Association of Oral Tobacco-Free Nicotine Delivery Product with Acute Renal Tubular Necrosis
Abstract
1. Introduction
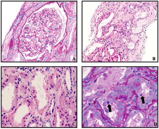
2. Case Presentation
3. Discussion
4. Conclusions
Author Contributions
Funding
Informed Consent Statement
Data Availability Statement
Conflicts of Interest
References
- Delnevo, C.D.; Hrywna, M.; Miller Lo, E.J.; Wackowski, O.A. Examining market trends in smokeless tobacco sales in the United States: 2011–2019. Nicotine Tob. Res. 2021, 23, 1420–1424. [Google Scholar] [CrossRef] [PubMed]
- Park-Lee, E.; Jamal, A.; Cowan, H.; Sawdey, M.D.; Cooper, M.R.; Birdsey, J.; West, A.; Cullen, K.A. Notes from the field: E-Cigarette and nicotine pouch use among middle and high school students—United States, 2024. MMWR Morb. Mortal. Wkly. Rep. 2024, 73, 774–778. [Google Scholar] [CrossRef] [PubMed]
- Vu, A.T.; Taylor, K.M.; Holman, M.R.; Ding, Y.S.; Hearn, B.; Watson, C.H. Polycyclic aromatic hydrocarbons in the mainstream smoke of popular US cigarettes. Chem. Res. Toxicol. 2015, 28, 1616–1626. [Google Scholar] [CrossRef] [PubMed]
- Riboli, E.; Beland, F.A.; Lachenmeier, D.W.; Marques, M.M.; Phillips, D.H.; Schernhammer, E.; Afghan, A.; Assunção, R.; Caderni, G.; Corton, J.C.; et al. Carcinogenicity of aspartame, methyleugenol, and isoeugenol. Lancet Oncol. 2023, 24, 848–850. [Google Scholar] [CrossRef]
- Back, S.; Masser, A.E.; Rutqvist, L.E.; Lindholm, J. Harmful and potentially harmful constituents (HPHCs) in two novel nicotine pouch products in comparison with regular smokeless tobacco products and pharmaceutical nicotine replacement therapy products (NRTs). BMC Chem. 2023, 17, 9. [Google Scholar] [CrossRef]
- İnci, M.; Zararsız, İ.; Davarcı, M.; Görür, S. Toxic effects of formaldehyde on the urinary system. Turk. J. Urol. 2013, 39, 48–52. [Google Scholar] [CrossRef]
- Birdsey, J.; Cornelius, M.; Jamal, A.; Park-Lee, E.; Cooper, M.R.; Wang, J.; Sawdey, M.D.; Cullen, K.A.; Neff, L. Tobacco product use among U.S. middle and high school students—National Youth Tobacco Survey, 2023. MMWR Morb. Mortal. Wkly. Rep. 2023, 72, 1173–1182. [Google Scholar] [CrossRef]
- Kramer, R.D.; Park-Lee, E.; Marynak, K.L.; Jones, J.T.; Sawdey, M.D.; Cullen, K.A. Nicotine pouch awareness and use among youth, National Youth Tobacco Survey, 2021. Nicotine Tob. Res. 2023, 25, 1610–1613. [Google Scholar] [CrossRef]
- Rezonzew, G.; Chumley, P.; Feng, W.; Hua, P.; Siegal, G.P.; Jaimes, E.A. Nicotine exposure and the progression of chronic kidney disease: Role of the α7-nicotinic acetylcholine receptor. Am. J. Physiol. Ren. Physiol. 2012, 303, F304–F312. [Google Scholar] [CrossRef]
- Hukkanen, J.; Jacob P 3rd Benowitz, N.L. Metabolism and disposition kinetics of nicotine. Pharmacol. Rev. 2005, 57, 79–115. [Google Scholar] [CrossRef]
- Jaimes, E.A.; Tian, R.X.; Joshi, M.S.; Raij, L. Nicotine augments glomerular injury in a rat model of acute nephritis. Am. J. Nephrol. 2009, 29, 319–326. [Google Scholar] [CrossRef] [PubMed]
- Urakawa, N.; Nagata, T.; Kudo, K.; Kimura, K.; Imamura, T. Simultaneous determination of nicotine and cotinine in various human tissues using capillary gas chromatography/mass spectrometry. Int. J. Legal Med. 1994, 106, 232–236. [Google Scholar] [CrossRef] [PubMed]
- Zheng, C.M.; Lee, Y.H.; Chiu, I.J.; Chiu, Y.J.; Sung, L.C.; Hsu, Y.H.; Chiu, H.W. Nicotine causes nephrotoxicity through the induction of NLRP6 inflammasome and alpha7 nicotinic acetylcholine receptor. Toxics 2020, 8, 92. [Google Scholar] [CrossRef] [PubMed]
- Yeboah, M.M.; Xue, X.; Duan, B.; Ochani, M.; Tracey, K.J.; Susin, M.; Metz, C.N. Cholinergic agonists attenuate renal ischemia-reperfusion injury in rats. Kidney Int. 2008, 74, 62–69. [Google Scholar] [CrossRef]
- Kim, C.S.; Choi, J.S.; Joo, S.Y.; Bae, E.H.; Ma, S.K.; Lee, J.; Kim, S.W. Nicotine-induced apoptosis in human renal proximal tubular epithelial cells. PLoS ONE 2016, 11, e0152591. [Google Scholar] [CrossRef]
- Vickers, A.E.; Rose, K.; Fisher, R.; Saulnier, M.; Sahota, P.; Bentley, P. Kidney slices of human and rat to characterize cisplatin-induced injury on cellular pathways and morphology. Toxicol. Pathol. 2004, 32, 577–590. [Google Scholar] [CrossRef]
- Arany, I.; Grifoni, S.; Clark, J.S.; Csongradi, E.; Maric, C.; Juncos, L.A. Chronic nicotine exposure exacerbates acute renal ischemic injury. Am. J. Physiol. Ren. Physiol. 2011, 301, F125–F133. [Google Scholar] [CrossRef]
- Thiele, K.G.; Mattenheimer, H. The isoenzymes of lactate dehydrogenase in the nephron of the healthy human kidney. Clin. Chem. Lab. Med. 1968, 6, 132–138. [Google Scholar] [CrossRef][Green Version]
- Roses, J.; Woods, J.E.; Zincke, H. The value of lactic dehydrogenase as a predictor of early allograft survival. Am. J. Surg. 1977, 133, 726–728. [Google Scholar] [CrossRef]
- Anderson, C.B.; Groce, M.A.; Mohapatra, R.N.; Codd, J.E.; Graff, R.J.; Gregory, J.G.; Newton, W.T. Serum lactic dehydrogenase and irreversible renal allograft rejection. Surgery 1976, 79, 161–165. [Google Scholar]
- Koyama, Y.; Miyazato, T.; Tsuha, M.; Goya, M.; Kagawa, H.; Miyakawa, A.; Sugaya, K.; Hatano, T.; Ogawa, Y.; Shiraishi, M. Does the high level of lactate dehydrogenase predict renal function and outcome after renal transplantation from non–heart-beating cadaver donors? Transplant. Proc. 2000, 32, 1604–1605. [Google Scholar] [CrossRef] [PubMed]
- Green, H.; Tobar, A.; Gafter-Gvili, A.; Leibovici, L.; Klein, T.; Rahamimov, R.; Mor, E.; Grossman, A. Serum lactate dehydrogenase is elevated in ischemic acute tubular necrosis but not in acute rejection in kidney transplant patients. Prog. Transplant. 2017, 27, 53–57. [Google Scholar] [CrossRef] [PubMed]
- Sándor, Z.; Katics, D.; Varga, Á.; Kalmár Nagy, K.; Szakály, P. Interpretation of LDH values after kidney transplantation. J. Clin. Med. 2024, 13, 485. [Google Scholar] [CrossRef]
- Truche, A.S.; Trocme, C.; Vergnaud, S.; Janbon, B.; Giovannini, D.; Malvezzi, P.; Moreau-Gaudry, X.; Rostaing, L.; Tetaz, R. Early prediction of graft outcomes after kidney transplantation from donors after circulatory death: Biomarkers and transplantation characteristics. Transplant. Proc. 2019, 51, 3234–3243. [Google Scholar] [CrossRef]
- Mezzolla, V.; Pontrelli, P.; Fiorentino, M.; Stasi, A.; Pesce, F.; Franzin, R.; Rascio, F.; Grandaliano, G.; Stallone, G.; Infante, B.; et al. Emerging biomarkers of delayed graft function in kidney transplantation. Transplant. Rev. 2021, 35, 100629. [Google Scholar] [CrossRef]
- Sun, R.; Lv, D.; Xiao, M.; Zhang, L.; Xu, J.; Yu, X.; Zhu, H.; Yang, J. Diagnostic accuracy of the 1,3-beta-D-glucan test and lactate dehydrogenase for pneumocystis pneumonia in non-HIV patients. Sci. Rep. 2021, 11, 9226. [Google Scholar] [CrossRef]


| Initial | Discharge at 3 Weeks | |
|---|---|---|
| BUN | 46 mg/dL | 96 mg/dL |
| Serum creatinine | 6.4 mg/dL | 6.1 mg/dL |
| Serum albumin | 3.5 g/dL | 3.4 g/dL |
| CRP | 384.5 mg/L (0–5 mg/L) | 35.5 mg/L |
| LDH | 2227 IU/L (Normal: 135–225 IU/L) | 488 IU/L |
| Haptoglobin | 156 mg/dL (Normal: 40–215 mg/dL) | |
| Peripheral smear schistocytes | Absent | |
| Peripheral blood flowcytometry | Negative for malignancy | |
| Direct Coombs test | Negative | |
| C3 | 134 mg/dL | |
| C4 | 13 mg/dL | |
| ANA | Negative | |
| ANCA | Negative | |
| CK | <10 U/L | |
| WBC | 22.9 × 103/uL with left shift, neutrophils 85.6% | |
| Hemoglobin | 13.2 g/dL | |
| Platelet count | 175 × 103/uL | |
| BK DNA PCR | Not detected | |
| CMV DNA PCR | Not detected | |
| EBV DNA PCR | Not detected | |
| Urinalysis | pH 7, specific gravity 1.010, red cells 4 per hpf, 2+ protein, positive glucose, negative nitrites and leukocytes | |
| Urine protein to creatinine ratio | 0.8 mg/mg creatinine | |
| Urine beta-2 microglobulin | 30,000 mcg/L (≤300 mcg/L) | |
| Urine toxicology | Negative |
Disclaimer/Publisher’s Note: The statements, opinions and data contained in all publications are solely those of the individual author(s) and contributor(s) and not of MDPI and/or the editor(s). MDPI and/or the editor(s) disclaim responsibility for any injury to people or property resulting from any ideas, methods, instructions or products referred to in the content. |
© 2024 by the authors. Published by MDPI on behalf of the Lithuanian University of Health Sciences. Licensee MDPI, Basel, Switzerland. This article is an open access article distributed under the terms and conditions of the Creative Commons Attribution (CC BY) license (https://creativecommons.org/licenses/by/4.0/).
Share and Cite
Acharya, R.; Clapp, W.; Upadhyay, K. Association of Oral Tobacco-Free Nicotine Delivery Product with Acute Renal Tubular Necrosis. Medicina 2024, 60, 1846. https://doi.org/10.3390/medicina60111846
Acharya R, Clapp W, Upadhyay K. Association of Oral Tobacco-Free Nicotine Delivery Product with Acute Renal Tubular Necrosis. Medicina. 2024; 60(11):1846. https://doi.org/10.3390/medicina60111846
Chicago/Turabian StyleAcharya, Ratna, William Clapp, and Kiran Upadhyay. 2024. "Association of Oral Tobacco-Free Nicotine Delivery Product with Acute Renal Tubular Necrosis" Medicina 60, no. 11: 1846. https://doi.org/10.3390/medicina60111846
APA StyleAcharya, R., Clapp, W., & Upadhyay, K. (2024). Association of Oral Tobacco-Free Nicotine Delivery Product with Acute Renal Tubular Necrosis. Medicina, 60(11), 1846. https://doi.org/10.3390/medicina60111846

