Uterine Tumors Resembling Ovarian Sex Cord Tumors (UTROSCTs): A Scoping Review of 511 Cases, Including 2 New Cases
Abstract
1. Introduction
2. Case Reports
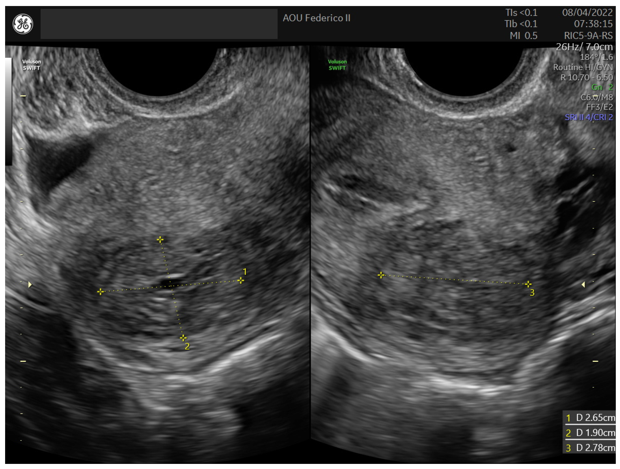
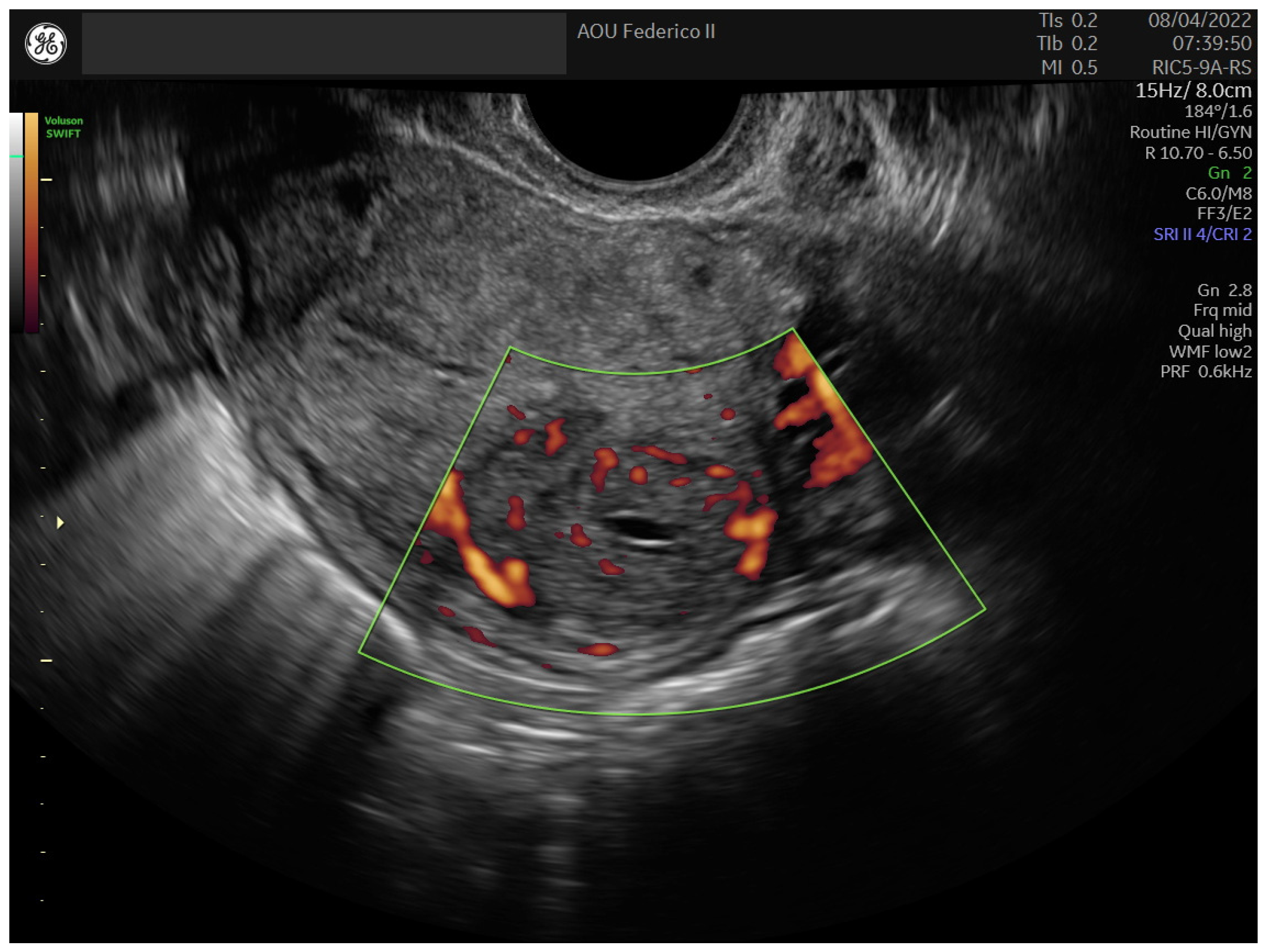
2.1. Case 1
2.2. Case 2
3. Literature Review
3.1. Materials and Methods
3.2. Characteristics of Included Publications
3.3. Patient Characteristics
3.4. Clinical Presentation
3.5. Gross and Ultrastructural Appearances
3.6. Gene Fusions in UTROSCT
3.7. Risk Factors and Prognostic Factors
3.8. Treatment Strategies
3.9. UTROSCT and Fertility
3.10. Follow-Up
3.11. Recurrence Treatments
4. Discussion
Criteria for Fertility-Sparing UTROSCT Treatments
- Desire for pregnancy.
- Evaluation and documentation of risk factors:
- ⚬
- Tumor size/extrauterine spread;
- ⚬
- Presence of necrosis;
- ⚬
- Mitotic activity;
- ⚬
- Presence of GREB1::NCOA-1/3 fusions.
- No tumor residues after last treatment (e.g., negative re-hysteroscopy).
- Possibility and adherence to follow-up.
- Offering hysterectomy after the completion of family planning.
5. Conclusions
Author Contributions
Funding
Institutional Review Board Statement
Informed Consent Statement
Data Availability Statement
Conflicts of Interest
Appendix A
| First Author, Year | Age | Symptoms | Size (cm) | Treatment | Infiltrative Margins | Conception | Time from dgn (mo) | Delivery Mode | Recurrence | HE after Childbearing | Total FU, mo |
|---|---|---|---|---|---|---|---|---|---|---|---|
| Di Vagno, 1995 [93] | N/a | Hemoperitoneum at 35 weeks | 5 | Caesarean HE | Yes | SpoCo, concurrent with UTROSCT | 0 | CS, 35 weeks | PD | Yes | 9 |
| Hillard, 2004 [25] | 32 | Infertility; AUB | N/a | Lsc TR | SpoCo | 15 | N/a | No | 15 | ||
| Anastasakis, 2008 [34] | 28 | AUB | N/a | Hsc TR | No | SpoCo | 6 | VD | No | No | 27 |
| Hermsen, 2015 (Case 1) [49] | 36 | AUB | N/a | Hsc TR | Yes | SpoCo, concurrent with UTROSCT | 0 | CS (with HE), 34 weeks | No | Caesarean HE at 34 weeks (no reisdual tumor) | 24 |
| Jeong, 2015 [50] | 32 | Infertility, AUB | 3 | Hsc TR | Yes | In vitro fertilization | 3 | CS, 36 weeks, 3070g | Yes | Lsc HE (residual tumor on specimen) | 47 |
| De Franciscis, 2016 [56] | 38 | Infertility, AUB | 1 | Hsc TR | Yes | SpoCo | 2 | CS, 39 weeks | No | No | 60 |
| Schraag, 2017(Case 2) [58] | 28 | Pelvic pain | 10 | Open TR | No | SpoCo (after second surgery for residual tumor) | 19 | CS (with HE) at 39 weeks | Yes (20 mo after CS) | Caesarean HE at 39 weeks | 55 |
| Carbone, 2021 (Case 1) [127] | 25 | AUB | 0.2 | D&C (for miscarriage) followed by Hsc TR | N/a | 1st: SpoCo concurrent with UTROSCT, 2nd: SpoCo | 24 | VD, 39 weeks, 3590 g | No | No | 96 |
| Carbone, 2021 (Case 2) [127] | 30 | AUB | 4 | open TR | No | SpoCo | 13 | CS, 38 weeks, 3080 g | No | No | 16 |
References
- WHO Classification of Tumours Editorial Board. Female Genital Tumours, WHO Classification of Tumours, 5th ed.; IARC Press: Lyon, France, 2020; Volume 4, Erratum in Female Genital Tumours, WHO Classification of Tumours, 5th ed.; 2021; Available online: https://publications.iarc.fr/Book-And-Report-Series/Who-Classification-Of-Tumours/Female-Genital-Tumours-2020 (accessed on 18 September 2023).
- Fritz, A.; Percy, C.; Jack, A.; Shanmugaratnam, K.; Sobin, L.; Parkin, D.M.; Whelan, S. (Eds.) International Classification of Diseases for Oncology, 3rd ed.; Second Revision ICD-O-3.2; IACR Press: Lyon, France, 2020; Available online: http://www.iacr.com.fr/index.php?option=com_content&view=category&layout=blog&id=100&Itemid=577 (accessed on 18 September 2023).
- Morehead, R.P.; Bowman, M.C. Heterologous Mesodermal Tumors of the Uterus: Report of a Neoplasm Resembling a Granulosa Cell Tumor. Am. J. Pathol. 1945, 21, 53–61. [Google Scholar] [PubMed]
- Clement, P.B.; Scully, R.E. Uterine Tumors Resembling Ovarian Sex-Cord Tumors: A Clinicopathologic Analysis of Fourteen Cases. Am. J. Clin. Pathol. 1976, 66, 512–525. [Google Scholar] [CrossRef] [PubMed]
- Czernobilsky, B. Uterine Tumors Resembling Ovarian Sex Cord Tumors: An Update. Int. J. Gynecol. Pathol. 2008, 27, 229–235. [Google Scholar] [CrossRef] [PubMed]
- Hurrell, D.P.; McCluggage, W.G. Uterine Tumour Resembling Ovarian Sex Cord Tumour Is an Immunohistochemically Polyphenotypic Neoplasm Which Exhibits Coexpression of Epithelial, Myoid and Sex Cord Markers. J. Clin. Pathol. 2007, 60, 1148–1154. [Google Scholar] [CrossRef] [PubMed]
- Parra-Herran, C. Mesenchymal and Miscellaneous Lesions of the Uterus. In Gynecologic Pathology; Elsevier: Amsterdam, The Netherlands, 2020; pp. 407–496. ISBN 978-0-323-35909-2. [Google Scholar]
- Blake, E.A.; Sheridan, T.B.; Wang, K.L.; Takiuchi, T.; Kodama, M.; Sawada, K.; Matsuo, K. Clinical Characteristics and Outcomes of Uterine Tumors Resembling Ovarian Sex-Cord Tumors (UTROSCT): A Systematic Review of Literature. Eur. J. Obstet. Gynecol. Reprod. Biol. 2014, 181, 163–170. [Google Scholar] [CrossRef] [PubMed]
- Paré, G.; Trudel, M.-C.; Jaana, M.; Kitsiou, S. Synthesizing Information Systems Knowledge: A Typology of Literature Reviews. Inf. Manag. 2015, 52, 183–199. [Google Scholar] [CrossRef]
- Tang, C.K.; Toker, C.; Ances, I.G. Stromomyoma of the Uterus. Cancer 1979, 43, 308–316. [Google Scholar] [CrossRef]
- Fekete, P.S.; Vellios, F.; Patterson, B.D. Uterine Tumor Resembling an Ovarian Sex-Cord Tumor: Report of a Case of an Endometrial Stromal Tumor with Foam Cells and Ultrastructural Evidence of Epithelial Differentiation. Int. J. Gynecol. Pathol. 1985, 4, 378–387. [Google Scholar] [CrossRef]
- Iwasaki, I.; Yu, T.J.; Takahashi, A.; Asanuma, K.; Izawa, Y. Uterine Tumor Resembling Ovarian Sex-Cord Tumor with Osteoid Metaplasia. Acta Pathol. Jpn. 1986, 36, 1391–1395. [Google Scholar] [CrossRef]
- Erhan, Y.; Baygün, M.; Ozdemir, N. The Coexistence of Stromomyoma and Uterine Tumor Resembling Ovarian Sex-Cord Tumors. Report of a Case and Immunohistochemical Study. Acta Obstet. Gynecol. Scand. 1992, 71, 390–393. [Google Scholar] [CrossRef]
- Moll, M.; Horn, T. An Unusual Uterine Tumor Resembling Sex-Cord-Tumor of the Ovary with Papillomatous Features. Immunohistochemical and Electron Microscopic Observations. Acta Obstet. Gynecol. Scand. 1992, 71, 550–554. [Google Scholar] [CrossRef] [PubMed]
- Horn, L.C.; Stegner, H.E. Uterine stromal tumor with ovarian sex cord differentiation. Pathologe 1995, 16, 421–425. [Google Scholar] [CrossRef] [PubMed]
- Miliaras, D.; Bontis, J. Uterine Tumor Resembling Sex-Cord Ovarian Tumors: One More Case of the Pure Type Suggests a Neoplasm with Benign Behavior. Eur. J. Gynaecol. Oncol. 1997, 18, 133–135. [Google Scholar] [PubMed]
- Okada, S.; Uchiyama, F.; Ohaki, Y.; Kamoi, S.; Kawamura, T.; Kumazaki, T. MRI Findings of a Case of Uterine Tumor Resembling Ovarian Sex-Cord Tumors Coexisting with Endometrial Adenoacanthoma. Radiat. Med. 2001, 19, 151–153. [Google Scholar]
- Hauptmann, S.; Nadjari, B.; Kraus, J.; Turnwald, W.; Dietel, M. Uterine Tumor Resembling Ovarian Sex-Cord Tumor—A Case Report and Review of the Literature. Virchows Arch. 2001, 439, 97–101. [Google Scholar] [CrossRef]
- Ribau Díez, M.I.; García Toro, E.; Velasco Osés, A.; Claver Criado, M.; Alonso Briz, E. Tumor uterino de los cordones sexuales. Prog. Obstet. Ginecol. 2001, 44, 87–90. [Google Scholar] [CrossRef]
- Suzuki, C.; Matsumoto, T.; Fukunaga, M.; Itoga, T.; Furugen, Y.; Kurosaki, Y.; Suda, K.; Kinoshita, K. Uterine Tumors Resembling Ovarian Sex-Cord Tumors Producing Parathyroid Hormone-Related Protein of the Uterine Cervix. Pathol. Int. 2002, 52, 164–168. [Google Scholar] [CrossRef]
- Kuruvila, S.; Samarasinghe, D.; Thomas, S. Uterine Neoplasm Resembling an Ovarian Sex Cord Tumor. Saudi Med. J. 2003, 24, 221–223. [Google Scholar]
- Wang, J.; Blakey, G.L.; Zhang, L.; Bane, B.; Torbenson, M.; Li, S. Uterine Tumor Resembling Ovarian Sex Cord Tumor: Report of a Case with t(X;6)(P22.3;Q23.1) and t(4;18)(Q21.1;Q21.3). Diagn. Mol. Pathol. 2003, 12, 174–180. [Google Scholar] [CrossRef]
- Franco, S.; Andrade, M.J.; Silva, T.S.; Guerra, C.; De Oliveira, C. Uterine Tumor Resembling Ovarian Sex-Cord Tumor. Acta Med. Port. 2003, 16, 365–367. [Google Scholar]
- Kabbani, W.; Deavers, M.T.; Malpica, A.; Burke, T.W.; Liu, J.; Ordoñez, N.G.; Jhingran, A.; Silva, E.G. Uterine Tumor Resembling Ovarian Sex-Cord Tumor: Report of a Case Mimicking Cervical Adenocarcinoma. Int. J. Gynecol. Pathol. 2003, 22, 297–302. [Google Scholar] [CrossRef]
- Hillard, J.B.; Malpica, A.; Ramirez, P.T. Conservative Management of a Uterine Tumor Resembling an Ovarian Sex Cord-Stromal Tumor. Gynecol. Oncol. 2004, 92, 347–352. [Google Scholar] [CrossRef] [PubMed]
- Sutak, J.; Lazic, D.; Cullimore, J.E. Uterine Tumour Resembling an Ovarian Sex Cord Tumour. J. Clin. Pathol. 2005, 58, 888–890. [Google Scholar] [CrossRef] [PubMed]
- Motiwala, N.; Shih, H.; Chen, L.; Lin, J.H. A 63-Year-Old Woman with Chronic Pelvic Pain. Uterine Tumor Resembling Ovarian Sex Cord Tumor. Arch. Pathol. Lab Med. 2006, 130, e74–e76. [Google Scholar] [CrossRef] [PubMed]
- Oztekin, O.; Soylu, F.; Yigit, S.; Sarica, E. Uterine Tumor Resembling Ovarian Sex Cord Tumors in a Patient Using Tamoxifen: Report of a Case and Review of Literature. Int. J. Gynecol. Cancer 2006, 16, 1694–1697. [Google Scholar] [CrossRef] [PubMed]
- Zámecník, M.; Staník, M. Uterine Tumor Resembling Ovarian Sex Cord Tumor (UTROSCT). Report of Case Suggesting Neoplastic Origin of Intratumoral Myoid Cells. Cesk Patol. 2006, 42, 145–149. [Google Scholar]
- Calisir, C.; Inan, U.; Yavas, U.S.; Isiksoy, S.; Kaya, T. Mazabraud’s Syndrome Coexisting with a Uterine Tumor Resembling an Ovarian Sex Cord Tumor (UTROSCT): A Case Report. Korean J. Radiol. 2007, 8, 438–442. [Google Scholar] [CrossRef][Green Version]
- Sitic, S.; Korac, P.; Peharec, P.; Zovko, G.; Perisa, M.M.; Gasparov, S. Bcl-2 and MALT1 Genes Are Not Involved in the Oncogenesis of Uterine Tumors Resembling Ovarian Sex Cord Tumors. Pathol. Oncol. Res. 2007, 13, 153–156. [Google Scholar] [CrossRef]
- Kunz, J.; Friedrich, T. Uteriner Tumor mit keimstrang-ähnlicher Differenzierung (UTROSCT): Fallbericht und Literaturübersicht. Praxis 2007, 96, 1177–1181. [Google Scholar] [CrossRef]
- Dede, M.; Gezginç, K.; Yenen, M.C.; Ulubay, M.; Safalı, M.; Başer, İ. Uterine Tumour Resembling Ovarian Sex Cord Tumour. Electron. J. Gen. Med. 2008, 5, 118–120. [Google Scholar] [CrossRef]
- Anastasakis, E.; Magos, A.L.; Mould, T.; Economides, D.L. Uterine Tumor Resembling Ovarian Sex Cord Tumors Treated by Hysteroscopy. Int. J. Gynaecol. Obstet. 2008, 101, 194–195. [Google Scholar] [CrossRef] [PubMed]
- Berretta, R.; Patrelli, T.S.; Fadda, G.M.; Merisio, C.; Gramellini, D.; Nardelli, G.B. Uterine Tumors Resembling Ovarian Sex Cord Tumors: A Case Report of Conservative Management in Young Women. Int. J. Gynecol. Cancer 2009, 19, 808–810. [Google Scholar] [CrossRef] [PubMed]
- Stolnicu, S.; Balachandran, K.; Aleykutty, M.A.; Loghin, A.; Preda, O.; Goez, E.; Nogales, F.F. Uterine Adenosarcomas Overgrown by Sex-Cord-like Tumour: Report of Two Cases. J. Clin. Pathol. 2009, 62, 942–944. [Google Scholar] [CrossRef]
- Garuti, G.; Gonfiantini, C.; Mirra, M.; Galli, C.; Luerti, M. Uterine Tumor Resembling Ovarian Sex Cord Tumors Treated by Resectoscopic Surgery. J. Minim. Invasive Gynecol. 2009, 16, 236–240. [Google Scholar] [CrossRef]
- Aziz, O.; Giles, J.; Knowles, S. Uterine Tumours Resembling Ovarian Sex Cord Tumours: A Case Report. Cases J. 2009, 2, 55. [Google Scholar] [CrossRef] [PubMed]
- Carta, G.; Crisman, G.; Margiotta, G.; Mastrocola, N.; Di Fonso, A.; Coletti, G. Uterine Tumors Resembling Ovarian Sex Cord Tumors. A Case Report. Eur. J. Gynaecol. Oncol. 2010, 31, 456–458. [Google Scholar] [PubMed]
- Giordano, G.; Lombardi, M.; Brigati, F.; Mancini, C.; Silini, E.M. Clinicopathologic Features of 2 New Cases of Uterine Tumors Resembling Ovarian Sex Cord Tumors. Int. J. Gynecol. Pathol. 2010, 29, 459–467. [Google Scholar] [CrossRef] [PubMed]
- Abdullazade, S.; Kosemehmetoglu, K.; Adanir, I.; Kutluay, L.; Usubutun, A. Uterine Tumors Resembling Ovarian Sex Cord-Stromal Tumors: Synchronous Uterine Tumors Resembling Ovarian Sex Cord-Stromal Tumors and Ovarian Sex Cord Tumor. Ann. Diagn. Pathol. 2010, 14, 432–437. [Google Scholar] [CrossRef]
- Özer, H.; Aker, H.; Mutlu, A.E.; Yanık, A.; Koç, T.; Keser, H. CD56 Might Be a Useful Diagnostic Marker of Müllerian-Derived Tumors: Report of an Uterine Tumor Resembling Ovarian Sex Cord Tumor (UTROSCT) Suggesting Polyphenotypic Origin and Review of the Literature. Basic Clin. Sci. 2014, 2, 132. [Google Scholar] [CrossRef]
- Abid, N.; Mnif, H.; Mellouli, M.; Charfi, S.; Khabir, A.; Makni, S.; Boudawara, T. Uterine Tumour Resembling Ovarian Sex Cord Tumours Presenting as Multiple Endometrial and Cervical Uterine Polyps: A Case Report. Pathologica 2014, 106, 73–76. [Google Scholar]
- Hashmi, A.A.; Faridi, N.; Edhi, M.M.; Khan, M. Uterine Tumor Resembling Ovarian Sex Cord Tumor (UTROSCT), Case Report with Literature Review. Int. Arch. Med. 2014, 7, 47. [Google Scholar] [CrossRef] [PubMed]
- Ehdaivand, S.; Simon, R.A.; Sung, C.J.; Steinhoff, M.M.; Lawrence, W.D.; Quddus, M.R. Incidental Gynecologic Neoplasms in Morcellated Uterine Specimens: A Case Series with Follow-Up. Hum. Pathol. 2014, 45, 2311–2317. [Google Scholar] [CrossRef] [PubMed]
- Gutierrez-Pecharroman, A.; Tirado-Zambrana, P.; Pascual, A.; Rubio-Marin, D.; García-Cosío, M.; Moratalla-Bartolomé, E.; Palacios, J. A Uterine Tumor Resembling Ovarian Sex Cord Tumor Associated with Tamoxifen Treatment: A Case Report and Literature Review. Int. J. Gynecol. Pathol. 2014, 33, 151–155. [Google Scholar] [CrossRef] [PubMed]
- Watrowski, R.; Jäger, C.; Möckel, J.; Kurz, P.; Schmidt, D.; Freudenberg, N. Hysteroscopic Treatment of Uterine Tumor Resembling Ovarian Sex Cord-like Tumor (UTROSCT). Gynecol. Endocrinol. 2015, 31, 856–859. [Google Scholar] [CrossRef]
- Coelho, D.M.S.; Carvalho, A.; Ferreira, S.; Mosteiro, M. Tumores uterinos que se assemelham a tumores ováricos dos cordões sexuais—Uma revisão da literatura, a propósito de um caso clínico. Acta Obstet. Ginecol. Port. 2015, 9, 297–300. [Google Scholar]
- Hermsen, B. Uterine Tumour Resembling Ovarian Sex Cord Tumour (UTROSCT): Experience with a Rare Disease. Two Case Reports and Overview of the Literature. Obstet. Gynecol. Cases Rev. 2015, 2, 49. [Google Scholar] [CrossRef]
- Jeong, K.H.; Lee, H.N.; Kim, M.K.; Kim, M.-L.; Seong, S.J.; Shin, E. Successful Delivery after Conservative Resectoscopic Surgery in a Patient with a Uterine Tumor Resembling Ovarian Sex Cord Tumor with Myometrial Invasion. Obstet. Gynecol. Sci. 2015, 58, 418. [Google Scholar] [CrossRef][Green Version]
- Lin, B.-L.; Tsuchiya, K.; Tomosaka, M.; Okochi, M. Uterine Tumor Resembling Ovarian Sex Cord Tumors Diagnosed after Resectoscopic Operation in a 37-Year-Old Woman. Gynecol. Minim. Invasive Ther. 2015, 4, 16–17. [Google Scholar] [CrossRef]
- Byun, J.M.; Kim, K.T.; Yoon, H.K.; Jeong, D.H.; Kim, Y.N.; Lee, K.B.; Sung, M.S. Uterine Tumors Resembling Ovarian Sex Cord Tumor in Postmenopausal Woman. J. Obstet. Gynaecol. India 2015, 65, 273–277. [Google Scholar] [CrossRef][Green Version]
- Uçar, M.G.; Ilhan, T.T.; Gül, A.; Ugurluoglu, C.; Çelik, Ç. Uterine Tumour Resembling Ovarian Sex Cord Tumour—A Rare Entity. J. Clin. Diagn. Res. 2016, 10, QD05–QD07. [Google Scholar] [CrossRef]
- Gomes, J.R.; Carvalho, F.M.; Abrão, M.; Maluf, F.C. Uterine Tumors Resembling Ovarian Sex-Cord Tumor: A Case-Report and a Review of Literature. Gynecol. Oncol. Rep. 2016, 15, 22–24. [Google Scholar] [CrossRef] [PubMed]
- Cetinkaya, N.; Bas, S.; Cuylan, Z.F.; Erdem, O.; Erkaya, S.; Gungor, T. Uterine Tumors Resembling Ovarian Sex Cord Tumors: A Case Report and Literature Review. Oncol. Lett. 2016, 11, 1496–1498. [Google Scholar] [CrossRef] [PubMed][Green Version]
- De Franciscis, P.; Grauso, F.; Ambrosio, D.; Torella, M.; Messalli, E.M.; Colacurci, N. Conservative Resectoscopic Surgery, Successful Delivery, and 60 Months of Follow-Up in a Patient with Endometrial Stromal Tumor with Sex-Cord-like Differentiation. Case Rep. Obstet. Gynecol. 2016, 2016, 1–3. [Google Scholar] [CrossRef] [PubMed]
- Cho, S.H.; Kim, H.J.; Han, H.Y.; Hwang, I.T.; Kim, J.H.; Lee, S. MRI Findings of Uterine Tumor Resembling Ovarian Sex-Cord Tumor: A Case Report. J. Korean Soc. Radiol. 2017, 76, 298. [Google Scholar] [CrossRef]
- Schraag, S.M.; Caduff, R.; Dedes, K.J.; Fink, D.; Schmidt, A.-M. Uterine Tumors Resembling Ovarian Sex Cord Tumors—Treatment, Recurrence, Pregnancy and Brief Review. Gynecol. Oncol. Rep. 2017, 19, 53–56. [Google Scholar] [CrossRef]
- Stefanovic, A.; Jeremic, K.; Kadija, S.; Mitrovic, M.; Filimonovic, D.; Jankovic-Raznatovic, S.; Tavcar, J. Uterine Tumor Resembling Ovarian Sex Cord Tumor. Case Report and Review of Literature. Eur. J. Gynaecol. Oncol. 2013, 34, 275–277. [Google Scholar]
- Viau, M.; Grondin, K.; Grégoire, J.; Renaud, M.C.; Plante, M.; Sebastianelli, A. Clinicopathological features of two cases of uterine tumors resembling ovarian sex-cord tumors (UTROSCTs) and a comprehensive review of literature. Eur. J. Gynaecol. Oncol. 2017, 38, 793–799. [Google Scholar] [CrossRef]
- Sadeh, R.; Segev, Y.; Schmidt, M.; Schendler, J.; Baruch, T.; Lavie, O. Uterine Tumors Resembling Ovarian Sex Cord Tumors: Case Report of Rare Pathological and Clinical Entity. Case Rep. Obstet. Gynecol. 2017, 2017, 2736710. [Google Scholar] [CrossRef]
- Varban, A.-S.; Curte, A.; Gîrbea, C.L.; Poteca, A.; Paranici, C.; Enache, V.; Enache, S.; Salem, I.; Ostahi, I.A.; Andreoiu, O.M.; et al. Uterine Tumour Resembling Ovarian Sex Cord Tumour with Granulose-like Differentiation—A Case Report. Abstracts: 30th European Congress of Pathology. Virchows Arch. 2018, 473, 1–340. [Google Scholar] [CrossRef]
- Vilos, A.G.; Zhu, C.; Abu-Rafea, B.; Ettler, H.C.; Weir, M.M.; Vilos, G.A. Uterine Tumors Resembling Ovarian Sex Cord Tumors Identified at Resectoscopic Endometrial Ablation: Report of 2 Cases. J. Minim. Invasive Gynecol. 2019, 26, 105–109. [Google Scholar] [CrossRef]
- Fan, L.-L.; Shen, Y.; Chanda, K.; Ren, M.-L. Uterine Tumors Resembling Ovarian Sex-Cord Tumor: A Case Report and Literature Review. J. Cancer Res. Ther. 2018, 14, S1209–S1212. [Google Scholar] [CrossRef] [PubMed]
- Thakur, A.; Malhotra, V.; Sachan, S.; Aggarwal, A. Uterine Tumor Resembling Ovarian Sex Cord Tumor: Histomorphological Features. Indian J. Pathol. Microbiol. 2018, 61, 131–133. [Google Scholar] [CrossRef] [PubMed]
- Rozário Garcia, F.A.; Gaigher, V.P.; Neves Ferreira, R.; Chambô Filho, A. Uterine Tumor Resembling Ovarian Sex-Cord Tumors Initially Diagnosed as a Prolapsed Fibroid. Case Rep. Obstet. Gynecol. 2018, 2018, 1–4. [Google Scholar] [CrossRef]
- Natarajan, J.; Shobha, K.; Kundargi, R.; Bafna, U.D. A Rare Case of UTROSCT: Case Report and Literature Review. Indian J. Gynecol. Oncol. 2018, 16, 9. [Google Scholar] [CrossRef]
- Zhang, X.; Zou, S.; Gao, B.; Qu, W. Uterine Tumor Resembling Ovarian Sex Cord Tumor: A Clinicopathological and Immunohistochemical Analysis of Two Cases and a Literature Review. J. Int. Med. Res. 2019, 47, 1339–1347. [Google Scholar] [CrossRef]
- Dubruc, E.; Alvarez Flores, M.T.; Bernier, Y.; Gherasimiuc, L.; Ponti, A.; Mathevet, P.; Bongiovanni, M. Cytological Features of Uterine Tumors Resembling Ovarian Sex-Cord Tumors in Liquid-Based Cervical Cytology: A Potential Pitfall. Report of a Unique and Rare Case. Diagn. Cytopathol. 2019, 47, 603–607. [Google Scholar] [CrossRef]
- Segala, D.; Gobbo, S.; Pesci, A.; Martignoni, G.; Santoro, A.; Angelico, G.; Arciuolo, D.; Spadola, S.; Valente, M.; Scambia, G.; et al. Tamoxifen Related Uterine Tumor Resembling Ovarian Sex Cord Tumor (UTROSCT): A Case Report and Literature Review of This Possible Association. Pathol. Res. Pract. 2019, 215, 1089–1092. [Google Scholar] [CrossRef]
- Takeuchi, M.; Matsuzaki, K.; Bando, Y.; Nishimura, M.; Hayashi, A.; Harada, M. A Case of Uterine Tumor Resembling Ovarian Sex-Cord Tumor (UTROSCT) Exhibiting Similar Imaging Characteristics to Those of Ovarian Sex-Cord Tumor. Magn. Reason. Med. Sci. 2019, 18, 113–114. [Google Scholar] [CrossRef]
- Li, S.; St. Germain, A.; Hui, P.; Finkelstein, A.; Vash-Margita, A.; Azodi, M. Uterine tumor resembling sex cord stromal tumor—A case report with operative, immunohistochemical and imaging correlation. Eur. J. Gynaecol. Oncol. 2019, 40, 875–878. [Google Scholar]
- Chiappa, V.; Ceni, V.; Bogani, G.; Ditto, A.; Martinelli, F.; Murru, G.; Galiano, V.; Raspagliesi, F. Sonographic Appearance of Uterine Tumors Resembling Ovarian Sex Cord Tumors (UTROSCT). Australas. J. Ultrasound Med. 2019, 22, 150. [Google Scholar] [CrossRef]
- Kim, I.H.; Hwang, Y.H.; Ha, J.G.; Hwang, I.T.; Kim, S.H. Two Cases of Uterine Tumors Resembling Ovarian Sex-Cord Tumors: Rare Case of Uterine Tumor. Ewha Med. J. 2020, 43, 19–23. [Google Scholar] [CrossRef]
- Nguyen, C.V.; Phung, H.T.; Dao, L.T.; Ta, D.H.H.; Tran, M.N. Uterine Tumor Resembling Ovarian Sex Cord Tumor: Clinicopathological Characteristics of a Rare Case. Case Rep. Oncol. 2020, 13, 807–812. [Google Scholar] [CrossRef] [PubMed]
- Grither, W.R.; Dickson, B.C.; Fuh, K.C.; Hagemann, I.S. Detection of a Somatic GREB1-NCOA1 Gene Fusion in a Uterine Tumor Resembling Ovarian Sex Cord Tumor (UTROSCT). Gynecol. Oncol. Rep. 2020, 34, 100636. [Google Scholar] [CrossRef] [PubMed]
- Sato, M.; Yano, M.; Sato, S.; Aoyagi, Y.; Aso, S.; Matsumoto, H.; Yamamoto, I.; Nasu, K. Uterine Tumor Resembling Ovarian Sex-Cord Tumor (UTROSCT) with Sarcomatous Features without Recurrence after Extended Radical Surgery: A Case Report. Medicine 2020, 99, e19166. [Google Scholar] [CrossRef] [PubMed]
- Zhou, F.-F.; He, Y.-T.; Li, Y.; Zhang, M.; Chen, F.-H. Uterine Tumor Resembling an Ovarian Sex Cord Tumor: A Case Report and Review of Literature. World J. Clin. Cases 2021, 9, 6907–6915. [Google Scholar] [CrossRef]
- Müller, M.; Berkes, E.; Fraune, C.; Sauer, M. UTROSCT—Eine seltene, potenziell maligne Differenzialdiagnose der Uterustumoren. Rofo 2021, 193, 317–318. [Google Scholar] [CrossRef]
- Pereira, S.; Sousa, R.; Constantino, L.; Abrantes, C. When the uterine mass is not a leiomyoma. BMJ Case Rep. 2021, 14, e243845. [Google Scholar] [CrossRef]
- Pang, L.; Dai, Y.; Ren, F.; Peng, X.; Guo, Z. Uterine Tumor Resembling Ovarian Sex Cord Tumors (UTROSCT): Two Case Reports of the Rare Uterine Neoplasm with Literature Review. Curr. Med. Imaging 2022, 18, 1125–1131. [Google Scholar] [CrossRef]
- Wang, X.Y.; Zhang, M.C.; Chen, J.; Huang, J.H. Uterine tumor resembling ovarian sex cord tumor: A rare case report. Medicine 2022, 101, e30414. [Google Scholar] [CrossRef]
- Xu, R.; Shao, L.; Zhang, W.; Yang, Z.-L. Uterine Tumor Resembling Ovarian Sex-Cord Tumor: Case Report and Review of the Literature. Asian Biomed. 2022, 16, 145–150. [Google Scholar] [CrossRef]
- Shibahara, M.; Kurita, T.; Murakami, M.; Harada, H.; Tsuda, Y.; Hisaoka, M.; Kagami, S.; Matsuura, Y.; Yoshino, K. Uterine Tumor Resembling Ovarian Sex Cord Tumor: A Case Report. J. UOEH 2022, 44, 161–166. [Google Scholar] [CrossRef] [PubMed]
- Sahraoui, G.; Sassi, F.; Charfi, L.; Ltaief, F.; Doghri, R.; Mrad, K. Unusual Presentation of Uterine Tumors Resembling Ovarian Sex Cord Tumor: A Rare Case Report of Cervical Involvement. Int. J. Surg. Case Rep. 2023, 108, 108477. [Google Scholar] [CrossRef]
- Yin, X.; Wang, M.; He, H.; Ru, G.; Zhao, M. Uterine Tumor Resembling Ovarian Sex Cord Tumor with Aggressive Histologic Features Harboring a GREB1-NCOA2 Fusion: Case Report with a Brief Review. Int. J. Gynecol. Pathol. 2023, 42, 54–62. [Google Scholar] [CrossRef] [PubMed]
- Ise, K.; Tanei, Z.I.; Oda, Y.; Tanikawa, S.; Sugino, H.; Ishida, Y.; Tsuda, M.; Gotoda, Y.; Nishiwaki, K.; Yanai, H.; et al. A Case of Uterine Tumor Resembling Ovarian Sex Cord Tumor with Prominent Myxoid Features. Int. J. Gynecol. Pathol. 2024, 43, 41–46. [Google Scholar] [CrossRef] [PubMed]
- Zhou, Y.; Chen, Y.H.; Wang, Y.N.; Sun, L. Uterine tumor resembling ovarian sex cord tumor with an abnormal increase in CA125: A case report. Asian J. Surg. 2023, 46, 2641–2642. [Google Scholar] [CrossRef]
- EL Hayek, P.; Chlala, W.; Younes, K.; Ghaname, W.; Ziadeh, H. Severe Hemoperitoneum from Spontaneous Rupture of Uterine Tumor Resembling Ovarian Sex-Cord Tumor: A Very Rare Case. Int. J. Gynaecol. Obstet. 2023, 164, 355–357. [Google Scholar] [CrossRef]
- Ferrara, M.; Pecorino, B.; D’Agate, M.G.; Angelico, G.; Capoluongo, E.D.; Malapelle, U.; Pepe, F.; Scollo, P.; Mereu, L. Uterine Tumours Resembling Ovarian Sex-Cord Tumors: A Case Report and Review of the Literature. J. Clin. Med. 2023, 12, 7131. [Google Scholar] [CrossRef]
- Kantelip, B.; Cloup, N.; Dechelotte, P. Uterine Tumor Resembling Ovarian Sex Cord Tumors: Report of a Case with Ultrastructural Study. Hum. Pathol. 1986, 17, 91–94. [Google Scholar] [CrossRef]
- Malfetano, J.H.; Hussain, M. A Uterine Tumor That Resembled Ovarian Sex-Cord Tumors: A Low-Grade Sarcoma. Obstet. Gynecol. 1989, 74, 489–491. [Google Scholar]
- Di Vagno, G.; Cormio, G.; Resta, L.; Colucci, G.A.; Provenzano, L.; Selvaggi, L. Uterine Tumour Resembling an Ovarian Sex-Cord Tumour Presenting with Spontaneous Haemoperitoneum in Pregnancy. Aust. N. Z. J. Obstet. Gynaecol. 1996, 36, 213–215. [Google Scholar] [CrossRef]
- Biermann, K.; Heukamp, L.C.; Büttner, R.; Zhou, H. Uterine Tumor Resembling an Ovarian Sex Cord Tumor Associated with Metastasis. Int. J. Gynecol. Pathol. 2008, 27, 58–60. [Google Scholar] [CrossRef] [PubMed]
- O’Meara, A.C.; Giger, O.T.; Kurrer, M.; Schaer, G. Case Report: Recurrence of a Uterine Tumor Resembling Ovarian Sex-Cord Tumor. Gynecol. Oncol. 2009, 114, 140–142. [Google Scholar] [CrossRef] [PubMed]
- Blinman, P.; Tattersall, M.H.N. A Case of Uterine Tumour Resembling Ovarian Sex Cord Tumour Responding to Second-Line, Single Agent Anastrazole. Intern. Med. J. 2009, 39, 617–619. [Google Scholar] [CrossRef] [PubMed]
- Mačák, J.; Dundr, P.; Dvořáčková, J.; Klát, J. Uterine Tumors Resembling Ovarian Sex Cord Tumors (UTROSCT). Report of a Case with Lymph Node Metastasis. Cesk Patol. 2014, 50, 46–49. [Google Scholar] [PubMed]
- Umeda, S.; Tateno, M.; Miyagi, E.; Sakurai, K.; Tanaka, R.; Tateishi, Y.; Tokinaga, A.; Ohashi, K.; Furuya, M. Uterine Tumors Resembling Ovarian Sex Cord Tumors (UTROSCT) with Metastasis: Clinicopathological Study of Two Cases. Int. J. Clin. Exp. Pathol. 2014, 7, 1051–1059. [Google Scholar] [PubMed]
- Endo, D.; Todo, Y.; Okamoto, K.; Suzuki, H. A Case of Recurrent Group II Uterine Tumor Resembling Ovarian Sex-Cord Tumors, against Which Two Hormonal Agents Were Ineffective. Taiwan J. Obstet. Gynecol. 2016, 55, 751–753. [Google Scholar] [CrossRef][Green Version]
- Kuznicki, M.L.; Robertson, S.E.; Hakam, A.; Shahzad, M.M. Metastatic Uterine Tumor Resembling Ovarian Sex Cord Tumor: A Case Report and Review of the Literature. Gynecol. Oncol. Rep. 2017, 22, 64–68. [Google Scholar] [CrossRef] [PubMed]
- Kondo, Y.; Sakaguchi, S.; Mikubo, M.; Naito, M.; Shiomi, K.; Ohbu, M.; Satoh, Y. Lung Metastases of a Uterine Tumor Resembling Ovarian Sex-Cord Tumor: Report of a Rare Case. Diagn. Cytopathol. 2018, 46, 88–91. [Google Scholar] [CrossRef]
- Comert, G.K.; Kilic, C.; Cavusoglu, D.; Turkmen, O.; Karalok, A.; Turan, T.; Basaran, D.; Boran, N. Recurrence in Uterine Tumors with Ovarian Sex-Cord Tumor Resemblance: A Case Report and Systematic Review. TJPATH 2018, 34, 225–233. [Google Scholar] [CrossRef]
- Marrucci, O.; Nicoletti, P.; Mauriello, A.; Facchetti, S.; Patrizi, L.; Ticconi, C.; Sesti, F.; Piccione, E. Uterine Tumor Resembling Ovarian Sex Cord Tumors Type II with Vaginal Vault Recurrence. Case Rep. Obstet. Gynecol. 2019, 2019, 5231219. [Google Scholar] [CrossRef]
- Bennett, J.A.; Lastra, R.R.; Barroeta, J.E.; Parilla, M.; Galbo, F.; Wanjari, P.; Young, R.H.; Krausz, T.; Oliva, E. Uterine Tumor Resembling Ovarian Sex Cord Stromal Tumor (UTROSCT): A Series of 3 Cases with Extensive Rhabdoid Differentiation, Malignant Behavior, and ESR1-NCOA2 Fusions. Am. J. Surg. Pathol. 2020, 44, 1563–1572. [Google Scholar] [CrossRef] [PubMed]
- Chang, B.; Bai, Q.; Liang, L.; Ge, H.; Yao, Q. Recurrent Uterine Tumors Resembling Ovarian Sex-Cord Tumors with the Growth Regulation by Estrogen in Breast Cancer 1-Nuclear Receptor Coactivator 2 Fusion Gene: A Case Report and Literature Review. Diagn. Pathol. 2020, 15, 110. [Google Scholar] [CrossRef] [PubMed]
- Hassan, A.A.S.; Alsultan, A.A.; Al Ghamdi, R.K.; Albluwi, N.M.; Aljamea, J.H.; AlHammadi, H.M.; Alzakari, M.J.; Almisbah, M.H. Uterine Tumor Resembling Sex-Cord Tumor: A Case Report. Cureus 2020, 12, e12010. [Google Scholar] [CrossRef] [PubMed]
- Dimitriadis, G.K.; Wajman, D.S.; Bidmead, J.; Diaz-Cano, S.J.; Arshad, S.; Bakhit, M.; Lewis, D.; Aylwin, S.J.B. Ectopic Hyperprolactinaemia Due to a Malignant Uterine Tumor Resembling Ovarian Sex Cord Tumors (UTROCST). Pituitary 2020, 23, 641–647. [Google Scholar] [CrossRef] [PubMed]
- Dondi, G.; Tesei, M.; De Crescenzo, E.; Boussedra, S.; Giunchi, S.; Perrone, A.M.; De Iaco, P. Uterine Tumor Resembling Ovarian Sex-Cord Tumor: A Case Report of Recurrence after Conservative Management and Review of the Literature. Gynecol. Pelvic Med. 2021, 4, 42. [Google Scholar] [CrossRef]
- Devereaux, K.A.; Kertowidjojo, E.; Natale, K.; Ewalt, M.D.; Soslow, R.A.; Hodgson, A. GTF2A1-NCOA2-Associated Uterine Tumor Resembling Ovarian Sex Cord Tumor (UTROSCT) Shows Focal Rhabdoid Morphology and Aggressive Behavior. Am. J. Surg. Pathol. 2021, 45, 1725–1728. [Google Scholar] [CrossRef]
- Chen, Z.; Lan, J.; Chen, Q.; Lin, D.; Hong, Y. A Novel Case of Uterine Tumor Resembling Ovarian Sex-Cord Tumor (UTROSCT) Recurrent with GREB1-NCOA2 Fusion. Int. J. Gynaecol. Obstet. 2021, 152, 266–268. [Google Scholar] [CrossRef]
- Wei, X.; Tang, M.; Liu, L.; Zhao, S. Recurrent Uterine Tumor Resembling Ovarian Sex Cord Tumor: A Case Report and Clinicopathological and Immunohistochemical Analysis. Res. Sq. 2021, preprint. [Google Scholar] [CrossRef]
- Massa, G.; Tessari, A.; Damian, S.; Duca, M.; Tamborini, E.; Perrone, F.; Capone, I.; Paolini, B.; Martinetti, A.; Sottotetti, E.; et al. Uterine Tumor Resembling Sex-Cord Tumors of the Ovary (Utrosct): A Case of Long-Term Response to Pazopanib. Ann. Case Rep. 2022, 7, 1090. [Google Scholar] [CrossRef]
- Baker, R.J.; Hildebrandt, R.H.; Rouse, R.V.; Hendrickson, M.R.; Longacre, T.A. Inhibin and CD99 (MIC2) Expression in Uterine Stromal Neoplasms with Sex-Cord-like Elements. Hum. Pathol. 1999, 30, 671–679. [Google Scholar] [CrossRef]
- Irving, J.A.; Carinelli, S.; Prat, J. Uterine Tumors Resembling Ovarian Sex Cord Tumors Are Polyphenotypic Neoplasms with True Sex Cord Differentiation. Mod. Pathol. 2006, 19, 17–24. [Google Scholar] [CrossRef] [PubMed]
- Rollins, S.E.; Clement, P.B.; Young, R.H. Uterine Tumors Resembling Ovarian Sex Cord Tumors Frequently Have Incorporated Mature Smooth Muscle Imparting a Pseudoinfiltrative Appearance. Mod. Pathol. 2007, 20 (Suppl. S2), 5A–360A. [Google Scholar] [CrossRef]
- Nogales, F.F.; Stolnicu, S.; Harilal, K.R.; Mooney, E.; García-Galvis, O.F. Retiform Uterine Tumours Resembling Ovarian Sex Cord Tumours. A Comparative Immunohistochemical Study with Retiform Structures of the Female Genital Tract. Histopathology 2009, 54, 471–477. [Google Scholar] [CrossRef] [PubMed]
- Staats, P.N.; Garcia, J.J.; Dias-Santagata, D.C.; Kuhlmann, G.; Stubbs, H.; McCluggage, W.G.; De Nictolis, M.; Kommoss, F.; Soslow, R.A.; Iafrate, A.J.; et al. Uterine Tumors Resembling Ovarian Sex Cord Tumors (UTROSCT) Lack the JAZF1-JJAZ1 Translocation Frequently Seen in Endometrial Stromal Tumors. Am. J. Surg. Pathol. 2009, 33, 1206–1212. [Google Scholar] [CrossRef]
- de Leval, L.; Lim, G.S.D.; Waltregny, D.; Oliva, E. Diverse Phenotypic Profile of Uterine Tumors Resembling Ovarian Sex Cord Tumors: An Immunohistochemical Study of 12 Cases. Am. J. Surg. Pathol. 2010, 34, 1749–1761. [Google Scholar] [CrossRef]
- Bakula-Zalewska, E.; Danska-Bidzinska, A.; Kowalewska, M.; Piascik, A.; Nasierowska-Guttmejer, A.; Bidzinski, M. Uterine Tumors Resembling Ovarian Sex Cord Tumors, a Clinicopathologic Study of Six Cases. Ann. Diagn. Pathol. 2014, 18, 329–332. [Google Scholar] [CrossRef]
- Liu, C.-Y.; Shen, Y.; Zhao, J.-G.; Qu, P.-P. Clinical Experience of Uterine Tumors Resembling Ovarian Sex Cord Tumors: A Clinicopathological Analysis of 6 Cases. Int. J. Clin. Exp. Pathol. 2015, 8, 4158–4164. [Google Scholar]
- Stewart, C.J.R.; Crook, M.; Tan, A. SF1 Immunohistochemistry Is Useful in Differentiating Uterine Tumours Resembling Sex Cord-Stromal Tumours from Potential Histological Mimics. Pathology 2016, 48, 434–440. [Google Scholar] [CrossRef]
- Moore, M.; McCluggage, W.G. Uterine Tumour Resembling Ovarian Sex Cord Tumour: First Report of a Large Series with Follow-Up. Histopathology 2017, 71, 751–759. [Google Scholar] [CrossRef]
- Croce, S.; Lesluyes, T.; Delespaul, L.; Bonhomme, B.; Pérot, G.; Velasco, V.; Mayeur, L.; Rebier, F.; Ben Rejeb, H.; Guyon, F.; et al. GREB1-CTNNB1 Fusion Transcript Detected by RNA-Sequencing in a Uterine Tumor Resembling Ovarian Sex Cord Tumor (UTROSCT): A Novel CTNNB1 Rearrangement. Genes Chromosomes Cancer 2019, 58, 155–163. [Google Scholar] [CrossRef]
- Dickson, B.C.; Childs, T.J.; Colgan, T.J.; Sung, Y.-S.; Swanson, D.; Zhang, L.; Antonescu, C.R. Uterine Tumor Resembling Ovarian Sex Cord Tumor: A Distinct Entity Characterized by Recurrent NCOA2/3 Gene Fusions. Am. J. Surg. Pathol. 2019, 43, 178–186. [Google Scholar] [CrossRef] [PubMed]
- Goebel, E.A.; Hernandez Bonilla, S.; Dong, F.; Dickson, B.C.; Hoang, L.N.; Hardisson, D.; Lacambra, M.D.; Lu, F.-I.; Fletcher, C.D.M.; Crum, C.P.; et al. Uterine Tumor Resembling Ovarian Sex Cord Tumor (UTROSCT): A Morphologic and Molecular Study of 26 Cases Confirms Recurrent NCOA1-3 Rearrangement. Am. J. Surg. Pathol. 2020, 44, 30–42. [Google Scholar] [CrossRef]
- Kaur, K.; Rajeshwari, M.; Gurung, N.; Kumar, H.; Sharma, M.C.; Yadav, R.; Kumar, S.; Manchanda, S.; Singhal, S.; Mathur, S.R. Uterine Tumor Resembling Ovarian Sex Cord Tumor: A Series of Six Cases Displaying Varied Histopathological Patterns and Clinical Profiles. Indian J. Pathol. Microbiol. 2020, 63, S81–S86. [Google Scholar] [CrossRef] [PubMed]
- Carbone, M.V.; Cavaliere, A.F.; Fedele, C.; Vidiri, A.; Aciuolo, D.; Zannoni, G.; Scambia, G. Uterine Tumor Resembling Ovarian Sex-Cord Tumor: Conservative Surgery with Successful Delivery and Case Series. Eur. J. Obstet. Gynecol. Reprod. Biol. 2021, 256, 326–332. [Google Scholar] [CrossRef] [PubMed]
- Ye, S.; Wu, J.; Yao, L.; He, J. Clinicopathological Characteristics and Genetic Variations of Uterine Tumours Resembling Ovarian Sex Cord Tumours. J. Clin. Pathol. 2022, 75, 776–781. [Google Scholar] [CrossRef]
- Boyraz, B.; Watkins, J.C.; Young, R.H.; Oliva, E. Uterine Tumors Resembling Ovarian Sex Cord Tumors: A Clinicopathologic Study of 75 Cases Emphasizing Features Predicting Adverse Outcome and Differential Diagnosis. Am. J. Surg. Pathol. 2023, 47, 234–247. [Google Scholar] [CrossRef]
- Xiong, S.-P.; Luo, R.-Z.; Wang, F.; Yang, X.; Lai, J.-P.; Zhang, C.; Liu, L.-L. PD-L1 Expression, Morphology, and Molecular Characteristic of a Subset of Aggressive Uterine Tumor Resembling Ovarian Sex Cord Tumor and a Literature Review. J. Ovarian Res. 2023, 16, 102. [Google Scholar] [CrossRef]
- Lu, B.; Xia, Y.; Chen, J.; Tang, J.; Shao, Y.; Yu, W. NCOA1/2/3 Rearrangements in Uterine Tumor Resembling Ovarian Sex Cord Tumor: A Clinicopathological and Molecular Study of 18 Cases. Hum. Pathol. 2023, 135, 65–75. [Google Scholar] [CrossRef]
- Bi, R.; Yao, Q.; Ji, G.; Bai, Q.; Li, A.; Liu, Z.; Cheng, Y.; Tu, X.; Yu, L.; Chang, B.; et al. Uterine Tumor Resembling Ovarian Sex Cord Tumors: 23 Cases Indicating Molecular Heterogeneity with Variable Biological Behavior. Am. J. Surg. Pathol. 2023, 47, 739–755. [Google Scholar] [CrossRef]
- Bini, M.; Gantzer, J.; Dufresne, A.; Vanacker, H.; Romeo, C.; Franceschi, T.; Treilleux, I.; Pissaloux, D.; Tirode, F.; Blay, J.-Y.; et al. ESR1 Rearrangement as a Diagnostic and Predictive Biomarker in Uterine Tumor Resembling Ovarian Sex Cord Tumor: A Report of Four Cases. JCO Precis. Oncol. 2023, 7, e2300130. [Google Scholar] [CrossRef]
- Qijun, C.; Wei, W.; Cheng, W.; Dongni, L. Clinicopathological Features and Molecular Genetic Changes in 17 Cases of Uterine Tumor Resembling Ovarian Sex Cord Tumor. Hum. Pathol. 2023, 143, 33–41. [Google Scholar] [CrossRef] [PubMed]
- Fukunaga, M. Adenomyosis with a Sex Cord-like Stromal Element. Pathol. Int. 2000, 50, 336–339. [Google Scholar] [CrossRef] [PubMed]
- D’Angelo, E.; Ali, R.H.; Espinosa, I.; Lee, C.-H.; Huntsman, D.G.; Gilks, B.; Prat, J. Endometrial Stromal Sarcomas with Sex Cord Differentiation Are Associated with PHF1 Rearrangement. Am. J. Surg. Pathol. 2013, 37, 514–521. [Google Scholar] [CrossRef] [PubMed]
- Nogales, F.F.; Stolnicu, S.; Nicolae, A.; Mooney, E.; García-Galvis, O.F. Retiform Uterine Tumours Resembling Ovarian Sex Cord Tumours [Letter]. Histopathology 2009, 55, 620–621. [Google Scholar] [CrossRef]
- De Quintal, M.M.; De Angelo Andrade, L.A.L. Endometrial Polyp with Sex Cord-like Pattern. Int. J. Gynecol. Pathol. 2006, 25, 170–172. [Google Scholar] [CrossRef] [PubMed]
- Murray, S.K.; Clement, P.B.; Young, R.H. Endometrioid Carcinomas of the Uterine Corpus with Sex Cord-like Formations, Hyalinization, and Other Unusual Morphologic Features: A Report of 31 Cases of a Neoplasm That May Be Confused with Carcinosarcoma and Other Uterine Neoplasms. Am. J. Surg. Pathol. 2005, 29, 157–166. [Google Scholar] [CrossRef] [PubMed]
- Richmond, A.M.; Rohrer, A.J.; Davidson, S.A.; Post, M.D. Low-Grade Endometrial Stromal Sarcoma with Extensive Sex Cord Differentiation, Heterologous Elements, and Complex Atypical Hyperplasia: Case Report and Review of Literature. Gynecol. Oncol. Rep. 2017, 19, 34–38. [Google Scholar] [CrossRef] [PubMed]
- Kao, Y.-C.; Lee, J.-C. An Update of Molecular Findings in Uterine Tumor Resembling Ovarian Sex Cord Tumor and GREB1-Rearranged Uterine Sarcoma with Variable Sex-Cord Differentiation. Genes Chromosomes Cancer 2021, 60, 180–189. [Google Scholar] [CrossRef]
- Burg, L.C.; Kruitwagen, R.F.P.M.; de Jong, A.; Bulten, J.; Bonestroo, T.J.J.; Kraayenbrink, A.A.; Boll, D.; Lambrechts, S.; Smedts, H.P.M.; Bouman, A.; et al. Sentinel Lymph Node Mapping in Presumed Low- and Intermediate-Risk Endometrial Cancer Management (SLIM): A Multicenter, Prospective Cohort Study in The Netherlands. Cancers 2022, 15, 271. [Google Scholar] [CrossRef]
- Di Spiezio Sardo, A.; De Angelis, M.C.; Della Corte, L.; Carugno, J.; Zizolfi, B.; Guadagno, E.; Gencarelli, A.; Cecchi, E.; Simoncini, T.; Bifulco, G.; et al. Should Endometrial Biopsy under Direct Hysteroscopic Visualization Using the Grasp Technique Become the New Gold Standard for the Preoperative Evaluation of the Patient with Endometrial Cancer? Gynecol. Oncol. 2020, 158, 347–353. [Google Scholar] [CrossRef]
- Vitale, S.G.; Watrowski, R.; Barra, F.; D’Alterio, M.N.; Carugno, J.; Sathyapalan, T.; Kahramanoglu, I.; Reyes-Muñoz, E.; Lin, L.-T.; Urman, B.; et al. Abnormal Uterine Bleeding in Perimenopausal Women: The Role of Hysteroscopy and Its Impact on Quality of Life and Sexuality. Diagnostics 2022, 12, 1176. [Google Scholar] [CrossRef] [PubMed]
- Russo, C.; Camilli, S.; Martire, F.G.; Di Giovanni, A.; Lazzeri, L.; Malzoni, M.; Zupi, E.; Exacoustos, C. Ultrasound Features of Highly Vascularized Uterine Myomas (Uterine Smooth Muscle Tumors) and Correlation with Histopathology. Ultrasound Obstet. Gynecol. 2022, 60, 269–276. [Google Scholar] [CrossRef] [PubMed]
- Ludovisi, M.; Moro, F.; Pasciuto, T.; Di Noi, S.; Giunchi, S.; Savelli, L.; Pascual, M.A.; Sladkevicius, P.; Alcazar, J.L.; Franchi, D.; et al. Imaging in Gynecological Disease (15): Clinical and Ultrasound Characteristics of Uterine Sarcoma. Ultrasound Obstet. Gynecol. 2019, 54, 676–687. [Google Scholar] [CrossRef] [PubMed]
- Cotrino, I.; Carosso, A.; Macchi, C.; Baima Poma, C.; Cosma, S.; Ribotta, M.; Viora, E.; Sciarrone, A.; Borella, F.; Zola, P. Ultrasound and Clinical Characteristics of Uterine Smooth Muscle Tumors of Uncertain Malignant Potential (STUMPs). Eur. J. Obstet. Gynecol. Reprod. Biol. 2020, 251, 167–172. [Google Scholar] [CrossRef]
- Ruscelli, M.; Maloberti, T.; Corradini, A.G.; Rosini, F.; Querzoli, G.; Grillini, M.; Altimari, A.; Gruppioni, E.; Sanza, V.; Costantino, A.; et al. Prognostic Impact of Pathologic Features in Molecular Subgroups of Endometrial Carcinoma. J. Pers. Med. 2023, 13, 723. [Google Scholar] [CrossRef]
- de Biase, D.; Maloberti, T.; Corradini, A.G.; Rosini, F.; Grillini, M.; Ruscelli, M.; Coluccelli, S.; Altimari, A.; Gruppioni, E.; Sanza, V.; et al. Integrated Clinicopathologic and Molecular Analysis of Endometrial Carcinoma: Prognostic Impact of the New ESGO-ESTRO-ESP Endometrial Cancer Risk Classification and Proposal of Histopathologic Algorithm for Its Implementation in Clinical Practice. Front. Med. (Lausanne) 2023, 10, 1146499. [Google Scholar] [CrossRef]






| Age Distribution | Adult women (third to sixth decades) Equal distribution among parous and non-parous women |
| Clinical Features | Abnormal uterine bleeding Pain Often asymptomatic |
| Gross Findings | Well circumscribed, variable size (median 6 cm; >10 cm in 20%) Infrequent cervical involvement (<10%) Infrequent extrauterine spread (<10%) Homogeneous yellow to tan cut surface |
| Microscopic Findings | Usually well-demarcated; irregular border with infiltration may occur Cords trabeculae, nests, gland-like structures, tubules, and retiform growth reminiscent of sex cord stromal tumors Bland, uniform cells with scant to abundant eosinophilic cytoplasm Relatively frequent: mitosis (56%), atypia (40%), and plemorphism (40%) Infrequent: lympho-vascular space invasion (<10%) and necrosis (<7%) |
| Immunohistochemical Features | Calretinin (>95%), CD99 (>90%), CD 56 (>90%), inhibin, WT1, and FOXL2 positive ER (>70%) and PR (90%) positive Smooth muscle markers, Melan-A, CD10, and epithelial markers frequently positive SF1 can be positive HMB45 negative |
| Differential Diagnosis | Endometrial stromal tumor (nodule or low-grade sarcoma) Endometrial carcinoma with sex cord differentiation Perivascular epithelioid cell tumor Epithelioid smooth muscle tumor |
| Antibody | Marker for | Case 1 (31 y.o.) | Case 2 (58 y.o.) |
|---|---|---|---|
| Calretinin | Sex cord | Positive (++) | Positive (++) |
| CD99 | Sex cord | Positive (++) | Focally positive (+) |
| CD56 (NCAM) | Sex cord | Positive (++) | N/a |
| Inhibin | Sex cord | Negative | Positive (++) |
| Wilms tumor protein (WT1) | Mesothelioma/serous differentiation | Positive (++) | N/a |
| Cytokeratin (CK 7) | Epithelium (e.g., ovarian adenocarcinoma) | Negative | Negative |
| EMA | Epithelial membrane | Negative | Negative |
| Alpha-SMC | Smooth muscle cells | Positive (++) | Focally positive (+) |
| Desmin | Muscle-type intermediate filaments | Focally positive (+) | Focally positive (+) |
| Caldesmon | Myogenic marker | Negative | Negative |
| E-Cadherin | Epithelial marker | Focally positive (+) | Focally positive (+) |
| P16 | HPV-related carcinomas | Focally positive (+) | Negative |
| Cyclin D1 | Different cancers | Negative | Negative |
| BCOR | Soft tissue sarcomas, ESS | Negative | Negative |
| TTF1 | Lung adenocarcinoma, thyroid carcinoma | Negative | Negative |
| GATA3 | Breast cancer | Negative | Negative |
| Chromogranin | Neuroendocrine marker | Negative | Negative |
| Synaptophysin | Neuroendocrine marker | Negative | Negative |
| Cathepsin K | Breast, lung, prostate, kidney | Negative | Negative |
| Estrogen receptor | Genital and breast carcinomas | Positive (++) | Positive (++) |
| Progesterone receptor | Genital and breast carcinomas | Positive (++) | Positive (++) |
| First Author | Year | Age | Parity | Symptom | Site | Size, cm | Treatments | FU (mo) | Associated with |
|---|---|---|---|---|---|---|---|---|---|
| Morehead [3] | 1945 | 44 | G7, P5 | AUB | Uterine mass | 2 | vaginal HE | N/a | |
| Tang [10] | 1979 | 28 | N/a | AUB | Intramural | 9 | HE | 8 | “indistinguishable from UTROSCT” (but referred to as “stromomyoma”) |
| Fekete [11] | 1985 | N/a | Submucosal | HE | N/a | ||||
| Iwasaki [12] | 1986 | 33 | TAH | Osteoid metaplasia | |||||
| Erhan [13] | 1992 | 40 | N/a | pain | Intramural | 9 | TAH, BSO | Stromomyoma; D&C: normal | |
| Moll [14] | 1992 | 73 | G2/P1 | AUB, pain | Polypoid | 5 | TAH, BSO | 12 | D&C: carcinosarcoma |
| Horn [15] | 1995 | 54 | N/a | Uterine mass | 7.6 | HE, BSO | 27 | Partially retroperitoneal | |
| Miliaras [16] | 1997 | 57 | N/a | AUB | Intramural | 7.5 | HE, BSO | 30 | |
| Okada [17] | 2001 | Intramural | Endometrial adenoacanthoma | ||||||
| Hauptmann [18] | 2001 | 49 | N/a | AUB | Intramural | 4.5 | HE | 7 | Multiple leiomyomas |
| Ribau Díez [19] | 2001 | 36 | G3, P3 | AUB | Uterine mass | 5.7 | HE | 94 | |
| Suzuki [20] | 2002 | 66 | G1, P1 | Hypercalcemia | Cervix | 8 | HE, BSO | N/a | Hypercalcemia, hyper-PTH-emia |
| Kuruvila [21] | 2003 | 50 | N/a | AUB | Polypoid | D&C in both cases | 12 | ||
| Wang [22] | 2003 | 34 | G2, P1 | AUB | Submucosal | 4.7 | HE, BSO | 12 | |
| Franco [23] | 2003 | 69 | G7, P4 | AUB | Uterine mass | 7 | D&C, HE, BSO, LN sampling | N/a | |
| Kabbani [24] | 2003 | 24 | G0, P0 | AUB | Cervix | 11 | HE, irradiation, PLN sampling | 12 | |
| Hillard [25] | 2004 | 32 | G0, P0 | AUB | Intramural | N/a | Lsc TR | 15 | Pregnancy after treatment |
| Sutak [26] | 2005 | 72 | N/a | AUB | Intramural | 2.2 | HE + BSO | 15 | |
| Motiwala [27] | 2006 | 63 | N/a | AUB | Intramural | 11 | HE + BSO | N/a | Multiple leiomyomas |
| Oztekin [28] | 2006 | 58 | G13, P3 | Pain | Intramural | 6 | TAH, BSO | 8 | Tamoxifen therapy |
| Zámecník [29] | 2006 | 39 | N/a | N/a | Intramural | 2 | HE | N/a | Double tumor |
| Calisir [30] | 2007 | 65 | N/a | Pelvic mass | Intramural | 8.5 | HE, BSO | N/a | Mazabraud’s syndrome |
| Sitic [31] | 2007 | 76 | N/a | AUB | Uterine mass | 7.5 | HE, BSO | 48 | |
| Kunz [32] | 2007 | 38 | G1, P0 | asymptomatic | Intramural | 12 | Open TR | N/a | |
| Dede [33] | 2008 | 37 | AUB | Intramural | 3.5 | HE, LN sampling | N/a | ||
| Anastasakis [34] | 2008 | 28 | G0, P0 | AUB | Polypoid | N/a | Hsc TR | 27 | Pregnancy 6 mo after diagnosis |
| Berretta [35] | 2009 | 26 | G0, P0 | AUB | Uterine mass | Hsc TR | N/a | ||
| Stolnicu [36] | 2009 | 71 | N/a | AUB | Polypoid | 2.5 | HE, BSO | 36 | Adenosarcoma |
| Stolnicu [36] | 2009 | 64 | N/a | AUB | Polypoid | 8 | HE, BSO | 60 | Adenosarcoma, tamoxifen |
| Garuti [37] | 2009 | 29 | G0, P0 | AUB | Submucosal | 5 | Hsc TR | 13 | |
| Aziz [38] | 2009 | 62 | N/a | PMB | Polypoid | 2 | TAH, BSO | N/a | Uneventful “yearly checkups” |
| Carta [39] | 2010 | 74 | N/a | AUB | Intramural | 17 | HE, BSO | 8 | |
| Giordano [40] | 2010 | 26 | G0, P0 | AUB | Submucosal | 2.2 | Hsc TR | 15 | |
| Giordano [40] | 2010 | 46 | G2/P2 | AUB | Polypoid | N/a | HE, BSO (finally) | N/a | Tamoxifen, breast cancer metastasis to the cervix |
| Abdullazde [41] | 2010 | 46 | N/a | AUB, Pain | Intramural | 2 | HE, BSO | 24 | Multiple leiomyomas |
| Abdullazde [41] | 2010 | 30 | N/a | AUB | “myoma” | 2 | “myomectomy” | N/a | |
| Abdullazde [41] | 2010 | 42 | N/a | AUB | Polypoid | 1.5 | HE | N/a | |
| Özer [42] | 2013 | 38 | G4/P3 | AUB, pain | Intramural | 18 | TAH | N/a | Multiple leiomyomas |
| Abid [43] | 2014 | 43 | N/a | AUB | Polypoid and Intramural | 1.5 | D&C, HE, BSO | 12 | Multiple leiomyomas |
| Hashmi [44] | 2014 | 48 | N/a | AUB | Intramural | 7 | HE, BSO | N/a | |
| Ehdaivand [45] | 2014 | 47 | G0, P0 | AUB | Intramural | N/a | Lsc HE, BSO, morcellation | 24 | Multiple leiomyomas |
| Gutierrez-Pecharroman [46] | 2014 | 49 | Polypoid | 2 | HE | 18 | Tamoxifen | ||
| Watrowski [47] | 2015 | 22 | G0, P0 | AUB | Submucosal | 2 | Hsc TR | 28 | |
| Coelho [48] | 2015 | 35 | G0, P0 | AUB | Submucosal | 1.5 | Hsc TR, followed by TAH | N/a | Multiple leiomyomas |
| Hermsen [49] (1) | 2015 | 36 | N/a | AUB | Submucosal | N/a | Hsc TR, Caesarean HE in 34 wop | 24 | Pregnancy |
| Hermsen [49] (2) | 2015 | 68 | N/a | AUB | Polypoid | 1.5 | D&C, TAH + BSO | 6 (probably) | D&C misleading: ESS |
| Jeong [50] | 2015 | 32 | G0, P0 | Infertility, AUB | Submucosal | 3.6 | Hsc TR, then Lsc HE after 5 mo | 47 | Pregnancy |
| Lin [51] | 2015 | 37 | G2, P2 | AUB | Submucosal | 5.7 | Hsc TR, TAH | N/a | |
| Byun [52] | 2015 | 56 | G4, P2 | AUB | uterine mass | 2.2 | HE, BSO | 36 | |
| Uçar [53] | 2016 | 65 | G6, P5 | AUB | Intramural | 8 | TAH, BSO, PLND, PALND | 12 | |
| Gomes [54] | 2016 | 53 | N/a | AUB | Uterine mass | 12 | LASH, BSO, Cervix, OMx, parametrectomy, PLND | N/a | |
| Cetinkaya [55] | 2016 | 52 | G2, P2 | AUB | Submucosal | 2 | HE, BSO, PLND, PALND | 17 | |
| De Franciscis [56] | 2016 | 38 | G0, P0 | AUB | Polypoid | 1 | Hsc TR | 60 | Pregnancy |
| Cho [57] | 2017 | 50 | N/a | AUB | 8.7 | HE, BSO | N/a | ||
| Schraag [58] (3) | 2017 | 72 | N/a | AUB | No macroscopic tumor | N/a | TAH, BSO | 46 | |
| Stefanovic [59] | 2017 | 59 | Multi-P | AUB | Polypoid | 10 | TAH, BSO | N/a | Two D&Cs (benign polyp) in 5 years prior to UTROSCT |
| Viau [60] (1) | 2017 | 49 | G1, P1 | Pain | Intramural | 1.8 | HE, BSO | 16 | Multiple myomas of 8 cm |
| Sadeh [61] | 2017 | 57 | N/a | AUB | Polypoid | 0.9 | Lsc HE, BSO | 36 | |
| Varban [62] | 2018 | 46 | N/a | AUB | Intramural | 7 | HE, BSO | N/a | Subserosal myoma of 3.5 cm |
| Vilos [63] (1) | 2018 | 52 | G3, P3 | AUB | Submucosal | 1 | Hsc TR; EMABL; LAVH, BSO | 36 | HE 9 mo after Dgn, no residues |
| Vilos [63] (2) | 2018 | 47 | G4, P3 | AUB | Submucosal | 2 | Hsc TR, EMABL; LAVH, BS | 12 | |
| Fan [64] | 2018 | 62 | N/a | AUB | Uterine tumor | 3.8 | Extended HE, BSO, PLND, PALND | N/a | |
| Thakur [65] | 2018 | 37 | G1, P1 | Infertility | Intramural | 1.1 | Hsc/Lsc TR | N/a | |
| Rozário Garcia [66] | 2018 | 46 | G1, P1 | AUB | Prolapsed myoma | 4 | vaginal TR, then TAH, BSO | 12 | |
| Natarajan [67] | 2018 | 58 | Multi-P | AUB | Submucosal | 4 | TAH, BSO | N/a | |
| Zhang [68] (1) | 2019 | 64 | N/a | AUB | Uterine mass | 10 | HE, BSO | 12 | |
| Zhang [68] (2) | 2019 | 33 | G2, P1 | AUB | Uterine mass | 3.5 | HE, BS | 144 | |
| Dubruc [69] | 2019 | 56 | N/a | AUB | Cervix | 2.6 | HE | 4 | |
| Segala [70] | 2019 | 62 | N/a | N/a | Intramural | 7 | TAH | 10 | Tamoxifen; multiple leiomyomas |
| Takeuchi [71] | 2019 | 48 | N/a | Abdominal fullness | Cervix | 20 | HE, BSO | N/a | Thoracic lymphadenopathy |
| Li [72] | 2019 | 43 | N/a | asymptomatic | Polypoid + Intramural | 3.1 | Lsc HE, BS (after HSc, D&C) | 3 | Endometriosis |
| Chiappa [73] | 2019 | 28 | G0, P0 | AUB | Submucosal | 5.5 | Hsc TR | N/a | |
| Kim [74] (1) | 2020 | 29 | G1, P1 | Pain | Subserosal | 6.5 | Lsc HE, BSO, PLND | 3 | |
| Kim [74] (2) | 2020 | 49 | G2, P2 | AUB | Uterine mass | 9 | HE, BSO | 12 | |
| Nguyen [75] | 2020 | 61 | N/a | AUB | Polypoid | 5.3 | Extended Lsc HE, BSO, PLND | 1 | |
| Grither [76] | 2020 | 69 | N/a | AUB | Uterine mass | 5.2 | Robotic HE + BSO | 8 | |
| Sato [77] | 2020 | 57 | G2, P2 | Pain | Intramural | 2.5 | HE, BSO, OMx, PLND, PALND | 39 | Sarcomatous features |
| Zhou [78] | 2021 | 56 | N/a | AUB | Pelvic mass | 10 | TAH + BSO | 58 | |
| Müller [79] | 2021 | 18 | G0, P0 | AUB | Submucosal | 4.5 | Hsc TR (2×) | 9 | |
| Pereira [80] | 2021 | 37 | G0, P0 | AUB | Submucosal | 3.5 | Hsc TR | 20 | |
| Pang [81] (1) | 2022 | 46 | N/a | AUB | Submucosal | 4.5 | Lsc HE | 35 | |
| Pang [81] (2) | 2022 | 42 | N/a | Pain | Intramural | 5 | Lsc HE | 4 | |
| Wang [82] | 2022 | 42 | N/a | AUB | Uterine mass | 3.9 | Lsc HE, BSO | N/a | |
| Xu [83] | 2022 | 40 | N/a | asymptomatic | Uterine mass | 10 | open TR | 12 | |
| Shibahara [84] | 2022 | 77 | G4/P2 | AUB | Uterine mass | 3 | TAH + BSO | 12 | |
| Sahraoui [85] | 2023 | 19 | G0, P0 | Pain | Cervix | 3 | cervical TR | 24 | |
| Yin [86] | 2023 | 51 | AUB | Submucosal | 8.5 | HE, BSO, LNE | 12 | GREB1-NCOA2 fusion | |
| Ise [87] | 2023 | 75 | AUB | 8 | Myxoid features | ||||
| Zhou [88] | 2023 | 49 | N/a | N/a | Intramural | 14 | HE, BSO | 1 | Increase in CA125 |
| EL Hayek [89] | 2023 | 58 | G2, P2 | Hemoperitoneum | Intramural | 10 | HE, BSO | N/a | Uterine rupture |
| Ferrara [90] | 2023 | 73 | G4, P2 | AUB | Intramural | 2.5 | Lsc HE, BSO | 12 | |
| Present study | 2023 | 31 | G4, P4 | Asymptomatic | Intramural | 3 | Lsc HE, BSO | N/a | |
| Present study | 2023 | 58 | Multi-P | AUB | Submucosal | 1.5 | Lsc HE, BSO | 36 | Flat submucosal area |
| First Author | Year | Age | Site (Extrauterine Extension) | Size, cm | Primary Treatment | Recurrence and PFS | Total FU | Last Status |
|---|---|---|---|---|---|---|---|---|
| Kantelip [91] | 1986 | 86 | Intramural, left ovary, two epiploic nodules | 10 | TAH, BSO, partial cystectomy, epiploic resection | No recurrence | 60 mo | NED |
| Malfetano [92] | 1989 | 18 | Intramural | 5 | TR, followed by TAH, PALND, Omx | Sigmoid, mesentery, ovary (nodules up to 6 cm), abdominal wall nodules 1–2 cm, PFS 72 | N/a | Tumor initially diagnosed as LG-ESS, recurrence as UTROSCT, G0, P0 |
| Di Vagno [93] | 1996 | Pelvic tumor, lung metastasis, carcinomatosis (35th gw) | Caesarean HE, debulking, two CHT regimens (nonresponsive) | PD | 9 mo | DOD, 9 mo after dgn | ||
| Biermann [94] | 2007 | 68 | Intramural | 4.5 | HE | 10 cm, small bowel, PFS 48 mo | 48 mo | 2 benign gastrointestinal stromal tumors |
| O’Meara [95] | 2009 | 35 | Intramural | 9.9 | HE | Retropubic mass with bladder invasion, 8.3 cm, PFS 3 ys | 48 mo | NED 1 ys after secondary treatement with surgery and CHx, galactorrhea and hyperprolactinemia (at first and second dgn) |
| Blinman [96] | 2009 | 49 | 6.5 | HE | 8 cm retroperitoneal mass, PFS 11 ys | Response to second-line anastrazole, lost for follow-up 10 ys after FD | ||
| Macak [97] | 2014 | 53 | Uterine mass | 1.5 | HE, BSO, PALND | No recurrence | 10 mo | NED |
| Umeda [98] (1) | 2014 | 38 | Submucosal | 4.5 | HE, BSO, PLND | No recurrence | 11 mo | NED |
| Umeda [98] (2) | 2014 | 57 | Submucosal | 6.4 | HE, BSO | No recurrence | 8 ys | NED |
| Endo [99] | 2015 | 62 | N/a | N/a | HE | Pelvic recurrence, 14 cm, 23 ys after HE (PFS 276 mo) | 24.5 ys | SD (recurrent tumor not completely resected) |
| Kuznicki [100] | 2017 | 49 | Ovary, omental cake | 6 | Neoadjuvant CHx, optimal cytoreduction | PD, death 15 mo after dgn | 15 mo | DOD (CA125: 2210 U/mL) |
| Schraag [58] (1) | 2017 | 24 | Submucosal | N/a | Hsc TR, followed by re-Hsc, followed by open TR | Uterus, PFS 9 mo | 65 mo | NED, 56 mo from last surgery. False positive MRI (8 mm nodule) after 3 mo |
| Schraag [58] | 2017 | 28 | Myoma | 10 | open TR | Pelvis, PFS 20 mo | 55 mo | Tumor rupture during first surgery; pregnancy after second surgery |
| Viau [60] | 2017 | 43 | Double tumor: pedunculated uterine mass (13 cm), myometrial mass (5.5 cm); peritoneum | TAH, BSO, debulking, CHTx (bleomycin, etoposide, cisplatin). | Pelvic tumor 5.5 cm, PFS 40 mo | 64 mo | NED, 2 years after second surgery Tumor rupture during first surgery | |
| Kondo [101] | 2017 | 69 | Uterine mass | TAH, BSO | Lung, PFS 26 mo | NED | ||
| Cömert [102] | 2018 | 61 | Pelvic mass | 7 | TAH, BSO | Pelvic mass, spleen, omentum, PFS 60 mo | 83 mo | NED, 7 mo after last surgery |
| Marrucci [103] | 2019 | 54 | Uterine mass | 9 | HE, BSO | vaginal vault, PFS 50 mo | 74 mo | NED 24 mo after recurrence, Coexistence with multiple leiomyomas |
| Bennett [104] (1) | 2020 | 32 | Intramural | N/a | HE | (1) Pelvic sidewall, PFS 7 ys, and (2) second subtotal debulking, PFS 11 mo | 8 ys | AWD (Second subtotal debulking 11 mo later) |
| Bennett [104] (2) | 2020 | 54 | Intramural (multiple tumors 1.5–6.5 cm) | 1.5–6.5 | LASH, followed by trachelectomy | Pelvis, PFS 9 ys, debulking, CHx | 10 ys | NED |
| Bennett [104] (3) | 2020 | 30 | N/a | N/a | HE | Omentum, PFS 32 ys | 6 ys | PD (2 further recurrences, 2 and 4 years later) |
| Chang [105] | 2020 | 57 | Intramural | 10 | TAH, BSO | Pelvic mass, PFS 30 mo | 35 mo | GREB1-NCO2 rearranged |
| Sh Hassan [106] | 2020 | 41 | Intramural | N/a | TAH | Vaginal vault, PFS “few weeks” | 24 mo | NED |
| Dimitriadis [107] | 2020 | 46 | Uterine mass | 11 | TAH | Intraabdominal recurrence, PFS 2 ys | 2 ys | N/a (report at the time of relapse) |
| Dondi [108] | 2021 | 24 | Submucosal | 3 | Hsc TR | Uterus, PFS 20 mo | 30 mo | NED after secondary Lsc HE |
| Devereaux [109] | 2021 | 42 | Intramural | 8.8 | TR with morcellation; at recurrence: TAH, BSO, debulking | Uterus, PFS 6 mo | 6 mo | Lost for FU after second surgery |
| Chen [110] | 2021 | 33 | Uterus, pelvic lymph nodes | N/a | Radical HE, BSO, PLND, CHx, RTx | Retroperitoneal mass in the upper abdomen 10 × 7 cm, PFS 14 ys | 14 ys | Initially diagnosed as LG-ESS with pelvic LN metastases |
| Wei [111] | 2021 | 46 | Uterus | 11 | TAH, BS | 20cm pelvic tumor adherent to intestine, PFS 53 mo. | 62 mo | DOD (9 mo after relapse); Ki67 25%, p53 positive; D&C 2 mo earlier: normal |
| Massa [112] | 2022 | 56 | Intramural, among multiple myomas | N/a | HE | 10 peritneal nodules up to 8 cm, PFS 7 ys | 17 ys | DOD, 10 CHTx, antibody and hormonal therapies |
| First Author | Year | No. | Age | Symptoms | Localization | Size (cm) | Primary Treatment | Recurrence, PFS | Total FU | Outcome by Last-Seen | Comments |
|---|---|---|---|---|---|---|---|---|---|---|---|
| Clement [4] | 1976 | 14 | 44 (type 1, n = 6) 49 (type 2, n = 8) | AUB (n = 9) Pelvic discomfort (n = 2) Asymptomatic (n = 3) | Intracavitary (n = 1 type 1, n = 3 type 2) Submucous (n = 1, type 1) Intramural (n = 3, type 1, n = 2, type 2) Subserosal (n = 3 type 2) Extrauterine spread (n = 1, type 1) | 2–15 | Type 1: TAH, BSO (n = 5); VH (n = 1) Type 2: TAH, BSO (n = 7), TAH (n = 1) | Type1: Yes (n = 3): (a) PFS 12 ys, irradiation; (b) PFS 2 ys, lung metastases, no therapy; (c) PFS 2 ys, CHx-, Rx; Type 2: No | Type 1: 22 mo–15 ys Type 2: 4 mo–7 ys | Type 1: DOD: n = 2, NED: n = 1 after relapse; NED: n = 2 w/o relapse; lost for FU: n = 1 Type 2: NED (all) | |
| Baker [113] | 1999 | 15 | 50 (30–78), (type 1, n = 10) 51 (34–77) (type 2, n = 5) | AUB (n = 5) Pelvic mass (n = 8); Asymptomatic (n = 2) | Intramural or polypoid (no details) | N/a | N/a | N/a | N/a | N/a | |
| Irving [114] | 2006 | 8 | 42 (19–69) | AUB (n = 8) | Intracavitary polyp (n = 3) Intramural (n = 4) n/a (n = 1) | 3.5–14 | TAH, BSO (n = 2); TAH, BSO, Rx (n = 1), TAH, BSO, CHx (n = 1), HE (n = 4) | No (n = 7) Yes (n = 1; Lung, bone, PFS N/a, death 10 mo after dgn | 10–62 mo | NED (n = 7) DOD (n = 1, type 1) | |
| Rollins [115] | 2007 | 37 | 47 (21–66) | N/a | Submucosal (“majority”) | 2.9 (0.7–17) | N/a | N/a | N/a | N/a | |
| Hurrel [6] | 2007 | 4 | 43, 51, 73, 84 | Intramural (n = 3) Pedunculated/subserosal (n = 1) | 0.8–19.5 | HE (4 times), BSO (2×), ULSO (1×) | N/a | N/a | |||
| Nogales [116] | 2009 | 6 | 65 (42–76) | AUB (n = 4) Asymptomatic (n = 2) | Polypoid (n = 4) Intramural (n = 2) | 0.7–8 | TAH, BSO (n = 5) Rx (n = 1) | No | 1–15 ys | NED | Pelvic endometriosis: n = 1 tamoxifen: n = 1 |
| Staats [117] | 2009 | 24 | 51 (29–84) | N/a | Endocervical polyp (n = 1); Submucous (n = 7); Intramural (n = 10); Subserosal (n = 2) | 6.6 (2–22) | N/a | N/a | N/a | N/a | Ultrastructural study; cases from the Collection of Scully |
| de Leval [118] | 2010 | 12 | 50 (29–59) | AUB (n = 5) Asymptomatic (n = 4) N/a (n = 3) | Intramural (n = 5), Polyp or submucous (n = 4), subserosal (n = 1); N/a (n = 2) | 5.5 (3–10) | TAH, BSO (n = 6), TAH (n = 1), VH (n = 1); D&C (n = 1), N/a (n = 3) | N/a | N/a | N/a | Ultrastructural study; cases from the Collection of Scully |
| Bakula-Zalewska [119] | 2014 | 6 | 50,25, 51,63, 24,62 | N/a | Uterine mass | 3–24 | LASH + BSO (4 times), HSC TR (Case 2 and 5), adjuvant gestagene (4 times, nos) | No | 3–14.5 ys | NED | |
| Liu [120] | 2015 | 5 | 45 (35–50) | AUB (n = 4) Asymptomatic (n = 2) | Intramural (n = 3); Polypoid/submucous (n = 2); Protruding mass (n = 1) | 5.6 (3–10.2) | TAH (n = 3); VH (n = 1); TAH, BSO (n = 1); TR (n = 1) | Yes (n = 2) No (n = 4) | 3 mo–7 ys | NED (n = 4) AWD (n = 1) N/a (n = 1) | CIN (n = 1); 1 recurrence after Hsc TR, one after TAH. |
| Stewart [121] | 2016 | 6 | 60 (42–67) | AUB (n = 6) | Intramural (n = 5) Endocervial (n = 1) | 4.6 (1–10) | N/a | No | 65.5 (39–96) mo | NED | |
| Moore [122] | 2017 | 34 | 52 (12–86) | N/a | Uterine mass Metastasis (n = 1) | 6.1 (0.4–19.5) | HE (n = 30) TR (n = 2) CHx and Rx (n = 1, metastatic disease at first diagnosis) | No (n = 26) Yes (n = 7; LN, pelvis, lung, bone, liver; PFSs 11–78 mo) | 39 (6–135) mo | DOD (n = 3; 12, 23 and 23 after diagnosis); PD (n = 5) NED (n = 26) | |
| Croce [123] | 2019 | 12 | 70 (n = 1) N/a (n = 11) | Pelvic mass (n = 1) N/a (n = 11) | N/a | 10 (n = 1) N/a (n = 11) | TAH, BSO; posterior exenteration for recurrence (n = 1); N/a (n = 11) | Yes (n = 1, PFS 17 mo, pelvis, lung) N/a (n = 11) | 29 | N/a | 11/12 cases only as ultrastructural study |
| Dickson [124] | 2019 | 4 | 53 (38–68) | N/a | Intramural (n = 3) Polypoid (n = 1) | 2.4 (0.7–3.3) | HE (n = 3), D&C (n = 1) | N/a | N/a | N/a | Adenomyosis |
| Goebel [124] | 2020 | 26 | 49.6 (20–74) | N/a | Polypoid (n = 4) Intramural (n =11) (data available for 15 tumors) | 5.1 (0.5–15) | HE (n = 17), TR (n = 3), D&C (n = 6) (numbers refer to the specimen source) * | No (n = 10) Yes (n = 1, pelvis, DFS 66 mo.) N/a (n = 16) | 94.4 (1–319) mo | NED (n = 11) | |
| Kaur [126] | 2020 | 6 | 42, 43, 46, 47, 49, 50. | AUB (n = 6) | Intramural (n = 5) N/a (n = 1) | 1–9.3 | TAH, BSO (n = 4); TAH, BSO, CHTx (n = 1); radical HE Type 3, BSO (n = 1) | Yes (n = 1, PFS 7 mo), No (n = 5) | 4 weeks–2 ys | NED (n = 4) N/a (n = 1) | Tamoxifen: n = 1 |
| Carbone [127] | 2021 | 10 | 48.5 (30–69) | AUB (n = 8) Miscarriage (n = 1) Asymptomatic (n = 1) | Intramural (n = 10) | 2 (0.2–8) | HE, BSO (n = 4), HE, BSO, LNE (n = 3), LASH, BSO, Hsc TR (n = 1), open TR (n = 1) | No | 25 (3–97) mo | NED | Both conservatively treated patients became pregnant |
| Ye [128] | 2022 | 5 | 53 (39–65) | AUB (n = 5) | Polypoid (n = 3) Intramural (n = 2) | 1.5–5 | HE, BSO (n = 4), HSC TR (n = 1) | No | 20 (4–72) mo | NED | |
| Boyraz [129] | 2023 | 75 | 53 (21–84) | AUB (n = 35) Pelvic pain (n = 6) Asymptomatic (n = 16) N/a (n = 18) | Intramyometrial (n = 38) Submucosal (n = 34) cervical (n = 3) Lung metastasis (n = 1) | 3.5 (0.6–20) | HE (n = 18), HE, BSO (n = 53), TR (n = 4) | Yes (n = 4); 1. peritoneum, PFS 60 mo; 2. peritoneum, PFS 144 mo; 3. peritoneum, PFS 60 mo; 4. brain and femur, PFS 30 and 48. | 64 (22–192) mo | NED (n = 53), AWD (n = 3), DOD (n = 2) | |
| Xiong [130] | 2023 | 19 | 42.8 (19–58) | N/a | N/a | 4.1 (1.5–15) | HE (n = 11) No treatment (n = 1) N/a (n = 7) | No (n = 13), Yes (n = 6): 1. Peritoneum, PFS 99 mo; 2. pelvis, colon, PFS 2 mo, death; 3. Site n/a, PFS 54 mo; 4. lung, pelvis; PFS 13 mo; 5. pelvis, colon; 189 mo; 6. lung, PFS 14 mo) | 40.9 (1.2–195.3) mo | NED (n = 18, incl. n = 5 after recurrence) DOD (n = 1) | |
| Lu [131] | 2023 | 18 | 45 (27–60) | AUB, pelvic mass (n not indicated) | HE (n = 3) HE, BSO (n = 8) Hsc TR (n = 5) Lsc TR (n = 2) | ||||||
| Bi [132] | 2023 | 23 | 43 (23–65) | N/a | Intramyometrial (n = 14) Polypoid/submucosal (n = 7) Protuberant mass (n = 2) | 5.4 (1–15) | TAH (n = 4) TAH, BSO (n = 13) TAH, BSO, LND (n = 2); TR (myomectomy) (n = 2); TR (polypectomy) (n = 2) | Yes (n = 8) No (n = 15) | 8–177 mo | NED (n = 21) DOD (n = 2) | |
| Bini [133] | 2023 | 4 | N/a | Metastatic tumors | N/a | N/a | Yes (n = 4) | 13.5 (6–34) ys | DOD (n = 3) NED (n = 1) | ||
| Qijun [134] | 2023 | 17 | 47 (19–67) | AUB (n = 15) Asymptomatic (n = 2) | Intramural (n = 10) Submucosal (n = 7) | 4.6 (0.6–14.7) | TAH or Lsc HE (n = 13) Hsc TR (n = 4) CHx (n = 1) | Yes (n = 3) plevis/abdomen, PFS 16 and 17 mo; lung PFS 12 mo; No (n = 14) | 20.2 (1–68) mo | NED (n = 14) N/a (n = 3) |
| Gene | Encoded Protein | Function | Reference |
|---|---|---|---|
| GREB1 | Growth Regulation by Estrogen in Breast Cancer 1 | Transcriptionally driven by estrogen-bound ER, important in the estrogen/ER signaling pathway. GREB1-rearranged UTROSCT may be more aggressive | [76,86,104,105,110,125,132,134,141] |
| ESR 1 | Estrogen Receptor 1 | Ligand-dependent transcription factor involved in sexual development, reproduction, and bone formation. ESR1-rearranged UTROSCT may be resistant to estrogen blockade due to loss of the ER ligand-binding domain | [76,104,105,132,133,134,141] |
| NCOA1–3 | Nuclear Receptor Coactivator 1–3 | Enhance the activity of nuclear hormone receptors and mediate transcriptional effects of steroid/sex-hormone receptor pathways. Fusions involving NCOA genes have oncogenic potential when dysregulated | [76,104,105,124,125,131,134,141] |
| CTNNB1 | β-Catenin | Key in Wnt/β-catenin signaling pathway, coactivator for TCF/LEF, involved in transcription initiation and chromatin remodeling. | [105,123] |
| NR4A3 | Nuclear Receptor Subfamily 4 Group A Member 3 | Transcriptional activator for the steroid/thyroid hormone nuclear receptor family, regulating proliferation, survival, and differentiation. | [105] |
| GTF2A1 | General Transcription Factor IIA, subunit 1 | Component of the RNA polymerase II transcription-initiation complex, interacting with steroid hormone receptors, including ERα, to facilitate transcription initiation. | [109] |
| CITED2 | CBP/p300 interacting transactivator with Glu/Asp-rich carboxyl-terminal domain 2 | Transcriptional co-activator that modulates interactions between DNA-binding proteins and histone modifying enzymes, influencing the transcription of genes involved in embryonic development or cellular response to hypoxia. | [134] |
Disclaimer/Publisher’s Note: The statements, opinions and data contained in all publications are solely those of the individual author(s) and contributor(s) and not of MDPI and/or the editor(s). MDPI and/or the editor(s) disclaim responsibility for any injury to people or property resulting from any ideas, methods, instructions or products referred to in the content. |
© 2024 by the authors. Licensee MDPI, Basel, Switzerland. This article is an open access article distributed under the terms and conditions of the Creative Commons Attribution (CC BY) license (https://creativecommons.org/licenses/by/4.0/).
Share and Cite
Watrowski, R.; Palumbo, M.; Guerra, S.; Gallo, A.; Zizolfi, B.; Giampaolino, P.; Bifulco, G.; Di Spiezio Sardo, A.; De Angelis, M.C. Uterine Tumors Resembling Ovarian Sex Cord Tumors (UTROSCTs): A Scoping Review of 511 Cases, Including 2 New Cases. Medicina 2024, 60, 179. https://doi.org/10.3390/medicina60010179
Watrowski R, Palumbo M, Guerra S, Gallo A, Zizolfi B, Giampaolino P, Bifulco G, Di Spiezio Sardo A, De Angelis MC. Uterine Tumors Resembling Ovarian Sex Cord Tumors (UTROSCTs): A Scoping Review of 511 Cases, Including 2 New Cases. Medicina. 2024; 60(1):179. https://doi.org/10.3390/medicina60010179
Chicago/Turabian StyleWatrowski, Rafał, Mario Palumbo, Serena Guerra, Alessandra Gallo, Brunella Zizolfi, Pierluigi Giampaolino, Giuseppe Bifulco, Attilio Di Spiezio Sardo, and Maria Chiara De Angelis. 2024. "Uterine Tumors Resembling Ovarian Sex Cord Tumors (UTROSCTs): A Scoping Review of 511 Cases, Including 2 New Cases" Medicina 60, no. 1: 179. https://doi.org/10.3390/medicina60010179
APA StyleWatrowski, R., Palumbo, M., Guerra, S., Gallo, A., Zizolfi, B., Giampaolino, P., Bifulco, G., Di Spiezio Sardo, A., & De Angelis, M. C. (2024). Uterine Tumors Resembling Ovarian Sex Cord Tumors (UTROSCTs): A Scoping Review of 511 Cases, Including 2 New Cases. Medicina, 60(1), 179. https://doi.org/10.3390/medicina60010179

