Heart Failure Associated with Giant Uterine Leiomyoma: A Case Report
Abstract
1. Introduction
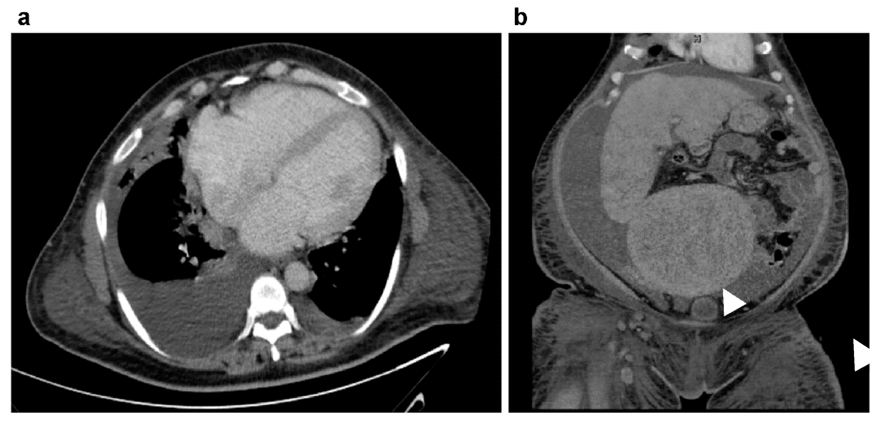
2. Case Presentation
3. Discussion
4. Conclusions
Author Contributions
Funding
Institutional Review Board Statement
Informed Consent Statement
Data Availability Statement
Conflicts of Interest
References
- Ponikowski, P.; Voors, A.A.; Anker, S.D.; Bueno, H.; Cleland, J.G.F.; Coats, A.J.S.; Falk, V.; González-Juanatey, J.R.; Harjola, V.P.; Jankowska, E.A.; et al. 2016 ESC Guidelines for the diagnosis and treatment of acute and chronic heart failure: The Task Force for the diagnosis and treatment of acute and chronic heart failure of the European Society of Cardiology (ESC) Developed with the special contribution of the Heart Failure Association (HFA) of the ESC. Eur. Heart J. 2016, 37, 2129–2200. [Google Scholar] [CrossRef] [PubMed]
- Schwinger, R.H.G. Pathophysiology of heart failure. Cardiovasc. Diagn. Ther. 2021, 11, 263–276. [Google Scholar] [CrossRef] [PubMed]
- Laughlin-Tommaso, S.K.; Fuchs, E.L.; Wellons, M.F.; Lewis, C.E.; Calderon-Margalit, R.; Stewart, E.A.; Schreiner, P.J. Uterine fibroids and the risk of cardiovascular disease in the coronary artery risk development in young adult women’s study. J. Womens Health 2019, 28, 46–52. [Google Scholar] [CrossRef] [PubMed]
- Uimari, O.; Auvinen, J.; Jokelainen, J.; Puukka, K.; Ruokonen, A.; Järvelin, M.R.; Piltonen, T.; Keinänen-Kiukaanniemi, S.; Zondervan, K.; Järvelä, I.; et al. Uterine fibroids and cardiovascular risk. Hum. Reprod. 2016, 31, 2689–2703. [Google Scholar] [CrossRef] [PubMed]
- Kirschen, G.W.; AlAshqar, A.; Miyashita-Ishiwata, M.; Reschke, L.; El Sabeh, M.; Borahay, M.A. Vascular biology of uterine fibroids: Connecting fibroids and vascular disorders. Reproduction 2021, 162, R1–R18. [Google Scholar] [CrossRef]
- Tal, R.; Segars, J.H. The role of angiogenic factors in fibroid pathogenesis: Potential implications for future therapy. Hum. Reprod. Update 2014, 20, 194–216. [Google Scholar] [CrossRef]
- Okolo, S. Incidence, aetiology and epidemiology of uterine fibroids. Best Pract. Res. Clin. Obstet. Gynaecol. 2008, 22, 571–588. [Google Scholar] [CrossRef]
- Pedrosa, C.; Miotto, H.C.; Drumond, L.F.; Andrade, M.M.; Zille, P.C.; Palhares, G.T.; Abrahao-Machado, L.F. Right heart failure due to benign metastasizing leiomyoma: A case report of this exceedingly rare condition and review of the literature. Eur. Heart J. Case Rep. 2020, 4, 1–7. [Google Scholar] [CrossRef]
- Jaber, M.; Winner, P.J.; Krishnan, R.; Shu, R.; Khandelwal, K.M.; Shah, S. Benign metastasizing leiomyoma causing severe tricuspid regurgitation and heart failure. J. Investig. Med. High Impact Case Rep. 2023, 11, 23247096231173397. [Google Scholar] [CrossRef]
- Gad, M.M.; Găman, M.A.; Bazarbashi, N.; Friedman, K.A.; Gupta, A. Suspicious Right Heart Mass: A Rare Case of Benign Metastasizing Leiomyoma of the Tricuspid Valve. J. Am. Coll. Cardiol. Case Rep. 2020, 2, 51–54. [Google Scholar] [CrossRef]
- Cianci, S.; Gulino, F.A.; Palmara, V.; La Verde, M.; Ronsini, C.; Romeo, P.; Occhipinti, S.; Incognito, G.G.; Capozzi, V.A.; Restaino, S.; et al. Exploring Surgical Strategies for Uterine Fibroid Treatment: A Comprehensive Review of Literature on Open and Minimally Invasive Approaches. Medicina 2024, 60, 64. [Google Scholar] [CrossRef] [PubMed]
- Bhave Chittawar, P.; Franik, S.; Pouwer, A.W.; Farquhar, C. Minimally invasive surgical techniques versus open myomectomy for uterine fibroids. Cochrane Database Syst. Rev. 2014, 2014, CD004638. [Google Scholar] [CrossRef] [PubMed]
- Ciebiera, M.; Włodarczyk, M.; Wrzosek, M.; Męczekalski, B.; Nowicka, G.; Łukaszuk, K.; Ciebiera, M.; Słabuszewska-Jóźwiak, A.; Jakiel, G. Role of transforming growth factor β in uterine fibroid biology. Int. J. Mol. Sci. 2017, 18, 2435. [Google Scholar] [CrossRef] [PubMed]
- Iorga, A.; Umar, S.; Ruffenach, G.; Aryan, L.; Li, J.; Sharma, S.; Motayagheni, N.; Nadadur, R.D.; Bopassa, J.C.; Eghbali, M. Estrogen rescues heart failure through estrogen receptor Beta activation. Biol. Sex Differ. 2018, 9, 48. [Google Scholar] [CrossRef] [PubMed]
- Borahay, M.A.; Asoglu, M.R.; Mas, A.; Adam, S.; Kilic, G.S.; Al-Hendy, A. Estrogen receptors and signaling in fibroids: Role in pathobiology and therapeutic implications. Reprod. Sci. 2017, 24, 1235–1244. [Google Scholar] [CrossRef]
- Matthews, J.; Gustafsson, J.A. Estrogen signaling: A subtle balance between ER alpha and ER beta. Mol. Interv. 2003, 3, 281–292. [Google Scholar] [CrossRef]
- Walker, C.L.; Stewart, E.A. Uterine fibroids: The elephant in the room. Science 2005, 308, 1589–1592. [Google Scholar] [CrossRef]
- Willemars, M.M.A.; Nabben, M.; Verdonschot, J.A.J.; Hoes, M.F. Evaluation of the interaction of sex hormones and cardiovascular function and health. Curr. Heart Fail. Rep. 2022, 19, 200–212. [Google Scholar] [CrossRef]
- Okoth, K.; Smith, W.P.; Thomas, G.N.; Nirantharakumar, K.; Adderley, N.J. The association between menstrual cycle characteristics and cardiometabolic outcomes in later life: A retrospective matched cohort study of 704,743 women from the UK. BMC Med. 2023, 21, 104. [Google Scholar] [CrossRef]
- Zhao, D.; Guallar, E.; Ouyang, P.; Subramanya, V.; Vaidya, D.; Ndumele, C.E.; Lima, J.A.; Allison, M.A.; Shah, S.J.; Bertoni, A.G.; et al. Endogenous sex hormones and incident cardiovascular disease in post- menopausal women. J. Am. Coll. Cardiol. 2018, 71, 2555–2566. [Google Scholar] [CrossRef]
- Gupta, S.; Manyonda, I.T. Acute complications of fibroids. Best Pract. Res. Clin. Obstet. Gynaecol. 2009, 23, 609–617. [Google Scholar] [CrossRef] [PubMed]
- Sonoo, T.; Tokunaga, K.; Fukuda, T.; Nakamura, K. Cardiac arrest induced by a giant uterine leiomyoma. BMJ Case Rep. 2015, 2015, bcr2015213370. [Google Scholar] [CrossRef] [PubMed]





Disclaimer/Publisher’s Note: The statements, opinions and data contained in all publications are solely those of the individual author(s) and contributor(s) and not of MDPI and/or the editor(s). MDPI and/or the editor(s) disclaim responsibility for any injury to people or property resulting from any ideas, methods, instructions or products referred to in the content. |
© 2024 by the authors. Published by MDPI on behalf of the Lithuanian University of Health Sciences. Licensee MDPI, Basel, Switzerland. This article is an open access article distributed under the terms and conditions of the Creative Commons Attribution (CC BY) license (https://creativecommons.org/licenses/by/4.0/).
Share and Cite
Hsu, H.-N.; Hsu, F.-C.; Hung, Y.; Hsu, P.-C.; Su, K.-M. Heart Failure Associated with Giant Uterine Leiomyoma: A Case Report. Medicina 2024, 60, 1892. https://doi.org/10.3390/medicina60111892
Hsu H-N, Hsu F-C, Hung Y, Hsu P-C, Su K-M. Heart Failure Associated with Giant Uterine Leiomyoma: A Case Report. Medicina. 2024; 60(11):1892. https://doi.org/10.3390/medicina60111892
Chicago/Turabian StyleHsu, Hai-Ning, Fang-Chin Hsu, Yuan Hung, Po-Chao Hsu, and Kuo-Min Su. 2024. "Heart Failure Associated with Giant Uterine Leiomyoma: A Case Report" Medicina 60, no. 11: 1892. https://doi.org/10.3390/medicina60111892
APA StyleHsu, H.-N., Hsu, F.-C., Hung, Y., Hsu, P.-C., & Su, K.-M. (2024). Heart Failure Associated with Giant Uterine Leiomyoma: A Case Report. Medicina, 60(11), 1892. https://doi.org/10.3390/medicina60111892

