obstet. Gynecol. 2006, 107, 439–441. [Google Scholar] [CrossRef]
- Shao, W.; Yuan, Y.; Li, Y. Association Between MTHFR C677T Polymorphism and Methotrexate Treatment Outcome in Rheumatoid Arthritis Patients: A Systematic Review and Meta-Analysis. Genet. Test. Mol. Biomark. 2017, 21, 275–285. [Google Scholar] [CrossRef]

| Day (After MTX Administration) | β-HCG Levels (I.U.) | Symptoms |
|---|---|---|
| 0 (day of administration) | 56.529 | No symptoms |
| 1 | 65.595 | Mild vaginal bleeding |
| 2 | 53.860 | Mild vaginal bleeding |
| 4 | 43.845 | Fever, pruritic skin rash, sore throat |
| 6 | 23.573 | Fever and pruritic skin rash, sore throat, mucositis, odynophagia, sialorrhea, neutropenia |
| 8 | 17,673 | Pruritic skin rash, sore throat, mucositis, odynophagia, alopecia, pancytopenia |
| 11 | 3755 | Pruritic skin rash, sore throat, mucositis, odynophagia, alopecia, pancytopenia |
| 13 | 655 | Pruritic skin rash, sore throat, mucositis, odynophagia, alopecia |
| 14 | 300 | Skin lesions and mucositis on recovery, normal blood tests |
| 16 | 140 | Skin lesions and mucositis on recovery, normal blood tests |
| 17 | 71.8 | Skin lesions and mucositis on recovery, normal blood tests |
| 19 | 8 | Normal blood tests, skin lesions and mucositis healed. |
| Study | Age (in Years) | History | Methotrexate Dosage | Initial Symptoms | Outcome |
|---|---|---|---|---|---|
| Isaac Jr et al. [23] | 23 | Previous ectopic pregnancy with left salpingectomy | 50 mg/m2 i.m. | Vomiting, mucositis, fever, and pruritic rash | Recovery from day 14 |
| Shao S. et al. [24] | 27 | No comorbidities | 50 mg i.m. | Vomiting, mucositis, fever, and skin rash | Recovery from day 16 |
| Gaies E. et al. [25] | 32 | Penicillin allergy | 44 mg/m2 i.m. | Mucositis, odynophagia, dysphagia, fever, and skin lesions | Deceased (pancytopenia, septic shock, and hepatic cytolysis) |
| Willner et al. [26] | 21 | No comorbidities | 100 mg i.v. | Sore throat, skin rash, and fever | Recovery from day 15 |
| Kelly et al. [27] | N/A | Hemodialysis-dependent (renal failure) | 50 mg/m2 i.v. | Abdominal discomfort, nausea, vomiting, and severe mouth pain | Deceased (pancytopenia, acute respiratory distress, and bowel ischemia) |
| Present Case | 23 | No comorbidities | 80 mg intragestational injection | Mucositis, odynophagia, fever, and skin rash | Recovery from day 15 |
Disclaimer/Publisher’s Note: The statements, opinions and data contained in all publications are solely those of the individual author(s) and contributor(s) and not of MDPI and/or the editor(s). MDPI and/or the editor(s) disclaim responsibility for any injury to people or property resulting from any ideas, methods, instructions or products referred to in the content. |
© 2024 by the authors. Published by MDPI on behalf of the Lithuanian University of Health Sciences. Licensee MDPI, Basel, Switzerland. This article is an open access article distributed under the terms and conditions of the Creative Commons Attribution (CC BY) license (https://creativecommons.org/licenses/by/4.0/).
Share and Cite
Stavros, S.; Potiris, A.; Gerede, A.; Zikopoulos, A.; Giourga, M.; Karasmani, C.; Karpouzos, A.; Karampitsakos, T.; Topis, S.; Anagnostaki, I.; et al. Methotrexate-Induced Toxicity After Ultrasound-Guided Intragestational Injection in a Patient with Caesarean Scar Pregnancy—A Case Report. Medicina 2024, 60, 1900. https://doi.org/10.3390/medicina60111900
Stavros S, Potiris A, Gerede A, Zikopoulos A, Giourga M, Karasmani C, Karpouzos A, Karampitsakos T, Topis S, Anagnostaki I, et al. Methotrexate-Induced Toxicity After Ultrasound-Guided Intragestational Injection in a Patient with Caesarean Scar Pregnancy—A Case Report. Medicina. 2024; 60(11):1900. https://doi.org/10.3390/medicina60111900
Chicago/Turabian StyleStavros, Sofoklis, Anastasios Potiris, Angeliki Gerede, Athanasios Zikopoulos, Maria Giourga, Christina Karasmani, Athanasios Karpouzos, Theodoros Karampitsakos, Spyridon Topis, Ismini Anagnostaki, and et al. 2024. "Methotrexate-Induced Toxicity After Ultrasound-Guided Intragestational Injection in a Patient with Caesarean Scar Pregnancy—A Case Report" Medicina 60, no. 11: 1900. https://doi.org/10.3390/medicina60111900
APA StyleStavros, S., Potiris, A., Gerede, A., Zikopoulos, A., Giourga, M., Karasmani, C., Karpouzos, A., Karampitsakos, T., Topis, S., Anagnostaki, I., Louis, K., Tsakiridis, I., Dagklis, T., Drakakis, P., & Domali, E. (2024). Methotrexate-Induced Toxicity After Ultrasound-Guided Intragestational Injection in a Patient with Caesarean Scar Pregnancy—A Case Report. Medicina, 60(11), 1900. https://doi.org/10.3390/medicina60111900

