Gerstmann Syndrome in an Elderly Patient: A Case Report Presented with a Complete Tetrad of Symptoms
Abstract
1. Introduction
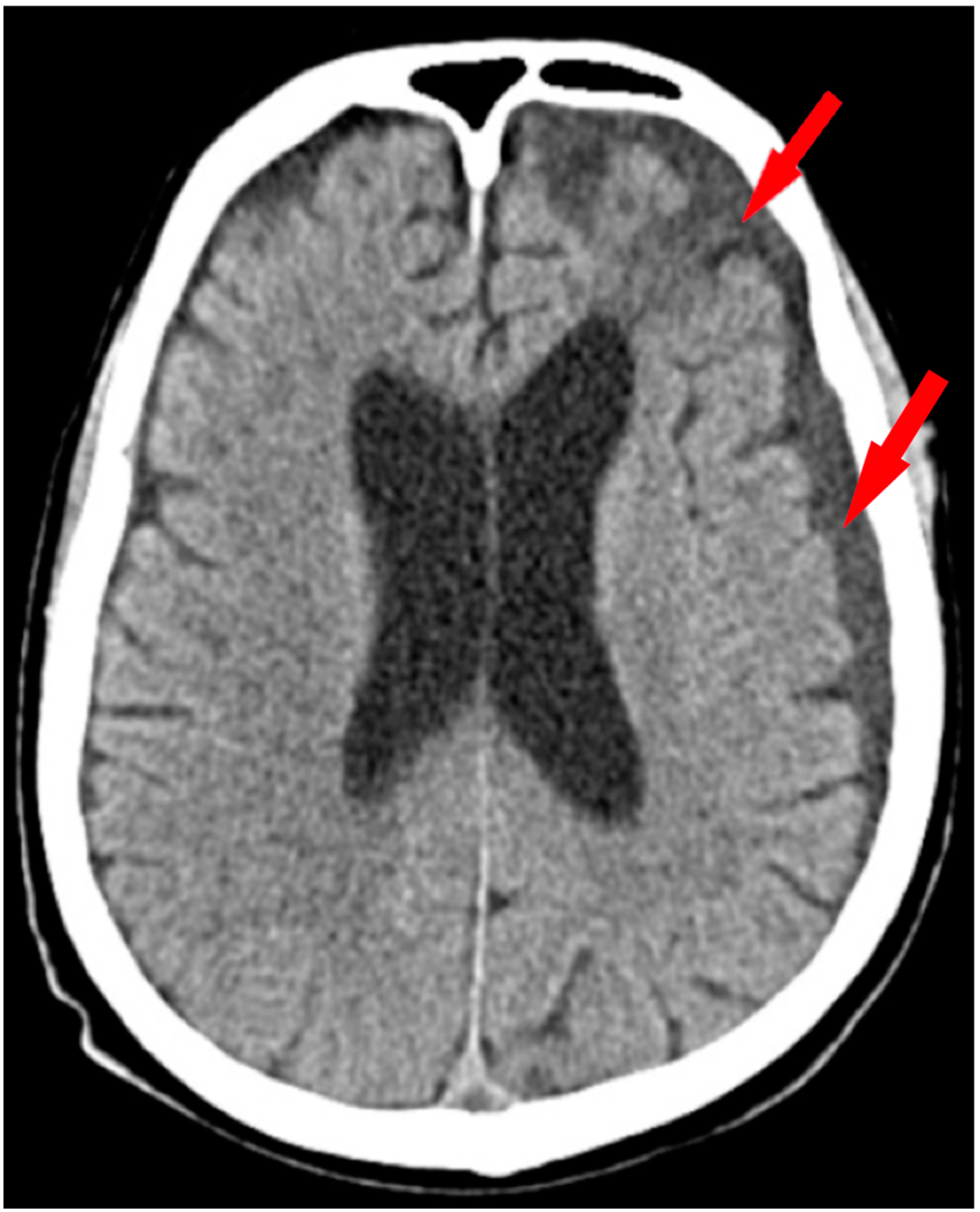
2. Case Presentation
3. Discussion
4. Conclusions
Author Contributions
Funding
Institutional Review Board Statement
Informed Consent Statement
Data Availability Statement
Conflicts of Interest
References
- Basagni, B.; Luzzatti, C.; De Tanti, A.; Bozzetti, F.; Crisi, G.; Pinardi, C.; Errante, A.; Fogassi, L. Some evidence on Gerstmann’s syndrome: A case study on a variant of the clinical disorder. Brain Cogn. 2021, 148, 105679. [Google Scholar] [CrossRef]
- Cubelli, R.; Rusconi, E. The making of a syndrome: Gerstmann’s patients before Gerstmann syndrome. Cortex 2022, 1, 189–201. [Google Scholar] [CrossRef]
- Ardila, A. Gerstmann Syndrome. Curr. Neurol. Neurosci. Rep. 2020, 27, 48. [Google Scholar] [CrossRef]
- Orlova, N.; Shkliar, M.; Tarasov, V. Gerstmann Syndrome in Adult Ukrainian Woman. Psychosom. Med. Gen. Pract. 2021, 6, 0602294. [Google Scholar] [CrossRef]
- João, R.B.; Filgueiras, R.M.; Mussi, M.L.; de Barros, J.E.F. Transient Gerstmann syndrome as manifestation of stroke: Case report and brief literature review. Dement. Neuropsychol. 2017, 11, 202–205. [Google Scholar] [CrossRef]
- Kleinschmidt, A.; Rusconi, E. Gerstmann meets Geschwind: A crossing (or kissing) variant of a subcortical disconnection syndrome? Neuroscientist 2011, 17, 633–644. [Google Scholar] [CrossRef]
- Feller, C.; Kelly, N. A-62 Case of Gerstmann’s Syndrome Due to Brain Tumor of Unknown Etiology. Arch. Clin. Neuropsychol. 2021, 1, 1104. [Google Scholar] [CrossRef]
- Sanjo, N.; Kina, S.; Shishido-Hara, Y.; Nose, Y.; Ishibashi, S.; Fukuda, T.; Maehara, T.; Eishi, Y.; Mizusawa, H.; Yokota, T. Progressive Multifocal Leukoencephalopathy with Balanced CD4/CD8 T-Cell Infiltration and Good Response to Mefloquine Treatment. Intern. Med. 2016, 55, 1631–1635. [Google Scholar] [CrossRef]
- Kato, M. Carbon monoxide poisoning: Clinical features of the victims of the explosion accident of Mitsui- Miike Mikawa coal mine 50 years ago. Brain Nerve 2015, 67, 19–29. [Google Scholar] [CrossRef]
- Khoo, H.M.; Fujita, Y.; Tani, N.; Oshino, S.; Kagitani-Shimono, K.; Kishima, H. Mystery Case: Parietal lobe epilepsy with ictal manifestation of Gerstmann syndrome. Neurology 2020, 28, 430–433. [Google Scholar] [CrossRef]
- Zöllner, J.P.; Haag, A.; Hermsen, A.; Bauer, S.; Stahl, F.; Wulf, K.; Menzler, K.; Reif, P.S.; Wagner, M.; Pagenstecher, A.; et al. Ictal conduction aphasia and ictal angular gyrus syndrome as rare manifestations of epilepsy: The importance of ictal testing during video-EEG monitoring. Epilepsy Behav. Case Rep. 2017, 8, 55–62. [Google Scholar] [CrossRef]
- Rusconi, E. Gerstmann syndrome: Historic and current perspectives. Handb. Clin. Neurol. 2018, 151, 395–411. [Google Scholar] [CrossRef]
- Tamè, L.; Dransfield, E.; Quettier, T.; Longo, M.R. Finger posture modulates structural body representations. Sci. Rep. 2017, 22, 43019. [Google Scholar] [CrossRef]
- Al-Samaraie, A.A.S. Gerstmann Syndrome Case-Control Study Correlation between Brain Lesions & Functional Disability. Int. Tinnitus J. 2023, 27, 247–252. [Google Scholar]
- Uzuner, G.T.; Ubur, A.; Erten, M.; Uzuner, N. A Rare Clinical Antity; Pure Gerstmann Syndrome. J. Stroke Cerebrovasc. Dis. 2020, 10, 1052–305730579. [Google Scholar] [CrossRef]
- Sakurai, Y.; Asami, M.; Mannen, T. Alexia and agraphia with lesions of the angular and supramarginal gyri: Evidence for the disruption of sequential processing. J. Neurol. Sci. 2010, 15, 25–33. [Google Scholar] [CrossRef]
- Zukic, S.; Mrkonjic, Z.; Sinanovic, O.; Vidovic, M.; Kojic, B. Gerstmann’s Syndrome in Acute Stroke Patients. Acta Inform. Med. 2012, 20, 242–243. [Google Scholar] [CrossRef]
- Ardila, A. A proposed reinterpretation of Gerstmann’s syndrome. Arch. Clin. Neuropsychol. 2014, 29, 828–833. [Google Scholar] [CrossRef]
- Nicastro, N.; Tafer, N.; Schnider, A.; Di Pietro, M. Gerstmann’s Syndrome Associated with Right Parietal Hemorrhage and Arteriovenous Malformation. J. Clin. Neurol. 2017, 13, 306–307. [Google Scholar] [CrossRef]
- Vaddiparti, A.; McGrath, H.; Benjamin, C.A.F.; Sivaraju, A.; Spencer, D.D.; Hirsch, L.J.; Damisah, E.; Quraishi, I.H. Gerstmann Syndrome Deconstructed by Cortical Stimulation. Neurology 2021, 31, 420–422. [Google Scholar] [CrossRef]
- Bhattacharyya, S.; Cai, X.; Klein, J.P. Dyscalculia, Dysgraphia, and Left-Right Confusion from a Left Posterior Peri-Insular Infarct. Behav. Neurol. 2014, 2014, 823591. [Google Scholar] [CrossRef] [PubMed]
- Lee, E.J.; Shin, H.Y.; Noh, Y.; Park, K.H.; Park, H.M. Two Cases with Cerebral Infarction in the Left Middle Frontal Lobe Presented as Gerstmann’s Syndrome. Neurol. Disord. 2016, 4, 1–3. [Google Scholar] [CrossRef]
- Yoon, S.H.; Lee, J.I.; Kang, M.J.; Lee, H.I.; Pyun, S.-B. Gerstmann Syndrome as a Disconnection Syndrome: A Single Case Diffusion Tensor Imaging Study. Brain Neurorehabil. 2023, 14, 3. [Google Scholar] [CrossRef] [PubMed]
- Turconi, E.; Seron, X. Dissociation Between Order and Quantity Meanings in a Patient with Gerstmann Syndrome. Cortex 2002, 38, 911–914. [Google Scholar] [CrossRef]
- Kim, N.R.; Chung, J.G.; Lee, S.K. Cerebral Amyloid Angiopathy: A Case Report. J. Pathol. Transl. Med. 2003, 37, 129–133. [Google Scholar]
- Chen, T.Y.; Chen, C.Y.; Yen, C.H.; Kuo, S.C.; Yeh, Y.W.; Chang, S.; Huang, S.Y. Acute parietal lobe infarction presenting as Gerstmann’s syndrome and cognitive decline mimicking senile dementia. Neuropsychiatr. Dis. Treat. 2013, 9, 937–940. [Google Scholar] [CrossRef][Green Version]
- Barbosa, B.J.A.P.; de Brito, M.; Rodrigues, J.C.; Kubota, G.T.; Parmera, J.B. Gerstmann’s syndrome and unilateral optic ataxia in the emergency department. Dement. Neuropsychol. 2017, 11, 459–461. [Google Scholar] [CrossRef]
- Orozco Aguirre, A.L.; Valdovino, M.M.; Santos, M.A.; Meléndez, A.M. Secondary Gerstmann syndrome, a case report. Eur. Psychiatry 2022, 1, 478. [Google Scholar] [CrossRef]
- Bhatt, P.M. Chronic Subdural Hematoma: Past, Present, and Future. Indian J. Neurotrauma 2023, 20, 161–164. [Google Scholar] [CrossRef]
- Maeshima, S.; Okumura, Y.; Nakai, K.; Itakura, T.; Komai, N. Gerstmann’s syndrome associated with chronic subdural haematoma: A case report. Brain Inj. 1998, 12, 697–701. [Google Scholar] [CrossRef]
- Symon, L.; Pasztor, E.; Dorsch, N.W.C.; Branston, N.M. Physiological Responses of Local Areas of the Cerebral Circulation in Experimental Primates Determined by the Method of Hydrogen Clearance. Stroke 1973, 4, 632–642. [Google Scholar] [CrossRef] [PubMed]


| First Author & Year | N | Age | Gender | Etiology for GS | Neurological Signs | 
|---|---|---|---|---|---|
| Turconi et al 2002 [24] | 1 | 73 | M | Left posterior parietal cerebrovascular stroke | Agraphia, acalculia, right-left disorientation, finger agnosia | 
| Kim et al 2003 [25] | 1 | 77 | F | Intracerebral lobar hemorrhage at the left occipito-parietal area | Agraphia, acalculia, right-left disorientation, finger agnosia | 
| Chen et al 2013 [26] | 1 | 72 | M | Acute cerebral infarction involving the parietal lobe | Agraphia, acalculia, right-left disorientation, finger agnosia | 
| Barbosa et al 2017 [27] | 1 | 75 | F | Diffuse atheromatosis in the left middle cerebral artery | Agraphia, acalculia, right-left disorientation, finger agnosia | 
| Aguirre et al 2022 [28] | 1 | 79 | F | Breast cancer in remission—one tumor lesion in the angular gyrus of the parietal cortex | Agraphia, acalculia, right-left disorientation, finger agnosia | 
| Disclaimer/Publisher’s Note: The statements, opinions and data contained in all publications are solely those of the individual author(s) and contributor(s) and not of MDPI and/or the editor(s). MDPI and/or the editor(s) disclaim responsibility for any injury to people or property resulting from any ideas, methods, instructions or products referred to in the content. | 
© 2024 by the authors. Published by MDPI on behalf of the Lithuanian University of Health Sciences. Licensee MDPI, Basel, Switzerland. This article is an open access article distributed under the terms and conditions of the Creative Commons Attribution (CC BY) license (https://creativecommons.org/licenses/by/4.0/).
Share and Cite
Toader, C.; Covache-Busuioc, R.-A.; Rădoi, P.M.; Covlea, C.-A.; Popa, A.A.; Dumitrascu, D.-I.; Ciurea, A.V. Gerstmann Syndrome in an Elderly Patient: A Case Report Presented with a Complete Tetrad of Symptoms. Medicina 2024, 60, 1640. https://doi.org/10.3390/medicina60101640
Toader C, Covache-Busuioc R-A, Rădoi PM, Covlea C-A, Popa AA, Dumitrascu D-I, Ciurea AV. Gerstmann Syndrome in an Elderly Patient: A Case Report Presented with a Complete Tetrad of Symptoms. Medicina. 2024; 60(10):1640. https://doi.org/10.3390/medicina60101640
Chicago/Turabian StyleToader, Corneliu, Razvan-Adrian Covache-Busuioc, Petrinel Mugurel Rădoi, Christian-Adelin Covlea, Andrei Adrian Popa, David-Ioan Dumitrascu, and Alexandru Vlad Ciurea. 2024. "Gerstmann Syndrome in an Elderly Patient: A Case Report Presented with a Complete Tetrad of Symptoms" Medicina 60, no. 10: 1640. https://doi.org/10.3390/medicina60101640
APA StyleToader, C., Covache-Busuioc, R.-A., Rădoi, P. M., Covlea, C.-A., Popa, A. A., Dumitrascu, D.-I., & Ciurea, A. V. (2024). Gerstmann Syndrome in an Elderly Patient: A Case Report Presented with a Complete Tetrad of Symptoms. Medicina, 60(10), 1640. https://doi.org/10.3390/medicina60101640
 
         
                                                

 
       