A Comparative Clinical Study of Lateral Lumbar Interbody Fusion between Patients with Multiply Operated Back and Patients with First-Time Surgery
Abstract
:1. Introduction
2. Materials and Methods
2.1. Surgical Procedures
2.2. Data Analysis
2.3. Statistical Analysis
3. Results
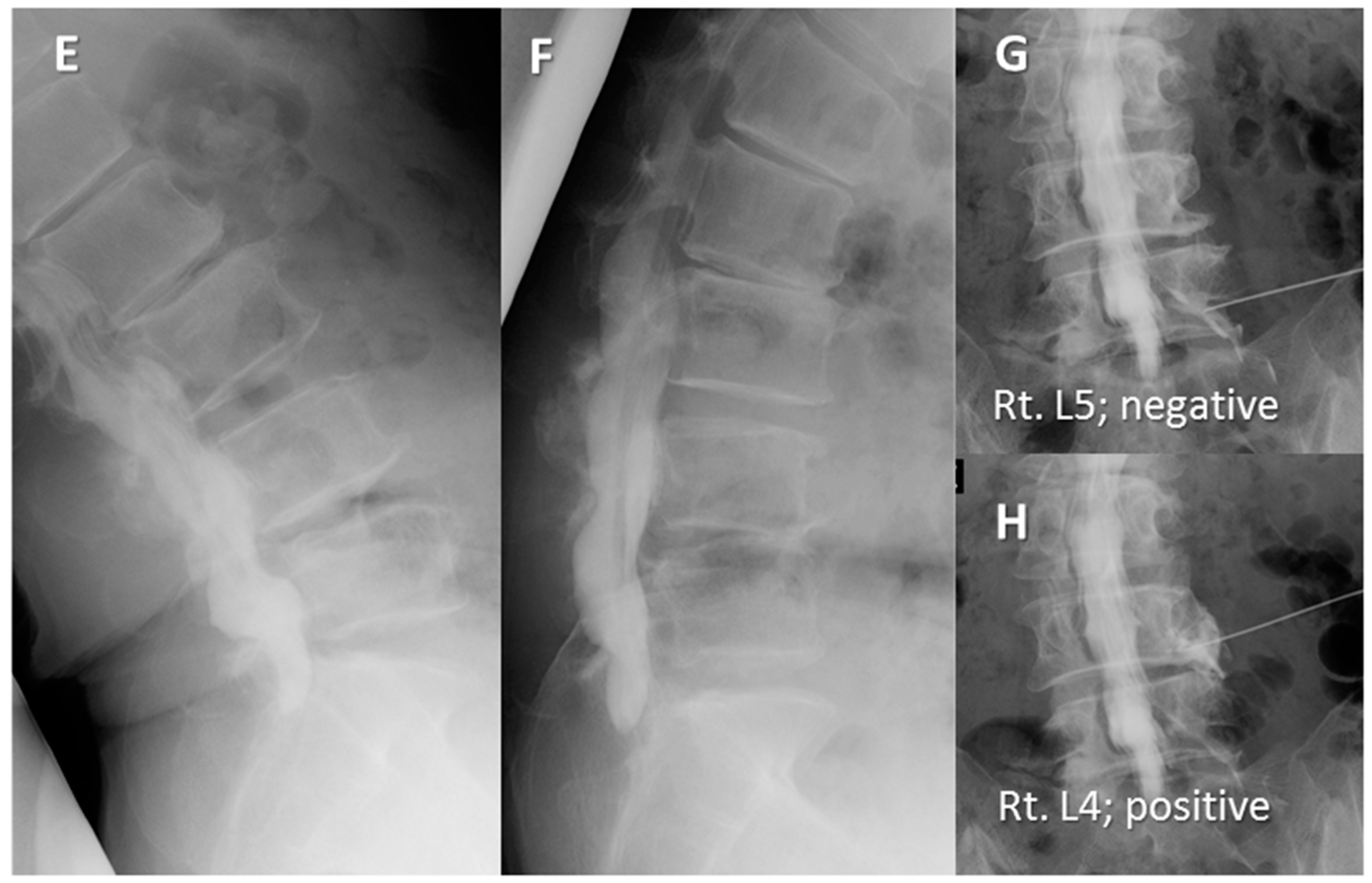
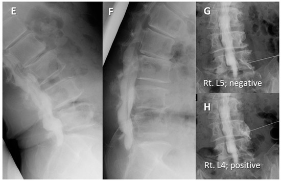
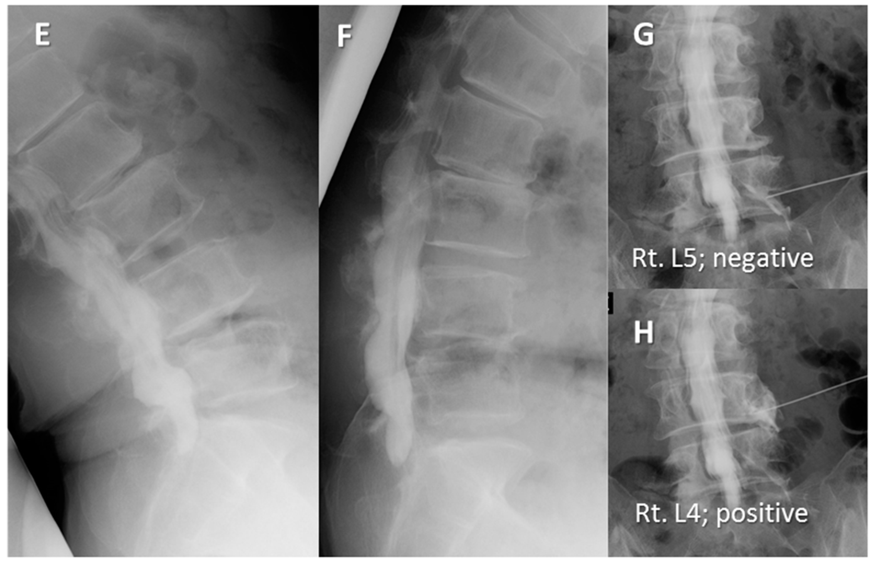
Case Presentations
4. Discussion
5. Conclusions
Author Contributions
Funding
Institutional Review Board Statement
Informed Consent Statement
Data Availability Statement
Conflicts of Interest
References
- Chan, C.W.; Peng, P. Failed back surgery syndrome. Pain Med. 2011, 12, 577–606. [Google Scholar] [CrossRef] [PubMed]
- Duggal, N.; Mendiondo, I.; Pares, H.R.; Jhawar, B.S.; Das, K.; Kenny, K.J.; Dickman, C.A. Anterior lumbar interbody fusion for treatment of failed back surgery syndrome: An outcome analysis. Neurosurgery 2004, 54, 636–644. [Google Scholar] [CrossRef]
- Finnegan, W.J.; Fenlin, J.M.; Marvel, J.P.; Nardini, R.J.; Rothman, R.H. Results of surgical intervention in the symptomatic multiply-operated back patient. Analysis of sixty-seven cases followed for three to seven years. J. Bone Jt. Surg. 1979, 61, 1077–1082. [Google Scholar] [CrossRef]
- Hirsch, C.; Nachemson, A. The reliability of lumbar disc surgery. Clin. Orthop. 1963, 29, 189–195. [Google Scholar]
- Law, J.D.; Lehman, R.A.; Kirsch, W.M. Reoperation after lumbar intervertebral disc surgery. J. Neurosurg 1978, 48, 259–263. [Google Scholar] [CrossRef] [PubMed]
- North, R.B.; Campbell, J.N.; James, C.S.; Conover-Walker, M.K.; Wang, H.; Piantadosi, S.; Rybock, J.D.; Long, D.M. Failed back surgery syndrome: 5-year follow-up in 102 patients undergoing repeated operation. Neurosurgery 1991, 28, 685–690. [Google Scholar] [CrossRef] [PubMed]
- Weir, B.K.A.; Jacobs, G.A. Reoperation rate following lumbar discectomy: Analysis of 662 lumbar discectomies. Spine 1980, 5, 366–370. [Google Scholar] [CrossRef]
- Rao, P.J.; Loganathan, A.; Yeung, V.; Mobbs, R.J. Outcomes of anterior lumbar interbody fusion surgery based on indication: A prospective study. Neurosurgery 2015, 76, 7–24. [Google Scholar] [CrossRef]
- Stauffer, R.N.; Coventry, M.B. A rational approach to failures of lumbar disc surgery: The orthopedist’s approach. Orthop. Clin. North Am. 1971, 2, 533–542. [Google Scholar] [CrossRef]
- Ozgur, B.M.; Aryan, H.E.; Pimenta, L.; Taylor, W.R. Extreme Lateral Interbody Fusion (XLIF): A novel surgical technique for anterior lumbar interbody fusion. Spine J. 2006, 6, 435–443. [Google Scholar] [CrossRef]
- Pimenta, L. Lateral endoscopic transpsoas retroperitoneal approach for lumbar spine surgery. In Proceedings of the VIII Brazilian Spine Society Meeting, Belo Horizonte, Brazil, 4 May 2001. [Google Scholar]
- Graham, R.B.; Wong, A.P.; Liu, J.C. Minimally invasive lateral transpsoas approach to the lumbar spine: Pitfalls and complication avoidance. Neurosurg. Clin. N. Am. 2014, 25, 219–231. [Google Scholar]
- Houten, J.K.; Alexandre, L.C.; Nasser, R.; Wollowick, A.L. Nerve injury during the transpsoas approach for lumbar fusion: Report of 2 cases. J. Neurosurg. Spine 2011, 15, 280–284. [Google Scholar] [CrossRef] [PubMed]
- Futakawa, H.; Nogami, S.; Seki, S.; Kawaguchi, Y.; Nakano, M. Evaluation of Triggered Electromyogram Monitoring during Insertion of Percutaneous Pedicle Screws. J. Clin. Med. 2022, 11, 1197. [Google Scholar] [CrossRef]
- Yoshida, K.; Sekiguchi, M.; Otani, K.; Kikuchi, S.I.; Konno, S.I.; Mashiko, H.; Shiota, H.; ichi Niwa, S.; Wakita, T. A validation study of the Brief Scale for Psychiatric problems in Orthopaedic Patients (BS-POP) for patients with chronic low back pain (verification of reliability, validity, and reproducibility). J. Orthop. Sci. 2011, 16, 7–13. [Google Scholar] [CrossRef]
- Fukui, M.; Chiba, K.; Kawakami, M.; Kikuchi, S.; Konno, S.; Miyamoto, M.; Seichi, A.; Shimamura, T.; Shirado, O.; Taguchi , T.; et al. Subcommittee of the clinical outcome committee of the Japanese orthopaedic association on low back pain and cervical myelopathy evaluation. JOA back pain evaluation questionnaire (JOABPEQ)/JOA cervical myelopathy evaluation questionnaire (JOACMEQ). The report on the development of revised versions. April 16, 2007. The subcommittee of the clinical outcome committee of the Japanese orthopaedic association on low back pain and cervical myelopathy evaluation. J. Orthop. Sci. 2009, 14, 348–365. [Google Scholar]
- Ishii, K.; Arizono, T.; Hachiya, Y.; Hoshino, M.; Kotani, Y.; Nakanishi, K.; Saito, T.; Sato, K.; Shinohara, A.; Tanaka, M.; et al. Minimally invasive spine stabilization. Bone Jt. Nerve 2014, 4, 541–545. [Google Scholar]
- Ishii, K.; Watanabe, G.; Tomita, T.; Nikaido, T.; Hikata, T.; Shinohara, A.; Nakano, M.; Saito, T.; Nakanishi, K.; Morimoto, T.; et al. Minimally Invasive Spinal Treatment (MIST)—A New Concept in the Treatment of Spinal Diseases: A Narrative Review. Medicina 2022, 58, 1123. [Google Scholar] [CrossRef]
- Foley, K.; Holly, L.; Schwender, J. Minimally invasive lumbar fusion. Spine 2003, 28, S26–S35. [Google Scholar] [CrossRef]
- Khoo, L.T.; Palmer, S.; Laich, D.T.; Fessler, R.G. Minimally invasive percutaneous posterior lumbar interbody fusion. Neurosurgery 2002, 51, S166–S181. [Google Scholar] [CrossRef]
- Mayer, H.M. A new microsurgical technique for minimally invasive anterior lumbar interbody fusion. Spine 1997, 22, 691–699, discussion 700. [Google Scholar] [CrossRef]
- Silvestre, C.; Mac-Thiong, J.M.; Hilimi, R.; Roussouly, P. Complications and morbidities of mini-open anterior retroperitoneal lumbar interbody fusion: Oblique lumbar interbody fusion in 197 patients. Asian Spine J. 2012, 6, 89–97. [Google Scholar] [CrossRef]
- Capener, N. Spondylolisthesis. Br. J. Surg. 1932, 19, 374–386. [Google Scholar] [CrossRef]
- Ito, H.; Tsuchiya, J.; Asami, G. A new radical operation for Pott’s disease: Report on ten cases. J. Bone Jt. Surg. 1934, 16, 499–515. [Google Scholar]
- Hodgson, A.R.; Stock, F.E.; Fang, H.S.Y.; Ong, G.B. Anterior spinal fusion the operative approach and pathological findings in 412 patients with Pott’s disease of the spine. Br. J. Surg. 1960, 48, 172–178. [Google Scholar] [CrossRef] [PubMed]
- Brau, S.A. Mini-open approach to the spine for anterior lumbar interbody fusion: Description of the procedure, results and complication. Spine J. 2002, 2, 216–223. [Google Scholar] [CrossRef]
- Berjano, P.; Lamartina, C. Far lateral approaches (XLIF) in adult scoliosis. Eur. Spine J. 2013, 22, S242–S253. [Google Scholar] [CrossRef]
- Joseph, J.R.; Smith, B.W.; La Marca, F.; Park, P. Comparison of complication rates of minimally invasive transforaminal lumbar interbody fusion and lateral lumbar interbody fusion: A systematic review of the literature. Neurosurg. Focus 2015, 39, E4. [Google Scholar] [CrossRef]
- Sembrano, J.N.; Tohmeh, A.; Isaacs, R. SOLAS Degenerative Study Group. Two-year comparative outcomes of MIS lateral and MIS transforaminal interbody fusion in the treatment of degenerative spondylolisthesis: Part I. clinical findings. Spine 2016, 41, S123–S132. [Google Scholar]
- Lin, G.X.; Akbary, K.; Kotheeranurak, V.; Quillo-Olvera, J.; Jo, H.J.; Yang, A.W.; Mahatthanatrakul, A.; Kim, J.S. Clinical and radiologic outcomes of direct versus indirect decompression with lumbar interbody fusion: A matched-pair comparison analysis. World Neurosurg. 2018, 119, e898–e909. [Google Scholar] [CrossRef]
- Nikaido, T.; Konno, S. Usefulness of Lateral Lumbar Interbody Fusion Combined with Indirect Decompression for Degenerative Lumbar Spondylolisthesis: A Systematic Review. Medicina 2022, 58, 492. [Google Scholar] [CrossRef]







| MOB Group | F Group | p-Value | |
|---|---|---|---|
| Patient number | 20 | 35 | |
| Average age at Surgery | 71.4 ± 6.9 (56–83) | 67.7 ± 10.1 (34–83) | 0.221 |
| Gender (Male:Female) | 12:8 | 19:16 | 0.681 |
| Average number of the fixed intervertebral disc {the proportion of cases in which L5/S1 fixation was added; %} | 2.0 (1–3) {25%} | 2.0 (1–4) {26%} | 0.875 {0.447} |
| Disorders | Degenerative Spondylolisthesis: 7 * Degenerative Scoliosis: 9 * Degenerative Kypo-scoliosis: 5 | Degenerative Spondylolisthesis: 13 Degenerative Scoliosis: 17 Degenerative Kypo-scoliosis: 7 | |
| BS-POP | 17.1 ± 2.7 (11–22) | 17.3 ± 3.9 (10–26) | 0.823 |
| Modic type I or II vertebral endplate degeneration | 5 (25%) | 12 (34%) | 0.799 |
| Mean preoperative angle of lumbar lordosis (degree) | 30.4 ± 11.8 | 30.2 ± 17.7 | 0.709 |
| Mean preoperative sagittal vertebral axis (mm) | 54.6 ± 46.6 | 56.3 ± 44.3 | 0.808 |
| Preoperative JOABPEQ score (Pts) | 36.3 ± 31.2 | 35.4 ± 34.9 | 0.941 |
| Preoperative JOA score (Pts) | 12.4 ± 2.9 | 11.6 ± 3.4 | 0.407 |
| MOB Group | F Group | p-Value | |
|---|---|---|---|
| Average follow-up period (month) | 53 (24–96) | 55 (24–84) | 0.861 |
| Average operation time (min) | 251 (135–420) | 253 (110–430) | 0.830 |
| Average estimated blood loss (ml) | 101 (10–350) | 118 (10–400) | 0.464 |
| Complications | |||
| Major complication | 0 | 0 | |
| Revision surgery | 0 | 1 (2.9%) * | |
| Minor complications | 3 (15 %) | 3 (8.6%) | |
| Superficial surgical site infection | 1 (5%) ** | 0 | |
| Transient LE pain, numbness, and/or weakness | 1 (5%) | 2 (5.7%) | |
| ALL rupture | 0 | 1 (2.9%) | |
| Pseudarthrosis (all cases at L5/S1 level) | 1 (5%) | 1 (2.9%)* |
Disclaimer/Publisher’s Note: The statements, opinions and data contained in all publications are solely those of the individual author(s) and contributor(s) and not of MDPI and/or the editor(s). MDPI and/or the editor(s) disclaim responsibility for any injury to people or property resulting from any ideas, methods, instructions or products referred to in the content. |
© 2023 by the authors. Licensee MDPI, Basel, Switzerland. This article is an open access article distributed under the terms and conditions of the Creative Commons Attribution (CC BY) license (https://creativecommons.org/licenses/by/4.0/).
Share and Cite
Nakano, M.; Futakawa, H.; Nogami, S.; Kondo, M.; Imai, T.; Kawaguchi, Y. A Comparative Clinical Study of Lateral Lumbar Interbody Fusion between Patients with Multiply Operated Back and Patients with First-Time Surgery. Medicina 2023, 59, 342. https://doi.org/10.3390/medicina59020342
Nakano M, Futakawa H, Nogami S, Kondo M, Imai T, Kawaguchi Y. A Comparative Clinical Study of Lateral Lumbar Interbody Fusion between Patients with Multiply Operated Back and Patients with First-Time Surgery. Medicina. 2023; 59(2):342. https://doi.org/10.3390/medicina59020342
Chicago/Turabian StyleNakano, Masato, Hayato Futakawa, Shigeharu Nogami, Miho Kondo, Tatsuro Imai, and Yoshiharu Kawaguchi. 2023. "A Comparative Clinical Study of Lateral Lumbar Interbody Fusion between Patients with Multiply Operated Back and Patients with First-Time Surgery" Medicina 59, no. 2: 342. https://doi.org/10.3390/medicina59020342
APA StyleNakano, M., Futakawa, H., Nogami, S., Kondo, M., Imai, T., & Kawaguchi, Y. (2023). A Comparative Clinical Study of Lateral Lumbar Interbody Fusion between Patients with Multiply Operated Back and Patients with First-Time Surgery. Medicina, 59(2), 342. https://doi.org/10.3390/medicina59020342

