Atypical Presentation of Rapidly Progressive Cutaneous Metastases of Clear Cell Renal Carcinoma: A Case Report
Abstract
1. Introduction
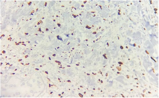
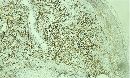
2. Case Report
3. Discussion
4. Conclusions
Author Contributions
Funding
Conflicts of Interest
References
- Porter, N.A.; Anderson, H.L.; Al-Dujaily, S. Renal Cell Carcinoma Presenting as a Solitary Cutaneous Facial Metastasis: Case Report and Review of the Literature. Int. Semin. Surg. Oncol. 2006, 3, 27. [Google Scholar] [CrossRef] [PubMed]
- Walton, J.; Li, J.; Clifton, M.M.; Mori, R.L.; Park, A.M.; Sumfest, J.M. Metastatic Clear Cell Renal Cell Carcinoma to the Forearm without Identifiable Primary Renal Mass. Urol. Case Rep. 2019, 27, 100989. [Google Scholar] [CrossRef] [PubMed]
- Melo, L.E.B.D.; Rêgo, M.M.B.D.; Carvalho, S.C.D.; Mello, M.E.L.B.D.; Cavalcante, G.P.; Duarte, M.R.C.C.R.; Silva, T.C.L.D.; Araújo-Filho, I. Metástase Cutânea e Carcinoma de Células Renais: Desafios e Perspectivas. Rev. Relato De Casos Do CBC 2024, 10, 1–6. [Google Scholar] [CrossRef]
- Flanigan, R.C.; Campbell, S.C.; Clark, J.I.; Picken, M.M. Metastatic Renal Cell Carcinoma. Curr. Treat. Options Oncol. 2003, 4, 385–390. [Google Scholar] [CrossRef]
- Mirza, R.; Ellsworth, S.; King, J.; Sangster, G.; Shi, M. Cutaneous Metastasis of Renal Cell Carcinoma: Fine Needle Aspiration Provides Rapid Diagnosis. Clin. Case Rep. 2019, 7, 218–221. [Google Scholar] [CrossRef] [PubMed]
- Arrabal-Polo, M.A.; Arias-Santiago, S.A.; Aneiros-Fernandez, J.; Burkhardt-Perez, P.; Arrabal-Martin, M.; Naranjo-Sintes, R. Cutaneous Metastases in Renal Cell Carcinoma: A Case Report. Cases J. 2009, 2, 7948. [Google Scholar] [CrossRef] [PubMed]
- Lorenzo-Rios, D.; Cruzval-O’Reilly, E.; Rabelo-Cartagena, J.; Lorenzo-Rios, D.; Cruzval-O’Reilly, E.; Rabelo-Cartagena, J. Facial Cutaneous Metastasis in Renal Cell Carcinoma. Cureus 2020, 12, e12093. [Google Scholar] [CrossRef]
- Bujons, A.; Pascual, X.; Martínez, R.; Rodríguez, O.; Palou, J.; Villavicencio, H. Cutaneous Metastases in Renal Cell Carcinoma. Urol. Int. 2008, 80, 111–112. [Google Scholar] [CrossRef]
- Balawender, K.; Przybyła, R.; Orkisz, S.; Wawrzyniak, A.; Boroń, D.; Grabarek, B.O. Cutaneous Metastasis as the First Sign of Renal Cell Carcinoma—Crossroad Between Literature Analysis and Own Observations. Adv. Dermatol. Allergol. 2021, 39, 553–558. [Google Scholar] [CrossRef]
- Chauhan, A.; Ganguly, M.; Nath, P.; Chowdhary, G.S. Cutaneous Metastasis to Face and Neck as a Sole Manifestation of an Unsuspected Renal Cell Carcinoma. Int. J. Dermatol. 2011, 50, 81–84. [Google Scholar] [CrossRef]
- Opper, B.; Elsner, P.; Ziemer, M. Cutaneous Metastasis of Renal Cell Carcinoma. Am. J. Clin. Dermatol. 2006, 7, 271–272. [Google Scholar] [CrossRef]
- Onak Kandemir, N.; Barut, F.; Yılmaz, K.; Tokgoz, H.; Hosnuter, M.; Ozdamar, S.O. Renal Cell Carcinoma Presenting with Cutaneous Metastasis: A Case Report. Case Rep. Med. 2010, 2010, 913734. [Google Scholar] [CrossRef] [PubMed]
- Meshikhes, H.A.; Khatem, R.S.A.; Albusaleh, H.M.; Alzahir, A.A.; Meshikhes, H.; Khatem, R.S.A.; Albusaleh, H.; Alzahir, A.A. Metastatic Renal Cell Carcinoma to the Scalp: A Case Report With Review of Literature. Cureus 2023, 15, e34790. [Google Scholar] [CrossRef] [PubMed]
- Pritchyk, K.M.; Schiff, B.A.; Newkirk, K.A.; Krowiak, E.; Deeb, Z.E. Metastatic Renal Cell Carcinoma to the Head and Neck. Laryngoscope 2002, 112, 1598–1602. [Google Scholar] [CrossRef] [PubMed]
- Dorairajan, L.N.; Hemal, A.K.; Aron, M.; Rajeev, T.P.; Nair, M.; Seth, A.; Dogra, P.N.; Gupta, N.P. Cutaneous Metastases in Renal Cell Carcinoma. Urol. Int. 1999, 63, 164–167. [Google Scholar] [CrossRef]
- Mikail, N.; Belew, D.; Ullah, A.; Payne-Jamaeu, Y.; Patel, N.; Kavuri, S.; White, J.; Madi, R. Renal Cell Carcinoma Presenting as an Isolated Eyelid Metastasis. J. Endourol. Case Rep. 2020, 6, 322–324. [Google Scholar] [CrossRef]
- Urakci, Z. Renal Cell Carcinoma Presenting with Cutaneous Metastasis: Case Report. Turkish J. Oncol. 2013, 28, 163–166. [Google Scholar] [CrossRef]
- Sokumbi, O.; Wetter, D.A. Clinical Features, Diagnosis, and Treatment of Erythema Multiforme: A Review for the Practicing Dermatologist. Int. J. Dermatol. 2012, 51, 889–902. [Google Scholar] [CrossRef]
- Anderson, H.J.; Lee, J.B. A Review of Fixed Drug Eruption with a Special Focus on Generalized Bullous Fixed Drug Eruption. Medicina 2021, 57, 925. [Google Scholar] [CrossRef]
- Pichler, W.J.; Daubner, B.; Kawabata, T. Drug Hypersensitivity: Flare-up Reactions, Cross-Reactivity and Multiple Drug Hypersensitivity. J. Dermatol. 2011, 38, 216–221. [Google Scholar] [CrossRef]
- Tiodorovic, D.; Stojkovic-Filipovic, J.; Marghoob, A.; Argenziano, G.; Puig, S.; Malvehy, J.; Tognetti, L.; Pietro, R.; Akay, B.N.; Zalaudek, I.; et al. Dermatoscopic Patterns of Cutaneous Metastases: A Multicentre Cross-Sectional Study of the International Dermoscopy Society. J. Eur. Acad. Dermatol. Venereol. 2024, 38, 1432–1438. [Google Scholar] [CrossRef] [PubMed]
- Golinska, J.M.; Sar-Pomian, M.; Rudnicka, L. Videodermoscopy: A Useful Diagnostic Tool for Cutaneous Metastases of Prostate Cancer. Indian J. Dermatol. Venereol. Leprol. 2020, 86, 565–568. [Google Scholar] [CrossRef] [PubMed]
- Rossi, G.; da Silva Cartel, A.; Bakos, R.M. Dermoscopic Aspects of Cutaneous Adverse Drug Reactions. Dermatol. Pract. Concept. 2021, 11, e2021136. [Google Scholar] [CrossRef] [PubMed]
- Ohlsson, R.; Geertsen, L.; Berge Stuveseth, S.; Lund, L. Cutaneous Metastases in Renal Cell Carcinoma: A Systematic Review and a Case Report. Scand. J. Urol. 2019, 53, 9–13. [Google Scholar] [CrossRef]
- De Paula, T.A.; da Silva, P.S.L.; Berriel, L.G.S. Renal Cell Carcinoma with Cutaneous Metastasis: Case Report. Braz. J. Nephrol. 2010, 32, 213–215. [Google Scholar] [CrossRef]
- Shen, S.S.; Truong, L.D.; Scarpelli, M.; Lopez-Beltran, A. Role of Immunohistochemistry in Diagnosing Renal Neoplasms: When Is It Really Useful? Arch. Pathol. Lab. Med. 2012, 136, 410–417. [Google Scholar] [CrossRef]
- Avery, A.K.; Beckstead, J.; Renshaw, A.A.; Corless, C.L. Use of Antibodies to RCC and CD10 in the Differential Diagnosis of Renal Neoplasms. Am. J. Surg. Pathol. 2000, 24, 203. [Google Scholar] [CrossRef]
- Atkins, M.; Regan, M.; McDermott, D.; Mier, J.; Stanbridge, E.; Youmans, A.; Febbo, P.; Upton, M.; Lechpammer, M.; Signoretti, S. Carbonic Anhydrase IX Expression Predicts Outcome of Interleukin 2 Therapy for Renal Cancer. Clin. Cancer Res. 2005, 11, 3714–3721. [Google Scholar] [CrossRef]
- Gay, H.A.; Cavalieri, R.; Allison, R.R.; Finley, J., Jr. Complete Response in a Cutaneous Facial Metastatic Nodule from Renal Cell Carcinoma after Hypofractionated Radiotherapy. Dermatol. Online J. 2007, 13, 6. [Google Scholar] [CrossRef]
- Gul, A.; Stewart, T.F.; Mantia, C.M.; Shah, N.J.; Gatof, E.S.; Long, Y.; Allman, K.D.; Ornstein, M.C.; Hammers, H.J.; McDermott, D.F.; et al. Salvage Ipilimumab and Nivolumab in Patients With Metastatic Renal Cell Carcinoma After Prior Immune Checkpoint Inhibitors. J. Clin. Oncol. 2020, 38, 3088–3094. [Google Scholar] [CrossRef]
- Sheng, I.Y.; Ornstein, M.C. Ipilimumab and Nivolumab as First-Line Treatment of Patients with Renal Cell Carcinoma: The Evidence to Date. Cancer Manag. Res. 2020, 12, 4871–4881. [Google Scholar] [CrossRef] [PubMed]






Disclaimer/Publisher’s Note: The statements, opinions and data contained in all publications are solely those of the individual author(s) and contributor(s) and not of MDPI and/or the editor(s). MDPI and/or the editor(s) disclaim responsibility for any injury to people or property resulting from any ideas, methods, instructions or products referred to in the content. |
© 2024 by the authors. Published by MDPI on behalf of the Lithuanian University of Health Sciences. Licensee MDPI, Basel, Switzerland. This article is an open access article distributed under the terms and conditions of the Creative Commons Attribution (CC BY) license (https://creativecommons.org/licenses/by/4.0/).
Share and Cite
Iliescu, C.A.; Beiu, C.; Racoviță, A.; Olaru, C.-M.; Tudose, I.; Vrancianu, A.; Popa, L.G. Atypical Presentation of Rapidly Progressive Cutaneous Metastases of Clear Cell Renal Carcinoma: A Case Report. Medicina 2024, 60, 1797. https://doi.org/10.3390/medicina60111797
Iliescu CA, Beiu C, Racoviță A, Olaru C-M, Tudose I, Vrancianu A, Popa LG. Atypical Presentation of Rapidly Progressive Cutaneous Metastases of Clear Cell Renal Carcinoma: A Case Report. Medicina. 2024; 60(11):1797. https://doi.org/10.3390/medicina60111797
Chicago/Turabian StyleIliescu, Carmen Andrada, Cristina Beiu, Andreea Racoviță, Cristina-Mihaela Olaru, Irina Tudose, Andreea Vrancianu, and Liliana Gabriela Popa. 2024. "Atypical Presentation of Rapidly Progressive Cutaneous Metastases of Clear Cell Renal Carcinoma: A Case Report" Medicina 60, no. 11: 1797. https://doi.org/10.3390/medicina60111797
APA StyleIliescu, C. A., Beiu, C., Racoviță, A., Olaru, C.-M., Tudose, I., Vrancianu, A., & Popa, L. G. (2024). Atypical Presentation of Rapidly Progressive Cutaneous Metastases of Clear Cell Renal Carcinoma: A Case Report. Medicina, 60(11), 1797. https://doi.org/10.3390/medicina60111797

