MRONJ of the Mandible—From Decortication to a Complex Jaw Reconstruction Using a CAD/CAM-Guided Bilateral Scapula Flap
Abstract
1. Introduction
2. Materials and Methods
3. Patient Cases
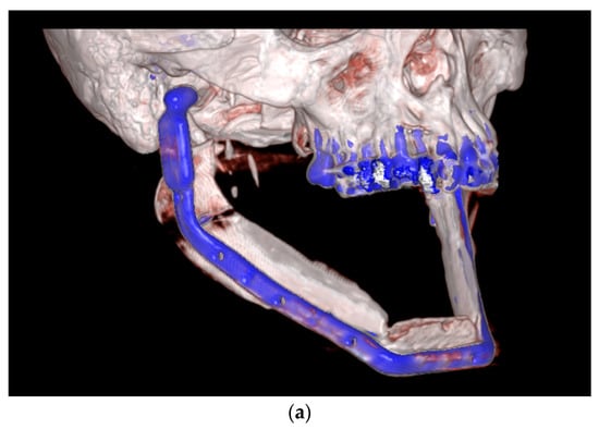
3.1. Case 1
3.2. Case 2
3.3. Case 3
4. Discussion
5. Conclusions
Author Contributions
Funding
Institutional Review Board Statement
Informed Consent Statement
Data Availability Statement
Conflicts of Interest
References
- Marx, R.E. Pamidronate (Aredia) and Zoledronate (Zometa) Induced Avascular Necrosis of the Jaws: A Growing Epidemic. J. Oral Maxillofac. Surg. 2003, 61, 1115–1117. [Google Scholar] [CrossRef] [PubMed]
- Christodoulou, C.; Pervena, A.; Klouvas, G.; Galani, E.; Falagas, M.E.; Tsakalos, G.; Visvikis, A.; Nikolakopoulou, A.; Acholos, V.; Karapanagiotidis, G.; et al. Combination of Bisphosphonates and Antiangiogenic Factors Induces Osteonecrosis of the Jaw More Frequently than Bisphosphonates Alone. Oncology 2009, 76, 209–211. [Google Scholar] [CrossRef]
- Sivolella, S.; Lumachi, F.; Stellini, E.; Favero, L. Denosumab and Anti-Angiogenetic Drug-Related Osteonecrosis of the Jaw: An Uncommon but Potentially Severe Disease. Anticancer Res. 2013, 33, 1793–1797. [Google Scholar]
- Papapoulos, S.; Lippuner, K.; Roux, C.; Lin, C.J.F.; Kendler, D.L.; Lewiecki, E.M.; Brandi, M.L.; Czerwiński, E.; Franek, E.; Lakatos, P.; et al. The Effect of 8 or 5 Years of Denosumab Treatment in Postmenopausal Women with Osteoporosis: Results from the FREEDOM Extension Study. Osteoporos. Int. 2015, 26, 2773–2783. [Google Scholar] [CrossRef]
- Stopeck, A.T.; Fizazi, K.; Body, J.-J.; Brown, J.E.; Carducci, M.; Diel, I.; Fujiwara, Y.; Martín, M.; Paterson, A.; Tonkin, K.; et al. Safety of Long-Term Denosumab Therapy: Results from the Open Label Extension Phase of Two Phase 3 Studies in Patients with Metastatic Breast and Prostate Cancer. Support. Care Cancer 2016, 24, 447–455. [Google Scholar] [CrossRef]
- Raje, N.; Terpos, E.; Willenbacher, W.; Shimizu, K.; García-Sanz, R.; Durie, B.; Legieć, W.; Krejčí, M.; Laribi, K.; Zhu, L.; et al. Denosumab versus Zoledronic Acid in Bone Disease Treatment of Newly Diagnosed Multiple Myeloma: An International, Double-Blind, Double-Dummy, Randomised, Controlled, Phase 3 Study. Lancet Oncol. 2018, 19, 370–381. [Google Scholar] [CrossRef] [PubMed]
- Wolf, A.M.; Rumpold, H.; Tilg, H.; Gastl, G.; Gunsilius, E.; Wolf, D. The Effect of Zoledronic Acid on the Function and Differentiation of Myeloid Cells. Haematologica 2006, 91, 1165–1171. [Google Scholar] [PubMed]
- Reid, I.R.; Bolland, M.J.; Grey, A.B. Is Bisphosphonate-Associated Osteonecrosis of the Jaw Caused by Soft Tissue Toxicity? Bone 2007, 41, 318–320. [Google Scholar] [CrossRef] [PubMed]
- Scavelli, C.; Di Pietro, G.; Cirulli, T.; Coluccia, M.; Boccarelli, A.; Giannini, T.; Mangialardi, G.; Bertieri, R.; Coluccia, A.M.L.; Ribatti, D.; et al. Zoledronic Acid Affects Over-Angiogenic Phenotype of Endothelial Cells in Patients with Multiple Myeloma. Mol. Cancer Ther. 2007, 6, 3256–3262. [Google Scholar] [CrossRef] [PubMed]
- Walter, C.; Klein, M.O.; Pabst, A.; Al-Nawas, B.; Duschner, H.; Ziebart, T. Influence of Bisphosphonates on Endothelial Cells, Fibroblasts, and Osteogenic Cells. Clin. Oral Investig. 2010, 14, 35–41. [Google Scholar] [CrossRef]
- Ristow, O.; Gerngroß, C.; Schwaiger, M.; Hohlweg-Majert, B.; Kehl, V.; Jansen, H.; Hahnefeld, L.; Otto, S.; Pautke, C. Is Bone Turnover of Jawbone and Its Possible Over Suppression by Bisphosphonates of Etiologic Importance in Pathogenesis of Bisphosphonate-Related Osteonecrosis? J. Oral Maxillofac. Surg. 2014, 72, 903–910. [Google Scholar] [CrossRef]
- Ristow, O.; Gerngroß, C.; Schwaiger, M.; Hohlweg-Majert, B.; Ristow, M.; Koerdt, S.; Schuster, R.; Otto, S.; Pautke, C. Does Regular Zoledronic Acid Change the Bone Turnover of the Jaw in Men with Metastatic Prostate Cancer: A Possible Clue to the Pathogenesis of Bisphosphonate Related Osteonecrosis of the Jaw? J. Cancer Res. Clin. Oncol. 2014, 140, 487–493. [Google Scholar] [CrossRef] [PubMed]
- dos Santos Ferreira, L.; Abreu, L.G.; Calderipe, C.B.; Martins, M.D.; Schuch, L.F.; Vasconcelos, A.C.U. Is Teriparatide Therapy Effective for Medication-Related Osteonecrosis of the Jaw? A Systematic Review and Meta-Analysis. Osteoporos. Int. 2021, 32, 2449–2459. [Google Scholar] [CrossRef] [PubMed]
- Singh, M.; Gonegandla, G.S. Bisphosphonate-Induced Osteonecrosis of the Jaws (BIONJ). J. Maxillofac. Oral Surg. 2020, 19, 162–167. [Google Scholar] [CrossRef] [PubMed]
- Dimopoulos, M.A.; Kastritis, E.; Bamia, C.; Melakopoulos, I.; Gika, D.; Roussou, M.; Migkou, M.; Eleftherakis-Papaiakovou, E.; Christoulas, D.; Terpos, E.; et al. Reduction of Osteonecrosis of the Jaw (ONJ) after Implementation of Preventive Measures in Patients with Multiple Myeloma Treated with Zoledronic Acid. Ann. Oncol. 2009, 20, 117–120. [Google Scholar] [CrossRef] [PubMed]
- Ripamonti, C.I.; Maniezzo, M.; Campa, T.; Fagnoni, E.; Brunelli, C.; Saibene, G.; Bareggi, C.; Ascani, L.; Cislaghi, E. Decreased Occurrence of Osteonecrosis of the Jaw after Implementation of Dental Preventive Measures in Solid Tumour Patients with Bone Metastases Treated with Bisphosphonates. The Experience of the National Cancer Institute of Milan. Ann. Oncol. 2009, 20, 137–145. [Google Scholar] [CrossRef] [PubMed]
- Guarneri, V.; Miles, D.; Robert, N.; Diéras, V.; Glaspy, J.; Smith, I.; Thomssen, C.; Biganzoli, L.; Taran, T.; Conte, P. Bevacizumab and Osteonecrosis of the Jaw: Incidence and Association with Bisphosphonate Therapy in Three Large Prospective Trials in Advanced Breast Cancer. Breast Cancer Res. Treat. 2010, 122, 181–188. [Google Scholar] [CrossRef]
- Bonacina, R.; Mariani, U.; Villa, F.; Villa, A. Preventive Strategies and Clinical Implications for Bisphosphonate-Related Osteonecrosis of the Jaw: A Review of 282 Patients. J. Can. Dent. Assoc. 2011, 77, b147. [Google Scholar]
- Saad, F.; Brown, J.E.; Van Poznak, C.; Ibrahim, T.; Stemmer, S.M.; Stopeck, A.T.; Diel, I.J.; Takahashi, S.; Shore, N.; Henry, D.H.; et al. Incidence, Risk Factors, and Outcomes of Osteonecrosis of the Jaw: Integrated Analysis from Three Blinded Active-Controlled Phase III Trials in Cancer Patients with Bone Metastases. Ann. Oncol. 2012, 23, 1341–1347. [Google Scholar] [CrossRef]
- Then, C.; Hörauf, N.; Otto, S.; Pautke, C.; von Tresckow, E.; Röhnisch, T.; Baumann, P.; Schmidmaier, R.; Bumeder, I.; Oduncu, F.S. Incidence and Risk Factors of Bisphosphonate-Related Osteonecrosis of the Jaw in Multiple Myeloma Patients Having Undergone Autologous Stem Cell Transplantation. Onkologie 2012, 35, 658–664. [Google Scholar] [CrossRef]
- Vandone, A.M.; Donadio, M.; Mozzati, M.; Ardine, M.; Polimeni, M.A.; Beatrice, S.; Ciuffreda, L.; Scoletta, M. Impact of Dental Care in the Prevention of Bisphosphonate-Associated Osteonecrosis of the Jaw: A Single-Center Clinical Experience. Ann. Oncol. 2012, 23, 193–200. [Google Scholar] [CrossRef] [PubMed]
- DE Iuliis, F.; Taglieri, L.; Amoroso, L.; Vendittozzi, S.; Blasi, L.; Salerno, G.; Lanza, R.; Scarpa, S. Prevention of Osteonecrosis of the Jaw in Patients with Bone Metastases Treated with Bisphosphonates. Anticancer Res. 2014, 34, 2477–2480. [Google Scholar] [PubMed]
- Hallmer, F.; Bjørnland, T.; Nicklasson, A.; Becktor, J.P.; Andersson, G. Osteonecrosis of the Jaw in Patients Treated with Oral and Intravenous Bisphosphonates: Experience in Sweden. Oral Surg. Oral Med. Oral Pathol. Oral Radiol. 2014, 118, 202–208. [Google Scholar] [CrossRef] [PubMed]
- Lescaille, G.; Coudert, A.E.; Baaroun, V.; Ostertag, A.; Charpentier, E.; Javelot, M.-J.; Tolédo, R.; Goudot, P.; Azérad, J.; Berdal, A.; et al. Clinical Study Evaluating the Effect of Bevacizumab on the Severity of Zoledronic Acid-Related Osteonecrosis of the Jaw in Cancer Patients. Bone 2014, 58, 103–107. [Google Scholar] [CrossRef] [PubMed]
- Rugani, P.; Luschin, G.; Jakse, N.; Kirnbauer, B.; Lang, U.; Acham, S. Prevalence of Bisphosphonate-Associated Osteonecrosis of the Jaw after Intravenous Zoledronate Infusions in Patients with Early Breast Cancer. Clin. Oral Investig. 2014, 18, 401–407. [Google Scholar] [CrossRef] [PubMed]
- Ulmner, M.; Jarnbring, F.; Törring, O. Osteonecrosis of the Jaw in Sweden Associated With the Oral Use of Bisphosphonate. J. Oral Maxillofac. Surg. 2014, 72, 76–82. [Google Scholar] [CrossRef]
- Bramati, A.; Girelli, S.; Farina, G.; Dazzani, M.C.; Torri, V.; Moretti, A.; Piva, S.; Dimaiuta, M.; La Verde, N. Prospective, Mono-Institutional Study of the Impact of a Systematic Prevention Program on Incidence and Outcome of Osteonecrosis of the Jaw in Patients Treated with Bisphosphonates for Bone Metastases. J. Bone Miner. Metab. 2015, 33, 119–124. [Google Scholar] [CrossRef]
- Kajizono, M.; Sada, H.; Sugiura, Y.; Soga, Y.; Kitamura, Y.; Matsuoka, J.; Sendo, T. Incidence and Risk Factors of Osteonecrosis of the Jaw in Advanced Cancer Patients after Treatment with Zoledronic Acid or Denosumab: A Retrospective Cohort Study. Biol. Pharm. Bull. 2015, 38, 1850–1855. [Google Scholar] [CrossRef]
- Kwon, J.-W.; Park, E.-J.; Jung, S.-Y.; Sohn, H.S.; Ryu, H.; Suh, H.S. A Large National Cohort Study of the Association between Bisphosphonates and Osteonecrosis of the Jaw in Patients with Osteoporosis: A Nested Case-Control Study. J. Dent. Res. 2015, 94, 212S–219S. [Google Scholar] [CrossRef]
- Sim, I.-W.; Sanders, K.M.; Borromeo, G.L.; Seymour, J.F.; Ebeling, P.R. Declining Incidence of Medication-Related Osteonecrosis of the Jaw in Patients With Cancer. J. Clin. Endocrinol. Metab. 2015, 100, 3887–3893. [Google Scholar] [CrossRef]
- Montefusco, V.; Gay, F.; Spina, F.; Miceli, R.; Maniezzo, M.; Teresa Ambrosini, M.; Farina, L.; Piva, S.; Palumbo, A.; Boccadoro, M.; et al. Antibiotic Prophylaxis before Dental Procedures May Reduce the Incidence of Osteonecrosis of the Jaw in Patients with Multiple Myeloma Treated with Bisphosphonates. Leuk. Lymphoma 2008, 49, 2156–2162. [Google Scholar] [CrossRef] [PubMed]
- Lodi, G.; Sardella, A.; Salis, A.; Demarosi, F.; Tarozzi, M.; Carrassi, A. Tooth Extraction in Patients Taking Intravenous Bisphosphonates: A Preventive Protocol and Case Series. J. Oral Maxillofac. Surg. 2010, 68, 107–110. [Google Scholar] [CrossRef] [PubMed]
- Scoletta, M.; Arata, V.; Arduino, P.G.; Lerda, E.; Chiecchio, A.; Gallesio, G.; Scully, C.; Mozzati, M. Tooth Extractions in Intravenous Bisphosphonate-Treated Patients: A Refined Protocol. J. Oral Maxillofac. Surg. 2013, 71, 994–999. [Google Scholar] [CrossRef] [PubMed]
- Taylor, T.; Bryant, C.; Popat, S. A Study of 225 Patients on Bisphosphonates Presenting to the Bisphosphonate Clinic at King’s College Hospital. Br. Dent. J. 2013, 214, E18. [Google Scholar] [CrossRef]
- Heufelder, M.J.; Hendricks, J.; Remmerbach, T.; Frerich, B.; Hemprich, A.; Wilde, F. Principles of Oral Surgery for Prevention of Bisphosphonate-Related Osteonecrosis of the Jaw. Oral Surg. Oral Med. Oral Pathol. Oral Radiol. 2014, 117, e429–e435. [Google Scholar] [CrossRef]
- Hasegawa, T.; Kawakita, A.; Ueda, N.; Funahara, R.; Tachibana, A.; Kobayashi, M.; Kondou, E.; Takeda, D.; Kojima, Y.; Sato, S.; et al. A Multicenter Retrospective Study of the Risk Factors Associated with Medication-Related Osteonecrosis of the Jaw after Tooth Extraction in Patients Receiving Oral Bisphosphonate Therapy: Can Primary Wound Closure and a Drug Holiday Really Prevent MRONJ? Osteoporos. Int. 2017, 28, 2465–2473. [Google Scholar] [CrossRef]
- Wilde, F.; Wilde, F.; Heufelder, M.; Frerich, B.; Hemprich, A. Bisphosphonate Associated Osteonecrosis of the Jaw: A Successful Treatment Concept. Int. J. Oral Maxillofac. Surg. 2007, 36, 1043. [Google Scholar] [CrossRef]
- Carlson, E.R.; Basile, J.D. The Role of Surgical Resection in the Management of Bisphosphonate-Related Osteonecrosis of the Jaws. J. Oral Maxillofac. Surg. 2009, 67, 85–95. [Google Scholar] [CrossRef]
- Stockmann, P.; Vairaktaris, E.; Wehrhan, F.; Seiss, M.; Schwarz, S.; Spriewald, B.; Neukam, F.-W.; Nkenke, E. Osteotomy and Primary Wound Closure in Bisphosphonate-Associated Osteonecrosis of the Jaw: A Prospective Clinical Study with 12 Months Follow-Up. Support. Care Cancer 2010, 18, 449–460. [Google Scholar] [CrossRef]
- Hoefert, S.; Eufinger, H. Relevance of a Prolonged Preoperative Antibiotic Regime in the Treatment of Bisphosphonate-Related Osteonecrosis of the Jaw. J. Oral Maxillofac. Surg. 2011, 69, 362–380. [Google Scholar] [CrossRef]
- Mücke, T.; Koschinski, J.; Deppe, H.; Wagenpfeil, S.; Pautke, C.; Mitchell, D.A.; Wolff, K.-D.; Hölzle, F. Outcome of Treatment and Parameters Influencing Recurrence in Patients with Bisphosphonate-Related Osteonecrosis of the Jaws. J. Cancer Res. Clin. Oncol. 2011, 137, 907–913. [Google Scholar] [CrossRef]
- Wilde, F.; Heufelder, M.; Winter, K.; Hendricks, J.; Frerich, B.; Schramm, A.; Hemprich, A. The Role of Surgical Therapy in the Management of Intravenous Bisphosphonates-Related Osteonecrosis of the Jaw. Oral Surg. Oral Med. Oral Pathol. Oral Radiol. Endod. 2011, 111, 153–163. [Google Scholar] [CrossRef] [PubMed]
- Mücke, T.; Haarmann, S.; Wolff, K.-D.; Hölzle, F. Bisphosphonate Related Osteonecrosis of the Jaws Treated by Surgical Resection and Immediate Osseous Microvascular Reconstruction. J. Cranio-Maxillofac. Surg. 2009, 37, 291–297. [Google Scholar] [CrossRef] [PubMed]
- Troeltzsch, M.; Probst, F.; Troeltzsch, M.; Ehrenfeld, M.; Otto, S. Conservative Management of Medication-Related Osteonecrosis of the Maxilla with an Obturator Prosthesis. J. Prosthet. Dent. 2015, 113, 236–241. [Google Scholar] [CrossRef] [PubMed]
- Buchbinder, D.; Urken, M.L.; Vickery, C.; Weinberg, H.; Sheiner, A.; Biller, H. Functional Mandibular Reconstruction of Patients with Oral Cancer. Oral Surg. Oral Med. Oral Pathol. 1989, 68, 499–504. [Google Scholar] [CrossRef] [PubMed]
- Baker, A.; McMahon, J.; Parmar, S. Part I: Immediate Reconstruction of Continuity Defects of the Mandible after Tumor Surgery. J. Oral Maxillofac. Surg. 2001, 59, 1333–1339. [Google Scholar] [CrossRef]
- Arden, R.L.; Rachel, J.D.; Marks, S.C.; Dang, K. Volume-Length Impact of Lateral Jaw Resections on Complication Rates. Arch. Otolaryngol. Head Neck Surg. 1999, 125, 68–72. [Google Scholar] [CrossRef]
- van Gemert, J.T.M.; van Es, R.J.J.; Rosenberg, A.J.W.P.; van der Bilt, A.; Koole, R.; Van Cann, E.M. Free Vascularized Flaps for Reconstruction of the Mandible: Complications, Success, and Dental Rehabilitation. J. Oral Maxillofac. Surg. 2012, 70, 1692–1698. [Google Scholar] [CrossRef]
- Kämmerer, P.W.; Klein, M.O.; Moergel, M.; Gemmel, M.; Draenert, G.F. Local and Systemic Risk Factors Influencing the Long-Term Success of Angular Stable Alloplastic Reconstruction Plates of the Mandible. J. Craniomaxillofac. Surg. 2014, 42, e271–e276. [Google Scholar] [CrossRef]
- Coletti, D.P.; Ord, R.; Liu, X. Mandibular Reconstruction and Second Generation Locking Reconstruction Plates: Outcome of 110 Patients. Int. J. Oral Maxillofac. Surg. 2009, 38, 960–963. [Google Scholar] [CrossRef]
- Liu, S.; Cai, Z.; Zhang, J.; Zhang, J.; Zhang, Y. Plate related complication after mandibular reconstruction. Zhonghua Kou Qiang Yi Xue Za Zhi 2013, 48, 586–590. [Google Scholar] [PubMed]
- Chung, J.-H.; Yoon, E.-S.; Park, S.-H.; Lee, B.-I.; Kim, H.-S.; You, H.-J. Comparison of Mechanical Stability between Fibular Free Flap Reconstruction versus Locking Mandibular Reconstruction Plate Fixation. Arch. Craniofac. Surg. 2014, 15, 75–81. [Google Scholar] [CrossRef] [PubMed]
- Hölzle, F.; Kesting, M.R.; Hölzle, G.; Watola, A.; Loeffelbein, D.J.; Ervens, J.; Wolff, K.-D. Clinical Outcome and Patient Satisfaction after Mandibular Reconstruction with Free Fibula Flaps. Int. J. Oral Maxillofac. Surg. 2007, 36, 802–806. [Google Scholar] [CrossRef] [PubMed]
- Kniha, K.; Möhlhenrich, S.C.; Foldenauer, A.C.; Peters, F.; Ayoub, N.; Goloborodko, E.; Hölzle, F.; Modabber, A. Evaluation of Bone Resorption in Fibula and Deep Circumflex Iliac Artery Flaps Following Dental Implantation: A Three-Year Follow-up Study. J. Craniomaxillofac. Surg. 2017, 45, 474–478. [Google Scholar] [CrossRef]
- Gangwani, P.; Almana, M.; Barmak, B.; Kolokythas, A. What Is the Success of Implants Placed in Fibula Flap? A Systematic Review and Meta-Analysis. J. Oral Maxillofac. Res. 2022, 13, e3. [Google Scholar] [CrossRef] [PubMed]
- Schusterman, M.A.; Reece, G.P.; Miller, M.J.; Harris, S. The Osteocutaneous Free Fibula Flap: Is the Skin Paddle Reliable? Plast. Reconstr. Surg. 1992, 90, 787–793, discussion 794-798. [Google Scholar] [CrossRef]
- Colen, S.R.; Shaw, W.W.; McCarthy, J.G. Review of the Morbidity of 300 Free-Flap Donor Sites. Plast. Reconstr. Surg. 1986, 77, 948–953. [Google Scholar] [CrossRef]
- Goodacre, T.E.; Walker, C.J.; Jawad, A.S.; Jackson, A.M.; Brough, M.D. Donor Site Morbidity Following Osteocutaneous Free Fibula Transfer. Br. J. Plast. Surg. 1990, 43, 410–412. [Google Scholar] [CrossRef]
- Lee, E.H.; Goh, J.C.; Helm, R.; Pho, R.W. Donor Site Morbidity Following Resection of the Fibula. J. Bone Jt. Surg. Br. 1990, 72, 129–131. [Google Scholar] [CrossRef]
- Hidalgo, D.A. Fibula Free Flap Mandibular Reconstruction. Clin. Plast. Surg. 1994, 21, 25–35. [Google Scholar] [CrossRef]
- Lanzer, M.; Gander, T.; Grätz, K.; Rostetter, C.; Zweifel, D.; Bredell, M. Scapular Free Vascularised Bone Flaps for Mandibular Reconstruction: Are Dental Implants Possible? J. Oral Maxillofac. Res. 2015, 6, e4. [Google Scholar] [CrossRef] [PubMed]
- Ardisson, A.; Senna, P.; Bergamo, E.; Bonfante, E.; Marin, C. Success Rate of Mandible Implants Placed in Vascularized Fibula Bone Graft: A Systematic Review. J. Oral Implantol. 2022. [Google Scholar] [CrossRef] [PubMed]
- Chiapasco, M.; Abati, S.; Ramundo, G.; Rossi, A.; Romeo, E.; Vogel, G. Behavior of Implants in Bone Grafts or Free Flaps after Tumor Resection. Clin. Oral Implant. Res. 2000, 11, 66–75. [Google Scholar] [CrossRef]
- Fang, W.; Liu, Y.-P.; Ma, Q.; Liu, B.-L.; Zhao, Y. Long-Term Results of Mandibular Reconstruction of Continuity Defects with Fibula Free Flap and Implant-Borne Dental Rehabilitation. Int. J. Oral Maxillofac. Implant. 2015, 30, 169–178. [Google Scholar] [CrossRef]
- Rosen, E.B.; Kyle Gazdeck, R.; Goldman, D.A.; Panchal, H.; Jones, E.; Nguyen, J.P.; Allen, R.J.; Nelson, J.A.; Huryn, J.M.; Matros, E. An Anatomic Analysis of Fibula Flap Mandible Reconstructions: Implications for Endosseous Implant Placement. Plast. Reconstr. Surg. 2022, 149, 1419–1428. [Google Scholar] [CrossRef]
- Menapace, D.C.; Van Abel, K.M.; Jackson, R.S.; Moore, E.J. Primary vs Secondary Endosseous Implantation After Fibular Free Tissue Reconstruction of the Mandible for Osteoradionecrosis. JAMA Facial Plast. Surg. 2018, 20, 401–408. [Google Scholar] [CrossRef] [PubMed]
- Madrid, C.; Sanz, M. What Impact Do Systemically Administrated Bisphosphonates Have on Oral Implant Therapy? A Systematic Review. Clin. Oral Implant. Res. 2009, 20, 87–95. [Google Scholar] [CrossRef] [PubMed]
- Yip, J.K.; Borrell, L.N.; Cho, S.-C.; Francisco, H.; Tarnow, D.P. Association between Oral Bisphosphonate Use and Dental Implant Failure among Middle-Aged Women. J. Clin. Periodontol. 2012, 39, 408–414. [Google Scholar] [CrossRef]
- Bell, B.M.; Bell, R.E. Oral Bisphosphonates and Dental Implants: A Retrospective Study. J. Oral Maxillofac. Surg. 2008, 66, 1022–1024. [Google Scholar] [CrossRef]
- Hölzle, F.; Watola, A.; Kesting, M.R.; Nolte, D.; Wolff, K.-D. Atrophy of Free Fibular Grafts after Mandibular Reconstruction. Plast. Reconstr. Surg. 2007, 119, 151–156. [Google Scholar] [CrossRef]
- Shokri, T.; Stahl, L.E.; Kanekar, S.G.; Goyal, N. Osseous Changes Over Time in Free Fibular Flap Reconstruction. Laryngoscope 2019, 129, 1113–1116. [Google Scholar] [CrossRef] [PubMed]
- Mertens, C.; Decker, C.; Engel, M.; Sander, A.; Hoffmann, J.; Freier, K. Early Bone Resorption of Free Microvascular Reanastomized Bone Grafts for Mandibular Reconstruction--a Comparison of Iliac Crest and Fibula Grafts. J. Craniomaxillofac. Surg. 2014, 42, e217–e223. [Google Scholar] [CrossRef] [PubMed]
- Makiguchi, T.; Yokoo, S.; Hashikawa, K.; Miyazaki, H.; Terashi, H. Evaluation of Bone Height of the Free Fibula Flap in Mandible Reconstruction. J. Craniofacial Surg. 2015, 26, 673–676. [Google Scholar] [CrossRef] [PubMed]
- Ishikawa, K.; Yamamoto, Y.; Furukawa, H.; Ohiro, Y.; Satoh, A.; Hayashi, T. Long-Term Changes in Bone Height After Mandibular Reconstruction Using a Free Fibula Graft in an Elderly Population. J. Oral Maxillofac. Surg. 2017, 75, 2682–2688. [Google Scholar] [CrossRef] [PubMed]













| Date | Intervention |
|---|---|
| 2000: | Initial diagnosis of prostate cancer with vertebral metastasis. Following radical prostatectomy with adjuvant radiotherapy and intravenous bisphosphonate therapy with zoledronate 4mg monthly and denosumab every 6 weeks. |
| July 2014: | Diagnosis of MRONJ in the right molar region of the mandible. Following mandibular box resection and protective plate osteosynthesis with a patient-specific plate. |
| August 2016: | Extraction of the second lower right premolar with smoothening of bony edges due to extraoral chronic fistula. |
| June 2017: | Removal of the reconstruction plate in the right mandible, re-osteosynthesis, and excision of a submandibular fistula on the right. |
| August 2018: | Partial mandibular resection with continuity defect and alloplastic reconstruction using a patient-specific plate, excision of a submental fistula |
| November 2018: | Cervical abscess on the right side with infected osteosynthesis material. Decortication and partial removal of the PSI. |
| December 2018: | Submental abscess on the left: extraoral abscess incision. |
| April 2019: | Cervical abscess in the right jaw angle with extraoral plate exposure and chronic-purulent fistula: extraoral abscess incision. |
| February 2022: | Paramandibular abscess on the left: intraoral abscess incision. |
| July 2022: | Submandibular abscess on the left: extraoral abscess incision. |
| September 2022: | Partial mandibular resection from the left mandibular angle to the right mandible, including the right temporomandibular joint, CAD/CAM-guided reconstruction with a bilateral free scapula flap with skin island, and patient-specific plate. In the course:
|
| Date | Intervention |
|---|---|
| 2016: | Diagnosis of breast cancer with osseous metastasis. Mammectomy, adjuvant radiation, and intravenous bisphosphonate therapy with zoledronate 4 mg every 6 months (2016–January 2019). |
| 2019: | Extraction of the lower left canine and first premolar due to intraoral pus leakage by the general dentist. |
| January 2020: | Admission to hospital with MRONJ of the left mandible and recurrent fistulation/pus leakage. |
| April 2020: | Partial mandibular resection from the left to the right mandibular angle, CAD/CAM-assisted reconstruction using a free fibular graft and PSI, temporary tracheostomy. In the course: development of aspiration pneumonia treated with piperacillin and tazobactam 4.5 g for 8 days. |
| April 2021: | Placement of four dental implants in the neo-mandible for dental rehabilitation. |
| August 2021: | Surgical removal of the upper right incisor, smoothening of the bone, primary wound closure, perioperative antibiosis with ampicillin and sulbactam |
Disclaimer/Publisher’s Note: The statements, opinions and data contained in all publications are solely those of the individual author(s) and contributor(s) and not of MDPI and/or the editor(s). MDPI and/or the editor(s) disclaim responsibility for any injury to people or property resulting from any ideas, methods, instructions or products referred to in the content. |
© 2023 by the authors. Licensee MDPI, Basel, Switzerland. This article is an open access article distributed under the terms and conditions of the Creative Commons Attribution (CC BY) license (https://creativecommons.org/licenses/by/4.0/).
Share and Cite
Kasper, R.; Scheurer, M.; Pietzka, S.; Sakkas, A.; Schramm, A.; Wilde, F.; Ebeling, M. MRONJ of the Mandible—From Decortication to a Complex Jaw Reconstruction Using a CAD/CAM-Guided Bilateral Scapula Flap. Medicina 2023, 59, 535. https://doi.org/10.3390/medicina59030535
Kasper R, Scheurer M, Pietzka S, Sakkas A, Schramm A, Wilde F, Ebeling M. MRONJ of the Mandible—From Decortication to a Complex Jaw Reconstruction Using a CAD/CAM-Guided Bilateral Scapula Flap. Medicina. 2023; 59(3):535. https://doi.org/10.3390/medicina59030535
Chicago/Turabian StyleKasper, Robin, Mario Scheurer, Sebastian Pietzka, Andreas Sakkas, Alexander Schramm, Frank Wilde, and Marcel Ebeling. 2023. "MRONJ of the Mandible—From Decortication to a Complex Jaw Reconstruction Using a CAD/CAM-Guided Bilateral Scapula Flap" Medicina 59, no. 3: 535. https://doi.org/10.3390/medicina59030535
APA StyleKasper, R., Scheurer, M., Pietzka, S., Sakkas, A., Schramm, A., Wilde, F., & Ebeling, M. (2023). MRONJ of the Mandible—From Decortication to a Complex Jaw Reconstruction Using a CAD/CAM-Guided Bilateral Scapula Flap. Medicina, 59(3), 535. https://doi.org/10.3390/medicina59030535
