The Relationship Between Orthodontic Malocclusion and Morphological Features of Sella Turcica Bridging and Ponticulus Posticus
Abstract
1. Introduction
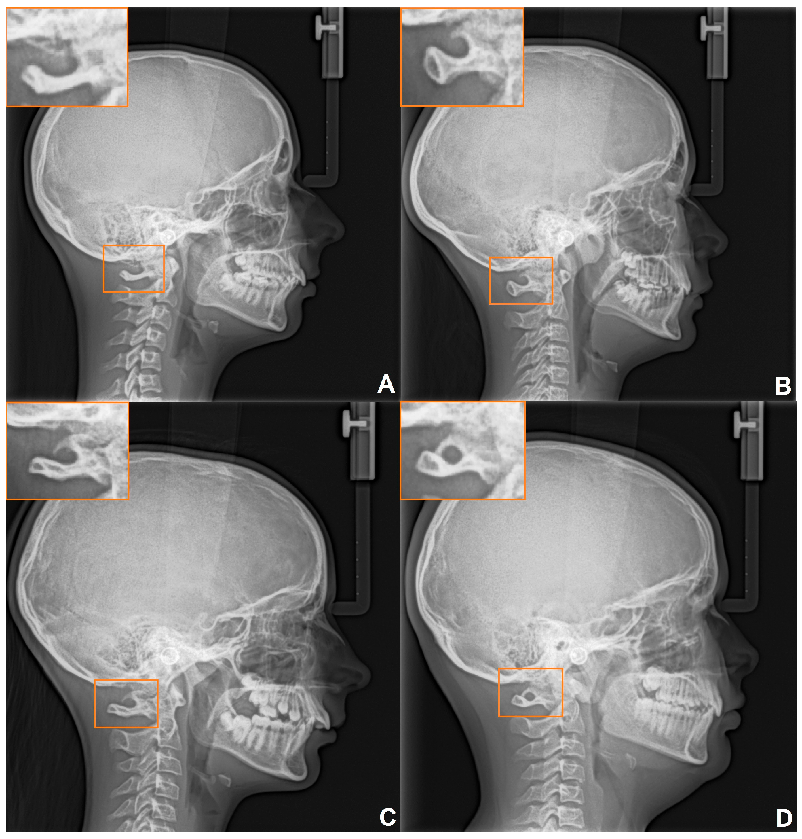
2. Materials and Methods
Statistical Analysis

3. Results
4. Discussion
5. Conclusions
Author Contributions
Funding
Institutional Review Board Statement
Informed Consent Statement
Data Availability Statement
Conflicts of Interest
References
- Cenzato, N.; Nobili, A.; Maspero, C. Prevalence of Dental Malocclusions in Different Geographical Areas: Scoping Review. Dent. J. 2021, 9, 117. [Google Scholar] [CrossRef] [PubMed]
- Mortezai, O.; Rahimi, H.; Tofangchiha, M.; Radfar, S.; Ranjbaran, M.; Pagnoni, F.; Reda, R.; Testarelli, L. Relationship of the Morphology and Size of Sella Turcica with Dental Anomalies and Skeletal Malocclusions. Diagnostics 2023, 13, 3088. [Google Scholar] [CrossRef] [PubMed]
- Amelinda, V.P.; Ismaniati, N.A.; Purbiati, M. Association of Sella Turcica Bridge and Ponticulus Posticus with Palatally Impacted Canine and Hypodontia. J. Int. Dent. Med. Res. 2019, 12, 1090–1094. [Google Scholar]
- Kaya, Y.; Öztaş, E.; Goymen, M.; Keskin, S. Sella Turcica Bridging and Ponticulus Posticus Calcification in Subjects with Different Dental Anomalies. Am. J. Orthod. Dentofac. Orthop. 2021, 159, 627–634. [Google Scholar] [CrossRef]
- Ghadimi, M.H.; Amini, F.; Hamedi, S.; Rakhshan, V. Associations among Sella Turcica Bridging, Atlas Arcuate Foramen (Ponticulus Posticus) Development, Atlas Posterior Arch Deficiency, and the Occurrence of Palatally Displaced Canine Impaction. Am. J. Orthod. Dentofac. Orthop. 2017, 151, 513–520. [Google Scholar] [CrossRef]
- Blásquez, J.C.G. Assessment of the Ponticulus Posticus Based on the Skeletal Relationship in Strict Lateral Radiographs. Imaging Radiat. Res. 2008, 4, 55. [Google Scholar] [CrossRef]
- Bayrakdar, İ.Ş.; Yasa, Y.; Duman, Ş.B.; Karaturgut, U.E.; Ocak, A.; Yılmaz, S.G. Cone Beam Computed Tomography Evaluation of Ponticulus Posticus in Patients with Cleft Lip and Palate: A Retrospective Radio-Anatomic Study. Folia Morphol. 2018, 77, 72–78. [Google Scholar] [CrossRef]
- Lo Giudice, A.; Caccianiga, G.; Crimi, S.; Cavallini, C.; Leonardi, R. Frequency and Type of Ponticulus Posticus in a Longitudinal Sample of Nonorthodontically Treated Patients: Relationship with Gender, Age, Skeletal Maturity, and Skeletal Malocclusion. Oral Surg. Oral Med. Oral Pathol. Oral Radiol. 2018, 126, 291–297. [Google Scholar] [CrossRef]
- Sekerci, A.E.; Soylu, E.; Arikan, M.P.; Aglarci, O.S. Is There a Relationship between the Presence of Ponticulus Posticus and Elongated Styloid Process? Clin. Imaging 2015, 39, 220–224. [Google Scholar] [CrossRef]
- Shahidi, S.; Hasani, M.; Khozaei, M. Evaluating the Relation between the Elongated Styloid Process and the Ponticulus Posticus Using Cone-Beam Computed Tomography. Folia Morphol. 2022, 81, 196–202. [Google Scholar] [CrossRef]
- Patil, K.; Sanjay, C.; Guledgud, M.V.; Suresh, N.; Eswari, S.; Doddawad, V.G. An Exploration of the Enigmatic Ponticulus Posticus: A Cone Beam Computed Tomographic Study. Eur. J. Anat. 2024, 28, 237–243. [Google Scholar] [CrossRef]
- Adisen, M.Z.; Misirlioglu, M. Prevalence of Ponticulus Posticus among Patients with Different Dental Malocclusions by Digital Lateral Cephalogram: A Comparative Study. Surg. Radiol. Anat. 2016, 39, 293–297. [Google Scholar] [CrossRef] [PubMed]
- Golshah, A.; Falah-Kooshki, S.; Nikkerdar, N.; Imani, M.; Faraji, R. Correlation of Ponticulus Posticus with Dentofacial Skeletal Patterns. Contemp. Clin. Dent. 2022, 13, 35. [Google Scholar] [CrossRef]
- Lombardo, C.; Roggio, F.; Caltabiano, R.; Maugeri, G.; D’Amico, G.A.; Lo Giudice, A.; Musumeci, G.; Loreto, C. Ponticulus Posticus and Skeletal Malocclusion: A Pilot Study in a Southern Italian Pre-Orthodontic Court. Open Med. 2024, 19, 20240965. [Google Scholar] [CrossRef]
- Wight, S.; Osborne, N.; Breen, A.C. Incidence of Ponticulus Posterior of the Atlas in Migraine and Cervicogenic Headache. J. Manip. Physiol. Ther. 1999, 22, 15–20. [Google Scholar] [CrossRef]
- Xu, X.; Zhu, Y.; Ding, X.; Yin, M.; Mo, W.; Ma, J. Research Progress of Ponticulus Posticus: A Narrative Literature Review. Front. Surg. 2022, 9, 834551. [Google Scholar] [CrossRef]
- Huang, D.G.; Hao, D.J.; Fang, X.Y.; Zhang, X.L.; He, B.R.; Liu, T.J. Ponticulus Posticus. Spine J. 2015, 15, e17–e19. [Google Scholar] [CrossRef]
- Nedelcu, A.H.; Hutanu, A.; Nedelcu, I.; Vicoleanu, S.P.; Statescu, G.; Gavril, L.; Haliciu, A.M.; Ursaru, M.; Tarniceriu, C.C. The Prevalence and Morphology-Wise Demographic Distribution of Ponticulus Posticus on CT Scans—A Retrospective Observational Study. Medicina 2023, 59, 650. [Google Scholar] [CrossRef]
- Önal, V.; Evren, A.; Chatzioglou, G.N.; Tellioğlu, A.M. Anatomical Features of Sella Turcica with Comprehensive Literature Review. Rev. Assoc. Med. Bras. 2023, 69, e20230402. [Google Scholar] [CrossRef]
- Roomaney, I.A.; Chetty, M. Sella Turcica Morphology in Patients with Genetic Syndromes: A Systematic Review. Orthod. Craniofacial Res. 2020, 24, 194–205. [Google Scholar] [CrossRef]
- Cuschieri, A.; Cuschieri, S.; Zammit, C. Sella Turcica Bridging: A Systematic Review. Surg. Radiol. Anat. 2022, 44, 381–389. [Google Scholar] [CrossRef] [PubMed]
- Najim, A.A.; Al-Nakib, L. A Cephalometric Study of Sella Turcica Size and Morphology among Young Iraqi Normal Population in Comparison to Patients with Maxillary Malposed Canine. J. Baghdad Coll. Dent. 2011, 23, 53–58. [Google Scholar]
- Sathyanarayana, H.P.; Kailasam, V.; Chitharanjan, A.B. Sella Turcica-Its Importance in Orthodontics and Craniofacial Morphology. Dent. Res. J. 2013, 10, 571–575. [Google Scholar]
- Dadgar, S.; Alimohamadi, M.; Rajabi, N.; Rakhshan, V.; Sobouti, F. Associations among Palatal Impaction of Canine, Sella Turcica Bridging, and Ponticulus Posticus (Atlas Arcuate Foramen). Surg. Radiol. Anat. 2020, 43, 93–99. [Google Scholar] [CrossRef]
- Gupta, S.P.; Rauniyar, S. Association between Sella Turcica Bridging and Hypodontia—A Radiographic Study. Eur. J. Med. Sci. 2020, 2, 11–16. [Google Scholar] [CrossRef]
- Atilla, A.O.; Ozturk, T.; Yagci, A. Comparison of Cervical Vertebral Anomalies and Sella Turcica Bridging in Different Growth Stages with Various Vertical Skeletal Growth Patterns. Surg. Radiol. Anat. 2020, 43, 117–125. [Google Scholar] [CrossRef]
- Ali, B.; Shaikh, A.; Fida, M. Association between Sella Turcica Bridging and Palatal Canine Impaction. Am. J. Orthod. Dentofac. Orthop. 2014, 146, 437–441. [Google Scholar] [CrossRef]
- Adisen, S.R.; Adisen, M.Z.; Ozdiler, F.E. The Evaluation of the Relationship between Cervical Vertebral Anomalies with Skeletal Malocclusion Types and Upper Airway Dimensions. CRANIO 2018, 38, 149–157. [Google Scholar] [CrossRef]
- Franchi, L.; Baccetti, T.; McNamara, J.A. Mandibular Growth as Related to Cervical Vertebral Maturation and Body Height. Am. J. Orthod. Dentofac. Orthop. 2000, 118, 335–340. [Google Scholar] [CrossRef]
- Giri, J.; Pokharel, P.R.; Gyawali, R. How Common Is Ponticulus Posticus on Lateral Cephalograms? BMC Res. Notes 2017, 10, 172. [Google Scholar] [CrossRef]
- Leonardi, R.; Barbato, E.; Vichi, M.; Caltabiano, M. Skeletal Anomalies and Normal Variants in Patients with Palatally Displaced Canines. Angle Orthod. 2009, 79, 727–732. [Google Scholar] [CrossRef] [PubMed]
- Meyer-Marcotty, P.; Reuther, T.; Stellzig-Eisenhauer, A. Bridging of the Sella Turcica in Skeletal Class III Subjects. Eur. J. Orthod. 2009, 32, 148–153. [Google Scholar] [CrossRef] [PubMed]
- Ozturk, T.; Atilla, A.O.; Yagci, A. Cervicovertebral Anomalies and/or Normal Variants in Patients with Congenitally Bilateral Absent Maxillary Lateral Incisors. Angle Orthod. 2020, 90, 383–389. [Google Scholar] [CrossRef] [PubMed]
- Steiner, C.C. Cephalometrics for You and Me. Am. J. Orthod. 1953, 39, 729–755. [Google Scholar] [CrossRef]
- Leonardi, R.; Barbato, E.; Vichi, M.; Caltabiano, M. A Sella Turcica Bridge in Subjects with Dental Anomalies. Eur. J. Orthod. 2006, 28, 580–585. [Google Scholar] [CrossRef]
- Ankith, N.V.; Avinash, M.; Srivijayanand, K.S.; Shetty, A.P.; Kanna, R.M.; Rajasekaran, S. Congenital Osseous Anomalies of the Cervical Spine: Occurrence, Morphological Characteristics, Embryological Basis and Clinical Significance: A Computed Tomography Based Study. Asian Spine J. 2019, 13, 535–543. [Google Scholar] [CrossRef]
- Darwin, D.; Babu, S.; Ajila, V.; Castelino, R.L.; Asan, M.F. Ponticulus Posticus in Skeletal Malocclusions: A Lateral Cephalometric Study. Gulhane Med. J. 2023, 65, 92–97. [Google Scholar] [CrossRef]
- Siddalingappa, D.; Urala, A.S.; Pentapati, K.C.; Vineetha, R.; Prasad, G.L. Sella Turcica Bridging and Its Association with Dental Anomalies. Open Dent. J. 2021, 15, 473–478. [Google Scholar] [CrossRef]
- Gibelli, D.; Cappella, A.; Cerutti, E.; Spagnoli, L.; Dolci, C.; Sforza, C. Prevalence of Ponticulus Posticus in a Northern Italian Orthodontic Population: A Lateral Cephalometric Study. Surg. Radiol. Anat. 2016, 38, 309–312. [Google Scholar] [CrossRef]
- Tripodi, D.; Tieri, M.; Demartis, P.; Però, G.; Marzo, G.; D’Ercole, S. Ponticulus Posticus: Clinical and CBCT Analysis in a Young Italian Population. Eur. J. Paediatr. Dent. 2019, 20, 219–223. [Google Scholar] [CrossRef]
- Zhang, J.; Shen, J.; Li, Y.; Zheng, J.; Wang, Y.; Shao, H.; Jin, M.; Ding, Z.; Zhao, T.; Chen, X. Frequency and Type of Ponticulus Posticus and Lateralis in a Chinese Population: A CT Based Analysis of 4047 Cases. Turk. Neurosurg. 2023, 33, 194–198. [Google Scholar] [CrossRef] [PubMed]
- Chou, S.-T.; Chen, C.-M.; Chen, P.-H.; Chen, Y.-K.; Chen, S.-C.; Tseng, Y.-C. Morphology of Sella Turcica and Bridging Prevalence Correlated with Sex and Craniofacial Skeletal Pattern in Eastern Asia Population: CBCT Study. Biomed. Res. Int. 2021, 2021, 6646406. [Google Scholar] [CrossRef] [PubMed]
- Chou, S.-T.; Chen, C.-M.; Chen, P.-H.; Lin, Y.-C.; Tseng, Y.-C. The Left and Right Differences in Sella Turcica Bridging between Sex Analyzed by Cone-Beam Computed Tomography. J. Dent. Sci. 2023, 18, 220–228. [Google Scholar] [CrossRef] [PubMed]
- Macrì, M.; Perrella, G.; Varvara, G.; Murmura, G.; Traini, T.; Rendina, F.; Festa, F. Assessments of Prevalence of Ponticulus Posticus, Atlas Posterior Arch Deficiency, Sella Turcica Bridging, Maxillary Canine Impaction, and Associations among Them in 500 CBCTs of Italian Orthodontic Patients. Front. Dent. Med. 2021, 2, 708169. [Google Scholar] [CrossRef]
- Pittayapat, P.; Willems, G.; Alqerban, A.; Coucke, W.; Ribeiro-Rotta, R.F.; Souza, P.C.; Westphalen, F.H.; Jacobs, R. Agreement between Cone Beam Computed Tomography Images and Panoramic Radiographs for Initial Orthodontic Evaluation. Oral Surg. Oral Med. Oral Pathol. Oral Radiol. 2014, 117, 111–119. [Google Scholar] [CrossRef] [PubMed]



| Groups | Subjects, n | Mean Age ± SD | Female, n (%) | Male, n (%) |
|---|---|---|---|---|
| Class I | 113 | 14.87 ± 4.47 | 67 (43.8) | 46 (31.3) |
| Class II | 155 | 15.19 ± 5.06 | 74 (48.4) | 81 (55.1) |
| Class III | 32 | 15.47 ± 5.12 | 12 (7.8) | 20 (13.6) |
| Group | Ponticulus Posticus | Type of Ponticulus Posticus | ||||||
|---|---|---|---|---|---|---|---|---|
| Present | Absent | p Value | Type 1 | Type 2 | Type 3 | Type 4 | p Value | |
| n (%) | n (%) | n (%) | n (%) | n (%) | n (%) | |||
| Age | ||||||||
| ≤10 | 13 (48.1) | 14 (51.9) | 0.235 | 14 (51.9) | 12 (44.4) | 1 (3.7) | 0 (0.0) | 0.171 |
| 11–14 | 78 (57.8) | 57 (42.2) | 57 (42.2) | 44 (32.6) | 18 (13.3) | 16 (11.9) | ||
| 15–18 | 50 (51.5) | 47 (48.5) | 47 (48.5) | 26 (26.8) | 10 (10.3) | 14 (14.4) | ||
| ≥19 | 16 (40.0) | 24 (60.0) | 24 (60.0) | 7 (17.5) | 5 (12.5) | 4 (10.0) | ||
| Sex | ||||||||
| Female | 68 (43.3) * | 85 (59.4) * | 0.005 | 85 (55.6) * | 38 (24.8) | 15 (9.8) | 15 (9.8) | 0.05 |
| Male | 89 (56.7) * | 58 (40.6) * | 57 (39.0) * | 51 (34.9) | 19 (13.0) | 19 (13.0) | ||
| Skeletal malocclusion | ||||||||
| Class I | 51 (32.5) | 62 (43.4) | 0.042 | 62 (43.4) | 28 (31.5) | 10 (29.4) | 13 (38.2) | 0.285 |
| Class II | 92 (58.6) * | 63 (44.1) | 63 (44.1) | 54 (60.7) | 20 (58.8) | 18 (52.9) | ||
| Class III | 14 (8.9) | 18 (12.6) | 18 (12.6) | 7 (7.9) | 4 (11.8) | 3 (8.8) | ||
| Group | Sella Turcica Bridging | Type of Sella Turcica Bridging | |||||
|---|---|---|---|---|---|---|---|
| Present | Absent | p Value | Type 1 | Type 2 | Type 3 | p Value | |
| n (%) | n (%) | n (%) | n (%) | n (%) | |||
| Age | |||||||
| ≤10 | 15 (9.5) | 12 (8.5) | 0.427 | 12 (8.5) | 11 (9.9) | 4 (8.5) | 0.694 |
| 11–14 | 64 (40.5) | 71 (50.0) | 71 (50.0) | 43 (38.7) | 21 (44.7) | ||
| 15–18 | 56 (35.4) | 41 (28.9) | 41 (28.9) | 39 (35.1) | 17 (36.2) | ||
| ≥19 | 23 (14.6) | 18 (12.7) | 18 (12.7) | 18 (16.2) | 5 (10.6) | ||
| Sex | |||||||
| Female | 95 (60.1) * | 58 (40.8) * | <0.001 | 58 (40.8) * | 66 (59.5) * | 29 (61.7) | 0.004 |
| Male | 63 (39.9) * | 84 (59.2) * | 84 (59.2) * | 45 (40.5) * | 18 (38.3) | ||
| Skeletal malocclusion | |||||||
| Class I | 59 (37.3) | 54 (38.0) | 0.516 | 54 (38.0) | 40 (36.0) | 19 (40.4) | 0.809 |
| Class II | 85 (53.8) | 70 (49.3) | 70 (49.3) | 61 (55.0) | 24 (51.1) | ||
| Class III | 14 (14.0) | 18 (12.7) | 18 (12.7) | 10 (9.0) | 4 (8.5) | ||
Disclaimer/Publisher’s Note: The statements, opinions and data contained in all publications are solely those of the individual author(s) and contributor(s) and not of MDPI and/or the editor(s). MDPI and/or the editor(s) disclaim responsibility for any injury to people or property resulting from any ideas, methods, instructions or products referred to in the content. |
© 2024 by the authors. Published by MDPI on behalf of the Lithuanian University of Health Sciences. Licensee MDPI, Basel, Switzerland. This article is an open access article distributed under the terms and conditions of the Creative Commons Attribution (CC BY) license (https://creativecommons.org/licenses/by/4.0/).
Share and Cite
Lekavičiūtė, R.; Šopagienė, D.; Razukevičius, D.; Trakinienė, G.; Lopatienė, K. The Relationship Between Orthodontic Malocclusion and Morphological Features of Sella Turcica Bridging and Ponticulus Posticus. Medicina 2024, 60, 1853. https://doi.org/10.3390/medicina60111853
Lekavičiūtė R, Šopagienė D, Razukevičius D, Trakinienė G, Lopatienė K. The Relationship Between Orthodontic Malocclusion and Morphological Features of Sella Turcica Bridging and Ponticulus Posticus. Medicina. 2024; 60(11):1853. https://doi.org/10.3390/medicina60111853
Chicago/Turabian StyleLekavičiūtė, Roberta, Diana Šopagienė, Dainius Razukevičius, Giedrė Trakinienė, and Kristina Lopatienė. 2024. "The Relationship Between Orthodontic Malocclusion and Morphological Features of Sella Turcica Bridging and Ponticulus Posticus" Medicina 60, no. 11: 1853. https://doi.org/10.3390/medicina60111853
APA StyleLekavičiūtė, R., Šopagienė, D., Razukevičius, D., Trakinienė, G., & Lopatienė, K. (2024). The Relationship Between Orthodontic Malocclusion and Morphological Features of Sella Turcica Bridging and Ponticulus Posticus. Medicina, 60(11), 1853. https://doi.org/10.3390/medicina60111853

