Femoral Anteversion Measured by the Surgical Transepicondylar Axis Is Correlated with the Tibial Tubercle–Roman Arch Distance in Patients with Lateral Patellar Dislocation
Abstract
1. Introduction
2. Materials and Methods
2.1. Study Population
2.2. Computed Tomography Technique
2.3. Radiological Assessment
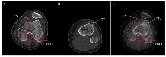
2.4. Measurements
2.4.1. Femoral Anteversion
2.4.2. Trochlear Dysplasia
2.4.3. TT-RA Distance
2.4.4. Knee Joint Rotation and Patellar Height
2.4.5. Coronal Malalignment
2.5. Statistical Analysis
3. Results
4. Discussion
5. Conclusions
Supplementary Materials
Author Contributions
Funding
Institutional Review Board Statement
Informed Consent Statement
Data Availability Statement
Conflicts of Interest
References
- Song, Y.F.; Wang, H.J.; Yan, X.; Yuan, F.Z.; Xu, B.B.; Chen, Y.R.; Ye, J.; Fan, B.S.; Yu, J.K. Tibial Tubercle Osteotomy May not Provide Additional Benefit in Treating Patellar Dislocation with Increased Tibial Tuberosity-Trochlear Groove Distance: A Systematic Review. Arthroscopy 2021, 37, 1670–1679.e1671. [Google Scholar] [CrossRef] [PubMed]
- Levy, B.J.; Tanaka, M.J.; Fulkerson, J.P. Current Concepts Regarding Patellofemoral Trochlear Dysplasia. Am. J. Sports. Med. 2021, 49, 1642–1650. [Google Scholar] [CrossRef] [PubMed]
- Yang, G.; Dai, Y.; Dong, C.; Kang, H.; Niu, J.; Lin, W.; Wang, F. Distal femoral morphological dysplasia is correlated with increased femoral torsion in patients with trochlear dysplasia and patellar instability. Bone Jt. J. 2020, 102-b, 868–873. [Google Scholar] [CrossRef] [PubMed]
- Xu, Z.; Zhang, H.; Chen, J.; Mohamed, S.I.; Zhou, A. Femoral Anteversion is Related to Tibial Tubercle-Trochlear Groove Distance in Patients with Patellar Dislocation. Arthroscopy 2020, 36, 1114–1120. [Google Scholar] [CrossRef] [PubMed]
- Noonan, B.; Cooper, T.; Chau, M.; Albersheim, M.; Arendt, E.A.; Tompkins, M. Rotational Deformity-When and How to Address Femoral Anteversion and Tibial Torsion. Clin. Sports Med. 2022, 41, 27–46. [Google Scholar] [CrossRef] [PubMed]
- Franciozi, C.E.; Ambra, L.F.; Albertoni, L.J.B.; Debieux, P.; Granata, G.S.M., Jr.; Kubota, M.S.; Carneiro, M.; Abdalla, R.J.; Luzo, M.V.M.; Cohen, M. Anteromedial Tibial Tubercle Osteotomy Improves Results of Medial Patellofemoral Ligament Reconstruction for Recurrent Patellar Instability in Patients With Tibial Tuberosity-Trochlear Groove Distance of 17 to 20 mm. Arthroscopy 2019, 35, 566–574. [Google Scholar] [CrossRef] [PubMed]
- Tian, G.; Yang, G.; Zuo, L.; Li, F.; Wang, F. Femoral derotation osteotomy for recurrent patellar dislocation. Arch. Orthop. Trauma. Surg. 2020, 140, 2077–2084. [Google Scholar] [CrossRef]
- D’Ambrosi, R.; Meena, A.; Raj, A.; Ursino, N.; Hewett, T.E. Anterior Knee Pain: State of the Art. Sports Med. Open. 2022, 8, 98. [Google Scholar] [CrossRef]
- Chen, J.; Yin, B.; Yao, J.; Zhou, Y.; Zhang, H.; Zhang, J.; Zhou, A. Femoral anteversion measured by the surgical transepicondylar axis is a reliable parameter for evaluating femoral rotational deformities in patients with patellar dislocation. Knee Surg. Sports Traumatol. Arthrosc. 2022, 1–9. [Google Scholar] [CrossRef]
- Xu, Z.; Zhang, H.; Fu, B.; Mohamed, S.I.; Zhang, J.; Zhou, A. Tibial Tubercle-Roman Arch Distance: A New Measurement of Patellar Dislocation and Indication of Tibial Tubercle Osteotomy. Orthop. J. Sports Med. 2020, 8, 2325967120914872. [Google Scholar] [CrossRef]
- Xu, C.; Cui, Z.; Yan, L.; Chen, Z.; Wang, F. Anatomical Components Associated With Increased Tibial Tuberosity-Trochlear Groove Distance. Orthop. J. Sports Med. 2022, 10, 23259671221113841. [Google Scholar] [CrossRef] [PubMed]
- Prakash, J.; Seon, J.K.; Ahn, H.W.; Cho, K.J.; Im, C.J.; Song, E.K. Factors Affecting Tibial Tuberosity-Trochlear Groove Distance in Recurrent Patellar Dislocation. Clin. Orthop. Surg. 2018, 10, 420–426. [Google Scholar] [CrossRef] [PubMed]
- Dickschas, J.; Harrer, J.; Bayer, T.; Schwitulla, J.; Strecker, W. Correlation of the tibial tuberosity-trochlear groove distance with the Q-angle. Knee Surg. Sports Traumatol. Arthrosc. 2016, 24, 915–920. [Google Scholar] [CrossRef]
- Ferlic, P.W.; Runer, A.; Seeber, C.; Thöni, M.; Seitlinger, G.; Liebensteiner, M.C. Segmental torsion assessment is a reliable method for in-depth analysis of femoral alignment in Computer Tomography. Int. Orthop. 2018, 42, 1227–1231. [Google Scholar] [CrossRef]
- Chen, J.; Huang, X.; Xu, Z.; Zhang, H.; Zhou, A.; Zhao, P.; Yin, L. Ipsilateral patellofemoral morphological abnormalities are more severe than those of contralateral joints in patients with unilateral patellar dislocation. Knee Surg. Sports Traumatol. Arthrosc. 2021, 29, 2709–2716. [Google Scholar] [CrossRef] [PubMed]
- Paiva, M.; Blønd, L.; Hölmich, P.; Steensen, R.N.; Diederichs, G.; Feller, J.A.; Barfod, K.W. Quality assessment of radiological measurements of trochlear dysplasia; a literature review. Knee Surg. Sports Traumatol. Arthrosc. 2018, 26, 746–755. [Google Scholar] [CrossRef] [PubMed]
- Lin, K.M.; James, E.W.; Aitchison, A.H.; Schlichte, L.M.; Wang, G.; Green, D.W. Increased tibiofemoral rotation on MRI with increasing clinical severity of patellar instability. Knee Surg. Sports Traumatol. Arthrosc. 2021, 29, 3735–3742. [Google Scholar] [CrossRef]
- Verhulst, F.V.; van Sambeeck, J.D.P.; Olthuis, G.S.; van der Ree, J.; Koëter, S. Patellar height measurements: Insall-Salvati ratio is most reliable method. Knee Surg. Sports Traumatol. Arthrosc. 2020, 28, 869–875. [Google Scholar] [CrossRef]
- Chen, J.; Li, X.; Xu, Z.; Yang, H.; Zhang, H.; Zhang, J.; Zhou, A. Tibial tubercle-Roman arch (TT-RA) distance is superior to tibial tubercle-trochlear groove (TT-TG) distance when evaluating coronal malalignment in patients with knee osteoarthritis. Eur. Radiol. 2022, 32, 8404–8413. [Google Scholar] [CrossRef]
- Zhang, Z.; Zhang, H.; Song, G.; Zheng, T.; Ni, Q.; Feng, H. Increased femoral anteversion is associated with inferior clinical outcomes after MPFL reconstruction and combined tibial tubercle osteotomy for the treatment of recurrent patellar instability. Knee Surg. Sports Traumatol. Arthrosc. 2020, 28, 2261–2269. [Google Scholar] [CrossRef]
- Diederichs, G.; Köhlitz, T.; Kornaropoulos, E.; Heller, M.O.; Vollnberg, B.; Scheffler, S. Magnetic resonance imaging analysis of rotational alignment in patients with patellar dislocations. Am. J. Sports Med. 2013, 41, 51–57. [Google Scholar] [CrossRef] [PubMed]
- Kaiser, P.; Schmoelz, W.; Schöttle, P.B.; Heinrichs, C.; Zwierzina, M.; Attal, R. Isolated medial patellofemoral ligament reconstruction for patella instability is insufficient for higher degrees of internal femoral torsion. Knee Surg. Sports Traumatol. Arthrosc. 2019, 27, 758–765. [Google Scholar] [CrossRef] [PubMed]
- Andrish, J. The management of recurrent patellar dislocation. Orthop. Clin. N. Am. 2008, 39, 313–327. [Google Scholar] [CrossRef] [PubMed]
- Liu, X.; Ji, G.; Wang, X.; Kang, H.; Wang, F. CT-based morphological analysis of the posterior femoral condyle in patients with trochlear dysplasia. Knee 2017, 24, 231–236. [Google Scholar] [CrossRef]
- Xu, Z.; Zhang, H.; Yan, W.; Qiu, M.; Zhang, J.; Zhou, A. Validating the Role of Tibial Tubercle-Posterior Cruciate Ligament Distance and Tibial Tubercle-Trochlear Groove Distance Measured by Magnetic Resonance Imaging in Patients with Patellar Dislocation: A Diagnostic Study. Arthroscopy 2021, 37, 234–242. [Google Scholar] [CrossRef] [PubMed]
- Havey, R.; Schaver, A.L.; Meyer, A.M.; Duchman, K.R.; Westermann, R. Assessment of Femoral Version Should be Assessed Independently of Conventional Measures in Patellofemoral Instability. Iowa. Orthop. J. 2021, 41, 77–81. [Google Scholar]
- Hochreiter, B.; Hirschmann, M.T.; Amsler, F.; Behrend, H. Highly variable tibial tubercle-trochlear groove distance (TT-TG) in osteoarthritic knees should be considered when performing TKA. Knee Surg. Sports Traumatol. Arthrosc. 2019, 27, 1403–1409. [Google Scholar] [CrossRef]
- Cao, Y.; Zhang, Z.; Shen, J.; Song, G.; Ni, Q.; Li, Y.; Zheng, T.; Zhang, H. Derotational distal femoral osteotomy yields satisfactory clinical outcomes in pathological femoral rotation with failed medial patellofemoral ligament reconstruction. Knee Surg. Sports Traumatol. Arthrosc. 2022, 30, 1809–1817. [Google Scholar] [CrossRef]
- Kaiser, P.; Konschake, M.; Loth, F.; Plaikner, M.; Attal, R.; Liebensteiner, M.; Schlumberger, M. Derotational femoral osteotomy changes patella tilt, patella engagement and tibial tuberosity trochlear groove distance. Knee Surg. Sports Traumatol. Arthrosc. 2020, 28, 926–933. [Google Scholar] [CrossRef]
- Liebensteiner, M.C.; Ressler, J.; Seitlinger, G.; Djurdjevic, T.; El Attal, R.; Ferlic, P.W. High Femoral Anteversion Is Related to Femoral Trochlea Dysplasia. Arthroscopy 2016, 32, 2295–2299. [Google Scholar] [CrossRef]
- Gillespie, D.; Mandziak, D.; Howie, C. Influence of posterior lateral femoral condyle geometry on patellar dislocation. Arch. Orthop. Trauma Surg. 2015, 135, 1503–1509. [Google Scholar] [CrossRef] [PubMed]
- Li, C.; Ye, Y.; He, S.; Xu, D.; He, P. High femoral anteversion in osteoarthritic knees, particularly for severe valgus deformity. J. Orthop. Traumatol. 2022, 23, 38. [Google Scholar] [CrossRef] [PubMed]
- Eberbach, H.; Mehl, J.; Feucht, M.J.; Bode, G.; Südkamp, N.P.; Niemeyer, P. Geometry of the Valgus Knee: Contradicting the Dogma of a Femoral-Based Deformity. Am. J. Sports Med. 2017, 45, 909–914. [Google Scholar] [CrossRef] [PubMed]
- Nelitz, M.; Dreyhaupt, J.; Williams, S.R.; Dornacher, D. Combined supracondylar femoral derotation osteotomy and patellofemoral ligament reconstruction for recurrent patellar dislocation and severe femoral anteversion syndrome: Surgical technique and clinical outcome. Int. Orthop. 2015, 39, 2355–2362. [Google Scholar] [CrossRef]
- Geraghty, L.; Zordan, R.; Walker, P.; Chao, T.W.; Talbot, S. Patellar dislocation is associated with increased tibial but not femoral rotational asymmetry. Knee Surg Sports Traumatol. Arthrosc. 2022, 30, 2342–2351. [Google Scholar] [CrossRef] [PubMed]






| Variables | |
|---|---|
| Number of patients, n | 72 |
| Sex, (Female/Male), n | 57/15 |
| Age, mean ± SD, y | 21.9 ± 8.4 |
| Side of knee, n | |
| Left | 35 |
| Right | 37 |
| Dejour classification, n | |
| A/B/C/D | 8/15/27/22 |
| Observer 1 | Observer 2 | ICC | 95% CI | |
|---|---|---|---|---|
| Femoral torsion | ||||
| S-tAV, ° | 15.4 ± 8.0 | 16.5 ± 7.3 | 0.985 | 0.976, 0.990 |
| P-tAV, ° | 19.6 ± 7.5 | 20.2 ± 6.8 | 0.985 | 0.977, 0.991 |
| S-dAV, ° | 10.4 ± 4.2 | 10.6 ± 3.9 | 0.939 | 0.906, 0.961 |
| P-dAV, ° | 16.5 ± 3.9 | 17.0 ± 3.5 | 0.930 | 0.892, 0.955 |
| TT-RA distance, mm | 19.8 ± 3.7 | 20.1 ± 3.7 | 0.857 | 0.784, 0.907 |
| Dejour classification, n a (A/B/C/D) | 7/14/29/22 | 8/14/25/25 | 0.774 | 0.678, 0.871 |
| LTI, ° | 10.3 ± 5.7 | 10.5 ± 5.1 | 0.945 | 0.914, 0.964 |
| Knee joint rotation, ° | 8.0 ± 4.4 | 8.4 ± 4.3 | 0.957 | 0.933, 0.972 |
| Patellar height | 1.30 ± 0.17 | 1.28 ± 0.13 | 0.882 | 0.820, 0.923 |
| HKA angle, ° | 1.8 ± 2.1 | 2.0 ± 2.0 | 0.971 | 0.955, 0.981 |
| TT-RA Distance | Dejour Classification a | LTI | Knee Joint Rotation | Patellar Height | HKA Angle a | |
|---|---|---|---|---|---|---|
| S-tAV | 0.360 ** | 0.132 | 0.032 | −0.060 | 0.215 | 0.319 ** |
| P-tAV | 0.229 | 0.164 | −0.091 | 0.091 | 0.242 * | 0.270 * |
| S-dAV | 0.122 | −0.123 | 0.022 | −0.180 | −0.105 | 0.125 |
| P-dAV | 0.051 | −0.068 | 0.057 | −0.241 | 0.004 | 0.255 * |
| TT-RA ≥ 26 mm (n = 31) | TT-RA < 26 mm (n = 41) | p Value | |
|---|---|---|---|
| Sex (female, n) | 24 | 33 | 0.751 a |
| Age, y | 22.5 ± 9.4 | 21.5 ± 7.5 | 0.601 |
| Femoral torsion | |||
| S-tAV, ° | 19.0 ± 7.8 | 13.1 ± 6.8 | 0.001 |
| P-tAV, ° | 21.2 ± 7.8 | 18.1 ± 6.1 | 0.055 |
| S-dAV, ° | 11.0 ± 4.3 | 10.1 ± 3.3 | 0.339 |
| P-dAV, ° | 16.9 ± 3.7 | 16.4 ±3.0 | 0.776 |
| TT-RA distance, mm | 28.0 ± 2.0 | 22.3 ± 1.8 | <0.001 |
| Dejour classification, n (A/B/C/D) | 5/5/11/10 | 3/10/16/12 | 0.589 a |
| LTI, ° | 10.0 ± 4.5 | 10.4 ± 5.0 | 0.789 |
| Knee joint rotation, ° | 8.2 ± 4.0 | 8.3 ± 4.8 | 0.974 |
| Patellar height | 1.28 ± 0.14 | 1.30 ± 0.15 | 0.671 |
| HKA angle, ° | 0.678 b | ||
| Median | 1.7 | 2.0 | |
| IQR | 2.1 (0.7–2.8) | 1.9 (1.2–3.1) |
Disclaimer/Publisher’s Note: The statements, opinions and data contained in all publications are solely those of the individual author(s) and contributor(s) and not of MDPI and/or the editor(s). MDPI and/or the editor(s) disclaim responsibility for any injury to people or property resulting from any ideas, methods, instructions or products referred to in the content. |
© 2023 by the authors. Licensee MDPI, Basel, Switzerland. This article is an open access article distributed under the terms and conditions of the Creative Commons Attribution (CC BY) license (https://creativecommons.org/licenses/by/4.0/).
Share and Cite
Chen, J.; Chen, F.; Fan, L.; Liu, S.; Feng, Y.; Li, Q.; Zhang, J.; Quan, Z.; Zhou, A. Femoral Anteversion Measured by the Surgical Transepicondylar Axis Is Correlated with the Tibial Tubercle–Roman Arch Distance in Patients with Lateral Patellar Dislocation. Medicina 2023, 59, 382. https://doi.org/10.3390/medicina59020382
Chen J, Chen F, Fan L, Liu S, Feng Y, Li Q, Zhang J, Quan Z, Zhou A. Femoral Anteversion Measured by the Surgical Transepicondylar Axis Is Correlated with the Tibial Tubercle–Roman Arch Distance in Patients with Lateral Patellar Dislocation. Medicina. 2023; 59(2):382. https://doi.org/10.3390/medicina59020382
Chicago/Turabian StyleChen, Jiaxing, Fuling Chen, Lin Fan, Sizhu Liu, Yi Feng, Qiaochu Li, Jian Zhang, Zhengxue Quan, and Aiguo Zhou. 2023. "Femoral Anteversion Measured by the Surgical Transepicondylar Axis Is Correlated with the Tibial Tubercle–Roman Arch Distance in Patients with Lateral Patellar Dislocation" Medicina 59, no. 2: 382. https://doi.org/10.3390/medicina59020382
APA StyleChen, J., Chen, F., Fan, L., Liu, S., Feng, Y., Li, Q., Zhang, J., Quan, Z., & Zhou, A. (2023). Femoral Anteversion Measured by the Surgical Transepicondylar Axis Is Correlated with the Tibial Tubercle–Roman Arch Distance in Patients with Lateral Patellar Dislocation. Medicina, 59(2), 382. https://doi.org/10.3390/medicina59020382

