Endoscopic Ultrasound and Gastric Sub-Epithelial Lesions: Ultrasonographic Features, Tissue Acquisition Strategies, and Therapeutic Management
Abstract
1. Introduction
2. Methods
3. Gastric Subepithelial Lesions
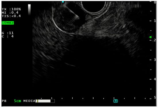
4. Endoscopic Ultrasound (EUS)
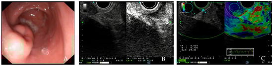
4.1. Contrast-Enhanced Harmonic EUS (CEH-EUS)
4.2. EUS-Elastography
4.3. Artificial Intelligence in Endoscopic Ultrasound
5. Fine Needle Biopsy (FNB)
6. Fine Needle Aspiration (FNA)
7. Mucosal Incision-Assisted Biopsy (MIAB)
8. Other Diagnosis Methods
9. Management and Treatment
10. Conclusions
Author Contributions
Funding
Institutional Review Board Statement
Informed Consent Statement
Data Availability Statement
Conflicts of Interest
References
- Hedenbro, J.L.; Ekelund, M.; Wetterberg, P. Endoscopic diagnosis of submucosal gastric lesions. The results after routine endoscopy. Surg. Endosc. 1991, 5, 20–23. [Google Scholar] [CrossRef] [PubMed]
- Jacobson, B.C.; Bhatt, A.; Greer, K.B.; Lee, L.S.; Park, W.G.; Sauer, B.G.; Shami, V.M. ACG Clinical Guideline: Diagnosis and Management of Gastrointestinal Subepithelial Lesions. Am. J. Gastroenterol. 2023, 118, 46–58. [Google Scholar] [CrossRef] [PubMed]
- Cho, J.W.; Korean ESD Study Group. Current guidelines in the management of upper gastrointestinal subepithelial tumors. Clin. Endosc. 2016, 49, 235–240. [Google Scholar] [CrossRef] [PubMed]
- Polkowski, M. Endoscopic ultrasound and endoscopic ultrasound-guided fine-needle biopsy for the diagnosis of malignant submucosal tumors. Endoscopy 2005, 37, 635–645. [Google Scholar] [CrossRef] [PubMed]
- Deprez, P.H.; Moons, L.M.G.; O’Toole, D.; Gincul, R.; Seicean, A.; Pimentel-Nunes, P. Endoscopic management of subepithelial lesions including neuroendocrine neoplasms: European Society of Gastrointestinal Endoscopy (ESGE) Guideline. Endoscopy 2022, 54, 412–429. [Google Scholar] [CrossRef]
- Faulx, A.L.; Kothari, S.; Acosta, R.D.; Agrawal, D.; Bruining, D.H.; Chandrasekhara, V.; Eloubeidi, M.A.; Fanelli, R.D.; Gurudu, S.R.; Khashab, M.A.; et al. The role of endoscopy in subepithelial lesions of the GI tract. Gastrointest. Endosc. 2017, 85, 1117–1132. [Google Scholar] [CrossRef]
- Zhong, Z.; Xu, Y.; Liu, J.; Zhang, C.; Xiao, Z.; Xia, Y.; Wang, Y.; Wang, J.; Xu, Q.; Lu, Y. Clinicopathological study of gastric schwannoma and review of related literature. BMC Surg. 2022, 22, 159. [Google Scholar] [CrossRef]
- Okai, T.; Minamoto, T.; Ohtsubo, K.; Minato, H.; Kurumaya, H.; Oda, Y.; Mai, M.; Sawabu, N. Endosonographic evaluation of ckit-positive gastrointestinal stromal tumor. Abdom. Imaging 2003, 28, 301–307. [Google Scholar] [CrossRef]
- Cheema, H.I.; Tharian, B.; Inamdar, S.; Garcia-Saenz-de-Sicilia, M.; Cengiz, C. Recent advances in endoscopic management of gastric neoplasms. World J. Gastrointest. Endosc. 2023, 15, 319–337. [Google Scholar] [CrossRef]
- National Comprehensive Cancer Network. NCCN Clinical Practice Guidelines in Oncology: Gastrointestinal Stromal Tumors (GISTs). Available online: https://www.nccn.org/ (accessed on 15 August 2022).
- Papanikolaou, I.S.; Triantafyllou, K.; Kourikou, A.; Rösch, T. Endoscopic ultrasonography for gastric submucosal lesions. World J. Gastrointest. Endosc. 2011, 3, 86–94. [Google Scholar] [CrossRef]
- Fang, J.M.; Li, J.; Shi, J. An update on the diagnosis of gastroenteropancreatic neuroendocrine neoplasms. World J. Gastroenterol. 2022, 28, 1009–1023. [Google Scholar] [CrossRef] [PubMed]
- Rübenthaler, J.; Auernhammer, C.; Harun, I.; Ricke, J.; Cyran, C.C. Neuroendocrine tumors of the stomach, duodenum and pancreas: Value of (hybrid) radiological diagnostics. Der Radiol. 2019, 59, 961–967. [Google Scholar] [CrossRef] [PubMed]
- Scherübl, H.; Cadiot, G.; Jensen, R.T.; Rösch, T.; Stölzel, U.; Klöppel, G. Neuroendocrine tumors of the stomach (gastric carcinoids) are on the rise: Small tumors, small problems? Endoscopy 2010, 42, 664–671. [Google Scholar] [CrossRef] [PubMed]
- Drago, J.; Fuente, I.; Cavadas, D.; Beskow, A.; Wright, F. Gastric Schwannoma. J. Gastrointest. Surg. 2019, 23, 381–383. [Google Scholar] [CrossRef]
- Kim, E.Y. Submucosal lesions. In Endosonography; Hawes, R.H., Fockens, P., Eds.; Saunders Elsevier: Philadelphia, PA, USA, 2006; pp. 99–110. [Google Scholar]
- Seijo Ríos, S.; Lariño Noia, J.; Abdulkader Nallib, I.; Lozano León, A.; Vieites Pérez-Quintela, B.; Iglesias García, J.; Domínguez Muñoz, J.E. Adult gastric duplication cyst: Diagnosis by endoscopic ultrasound-guided fine-needle aspiration (EUSFNA). Rev. Esp. Enferm. Dig. 2008, 100, 586–590. [Google Scholar]
- El-Saadany, M.; Jalil, S.; Irisawa, A.; Shibukawa, G.; Ohira, H.; Bhutani, M.S. EUS for portal hypertension: A comprehensive and critical appraisal of clinical and experimental indications. Endoscopy 2008, 40, 690–696. [Google Scholar] [CrossRef]
- Ponsaing, L.G.; Kiss, K.; Loft, A.; Jensen, L.I.; Hansen, M.B. Diagnostic procedures for submucosal tumors in the gastrointestinal tract. World J. Gastroenterol. 2007, 13, 3301–3310. [Google Scholar] [CrossRef]
- Akaraviputh, T.; Manuyakorn, A.; Lohsiriwat, V. Diagnosis by endoscopic ultrasound of a large aberrant pancreas mimicking malignant gastrointestinal stromal tumor of the stomach. Endoscopy 2009, 41 (Suppl. S2), E63–E64. [Google Scholar] [CrossRef][Green Version]
- He, G.; Wang, J.; Chen, B.; Xing, X.; Wang, J.; Chen, J.; He, Y.; Cui, Y.; Chen, M. Feasibility of endoscopic submucosal dissection for upper gastrointestinal submucosal tumors treatment and value of endoscopic ultrasonography in pre-operation assess and postoperation follow-up: A prospective study of 224 cases in a single medical center. Surg. Endosc. 2016, 30, 4206–4213. [Google Scholar] [CrossRef]
- Sadeghi, A.; Shahrbaf, M.A.; Asadzadeh Aghdaei, H.; Esmaeilinejad, K.; Zali, M.R. A rare presentation of simple renal cyst: Gastrointestinal obstruction. Gastroenterol. Hepatol. Bed Bench 2018, 11, 359–362. [Google Scholar]
- Rösch, T.; Kapfer, B.; Will, U.; Baronius, W.; Strobel, M.; Lorenz, R.; Ulm, K. Accuracy of endoscopic ultrasonography in upper gastrointestinal submucosal lesions: A prospective multicenter study. Scand. J. Gastroenterol. 2002, 37, 856–862. [Google Scholar] [CrossRef] [PubMed]
- Gheorghe, G.; Bacalbasa, N.; Ceobanu, G.; Ilie, M.; Enache, V.; Constantinescu, G.; Bungau, S.; Diaconu, C.C. Gastrointestinal Stromal Tumors. A Mini Review. J. Pers. Med. 2021, 11, 694. [Google Scholar] [CrossRef] [PubMed]
- Osoegawa, T.; Minoda, Y.; Ihara, E.; Komori, K.; Aso, A.; Goto, A.; Itaba, S.; Ogino, H.; Nakamura, K.; Harada, N.; et al. Mucosal incision-assisted biopsy versus endoscopic ultrasound-guided fine-needle aspiration with a rapid on-site evaluation for gastric subepithelial lesions: A randomized cross-over study. Dig. Endosc. 2019, 31, 413–421. [Google Scholar] [CrossRef]
- Giri, S.; Afzalpurkar, S.; Angadi, S.; Sundaram, S. Mucosal incision-assisted biopsy versus endoscopic ultrasound-assisted tissue acquisition for subepithelial lesions: A systematic review and meta-analysis. Clin. Endosc. 2022, 55, 615–625. [Google Scholar] [CrossRef]
- Facciorusso, A.; Crinò, S.F.; Fugazza, A.; Carrara, S.; Spadaccini, M.; Colombo, M.; Ramai, D.; Mangiavillano, B.; Chandan, S.; Gkolfakis, P.; et al. Comparative diagnostic yield of different endoscopic techniques for tissue sampling of upper gastrointestinal subepithelial lesions: A network meta-analysis. Endoscopy 2024, 56, 31–40. [Google Scholar] [CrossRef]
- Wu, J.; Zhuang, M.; Zhou, Y.; Zhan, X.; Xie, W. The value of contrast-enhanced harmonic endoscopic ultrasound in differential diagnosis and evaluation of malignant risk of gastrointestinal stromal tumors (<50 mm). Scand. J. Gastroenterol. 2022, 58, 542–548. [Google Scholar]
- Ignee, A.; Jenssen, C.; Hocke, M.; Dong, Y.; Wang, W.-P.; Cui, X.-W.; Woenckhaus, M.; Iordache, S.; Saftoiu, A.; Schuessler, G.; et al. Contrast-enhanced(endoscopic) ultrasound and endoscopic ultrasound elastography in gastrointestinal stromal tumors. Endosc. Ultrasound. 2017, 6, 55–60. [Google Scholar] [CrossRef]
- Tamura, T.; Kitano, M. Contrast Enhanced Endoscopic Ultrasound Imaging for Gastrointestinal Subepithelial Tumors. Clin. Endosc. 2019, 52, 306–313. [Google Scholar] [CrossRef]
- Pallio, S.; Crinò, S.F.; Maida, M.; Sinagra, E.; Tripodi, V.F.; Facciorusso, A.; Ofosu, A.; Conti Bellocchi, M.C.; Shahini, E.; Melita, G. Endoscopic Ultrasound Advanced Techniques for Diagnosis of Gastrointestinal Stromal Tumours. Cancers 2023, 15, 1285. [Google Scholar] [CrossRef]
- Yamashita, Y.; Kitano, M. Role of contrast-enhanced harmonic endoscopic ultrasonography (EUS) and EUS elastography in pancreatic lesions. Clin. Endosc. 2024, 57, 164–174. [Google Scholar] [CrossRef]
- Carrara, S.; Di Leo, M.; Grizzi, F.; Correale, L.; Rahal, D.; Anderloni, A.; Auriemma, F.; Fugazza, A.; Preatoni, P.; Maselli, R.; et al. EUS elastography (strain ratio) and fractal-based quantitative analysis for the diagnosis of solid pancreatic lesions. Gastrointest. Endosc. 2018, 87, 1464–1473. [Google Scholar] [CrossRef] [PubMed]
- Minoda, Y.; Ihara, E.; Komori, K.; Ogino, H.; Otsuka, Y.; Chinen, T.; Tsuda, Y.; Ando, K.; Yamamoto, H.; Ogawa, Y. Efficacy of endoscopic ultrasound with artificial intelligence for the diagnosis of gastrointestinal stromal tumors. J. Gastroenterol. 2020, 55, 1119–1126. [Google Scholar] [CrossRef]
- Minoda, Y.; Ihara, E.; Fujimori, N.; Nagatomo, S.; Esaki, M.; Hata, Y.; Bai, X.; Tanaka, Y.; Ogino, H.; Chinen, T.; et al. Efficacy of ultrasound endoscopy with artificial intelligence for the differential diagnosis of non-gastric gastrointestinal stromal tumors. Sci. Rep. 2022, 12, 16640. [Google Scholar] [CrossRef]
- Zhang, B.; Zhu, F.; Li, P.; Zhu, J. Artificial intelligence-assisted endoscopic ultrasound in the diagnosis of gastrointestinal stromal tumors: A meta-analysis. Surg. Endosc. 2023, 37, 1649–1657. [Google Scholar] [CrossRef]
- Landi, B.; Blay, J.Y.; Bonvalot, S.; Brasseur, M.; Coindre, J.M.; Emile, J.F.; Hautefeuille, V.; Honore, C.; Lartigau, E.; Mantion, G.; et al. Gastrointestinal stromal tumours (GISTs): French Intergroup Clinical Practice Guidelines for diagnosis, treatments and follow-up (SNFGE, FFCD, GERCOR, UNICANCER, SFCD, SFED, SFRO). Dig. Liver Dis. 2019, 51, 1223–1231. [Google Scholar] [CrossRef]
- Sadeghi, A.; Zali, M.R.; Norooz, M.T.; Pishgahi, M.; Moghadam, P.K. Management of gastrointestinal subepithelial lesions: An answer to the conflicting opinions. Gastroenterol. Hepatol. Bed Bench. 2023, 16, 378–385. [Google Scholar]
- Han, J.P.; Lee, T.H.; Hong, S.J.; Kim, H.K.; Noh, H.M.; Lee, Y.N.; Choi, H.J. EUS-guided FNA and FNB after on-site cytological evaluation in gastric subepithelial tumors. J. Dig. Dis. 2016, 17, 582–587. [Google Scholar] [CrossRef]
- Gilani, S.M.; Muniraj, T.; Aslanian, H.R.; Cai, G. Endoscopic ultrasound-guided fine needle aspiration cytology diagnosis of upper gastrointestinal tract mesenchymal tumors: Impact of rapid onsite evaluation and correlation with histopathologic follow-up. Diagn. Cytopathol. 2021, 49, 203–210. [Google Scholar] [CrossRef]
- Van Riet, P.A.; Erler, N.S.; Bruno, M.J.; Cahen, D.L. Comparison of fine-needle aspiration and fine-needle biopsy devices for endoscopic ultrasoundguided sampling of solid lesions: A systemic review and meta-analysis. Endoscopy 2021, 53, 411–423. [Google Scholar]
- Verloop, C.A.; Gos, J.A.C.; Bruno, M.J.; Quispel, R.; Van Driel, L.M.J.W.; Hol, L. Diagnostic yield of endoscopic and EUS-guided biopsy techniques in subepithelial lesions of the upper GI tract: A systematic review. Gastrointest. Endosc. 2024, 99, 895–911.e13. [Google Scholar] [CrossRef]
- Minoda, Y.; Esaki, M.; Ihara, E.; Nagatomo, S.; Nishioka, K.; Fujimori, N.; Ogino, H.; Bai, X.; Tanaka, Y.; Chinen, T.; et al. Auxiliary diagnosis of subephitelial lesions by impedance measurement during EUS-guided fine-neddle biopsy. Gastrointestinal Endosc. 2023, 97, 977–984. [Google Scholar] [CrossRef] [PubMed]
- Mangiavillano, B.; Crinò, S.F.; Facciorusso, A.; Di Matteo, F.; Barbera, C.; Larghi, A.; Rizzatti, G.; Carrara, S.; Spadaccini, M.; Auriemma, F.; et al. Endoscopic ultrasound-guided fine-needle biopsy with or without macroscopic on-site evaluation: A randomized controlled noninferiority trial. Endoscopy 2023, 55, 129–137. [Google Scholar] [CrossRef] [PubMed]
- Sekine, M.; Asano, T.; Mashima, H. The Diagnosis of Small Gastrointestinal Subepithelial Lesions by Endoscopic UltrasoundGuided Fine Needle Aspiration and Biopsy. Diagnostics 2022, 12, 810. [Google Scholar] [CrossRef] [PubMed]
- Watson, R.R.; Binmoeller, K.F.; Hamerski, C.M.; Shergill, A.K.; Shaw, R.E.; Jaffee, I.M.; Stewart, L.; Shah, J.N. Yield and performance characteristics of endoscopic ultrasound-guided fine needle aspiration for diagnosing upper GI tract stromal tumors. Dig. Dis. Sci. 2011, 56, 1757–1762. [Google Scholar] [CrossRef]
- El Chafic, A.H.; Loren, D.; Siddiqui, A.; Mounzer, R.; Cosgrove, N.; Kowalski, T. Comparison of FNA and fine-needle biopsy for EUS-guided sampling of suspected GI stromal tumors. Gastrointest. Endosc. 2017, 86, 510–515. [Google Scholar] [CrossRef]
- Iwai, T.; Kida, M.; Imaizumi, H.; Miyazawa, S.; Okuwaki, K.; Yamauchi, H.; Kaneko, T.; Hasegawa, R.; Miyata, E.; Koizumi, W. Randomized crossover trial comparing EUS-guided fine-needle aspiration with EUS-guided fine-needle biopsy for gastric subepithelial tumors. Diagn. Cytopathol. 2018, 46, 228–233. [Google Scholar] [CrossRef]
- Sekine, M.; Miura, T.; Fujiwara, J.; Uehara, T.; Asano, T.; Matsumoto, S.; Miyatani, H.; Mashima, H. Utility of endoscopic ultrasonography-guided fine-needle biopsy (EUS-FNB) for diagnosing small subepithelial lesions (<20 mm). J. Ultrasound. 2022, 25, 35–40. [Google Scholar]
- Hikichi, T.; Hashimoto, M.; Yanagita, T.; Kato, T.; Nakamura, J. Endoscopic ultrasound-guided fne-needle aspiration for gastrointestinal subepithelial lesions. J. Med. Ultrason. 2024, 51, 195–207. [Google Scholar] [CrossRef]
- Sanaei, O.; Fernández-Esparrach, G.; De La Serna-Higuera, C.; Carrara, S.; Kumbhari, V.; El Zein, M.H.; Ismail, A.; Ginès, A.; Sendino, O.; Montenegro, A.; et al. EUS-guided 22-gauge fine needle biopsy versus single-incision with needle knife for the diagnosis of upper gastrointestinal subepithelial lesions: A randomized controlled trial. Endosc. Int. Open 2020, 8, E266–E273. [Google Scholar] [CrossRef]
- Kim, S.Y.; Shim, K.N.; Lee, J.H.; Lim, J.Y.; Kim, T.O.; Choe, A.R.; Tae, C.H.; Jung, H.K.; Moon, C.M.; Kim, S.E.; et al. Comparison of the Diagnostic Ability of Endoscopic Ultrasonography and Abdominopelvic Computed Tomography in the Diagnosis of Gastric Subepithelial Tumors. Clin. Endosc. 2019, 52, 565–573. [Google Scholar] [CrossRef]
- Liu, M.; Liu, L.; Jin, E. Gastric sub-epithelial tumors: Identification of gastrointestinal stromal tumors using CT with a practical scoring method. Gastric Cancer 2019, 22, 769–777. [Google Scholar] [CrossRef] [PubMed]
- Yoo, J.; Kim, S.H.; Han, J.K. Multiparametric MRI and (18)F-FDG PET features for differentiating gastrointestinal stromal tumors from benign gastric subepithelial lesions. Eur. Radiol. 2020, 30, 1634–1643. [Google Scholar] [CrossRef] [PubMed]
- Chong, C.C.N.; Lakhtakia, S.; Nguyen, N.; Hara, K.; Chan, W.K.; Puri, R.; Almadi, M.A.; Ang, T.L.; Kwek, A.; Yasuda, I.; et al. Endoscopic ultrasound-guided tissue acquisition with or without macroscopic on-site evaluation: Randomized controlled trial. Endoscopy 2020, 52, 856–863. [Google Scholar] [CrossRef] [PubMed]
- Manta, R.; Zito, F.P.; Pugliese, F.; Caruso, A.; Mangiafico, S.; D’alessandro, A.; Castellani, D.; Germani, U.; Mutignani, M.; Conigliaro, R.L.; et al. Endoscopic Submucosal Dissection for Subepithelial Tumor Treatment in the Upper Digestive Tract: A Western, Multicenter Study. GE Port. J. Gastroenterol. 2023, 30, 115–120. [Google Scholar] [CrossRef]
- Andalib, I.; Yeoun, D.; Reddy, R.; Xie, S.; Iqbal, S. Endoscopic resection of gastric gastrointestinal stromal tumors originating from the muscularis propria layer in North America: Methods and feasibility data. Surg. Endosc. 2018, 32, 1787–1792. [Google Scholar] [CrossRef] [PubMed]
- Johnson, P.C.; Agnihotri, A.; Loren, D.E.; Kowalski, T.E.; Schlachterman, A.; Kamal, F.; Kumar, A. Clip Dislodgement after Full-Thickness Endoscopic Resection Device Removal of Scarred Gastric Subepithelial Lesion Leading to Delayed Perforation. ACG Case Rep. J. 2023, 10, e01214. [Google Scholar] [CrossRef] [PubMed]
- Lv, X.H.; Wang, C.H.; Xie, Y. Efficacy and safe of submucosal tunneling endoscopic resection for upper gastrointestinal submucosal tumors: A systematic review and meta-analysis. Surg. Endosc. 2017, 31, 49–63. [Google Scholar] [CrossRef]
- Marano, L.; Verre, L.; Carbone, L.; Poto, G.E.; Fusario, D.; Venezia, D.F.; Calomino, N.; Kaźmierczak-Siedlecka, K.; Polom, K.; Marrelli, D.; et al. Current trends in volume and surgical outcomes in gastric cancer. J. Clin. Med. 2023, 12, 2708. [Google Scholar] [CrossRef]


| Subepithelial Lesion | Layer of Origin | Echogenicity | Location in GI Tract | Malignant Potential |
|---|---|---|---|---|
| Lymphoma (5) | 2nd/3rd/4th | Hypoechoic | Anywhere in the GI tract | Yes |
| Lymphangioma (5) | 3rd | Anechoic, no Doppler signal, with internal septa | Small intestine | No |
| Schwannoma (8) | 4th | Hypoechoic, homogenous, sometimes with marginal halo | Stomach (body) | No |
| GIST (9) | 2nd/4th | Hypoechoic, hypervascular, heterogeneous with cystic space or echogenic foci | Stomach | Yes |
| Leiomyoma (11) | 2nd/4th | Hypoechoic, rarely multifocal fine margin | Esophagus | No |
| Varices (11) | 3rd | Anechoic with Doppler signal | Esophagus | No |
| Neuroendocrine tumor (12) | 1st/2nd/3rd | Hypoechoic/hyperechoic | Stomach, duodenum, rectum | Yes |
| Lipoma (16) | 3rd | Hyperechoic, homogenous | Anywhere in the GI tract | No |
| Duplication cyst (17) | 3rd/external | Anechoic, no Doppler signal | Esophagus | Very Rarely |
| Heterotopic pancreas (19) | 3rd/4th | Hypoechoic, heterogenous, with cysts or ducts inside | Stomach (antrum) | Very rarely |
| Glomus tumor (38) | 3rd/4th | Hypo-hyperechoic, hypervascular with internal echo | Anywhere in the GI tract | Yes |
Disclaimer/Publisher’s Note: The statements, opinions and data contained in all publications are solely those of the individual author(s) and contributor(s) and not of MDPI and/or the editor(s). MDPI and/or the editor(s) disclaim responsibility for any injury to people or property resulting from any ideas, methods, instructions or products referred to in the content. |
© 2024 by the authors. Published by MDPI on behalf of the Lithuanian University of Health Sciences. Licensee MDPI, Basel, Switzerland. This article is an open access article distributed under the terms and conditions of the Creative Commons Attribution (CC BY) license (https://creativecommons.org/licenses/by/4.0/).
Share and Cite
Varanese, M.; Spadaccini, M.; Facciorusso, A.; Franchellucci, G.; Colombo, M.; Andreozzi, M.; Ramai, D.; Massimi, D.; De Sire, R.; Alfarone, L.; et al. Endoscopic Ultrasound and Gastric Sub-Epithelial Lesions: Ultrasonographic Features, Tissue Acquisition Strategies, and Therapeutic Management. Medicina 2024, 60, 1695. https://doi.org/10.3390/medicina60101695
Varanese M, Spadaccini M, Facciorusso A, Franchellucci G, Colombo M, Andreozzi M, Ramai D, Massimi D, De Sire R, Alfarone L, et al. Endoscopic Ultrasound and Gastric Sub-Epithelial Lesions: Ultrasonographic Features, Tissue Acquisition Strategies, and Therapeutic Management. Medicina. 2024; 60(10):1695. https://doi.org/10.3390/medicina60101695
Chicago/Turabian StyleVaranese, Marzia, Marco Spadaccini, Antonio Facciorusso, Gianluca Franchellucci, Matteo Colombo, Marta Andreozzi, Daryl Ramai, Davide Massimi, Roberto De Sire, Ludovico Alfarone, and et al. 2024. "Endoscopic Ultrasound and Gastric Sub-Epithelial Lesions: Ultrasonographic Features, Tissue Acquisition Strategies, and Therapeutic Management" Medicina 60, no. 10: 1695. https://doi.org/10.3390/medicina60101695
APA StyleVaranese, M., Spadaccini, M., Facciorusso, A., Franchellucci, G., Colombo, M., Andreozzi, M., Ramai, D., Massimi, D., De Sire, R., Alfarone, L., Capogreco, A., Maselli, R., Hassan, C., Fugazza, A., Repici, A., & Carrara, S. (2024). Endoscopic Ultrasound and Gastric Sub-Epithelial Lesions: Ultrasonographic Features, Tissue Acquisition Strategies, and Therapeutic Management. Medicina, 60(10), 1695. https://doi.org/10.3390/medicina60101695

