Two Cases of Lymph Node Metastasis Found in Differentiated, Small-Sized Gastric Adenocarcinomas: Did Tumor Budding Play a Critical Role?
Abstract
:1. Introduction
2. Case Presentation
2.1. Case 1
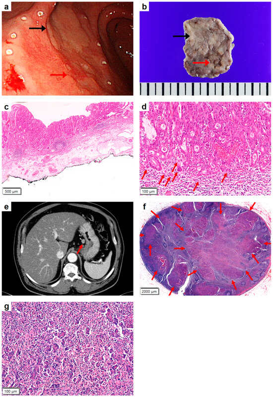
2.2. Case 2
3. Discussion
4. Conclusions
Author Contributions
Funding
Institutional Review Board Statement
Informed Consent Statement
Data Availability Statement
Acknowledgments
Conflicts of Interest
References
- Japanese Gastric Cancer Association. Japanese Gastric Cancer Treatment Guidelines 2021 (6th edition). Gastric Cancer 2023, 26, 1–25. [Google Scholar] [CrossRef] [PubMed]
- Lordick, F.; Carneiro, F.; Cascinu, S.; Fleitas, T.; Haustermans, K.; Piessen, G.; Vogel, A.; Smyth, E.C.; ESMO Guidelines Committee. Gastric cancer: ESMO Clinical Practice Guideline for diagnosis, treatment and follow-up. Ann. Oncol. 2022, 33, 1005–1020. [Google Scholar] [CrossRef] [PubMed]
- Du, M.; Chen, L.; Cheng, Y.; Wang, Y.; Fan, X.; Zhang, Y.; Zhou, X.; Guo, L.; Xu, G.; Zou, X.; et al. Tumor Budding and Other Risk Factors of Lymph Node Metastasis in Submucosal Early Gastric Carcinoma: A Multicenter Clinicopathologic Study in 621 Radical Gastrectomies of Chinese Patients. Am. J. Surg. Pathol. 2019, 43, 1074–1082. [Google Scholar] [CrossRef] [PubMed]
- Nakajima, T.; Oda, I.; Gotoda, T.; Hamanaka, H.; Eguchi, T.; Yokoi, C.; Saito, D. Metachronous gastric cancers after endoscopic resection: How effective is annual endoscopic surveillance? Gastric Cancer 2006, 9, 93–98. [Google Scholar] [CrossRef] [PubMed]
- Gotoda, T.; Sasako, M.; Ono, H.; Katai, H.; Sano, T.; Shimoda, T. Evaluation of the necessity for gastrectomy with lymph node dissection for patients with submucosal invasive gastric cancer. Br. J. Surg. 2001, 88, 444–449. [Google Scholar] [CrossRef]
- Japanese Gastric Cancer Association. Japanese gastric cancer treatment guidelines 2018 (5th edition). Gastric Cancer 2021, 24, 1–21. [Google Scholar] [CrossRef] [PubMed]
- Hatta, W.; Gotoda, T.; Oyama, T.; Kawata, N.; Takahashi, A.; Yoshifuku, Y.; Hoteya, S.; Nakagawa, M.; Hirano, M.; Esaki, M.; et al. A Scoring System to Stratify Curability after Endoscopic Submucosal Dissection for Early Gastric Cancer: “eCura system”. Am. J. Gastroenterol. 2017, 112, 874–881. [Google Scholar] [CrossRef]
- Takizawa, K.; Hatta, W.; Gotoda, T.; Kawata, N.; Nakagawa, M.; Takahashi, A.; Esaki, M.; Mitoro, A.; Yamada, S.; Tanaka, K.; et al. Recurrence Patterns and Outcomes of Salvage Surgery in Cases of Non-Curative Endoscopic Submucosal Dissection without Additional Radical Surgery for Early Gastric Cancer. Digestion 2019, 99, 52–58. [Google Scholar] [CrossRef]
- Lugli, A.; Zlobec, I.; Berger, M.D.; Kirsch, R.; Nagtegaal, I.D. Tumour budding in solid cancers. Nat. Rev. Clin. Oncol. 2021, 18, 101–115. [Google Scholar] [CrossRef]
- Gulluoglu, M.; Yegen, G.; Ozluk, Y.; Keskin, M.; Dogan, S.; Gundogdu, G.; Onder, S.; Balik, E. Tumor Budding Is Independently Predictive for Lymph Node Involvement in Early Gastric Cancer. Int. J. Surg. Pathol. 2015, 23, 349–358. [Google Scholar] [CrossRef]
- Guo, Y.X.; Zhang, Z.Z.; Zhao, G.; Zhao, E.H. Prognostic and pathological impact of tumor budding in gastric cancer: A systematic review and meta-analysis. World. J. Gastrointest. Oncol. 2019, 11, 898–908. [Google Scholar] [CrossRef] [PubMed]
- Kemi, N.; Eskuri, M.; Ikalainen, J.; Karttunen, T.J.; Kauppila, J.H. Tumor Budding and Prognosis in Gastric Adenocarcinoma. Am. J. Surg. Pathol. 2019, 43, 229–234. [Google Scholar] [CrossRef] [PubMed]
- Olsen, S.; Jin, L.; Fields, R.C.; Yan, Y.; Nalbantoglu, I. Tumor budding in intestinal-type gastric adenocarcinoma is associated with nodal metastasis and recurrence. Hum. Pathol. 2017, 68, 26–33. [Google Scholar] [CrossRef] [PubMed]
- Tanaka, K.; Shimura, T.; Kitajima, T.; Kondo, S.; Ide, S.; Okugawa, Y.; Saigusa, S.; Toiyama, Y.; Inoue, Y.; Araki, T.; et al. Tropomyosin-related receptor kinase B at the invasive front and tumour cell dedifferentiation in gastric cancer. Br. J. Cancer 2014, 110, 2923–2934. [Google Scholar] [CrossRef] [PubMed]
- Ulase, D.; Heckl, S.; Behrens, H.M.; Kruger, S.; Rocken, C. Prognostic significance of tumour budding assessed in gastric carcinoma according to the criteria of the International Tumour Budding Consensus Conference. Histopathology 2020, 76, 433–446. [Google Scholar] [CrossRef] [PubMed]
- Yim, K.; Jang, W.M.; Lee, S.H. Modified Tumor Budding as a Better Predictor of Lymph Node Metastasis in Early Gastric Cancer: Possible Real-World Applications. Cancers 2021, 13, 3405. [Google Scholar] [CrossRef] [PubMed]
- Lee, S.; Choi, K.D.; Hong, S.M.; Park, S.H.; Gong, E.J.; Na, H.K.; Ahn, J.Y.; Jung, K.W.; Lee, J.H.; Kim, D.H.; et al. Pattern of extragastric recurrence and the role of abdominal computed tomography in surveillance after endoscopic resection of early gastric cancer: Korean experiences. Gastric Cancer 2017, 20, 843–852. [Google Scholar] [CrossRef] [PubMed]
- Min, B.H.; Kim, E.R.; Kim, K.M.; Park, C.K.; Lee, J.H.; Rhee, P.L.; Kim, J.J. Surveillance strategy based on the incidence and patterns of recurrence after curative endoscopic submucosal dissection for early gastric cancer. Endoscopy 2015, 47, 784–793. [Google Scholar]
- Oda, I.; Oyama, T.; Abe, S.; Ohnita, K.; Kosaka, T.; Hirasawa, K.; Ishido, K.; Nakagawa, M.; Takahashi, S. Preliminary results of multicenter questionnaire study on long-term outcomes of curative endoscopic submucosal dissection for early gastric cancer. Dig. Endosc. 2014, 26, 214–219. [Google Scholar] [CrossRef]
- Fujii, H.; Ishii, E.; Tochitani, S.; Nakaji, S.; Hirata, N.; Kusanagi, H.; Narita, M. Lymph node metastasis after endoscopic submucosal dissection of a differentiated gastric cancer confined to the mucosa with an ulcer smaller than 30 mm. Dig. Endosc. 2015, 27, 159–161. [Google Scholar] [CrossRef]
- Hanaoka, N.; Tanabe, S.; Higuchi, K.; Sasaki, T.; Nakatani, K.; Ishido, K.; Ae, T.; Koizumi, W.; Saigenji, K.; Mikami, T. A rare case of histologically mixed-type intramucosal gastric cancer accompanied by nodal recurrence and liver metastasis after endoscopic submucosal dissection. Gastrointest. Endosc. 2009, 69, 588–590. [Google Scholar] [CrossRef] [PubMed]
- Kamiya, A.; Katai, H.; Ishizu, K.; Wada, T.; Hayashi, T.; Otsuki, S.; Yamagata, Y.; Yoshikawa, T.; Sekine, S.; Nishi, T.; et al. Recurrence after ESD curative resection for early gastric cancer. Surg. Case Rep. 2021, 7, 5. [Google Scholar] [CrossRef] [PubMed]
- Zlobec, I.; Lugli, A. Tumour budding in colorectal cancer: Molecular rationale for clinical translation. Nat. Rev. Cancer 2018, 18, 203–204. [Google Scholar] [CrossRef] [PubMed]
- Gurzu, S.; Jung, I. Subcellular Expression of Maspin in Colorectal Cancer: Friend or Foe. Cancers 2021, 13, 366. [Google Scholar] [CrossRef] [PubMed]
- Hashiguchi, Y.; Muro, K.; Saito, Y.; Ito, Y.; Ajioka, Y.; Hamaguchi, T.; Hasegawa, K.; Hotta, K.; Ishida, H.; Ishiguro, M.; et al. Japanese Society for Cancer of the Colon and Rectum (JSCCR) guidelines 2019 for the treatment of colorectal cancer. Int. J. Clin. Oncol. 2020, 25, 1–42. [Google Scholar] [CrossRef] [PubMed]
- Rogers, A.C.; Winter, D.C.; Heeney, A.; Gibbons, D.; Lugli, A.; Puppa, G.; Sheahan, K. Systematic review and meta-analysis of the impact of tumour budding in colorectal cancer. Br. J. Cancer 2016, 115, 831–840. [Google Scholar] [CrossRef]
- Thakur, N.; Ailia, M.J.; Chong, Y.; Shin, O.R.; Yim, K. Tumor Budding as a Marker for Poor Prognosis and Epithelial-Mesenchymal Transition in Lung Cancer: A Systematic Review and Meta-Analysis. Front. Oncol. 2022, 12, 828999. [Google Scholar] [CrossRef]
- Almangush, A.; Salo, T.; Hagstrom, J.; Leivo, I. Tumour budding in head and neck squamous cell carcinoma—A systematic review. Histopathology 2014, 65, 587–594. [Google Scholar] [CrossRef]
- Okcu, O.; Ozturk, C.; Sen, B.; Arpa, M.; Bedir, R. Tumor Budding is a reliable predictor for death and metastasis in invasive ductal breast cancer and correlates with other prognostic clinicopathological parameters. Ann. Diagn. Pathol. 2021, 54, 151792. [Google Scholar] [CrossRef]
- Ailia, M.J.; Thakur, N.; Chong, Y.; Yim, K. Tumor Budding in Gynecologic Cancer as a Marker for Poor Survival: A Systematic Review and Meta-Analysis of the Perspectives of Epithelial-Mesenchymal Transition. Cancers 2022, 14, 1431. [Google Scholar] [CrossRef]
- Lawlor, R.T.; Veronese, N.; Nottegar, A.; Malleo, G.; Smith, L.; Demurtas, J.; Cheng, L.; Wood, L.D.; Silvestris, N.; Salvia, R.; et al. Prognostic Role of High-Grade Tumor Budding in Pancreatic Ductal Adenocarcinoma: A Systematic Review and Meta-Analysis with a Focus on Epithelial to Mesenchymal Transition. Cancers 2019, 11, 113. [Google Scholar] [CrossRef] [PubMed]
- Shi, R.; Le Tan, M.T.; Lim, G.H.; Du, J.; Zhang, L.; Zeng, L.; Tan, P.H. Prognostic Value of Tumor Budding in Urothelial Carcinoma: A Meta-Analysis and Systematic Review. Lab. Investig. 2023, 103, 100136. [Google Scholar] [CrossRef] [PubMed]
- Feitosa, S.G.; Oliveira, R.V.; Bezerra, T.M.M.; Chaves, F.N.; Viana, K.F.; Oliveira, D.F.G.; Pereira, K.M.A. Tumor Budding and Poor Prognosis in Oral Cancer: A Systematic Review and Meta-Analysis. Asian Pac. J. Cancer Prev. 2023, 24, 2565–2573. [Google Scholar] [CrossRef] [PubMed]
- Regmi, P.; Paudyal, A.; Paudyal, P.; Hu, H.J.; Liu, F.; Ma, W.J.; Jin, Y.W.; Li, F.Y. Prognostic significance of tumor budding in biliary tract cancer. Eur. J. Surg. Oncol. 2022, 48, 160–168. [Google Scholar] [CrossRef]
- Lloyd, A.J.; Ryan, E.J.; Boland, M.R.; Elwahab, S.A.; Malone, C.; Sweeney, K.J.; Barry, K.M.; McLaughlin, R.; Kerin, M.J.; Lowery, A.J. The histopathological and molecular features of breast carcinoma with tumour budding-a systematic review and meta-analysis. Breast Cancer Res. Treat. 2020, 183, 503–514. [Google Scholar] [CrossRef]


Disclaimer/Publisher’s Note: The statements, opinions and data contained in all publications are solely those of the individual author(s) and contributor(s) and not of MDPI and/or the editor(s). MDPI and/or the editor(s) disclaim responsibility for any injury to people or property resulting from any ideas, methods, instructions or products referred to in the content. |
© 2023 by the authors. Licensee MDPI, Basel, Switzerland. This article is an open access article distributed under the terms and conditions of the Creative Commons Attribution (CC BY) license (https://creativecommons.org/licenses/by/4.0/).
Share and Cite
Lee, Y.S.; Chong, Y.; Seo, K.J.; Yim, K. Two Cases of Lymph Node Metastasis Found in Differentiated, Small-Sized Gastric Adenocarcinomas: Did Tumor Budding Play a Critical Role? Medicina 2023, 59, 2126. https://doi.org/10.3390/medicina59122126
Lee YS, Chong Y, Seo KJ, Yim K. Two Cases of Lymph Node Metastasis Found in Differentiated, Small-Sized Gastric Adenocarcinomas: Did Tumor Budding Play a Critical Role? Medicina. 2023; 59(12):2126. https://doi.org/10.3390/medicina59122126
Chicago/Turabian StyleLee, Young Sub, Yosep Chong, Kyung Jin Seo, and Kwangil Yim. 2023. "Two Cases of Lymph Node Metastasis Found in Differentiated, Small-Sized Gastric Adenocarcinomas: Did Tumor Budding Play a Critical Role?" Medicina 59, no. 12: 2126. https://doi.org/10.3390/medicina59122126
APA StyleLee, Y. S., Chong, Y., Seo, K. J., & Yim, K. (2023). Two Cases of Lymph Node Metastasis Found in Differentiated, Small-Sized Gastric Adenocarcinomas: Did Tumor Budding Play a Critical Role? Medicina, 59(12), 2126. https://doi.org/10.3390/medicina59122126

