Correlation of INHBA Overexpression with Pathological Features, Antitumor Immune Response and Clinical Prognosis in Cervical Cancer
Abstract
1. Introduction
2. Materials and Methods
2.1. General Materials
2.2. Immunohistochemistry (IHC) [9]
2.3. Outcome Measures
2.4. Statistical Analysis
3. Results
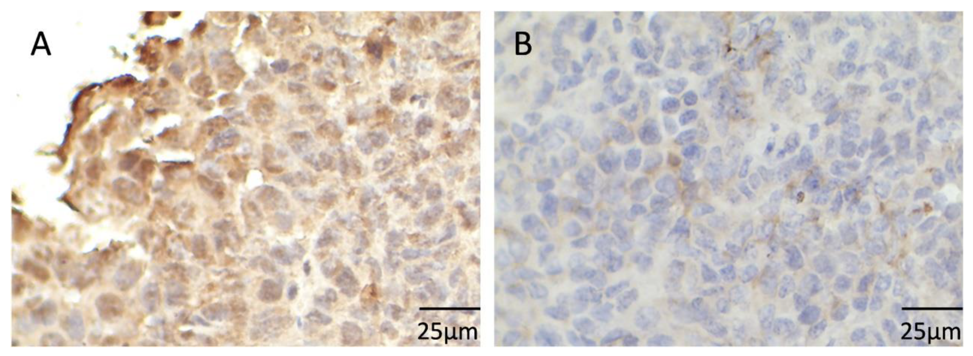
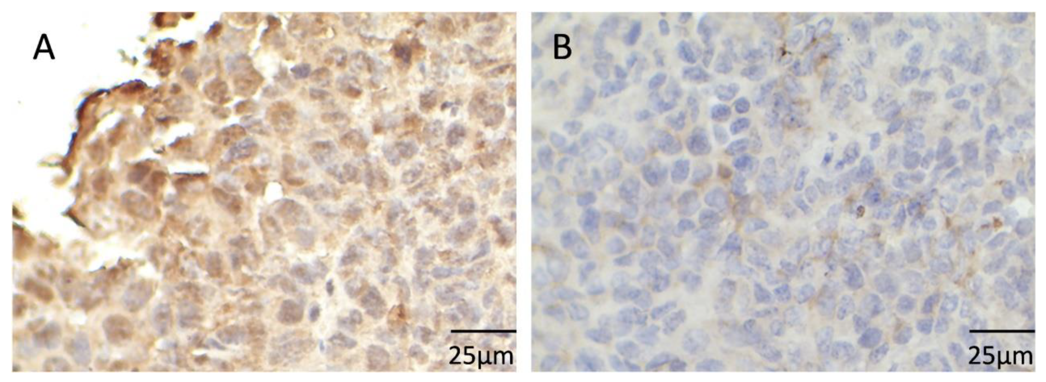
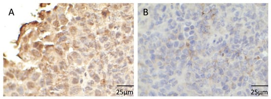
3.1. Detection of INHBA Expression in CC Tissues by IHC
3.2. The Relationship between Expression of INHBA and Clinicopathological Features in CC
3.3. The Relationship between INHBA Expression and the Anti-Tumor Immune Response in CC
3.4. The Relationship between INHBA Expression and Clinical Prognosis of CC
3.5. Univariate Analysis of Clinical Prognosis
3.6. Multivariate Analysis of Clinical Prognosis
4. Discussion
5. Conclusions
Author Contributions
Funding
Institutional Review Board Statement
Informed Consent Statement
Data Availability Statement
Conflicts of Interest
References
- Gaffney, D.K.; Hashibe, M.; Kepka, D.; Maurer, K.A.; Werner, T.L. Too many women are dying from cervix cancer: Problems and solutions. Gynecol. Oncol. 2018, 151, 547–554. [Google Scholar] [CrossRef] [PubMed]
- Beriwal, S.; Musunuru, H.; Pifer, P.; Mohindra, P.; Albuquerque, K. Advances in management of locally advanced cervical cancer. Indian J. Med. Res. 2022, 154, 248–261. [Google Scholar] [CrossRef] [PubMed]
- Kawagishi-Hotta, M.; Hasegawa, S.; Hasebe, Y.; Inoue, Y.; Okuno, R.; Arima, M.; Iwata, Y.; Sugiura, K.; Akamatsu, H. Increase in inhibin beta A/Activin-A expression in the human epidermis and the suppression of epidermal stem/progenitor cell proliferation with aging. J. Derm. Sci. 2022, 106, 150–158. [Google Scholar] [CrossRef] [PubMed]
- Liu, H.; Dai, W. Circular RNA 0000654 facilitates the growth of gastric cancer cells through absorbing microRNA-149-5p to up-regulate inhibin-beta A. Bioengineered 2022, 13, 469–480. [Google Scholar] [CrossRef] [PubMed]
- Tao, X.; Mei, J.; Huang, Y. Inhibin subunit beta A promotes cell proliferation and metastasis of breast cancer through Wnt/β-catenin signaling pathway. Bioengineered 2021, 12, 11567–11575. [Google Scholar] [CrossRef]
- Li, X.; Yang, Z.; Xu, S.; Wang, Z.; Jin, P.; Yang, X.; Zhang, Z.; Wang, Y.; Wei, X.; Fang, T.; et al. Targeting INHBA in Ovarian Cancer Cells Suppresses Cancer Xenograft Growth by Attenuating Stromal Fibroblast Activation. Dis. Markers 2019, 2019, 7275289. [Google Scholar] [CrossRef] [PubMed]
- Yu, Y.; Wang, W.; Lu, W.; Chen, W.; Shang, A. Inhibin β-A (INHBA) induces epithelial–mesenchymal transition and accelerates the motility of breast cancer cells by activating the TGF-β signaling pathway. Bioengineered 2021, 12, 4681–4696. [Google Scholar] [CrossRef]
- Listik, E.; Horst, B.; Choi, A.S.; Lee, N.Y.; Győrffy, B.; Mythreye, K. A bioinformatic analysis of the inhibin-betaglycan-endoglin/CD105 network reveals prognostic value in multiple solid tumors. PLoS ONE 2021, 16, e0249558. [Google Scholar] [CrossRef]
- Moreno, V.; Smith, E.A.; Piña-Oviedo, S. Fluorescent Immunohistochemistry. Methods Mol Biol. 2021, 2422, 131–146. [Google Scholar] [CrossRef]
- Li, C.; Hua, K. Dissecting the Single-Cell Transcriptome Network of Immune Environment Underlying Cervical Premalignant Lesion, Cervical Cancer and Metastatic Lymph Nodes. Front. Immunol. 2022, 13, 897366. [Google Scholar] [CrossRef]
- Peng, S.; Wang, J.; Hu, P.; Zhang, W.; Li, H.; Xu, L. INHBA knockdown inhibits proliferation and invasion of nasopharyngeal carcinoma SUNE1 cells in vitro. Int. J. Clin. Exp. Pathol. 2020, 13, 854–868. [Google Scholar] [PubMed]
- Chen, Z.; Qin, L.; Peng, X.; Hu, Y.; Liu, B. INHBA gene silencing inhibits gastric cancer cell migration and invasion by impeding activation of the TGF-β signaling pathway. J. Cell Physiol. 2019, 234, 18065–18074. [Google Scholar] [CrossRef] [PubMed]
- Li, X.; Yu, W.; Liang, C.; Xu, Y.; Zhang, M.; Ding, X.; Cai, X. INHBA is a prognostic predictor for patients with colon adenocarcinoma. BMC Cancer 2020, 20, 305. [Google Scholar] [CrossRef] [PubMed]
- Chen, S.; Gong, Y.; Shen, Y.; Liu, Y.; Fu, Y.; Dai, Y.; Rehman, A.U.; Tang, L.; Liu, H. INHBA is a novel mediator regulating cellular senescence and immune evasion in colorectal cancer. J. Cancer 2021, 12, 5938–5949. [Google Scholar] [CrossRef]
- De Benedetti, F.; Prencipe, G.; Bracaglia, C.; Marasco, E.; Grom, A.A. Targeting interferon-γ in hyperinflammation: Opportunities and challenges. Nat. Rev. Rheumatol. 2021, 17, 678–691. [Google Scholar] [CrossRef]
- Teng, F.; Cui, G.; Qian, L.; Zhao, L. Changes of T Lymphocyte Subsets in Peripheral Blood of Patients with Intermediate and Advanced Cervical Cancer before and after Nimotuzumab Combined with Chemoradiotherapy. Int. Arch. Allergy Immunol. 2022, 184, 85–97. [Google Scholar] [CrossRef]
- Alspach, E.; Lussier, D.M.; Schreiber, R.D. Interferon γ and Its Important Roles in Promoting and Inhibiting Spontaneous and Therapeutic Cancer Immunity. Cold Spring Harb. Perspect. Biol. 2019, 11, a028480. [Google Scholar] [CrossRef]
- Pol, J.G.; Caudana, P.; Paillet, J.; Piaggio, E.; Kroemer, G. Effects of interleukin-2 in immunostimulation and immunosuppression. J. Exp. Med. 2019, 217, e20191247. [Google Scholar] [CrossRef]
- Meng, J.; Song, J. Association between interleukin-2, interleukin-10, secretory immunoglobulin A and immunoglobulin G expression in vaginal fluid and human papilloma virus outcome in patients with cervical lesions. Oncol. Lett. 2019, 18, 5543–5548. [Google Scholar] [CrossRef]
- Duvlis, S.; Dabeski, D.; Noveski, P.; Ivkovski, L.; Plaseska-Karanfilska, D. Association of IL-10 (rs1800872) and IL-4R (rs1805010) polymorphisms with cervical intraepithelial lesions and cervical carcinomas. J. Buon. 2020, 25, 132–140. [Google Scholar]
- Staudacher, J.J.; Arnold, A.; Kühl, A.A.; Pötzsch, M.; Daum, S.; Winterfeld, M.; Berg, E.; Hummel, M.; Rau, B.; Stein, U.; et al. Prognostic impact of activin subunit inhibin beta A in gastric and esophageal adenocarcinomas. BMC Cancer 2022, 22, 953. [Google Scholar] [CrossRef] [PubMed]
- Zhang, S.; Jin, K.; Li, T.; Zhou, M.; Yang, W. Comprehensive analysis of INHBA: A biomarker for anti-TGFβ treatment in head and neck cancer. Exp. Biol. Med. 2022, 247, 1317–1329. [Google Scholar] [CrossRef]
- Marnitz, S.; Tsunoda, A.T.; Martus, P.; Vieira, M.; Junior, R.J.A.; Nunes, J.; Budach, V.; Hertel, H.; Mustea, A.; Sehouli, J.; et al. Surgical versus clinical staging prior to primary chemoradiation in patients with cervical cancer FIGO stages IIB–IVA: Oncologic results of a prospective randomized international multicenter (Uterus-11) intergroup study. Int. J. Gynecol. Cancer 2020, 30, 1855–1861. [Google Scholar] [CrossRef] [PubMed]
- Hu, S.; Li, S.; Teng, D.; Yan, Y.; Lin, H.; Liu, B.; Gao, Z.; Zhu, S.; Wang, Y.; Du, X. Analysis of risk factors and prognosis of 253 lymph node metastasis in colorectal cancer patients. BMC Surg. 2021, 21, 280. [Google Scholar] [CrossRef] [PubMed]
- Li, Z.; Zhang, W.; Luo, Z.; Huang, J.; Li, L. Clinical study of the clinical characteristics and prognosis of 1219 cases of endometrial cancer with lymph node metastasis. Hum. Exp. Toxicol. 2021, 40, 1601–1611. [Google Scholar] [CrossRef]




| Groups | Cases | INHBA | |
|---|---|---|---|
| Positive Expression | Negative Expression | ||
| CC tissues | 84 | 57 (67.86) | 27 (32.14) |
| Adjacent tissues | 84 | 24 (28.57) | 60 (71.43) |
| χ2 | 6.478 | ||
| p | 0.011 | ||
| Groups | Positive Expression (n = 57) | Negative Expression (n = 27) | χ2 | p | |
|---|---|---|---|---|---|
| Age (year) | <50 | 15 (26.32) | 6 (22.22) | 0.164 | 0.686 |
| ≥50 | 42 (73.68) | 21 (77.78) | |||
| Federation of Gynecology and Obstetrics (FIGO) stage (%) | Stage Ⅰ | 14 (24.56) | 14 (51.85) | 6.140 | 0.013 |
| Stage Ⅱ | 43 (75.44) | 13 (48.15) | |||
| Tumor size (cm) | ≤3 | 28 (49.12) | 10 (37.04) | 1.080 | 0.299 |
| >3 | 29 (50.88) | 17 (62.96) | |||
| Differentiation degree (%) | Low differentiation | 42 (73.68) | 13 (48.15) | 5.285 | 0.022 |
| Medium + high differentiation | 15 (26.32) | 14 (51.85) | |||
| Number of pregnancies (times) | ≤3 | 19 (33.33) | 8 (29.63) | 0.115 | 0.734 |
| >3 | 38 (66.67) | 19 (70.37) | |||
| Histological type (%) | Adenocarcinoma | 6 (10.53) | 2 (7.41) | 2.610 | 0.271 |
| Squamous cell carcinoma | 47 (82.46) | 20 (74.07) | |||
| Others | 4 (7.02) | 5 (18.52) | |||
| Depth of invasion (%) | T1 + T2 | 20 (35.09) | 12 (44.44) | 0.680 | 0.410 |
| T3 + T4 | 37 (64.91) | 15 (55.56) | |||
| Lymph node metastasis (%) | Yes | 38 (66.67) | 9 (33.33) | 8.260 | 0.004 |
| No | 19 (33.33) | 18 (66.67) |
| Groups | Cases | IFN-γ (pg/mL) | IL-10 (pg/mL) | TNF-α (pg/mL) | IL-2 (pg/mL) |
|---|---|---|---|---|---|
| Positive INHBA expression group | 57 | 54.45 ± 18.71 | 6.87 ± 1.05 | 145.05 ± 60.26 | 40.79 ± 13.16 |
| Negative INHBA expression group | 27 | 45.11 ± 10.36 | 5.03 ± 0.84 | 108.55 ± 51.49 | 31.51 ± 12.67 |
| t | 2.419 | 7.969 | 2.711 | 3.054 | |
| p | 0.018 | <0.001 | 0.009 | 0.003 |
| Factors | Good Prognosis Group (n = 47) | Poor Prognosis Group (n = 37) | χ2 | p | |
|---|---|---|---|---|---|
| Age (year) | <50 | 8 (17.02) | 13 (35.14) | 3.623 | 0.057 |
| ≥50 | 39 (82.98) | 24 (64.86) | |||
| FIGO stage (%) | Stage Ⅰ | 22 (46.81) | 6 (16.22) | 8.719 | 0.003 |
| Stage Ⅱ | 25 (53.19) | 31 (83.78) | |||
| Tumor size (cm) | ≤3 | 21 (44.68) | 17 (45.95) | 0.013 | 0.908 |
| >3 | 26 (55.32) | 20 (54.05) | |||
| Differentiation degree (%) | Low differentiation | 37 (78.72) | 18 (48.65) | 8.284 | 0.004 |
| Medium + high differentiation | 10 (21.28) | 19 (51.35) | |||
| Number of pregnancies (times) | ≤3 | 16 (34.04) | 11 (29.73) | 0.177 | 0.674 |
| >3 | 31 (65.96) | 26 (70.27) | |||
| Histological type (%) | Adenocarcinoma | 5 (10.64) | 3 (8.11) | 2.254 | 0.324 |
| Squamous cell carcinoma | 35 (74.47) | 32 (86.49) | |||
| Others | 7 (14.89) | 2 (5.41) | |||
| Depth of invasion (%) | T1 + T2 | 16 (34.04) | 16 (43.24) | 0.743 | 0.389 |
| T3 + T4 | 31 (65.96) | 21 (83.78) | |||
| Lymph node metastasis (%) | Yes | 13 (27.66) | 34 (91.89) | 34.657 | <0.001 |
| No | 34 (72.34) | 3 (8.11) | |||
| INHBA expression (%) | Positive | 38 (80.85) | 9 (24.32) | 8.260 | 0.004 |
| Negative | 9 (19.15) | 18 (48.65) |
| Indicators | B value | Standard Error | Wald Value | p Value | OR | 95%CI | |
|---|---|---|---|---|---|---|---|
| Lower limit | Upper limit | ||||||
| FIGO stage | 0.847 | 0.308 | 4.519 | 0.021 | 3.750 | 1.240 | 4.135 |
| Differentiation degree | 1.318 | 0.330 | 9.311 | 0.005 | 4.257 | 2.236 | 6.804 |
| Lymph node metastasis | 0.963 | 0.317 | 6.819 | 0.014 | 3.664 | 1.278 | 5.366 |
| Expression of INHBA | 1.565 | 0.271 | 11.853 | <0.001 | 5.158 | 2.754 | 7.905 |
Disclaimer/Publisher’s Note: The statements, opinions and data contained in all publications are solely those of the individual author(s) and contributor(s) and not of MDPI and/or the editor(s). MDPI and/or the editor(s) disclaim responsibility for any injury to people or property resulting from any ideas, methods, instructions or products referred to in the content. |
© 2023 by the authors. Licensee MDPI, Basel, Switzerland. This article is an open access article distributed under the terms and conditions of the Creative Commons Attribution (CC BY) license (https://creativecommons.org/licenses/by/4.0/).
Share and Cite
Zeng, L.; Sun, X. Correlation of INHBA Overexpression with Pathological Features, Antitumor Immune Response and Clinical Prognosis in Cervical Cancer. Medicina 2023, 59, 495. https://doi.org/10.3390/medicina59030495
Zeng L, Sun X. Correlation of INHBA Overexpression with Pathological Features, Antitumor Immune Response and Clinical Prognosis in Cervical Cancer. Medicina. 2023; 59(3):495. https://doi.org/10.3390/medicina59030495
Chicago/Turabian StyleZeng, Lin, and Xingwang Sun. 2023. "Correlation of INHBA Overexpression with Pathological Features, Antitumor Immune Response and Clinical Prognosis in Cervical Cancer" Medicina 59, no. 3: 495. https://doi.org/10.3390/medicina59030495
APA StyleZeng, L., & Sun, X. (2023). Correlation of INHBA Overexpression with Pathological Features, Antitumor Immune Response and Clinical Prognosis in Cervical Cancer. Medicina, 59(3), 495. https://doi.org/10.3390/medicina59030495
