Resveratrol Ameliorates Vancomycin-Induced Testicular Dysfunction in Male Rats
Abstract
1. Introduction
2. Material and Methods
2.1. Drugs
2.2. Animals
2.3. Experimental Design
2.4. Determination of Testosterone, Follicle Stimulating Hormone (FSH), and Luteinizing Hormone (LH) by ELISA
2.5. Determination of the Sperm Motility and Counts
2.6. Histological Examination
2.7. Statistical Analysis
3. Results
3.1. Body Weight
3.2. Testosterone, Follicle Stimulating Hormone, and Luteinizing Hormone in the Blood Levels
3.3. Sperm Motility and Counts
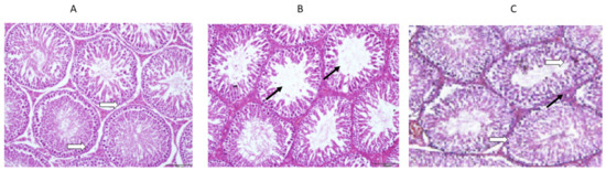
3.4. Histological Examinations of the Testicles
4. Discussion
5. Conclusions
Funding
Institutional Review Board Statement
Informed Consent Statement
Data Availability Statement
Conflicts of Interest
References
- Manson, J.M.; Zolna, L.E.; Kang, Y.J.; Johnson, C.M. Effects of cefonicid and other cephalosporin antibiotics on male sexual development in rats. Antimicrob. Agents Chemother. 1987, 31, 991–997. [Google Scholar] [CrossRef] [PubMed]
- Farombi, E.O.; Ugwuezunmba, M.C.; Ezenwadu, T.T.; Oyeyemi, M.O.; Ekor, M. Tetracycline-induced reproductive toxicity in male rats: Effects of vitamin C and N-acetylcysteine. Exp. Toxicol. Pathol. 2008, 60, 77–85. [Google Scholar] [CrossRef]
- Sakai, K.; Ideta-Otsuka, M.; Saito, H.; Hiradate, Y.; Hara, K.; Igarashi, K.; Tanemura, K. Effects of doxorubicin on sperm DNA methylation in mouse models of testicular toxicity. Biochem. Biophys. Res. Commun. 2018, 498, 674–679. [Google Scholar] [CrossRef] [PubMed]
- Karaman, M.; Budak, H.; Ciftci, M. Amoxicillin and gentamicin antibiotics treatment adversely influence the fertility and morphology through decreasing the Dazl gene expression level and increasing the oxidative stress. Arch. Physiol. Biochem. 2019, 125, 447–455. [Google Scholar] [CrossRef] [PubMed]
- Marsot, A.; Boulamery, A.; Bruguerolle, B.; Simon, N. Vancomycin: A review of population pharmacokinetic analyses. Clin. Pharmacokinet. 2012, 51, 1–13. [Google Scholar] [CrossRef]
- Appelbaum, P.C. The emergence of vancomycin-intermediate and vancomycin-resistant Staphylococcus aureus. Clin. Microbiol. Infect. 2006, 12 (Suppl. S1), 16–23. [Google Scholar] [CrossRef]
- Lodise, T.P.; Patel, N.; Lomaestro, B.M.; Rodvold, K.A.; Drusano, G.L. Relationship between initial vancomycin concentration-time profile and nephrotoxicity among hospitalized patients. Clin. Infect. Dis. 2009, 49, 507–514. [Google Scholar] [CrossRef]
- Bosso, J.A.; Nappi, J.; Rudisill, C.; Wellein, M.; Bookstaver, P.B.; Swindler, J.; Mauldin, P.D. Relationship between vancomycin trough concentrations and nephrotoxicity: A prospective multicenter trial. Antimicrob. Agents Chemother. 2011, 55, 5475–5479. [Google Scholar] [CrossRef]
- Van Hal, S.J.; Paterson, D.L.; Lodise, T.P. Systematic review and meta-analysis of vancomycin-induced nephrotoxicity associated with dosing schedules that maintain troughs between 15 and 20 milligrams per liter. Antimicrob. Agents Chemother. 2013, 57, 734–744. [Google Scholar] [CrossRef]
- Brunetti, L.; Song, J.H.; Suh, D.; Kim, H.J.; Seong, Y.H.; Lee, D.S.; Lee, S.M.; Suh, D.C. The risk of vancomycin toxicity in patients with liver impairment. Ann. Clin. Microbiol. Antimicrob. 2020, 19, 13. [Google Scholar] [CrossRef]
- Chu, Y.; Luo, Y.; Qu, L.; Zhao, C.; Jiang, M. Application of vancomycin in patients with varying renal function, especially those with augmented renal clearance. Pharm. Biol. 2016, 54, 2802–2806. [Google Scholar] [CrossRef] [PubMed]
- Abeer, M. The protective effect of some natural antioxidants against azithromycin induced testicular dysfunction in rats. Am. Int. J. Contemp. Sci. Res. 2015, 2, 39–40. [Google Scholar]
- Kim, S.H.; Lee, I.C.; Baek, H.S.; Shin, I.S.; Moon, C.; Kim, S.H.; Yun, W.K.; Nam, K.H.; Kim, H.C.; Kim, J.C. Melatonin prevents gentamicin-induced testicular toxicity and oxidative stress in rats. Andrologia 2014, 46, 1032–1040. [Google Scholar] [CrossRef] [PubMed]
- Mohamed, S.; ElHawary, N.; Mohamed, S.; Hashim, N.; Saleh, S.; Bakeer, M.; Sawiress, F. Effect of stem cell therapy on gentamicin induced testicular dysfunction in rats. J. Health Med. Inform. 2017, 8, 1000263. [Google Scholar]
- Tahri, A.; Ksouda, K.; Kallel, R.; Daoud, S.; Boudawara, T.; Zeghal, K.M.; Sahnoun, Z. A carbapenem antibiotic imipenem/cilastatin induces an oxidative stress-status and gonadotoxic effects in «wistar» rats. Biomed. Pharmacother. 2017, 95, 308–316. [Google Scholar] [CrossRef]
- Caglayan, C.; Taslimi, P.; Demir, Y.; Kucukler, S.; Kandemir, F.M.; Gulcin, I. The effects of zingerone against vancomycin-induced lung, liver, kidney and testis toxicity in rats: The behavior of some metabolic enzymes. J. Biochem. Mol. Toxicol. 2019, 33, e22381. [Google Scholar] [CrossRef]
- Naidu, E.C.S.; Olojede, S.O.; Lawal, S.K.; Peter, A.I.; Akang, E.A.; Azu, O.O. Effects of vancomycin linoleic acid nanoparticles on male reproductive indices of Sprague-Dawley rats. Artif. Cells Nanomed. Biotechnol. 2021, 49, 587–595. [Google Scholar] [CrossRef]
- Yu, P.; Luo, J.; Song, H.; Qian, T.; He, X.; Fang, J.; Dong, W.; Bian, X. N-acetylcysteine Ameliorates Vancomycin-induced Nephrotoxicity by Inhibiting Oxidative Stress and Apoptosis in the in vivo and in vitro Models. Int. J. Med. Sci. 2022, 19, 740–752. [Google Scholar] [CrossRef]
- Zhou, P.; Xia, D.; Xia, Y.; Zhang, H.; Wang, Y.; Tang, T.; Xu, S. Synergistic effect of vancomycin and l-homocarnosine alleviates Staphylococcus aureus-induced osteomyelitis in rats. Biomed. Pharmacother. 2019, 111, 31–35. [Google Scholar] [CrossRef]
- Beauchamp, D.; Pellerin, M.; Gourde, P.; Pettigrew, M.; Bergeron, M.G. Effects of daptomycin and vancomycin on tobramycin nephrotoxicity in rats. Antimicrob. Agents Chemother. 1990, 34, 139–147. [Google Scholar] [CrossRef]
- Nishino, Y.; Takemura, S.; Minamiyama, Y.; Hirohashi, K.; Tanaka, H.; Inoue, M.; Okada, S.; Kinoshita, H. Inhibition of vancomycin-induced nephrotoxicity by targeting superoxide dismutase to renal proximal tubule cells in the rat. Redox Rep. 2002, 7, 317–319. [Google Scholar] [CrossRef]
- Guthrie, H.D.; Welch, G.R. Effects of reactive oxygen species on sperm function. Theriogenology 2012, 78, 1700–1708. [Google Scholar] [CrossRef] [PubMed]
- Sanocka, D.; Kurpisz, M. Reactive oxygen species and sperm cells. Reprod. Biol. Endocrinol. 2004, 2, 12. [Google Scholar] [CrossRef] [PubMed]
- Jang, M.; Cai, L.; Udeani, G.O.; Slowing, K.V.; Thomas, C.F.; Beecher, C.W.; Fong, H.H.; Farnsworth, N.R.; Kinghorn, A.D.; Mehta, R.G.; et al. Cancer chemopreventive activity of resveratrol, a natural product derived from grapes. Science 1997, 275, 218–220. [Google Scholar] [CrossRef] [PubMed]
- Bradamante, S.; Barenghi, L.; Villa, A. Cardiovascular protective effects of resveratrol. Cardiovasc. Drug Rev. 2004, 22, 169–188. [Google Scholar] [CrossRef]
- Sinha, K.; Chaudhary, G.; Gupta, Y.K. Protective effect of resveratrol against oxidative stress in middle cerebral artery occlusion model of stroke in rats. Life Sci. 2002, 71, 655–665. [Google Scholar] [CrossRef]
- Marques, F.Z.; Markus, M.A.; Morris, B.J. Resveratrol: Cellular actions of a potent natural chemical that confers a diversity of health benefits. Int. J. Biochem. Cell Biol. 2009, 41, 2125–2128. [Google Scholar] [CrossRef]
- Konyalioglu, S.; Armagan, G.; Yalcin, A.; Atalayin, C.; Dagci, T. Effects of resveratrol on hydrogen peroxide-induced oxidative stress in embryonic neural stem cells. Neural Regen. Res. 2013, 8, 485–495. [Google Scholar] [CrossRef]
- Means, J.C.; Gerdes, B.C.; Koulen, P. Distinct Mechanisms Underlying Resveratrol-Mediated Protection from Types of Cellular Stress in C6 Glioma Cells. Int. J. Mol. Sci. 2017, 18, 1521. [Google Scholar] [CrossRef]
- Gülçin, İ. Antioxidant properties of resveratrol: A structure–activity insight. Innov. Food Sci. Emerg. Technol. 2010, 11, 210–218. [Google Scholar] [CrossRef]
- Papuc, C.; Goran, G.V.; Predescu, C.N.; Nicorescu, V.; Stefan, G. Plant Polyphenols as Antioxidant and Antibacterial Agents for Shelf-Life Extension of Meat and Meat Products: Classification, Structures, Sources, and Action Mechanisms. Compr. Rev. Food Sci. Food Saf. 2017, 16, 1243–1268. [Google Scholar] [CrossRef]
- Juan, M.E.l.; González-Pons, E.; Munuera, T.; Ballester, J.; Rodríguez-Gil, J.E.; Planas, J.M. trans-Resveratrol, a natural antioxidant from grapes, increases sperm output in healthy rats. J. Nutr. 2005, 135, 757–760. [Google Scholar] [CrossRef] [PubMed]
- Ourique, G.M.; Finamor, I.A.; Saccol, E.M.; Riffel, A.P.; Pes, T.S.; Gutierrez, K.; Goncalves, P.B.; Baldisserotto, B.; Pavanato, M.A.; Barreto, K.P. Resveratrol Improves Sperm Motility, Prevents Lipid Peroxidation and Enhances Antioxidant Defences in the Testes of Hyperthyroid Rats. Reprod Toxicol 2013, 37, 31–39. [Google Scholar] [CrossRef] [PubMed]
- Aitken, S.; Roman, S. Antioxidative system and oxidative stress in the testis. In Molecular Mechanisms in Spermatogenesis; Cheng, C.Y., Ed.; Landes Bioscience: New York, NY, USA, 2008. [Google Scholar]
- Najafi, M.; Cheki, M.; Amini, P.; Javadi, A.; Shabeeb, D.; Musa, A.E. Evaluating the protective effect of resveratrol, Q10, and alpha-lipoic acid on radiation-induced mice spermatogenesis injury: A histopathological study. Int. J. Reprod. BioMedicine 2019, 17, 907. [Google Scholar] [CrossRef] [PubMed]
- Quiles, J.L.; Huertas, J.R.; Battino, M.; Mataix, J.; Ramirez-Tortosa, M.C. Antioxidant nutrients and adriamycin toxicity. Toxicology 2002, 180, 79–95. [Google Scholar] [CrossRef]
- Kalender, Y.; Yel, M.; Kalender, S. Doxorubicin hepatotoxicity and hepatic free radical metabolism in rats. The effects of vitamin E and catechin. Toxicology 2005, 209, 39–45. [Google Scholar] [CrossRef]
- Prabhakar, O. Cerebroprotective effect of resveratrol through antioxidant and anti-inflammatory effects in diabetic rats. Naunyn-Schmiedeberg’s Arch. Pharmacol. 2013, 386, 705–710. [Google Scholar] [CrossRef]
- Fathy, S.M.; Abdelkader, I.Y. Effect of resveratrol on the inflammatory status and oxidative stress in thymus gland and spleen of sulfoxaflor-treated rats. Environ. Toxicol. 2021, 36, 1326–1337. [Google Scholar] [CrossRef]
- Al-Baqami, N.M.; Hamza, R.Z. Protective effect of resveratrol against hepatotoxicity of cadmium in male rats: Antioxidant and histopathological approaches. Coatings 2021, 11, 594. [Google Scholar] [CrossRef]
- He, J.; Xu, W.; Zheng, X.; Zhao, B.; Ni, T.; Yu, P.; Deng, S.; Pan, X.; Chen, E.; Mao, E. Vitamin C reduces vancomycin-related nephrotoxicity through the inhibition of oxidative stress, apoptosis, and inflammation in mice. Ann. Transl. Med. 2021, 9, 1319. [Google Scholar] [CrossRef]
- Güzel, S.; Şahinoğullari, Z.U.; Canacankatan, N.; Antmen, Ş.E.; Kibar, D.; Bayrak, G. The ameliorating effect of silymarin against vancomycin-induced apoptosis and inflammation in rat liver. J. Res. Pharm. 2019, 23, 719–728. [Google Scholar] [CrossRef]
- Kandemir, Ö.; AKSU, E.H. The effects of vancomycin on sperm motility and testicular inflammation in rats. Vet. Sci. Pract. 2022, 17, 41–44. [Google Scholar] [CrossRef]
- Zemjanis, R. Diagnostic and therapeutic techniques in animal reproduction. In Diagnostic and Therapeutic Techniques in Animal Reproduction; The Williams & Wilkins Co.: Baltimore, MD, USA, 1970. [Google Scholar]
- Timermans, A.; Vazquez, R.; Otero, F.; Gosalvez, J.; Johnston, S.; Fernandez, J.L. Antibiotic toxicity on human spermatozoa assessed using the sperm DNA fragmentation dynamic assay. Andrologia 2022, 54, e14328. [Google Scholar] [CrossRef] [PubMed]
- Cong, Y.; Yang, S.; Rao, X. Vancomycin resistant Staphylococcus aureus infections: A review of case updating and clinical features. J. Adv. Res. 2020, 21, 169–176. [Google Scholar] [CrossRef] [PubMed]
- Sharpe, R.M.; Maddocks, S.; Millar, M.; Kerr, J.B.; Saunders, P.T.; McKinnell, C. Testosterone and spermatogenesis. Identification of stage-specific, androgen-regulated proteins secreted by adult rat seminiferous tubules. J. Androl. 1992, 13, 172–184. [Google Scholar] [CrossRef] [PubMed]
- Walker, W.H. Molecular mechanisms of testosterone action in spermatogenesis. Steroids 2009, 74, 602–607. [Google Scholar] [CrossRef] [PubMed]
- Walker, W.H. Testosterone signaling and the regulation of spermatogenesis. Spermatogenesis 2011, 1, 116–120. [Google Scholar] [CrossRef]
- Bellos, I.; Daskalakis, G.; Pergialiotis, V. Relationship of vancomycin trough levels with acute kidney injury risk: An exposure-toxicity meta-analysis. J. Antimicrob. Chemother. 2020, 75, 2725–2734. [Google Scholar] [CrossRef] [PubMed]
- Zamoner, W.; Prado, I.R.S.; Balbi, A.L.; Ponce, D. Vancomycin dosing, monitoring and toxicity: Critical review of the clinical practice. Clin. Exp. Pharmacol. Physiol. 2019, 46, 292–301. [Google Scholar] [CrossRef]
- Qu, S.; Dai, C.; Lang, F.; Hu, L.; Tang, Q.; Wang, H.; Zhang, Y.; Hao, Z. Rutin Attenuates Vancomycin-Induced Nephrotoxicity by Ameliorating Oxidative Stress, Apoptosis, and Inflammation in Rats. Antimicrob. Agents Chemother. 2019, 63, e01545-18. [Google Scholar] [CrossRef]
- Aly, H. Testicular toxicity of gentamicin in adult rats: Ameliorative effect of lycopene. Hum. Exp. Toxicol. 2019, 38, 1302–1313. [Google Scholar] [CrossRef] [PubMed]
- Aly, H.A.; Hassan, M.H. Potential testicular toxicity of gentamicin in adult rats. Biochem. Biophys. Res. Commun. 2018, 497, 362–367. [Google Scholar] [CrossRef] [PubMed]
- Kreider, K.E. Anatomy and Physiology of the Hypothalamic-Piuitary Axis. In Advanced Practice in Endocrinology Nursing; Springer: Cham, Switzerland, 2019; pp. 231–243. [Google Scholar]
- Oduwole, O.O.; Huhtaniemi, I.T.; Misrahi, M. The Roles of Luteinizing Hormone, Follicle-Stimulating Hormone and Testosterone in Spermatogenesis and Folliculogenesis Revisited. Int. J. Mol. Sci. 2021, 22, 12735. [Google Scholar] [CrossRef] [PubMed]
- Wang, J.M.; Li, Z.F.; Yang, W.X.; Tan, F.Q. Follicle-stimulating hormone signaling in Sertoli cells: A licence to the early stages of spermatogenesis. Reprod. Biol. Endocrinol. 2022, 20, 97. [Google Scholar] [CrossRef] [PubMed]
- Keskin, M.; Budak, S.; Zeyrek, T.; Çelik, O.; Mertoglu, O.; Yoldas, M.; Ilbey, Y. The relationship between serum hormone levels (follicle-stimulating hormone, luteinizing hormone, total testosterone) and semen parameters. Arch. Ital. Urol. Androl. 2015, 87, 194. [Google Scholar] [CrossRef] [PubMed]
- Oduwole, O.O.; Peltoketo, H.; Huhtaniemi, I.T. Role of Follicle-Stimulating Hormone in Spermatogenesis. Front. Endocrinol. 2018, 9, 763. [Google Scholar] [CrossRef]
- Tian, B.; Liu, J. Resveratrol: A review of plant sources, synthesis, stability, modification and food application. J. Sci. Food Agric. 2020, 100, 1392–1404. [Google Scholar] [CrossRef]
- Rao, Y.L.; Ganaraja, B.; Joy, T.; Pai, M.M.; Ullal, S.D.; Murlimanju, B.V. Neuroprotective effects of resveratrol in Alzheimer’s disease. Front. Biosci. Elite 2020, 12, 139–149. [Google Scholar]
- Jeyaraman, M.M.; Al-Yousif, N.S.; Mann, A.S.; Dolinsky, V.W.; Rabbani, R.; Zarychanski, R.; Abou-Setta, A.M. Resveratrol for adults with type 2 diabetes mellitus. Cochrane Database Syst. Rev. 2020, 2020, CD011919. [Google Scholar] [CrossRef]
- Dyck, G.J.; Raj, P.; Zieroth, S.; Dyck, J.R.; Ezekowitz, J.A. The effects of resveratrol in patients with cardiovascular disease and heart failure: A narrative review. Int. J. Mol. Sci. 2019, 20, 904. [Google Scholar] [CrossRef]
- Tosatti, J.A.G.; Fontes, A.F.d.S.; Caramelli, P.; Gomes, K.B. Effects of resveratrol supplementation on the cognitive function of patients with Alzheimer’s disease: A systematic review of randomized controlled trials. Drugs Aging 2022, 39, 285–295. [Google Scholar] [CrossRef] [PubMed]
- Carter, L.G.; D’Orazio, J.A.; Pearson, K.J. Resveratrol and cancer: Focus on in vivo evidence. Endocr. Relat. Cancer 2014, 21, R209–R225. [Google Scholar] [CrossRef] [PubMed]
- Baur, J.A.; Sinclair, D.A. Therapeutic potential of resveratrol: The in vivo evidence. Nat. Rev. Drug Discov. 2006, 5, 493–506. [Google Scholar] [CrossRef] [PubMed]
- Yulug, E.; Turedi, S.; Alver, A.; Turedi, S.; Kahraman, C. Effects of resveratrol on methotrexate-induced testicular damage in rats. Sci. World J. 2013, 2013, 489659. [Google Scholar] [CrossRef]
- Reddy, K.P.; Madhu, P.; Reddy, P.S. Protective effects of resveratrol against cisplatin-induced testicular and epididymal toxicity in rats. Food Chem. Toxicol. 2016, 91, 65–72. [Google Scholar] [CrossRef]
- Leonard, S.S.; Xia, C.; Jiang, B.H.; Stinefelt, B.; Klandorf, H.; Harris, G.K.; Shi, X. Resveratrol scavenges reactive oxygen species and effects radical-induced cellular responses. Biochem. Biophys. Res. Commun. 2003, 309, 1017–1026. [Google Scholar] [CrossRef]
- Wu, C.; Zhang, Y.; Shen, Q.; Zhou, Z.; Liu, W.; Hua, J. Resveratrol changes spermatogonial stem cells (SSCs) activity and ameliorates their loss in busulfan-induced infertile mouse. Oncotarget 2016, 7, 82085. [Google Scholar] [CrossRef]
- Uguralp, S.; Usta, U.; Mizrak, B. Resveratrol may reduce apoptosis of rat testicular germ cells after experimental testicular torsion. Eur. J. Pediatr. Surg. 2005, 15, 333–336. [Google Scholar] [CrossRef]
- Revel, A.; Raanani, H.; Younglai, E.; Xu, J.; Rogers, I.; Han, R.; Savouret, J.F.; Casper, R.F. Resveratrol, a natural aryl hydrocarbon receptor antagonist, protects lung from DNA damage and apoptosis caused by benzo[a]pyrene. J. Appl. Toxicol. 2003, 23, 255–261. [Google Scholar] [CrossRef]
- Pasquariello, R.; Verdile, N.; Brevini, T.A.L.; Gandolfi, F.; Boiti, C.; Zerani, M.; Maranesi, M. The Role of Resveratrol in Mammalian Reproduction. Molecules 2020, 25, 4554. [Google Scholar] [CrossRef]







| Group | Treatment |
|---|---|
| Control | Normal saline |
| Vancomycin | 200 mg/kg, i.p for seven days |
| Vancomycin and resveratrol | Vancomycin 200 mg/kg (i.p) and 20 mg/kg resveratrol (oral gavage), for seven days |
Disclaimer/Publisher’s Note: The statements, opinions and data contained in all publications are solely those of the individual author(s) and contributor(s) and not of MDPI and/or the editor(s). MDPI and/or the editor(s) disclaim responsibility for any injury to people or property resulting from any ideas, methods, instructions or products referred to in the content. |
© 2023 by the author. Licensee MDPI, Basel, Switzerland. This article is an open access article distributed under the terms and conditions of the Creative Commons Attribution (CC BY) license (https://creativecommons.org/licenses/by/4.0/).
Share and Cite
Alshehri, F.S. Resveratrol Ameliorates Vancomycin-Induced Testicular Dysfunction in Male Rats. Medicina 2023, 59, 486. https://doi.org/10.3390/medicina59030486
Alshehri FS. Resveratrol Ameliorates Vancomycin-Induced Testicular Dysfunction in Male Rats. Medicina. 2023; 59(3):486. https://doi.org/10.3390/medicina59030486
Chicago/Turabian StyleAlshehri, Fahad S. 2023. "Resveratrol Ameliorates Vancomycin-Induced Testicular Dysfunction in Male Rats" Medicina 59, no. 3: 486. https://doi.org/10.3390/medicina59030486
APA StyleAlshehri, F. S. (2023). Resveratrol Ameliorates Vancomycin-Induced Testicular Dysfunction in Male Rats. Medicina, 59(3), 486. https://doi.org/10.3390/medicina59030486

